JavaScript is disabled in your browser. Please enable JavaScript to view this website.
AB2105

Anti-IL-1 beta 抗体

Anti-IL-1 beta antibody

4

(24 Reviews)

|

(247 Publications)

Anti-IL-1 beta antibody (ab2105) is a rabbit polyclonal antibody detecting IL-1 beta in Western Blot, Flow Cytometry, IP, IHC-P, IHC-Fr, ICC/IF, ELISA, Neut, FuncS. Suitable for Human.

- Over 190 publications
- Trusted since 2000

別名を表示する

IL1F2, IL1B, Interleukin-1 beta, IL-1 beta, Catabolin

2 Images
Immunohistochemistry (Formalin/PFA-fixed paraffin-embedded sections) - Anti-IL-1 beta antibody (AB2105)
  • IHC-P

Supplier Data

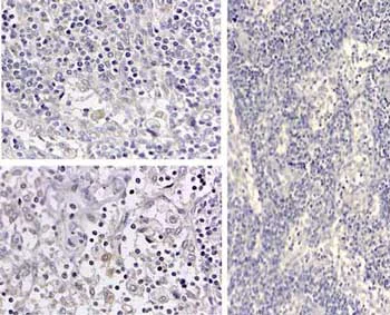
Immunohistochemistry (Formalin/PFA-fixed paraffin-embedded sections) - Anti-IL-1 beta antibody (AB2105)

Immunohistochemical analysis of Formalin-fixed paraffin-embedded human medullary lymph node sections labeling IL-1 beta with ab2105. Peroxidase goat anti-rabbit at 1/10,000 was used as the secondary antibody.

Immunohistochemistry (Formalin/PFA-fixed paraffin-embedded sections) - Anti-IL-1 beta antibody (AB2105)
  • IHC-P

AbReview6969****

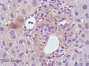
Immunohistochemistry (Formalin/PFA-fixed paraffin-embedded sections) - Anti-IL-1 beta antibody (AB2105)

ab2105 at 1/20 staining human liver tissue sections by IHC-P. The cells were paraformaldehyde fixed and a heat mediated antigen retrieval step was performed. The tissue was incubated with the tissue overnight at room temperature. A biotinylated donkey anti-rabbit IgG was used as the secondary antibody and this was detected using streptavidin HRP.

This image is courtesy of an Abreview submitted by Miss Silke Vorwald

Key facts

宿主種

Rabbit

クローン性

Polyclonal

アイソタイプ

IgG

キャリアフリー

No

交差種

Human

アプリケーション

IP, Neut, Flow Cyt, IHC-FoFr, RIA, ICC/IF, WB, IHC-Fr, ELISA, FuncS, IHC-P

applications

免疫原

Recombinant Full Length Protein corresponding to Human IL1B.

P01584

特異性

In general, this antibody also detects primate IL-1 beta in the same formats using similar dilutions. The antiserum does not recognize human IL-1 alpha.  In ELISA formats and other immunoreactive assays, this antibody will recognize 10% of the non-denatured (native) precursor 31,000 MW IL-1 beta containing samples but will primarily detect all of the 17,000 MW mature molecule. However, in immunoblot analysis of natural cell products or human body fluids, the usual procedure of hearing the sample in SDS with or without reducing agents will facilitate denaturing of the 31,000 MW IL- 1 beta precursor molecule. Denatured 31,000 precursor IL-1 beta will be recognized by this antibody but often migrates as a 35,000 MW band. This is due to the unfolding of the denatured precursor IL-1 beta exposing epitopes not exposed in the natural state. In immunoblots, depending on the number of cells, the antibody detects the 17,000 MW band in supernatants as well as a 35,000 MW band representing the 31,000 MW IL-1 beta precursor in lysates.

Reactivity data

{ "title": "Reactivity Data", "filters": { "stats": ["", "Species", "Dilution Info", "Notes"], "tabs": { "all-applications": {"fullname" : "All Applications", "shortname": "All Applications"}, "IP" : {"fullname" : "Immunoprecipitation", "shortname":"IP"}, "FlowCyt" : {"fullname" : "Flow Cytometry", "shortname":"Flow Cyt"}, "ELISA" : {"fullname" : "ELISA", "shortname":"ELISA"}, "WB" : {"fullname" : "Western blot", "shortname":"WB"}, "IHCFoFr" : {"fullname" : "Immunohistochemistry (PFA perfusion fixed frozen sections)", "shortname":"IHC-FoFr"}, "IHCP" : {"fullname" : "Immunohistochemistry (Formalin/PFA-fixed paraffin-embedded sections)", "shortname":"IHC-P"}, "RIA" : {"fullname" : "Radioimmunoassay", "shortname":"RIA"}, "FuncS" : {"fullname" : "Functional Studies", "shortname":"FuncS"}, "Neut" : {"fullname" : "Neutralising", "shortname":"Neut"}, "ICCIF" : {"fullname" : "Immunocytochemistry/ Immunofluorescence", "shortname":"ICC/IF"}, "IHCFr" : {"fullname" : "Immunohistochemistry (Frozen sections)", "shortname":"IHC-Fr"} }, "product-promise": { "all": "all", "testedAndGuaranteed": "tested", "guaranteed": "expected", "predicted": "predicted", "notRecommended": "not-recommended" } }, "values": { "Human": { "IP-species-checked": "guaranteed", "IP-species-dilution-info": "", "IP-species-notes": "<p>1/400 - 1/800 (pre-clearing with a non-specific rabbit IgG is helpful to reduce background).</p>", "FlowCyt-species-checked": "guaranteed", "FlowCyt-species-dilution-info": "", "FlowCyt-species-notes": "<p>F(c) domain of rabbit IgG may interact with cells non-specifically! <a href='/products/primary-antibodies/rabbit-igg-polyclonal-isotype-control-chip-grade-ab171870'>ab171870</a> - Rabbit polyclonal IgG, is suitable for use as an isotype control with this antibody.</p>", "ELISA-species-checked": "guaranteed", "ELISA-species-dilution-info": "", "ELISA-species-notes": "<p></p>", "WB-species-checked": "guaranteed", "WB-species-dilution-info": "", "WB-species-notes": "<p>1/1000 - 1/2000 (antigen - supernatants or lysates of 2 x 106 endotoxin-stimulated human PBMC. Denatured 31kDa precursor IL-1beta will be recognized, but often migrates as a 35 kDa band).</p>", "IHCFoFr-species-checked": "guaranteed", "IHCFoFr-species-dilution-info": "", "IHCFoFr-species-notes": "<p></p>", "IHCP-species-checked": "testedAndGuaranteed", "IHCP-species-dilution-info": "", "IHCP-species-notes": "<p></p>", "RIA-species-checked": "guaranteed", "RIA-species-dilution-info": "", "RIA-species-notes": "<p></p>", "FuncS-species-checked": "guaranteed", "FuncS-species-dilution-info": "", "FuncS-species-notes": "<p></p>", "Neut-species-checked": "guaranteed", "Neut-species-dilution-info": "", "Neut-species-notes": "<p>Neutralization of IL-1beta activity in bioassays 1/100 ( &gt;4 hours incubation, normal rabbit IgG as negative control). ab2105 does not neutralize the biological activity of murine, rat or rabbit IL1 beta.</p>", "ICCIF-species-checked": "guaranteed", "ICCIF-species-dilution-info": "", "ICCIF-species-notes": "<p></p>", "IHCFr-species-checked": "guaranteed", "IHCFr-species-dilution-info": "", "IHCFr-species-notes": "<p></p>" }, "Primates": { "IP-species-checked": "predicted", "IP-species-dilution-info": "", "IP-species-notes": "", "FlowCyt-species-checked": "predicted", "FlowCyt-species-dilution-info": "", "FlowCyt-species-notes": "", "ELISA-species-checked": "predicted", "ELISA-species-dilution-info": "", "ELISA-species-notes": "", "WB-species-checked": "predicted", "WB-species-dilution-info": "", "WB-species-notes": "", "IHCFoFr-species-checked": "predicted", "IHCFoFr-species-dilution-info": "", "IHCFoFr-species-notes": "", "IHCP-species-checked": "predicted", "IHCP-species-dilution-info": "", "IHCP-species-notes": "", "RIA-species-checked": "predicted", "RIA-species-dilution-info": "", "RIA-species-notes": "", "FuncS-species-checked": "predicted", "FuncS-species-dilution-info": "", "FuncS-species-notes": "", "Neut-species-checked": "predicted", "Neut-species-dilution-info": "", "Neut-species-notes": "", "ICCIF-species-checked": "predicted", "ICCIF-species-dilution-info": "", "ICCIF-species-notes": "", "IHCFr-species-checked": "predicted", "IHCFr-species-dilution-info": "", "IHCFr-species-notes": "" } } }

製品の詳細

What is this antibody validated in?
Anti-IL-1 beta antibody (ab2105) is a rabbit polyclonal antibody and is validated for use in Western Blot (WB), Flow Cytometry (Flow Cyt), Immunoprecipitation (IP), Immunohistochemistry (IHC-P), Immunohistochemistry (IHC-Fr), Immunocytochemistry/immunofluorescence (ICC/IF), ELISA, Neutralising, Functional Studies in Human samples.

What is the molecular weight of IL-1 beta?
Anti-IL-1 beta (ab2105) specifically detects a band for IL-1 beta (UniProt: P01584) at a molecular weight of 30kDa.

Trusted by the scientific community
Anti-IL-1 beta (ab2105) was first used in a scientific publication in 2000 and has been cited over 190 times in peer-reviewed journals.

Reviewed by scientists
Anti-IL-1 beta (ab2105) has over 20 independent reviews from customers.

出荷温度及び保存条件

製品の状態
Liquid
精製度
IgG fraction
精製方法
Ion exchange chromatography DEAE-C
精製に関する特記事項
This is an IgG preparation of whole rabbit serum purified by DEAE fractionation.
バッファー組成
pH: 7.2 Constituents: 0.88% Sodium chloride, 0.424% Potassium phosphate solution
出荷温度
Blue Ice
短期保存温度
+4°C
長期保存温度
-20°C
分注に関する情報
Upon delivery aliquot
保管に関する情報
Avoid freeze / thaw cycle

製品プロトコール

For this product, it's our understanding that no specific protocols are required. You can visit:

ターゲットの情報

Potent pro-inflammatory cytokine (PubMed : 10653850, PubMed : 12794819, PubMed : 28331908, PubMed : 3920526). Initially discovered as the major endogenous pyrogen, induces prostaglandin synthesis, neutrophil influx and activation, T-cell activation and cytokine production, B-cell activation and antibody production, and fibroblast proliferation and collagen production (PubMed : 3920526). Promotes Th17 differentiation of T-cells. Synergizes with IL12/interleukin-12 to induce IFNG synthesis from T-helper 1 (Th1) cells (PubMed : 10653850). Plays a role in angiogenesis by inducing VEGF production synergistically with TNF and IL6 (PubMed : 12794819). Involved in transduction of inflammation downstream of pyroptosis : its mature form is specifically released in the extracellular milieu by passing through the gasdermin-D (GSDMD) pore (PubMed : 33377178, PubMed : 33883744). Acts as a sensor of S.pyogenes infection in skin : cleaved and activated by pyogenes SpeB protease, leading to an inflammatory response that prevents bacterial growth during invasive skin infection (PubMed : 28331908).
See full target information IL1B

文献 (247)

Recent publications for all applications. Explore the full list and refine your search

Parasite immunology 47:e70026 PubMed40947759

2025

In Situ Evaluation of Macrophage Populations and Inflammasome Components in Cutaneous and Mucocutaneous Leishmaniasis.

Applications

Unspecified application

Species

Unspecified reactive species

Caroline de Heleno Chagas de Carvalho,Gabriela Venicia Araujo Flores,Carmen Maria Sandoval Pacheco,Vania Lucia da Ribeiro da Matta,Carolina de Esteves de Morais,Ricardo Romiti,Walter Belda Júnior,Márcia Dalastra Laurenti

Materials today. Bio 34:102234 PubMed40893347

2025

Cationic microbubble loading hSIRT3 and hTIMP3 optimize cardiac-targeted delivery and myocardial protection in the porcine MI/R model.

Applications

Unspecified application

Species

Unspecified reactive species

Peian Cai,Kegong Chen,Xionghai Qin,Xingpei Jiang,Xuan Jiao,Kexun Liu,Erliang Guo,Zipeng Li,Xianxin Qiu,Chang Liu,Lu Sun,Junbo Chuai,Jie Wu,Wei Chen,Hai Tian

Microorganisms 13: PubMed40431153

2025

Transcriptomic and Immunopathological Profiles of Inflammasomes in Different Clinical Forms of American Cutaneous Leishmaniasis.

Applications

Unspecified application

Species

Unspecified reactive species

Larissa Dos Santos Alcântara,Marliane Batista Campos,Ana Carolina Stocco Lima,Alessandra Pontillo,Kamilla Batista da Silva Souza,Aurea Favero Ferreira,Cristina Pires Camargo,Sueli Mieko Oba-Shinjo,Márcia Dalastra Laurenti,Carlos Eduardo Pereira Corbett,Vania L R da Matta,Helder Nakaya,Fernando T Silveira,Claudia Maria de Castro Gomes

Children (Basel, Switzerland) 12: PubMed40003307

2025

Immunomodulatory Tissue Factors in the Gallbladder Walls of Pediatric Patients with Chronic Calculous Cholecystitis.

Applications

Unspecified application

Species

Unspecified reactive species

Kaiva Zīle Zariņa,Māra Pilmane,Aigars Pētersons

American journal of physiology. Heart and circulatory physiology 328:H711-H718 PubMed39982452

2025

Inhibition of kinin B1 receptor alleviates SARS-CoV-2-induced long-lasting cardiovascular complications.

Applications

Unspecified application

Species

Unspecified reactive species

Drew Theobald,Lisandra E de Castro Braz,Shaw M Akula,Jeffrey B Eells,Srinivas Sriramula

Molecular therapy. Nucleic acids 36:102451 PubMed39974290

2025

Decoding CKD-induced muscle atrophy through the critical role of lncRNA GAS5 and pyroptosis.

Applications

Unspecified application

Species

Unspecified reactive species

Rong Huang,Xinying Tang,Shuang Liu,Lijing Sun

BMC veterinary research 21:66 PubMed39953596

2025

Escherichia coli HPI-induced duodenitis through ubiquitin regulation of the TLR4/NF-κB pathway.

Applications

Unspecified application

Species

Unspecified reactive species

Jingang Zhao,Wei Yang,Bin Gao,Hao Wang,Liping Chen,Chunlan Shan,Bo Zhang,Jinlong Cha,Jue Shen,Jinlong Xiao,Shuai Wang,Gen Liu,Ru Zhao,Aiguo Xin,Peng Xiao,Hong Gao

FASEB journal : official publication of the Federation of American Societies for Experimental Biology 38:e70143 PubMed39708233

2024

Melatonin mitigates intervertebral disc degeneration by suppressing NLRP3 inflammasome activation via the EGR1/DDX3X pathway.

Applications

Unspecified application

Species

Unspecified reactive species

Kangcheng Zhao,Yukun Zhang,Zhiwei Liao,Weifeng Zhang,Gaocai Li,Pengzhi Shi,Zhangrong Cheng,Yuhang Chen,Shuai Li,Kun Wang,Yu Song,Xiaobo Feng,Ran An,Cao Yang

Nature communications 15:10444 PubMed39617755

2024

Ultrasound Control of Genomic Regulatory Toolboxes for Cancer Immunotherapy.

Applications

Unspecified application

Species

Unspecified reactive species

Yiqian Wu,Ziliang Huang,Yahan Liu,Peixiang He,Yuxuan Wang,Liyanran Yan,Xinhui Wang,Shanzi Gao,Xintao Zhou,Chi Woo Yoon,Kun Sun,Yinglin Situ,Phuong Ho,Yushun Zeng,Zhou Yuan,Linshan Zhu,Qifa Zhou,Yunde Zhao,Thomas Liu,Gabriel A Kwong,Shu Chien,Longwei Liu,Yingxiao Wang

Cell communication and signaling : CCS 22:556 PubMed39568027

2024

Neutrophil extracellular traps facilitate liver inflammation/fibrosis progression by entering macrophages and triggering AIM2 inflammasome-dependent pyroptosis.

Applications

Unspecified application

Species

Unspecified reactive species

Yu Zhang,Rong Wu,Xi Zhan,Xuan-Yi Wang,Lin-Wei Xiang,Ya-Qian Duan,Yan You,Jian-Bo Zhang,Rui Wu,Yun-Yuan Zhang,Liang Duan
View all publications

Abcam product promise

当社は、高品質な試薬を通じてお客様の研究を力強くサポートすることをお約束いたします。ご使用いただく各段階で、常にお客様をサポートできる体制を整えております。万が一、製品が期待通りに機能しない場合は、「Abcam Product Promise」による当社保証制度に基づき、安心してご利用いただけます。
保証に関する詳細については利用規約をご確認ください。

Please note: All products are 'FOR RESEARCH USE ONLY. NOT FOR USE IN DIAGNOSTIC OR THERAPEUTIC PROCEDURES'.

For licensing inquiries, please contact partnerships@abcam.com