JavaScript is disabled in your browser. Please enable JavaScript to view this website.
AB168194

Anti-IL-17F 抗体

Anti-IL-17F antibody

Be the first to review this product! Submit a review

|

(2 Publications)

Mouse Polyclonal IL-17F antibody. Suitable for IHC-P, WB and reacts with Human samples. Cited in 2 publications. Immunogen corresponding to Recombinant Full Length Protein corresponding to Human IL17F.

別名を表示する

Interleukin-17F, IL-17F, Cytokine ML-1, IL17F

2 Images
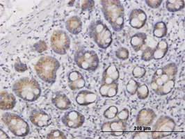
Immunohistochemistry (Formalin/PFA-fixed paraffin-embedded sections) - Anti-IL-17F antibody (AB168194)
  • IHC-P

Unknown

Immunohistochemistry (Formalin/PFA-fixed paraffin-embedded sections) - Anti-IL-17F antibody (AB168194)

Immunohistochemical analysis of formalin fixed, paraffin embedded Human small intestine tissue labeling IL17F with ab168194 at 3 µg/ml.

Western blot - Anti-IL-17F antibody (AB168194)
  • WB

Unknown

Western blot - Anti-IL-17F antibody (AB168194)

All lanes:

Western blot - Anti-IL-17F antibody (ab168194) at 1 µg/mL

Lane 1:

IL17F transfected 293T cell lysate at 15 µL

Lane 2:

Non-transfected 293T cell lysate at 15 µL

Secondary

All lanes:

Goat Anti-Mouse IgG (H&L)-HRP at 1/2500 dilution

Predicted band size: 18 kDa

true

Key facts

宿主種

Mouse

クローン性

Polyclonal

アイソタイプ

IgG

キャリアフリー

No

交差種

Human

アプリケーション

IHC-P, WB

applications

免疫原

Recombinant Full Length Protein corresponding to Human IL17F.

Q96PD4

Reactivity data

{ "title": "Reactivity Data", "filters": { "stats": ["", "Species", "Dilution Info", "Notes"], "tabs": { "all-applications": {"fullname" : "All Applications", "shortname": "All Applications"}, "IHCP" : {"fullname" : "Immunohistochemistry (Formalin/PFA-fixed paraffin-embedded sections)", "shortname":"IHC-P"}, "WB" : {"fullname" : "Western blot", "shortname":"WB"} }, "product-promise": { "all": "all", "testedAndGuaranteed": "tested", "guaranteed": "expected", "predicted": "predicted", "notRecommended": "not-recommended" } }, "values": { "Human": { "IHCP-species-checked": "testedAndGuaranteed", "IHCP-species-dilution-info": "3 µg/mL", "IHCP-species-notes": "<p></p>", "WB-species-checked": "testedAndGuaranteed", "WB-species-dilution-info": "1 µg/mL", "WB-species-notes": "<p></p>" }, "Rhesus monkey": { "IHCP-species-checked": "predicted", "IHCP-species-dilution-info": "", "IHCP-species-notes": "", "WB-species-checked": "predicted", "WB-species-dilution-info": "", "WB-species-notes": "" } } }

出荷温度及び保存条件

製品の状態
Liquid
精製方法
Affinity purification Protein A
バッファー組成
pH: 7.4 Constituents: PBS
出荷温度
Blue Ice
短期保存期間
1-2 weeks
短期保存温度
+4°C
長期保存温度
-20°C
分注に関する情報
Upon delivery aliquot

製品プロトコール

For this product, it's our understanding that no specific protocols are required. You can visit:

ターゲットの情報

Effector cytokine of innate and adaptive immune system involved in antimicrobial host defense and maintenance of tissue integrity (PubMed : 21350122). IL17A-IL17F signals via IL17RA-IL17RC heterodimeric receptor complex, triggering homotypic interaction of IL17RA and IL17RC chains with TRAF3IP2 adapter through SEFIR domains. This leads to downstream TRAF6-mediated activation of NF-kappa-B and MAPkinase pathways ultimately resulting in transcriptional activation of cytokines, chemokines, antimicrobial peptides and matrix metalloproteinases, with potential strong immune inflammation (PubMed : 11574464, PubMed : 11591732, PubMed : 11591768, PubMed : 17911633, PubMed : 18684971, PubMed : 21350122, PubMed : 28827714). IL17A-IL17F is primarily involved in host defense against extracellular bacteria and fungi by inducing neutrophilic inflammation (By similarity). As signature effector cytokine of T-helper 17 cells (Th17), primarily induces neutrophil activation and recruitment at infection and inflammatory sites (By similarity). Stimulates the production of antimicrobial beta-defensins DEFB1, DEFB103A, and DEFB104A by mucosal epithelial cells, limiting the entry of microbes through the epithelial barriers (By similarity). IL17F homodimer can signal via IL17RC homodimeric receptor complex, triggering downstream activation of TRAF6 and NF-kappa-B signaling pathway (PubMed : 32187518). Via IL17RC induces transcriptional activation of IL33, a potent cytokine that stimulates group 2 innate lymphoid cells and adaptive T-helper 2 cells involved in pulmonary allergic response to fungi. Likely via IL17RC, promotes sympathetic innervation of peripheral organs by coordinating the communication between gamma-delta T cells and parenchymal cells. Stimulates sympathetic innervation of thermogenic adipose tissue by driving TGFB1 expression (By similarity). Regulates the composition of intestinal microbiota and immune tolerance by inducing antimicrobial proteins that specifically control the growth of commensal Firmicutes and Bacteroidetes (By similarity).
See full target information IL17F

文献 (2)

Recent publications for all applications. Explore the full list and refine your search

Experimental and therapeutic medicine 22:1291 PubMed34630646

2021

Interleukin-17 activates JAK2/STAT3, PI3K/Akt and nuclear factor-κB signaling pathway to promote the tumorigenesis of cervical cancer.

Applications

Unspecified application

Species

Unspecified reactive species

Yanfei Bai,Haitao Li,Rui Lv

Infectious agents and cancer 12:42 PubMed28770001

2017

Interleukin-17F expression is elevated in hepatitis C patients with fibrosis and hepatocellular carcinoma.

Applications

Unspecified application

Species

Unspecified reactive species

Ming-Sian Wu,Chun-Hsiang Wang,Fan-Chen Tseng,Hsuan-Ju Yang,Yin-Chiu Lo,Yi-Ping Kuo,De-Jiun Tsai,Wan-Ting Tsai,Guann-Yi Yu
View all publications

Abcam product promise

当社は、高品質な試薬を通じてお客様の研究を力強くサポートすることをお約束いたします。ご使用いただく各段階で、常にお客様をサポートできる体制を整えております。万が一、製品が期待通りに機能しない場合は、「Abcam Product Promise」による当社保証制度に基づき、安心してご利用いただけます。
保証に関する詳細については利用規約をご確認ください。

Please note: All products are 'FOR RESEARCH USE ONLY. NOT FOR USE IN DIAGNOSTIC OR THERAPEUTIC PROCEDURES'.

For licensing inquiries, please contact partnerships@abcam.com