JavaScript is disabled in your browser. Please enable JavaScript to view this website.
AB18568

Anti-IL-22RA1 抗体

Anti-IL-22RA1 antibody

Be the first to review this product! Submit a review

|

(1 Publication)

Goat Polyclonal IL-22RA1 antibody. Suitable for IHC-P and reacts with Human samples. Cited in 1 publication. Immunogen corresponding to Synthetic Peptide within Human IL22RA1 aa 1-100.

別名を表示する

IL22R, IL22RA1, Interleukin-22 receptor subunit alpha-1, IL-22 receptor subunit alpha-1, IL-22R-alpha-1, IL-22RA1, Cytokine receptor class-II member 9, Cytokine receptor family 2 member 9, ZcytoR11, CRF2-9

2 Images
Immunohistochemistry (Formalin/PFA-fixed paraffin-embedded sections) - Anti-IL-22RA1 antibody (AB18568)
  • IHC-P

Unknown

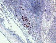
Immunohistochemistry (Formalin/PFA-fixed paraffin-embedded sections) - Anti-IL-22RA1 antibody (AB18568)

ab18568 employed for the immunohistochemical detection of human N-terminal IL-22RA1, in paraffin embedded human spleen.

Immunohistochemistry (Formalin/PFA-fixed paraffin-embedded sections) - Anti-IL-22RA1 antibody (AB18568)
  • IHC-P

Unknown

Immunohistochemistry (Formalin/PFA-fixed paraffin-embedded sections) - Anti-IL-22RA1 antibody (AB18568)

ab18568 employed for the immunohistochemical detection of human N-terminal IL-22RA1, in paraffin embedded human tonsil.

Key facts

宿主種

Goat

クローン性

Polyclonal

アイソタイプ

IgG

キャリアフリー

No

交差種

Human

アプリケーション

IHC-P

applications

免疫原

Synthetic Peptide within Human IL22RA1 aa 1-100. The exact immunogen used to generate this antibody is proprietary information.

Q8N6P7

Reactivity data

{ "title": "Reactivity Data", "filters": { "stats": ["", "Species", "Dilution Info", "Notes"], "tabs": { "all-applications": {"fullname" : "All Applications", "shortname": "All Applications"}, "IHCP" : {"fullname" : "Immunohistochemistry (Formalin/PFA-fixed paraffin-embedded sections)", "shortname":"IHC-P"} }, "product-promise": { "all": "all", "testedAndGuaranteed": "tested", "guaranteed": "expected", "predicted": "predicted", "notRecommended": "not-recommended" } }, "values": { "Human": { "IHCP-species-checked": "testedAndGuaranteed", "IHCP-species-dilution-info": "1/100", "IHCP-species-notes": "<p></p> Perform heat-mediated antigen retrieval via the pressure cooker method before commencing with IHC staining protocol." } } }

出荷温度及び保存条件

製品の状態
Liquid
精製方法
Affinity purification Immunogen
バッファー組成
pH: 7.2 Preservative: 0.1% Sodium azide Constituents: 0.812% Sodium chloride, 0.21% Tripotassium orthophosphate
出荷温度
Blue Ice
短期保存温度
+4°C
長期保存温度
-20°C
分注に関する情報
Upon delivery aliquot
保管に関する情報
Avoid freeze / thaw cycle

製品プロトコール

For this product, it's our understanding that no specific protocols are required. You can visit:

ターゲットの情報

Component of the receptor for IL20, IL22 and IL24. Component of IL22 receptor formed by IL22RA1 and IL10RB enabling IL22 signaling via JAK/STAT pathways. IL22 also induces activation of MAPK1/MAPK3 and Akt kinases pathways. Component of one of the receptor for IL20 and IL24 formed by IL22RA1 and IL20RB also signaling through STATs activation. Mediates IL24 antiangiogenic activity as well as IL24 inhibitory effect on endothelial cell tube formation and differentiation.
See full target information IL22RA1

文献 (1)

Recent publications for all applications. Explore the full list and refine your search

Journal of immunology (Baltimore, Md. : 1950) 178:5086-98 PubMed17404291

2007

IL-28 elicits antitumor responses against murine fibrosarcoma.

Applications

Unspecified application

Species

Unspecified reactive species

Muneo Numasaki,Masatoshi Tagawa,Fumi Iwata,Takashi Suzuki,Akira Nakamura,Masahiro Okada,Yoichiro Iwakura,Setsuya Aiba,Mutsuo Yamaya
View all publications

Abcam product promise

当社は、高品質な試薬を通じてお客様の研究を力強くサポートすることをお約束いたします。ご使用いただく各段階で、常にお客様をサポートできる体制を整えております。万が一、製品が期待通りに機能しない場合は、「Abcam Product Promise」による当社保証制度に基づき、安心してご利用いただけます。
保証に関する詳細については利用規約をご確認ください。

Please note: All products are 'FOR RESEARCH USE ONLY. NOT FOR USE IN DIAGNOSTIC OR THERAPEUTIC PROCEDURES'.

For licensing inquiries, please contact partnerships@abcam.com