JavaScript is disabled in your browser. Please enable JavaScript to view this website.
AB228687

Anti-IL-22 抗体

Anti-IL-22 antibody

  • JP Deleterious:医薬用外劇物

Be the first to review this product! Submit a review

|

(1 Publication)

Rabbit Polyclonal IL-22 antibody. Suitable for WB, IHC-P, ELISA and reacts with Human, Recombinant fragment - Human samples. Cited in 1 publication. Immunogen corresponding to Synthetic Peptide within Human IL22.

別名を表示する

ILTIF, ZCYTO18, UNQ3099/PRO10096, IL22, Interleukin-22, IL-22, Cytokine Zcyto18, IL-10-related T-cell-derived-inducible factor, IL-TIF

3 Images
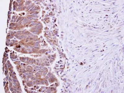
Immunohistochemistry (Formalin/PFA-fixed paraffin-embedded sections) - Anti-IL-22 antibody (AB228687)
  • IHC-P

Supplier Data

Immunohistochemistry (Formalin/PFA-fixed paraffin-embedded sections) - Anti-IL-22 antibody (AB228687)

Paraffin-embedded human colon carcinoma tissue stained for IL22 using ab228687 at 1/250 dilution in immunohistochemical analysis.

Western blot - Anti-IL-22 antibody (AB228687)
  • WB

Supplier Data

Western blot - Anti-IL-22 antibody (AB228687)

Paraffin-embedded human colon carcinoma tissue stained for IL22 with ab228687 at a 1/250 dilution in immunohistochemical analysis.

All lanes:

Western blot - Anti-IL-22 antibody (ab228687) at 1/1000 dilution

All lanes:

MOLT-4 (human lymphoblastic leukemia cell line) whole cell lysate at 30 µg

Predicted band size: 20 kDa

false

ELISA - Anti-IL-22 antibody (AB228687)
  • ELISA

Supplier Data

ELISA - Anti-IL-22 antibody (AB228687)

An ELISA plate is coated with 50 µL of a IL-22 recombinant protein at 5 µg/mL. The coated protein is detected with anti-IL-22 antibody at concentration ranged from 3.9 to 250 ng/mL.

Key facts

宿主種

Rabbit

クローン性

Polyclonal

アイソタイプ

IgG

キャリアフリー

No

交差種

Human

アプリケーション

IHC-P, WB, ELISA

applications

免疫原

Synthetic Peptide within Human IL22. The exact immunogen used to generate this antibody is proprietary information.

Q9GZX6

Reactivity data

{ "title": "Reactivity Data", "filters": { "stats": ["", "Species", "Dilution Info", "Notes"], "tabs": { "all-applications": {"fullname" : "All Applications", "shortname": "All Applications"}, "WB" : {"fullname" : "Western blot", "shortname":"WB"}, "IHCP" : {"fullname" : "Immunohistochemistry (Formalin/PFA-fixed paraffin-embedded sections)", "shortname":"IHC-P"}, "ELISA" : {"fullname" : "ELISA", "shortname":"ELISA"} }, "product-promise": { "all": "all", "testedAndGuaranteed": "tested", "guaranteed": "expected", "predicted": "predicted", "notRecommended": "not-recommended" } }, "values": { "Human": { "WB-species-checked": "testedAndGuaranteed", "WB-species-dilution-info": "1/500 - 1/3000", "WB-species-notes": "<p></p>", "IHCP-species-checked": "testedAndGuaranteed", "IHCP-species-dilution-info": "1/100 - 1/1000", "IHCP-species-notes": "<p></p>", "ELISA-species-checked": "guaranteed", "ELISA-species-dilution-info": "", "ELISA-species-notes": "" }, "Recombinant fragment - Human": { "WB-species-checked": "notRecommended", "WB-species-dilution-info": "", "WB-species-notes": "", "IHCP-species-checked": "notRecommended", "IHCP-species-dilution-info": "", "IHCP-species-notes": "", "ELISA-species-checked": "testedAndGuaranteed", "ELISA-species-dilution-info": "1/1000 - 1/10000", "ELISA-species-notes": "<p></p>" }, "Rhesus monkey": { "WB-species-checked": "predicted", "WB-species-dilution-info": "", "WB-species-notes": "", "IHCP-species-checked": "predicted", "IHCP-species-dilution-info": "", "IHCP-species-notes": "", "ELISA-species-checked": "predicted", "ELISA-species-dilution-info": "", "ELISA-species-notes": "" } } }

出荷温度及び保存条件

製品の状態
Liquid
精製方法
Affinity purification Immunogen
バッファー組成
pH: 7 Preservative: 0.01% Thimerosal (merthiolate) Constituents: 10% Glycerol (glycerin, glycerine), 1.21% Tris, 0.75% Glycine
出荷温度
Blue Ice
短期保存期間
1-2 weeks
短期保存温度
+4°C
長期保存温度
-20°C
分注に関する情報
Upon delivery aliquot
保管に関する情報
Avoid freeze / thaw cycle

製品プロトコール

For this product, it's our understanding that no specific protocols are required. You can visit:

ターゲットの情報

Cytokine that plays a critical role in modulating tissue responses during inflammation (PubMed : 17204547). Plays an essential role in the regeneration of epithelial cells to maintain barrier function after injury and for the prevention of further tissue damage (PubMed : 17204547). Unlike most of the cytokines, has no effect on immune cells. Signals through a heterodimeric receptor composed of two subunits, the specific receptor IL22RA1 which is present on non-immune cells in many organs and the shared subunit IL10RB (PubMed : 10875937, PubMed : 18599299). Ligation of IL22RA1 with IL22 induces activation of the tyrosine kinases JAK1 and TYK2, which in turn activates STAT3. In turn, promotes cell survival and proliferation through STAT3, ERK1/2 and PI3K/AKT pathways (PubMed : 25793261, PubMed : 31311100). Promotes phosphorylation of GSK3B at 'Ser-9' and CTTN (By similarity). Promotes epithelial cell spreading (By similarity).
See full target information IL22

文献 (1)

Recent publications for all applications. Explore the full list and refine your search

Cell communication and signaling : CCS 23:246 PubMed40437612

2025

Identification of genetically engineered strategies to manipulate nano-platforms presenting immunotherapeutic ligands for alleviating primary ovarian insufficiency progression.

Applications

Unspecified application

Species

Unspecified reactive species

Guannan Zhou,Yuanyuan Gu,Menglei Zhang,Jingxin Ding,Guanming Lu,Keqin Hua,Fang Shen
View all publications

Abcam product promise

当社は、高品質な試薬を通じてお客様の研究を力強くサポートすることをお約束いたします。ご使用いただく各段階で、常にお客様をサポートできる体制を整えております。万が一、製品が期待通りに機能しない場合は、「Abcam Product Promise」による当社保証制度に基づき、安心してご利用いただけます。
保証に関する詳細については利用規約をご確認ください。

Please note: All products are 'FOR RESEARCH USE ONLY. NOT FOR USE IN DIAGNOSTIC OR THERAPEUTIC PROCEDURES'.

For licensing inquiries, please contact partnerships@abcam.com