JavaScript is disabled in your browser. Please enable JavaScript to view this website.
AB317490

Anti-IGF2 抗体 [EPR25955-88]

Anti-IGF2 antibody [EPR25955-88]

Be the first to review this product! Submit a review

|

(0 Publication)

Rabbit Recombinant Monoclonal IGF2 antibody. Suitable for WB, IP and reacts with Recombinant fragment - Human, Mouse samples.

別名を表示する

Igf-2, Igf2, Insulin-like growth factor 2, Insulin-like growth factor II, Multiplication-stimulating polypeptide, IGF-II

3 Images
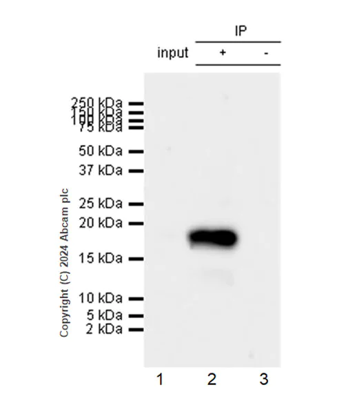
Immunoprecipitation - Anti-IGF2 antibody [EPR25955-88] (AB317490)
  • IP

Supplier Data

Immunoprecipitation - Anti-IGF2 antibody [EPR25955-88] (AB317490)

IGF2 was immunoprecipitated from 0.35 mg Mouse placenta tissue lysate with ab317490 at 1/30 dilution (2ug in 0.35mg lysates). Western blot was performed on the immunoprecipitate using ab317490 at 1/1000 dilution. VeriBlot for IP secondary antibody(HRP)(ab131366) was used at 1/5000 dilution.

Lane 1 : Mouse placenta tissue lysate
Lane 2 : ab317490 IP in Mouse placenta tissue lysate
Lane 3 : Rabbit monoclonal IgG (ab172730) instead of ab317490 in mouse placenta tissue lysate

All lanes:

Immunoprecipitation - Anti-IGF2 antibody [EPR25955-88] (ab317490) at 1/30 dilution

All lanes:

Mouse placenta tissue lysate

Secondary

All lanes:

Immunoprecipitation - VeriBlot for IP Detection Reagent (HRP) (<a href='/products/reagents/veriblot-for-ip-detection-reagent-hrp-ab131366'>ab131366</a>) at 1/5000 dilution

false

Exposure time: 24s

Western blot - Anti-IGF2 antibody [EPR25955-88] (AB317490)
  • WB

Supplier Data

Western blot - Anti-IGF2 antibody [EPR25955-88] (AB317490)

Low expression : pancreas, kidney, liver.

The identity of the bands higher than 25 kDa are unknown.

In Western blot, Anti-GAPDH antibody [EPR16891] - Loading Control (ab181602) staining at 1/200000 dilution.

All lanes:

Western blot - Anti-IGF2 antibody [EPR25955-88] (ab317490) at 1/1000 dilution

Lane 1:

Mouse placenta tissue lysate at 30 µg

Lane 2:

Mouse pancreas tissue lysate at 20 µg

Lane 3:

Mouse kidney tissue lysate at 20 µg

Lane 4:

Mouse liver tissue lysate at 20 µg

Secondary

All lanes:

Western blot - Goat Anti-Rabbit IgG H&L (HRP) (<a href='/products/secondary-antibodies/goat-rabbit-igg-h-l-hrp-ab97051'>ab97051</a>) at 1/20000 dilution

Observed band size: 18 kDa,36 kDa

false

Exposure time: 180s

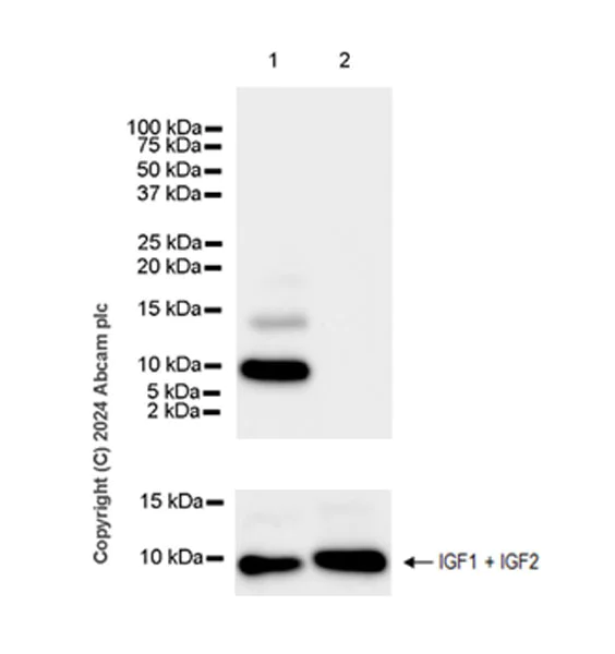
Western blot - Anti-IGF2 antibody [EPR25955-88] (AB317490)
  • WB

Supplier Data

Western blot - Anti-IGF2 antibody [EPR25955-88] (AB317490)

This antibody does not cross-react with mouse IGF1.

In Western blot, Anti-IGF1 + IGF2 antibody - staining at 1/500 dilution.

All lanes:

Western blot - Anti-IGF2 antibody [EPR25955-88] (ab317490) at 1/1000 dilution

Lane 1:

Mouse IGF2 active protein at 10 ng

Lane 2:

Mouse IGF1 active protein at 10 ng

Secondary

All lanes:

Western blot - Goat Anti-Rabbit IgG H&L (HRP) (<a href='/products/secondary-antibodies/goat-rabbit-igg-h-l-hrp-ab97051'>ab97051</a>) at 1/20000 dilution

Observed band size: 8 kDa

false

Exposure time: 15s

関連する標識済み抗体及び組成の異なる製品 (1)

  • Carrier free

    Anti-IGF2 antibody [EPR25955-88] - BSA and Azide free

Key facts

宿主種

Rabbit

クローン性

Monoclonal

クローン番号

EPR25955-88

アイソタイプ

IgG

キャリアフリー

No

交差種

Mouse

アプリケーション

IP, WB

applications

免疫原

The exact immunogen used to generate this antibody is proprietary information.

Reactivity data

{ "title": "Reactivity Data", "filters": { "stats": ["", "Species", "Dilution Info", "Notes"], "tabs": { "all-applications": {"fullname" : "All Applications", "shortname": "All Applications"}, "WB" : {"fullname" : "Western blot", "shortname":"WB"}, "IP" : {"fullname" : "Immunoprecipitation", "shortname":"IP"}, "FlowCytIntra" : {"fullname" : "Flow Cytometry (Intracellular)", "shortname":"Flow Cyt (Intra)"}, "ICCIF" : {"fullname" : "Immunocytochemistry/ Immunofluorescence", "shortname":"ICC/IF"}, "IHCP" : {"fullname" : "Immunohistochemistry (Formalin/PFA-fixed paraffin-embedded sections)", "shortname":"IHC-P"} }, "product-promise": { "all": "all", "testedAndGuaranteed": "tested", "guaranteed": "expected", "predicted": "predicted", "notRecommended": "not-recommended" } }, "values": { "Human": { "WB-species-checked": "notRecommended", "WB-species-dilution-info": "", "WB-species-notes": "<p></p>", "IP-species-checked": "notRecommended", "IP-species-dilution-info": "", "IP-species-notes": "", "FlowCytIntra-species-checked": "notRecommended", "FlowCytIntra-species-dilution-info": "", "FlowCytIntra-species-notes": "", "ICCIF-species-checked": "notRecommended", "ICCIF-species-dilution-info": "", "ICCIF-species-notes": "", "IHCP-species-checked": "notRecommended", "IHCP-species-dilution-info": "", "IHCP-species-notes": "<p></p>" }, "Mouse": { "WB-species-checked": "testedAndGuaranteed", "WB-species-dilution-info": "1/1000", "WB-species-notes": "<p></p>", "IP-species-checked": "testedAndGuaranteed", "IP-species-dilution-info": "1/30", "IP-species-notes": "<p></p>", "FlowCytIntra-species-checked": "notRecommended", "FlowCytIntra-species-dilution-info": "", "FlowCytIntra-species-notes": "<p></p>", "ICCIF-species-checked": "notRecommended", "ICCIF-species-dilution-info": "", "ICCIF-species-notes": "<p></p>", "IHCP-species-checked": "notRecommended", "IHCP-species-dilution-info": "", "IHCP-species-notes": "<p></p>" }, "Rat": { "WB-species-checked": "notRecommended", "WB-species-dilution-info": "", "WB-species-notes": "<p></p>", "IP-species-checked": "notRecommended", "IP-species-dilution-info": "", "IP-species-notes": "", "FlowCytIntra-species-checked": "notRecommended", "FlowCytIntra-species-dilution-info": "", "FlowCytIntra-species-notes": "", "ICCIF-species-checked": "notRecommended", "ICCIF-species-dilution-info": "", "ICCIF-species-notes": "", "IHCP-species-checked": "notRecommended", "IHCP-species-dilution-info": "", "IHCP-species-notes": "<p></p>" }, "Recombinant fragment - Human": { "WB-species-checked": "testedAndGuaranteed", "WB-species-dilution-info": "1/1000", "WB-species-notes": "<p></p>", "IP-species-checked": "notRecommended", "IP-species-dilution-info": "", "IP-species-notes": "", "FlowCytIntra-species-checked": "notRecommended", "FlowCytIntra-species-dilution-info": "", "FlowCytIntra-species-notes": "", "ICCIF-species-checked": "notRecommended", "ICCIF-species-dilution-info": "", "ICCIF-species-notes": "", "IHCP-species-checked": "notRecommended", "IHCP-species-dilution-info": "", "IHCP-species-notes": "" } } }

製品の詳細

Patented technology
Our RabMAb® technology is a patented hybridoma-based technology for making rabbit monoclonal antibodies. For details on our patents, please refer to RabMAb® patents.

What are the advantages of a recombinant monoclonal antibody?
This product is a recombinant monoclonal antibody, which offers several advantages including:

  • - High batch-to-batch consistency and reproducibility
  • - Improved sensitivity and specificity
  • - Long-term security of supply
  • - Animal-free batch production

For more information, read more on recombinant antibodies.

出荷温度及び保存条件

製品の状態
Liquid
精製方法
Affinity purification Protein A
バッファー組成
pH: 7.2 - 7.4 Preservative: 0.01% Sodium azide Constituents: PBS, 40% Glycerol (glycerin, glycerine), 0.05% BSA
出荷温度
Blue Ice
短期保存期間
1-2 weeks
短期保存温度
+4°C
長期保存温度
-20°C
分注に関する情報
Upon delivery aliquot
保管に関する情報
Avoid freeze / thaw cycle

製品プロトコール

For this product, it's our understanding that no specific protocols are required. You can visit:

ターゲットの情報

The insulin-like growth factors possess growth-promoting activity (PubMed : 29440408). Major fetal growth hormone in mammals. Plays a key role in regulating fetoplacental development (Probable) (PubMed : 12087403, PubMed : 2330056). IGF2 is influenced by placental lactogen (Probable). Also involved in tissue differentiation (Probable). In adults, involved in glucose metabolism in adipose tissue, skeletal muscle and liver (Probable). Acts as a ligand for integrin which is required for IGF2 signaling (By similarity). Positively regulates myogenic transcription factor MYOD1 function by facilitating the recruitment of transcriptional coactivators, thereby controlling muscle terminal differentiation (PubMed : 16901893). Inhibits myoblast differentiation and modulates metabolism via increasing the mitochondrial respiration rate (PubMed : 32557799).. Preptin undergoes glucose-mediated co-secretion with insulin, and acts as a physiological amplifier of glucose-mediated insulin secretion. Exhibits osteogenic properties by increasing osteoblast mitogenic activity through phosphoactivation of MAPK1 and MAPK3.
See full target information Igf2

Abcam product promise

当社は、高品質な試薬を通じてお客様の研究を力強くサポートすることをお約束いたします。ご使用いただく各段階で、常にお客様をサポートできる体制を整えております。万が一、製品が期待通りに機能しない場合は、「Abcam Product Promise」による当社保証制度に基づき、安心してご利用いただけます。
保証に関する詳細については利用規約をご確認ください。

Please note: All products are 'FOR RESEARCH USE ONLY. NOT FOR USE IN DIAGNOSTIC OR THERAPEUTIC PROCEDURES'.

For licensing inquiries, please contact partnerships@abcam.com