JavaScript is disabled in your browser. Please enable JavaScript to view this website.
AB154791

Anti-ILF2/NF45 抗体 [EPR10695(B)]

Anti-ILF2/NF45 antibody [EPR10695(B)]

3

(1 Review)

|

(6 Publications)

Rabbit Recombinant Monoclonal ILF2/NF45 antibody. Suitable for IHC-P, WB, Flow Cyt (Intra) and reacts with Human, Mouse, Rat samples. Cited in 6 publications.

別名を表示する

NF45, PRO3063, ILF2, Interleukin enhancer-binding factor 2, Nuclear factor of activated T-cells 45 kDa

8 Images
Immunohistochemistry (Formalin/PFA-fixed paraffin-embedded sections) - Anti-ILF2/NF45 antibody [EPR10695(B)] (AB154791)
  • IHC-P

Unknown

Immunohistochemistry (Formalin/PFA-fixed paraffin-embedded sections) - Anti-ILF2/NF45 antibody [EPR10695(B)] (AB154791)

Immunohistochemical analysis of paraffin-embedded Human thyroid gland carcinoma tissue labeling ILF2/NF45 with ab154791 at 1/50 dilution.

Perform heat mediated antigen retrieval with citrate buffer pH 6 before commencing with IHC staining protocol.

Immunohistochemistry (Formalin/PFA-fixed paraffin-embedded sections) - Anti-ILF2/NF45 antibody [EPR10695(B)] (AB154791)
  • IHC-P

Unknown

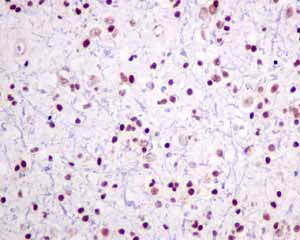
Immunohistochemistry (Formalin/PFA-fixed paraffin-embedded sections) - Anti-ILF2/NF45 antibody [EPR10695(B)] (AB154791)

Immunohistochemical analysis of paraffin embedded Human glioma tissue using ab154791 showing +ve staining.

Perform heat mediated antigen retrieval with citrate buffer pH 6 before commencing with IHC staining protocol.

Immunohistochemistry (Formalin/PFA-fixed paraffin-embedded sections) - Anti-ILF2/NF45 antibody [EPR10695(B)] (AB154791)
  • IHC-P

Unknown

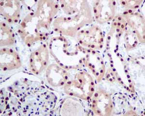
Immunohistochemistry (Formalin/PFA-fixed paraffin-embedded sections) - Anti-ILF2/NF45 antibody [EPR10695(B)] (AB154791)

Immunohistochemical analysis of paraffin embedded Human normal kidney tissue using ab154791 showing +ve staining.

Perform heat mediated antigen retrieval with citrate buffer pH 6 before commencing with IHC staining protocol.

Immunohistochemistry (Formalin/PFA-fixed paraffin-embedded sections) - Anti-ILF2/NF45 antibody [EPR10695(B)] (AB154791)
  • IHC-P

Unknown

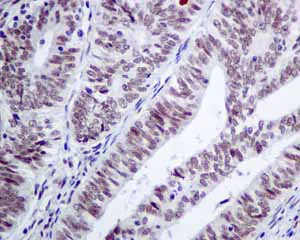
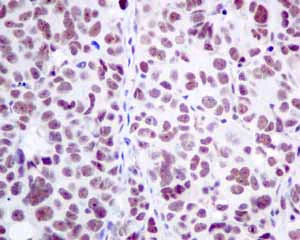
Immunohistochemistry (Formalin/PFA-fixed paraffin-embedded sections) - Anti-ILF2/NF45 antibody [EPR10695(B)] (AB154791)

Immunohistochemical analysis of paraffin embedded Human endometrial carcinoma tissue using ab154791 showing +ve staining.

Perform heat mediated antigen retrieval with citrate buffer pH 6 before commencing with IHC staining protocol.

Immunohistochemistry (Formalin/PFA-fixed paraffin-embedded sections) - Anti-ILF2/NF45 antibody [EPR10695(B)] (AB154791)
  • IHC-P

Unknown

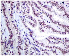
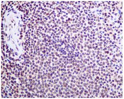
Immunohistochemistry (Formalin/PFA-fixed paraffin-embedded sections) - Anti-ILF2/NF45 antibody [EPR10695(B)] (AB154791)

Immunohistochemical analysis of paraffin-embedded Human spleen tissue labeling ILF2/NF45 with ab154791 at 1/50 dilution.

Perform heat mediated antigen retrieval with citrate buffer pH 6 before commencing with IHC staining protocol.

Immunohistochemistry (Formalin/PFA-fixed paraffin-embedded sections) - Anti-ILF2/NF45 antibody [EPR10695(B)] (AB154791)
  • IHC-P

Unknown

Immunohistochemistry (Formalin/PFA-fixed paraffin-embedded sections) - Anti-ILF2/NF45 antibody [EPR10695(B)] (AB154791)

Immunohistochemical analysis of paraffin embedded Human ovarian carcinoma tissue using ab154791 showing +ve staining.

Perform heat mediated antigen retrieval with citrate buffer pH 6 before commencing with IHC staining protocol.

Flow Cytometry (Intracellular) - Anti-ILF2/NF45 antibody [EPR10695(B)] (AB154791)
  • Flow Cyt (Intra)

Unknown

Flow Cytometry (Intracellular) - Anti-ILF2/NF45 antibody [EPR10695(B)] (AB154791)

Overlay histogram showing HeLa cells stained with ab154791 (red line). The cells were fixed with 80% methanol (5 min) and then permeabilized with 0.1% PBS-Tween for 20 min. The cells were then incubated in 1x PBS / 10% normal goat serum / 0.3M glycine to block non-specific protein-protein interactions followed by the antibody (ab154791, 1/1000 dilution) for 30 min at 22°C. The secondary antibody used was Alexa Fluor® 488 goat anti-rabbit IgG (H&L) (ab150077) at 1/2000 dilution for 30 min at 22°C. Isotype control antibody (black line) was rabbit IgG (monoclonal) (0.1μg/1x106 cells) used under the same conditions. Unlabelled sample (blue line) was also used as a control. Acquisition of >5,000 events were collected using a 20mW Argon ion laser (488nm) and 525/30 bandpass filter.

Western blot - Anti-ILF2/NF45 antibody [EPR10695(B)] (AB154791)
  • WB

Unknown

Western blot - Anti-ILF2/NF45 antibody [EPR10695(B)] (AB154791)

All lanes:

Western blot - Anti-ILF2/NF45 antibody [EPR10695(B)] (ab154791) at 1/1000 dilution

Lane 1:

K562 cell lysate at 10 µg

Lane 2:

Raji cell lysate at 10 µg

Lane 3:

A431 cell lysate at 10 µg

Lane 4:

HeLa cell lysate at 10 µg

Secondary

All lanes:

Goat anti-rabbit HRP at 1/2000 dilution

Predicted band size: 43 kDa

false

関連する標識済み抗体及び組成の異なる製品 (1)

  • Carrier free

    Anti-ILF2/NF45 antibody [EPR10695(B)] - BSA and Azide free

Key facts

宿主種

Rabbit

クローン性

Monoclonal

クローン番号

EPR10695(B)

アイソタイプ

IgG

キャリアフリー

No

交差種

Human

アプリケーション

IHC-P, Flow Cyt (Intra), WB

applications

免疫原

The exact immunogen used to generate this antibody is proprietary information.

Reactivity data

{ "title": "Reactivity Data", "filters": { "stats": ["", "Species", "Dilution Info", "Notes"], "tabs": { "all-applications": {"fullname" : "All Applications", "shortname": "All Applications"}, "IHCP" : {"fullname" : "Immunohistochemistry (Formalin/PFA-fixed paraffin-embedded sections)", "shortname":"IHC-P"}, "ICCIF" : {"fullname" : "Immunocytochemistry/ Immunofluorescence", "shortname":"ICC/IF"}, "WB" : {"fullname" : "Western blot", "shortname":"WB"}, "FlowCytIntra" : {"fullname" : "Flow Cytometry (Intracellular)", "shortname":"Flow Cyt (Intra)"} }, "product-promise": { "all": "all", "testedAndGuaranteed": "tested", "guaranteed": "expected", "predicted": "predicted", "notRecommended": "not-recommended" } }, "values": { "Human": { "IHCP-species-checked": "testedAndGuaranteed", "IHCP-species-dilution-info": "1/50 - 1/100", "IHCP-species-notes": "<p></p>", "ICCIF-species-checked": "notRecommended", "ICCIF-species-dilution-info": "", "ICCIF-species-notes": "<p></p>", "WB-species-checked": "testedAndGuaranteed", "WB-species-dilution-info": "1/1000 - 1/10000", "WB-species-notes": "<p></p>", "FlowCytIntra-species-checked": "testedAndGuaranteed", "FlowCytIntra-species-dilution-info": "1/100 - 1/1000", "FlowCytIntra-species-notes": "<p><a href='/products/primary-antibodies/rabbit-igg-monoclonal-epr25a-isotype-control-ab172730'>ab172730</a> - Rabbit monoclonal IgG, is suitable for use as an isotype control with this antibody.</p>" }, "Mouse": { "IHCP-species-checked": "predicted", "IHCP-species-dilution-info": "", "IHCP-species-notes": "", "ICCIF-species-checked": "notRecommended", "ICCIF-species-dilution-info": "", "ICCIF-species-notes": "", "WB-species-checked": "guaranteed", "WB-species-dilution-info": "", "WB-species-notes": "<p></p>", "FlowCytIntra-species-checked": "predicted", "FlowCytIntra-species-dilution-info": "", "FlowCytIntra-species-notes": "" }, "Rat": { "IHCP-species-checked": "predicted", "IHCP-species-dilution-info": "", "IHCP-species-notes": "", "ICCIF-species-checked": "notRecommended", "ICCIF-species-dilution-info": "", "ICCIF-species-notes": "", "WB-species-checked": "guaranteed", "WB-species-dilution-info": "", "WB-species-notes": "<p></p>", "FlowCytIntra-species-checked": "predicted", "FlowCytIntra-species-dilution-info": "", "FlowCytIntra-species-notes": "" } } }

製品の詳細

Patented technology
Our RabMAb® technology is a patented hybridoma-based technology for making rabbit monoclonal antibodies. For details on our patents, please refer to RabMAb® patents.

What are the advantages of a recombinant monoclonal antibody?
This product is a recombinant monoclonal antibody, which offers several advantages including:

  • - High batch-to-batch consistency and reproducibility
  • - Improved sensitivity and specificity
  • - Long-term security of supply
  • - Animal-free batch production

For more information, read more on recombinant antibodies.

出荷温度及び保存条件

製品の状態
Liquid
精製度
Tissue culture supernatant
バッファー組成
pH: 7.2 - 7.4 Preservative: 0.01% Sodium azide Constituents: PBS, 50% Tissue culture supernatant, 40% Glycerol (glycerin, glycerine), 0.05% BSA
出荷温度
Blue Ice
短期保存温度
+4°C
長期保存温度
-20°C

補足情報

This supplementary information is collated from multiple sources and compiled automatically.

ILF2 also known as NF45 is a protein with a mass of approximately 45 kDa. It plays a mechanical role in regulating gene expression at the post-transcriptional level. ILF2/NF45 achieves this by binding to RNA and other regulatory proteins impacting RNA processing and stability. ILF2 is broadly expressed in various tissues with higher expression levels in cells that undergo rapid division such as immune cells and cancerous cells. The protein's interaction with RNA implicates it in important cellular processes that demand accurate RNA handling.
Biological function summary

ILF2/NF45 contributes to the formation of a multiprotein complex essential for modulating nuclear events. It is a significant participant in the Ilf2/Ilf3 complex where it cooperates with NF90 (also known as ILF3) to affect RNA dynamics. This complex manages processes like RNA transport and stabilization highlighting its role in regulating cellular responses under stressful situations. The presence of ILF2/NF45 in this complex suggests its involvement in essential cellular survival mechanisms providing stability to various RNA species within the cell.

Pathways

ILF2/NF45 integrates into cellular signaling through influences on immune response pathways and the cell cycle regulation. It has connections with proteins like NF90 impacting the transcriptional pathways that influence immune cell function and activity. This involvement permits ILF2/NF45 to regulate pathways such as those mediated by NF-κB where transcriptional control of inflammatory responses is critical. The integration into these pathways underlines its substantial role in maintaining cellular homeostasis.

ILF2/NF45 has links to conditions including cancer and autoimmune diseases. It is often overexpressed in various cancers playing a role in tumor progression and metastasis by modulating cell cycle-related mRNA turnover. NF90 frequently partners with ILF2/NF45 in these diseases reflecting a shared pathway influencing the development of malignancies and potentially autoimmune conditions. Understanding these interactions offers potential therapeutic targets as modulation of ILF2/NF45 and its associated complexes could alter disease outcomes.

製品プロトコール

For this product, it's our understanding that no specific protocols are required. You can visit:

ターゲットの情報

Chromatin-interacting protein that forms a stable heterodimer with interleukin enhancer-binding factor 3/ILF3 and plays a role in several biological processes including transcription, innate immunity or cell growth (PubMed : 18458058, PubMed : 31212927). Essential for the efficient reshuttling of ILF3 (isoform 1 and isoform 2) into the nucleus. Together with ILF3, forms an RNA-binding complex that is required for mitotic progression and cytokinesis by regulating the expression of a cluster of mitotic genes. Mechanistically, competes with STAU1/STAU2-mediated mRNA decay (PubMed : 32433969). Also plays a role in the inhibition of various viruses including Japanese encephalitis virus or enterovirus 71.. (Microbial infection) Plays a positive role in HIV-1 virus production by binding to and thereby stabilizing HIV-1 RNA, together with ILF3.
See full target information ILF2

文献 (6)

Recent publications for all applications. Explore the full list and refine your search

Bioengineered 13:8785-8797 PubMed35333683

2022

Serine hydroxymethyltransferase 2 (SHMT2) potentiates the aggressive process of oral squamous cell carcinoma by binding to interleukin enhancer-binding factor 2 (ILF2).

Applications

Unspecified application

Species

Unspecified reactive species

Hui Zhang,Yilei Che,Bin Xuan,Xiaozhen Wu,Hui Li

Cell cycle (Georgetown, Tex.) 21:1034-1047 PubMed35188449

2022

LncRNA LINC00649 promotes the growth and metastasis of triple-negative breast cancer by maintaining the stability of HIF-1α through the NF90/NF45 complex.

Applications

Unspecified application

Species

Unspecified reactive species

Jianhua Zhang,Chuang Du,Linfeng Zhang,Yan Wang,Yingying Zhang,Jingruo Li

International journal of molecular sciences 21: PubMed32102467

2020

Analysis and Identification of Tumorigenic Targets of MicroRNA in Cancer Cells by Photoreactive Chemical Probes.

Applications

Unspecified application

Species

Unspecified reactive species

Zhiyu Su,Tsogzolmaa Ganbold,Huricha Baigude

Oncology letters 18:1689-1696 PubMed31423236

2019

ILF2 promotes anchorage independence through direct regulation of PTEN.

Applications

Unspecified application

Species

Unspecified reactive species

Na Li,Tao Liu,Hui Li,Lifang Zhang,Liping Chu,Qingge Meng,Qinzeng Qiao,Weikun Han,Junhui Zhang,Minying Guo,Jia Zhao

Nature communications 10:2278 PubMed31123254

2019

DDX5 plays essential transcriptional and post-transcriptional roles in the maintenance and function of spermatogonia.

Applications

Unspecified application

Species

Unspecified reactive species

Julien M D Legrand,Ai-Leen Chan,Hue M La,Fernando J Rossello,Minna-Liisa Änkö,Frances V Fuller-Pace,Robin M Hobbs

International journal of molecular medicine 39:900-906 PubMed28259961

2017

MicroRNA-7 functions as a tumor-suppressor gene by regulating ILF2 in pancreatic carcinoma.

Applications

WB

Species

Human

Yiliang Bi,Wei Shen,Min Min,Yan Liu
View all publications

Abcam product promise

当社は、高品質な試薬を通じてお客様の研究を力強くサポートすることをお約束いたします。ご使用いただく各段階で、常にお客様をサポートできる体制を整えております。万が一、製品が期待通りに機能しない場合は、「Abcam Product Promise」による当社保証制度に基づき、安心してご利用いただけます。
保証に関する詳細については利用規約をご確認ください。

Please note: All products are 'FOR RESEARCH USE ONLY. NOT FOR USE IN DIAGNOSTIC OR THERAPEUTIC PROCEDURES'.

For licensing inquiries, please contact partnerships@abcam.com