JavaScript is disabled in your browser. Please enable JavaScript to view this website.
AB178847

Anti-Iba1 抗体 [EPR16589]

Anti-Iba1 antibody [EPR16589] - Microglia marker

  • BOND RX™ Validated
  • RabMAb
  • Recombinant
  • Lab Essentials
  • 20ul selling size
  • 詳細を見る

4

(21 Reviews)

|

(463 Publications)

Anti-Iba1 antibody [EPR16589] (ab178847) is a rabbit monoclonal antibody detecting Iba1 in Western Blot, IP, IHC-P, IHC-Fr, ICC/IF. Suitable for Human, Mouse, Rat.

- Biophysical QC for unrivalled batch-batch consistency
- Over 280 publications

別名を表示する

G1, IBA1, AIF1, Allograft inflammatory factor 1, AIF-1, Ionized calcium-binding adapter molecule 1, Protein G1, iba1, iba-1, iba 1

18 Images
Immunohistochemistry (Formalin/PFA-fixed paraffin-embedded sections) - Anti-Iba1 antibody [EPR16589] - Microglia marker (AB178847)
  • IHC-P

Supplier Data

Immunohistochemistry (Formalin/PFA-fixed paraffin-embedded sections) - Anti-Iba1 antibody [EPR16589] - Microglia marker (AB178847)

Immunohistochemical analysis of paraffin-embedded Rat cerebrum tissue labeling Iba1 with ab178847 at 1/8000 dilution, followed by Goat Anti-Rabbit IgG H&L (HRP) (ab97051) at 1/500 dilution.

Cytoplasm staining on microglia of the rat cerebrum is observed.

Counter stained with Hematoxylin.

Secondary antibody only control : Used PBS instead of primary antibody, secondary antibody is Goat Anti-Rabbit IgG H&L (HRP) (ab97051) at 1/500 dilution.

Perform heat mediated antigen retrieval with Tris/EDTA buffer pH 9.0 before commencing with IHC staining protocol.

Immunohistochemistry (Formalin/PFA-fixed paraffin-embedded sections) - Anti-Iba1 antibody [EPR16589] - Microglia marker (AB178847)
  • IHC-P

Lab

Immunohistochemistry (Formalin/PFA-fixed paraffin-embedded sections) - Anti-Iba1 antibody [EPR16589] - Microglia marker (AB178847)

Immunohistochemical analysis of paraffin-embedded human Alzheimer's brain tissue* labelling Iba1 with ab178847 at 1ug/ml followed by a ready to use LeicaDS9800 (Bond™ Polymer Refine Detection) was used.

Positive staining in human Alzheimer's brain.

The section was incubated with ab178847 for 30 mins at room temperature. The immunostaining was performed on a Leica Biosystems BOND® RX instrument Counterstained with Hematoxylin.

Secondary antibody only control : Secondary antibody is a ready to use LeicaDS9800 (Bond™ Polymer Refine Detection) was used. Heat mediated antigen retrieval with sodium citrate buffer (pH 6.0 epitope retrieval solution1) for 20 mins.

*Tissue obtained from the Human Research Tissue Bank, supported by the NIHR Cambridge Biomedical Research Centre.

Immunohistochemistry (Formalin/PFA-fixed paraffin-embedded sections) - Anti-Iba1 antibody [EPR16589] - Microglia marker (AB178847)
  • IHC-P

PubMed

Immunohistochemistry (Formalin/PFA-fixed paraffin-embedded sections) - Anti-Iba1 antibody [EPR16589] - Microglia marker (AB178847)

Slides were washed with 1x PBS and then blocked in 5% goat serum containing 0.3% Triton X-100. Iba-1 was stained using ab178847 at 1/500 dilution in immunohistochemical analysis. Representative immunofluorescence is depicted for KO Sham (F top left), KO injured (F bottom left), WT Sham (F top right), and WT injured (F bottom right) in the right and left hemispheres (blue = DAPI, green = Iba-1). Scale bars = 100μm, 20x. HI = hypoxic-ischemic brain injury.

Area occupied by Iba-1-positive staining was elevated in KO injured animals when compared to uninjured controls, while stain area was not elevated in WT injured animals

Stephanie R. Beldick et al.,PLOS ONE.,Fig 5.; doi.org/10.1371/journal.pone.0208105.

Immunocytochemistry/ Immunofluorescence - Anti-Iba1 antibody [EPR16589] - Microglia marker (AB178847)
  • ICC/IF

Supplier Data

Immunocytochemistry/ Immunofluorescence - Anti-Iba1 antibody [EPR16589] - Microglia marker (AB178847)

Immunofluorescent analysis of 100% methanol-fixed, 0.1% Triton X-100 permeabilized U937 (Human histiocytic lymphoma cell line) cells labeling Iba1 with ab178847 at 1/100 dilution, followed by Goat Anti-Rabbit IgG (Alexa Fluor® 488) (ab150077) secondary antibody at 1/1000 dilution (green).

Confocal image showing cytoplasmic staining on U937 cell line.

The nuclear counterstain is DAPI (blue).

Tubulin is detected with Anti-alpha Tubulin - Loading Control (ab7291) at 1/1000 dilution and Goat Anti-Mouse IgG (AlexaFluor®594) preadsorbed (ab150120) at 1/1000 dilution (red).

The negative controls are as follows : -

-ve control 1 : ab178847 at 1/100 dilution followed by ab150120 at 1/1000 dilution.

-ve control 2 : ab7291 at 1/1000 dilution followed by ab150077 at 1/1000 dilution.

Immunocytochemistry/ Immunofluorescence - Anti-Iba1 antibody [EPR16589] - Microglia marker (AB178847)
  • ICC/IF

Supplier Data

Immunocytochemistry/ Immunofluorescence - Anti-Iba1 antibody [EPR16589] - Microglia marker (AB178847)

Immunofluorescent analysis of 100% methanol-fixed, 0.1% Triton X-100 permeabilized THP-1 (Human monocytic leukemia cell line) cells labeling Iba1 with ab178847 at 1/100 dilution, followed by Goat anti-rabbit IgG (Alexa Fluor® 488) (ab150077) secondary antibody at 1/1000 dilution (green).

Confocal image showing cytoplasmic staining on THP-1 cell line.

The nuclear counterstain is DAPI (blue). Tubulin is detected with ab7291 (anti-Tubulin mouse mAb) at 1/1000 dilution and ab150120 (AlexaFluor®594 Goat anti-Mouse secondary) at 1/1000 dilution (red).

The negative controls are as follows : -

-ve control 1 : ab178847 at 1/100 dilution followed by ab150120 at 1/1000 dilution.

-ve control 2 : ab7291 at 1/1000 dilution followed by ab150077 at 1/1000 dilution.

Immunohistochemistry (Formalin/PFA-fixed paraffin-embedded sections) - Anti-Iba1 antibody [EPR16589] - Microglia marker (AB178847)
  • IHC-P

Supplier Data

Immunohistochemistry (Formalin/PFA-fixed paraffin-embedded sections) - Anti-Iba1 antibody [EPR16589] - Microglia marker (AB178847)

Immunohistochemical analysis of paraffin-embedded Human cerebrum tissue labeling Iba1 with ab178847 at 1/8000 dilution, followed by Goat Anti-Rabbit IgG H&L (HRP) (ab97051) at 1/500 dilution.

Cytoplasm staining on microglia of the normal Human cerebrum is observed. Counter stained with Hematoxylin.

Secondary antibody only control : Used PBS instead of primary antibody, secondary antibody is ab97051 at 1/500 dilution.

Immunohistochemistry (Frozen sections) - Anti-Iba1 antibody [EPR16589] - Microglia marker (AB178847)
  • IHC-Fr

Lab

Immunohistochemistry (Frozen sections) - Anti-Iba1 antibody [EPR16589] - Microglia marker (AB178847)

Immunohistochemical analysis of 4% PFA-fixed, 0.2% Triton X-100 permeabilized frozen Mouse liver (perfused fixed) tissue labeling Iba1 with ab178847 at 1200 dilution followed by Goat Anti-Rabbit IgG H&L (Alexa Fluor 488) preadsorbed (ab150081) at 1/1000 dilution (Green).

Confocal image showing positive staining on mouse liver. The nuclear counterstain was DAPI (Blue). The section was incubated with ab178847 for 60 mins at room temperature. The section was then mounted using Fluoromount®.The immunostaining was performed on a Leica Biosystems BOND® RX instrument. Image was taken with a confocal microscope (Leica-Microsystems, TCS SP8).

Secondary antibody control : Secondary antibody is Goat Anti-Rabbit IgG H&L (Alexa Fluor 488) preadsorbed (ab150081) at 1/1000 dilution.

Heat mediated antigen retrieval using sodium citrate buffer (10mM citrate pH 6.0 + 0.05% Tween-20).

Immunohistochemistry (Formalin/PFA-fixed paraffin-embedded sections) - Anti-Iba1 antibody [EPR16589] - Microglia marker (AB178847)
  • IHC-P

Supplier Data

Immunohistochemistry (Formalin/PFA-fixed paraffin-embedded sections) - Anti-Iba1 antibody [EPR16589] - Microglia marker (AB178847)

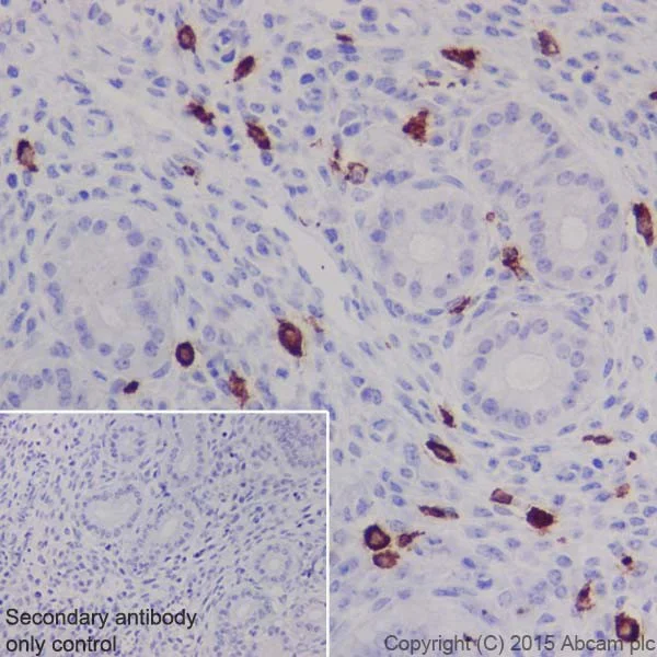
Immunohistochemical analysis of paraffin-embedded Mouse endometrium tissue labeling Iba1 with ab178847 at 1/8000 dilution, followed by Goat Anti-Rabbit IgG H&L (HRP) (ab97051) at 1/500 dilution.

Cytoplasm staining on macrophages of the mouse endometrium.

Counter stained with Hematoxylin.

Secondary antibody only control : Used PBS instead of primary antibody, secondary antibody is Goat Anti-Rabbit IgG H&L (HRP) (ab97051) at 1/500 dilution.

Perform heat mediated antigen retrieval with Tris/EDTA buffer pH 9.0 before commencing with IHC staining protocol.

Immunohistochemistry (PFA fixed) - Anti-Iba1 antibody [EPR16589] - Microglia marker (AB178847)
  • IHC (PFA fixed)

Supplier Data

Immunohistochemistry (PFA fixed) - Anti-Iba1 antibody [EPR16589] - Microglia marker (AB178847)

Iba1 antibody ab178847 was used with Tissue Clearing Kit ab243298 to penetrate, stain and clear a 1 mm coronal section of mouse brain. Blue : DAPI , Green : Iba1. Learn more about tissue clearing kits, reagents, and protocols designed to make it easier to stain thick tissue sections and get more data from each valuable tissue section. For 1 mm brain sections, we recommend a starting dilution of 1 : 100, and also using Goat Anti-Rabbit IgG H&L AlexaFluor488 (ab150077) at a dilution of 1 : 400.

Immunohistochemistry (Frozen sections) - Anti-Iba1 antibody [EPR16589] - Microglia marker (AB178847)
  • IHC-Fr

Lab

Immunohistochemistry (Frozen sections) - Anti-Iba1 antibody [EPR16589] - Microglia marker (AB178847)

Immunohistochemical analysis of 4% PFA-fixed, 0.2% Triton X-100 permeabilized frozen Rat cerebrum (perfused fixed) tissue labeling Iba1 with ab178847 at 1200 dilution followed by Goat Anti-Rabbit IgG H&L (Alexa Fluor 488) preadsorbed (ab150081) at 1/1000 dilution (Green).

Confocal image showing positive staining on rat cerebrum. The nuclear counterstain was DAPI (Blue). The section was incubated with ab178847 for 60 mins at room temperature. The section was then mounted using Fluoromount®.The immunostaining was performed on a Leica Biosystems BOND® RX instrument. Image was taken with a confocal microscope (Leica-Microsystems, TCS SP8).

Secondary antibody control : Secondary antibody is Goat Anti-Rabbit IgG H&L (Alexa Fluor 488) preadsorbed (ab150081) at 1/1000 dilution.

Heat mediated antigen retrieval using sodium citrate buffer (10mM citrate pH 6.0 + 0.05% Tween-20).

Immunohistochemistry (Frozen sections) - Anti-Iba1 antibody [EPR16589] - Microglia marker (AB178847)
  • IHC-Fr

Lab

Immunohistochemistry (Frozen sections) - Anti-Iba1 antibody [EPR16589] - Microglia marker (AB178847)

Immunohistochemical analysis of 4% PFA-fixed, 0.2% Triton X-100 permeabilized frozen Mouse cerebrum (perfused fixed) tissue labeling Iba1 with ab178847 at 1200 dilution followed by Goat Anti-Rabbit IgG H&L (Alexa Fluor 488) preadsorbed (ab150081) at 1/1000 dilution (Green).

Confocal image showing positive staining on mouse cerebrum. The nuclear counterstain was DAPI (Blue). The section was incubated with ab178847 for 60 mins at room temperature. The section was then mounted using Fluoromount®.The immunostaining was performed on a Leica Biosystems BOND® RX instrument. Image was taken with a confocal microscope (Leica-Microsystems, TCS SP8).

Secondary antibody control : Secondary antibody is Goat Anti-Rabbit IgG H&L (Alexa Fluor 488) preadsorbed (ab150081)at 1/1000 dilution.

Heat mediated antigen retrieval using sodium citrate buffer (10mM citrate pH 6.0 + 0.05% Tween-20).

Immunohistochemistry (Frozen sections) - Anti-Iba1 antibody [EPR16589] - Microglia marker (AB178847)
  • IHC-Fr

Lab

Immunohistochemistry (Frozen sections) - Anti-Iba1 antibody [EPR16589] - Microglia marker (AB178847)

Immunohistochemical analysis of 4% PFA-fixed, 0.2% Triton X-100 permeabilized frozen Rat liver (perfused fixed) tissue labeling Iba1 with ab178847 at 1200 dilution followed by Goat Anti-Rabbit IgG H&L (Alexa Fluor 488) preadsorbed (ab150081) at 1/1000 dilution (Green).

Confocal image showing positive staining on rat liver. The nuclear counterstain was DAPI (Blue). The section was incubated with ab178847 for 60 mins at room temperature. The section was then mounted using Fluoromount®.The immunostaining was performed on a Leica Biosystems BOND® RX instrument. Image was taken with a confocal microscope (Leica-Microsystems, TCS SP8).

Secondary antibody control : Secondary antibody is Goat Anti-Rabbit IgG H&L (Alexa Fluor 488) preadsorbed (ab150081) at 1/1000 dilution.

Heat mediated antigen retrieval using sodium citrate buffer (10mM citrate pH 6.0 + 0.05% Tween-20).

Immunoprecipitation - Anti-Iba1 antibody [EPR16589] - Microglia marker (AB178847)
  • IP

Supplier Data

Immunoprecipitation - Anti-Iba1 antibody [EPR16589] - Microglia marker (AB178847)

Iba1 was immunoprecipitated from 1mg of Mouse spleen whole cell lysate with ab178847 at 1/40 dilution.

Western blot was performed from the immunoprecipitate using ab178847 at 1/1000 dilution.

VeriBlot for IP Detection Reagent (HRP) (ab131366), was used for detection at 1/10000 dilution.

Lane 1 : Mouse spleen whole cell lysate 10μg (Input).

Lane 2 : ab178847 IP in Mouse spleen whole cell lysate.

Lane 3 : Rabbit IgG,monoclonal-Isotype Control (ab172730) instead of ab178847 in Mouse spleen whole cell lysate.

Blocking and dilution buffer and concentration : 5% NFDM/TBST.

Exposure time : 5 seconds.

All lanes:

Immunoprecipitation - Anti-Iba1 antibody [EPR16589] - Microglia marker (ab178847)

Predicted band size: 16 kDa

false

Western blot - Anti-Iba1 antibody [EPR16589] - Microglia marker (AB178847)
  • WB

Supplier Data

Western blot - Anti-Iba1 antibody [EPR16589] - Microglia marker (AB178847)

Blocking/Dilution buffer : 5% NFDM/TBST.

All lanes:

Western blot - Anti-Iba1 antibody [EPR16589] - Microglia marker (ab178847) at 1/1000 dilution

Lane 1:

MOLT-4 (Human lymphoblastic leukemia cell line) whole cell lysate at 10 µg

Lane 2:

U937 (Human histiocytic lymphoma cell line) whole cell lysate at 10 µg

Secondary

All lanes:

Western blot - Goat Anti-Rabbit IgG H&L (HRP) (<a href='/products/secondary-antibodies/goat-rabbit-igg-h-l-hrp-ab97051'>ab97051</a>) at 1/10000 dilution

Predicted band size: 16 kDa

Observed band size: 17 kDa

false

Exposure time: 3min

Western blot - Anti-Iba1 antibody [EPR16589] - Microglia marker (AB178847)
  • WB

Lab

Western blot - Anti-Iba1 antibody [EPR16589] - Microglia marker (AB178847)

Different batches of ab178847 were tested on U-937 (Human histiocytic lymphoma monocyte) lysate at 0.5 µg/ml. 15 µg of lysate was loaded in each lane. Bands observed at 17 kDa.

All lanes:

Western blot - Anti-Iba1 antibody [EPR16589] - Microglia marker (ab178847)

Predicted band size: 16 kDa

false

Western blot - Anti-Iba1 antibody [EPR16589] - Microglia marker (AB178847)
  • WB

Supplier Data

Western blot - Anti-Iba1 antibody [EPR16589] - Microglia marker (AB178847)

Blocking/Dilution buffer : 5% NFDM/TBST.

All lanes:

Western blot - Anti-Iba1 antibody [EPR16589] - Microglia marker (ab178847) at 1/2000 dilution

Lane 1:

Human spleen lysate at 20 µg

Lane 2:

THP-1 (Human monocytic leukemia cell line) whole cell lysate at 20 µg

Secondary

All lanes:

Goat Anti-Rabbit IgG Peroxidase Conjugate, specific to the non-reduced form of IgG at 1/10000 dilution

Predicted band size: 16 kDa

Observed band size: 17 kDa

false

Exposure time: 3min

Western blot - Anti-Iba1 antibody [EPR16589] - Microglia marker (AB178847)
  • WB

Supplier Data

Western blot - Anti-Iba1 antibody [EPR16589] - Microglia marker (AB178847)

IBA1 is a relatively minor protein of brain and is much more abundant in spleen (PMID : 8912632, PMID : 29232670). We suggest loading higher amount of brain lysate or using lower dilution of antibody for detecting signal in brain related lysates.

All lanes:

Western blot - Anti-Iba1 antibody [EPR16589] - Microglia marker (ab178847) at 1/1000 dilution

Lane 1:

Mouse spleen tissue lysate at 20 µg

Lane 2:

Mouse brain tissue lysate at 20 µg

Lane 3:

Mouse hippocampus tissue at 20 µg

Lane 4:

Rat spleen tissue lysate at 20 µg

Lane 5:

Rat brain tissue lysate at 20 µg

Lane 6:

Rat hippocampus tissue lysate at 20 µg

Secondary

All lanes:

Western blot - PE Anti-ENPP3/B10 antibody [NP4D6] (<a href='/products/primary-antibodies/pe-enpp3-b10-antibody-np4d6-ab90751'>ab90751</a>) at 1/20000 dilution

Predicted band size: 16 kDa

Observed band size: 17 kDa

false

Exposure time: 40s

Western blot - Anti-Iba1 antibody [EPR16589] - Microglia marker (AB178847)
  • WB

Supplier Data

Western blot - Anti-Iba1 antibody [EPR16589] - Microglia marker (AB178847)

Blocking/Dilution buffer : 5% NFDM/TBST.

Exposure time : Lane 1 and 2 : 1 minute; Lane 3 and 4 : 3 minutes.

All lanes:

Western blot - Anti-Iba1 antibody [EPR16589] - Microglia marker (ab178847) at 1/1000 dilution

Lane 1:

Mouse spleen lysate at 10 µg

Lane 2:

Rat spleen lysate at 10 µg

Lane 3:

Mouse testis lysate at 10 µg

Lane 4:

Rat testis lysate at 10 µg

Secondary

All lanes:

Western blot - Goat Anti-Rabbit IgG H&L (HRP) (<a href='/products/secondary-antibodies/goat-rabbit-igg-h-l-hrp-ab97051'>ab97051</a>) at 1/10000 dilution

Predicted band size: 16 kDa

Observed band size: 17 kDa

false

関連する標識済み抗体及び組成の異なる製品 (7)

  • HRP

    HRP Anti-Iba1 antibody [EPR16589] - Microglia marker

  • Carrier free

    Anti-Iba1 antibody [EPR16589] - BSA and Azide free

  • 565 Alexa Fluor® 555

    Alexa Fluor® 555 Anti-Iba1 antibody [EPR16589] - Microglia marker

  • 617 Alexa Fluor® 594

    Alexa Fluor® 594 Anti-Iba1 antibody [EPR16589] - Microglia marker

  • 519 Alexa Fluor® 488

    Alexa Fluor® 488 Anti-Iba1 antibody [EPR16589] - Microglia marker

  • 603 Alexa Fluor® 568

    Alexa Fluor® 568 Anti-Iba1 antibody [EPR16589] - Microglia marker

  • 775 Alexa Fluor® 750

    Alexa Fluor® 750 Anti-Iba1 antibody [EPR16589] - Microglia marker

Key facts

宿主種

Rabbit

クローン性

Monoclonal

クローン番号

EPR16589

アイソタイプ

IgG

キャリアフリー

No

交差種

Mouse, Rat, Human

アプリケーション

ICC/IF, IHC-P, IP, IHC (PFA fixed), IHC-Fr, WB

applications

免疫原

The exact immunogen used to generate this antibody is proprietary information.

Reactivity data

{ "title": "Reactivity Data", "filters": { "stats": ["", "Species", "Dilution Info", "Notes"], "tabs": { "all-applications": {"fullname" : "All Applications", "shortname": "All Applications"}, "IHCFr" : {"fullname" : "Immunohistochemistry (Frozen sections)", "shortname":"IHC-Fr"}, "IP" : {"fullname" : "Immunoprecipitation", "shortname":"IP"}, "WB" : {"fullname" : "Western blot", "shortname":"WB"}, "ICCIF" : {"fullname" : "Immunocytochemistry/ Immunofluorescence", "shortname":"ICC/IF"}, "IHCPFAfixed" : {"fullname" : "Immunohistochemistry (PFA fixed)", "shortname":"IHC (PFA fixed)"}, "IHCP" : {"fullname" : "Immunohistochemistry (Formalin/PFA-fixed paraffin-embedded sections)", "shortname":"IHC-P"} }, "product-promise": { "all": "all", "testedAndGuaranteed": "tested", "guaranteed": "expected", "predicted": "predicted", "notRecommended": "not-recommended" } }, "values": { "Human": { "IHCFr-species-checked": "guaranteed", "IHCFr-species-dilution-info": "", "IHCFr-species-notes": "", "IP-species-checked": "guaranteed", "IP-species-dilution-info": "", "IP-species-notes": "", "WB-species-checked": "testedAndGuaranteed", "WB-species-dilution-info": "1/1000", "WB-species-notes": "<p></p>", "ICCIF-species-checked": "testedAndGuaranteed", "ICCIF-species-dilution-info": "1/100", "ICCIF-species-notes": "<p></p>", "IHCPFAfixed-species-checked": "guaranteed", "IHCPFAfixed-species-dilution-info": "", "IHCPFAfixed-species-notes": "", "IHCP-species-checked": "testedAndGuaranteed", "IHCP-species-dilution-info": "1/8000", "IHCP-species-notes": "<p></p> Perform heat-mediated antigen retrieval with Tris/EDTA buffer pH 9.0 before commencing with IHC staining protocol." }, "Mouse": { "IHCFr-species-checked": "testedAndGuaranteed", "IHCFr-species-dilution-info": "1/200", "IHCFr-species-notes": "<p></p>", "IP-species-checked": "testedAndGuaranteed", "IP-species-dilution-info": "1/40", "IP-species-notes": "<p></p>", "WB-species-checked": "testedAndGuaranteed", "WB-species-dilution-info": "1/1000", "WB-species-notes": "<p></p>", "ICCIF-species-checked": "guaranteed", "ICCIF-species-dilution-info": "", "ICCIF-species-notes": "", "IHCPFAfixed-species-checked": "testedAndGuaranteed", "IHCPFAfixed-species-dilution-info": "", "IHCPFAfixed-species-notes": "<p></p>", "IHCP-species-checked": "testedAndGuaranteed", "IHCP-species-dilution-info": "1/8000", "IHCP-species-notes": "<p></p> Perform heat-mediated antigen retrieval with Tris/EDTA buffer pH 9.0 before commencing with IHC staining protocol." }, "Rat": { "IHCFr-species-checked": "testedAndGuaranteed", "IHCFr-species-dilution-info": "1/200", "IHCFr-species-notes": "<p></p>", "IP-species-checked": "guaranteed", "IP-species-dilution-info": "", "IP-species-notes": "", "WB-species-checked": "testedAndGuaranteed", "WB-species-dilution-info": "1/1000", "WB-species-notes": "<p></p>", "ICCIF-species-checked": "guaranteed", "ICCIF-species-dilution-info": "", "ICCIF-species-notes": "", "IHCPFAfixed-species-checked": "guaranteed", "IHCPFAfixed-species-dilution-info": "", "IHCPFAfixed-species-notes": "", "IHCP-species-checked": "testedAndGuaranteed", "IHCP-species-dilution-info": "1/8000", "IHCP-species-notes": "<p></p> Perform heat-mediated antigen retrieval with Tris/EDTA buffer pH 9.0 before commencing with IHC staining protocol." } } }

製品の詳細

Find all reagents to label astrocytes in our "Microglia markers guide".

Anti-Iba1 antibody [EPR16589] (ab178847) was developed by Abcam using patented rabbit monoclonal antibody technology and is validated for use in ICC/IF, IHC (PFA fixed), IHC-P, IP and WB.

Anti-Iba1 antibody [EPR16589] (ab178847) was first used in a scientific publication in 2016 and has been cited over 284 times in peer reviewed journals. It's performance in immunofluorescence and IHC in mouse and rat samples is trusted by the scientific community.

Abcam's high quality manufacturing and validation processes ensure Anti-Iba1 antibody [EPR16589] (ab178847) has high sensitivity and specificity alongside high lot-to-lot consistency and reproducibility.

Anti-Iba1 antibody [EPR16589] (ab178847) has 18 independent reviews from customers.

Anti-Iba1 antibody [EPR16589] (ab178847) specifically detects Iba1 (UniProt ID: P55008; Molecular weight: 17kDa) and is sold in 100 µL and 1 mL selling sizes.

Conjugation-ready, carrier free format available for antibody clone EPR16589 - ab221790.

Antibody clone EPR16589 is also available pre-conjugated to a variety of labels for your convenience - HRP, Alexa Fluor® 488, Alexa Fluor® 647, Alexa Fluor® 594, Alexa Fluor® 488, Alexa Fluor® 568, Alexa Fluor® 555, Alexa Fluor® 750 (ab216544, ab310987, ab311112, ab311734, ab312913, ab313011, ab313215, ab321219).

NEW: Explore our alternative host species for clone [EPR16589] : rat, mouse. Iba1 (AIF1) is a marker for microglia, the brain's primary immune cells and is frequently used in Alzheimer's disease (AD) research. In AD brains, altered Iba1 expression indicates microglial activation and neuroinflammation. Researchers use Iba1 to assess microglial response and motility in AD models, making it essential for understanding the role of inflammation and immune response in Alzheimer's pathology.

Patented technology
Our RabMAb® technology is a patented hybridoma-based technology for making rabbit monoclonal antibodies. For details on our patents, please refer to RabMAb® patents.

What are the advantages of a recombinant monoclonal antibody?
This product is a recombinant monoclonal antibody, which offers several advantages including:

  • - High batch-to-batch consistency and reproducibility
  • - Improved sensitivity and specificity
  • - Long-term security of supply
  • - Animal-free batch production

For more information, read more on recombinant antibodies.

出荷温度及び保存条件

製品の状態
Liquid
精製方法
Affinity purification Protein A
バッファー組成
Preservative: 0.01% Sodium azide Constituents: PBS, 40% Glycerol (glycerin, glycerine), 0.05% BSA
出荷温度
Blue Ice
短期保存期間
1-2 weeks
短期保存温度
+4°C
長期保存温度
-20°C
分注に関する情報
Upon delivery aliquot
保管に関する情報
Avoid freeze / thaw cycle

補足情報

This supplementary information is collated from multiple sources and compiled automatically.

Iba1 also known as Allograft Inflammatory Factor 1 (AIF-1) is a 17 kDa protein notable for its involvement in immune responses. It is expressed mainly in microglia and macrophages key components of the central nervous system's immune system. Researchers often use Iba1 in Western blots and immunohistochemistry (IHC) to study microglial activation. The protein's expression is a strong marker of microglial activation making it a focal point in neuroinflammation studies. Anti-Iba1 antibodies have gained popularity for their effectiveness in identifying microglia in brain tissue sections through Iba1 staining techniques.
Biological function summary

Iba1 modulates actin bundling facilitating changes in microglial morphology and motility. It does not form part of a multiprotein complex but is significantly involved in cytoskeletal dynamics. This protein's expression increases during brain injury indicating its role in response to neural trauma. Iba1 has calcium-binding properties which suggest that it might interact with proteins involved in calcium signaling pathways.

Pathways

Calcium signaling and actin cytoskeletal rearrangement are significant biological processes that involve Iba1. Within these pathways Iba1 interacts closely with other actin-binding proteins that affect microglial movement and morphology. Such interactions illustrate how Iba1 helps microglia navigate and respond to changes within the brain environment.

Iba1 is often associated with neurodegenerative diseases like Alzheimer's disease and amyotrophic lateral sclerosis (ALS). In these conditions elevated Iba1 levels mark increased microglial activity which correlates with disease progression. Connections with proteins such as amyloid-beta in Alzheimer's disease suggest its role in mediating inflammatory responses and linking inflammation to disease pathology.

製品プロトコール

For this product, it's our understanding that no specific protocols are required. You can visit:

ターゲットの情報

Actin-binding protein that enhances membrane ruffling and RAC activation. Enhances the actin-bundling activity of LCP1. Binds calcium. Plays a role in RAC signaling and in phagocytosis. May play a role in macrophage activation and function. Promotes the proliferation of vascular smooth muscle cells and of T-lymphocytes. Enhances lymphocyte migration. Plays a role in vascular inflammation.
See full target information AIF1

文献 (463)

Recent publications for all applications. Explore the full list and refine your search

International journal of molecular sciences 26: PubMed41009423

2025

Assessment of the Behavioral and Neurochemical Characteristics in a Mice Model of the Premotor Stage of Parkinson's Disease Induced by Chronic Administration of a Low Dose of MPTP.

Applications

Unspecified application

Species

Unspecified reactive species

Yulia A Timoshina,Anastasia K Pavlova,Dmitry N Voronkov,Denis A Abaimov,Alexander V Latanov,Tatiana N Fedorova

International journal of molecular sciences 26: PubMed40943182

2025

The Effect of Fibulin-5 on Hydrocephalus After Subarachnoid Hemorrhage in Mice.

Applications

Unspecified application

Species

Unspecified reactive species

Yume Suzuki,Mai Nampei,Fumihiro Kawakita,Hiroki Oinaka,Hideki Nakajima,Hidenori Suzuki

Journal of nanobiotechnology 23:599 PubMed40890874

2025

Intraoperative application of an antioxidant nanoparticle-hydrogel targeting microglia regulates neuroinflammation in traumatic brain injury.

Applications

Unspecified application

Species

Unspecified reactive species

Yuhan Han,Jiacheng Gu,Miaomiao Xu,Yufei Ma,Weiji Weng,Qiyuan Feng,Zhenghui He,Wenlan Qi,Qing Mao,Jiyao Jiang,Junfeng Feng

Cell reports. Medicine 6:102319 PubMed40882623

2025

Selenized neural stem cell-derived exosomes: A neotype therapeutic agent for traumatic injuries of the central nervous system.

Applications

Unspecified application

Species

Unspecified reactive species

Wenjing Wang,Guihong Lu,Peilin Guo,Haochong Zhang,Yan Wang,Diwei Zheng,Chengliang Lyu,Dongfang Wang,Shang Li,Feng Li,Jiawei Zhao,Meng Qin,Weiping Li,Hui Tan,Guanghui Ma,Wei Wei

Neurochemical research 50:269 PubMed40824389

2025

Progressive Blood-Brain Barrier Disruption in Sleep-Restricted Young Mice: Cellular Senescence and Neuroinflammation Crosstalk.

Applications

Unspecified application

Species

Unspecified reactive species

Jessica J Avilez-Avilez,Jesús Enrique García-Aviles,Ricardo Jair Ramírez-Carreto,Verónica Salas-Venegas,Mara A Guzmán-Ruiz,Fernanda Medina-Flores,Mina Königsberg,Anahí Chavarría,Beatriz Gómez-González

Journal of neurochemistry 169:e70201 PubMed40820918

2025

Contrasting Behavioural and Biochemical Characteristics of Normal and Spontaneously α-Synuclein-Deficient Mice Treated With MPTP.

Applications

Unspecified application

Species

Unspecified reactive species

W H Powell,A Ghita,F C Pascut,K F Webb,A Newman-Tancredi,M M Iravani

iScience 28:113168 PubMed40792034

2025

Mozart's rhythm influence on Alzheimer's disease progression via modulation of pathological damage and cognition.

Applications

Unspecified application

Species

Unspecified reactive species

Junjun Li,Chuanjiang Wu,Qinjun Liu,Mingqi Liu,Ting Liu,Airui Li,Guangchao Fu,Zhiyong Zou,Daqing Guo,Ke Chen,Yang Xia,Dezhong Yao

Nature communications 16:7147 PubMed40759886

2025

Fasting is required for many of the benefits of calorie restriction in the 3xTg mouse model of Alzheimer's disease.

Applications

Unspecified application

Species

Unspecified reactive species

Reji Babygirija,Jessica H Han,Michelle M Sonsalla,Ryan Matoska,Mariah F Calubag,Cara L Green,Anna Tobon,Chung-Yang Yeh,Diana Vertein,Sophia Schlorf,Julia Illiano,Yang Liu,Isaac Grunow,Michael J Rigby,Luigi Puglielli,David A Harris,John M Denu,Dudley W Lamming

Cell death & disease 16:577 PubMed40739083

2025

Astrocytic YAP prevents the glutamate neurotoxicity by upregulation of EAAT2 expression and promotes the gain of stemness in astrocytes in ischemic stroke mice.

Applications

Unspecified application

Species

Unspecified reactive species

Xuan Luo,Zhoule Zhu,Tianwen Zheng,Dongmei Li,Yan Wei,Hui Yang,Hong Yu,Jiaqi Han,Ying Wang,Lipei Wang,Zhihui Huang

Behavioral and brain functions : BBF 21:25 PubMed40713782

2025

C18:0 GM3 ganglioside's efficacy in LPS-induced parkinsonism: neuroprotection, inflammatory inhibition and gliosis mitigation.

Applications

Unspecified application

Species

Unspecified reactive species

Tsung-Ta Liu,Cheng-Tsung Liu,I-Hsun Li,Yu-Chieh Chu,Hao-Yuan Hung,Chuang-Hsin Chiu,Ta-Kai Chou,Shiao-Yun Li,Tin-An Wang,Jui-Hu Shih
View all publications

Abcam product promise

当社は、高品質な試薬を通じてお客様の研究を力強くサポートすることをお約束いたします。ご使用いただく各段階で、常にお客様をサポートできる体制を整えております。万が一、製品が期待通りに機能しない場合は、「Abcam Product Promise」による当社保証制度に基づき、安心してご利用いただけます。
保証に関する詳細については利用規約をご確認ください。

Please note: All products are 'FOR RESEARCH USE ONLY. NOT FOR USE IN DIAGNOSTIC OR THERAPEUTIC PROCEDURES'.

For licensing inquiries, please contact partnerships@abcam.com