JavaScript is disabled in your browser. Please enable JavaScript to view this website.
AB108499

Anti-IL-13 receptor alpha 1 抗体

Anti-IL-13 receptor alpha 1 antibody

  • JP Hazardous:医薬用外毒物

4

(1 Review)

|

(3 Publications)

Rabbit Polyclonal IL-13 receptor alpha 1 antibody. Suitable for WB, IHC-P and reacts with Human samples. Cited in 3 publications. Immunogen corresponding to Recombinant Fragment Protein within Human IL13RA1 aa 50-350.

別名を表示する

CD213a1, IL13R, IL13RA, IL13RA1, Interleukin-13 receptor subunit alpha-1, IL-13 receptor subunit alpha-1, IL-13R subunit alpha-1, IL-13R-alpha-1, IL-13RA1, Cancer/testis antigen 19, CT19

2 Images
Western blot - Anti-IL-13 receptor alpha 1 antibody (AB108499)
  • WB

Unknown

Western blot - Anti-IL-13 receptor alpha 1 antibody (AB108499)

All lanes:

Western blot - Anti-IL-13 receptor alpha 1 antibody (ab108499) at 1/500 dilution

All lanes:

A549 cell lysate

Predicted band size: 49 kDa

false

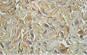
Immunohistochemistry (Formalin/PFA-fixed paraffin-embedded sections) - Anti-IL-13 receptor alpha 1 antibody (AB108499)
  • IHC-P

Unknown

Immunohistochemistry (Formalin/PFA-fixed paraffin-embedded sections) - Anti-IL-13 receptor alpha 1 antibody (AB108499)

1/100 ab108499 staining IL13 receptor alpha 1 in formalin-fixed, paraffin-embedded Human fetal heart tissue.

Key facts

宿主種

Rabbit

クローン性

Polyclonal

アイソタイプ

IgG

キャリアフリー

No

交差種

Human

アプリケーション

IHC-P, WB

applications

免疫原

Recombinant Fragment Protein within Human IL13RA1 aa 50-350. The exact immunogen used to generate this antibody is proprietary information.

P78552

Reactivity data

{ "title": "Reactivity Data", "filters": { "stats": ["", "Species", "Dilution Info", "Notes"], "tabs": { "all-applications": {"fullname" : "All Applications", "shortname": "All Applications"}, "WB" : {"fullname" : "Western blot", "shortname":"WB"}, "IHCP" : {"fullname" : "Immunohistochemistry (Formalin/PFA-fixed paraffin-embedded sections)", "shortname":"IHC-P"} }, "product-promise": { "all": "all", "testedAndGuaranteed": "tested", "guaranteed": "expected", "predicted": "predicted", "notRecommended": "not-recommended" } }, "values": { "Human": { "WB-species-checked": "testedAndGuaranteed", "WB-species-dilution-info": "1/500 - 1/1000", "WB-species-notes": "<p></p>", "IHCP-species-checked": "testedAndGuaranteed", "IHCP-species-dilution-info": "1/100 - 1/500", "IHCP-species-notes": "<p></p>" }, "Mouse": { "WB-species-checked": "predicted", "WB-species-dilution-info": "", "WB-species-notes": "", "IHCP-species-checked": "predicted", "IHCP-species-dilution-info": "", "IHCP-species-notes": "" }, "Rat": { "WB-species-checked": "predicted", "WB-species-dilution-info": "", "WB-species-notes": "", "IHCP-species-checked": "predicted", "IHCP-species-dilution-info": "", "IHCP-species-notes": "" } } }

下記製品にもご興味をお持ちいただけるかもしれません:

AB303763

Human IL-13 receptor alpha 1 ELISA Kit

0

0 Reviews

製品ページを見る
こちらの製品も推奨する理由

この製品は、同様の実験や関連する研究で広く使用されていることから推奨させていただいております。

お客様の実験に適するかご確認いただくため、必ず製品データシートをご確認いただくことをお勧めいたします。ご不明点等ございましたら、テクニカルサポートチームまでお問い合わせください。

出荷温度及び保存条件

製品の状態
Lyophilized
再構成
reconstitute with water at 200µL
精製方法
Affinity purification Immunogen
バッファー組成
Preservative: 0.02% Sodium azide Constituents: 1% BSA
出荷温度
Blue Ice
短期保存温度
+4°C
長期保存温度
-20°C
分注に関する情報
Upon delivery aliquot
保管に関する情報
Avoid freeze / thaw cycle

製品プロトコール

For this product, it's our understanding that no specific protocols are required. You can visit:

ターゲットの情報

Binds with low affinity to interleukin-13 (IL13). Together with IL4RA can form a functional receptor for IL13. Also serves as an alternate accessory protein to the common cytokine receptor gamma chain for interleukin-4 (IL4) signaling, but cannot replace the function of IL2RG in allowing enhanced interleukin-2 (IL2) binding activity.
See full target information IL13RA1

文献 (3)

Recent publications for all applications. Explore the full list and refine your search

Journal of cosmetic dermatology 21:5910-5921 PubMed35778915

2022

Effect of platelet concentrate prepared by different methods on the healing of full-thickness skin defects.

Applications

Unspecified application

Species

Unspecified reactive species

Liwen Huang,Yunqing Dong,Changhui Li,Sheng Han,Biao Cheng

American journal of physiology. Gastrointestinal a 318:G763-G771 PubMed32090602

2020

Signaling through the interleukin-4 and interleukin-13 receptor complexes regulates cholangiocyte TMEM16A expression and biliary secretion.

Applications

Unspecified application

Species

Unspecified reactive species

Amal K Dutta,Kristy Boggs,Al-Karim Khimji,Yonas Getachew,Youxue Wang,Charles Kresge,Don C Rockey,Andrew P Feranchak

Frontiers in bioengineering and biotechnology 7:360 PubMed31921796

2019

Preparation of Antimicrobial Hyaluronic Acid/Quaternized Chitosan Hydrogels for the Promotion of Seawater-Immersion Wound Healing.

Applications

Unspecified application

Species

Unspecified reactive species

Xinlu Wang,Pengcheng Xu,Zexin Yao,Qi Fang,Longbao Feng,Rui Guo,Biao Cheng
View all publications

Abcam product promise

当社は、高品質な試薬を通じてお客様の研究を力強くサポートすることをお約束いたします。ご使用いただく各段階で、常にお客様をサポートできる体制を整えております。万が一、製品が期待通りに機能しない場合は、「Abcam Product Promise」による当社保証制度に基づき、安心してご利用いただけます。
保証に関する詳細については利用規約をご確認ください。

関連製品

Select an associated product type
Alternative Product
Primary Antibodies

AB39418

Anti-IL-13 receptor alpha 1 antibody [GM1E7]

primary-antibodies

il-13-receptor-alpha-1-antibody-gm1e7-ab39418

0

(0 reviews)

Alternative Product
Primary Antibodies

AB154380

Anti-IL-13 receptor alpha 1 antibody

primary-antibodies

il-13-receptor-alpha-1-antibody-ab154380

0

(0 reviews)

Alternative Product
Primary Antibodies

AB233528

Anti-IL-13 receptor alpha 1 antibody

primary-antibodies

il-13-receptor-alpha-1-antibody-ab233528

0

(0 reviews)

Alternative Product
Primary Antibodies

AB79277

Anti-IL-13 receptor alpha 1 antibody

primary-antibodies

il-13-receptor-alpha-1-antibody-ab79277

5

(2 reviews)

Please note: All products are 'FOR RESEARCH USE ONLY. NOT FOR USE IN DIAGNOSTIC OR THERAPEUTIC PROCEDURES'.

For licensing inquiries, please contact partnerships@abcam.com