JavaScript is disabled in your browser. Please enable JavaScript to view this website.
AB228010

Anti-IL-10RA 抗体

Anti-IL-10RA antibody

Be the first to review this product! Submit a review

|

(1 Publication)

Rabbit Polyclonal IL-10RA antibody. Suitable for WB, IHC-P and reacts with Recombinant fragment, Human samples. Cited in 1 publication. Immunogen corresponding to Recombinant Fragment Protein within Human IL10RA.

別名を表示する

CD210, IL10R, IL10RA, Interleukin-10 receptor subunit alpha, IL-10 receptor subunit alpha, IL-10R subunit alpha, IL-10RA, CDw210a, Interleukin-10 receptor subunit 1, IL-10R subunit 1, IL-10R1

2 Images
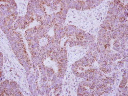
Immunohistochemistry (Formalin/PFA-fixed paraffin-embedded sections) - Anti-IL-10RA antibody (AB228010)
  • IHC-P

Supplier Data

Immunohistochemistry (Formalin/PFA-fixed paraffin-embedded sections) - Anti-IL-10RA antibody (AB228010)

Paraffin-embedded human colon carcinoma tissue stained for IL-10RA using ab228010 at 1/250 dilution in immunohistochemical analysis.

Western blot - Anti-IL-10RA antibody (AB228010)
  • WB

Supplier Data

Western blot - Anti-IL-10RA antibody (AB228010)

Samples were separated by 7.5% SDS-PAGE.

All lanes:

Western blot - Anti-IL-10RA antibody (ab228010) at 1/5000 dilution

Lane 1:

293T whole cell lysates at 30 µg

Lane 2:

IL10RA transfected 293T cell lysates at 30 µg

Secondary

All lanes:

HRP-conjugated anti-rabbit IgG antibody

Predicted band size: 63 kDa

false

Key facts

宿主種

Rabbit

クローン性

Polyclonal

アイソタイプ

IgG

キャリアフリー

No

交差種

Human

アプリケーション

IHC-P, WB

applications

免疫原

Recombinant Fragment Protein within Human IL10RA. The exact immunogen used to generate this antibody is proprietary information.

Q13651

Reactivity data

{ "title": "Reactivity Data", "filters": { "stats": ["", "Species", "Dilution Info", "Notes"], "tabs": { "all-applications": {"fullname" : "All Applications", "shortname": "All Applications"}, "WB" : {"fullname" : "Western blot", "shortname":"WB"}, "IHCP" : {"fullname" : "Immunohistochemistry (Formalin/PFA-fixed paraffin-embedded sections)", "shortname":"IHC-P"} }, "product-promise": { "all": "all", "testedAndGuaranteed": "tested", "guaranteed": "expected", "predicted": "predicted", "notRecommended": "not-recommended" } }, "values": { "Human": { "WB-species-checked": "guaranteed", "WB-species-dilution-info": "1/500 - 1/3000", "WB-species-notes": "<p></p>", "IHCP-species-checked": "testedAndGuaranteed", "IHCP-species-dilution-info": "1/100 - 1/1000", "IHCP-species-notes": "<p></p>" }, "Recombinant fragment": { "WB-species-checked": "testedAndGuaranteed", "WB-species-dilution-info": "1/500 - 1/3000", "WB-species-notes": "<p></p>", "IHCP-species-checked": "notRecommended", "IHCP-species-dilution-info": "", "IHCP-species-notes": "" } } }

出荷温度及び保存条件

製品の状態
Liquid
精製方法
Affinity purification Immunogen
バッファー組成
pH: 7 Preservative: 0.025% Proclin 300 Constituents: PBS, 20% Glycerol (glycerin, glycerine)
出荷温度
Blue Ice
短期保存期間
1-2 weeks
短期保存温度
+4°C
長期保存温度
-20°C
分注に関する情報
Upon delivery aliquot
保管に関する情報
Avoid freeze / thaw cycle

製品プロトコール

For this product, it's our understanding that no specific protocols are required. You can visit:

ターゲットの情報

Cell surface receptor for the cytokine IL10 that participates in IL10-mediated anti-inflammatory functions, limiting excessive tissue disruption caused by inflammation. Upon binding to IL10, induces a conformational change in IL10RB, allowing IL10RB to bind IL10 as well (PubMed : 16982608). In turn, the heterotetrameric assembly complex, composed of two subunits of IL10RA and IL10RB, activates the kinases JAK1 and TYK2 that are constitutively associated with IL10RA and IL10RB respectively (PubMed : 12133952). These kinases then phosphorylate specific tyrosine residues in the intracellular domain in IL10RA leading to the recruitment and subsequent phosphorylation of STAT3. Once phosphorylated, STAT3 homodimerizes, translocates to the nucleus and activates the expression of anti-inflammatory genes. In addition, IL10RA-mediated activation of STAT3 inhibits starvation-induced autophagy (PubMed : 26962683).
See full target information IL10RA

文献 (1)

Recent publications for all applications. Explore the full list and refine your search

Frontiers in pharmacology 13:887822 PubMed35586041

2022

LINC00586 Represses ASXL1 Expression Thus Inducing Epithelial-To-Mesenchymal Transition of Colorectal Cancer Cells Through LSD1-Mediated H3K4me2 Demethylation.

Applications

Unspecified application

Species

Unspecified reactive species

Fengting Liu,Xiaofang Ma,Xiyun Bian,Chunyan Zhang,Xiaozhi Liu,Qiang Liu
View all publications

Abcam product promise

当社は、高品質な試薬を通じてお客様の研究を力強くサポートすることをお約束いたします。ご使用いただく各段階で、常にお客様をサポートできる体制を整えております。万が一、製品が期待通りに機能しない場合は、「Abcam Product Promise」による当社保証制度に基づき、安心してご利用いただけます。
保証に関する詳細については利用規約をご確認ください。

Please note: All products are 'FOR RESEARCH USE ONLY. NOT FOR USE IN DIAGNOSTIC OR THERAPEUTIC PROCEDURES'.

For licensing inquiries, please contact partnerships@abcam.com