JavaScript is disabled in your browser. Please enable JavaScript to view this website.
AB230796

Anti-IDH2 抗体 [EPR7577] - BSA and Azide free

Anti-IDH2 antibody [EPR7577] - BSA and Azide free

4

(1 Review)

|

(3 Publications)

Rabbit Recombinant Monoclonal IDH2 antibody. Carrier free. Suitable for IHC-P, ICC/IF, WB, Flow Cyt (Intra) and reacts with Mouse, Rat, Human samples. Cited in 3 publications.

別名を表示する

IDH, ICD-M, IDP, NADP(+)-specific ICDH, Oxalosuccinate decarboxylase, IDH2

11 Images
Immunocytochemistry/ Immunofluorescence - Anti-IDH2 antibody [EPR7577] - BSA and Azide free (AB230796)
  • ICC/IF

Lab

Immunocytochemistry/ Immunofluorescence - Anti-IDH2 antibody [EPR7577] - BSA and Azide free (AB230796)

This data was developed using ab230796, the same antibody clone in a different buffer formulation.
Immunocytochemistry analysis of HeLa (Human cervix adenocarcinoma epithelial cell) cells labeling IDH2 with Purified ab230796 at 1 : 1000 dilution (0.2 μg/ml). Cells were fixed in 4% Paraformaldehyde and permeabilized with 0.1% tritonX-100. Cells were counterstained with ab195889 Anti-alpha Tubulin antibody [DM1A] - Microtubule Marker (Alexa Fluor® 594) 1 : 200 (2.5 μg/ml). Goat anti rabbit IgG (Alexa Fluor® 488, ab150077) was used as the secondary antibody at 1 : 1000 (2 μg/ml) dilution. DAPI (blue) was used as nuclear counterstain. PBS instead of the primary antibody was used as the secondary antibody only control.

Flow Cytometry (Intracellular) - Anti-IDH2 antibody [EPR7577] - BSA and Azide free (AB230796)
  • Flow Cyt (Intra)

Lab

Flow Cytometry (Intracellular) - Anti-IDH2 antibody [EPR7577] - BSA and Azide free (AB230796)

This data was developed using ab230796, the same antibody clone in a different buffer formulation.
Flow Cytometry analysis of MCF7 (Human breast adenocarcinoma epithelial cell) cells labelling IDH2 with Purified ab230796 at 1 : 20 dilution (10 μg/ml) (Red). Cells were fixed with 4% Paraformaldehyde and permeabilised with 90% Methanol. A Goat anti rabbit IgG (Alexa Fluor® 488, ab150081) secondary antibody was used at 1 : 2000. Isotype control - Rabbit monoclonal IgG (Black). Unlabelled control - Cell without incubation with primary antibody and secondary antibody (Blue).

Immunohistochemistry (Formalin/PFA-fixed paraffin-embedded sections) - Anti-IDH2 antibody [EPR7577] - BSA and Azide free (AB230796)
  • IHC-P

Lab

Immunohistochemistry (Formalin/PFA-fixed paraffin-embedded sections) - Anti-IDH2 antibody [EPR7577] - BSA and Azide free (AB230796)

This data was developed using ab131263, the same antibody clone in a different buffer formulation.
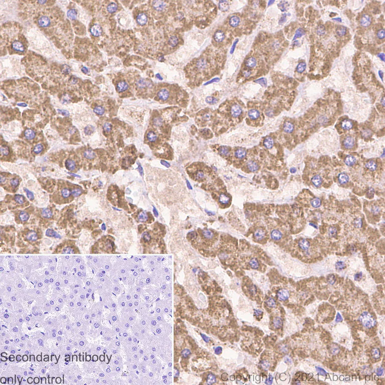
Immunohistochemistry (Formalin/PFA-fixed paraffin-embedded sections) analysis of human liver tissue sections labeling IDH2 with Purified ab131263 at 1 : 100 (2.11 μg/ml). Heat mediated antigen retrieval was performed using Heat mediated antigen retrieval using Bond™ Epitope Retrieval Solution 2 (pH 9.0) . Tissue was counterstained with Hematoxylin. Rabbit specific IHC polymer detection kit HRP/DAB (ab209101) secondary antibody was used. PBS instead of the primary antibody was used as the negative control.

Flow Cytometry (Intracellular) - Anti-IDH2 antibody [EPR7577] - BSA and Azide free (AB230796)
  • Flow Cyt (Intra)

Lab

Flow Cytometry (Intracellular) - Anti-IDH2 antibody [EPR7577] - BSA and Azide free (AB230796)

This data was developed using ab131263, the same antibody clone in a different buffer formulation.

Flow cytometry overlay histogram showing wild-type Jurkat (green line) and IDH2 knockout Jurkat stained with ab131263 (magenta line). The cells were fixed with 80% methanol (5 min) and then permeabilised with 0.1% PBS-Triton X-100 for 15 min. The cells were then incubated in 1x PBS containing 10% normal goat serum to block non-specific protein-protein interaction followed by the antibody (ab131263) (1x 106 in 100μl at 0.008 μg/ml (1/27625)) for 30min at 22°C.

The secondary antibody Goat Anti-Rabbit IgG H&L (Alexa Fluor® 488) preadsorbed was incubated at 1/4000 for 30min at 22°C.

Isotype control antibody was Recombinant Rabbit IgG, monoclonal [EPR25A] - Isotype Control in Jurkat WT cells (black line) and Jurkat-IDH2 KO cells (grey line), used at the same concentration and conditions as the primary antibody.

Acquisition of >5000 events were collected using a 50 mW Blue laser (488nm) and 530/30 bandpass filter.

Immunocytochemistry/ Immunofluorescence - Anti-IDH2 antibody [EPR7577] - BSA and Azide free (AB230796)
  • ICC/IF

Supplier Data

Immunocytochemistry/ Immunofluorescence - Anti-IDH2 antibody [EPR7577] - BSA and Azide free (AB230796)

Immunofluorescent analysis of 4% Paraformaldehyde-fixed, 0.1% Triton X-100 permeabilized Jurkat IDH2 knockout cells labeling IDH2 with ab131263 at 1 μg/ml. Cells were counterstained with ab7291 Anti-alpha Tubulin antibody [DM1A] at 1 : 1000 (1 μg/ml). Goat anti rabbit IgG (Alexa Fluor® 488 ab150081, green) and goat anti mouse IgG (Alexa Fluor® 594 ab150120, magenta) were used as the secondary antibodies at 1 : 1000 (2 μg/ml) dilution. The nuclear counterstain was DAPI (Blue).

Immunohistochemistry (Formalin/PFA-fixed paraffin-embedded sections) - Anti-IDH2 antibody [EPR7577] - BSA and Azide free (AB230796)
  • IHC-P

Lab

Immunohistochemistry (Formalin/PFA-fixed paraffin-embedded sections) - Anti-IDH2 antibody [EPR7577] - BSA and Azide free (AB230796)

This data was developed using ab131263, the same antibody clone in a different buffer formulation.
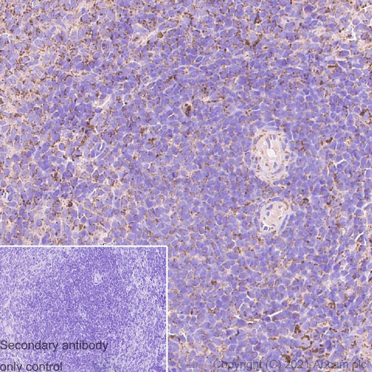
Immunohistochemistry (Formalin/PFA-fixed paraffin-embedded sections) analysis of mouse spleen tissue sections labeling IDH2 with Purified ab131263 at 1 : 100 (2.11 μg/ml). Heat mediated antigen retrieval was performed using Heat mediated antigen retrieval using Bond™ Epitope Retrieval Solution 2 (pH 9.0) . Tissue was counterstained with Hematoxylin. Rabbit specific IHC polymer detection kit HRP/DAB (ab209101) secondary antibody was used. PBS instead of the primary antibody was used as the negative control.

Immunohistochemistry (Formalin/PFA-fixed paraffin-embedded sections) - Anti-IDH2 antibody [EPR7577] - BSA and Azide free (AB230796)
  • IHC-P

Lab

Immunohistochemistry (Formalin/PFA-fixed paraffin-embedded sections) - Anti-IDH2 antibody [EPR7577] - BSA and Azide free (AB230796)

This data was developed using ab131263, the same antibody clone in a different buffer formulation.
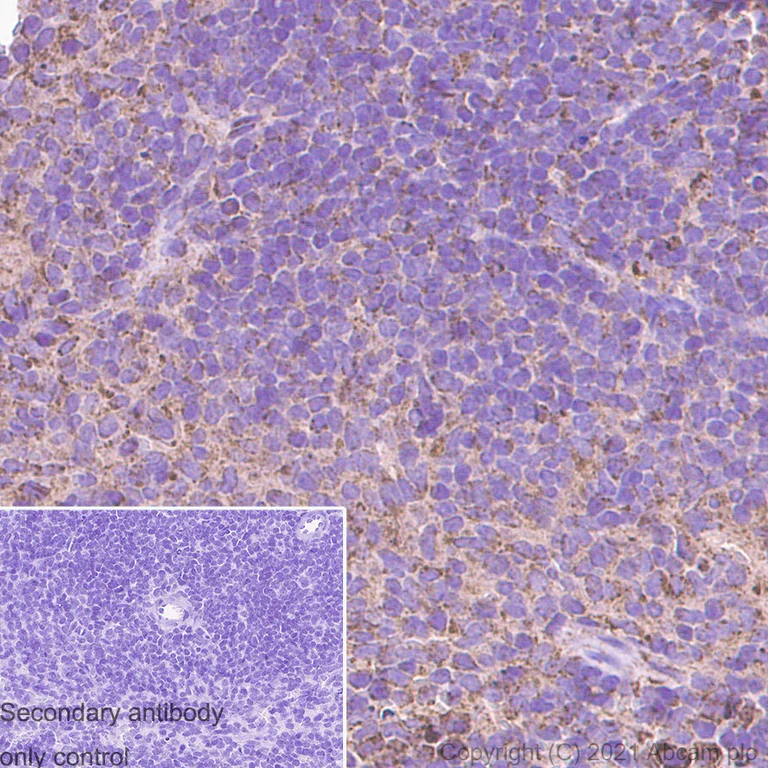
Immunohistochemistry (Formalin/PFA-fixed paraffin-embedded sections) analysis of rat spleen tissue sections labeling IDH2 with Purified ab131263 at 1 : 100 (2.11 μg/ml). Heat mediated antigen retrieval was performed using Heat mediated antigen retrieval using Bond™ Epitope Retrieval Solution 2 (pH 9.0) . Tissue was counterstained with Hematoxylin. Rabbit specific IHC polymer detection kit HRP/DAB (ab209101) secondary antibody was used. PBS instead of the primary antibody was used as the negative control.

Western blot - Anti-IDH2 antibody [EPR7577] - BSA and Azide free (AB230796)
  • WB

Lab

Western blot - Anti-IDH2 antibody [EPR7577] - BSA and Azide free (AB230796)

This data was developed using the same antibody clone in a different buffer formulation (ab131263).

Western blot : Anti-IDH2 antibody [EPR7577] (ab131263) staining at 1/1000 dilution, shown in green; Mouse anti-GAPDH antibody [6C5] (ab8245) loading control staining at 1/20000 dilution, shown in magenta. In Western blot, ab131263 was shown to bind specifically to IDH2. A band was observed at 51 kDa in wild-type A549 cell lysates with no signal observed at this size in IDH2 knockout cell line. To generate this image, wild-type and IDH2 knockout A549 cell lysates were analysed. First, samples were run on an SDS-PAGE gel then transferred onto a nitrocellulose membrane. Membranes were blocked in 3 % milk in TBS-0.1 % Tween® 20 (TBS-T) before incubation with primary antibodies overnight at 4 °C. Blots were washed four times in TBS-T, incubated with secondary antibodies for 1 h at room temperature, washed again four times then imaged. Secondary antibodies used were Goat anti-Rabbit IgG H&L 800CW and Goat anti-Mouse IgG H&L 680RD at 1/20000 dilution.

All lanes:

Western blot - Anti-IDH2 antibody [EPR7577] (<a href='/products/primary-antibodies/idh2-antibody-epr7577-ab131263'>ab131263</a>) at 1/1000 dilution

Lane 1:

Wild-type A549 cell lysate at 20 µg

Lane 2:

IDH2 knockout A549 cell lysate at 20 µg

Lane 3:

Wild-type Jurkat cell lysate at 20 µg

Lane 4:

IDH2 knockout Jurkat <a href='/products/cell-lines/human-idh2-knockout-jurkat-cell-line-ab282331'>ab282331</a> cell lysate at 20 µg

Secondary

All lanes:

Goat anti-Rabbit IgG H&L 800CW and Goat anti-Mouse IgG H&L 680RD at 1/20000 dilution

Observed band size: 51 kDa

false

Western blot - Anti-IDH2 antibody [EPR7577] - BSA and Azide free (AB230796)
  • WB

Lab

Western blot - Anti-IDH2 antibody [EPR7577] - BSA and Azide free (AB230796)

False colour image of Western blot : Anti-IDH2 antibody [EPR7577] staining at 1/1000 dilution, shown in green; Mouse anti-GAPDH antibody [6C5] (ab8245) loading control staining at 1/20000 dilution, shown in red. In Western blot, ab131263 was shown to bind specifically to IDH2. A band was observed at 48 kDa in wild-type Jurkat cell lysates with no signal observed at this size in IDH2 knockout cell line ab282331 (knockout cell lysate ab283148). To generate this image, wild-type and IDH2 knockout Jurkat cell lysates were analysed. First, samples were run on an SDS-PAGE gel then transferred onto a nitrocellulose membrane. Membranes were blocked in 3 % milk in TBS-0.1 % Tween® 20 (TBS-T) before incubation with primary antibodies overnight at 4 °C. Blots were washed four times in TBS-T, incubated with secondary antibodies for 1 h at room temperature, washed again four times then imaged. Secondary antibodies used were Goat anti-Rabbit IgG H&L (IRDye® 800CW) preabsorbed (ab216773) and Goat anti-Mouse IgG H&L (IRDye® 680RD) preabsorbed (ab216776) at 1/20000 dilution.

All lanes:

Western blot - Anti-IDH2 antibody [EPR7577] (<a href='/products/primary-antibodies/idh2-antibody-epr7577-ab131263'>ab131263</a>) at 1/1000 dilution

Lane 1:

Wild-type Jurkat cell lysate at 20 µg

Lane 2:

IDH2 knockout Jurkat cell lysate at 20 µg

Lane 2:

Western blot - Human IDH2 knockout Jurkat cell line (<a href='/products/cell-lines/human-idh2-knockout-jurkat-cell-line-ab282331'>ab282331</a>)

Predicted band size: 50 kDa

Observed band size: 48 kDa

false

Western blot - Anti-IDH2 antibody [EPR7577] - BSA and Azide free (AB230796)
  • WB

Lab

Western blot - Anti-IDH2 antibody [EPR7577] - BSA and Azide free (AB230796)

This WB data was generated using the same anti-IDH2 antibody clone, EPR7577, in a different buffer formulation (cat# ab131263).

Lane 1 : Wild-type HAP1 cell lysate (20 μg)
Lane 2 : IDH2 knockout HAP1 cell lysate (20 μg)
Lane 3 : K562 cell lysate (20 μg)
Lane 4 : HepG2 cell lysate (20 μg)
Lanes 1 - 4 : Merged signal (red and green). Green - ab131263 observed at 48 kDa. Red - loading control, ab8245, observed at 37 kDa.
ab131263 was shown to recognize IDH2 when IDH2 knockout samples were used, along with additional cross-reactive bands. Wild-type and IDH2 knockout samples were subjected to SDS-PAGE. ab131263 and ab8245 (loading control to GAPDH) were both diluted 1/10 000 and incubated overnight at 4°C. Blots were developed with Goat anti-Rabbit IgG H&L (IRDye® 800CW) preadsorbed (ab216773) and Goat anti-Mouse IgG H&L (IRDye® 680RD) preadsorbed (ab216776) secondary antibodies at 1/10000 dilution for 1 h at room temperature before imaging.

All lanes:

Western blot - Anti-IDH2 antibody [EPR7577] (<a href='/products/primary-antibodies/idh2-antibody-epr7577-ab131263'>ab131263</a>)

Predicted band size: 50 kDa

false

Western blot - Anti-IDH2 antibody [EPR7577] - BSA and Azide free (AB230796)
  • WB

Unknown

Western blot - Anti-IDH2 antibody [EPR7577] - BSA and Azide free (AB230796)

All lanes:

Western blot - Anti-IDH2 antibody [EPR7577] (<a href='/products/primary-antibodies/idh2-antibody-epr7577-ab131263'>ab131263</a>) at 1/5000 dilution

Lane 1:

MOLT-4 (Human lymphoblastic leukemia T lymphoblast) whole cell lysate at 20 µg

Lane 2:

K-562 (Human chronic myelogenous leukemia lymphoblast) whole cell lysate at 20 µg

Lane 3:

U-87 MG (Human glioblastoma-astrocytoma epithelial cell) whole cell lysate at 20 µg

Lane 4:

HepG2 (Human hepatocellular carcinoma epithelial cell) whole cell lysate at 20 µg

Lane 5:

Mouse liver lysate at 20 µg

Lane 6:

Rat liver lysate at 20 µg

Lane 7:

Mouse kidney lysate at 20 µg

Lane 8:

Rat kidney lysate at 20 µg

Lane 9:

Rat stomach lysate at 20 µg

Secondary

All lanes:

Western blot - Goat Anti-Rabbit IgG H&L (HRP) (<a href='/products/secondary-antibodies/goat-rabbit-igg-h-l-hrp-ab97051'>ab97051</a>) at 1/20000 dilution

Predicted band size: 50 kDa

false

関連する標識済み抗体及び組成の異なる製品 (4)

  • Unconjugated

    Anti-IDH2 antibody [EPR7577]

  • 565 Alexa Fluor® 555

    Alexa Fluor® 555 Anti-IDH2 antibody [EPR7577]

  • 660 APC

    APC Anti-IDH2 antibody [EPR7577]

  • 578 PE

    PE Anti-IDH2 antibody [EPR7577]

Key facts

宿主種

Rabbit

クローン性

Monoclonal

クローン番号

EPR7577

アイソタイプ

IgG

キャリアフリー

Yes

交差種

Mouse, Rat, Human

アプリケーション

Flow Cyt (Intra), ICC/IF, IHC-P, WB

applications

免疫原

The exact immunogen used to generate this antibody is proprietary information.

Reactivity data

{ "title": "Reactivity Data", "filters": { "stats": ["", "Species", "Dilution Info", "Notes"], "tabs": { "all-applications": {"fullname" : "All Applications", "shortname": "All Applications"}, "IHCP" : {"fullname" : "Immunohistochemistry (Formalin/PFA-fixed paraffin-embedded sections)", "shortname":"IHC-P"}, "ICCIF" : {"fullname" : "Immunocytochemistry/ Immunofluorescence", "shortname":"ICC/IF"}, "WB" : {"fullname" : "Western blot", "shortname":"WB"}, "FlowCytIntra" : {"fullname" : "Flow Cytometry (Intracellular)", "shortname":"Flow Cyt (Intra)"} }, "product-promise": { "all": "all", "testedAndGuaranteed": "tested", "guaranteed": "expected", "predicted": "predicted", "notRecommended": "not-recommended" } }, "values": { "Human": { "IHCP-species-checked": "testedAndGuaranteed", "IHCP-species-dilution-info": "", "IHCP-species-notes": "<p></p>", "ICCIF-species-checked": "testedAndGuaranteed", "ICCIF-species-dilution-info": "", "ICCIF-species-notes": "<p></p>", "WB-species-checked": "testedAndGuaranteed", "WB-species-dilution-info": "", "WB-species-notes": "<p></p>", "FlowCytIntra-species-checked": "testedAndGuaranteed", "FlowCytIntra-species-dilution-info": "", "FlowCytIntra-species-notes": "<p></p>" }, "Mouse": { "IHCP-species-checked": "testedAndGuaranteed", "IHCP-species-dilution-info": "", "IHCP-species-notes": "<p></p>", "ICCIF-species-checked": "guaranteed", "ICCIF-species-dilution-info": "", "ICCIF-species-notes": "", "WB-species-checked": "testedAndGuaranteed", "WB-species-dilution-info": "", "WB-species-notes": "<p></p>", "FlowCytIntra-species-checked": "guaranteed", "FlowCytIntra-species-dilution-info": "", "FlowCytIntra-species-notes": "" }, "Rat": { "IHCP-species-checked": "testedAndGuaranteed", "IHCP-species-dilution-info": "", "IHCP-species-notes": "<p></p>", "ICCIF-species-checked": "guaranteed", "ICCIF-species-dilution-info": "", "ICCIF-species-notes": "", "WB-species-checked": "testedAndGuaranteed", "WB-species-dilution-info": "", "WB-species-notes": "<p></p>", "FlowCytIntra-species-checked": "guaranteed", "FlowCytIntra-species-dilution-info": "", "FlowCytIntra-species-notes": "" } } }

製品の詳細

ab230796 is the carrier-free version of ab131263.

Conjugation ready
Our carrier-free antibodies are typically supplied in a PBS-only formulation, purified and free of BSA, sodium azide and glycerol. This conjugation-ready format is designed for use with fluorochromes, metal isotopes, oligonucleotides, and enzymes, which makes them ideal for antibody labelling, functional and cell-based assays, flow-based assays (e.g. mass cytometry) and Multiplex Imaging applications.

Use our conjugation kits for antibody conjugates that are ready-to-use in as little as 20 minutes with 1 minute hands-on-time and 100% antibody recovery: available for fluorescent dyes, HRP, biotin and gold.

Compatibility
This product is compatible with the Maxpar® Antibody Labeling Kit from Fluidigm, without the need for antibody preparation. Maxpar® is a trademark of Fluidigm Canada Inc.

出荷温度及び保存条件

製品の状態
Liquid
精製方法
Affinity purification Protein A
バッファー組成
pH: 7.2 - 7.4 Constituents: PBS
出荷温度
Blue Ice
短期保存温度
+4°C
長期保存温度
+4°C
保管に関する情報
Do Not Freeze

補足情報

This supplementary information is collated from multiple sources and compiled automatically.

Isocitrate dehydrogenase 2 (IDH2) is an enzyme that converts isocitrate to alpha-ketoglutarate in the citric acid cycle through oxidative decarboxylation. IDH2 also known as NADP-dependent isocitrate dehydrogenase has a molecular weight of about 51 kDa. This protein expresses in the mitochondria serving an important role in cellular energy production and intermediary metabolism. By facilitating this conversion IDH2 impacts cellular respiration and energy balance.
Biological function summary

The IDH2 enzyme facilitates cellular metabolism by producing NADPH critical for biosynthesis and antioxidant defense. It functions within the oxidative decarboxylation of isocitrate providing reducing equivalents to keep cellular redox balance. Although not part of a larger enzymatic complex IDH2 acts synergistically with other metabolic enzymes to maintain cellular biochemical pathways.

Pathways

The IDH2 protein participates in the citric acid cycle and redox homeostasis. IDH2 contributes to the tricarboxylic acid (TCA) pathway coupling with other TCA components such as citrate synthase and aconitase. Within the redox pathway it influences glucose metabolism via its link with enzymes like NADPH oxidase ensuring a steady supply of NADPH for biosynthetic reactions.

The IDH2 protein links to certain cancers like acute myeloid leukemia (AML) due to mutations such as IDH2 R140Q and IDH2 R172K which lead to the production of oncometabolite 2-hydroxyglutarate. This oncometabolite influences epigenetic regulation and cellular differentiation. IDH2 mutations often associate with altered tumor suppressor pathways involving proteins like TP53 contributing to tumorigenesis and impaired cellular differentiation.

製品プロトコール

For this product, it's our understanding that no specific protocols are required. You can visit:

ターゲットの情報

Plays a role in intermediary metabolism and energy production (PubMed : 19228619, PubMed : 22416140). It may tightly associate or interact with the pyruvate dehydrogenase complex (PubMed : 19228619, PubMed : 22416140).
See full target information IDH2

文献 (3)

Recent publications for all applications. Explore the full list and refine your search

Cancer cell 42:266-282.e8 PubMed38278150

2024

Inosine induces stemness features in CAR-T cells and enhances potency.

Applications

Unspecified application

Species

Unspecified reactive species

Dorota D Klysz,Carley Fowler,Meena Malipatlolla,Lucille Stuani,Katherine A Freitas,Yiyun Chen,Stefanie Meier,Bence Daniel,Katalin Sandor,Peng Xu,Jing Huang,Louai Labanieh,Vimal Keerthi,Amaury Leruste,Malek Bashti,Janette Mata-Alcazar,Nikolaos Gkitsas,Justin A Guerrero,Chris Fisher,Sunny Patel,Kyle Asano,Shabnum Patel,Kara L Davis,Ansuman T Satpathy,Steven A Feldman,Elena Sotillo,Crystal L Mackall

Journal of orthopaedic translation 36:132-144 PubMed36185580

2022

Triptolide attenuates inhibition of ankylosing spondylitis-derived mesenchymal stem cells on the osteoclastogenesis through modulating exosomal transfer of circ-0110634.

Applications

Unspecified application

Species

Unspecified reactive species

Wei Ji,Yueyang Lu,Zhuoyi Ma,Ke Gan,Yan Liu,Yue Cheng,Junliang Xu,Shijia Liu,Yunke Guo,Shanhang Han,Zengyan Zhao,Hanmei Xu,Weiyan Qi

iScience 24:103312 PubMed34765928

2021

Reduced mitochondrial respiration in T cells of patients with major depressive disorder.

Applications

Unspecified application

Species

Unspecified reactive species

Stefanie Gamradt,Helge Hasselmann,Aline Taenzer,Jelena Brasanac,Victoria Stiglbauer,Arne Sattler,Max Sajitz-Hermstein,Sylwia Kierszniowska,Caren Ramien,Jan Nowacki,Lea Mascarell-Maricic,Katja Wingenfeld,Dominique Piber,Andreas Ströhle,Katja Kotsch,Friedemann Paul,Christian Otte,Stefan M Gold
View all publications

Abcam product promise

当社は、高品質な試薬を通じてお客様の研究を力強くサポートすることをお約束いたします。ご使用いただく各段階で、常にお客様をサポートできる体制を整えております。万が一、製品が期待通りに機能しない場合は、「Abcam Product Promise」による当社保証制度に基づき、安心してご利用いただけます。
保証に関する詳細については利用規約をご確認ください。

Please note: All products are 'FOR RESEARCH USE ONLY. NOT FOR USE IN DIAGNOSTIC OR THERAPEUTIC PROCEDURES'.

For licensing inquiries, please contact partnerships@abcam.com