JavaScript is disabled in your browser. Please enable JavaScript to view this website.
AB178846

Anti-Iba1 抗体 [EPR16588]

Anti-Iba1 antibody [EPR16588] - Microglia marker

5

(49 Reviews)

|

(874 Publications)

Anti-Iba1 antibody [EPR16588] (ab178846) is a rabbit monoclonal antibody detecting Iba1 in Western Blot, Flow Cytometry (Intra), Flow Cytometry, IHC-P, IHC-Fr, ICC/IF. Suitable for Human, Mouse, Rat.

- Clone EPR16588 is the most cited clone to Iba1
- Biophysical QC for unrivalled batch-batch consistency
- Over 430 publications

別名を表示する

G1, IBA1, AIF1, Allograft inflammatory factor 1, AIF-1, Ionized calcium-binding adapter molecule 1, Protein G1, iba1, iba-1, iba 1

22 Images
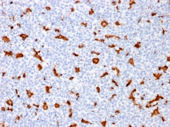
Immunohistochemistry (Formalin/PFA-fixed paraffin-embedded sections) - Anti-Iba1 antibody [EPR16588] - Microglia marker (AB178846)
  • IHC-P

Lab

Immunohistochemistry (Formalin/PFA-fixed paraffin-embedded sections) - Anti-Iba1 antibody [EPR16588] - Microglia marker (AB178846)

IHC image of Iba1 staining in human normal hippocampus formalin fixed paraffin embedded tissue section performed on a Leica Bond™ system using the standard protocol F. The section was pre-treated using heat mediated antigen retrieval with sodium citrate buffer (pH6 epitope retrieval solution 1) for 20 mins. The section was then incubated with ab178846 at 1/2000 dilution for 15 mins at room temperature and detected using an HRP conjugated compact polymer system. DAB was used as the chromogen. The section was then counterstained with haematoxylin and mounted with DPX.

For other IHC staining systems (automated and non-automated) customers should optimize variable parameters such as antigen retrieval conditions primary antibody concentration and antibody incubation times.

Flow Cytometry (Intracellular) - Anti-Iba1 antibody [EPR16588] - Microglia marker (AB178846)
  • Flow Cyt (Intra)

Lab

Flow Cytometry (Intracellular) - Anti-Iba1 antibody [EPR16588] - Microglia marker (AB178846)

Intracellular Flow Cytometry analysis of 2% paraformaldehyde fixed U937 (human histiocytic lymphoma cell line) cells labeling Iba1with ab178846 at 1/160 dilution (red line). Secondary antibody used is a goat anti rabbit IgG (FITC) at 1/150 dilution. The isotype control is rabbit monoclonal IgG (black line). The unlabeled control is cells without incubation with primary and secondary antibodies (blue line).

Multiplex immunohistochemistry - Anti-Iba1 antibody [EPR16588] - Microglia marker (AB178846)
  • mIHC

Lab

Multiplex immunohistochemistry - Anti-Iba1 antibody [EPR16588] - Microglia marker (AB178846)

Chromogenic multiplex immunohistochemical staining of FFPE normal human cerebellum tissue. ab177487, anti-NeuN DAB chromogen. ab68428, anti-GFAP purple chromogen and ab178846, anti- Iba1 teal chromogen plus haematoxylin counterstain. Chromogenic immunostaining was performed on a Roche Ventana Discovery Ultra instrument. The section was deparaffinised and incubated with CC1 solution for 24min 100°C. Following this with 3 rounds of staining in the order of ab177487 (1/600), ab178846 (1/4000) ab68428 (1/1000). Between rounds of staining, antibody denaturation was conducted using Ultra CC2 solution for 8min at 100°C to avoid cross reactivity. Signal was developed with anti-rabbit HQ followed by anti-HQ HRP coupled with Chromomap DAB kit, Discovery purple or Discovery teal chromogens and haematoxylin II counterstain.

Immunohistochemistry (Formalin/PFA-fixed paraffin-embedded sections) - Anti-Iba1 antibody [EPR16588] - Microglia marker (AB178846)
  • IHC-P

Lab

Immunohistochemistry (Formalin/PFA-fixed paraffin-embedded sections) - Anti-Iba1 antibody [EPR16588] - Microglia marker (AB178846)

Composite multiplex immunofluorescence staining of Iba1, GFAP and MAP2 staining in a section of formalin-fixed paraffin-embedded human cerebral cortex*.

Performed on a Leica BOND. The section was pre-treated using heat mediated antigen retrieval with EDTA (Ph9.0) using retrieval settings of 100°C for 40 minutes. The section was then incubated at room temperature for 1 hour with ab323239 at 5µg/ml dilution (shown in green), ab300645 at 5µg/ml (shown in magenta), and ab178846 at 5µg/ml (shown in yellow). Then incubated for 1 hour with ab150119 Goat Anti-Mouse IgG H&L (Alexa Fluor® 647) preadsorbed 1/1000, ab150084 Goat Anti-Rabbit IgG H&L (Alexa Fluor® 594) preadsorbed 1/1000, and ab150173 Goat Anti-Chicken IgY H&L (Alexa Fluor® 488) preadsorbed 1/1000. Nuclear DNA was labelled with DAPI (shown in blue). The section was then mounted using Dako Fluorescence Mounting Medium ®.

Image was taken with a confocal microscope (Leica-Microsystems, TCS SP8).

For other IHC staining systems (automated and non-automated), customers should optimize variable parameters such as antigen retrieval conditions, antibody concentrations and incubation times.

*Tissue obtained from the Human Research Tissue Bank, supported by the NIHR Cambridge Biomedical Research Centre.

Immunohistochemistry (Formalin/PFA-fixed paraffin-embedded sections) - Anti-Iba1 antibody [EPR16588] - Microglia marker (AB178846)
  • IHC-P

Supplier Data

Immunohistochemistry (Formalin/PFA-fixed paraffin-embedded sections) - Anti-Iba1 antibody [EPR16588] - Microglia marker (AB178846)

Immunohistochemical analysis of paraffin-embedded Human cerebral cortex tissue labeling Iba1 with ab178846 at a 1/2000 dilution showing cytoplasm and nuclear staining on Glial cells. Counter stained with hematoxylin. Prediluted HRP Polymer for Rabbit/Mouse IgG was used as the secondary aantibody. Negative control also shown.

Perform heat mediated antigen retrieval with Tris/EDTA buffer pH 9.0 before commencing with IHC staining protocol.

Immunohistochemistry (Formalin/PFA-fixed paraffin-embedded sections) - Anti-Iba1 antibody [EPR16588] - Microglia marker (AB178846)
  • IHC-P

Lab

Immunohistochemistry (Formalin/PFA-fixed paraffin-embedded sections) - Anti-Iba1 antibody [EPR16588] - Microglia marker (AB178846)

Immunohistochemical analysis of formalin fixed paraffin embedded human cerebellum labelling Iba1 with ab178846 at a dilution of 1/4000. The immunostaining was performed on a Ventana DISCOVERY ULTRA (Roche Tissue Diagnostics) instrument with an ChromoMap DAB (RUO) IHC Detection Kit with anti rabbit HQ and anti HQ HRP. Heat mediated antigen retrieval was conducted for 24 min with DISCOVERY cell conditioning solution (CC1)  100°C, pH 8.5. ab178846 was incubated at 37°C for 16 min. Sections were counterstained is with Hematoxylin II. Image inset shows absence of staining in secondary antibody only control.

Immunocytochemistry/ Immunofluorescence - Anti-Iba1 antibody [EPR16588] - Microglia marker (AB178846)
  • ICC/IF

Lab

Immunocytochemistry/ Immunofluorescence - Anti-Iba1 antibody [EPR16588] - Microglia marker (AB178846)

Immunofluorescence staining of Iba-1 using ab178846 in primary rat hippocampal mixed glia (prepared from P2 rat hippocampal brain area obtained from Transnetyx Tissue by BrainBits LLC cat.no. SDPHP4m) DIV4. The cells were fixed with 4% formaldehyde (10 min) permeabilized with 0.1% Triton-X-100 (in PBS) for 5 mins and then blocked with 1% BSA/10% normal goat serum/0.3M glycine in 0.1% PBS-Tween for 1h. The cells were then incubated overnight at +4°C with ab178846 at 0.1 μg/ml and ab4674 Anti-GFAP antibody at 1/1000 dilution. Cells were then incubated with ab150081 Goat Anti-Rabbit IgG H&L (Alexa Fluor® 488) preadsorbed at 1/1000 dilution (shown in green) and ab150176 Goat Anti-Chicken IgY H&L (Alexa Fluor® 594) preadsorbed at 1/1000 dilution (shown in red). Nuclear DNA was labelled with DAPI (shown in blue).Images were acquired with the Perkin Elmer Operetta HCA and a maximum intensity projection of confocal sections is shown. The antibody ab178846 gave comparable results using MeOH fixation (100% 5 min).

Immunohistochemistry (Frozen sections) - Anti-Iba1 antibody [EPR16588] - Microglia marker (AB178846)
  • IHC-Fr

Lab

Immunohistochemistry (Frozen sections) - Anti-Iba1 antibody [EPR16588] - Microglia marker (AB178846)

Immunohistochemical analysis of 4% PFA-fixed, 0.2% Triton X-100 permeabilized frozen Mouse cerebrum (perfused fixed) tissue labeling Iba1 with ab178846 at 1200 dilution followed by Goat Anti-Rabbit IgG H&L (Alexa Fluor® 488) preadsorbed (ab150081) at 1/1000 dilution (Green).

Confocal image showing positive staining on mouse cerebrum. The nuclear counterstain was DAPI (Blue). The section was incubated with ab178846 for 60 mins at room temperature. The section was then mounted using Fluoromount®.The immunostaining was performed on a Leica Biosystems BOND® RX instrument. Image was taken with a confocal microscope (Leica-Microsystems, TCS SP8).

Secondary antibody control : Secondary antibody is Goat Anti-Rabbit IgG H&L (Alexa Fluor® 488) preadsorbed (ab150081)at 1/1000 dilution.

Heat mediated antigen retrieval using sodium citrate buffer (10mM citrate pH 6.0 + 0.05% Tween-20).

Flow Cytometry (Intracellular) - Anti-Iba1 antibody [EPR16588] - Microglia marker (AB178846)
  • Flow Cyt (Intra)

Lab

Flow Cytometry (Intracellular) - Anti-Iba1 antibody [EPR16588] - Microglia marker (AB178846)

Flow cytometry overlay histogram showing left Raw264.7 positive cells and right negative NIH3T3 stained with ab178846 (red line). The cells were fixed with 4% formaldehyde (10 min) and then permeabilised with 0.1% PBS-Triton X-100 for 15 min. The cells were then incubated in 1x PBS containing 10μg/ml anti CD16/CD32 and 10% normal goat serum to block FC receptors and non-specific protein-protein interaction followed by the antibody (ab178846) (1x 106 in 100μl at 0.2μg/ml (1/9850 dilution)) for 30min at 22°C.The secondary antibody Goat Anti-Rabbit IgG H&L (Alexa Fluor® 488) preadsorbed was incubated at 1/4000 for 30min at 22°CIsotype control antibody (black line) was Recombinant Rabbit IgG monoclonal [EPR25A] - Isotype Control used at the same concentration and conditions as the primary antibody. Unlabelled sample (blue line) was also used as a control.Acquisition of >5000 events were collected using a 50 mW Blue laser (488nm) and 525/40 bandpass filter.

Immunohistochemistry (Frozen sections) - Anti-Iba1 antibody [EPR16588] - Microglia marker (AB178846)
  • IHC-Fr

Lab

Immunohistochemistry (Frozen sections) - Anti-Iba1 antibody [EPR16588] - Microglia marker (AB178846)

Immunohistochemical analysis of 4% PFA-fixed, 0.2% Triton X-100 permeabilized frozen Rat cerebrum (perfused fixed) tissue labeling Iba1 with ab178846 at 1200 dilution followed by Goat Anti-Rabbit IgG H&L (Alexa Fluor® 488) preadsorbed (ab150081) at 1/1000 dilution (Green).

Confocal image showing positive staining on rat cerebrum. The nuclear counterstain was DAPI (Blue). The section was incubated with ab178846 for 60 mins at room temperature. The section was then mounted using Fluoromount®.The immunostaining was performed on a Leica Biosystems BOND® RX instrument. Image was taken with a confocal microscope (Leica-Microsystems, TCS SP8).

Secondary antibody control : Secondary antibody is Goat Anti-Rabbit IgG H&L (Alexa Fluor® 488) preadsorbed (ab150081)at 1/1000 dilution.

Heat mediated antigen retrieval using sodium citrate buffer (10mM citrate pH 6.0 + 0.05% Tween-20).

Immunohistochemistry (Formalin/PFA-fixed paraffin-embedded sections) - Anti-Iba1 antibody [EPR16588] - Microglia marker (AB178846)
  • IHC-P

AbReview63039****

Immunohistochemistry (Formalin/PFA-fixed paraffin-embedded sections) - Anti-Iba1 antibody [EPR16588] - Microglia marker (AB178846)

Formaldehyde-fixed paraffin-embedded cynomolgus monkey brain tissue stained for Iba1 using ab178846 at 1/6000 dilution in immunohistochemical analysis.

Antigen Retrieval : Heat mediated - Buffer/Enzyme Used : pH 9.0 EDTA

This image was courtesy of an annonymous Abreview

IHC-tissue clearing - Anti-Iba1 antibody [EPR16588] - Microglia marker (AB178846)
  • IHC-tissue clearing

Supplier Data

IHC-tissue clearing - Anti-Iba1 antibody [EPR16588] - Microglia marker (AB178846)

Anti-Iba1 ab178846 was used with Tissue clearing kit – CUBIC (ab316246) and 3D Tissue Staining Kit – CUBIC (ab316248) to penetrate stain and clear a whole mouse brain.

Learn more about tissue clearing kits reagents and protocols designed to make it easier to stain whole brains and get more data from each valuable tissue sample.

For a whole mouse brain we recommend starting with 3.5 ug of ab178846 and using a Fab fragment secondary antibody with 2.34 µg to create an antibody complex before 3D staining (see protocol for details). Additive A was used during the staining process.

The sample was imaged using a light-sheet microscope.

Immunocytochemistry/ Immunofluorescence - Anti-Iba1 antibody [EPR16588] - Microglia marker (AB178846)
  • ICC/IF

Supplier Data

Immunocytochemistry/ Immunofluorescence - Anti-Iba1 antibody [EPR16588] - Microglia marker (AB178846)

0.1% Triton-X 100 permeabilized paraformaldehyde-fixed Mouse cell Microglia cells labeling Iba1 (green) using ab178846 at 1/500 dilution in ICC/IF analysis.

Immunohistochemistry (Frozen sections) - Anti-Iba1 antibody [EPR16588] - Microglia marker (AB178846)
  • IHC-Fr

Lab

Immunohistochemistry (Frozen sections) - Anti-Iba1 antibody [EPR16588] - Microglia marker (AB178846)

Immunohistochemical analysis of 4% PFA-fixed, 0.2% Triton X-100 permeabilized frozen Mouse liver (perfused fixed) tissue labeling Iba1 with ab178846 at 1200 dilution followed by Goat Anti-Rabbit IgG H&L (Alexa Fluor® 488) preadsorbed (ab150081) at 1/1000 dilution (Green).

Confocal image showing positive staining on mouse liver. The nuclear counterstain was DAPI (Blue). The section was incubated with ab178846 for 60 mins at room temperature. The section was then mounted using Fluoromount®.The immunostaining was performed on a Leica Biosystems BOND® RX instrument. Image was taken with a confocal microscope (Leica-Microsystems, TCS SP8).

Secondary antibody control : Secondary antibody is Goat Anti-Rabbit IgG H&L (Alexa Fluor® 488) preadsorbed (ab150081)at 1/1000 dilution.

Heat mediated antigen retrieval using sodium citrate buffer (10mM citrate pH 6.0 + 0.05% Tween-20).

Immunohistochemistry (Formalin/PFA-fixed paraffin-embedded sections) - Anti-Iba1 antibody [EPR16588] - Microglia marker (AB178846)
  • IHC-P

Lab

Immunohistochemistry (Formalin/PFA-fixed paraffin-embedded sections) - Anti-Iba1 antibody [EPR16588] - Microglia marker (AB178846)

IHC image of Iba1 staining in rat normal brain formalin fixed paraffin embedded tissue section performed on a Leica Bond™ system using the standard protocol F.

The section was pre-treated using heat mediated antigen retrieval with sodium citrate buffer (pH6 epitope retrieval solution 1) for 20 mins. The section was then incubated with ab178846 at 1/2000 dilution for 15 mins at room temperature and detected using an HRP conjugated compact polymer system. DAB was used as the chromogen. The section was then counterstained with haematoxylin and mounted with DPX.

For other IHC staining systems (automated and non-automated) customers should optimize variable parameters such as antigen retrieval conditions primary antibody concentration and antibody incubation times.

Immunohistochemistry (Formalin/PFA-fixed paraffin-embedded sections) - Anti-Iba1 antibody [EPR16588] - Microglia marker (AB178846)
  • IHC-P

Lab

Immunohistochemistry (Formalin/PFA-fixed paraffin-embedded sections) - Anti-Iba1 antibody [EPR16588] - Microglia marker (AB178846)

IHC image of Iba1 staining in mouse normal brain formalin fixed paraffin embedded tissue section, performed on a Leica Bond™ system using the standard protocol B. The section was pre-treated using heat mediated antigen retrieval with sodium citrate buffer (pH6, epitope retrieval solution 1) for 20 mins. The section was then incubated with ab178846, 1/2000 dilution, for 15 mins at room temperature. A goat anti-rabbit biotinylated secondary antibody was used to detect the primary, and visualized using an HRP conjugated ABC system. DAB was used as the chromogen. The section was then counterstained with haematoxylin and mounted with DPX.

For other IHC staining systems (automated and non-automated) customers should optimize variable parameters such as antigen retrieval conditions, primary antibody concentration and antibody incubation times.

Western blot - Anti-Iba1 antibody [EPR16588] - Microglia marker (AB178846)
  • WB

Lab

Western blot - Anti-Iba1 antibody [EPR16588] - Microglia marker (AB178846)

Abcam recommends blocking in milk for cleaner blots with reduced background, in comparison to BSA.

This blot was produced using a 4-12% Bis-Tris gel under the MOPS buffer system. The gel was run at 200V for 60 minutes before being transferred onto a nitrocellulose membrane at 30V for 70 minutes. The membrane was then blocked for an hour before being incubated with ab178846 (anti-Iba1 antibody; 1/500 dilution) for 18 hours at 4°C. Antibody binding was detected using ab97040 (HRP-labelled goat anti-mouse IgG) at 1 : 50,000 dilution for 1 hour at room temperature and visualised using ECL development solution ab133406.

All lanes:

Western blot - Anti-Iba1 antibody [EPR16588] - Microglia marker (ab178846) at 1/500 dilution

Lane 1:

Human Iba1 recombinant protein at 0.1 µg

Lane 2:

HEK-293 (human epithelial cell line from embryonic kidney) whole cell lysate at 20 µg

Lane 3:

A431 (human epidermoid carcinoma cell line) whole cell lysate at 20 µg

Lane 4:

NIH/3T3 (mouse embyro fibroblast cell line) whole cell lysate at 30 µg

Lane 5:

Human spleen tissue lysate at 20 µg

Lane 6:

Mouse spleen tissue lysate at 30 µg

Lane 7:

Rat spleen tissue lysate at 30 µg

Lane 8:

U937 (human histiocytic lymphoma cell line) whole cell lysate at 30 µg

Lane 9:

MOLT-4 (human lymphoblastic leukemia cell line) whole cell lysate at 20 µg

Lane 10:

THP-1 (human monocytic leukemia cell line) whole cell lysate at 30 µg

Lane 11:

THP-1 whole cell lysate, PMA treated at 30 µg

Lane 12:

RAW 264.7 (mouse macrophage cell line transformed with Abelson murine leukemia virus) whole cell lysate at 30 µg

Lane 13:

C6 (rat glial tumor cell line) whole cell lysate at 30 µg

Lane 14:

NR8383 whole cell lysate at 30 µg

Predicted band size: 16 kDa

true

Exposure time: 1min

Western blot - Anti-Iba1 antibody [EPR16588] - Microglia marker (AB178846)
  • WB

Lab

Western blot - Anti-Iba1 antibody [EPR16588] - Microglia marker (AB178846)

Different batches of ab178846 were tested on THP-1 (Human monocytic leukemia monocyte) lysate at 0.02 µg/ml. 15 µg of lysate was loaded in each lane. Bands observed at 15 kDa.

All lanes:

Western blot - Anti-Iba1 antibody [EPR16588] - Microglia marker (ab178846)

Predicted band size: 16 kDa

false

Western blot - Anti-Iba1 antibody [EPR16588] - Microglia marker (AB178846)
  • WB

Supplier Data

Western blot - Anti-Iba1 antibody [EPR16588] - Microglia marker (AB178846)

Blocking buffer and concentration : 5% NFDM/TBST

Diluting buffer and concentration : 5% NFDM /TBST

All lanes:

Western blot - Anti-Iba1 antibody [EPR16588] - Microglia marker (ab178846) at 1/10000 dilution

Lane 1:

THP-1 (human monocytic leukemia cell line) whole cell lysate at 10 µg

Lane 2:

U937 (human histiocytic lymphoma cell line) whole cell lysate at 10 µg

Lane 3:

Human spleen whole cell lysate at 10 µg

Secondary

All lanes:

Goat Anti-Rabbit IgG, (H+L), Peroxidase conjugated at 1/1000 dilution

Predicted band size: 16 kDa

Observed band size: 15 kDa

true

Western blot - Anti-Iba1 antibody [EPR16588] - Microglia marker (AB178846)
  • WB

Supplier Data

Western blot - Anti-Iba1 antibody [EPR16588] - Microglia marker (AB178846)

Blocking buffer and concentration : 5% NFDM/TBST.

Diluting buffer and concentration :

5% NFDM /TBST.

Based on sequence analysis, ab178846 recognizes 2 isoforms with the predicted MWs of 17KDa and 11KDa, respectively.

All lanes:

Western blot - Anti-Iba1 antibody [EPR16588] - Microglia marker (ab178846) at 1/2000 dilution

All lanes:

HL-60 (human promyelocytic leukemia cell line) whole cell lysate at 10 µg

Secondary

All lanes:

Goat Anti-Rabbit IgG, (H+L), Peroxidase conjugated at 1/1000 dilution

Predicted band size: 16 kDa

Observed band size: 10 kDa,15 kDa

false

Western blot - Anti-Iba1 antibody [EPR16588] - Microglia marker (AB178846)
  • WB

Unknown

Western blot - Anti-Iba1 antibody [EPR16588] - Microglia marker (AB178846)

All lanes:

Western blot - Anti-Iba1 antibody [EPR16588] - Microglia marker (ab178846)

Lane 1:

Mouse testis

Lane 2:

Mouse liver

Lane 3:

Rat testis

Lane 4:

Rat liver

Predicted band size: 16 kDa

false

Western blot - Anti-Iba1 antibody [EPR16588] - Microglia marker (AB178846)
  • WB

Lab

Western blot - Anti-Iba1 antibody [EPR16588] - Microglia marker (AB178846)

Blocking buffer and concentration : 5% NFDM/TBST. Diluting buffer and concentration : 5% NFDM/TBST. IBA1 is a relatively minor protein of brain and is much more abundant in spleen (PMID : 8912632, PMID : 29232670). We suggest loading higher amount of brain lysate or using lower dilution of antibody for detecting signal in brain related lysates. ab181602 was used as loading control.

All lanes:

Western blot - Anti-Iba1 antibody [EPR16588] - Microglia marker (ab178846) at 1/1000 dilution

Lane 1:

Mouse spleen tissue lysate at 20 µg

Lane 2:

Mouse brain tissue lysate at 20 µg

Lane 3:

Mouse hippocampus tissue lysate at 20 µg

Lane 4:

Rat spleen tissue lysate at 20 µg

Lane 5:

Rat brain tissue lysate at 20 µg

Lane 6:

Rat hippocampus tissue lysate at 20 µg

Secondary

All lanes:

Western blot - Goat Anti-Rabbit IgG H&L (HRP) (<a href='/products/secondary-antibodies/goat-rabbit-igg-h-l-hrp-ab97051'>ab97051</a>) at 1/20000 dilution

Predicted band size: 16 kDa

Observed band size: 17 kDa

false

Exposure time: 40s

関連する標識済み抗体及び組成の異なる製品 (6)

  • Carrier free

    Anti-Iba1 antibody [EPR16588] - BSA and Azide free

  • 519 Alexa Fluor® 488

    Alexa Fluor® 488 Anti-Iba1 antibody [EPR16588] - Microglia marker

  • 665 Alexa Fluor® 647

    Alexa Fluor® 647 Anti-Iba1 antibody [EPR16588] - Microglia marker

  • Carrier free

    Anti-Iba1 antibody [EPR16588] – Chicken IgY (Chimeric) – BSA and Azide Free

  • 660 APC

    APC Anti-Iba1 antibody [EPR16588] - Microglia marker

  • 775 Alexa Fluor® 750

    Alexa Fluor® 750 Anti-Iba1 antibody [EPR16588] - Microglia marker

Key facts

宿主種

Rabbit

クローン性

Monoclonal

クローン番号

EPR16588

アイソタイプ

IgG

キャリアフリー

No

交差種

Mouse, Rat, Human

アプリケーション

IHC-Fr, WB, ICC/IF, IHC-P, Flow Cyt (Intra)

applications

免疫原

The exact immunogen used to generate this antibody is proprietary information.

特異性

For ab178846 Abcam recommends blocking in 3% milk for cleanest results in WB. Blocking with BSA gives slightly higher background.

Iba1 is a relatively minor protein of brain and is much more abundant in spleen (PMID: 8912632, PMID: 29232670). We suggest loading higher amount of brain lysate or using lower dilution of antibody for detecting signal in brain related lysates

Reactivity data

{ "title": "Reactivity Data", "filters": { "stats": ["", "Species", "Dilution Info", "Notes"], "tabs": { "all-applications": {"fullname" : "All Applications", "shortname": "All Applications"}, "IHCFr" : {"fullname" : "Immunohistochemistry (Frozen sections)", "shortname":"IHC-Fr"}, "WB" : {"fullname" : "Western blot", "shortname":"WB"}, "ICCIF" : {"fullname" : "Immunocytochemistry/ Immunofluorescence", "shortname":"ICC/IF"}, "FlowCytIntra" : {"fullname" : "Flow Cytometry (Intracellular)", "shortname":"Flow Cyt (Intra)"}, "IHCP" : {"fullname" : "Immunohistochemistry (Formalin/PFA-fixed paraffin-embedded sections)", "shortname":"IHC-P"} }, "product-promise": { "all": "all", "testedAndGuaranteed": "tested", "guaranteed": "expected", "predicted": "predicted", "notRecommended": "not-recommended" } }, "values": { "Human": { "IHCFr-species-checked": "guaranteed", "IHCFr-species-dilution-info": "", "IHCFr-species-notes": "", "WB-species-checked": "testedAndGuaranteed", "WB-species-dilution-info": "1/500 - 1/2000", "WB-species-notes": "<p>Abcam recommends blocking in 3% milk for cleanest results in WB. Blocking with BSA gives slightly higher background.</p>", "ICCIF-species-checked": "guaranteed", "ICCIF-species-dilution-info": "", "ICCIF-species-notes": "", "FlowCytIntra-species-checked": "testedAndGuaranteed", "FlowCytIntra-species-dilution-info": "1/160", "FlowCytIntra-species-notes": "<p></p>", "IHCP-species-checked": "testedAndGuaranteed", "IHCP-species-dilution-info": "1/2000", "IHCP-species-notes": "<p></p> Perform heat-mediated antigen retrieval with Tris/EDTA buffer pH 9.0 before commencing with IHC staining protocol." }, "Mouse": { "IHCFr-species-checked": "testedAndGuaranteed", "IHCFr-species-dilution-info": "1/200", "IHCFr-species-notes": "<p></p>", "WB-species-checked": "testedAndGuaranteed", "WB-species-dilution-info": "1/500 - 1/2000", "WB-species-notes": "<p>Abcam recommends blocking in 3% milk for cleanest results in WB. Blocking with BSA gives slightly higher background.</p>", "ICCIF-species-checked": "testedAndGuaranteed", "ICCIF-species-dilution-info": "0.1-1 µg/mL", "ICCIF-species-notes": "<p></p>", "FlowCytIntra-species-checked": "testedAndGuaranteed", "FlowCytIntra-species-dilution-info": "1/160", "FlowCytIntra-species-notes": "<p></p>", "IHCP-species-checked": "testedAndGuaranteed", "IHCP-species-dilution-info": "1/2000", "IHCP-species-notes": "<p></p> Perform heat-mediated antigen retrieval with Tris/EDTA buffer pH 9.0 before commencing with IHC staining protocol." }, "Rat": { "IHCFr-species-checked": "testedAndGuaranteed", "IHCFr-species-dilution-info": "1/200", "IHCFr-species-notes": "<p></p>", "WB-species-checked": "testedAndGuaranteed", "WB-species-dilution-info": "1/500 - 1/2000", "WB-species-notes": "<p>Abcam recommends blocking in 3% milk for cleanest results in WB. Blocking with BSA gives slightly higher background.</p>", "ICCIF-species-checked": "testedAndGuaranteed", "ICCIF-species-dilution-info": "0.1-1 µg/mL", "ICCIF-species-notes": "<p></p>", "FlowCytIntra-species-checked": "guaranteed", "FlowCytIntra-species-dilution-info": "", "FlowCytIntra-species-notes": "", "IHCP-species-checked": "testedAndGuaranteed", "IHCP-species-dilution-info": "1/2000", "IHCP-species-notes": "<p></p> Perform heat-mediated antigen retrieval with Tris/EDTA buffer pH 9.0 before commencing with IHC staining protocol." } } }

製品の詳細

Anti-Iba1 antibody [EPR16588] (ab178846) was developed by Abcam using patented rabbit monoclonal antibody technology and is validated for use in Flow Cyt (Intra), ICC/IF, IHC-P and WB.

Anti-Iba1 antibody [EPR16588] (ab178846) was first used in a scientific publication in 2016 and has been cited over 439 times in peer reviewed journals. It's performance in IHC, Western Blot and Immunofluorescence in mouse and rat samples is trusted by the scientific community.

Abcam's high quality manufacturing and validation processes ensure Anti-Iba1 antibody [EPR16588] (ab178846) has high sensitivity and specificity alongside high lot-to-lot consistency and reproducibility.

Anti-Iba1 antibody [EPR16588] (ab178846) has 44 independent reviews from customers.

Anti-Iba1 antibody [EPR16588] (ab178846) specifically detects Iba1 (UniProt ID: O70200; Molecular weight: 17kDa) and is sold in 100 µL and 1 mL selling sizes.

Conjugation-ready, carrier free format available for antibody clone EPR16588 - ab220815.

Antibody clone EPR16588 is also available pre-conjugated to a variety of labels for your convenience - Alexa Fluor® 488, Alexa Fluor® 647, APC, Alexa Fluor® 750 (ab225260, ab225261, ab320071, ab321218).

NEW: Explore our alternative host species for clone [EPR16588] : goat, chicken, rat. Iba1 (AIF1) is a marker for microglia, the brain's primary immune cells and is frequently used in Alzheimer's disease (AD) research. In AD brains, altered Iba1 expression indicates microglial activation and neuroinflammation. Researchers use Iba1 to assess microglial response and motility in AD models, making it essential for understanding the role of inflammation and immune response in Alzheimer's pathology.

Patented technology
Our RabMAb® technology is a patented hybridoma-based technology for making rabbit monoclonal antibodies. For details on our patents, please refer to RabMAb® patents.

What are the advantages of a recombinant monoclonal antibody?
This product is a recombinant monoclonal antibody, which offers several advantages including:

  • - High batch-to-batch consistency and reproducibility
  • - Improved sensitivity and specificity
  • - Long-term security of supply
  • - Animal-free batch production

For more information, read more on recombinant antibodies.

出荷温度及び保存条件

製品の状態
Liquid
精製方法
Affinity purification Protein A
バッファー組成
Preservative: 0.01% Sodium azide Constituents: PBS, 40% Glycerol (glycerin, glycerine), 0.05% BSA
出荷温度
Blue Ice
短期保存期間
1-2 weeks
短期保存温度
+4°C
長期保存温度
-20°C
分注に関する情報
Upon delivery aliquot
保管に関する情報
Avoid freeze / thaw cycle

補足情報

This supplementary information is collated from multiple sources and compiled automatically.

Iba1 also known as allograft inflammatory factor 1 (AIF1) is a protein with a molecular weight of approximately 17 kDa. It is widely expressed in microglia which are the resident immune cells of the central nervous system (CNS). Iba1 plays a mechanical role in actin-binding and modulating cytoskeleton dynamics which affects cell shape and motility. It is also found in other myeloid-derived cells including macrophages and monocytes where it influences cellular processes linked to inflammation and immune responses.
Biological function summary

The involvement of Iba1 in actin polymerization impacts microglia's ability to perform phagocytosis and cytokine production. Iba1 does not appear to be part of any large protein complex but interacts directly with actin filaments to facilitate cytoskeletal reorganization. This function enables the cells to move and respond efficiently to tissue damage or pathogens in the CNS. It plays an important role in supporting cellular changes associated with immune surveillance and neuroinflammatory responses.

Pathways

Microglial activation relies heavily on Iba1 for executing acts linked with neuroinflammation. Iba1 engages in the NF-κB signaling pathway significant in managing inflammatory responses. It interacts with proteins such as MyD88 and IRAK4 which aid in transmitting signals from toll-like receptors. These pathways enable changes in gene expression critical for microglial response to various stimuli. Furthermore Iba1 also contributes to the PI3K/Akt pathway where it influences cell survival and proliferation interacting with proteins like Akt1 and PTEN.

Iba1 has implications in neurodegenerative diseases notably Alzheimer's disease and multiple sclerosis. In Alzheimer's disease increased expression of Iba1 is observed in activated microglia around amyloid plaques suggesting a role in plaque clearance and neuroinflammation. The protein relates to amyloid precursor protein (APP) as microglia respond to abnormal accumulations. In multiple sclerosis Iba1 expression marks activated microglia involved in demyelination processes where it associates with proteins like myelin basic protein (MBP) highlighting its role in the disease's pathology.

製品プロトコール

For this product, it's our understanding that no specific protocols are required. You can visit:

ターゲットの情報

Actin-binding protein that enhances membrane ruffling and RAC activation. Enhances the actin-bundling activity of LCP1. Binds calcium. Plays a role in RAC signaling and in phagocytosis. May play a role in macrophage activation and function. Promotes the proliferation of vascular smooth muscle cells and of T-lymphocytes. Enhances lymphocyte migration. Plays a role in vascular inflammation.
See full target information AIF1

文献 (874)

Recent publications for all applications. Explore the full list and refine your search

Microbiome 13:202 PubMed41063317

2025

Alternate day fasting alleviates neuroinflammation in diabetic mice by regulating δ-valerobetaine-carnitine-microglia axis via enrichment of Akkermansia muciniphila.

Applications

Unspecified application

Species

Unspecified reactive species

Kaiyan Gong,Shuhui Zhang,Yangjie Pan,Qingpeng Cai,Mengjun Wu,Xiaoli Yin,Jiahui Ma,Hao Ji,Zhen Wang,Wenjun Wu,Hong Zheng

Alzheimer's research & therapy 17:221 PubMed41057930

2025

Anti-tau VHH therapy against PHF6: a safe approach to slowing the phenotype of tau pathology.

Applications

Unspecified application

Species

Unspecified reactive species

Raphaelle Caillierez,Clémence Leboullenger,Sarah Leclercq,Mélanie Besegher,Séverine Bégard,Florent Auger,Claude-Alain Maurage,Bertrand Accart,Justine Mortelecque,Elian Dupré,Clément Danis,Isabelle Landrieu,Luc Buée,Morvane Colin

Cell death discovery 11:443 PubMed41053028

2025

A knock-in mouse model for GABRG2-related epileptic encephalopathy displays spontaneous generalized seizures and cognitive impairment.

Applications

Unspecified application

Species

Unspecified reactive species

Dingding Shen,Jiali Wan,Xin Zhang,Jiahui Sui,Longwu Zhan,Yuqin Zheng,Yaohui Ni,Qi Zhang

Translational psychiatry 15:376 PubMed41053009

2025

LdIL-2 treatment in ASD: a novel immunotherapeutic approach targeting Th/Treg dysfunction and neuroinflammation.

Applications

Unspecified application

Species

Unspecified reactive species

Meng Li,Xiuying Kui,Shujun Yang,Zuqing Nie,Huiling Chen,Penghao Yao,Xinyi Xu,Chen Shen,Zhiwei Li,Huijia Zhao,Jie Wen,Xinwei Huang,Jingrui Yang,Jinyuan Yan,Pengfei Wang,Bin Li,Xia Cao

Theranostics 15:9775-9792 PubMed41041052

2025

Enhancing glymphatic transport through angiotensin II type 2 receptor activation promotes neurological recovery after traumatic brain injury.

Applications

Unspecified application

Species

Unspecified reactive species

Xiaoyu Zhang,Bin Sun,Wenzhong Li,Tianyi Liu,Wenchen Li,Bo Chen,Chuan He,Qin Liu,Shoujun Zhu,Haifeng Wang

Nature communications 16:8642 PubMed41028719

2025

Inhibition of ICAM1 diminishes stemness and enhances antitumor immunity in glioblastoma via β-catenin/PD-L1 signaling.

Applications

Unspecified application

Species

Unspecified reactive species

Meixia Guo,Zheng Yuan,Xiong Jin,Xinyu Li,Yilin Deng,Shuchang Zhou,Rui Niu,Joonbeom Bae,Jong Bae Park,Bingyang Shi,Jinlong Yin

Frontiers in molecular neuroscience 18:1603619 PubMed41030313

2025

Endoglin alleviates neuropathic pain by protecting the blood-spinal cord barrier through the TGF-β/Smad2 signaling pathway.

Applications

Unspecified application

Species

Unspecified reactive species

SiJing Liao,Fei-Ran Zhou,Qun Li,Tao Jin,Gui-Fang Xiang,Xin Wang,Yan Liu,Hq Zhu,Qing Liu,Yuexin Liu,Ying Zhang

Journal of microbiology and biotechnology 35:e2506049 PubMed41016824

2025

Effects of (L.) Roem Extract on Microglial Activation-Mediated Mild Cognitive Impairment via Regulation of CREB Signaling Pathway.

Applications

Unspecified application

Species

Unspecified reactive species

Joon Park,Yongeun Kim,Jung-Eun Lee,Yun Tai Kim

Bioscience trends : PubMed41016794

2025

Neurotropin alleviates Alzheimer's disease pathology by inhibiting FUS-mediated Calhm2 transcription, blocking the Calhm2/EFhd2 interaction, to improve mitochondrial dysfunction-associated microglia polarization.

Applications

Unspecified application

Species

Unspecified reactive species

Yuanlu Huang,Fusheng Wei,Xiaoe Cheng,Yinqi Shi,Ziye Liu,Lingling Ye

Frontiers in pharmacology 16:1659631 PubMed41001342

2025

Baicalein improves motor dysfunction and cognitive impairment while promoting remyelination in an animal model of multiple sclerosis through the antioxidant mechanism.

Applications

Unspecified application

Species

Unspecified reactive species

Qin Wang,Ziwen Wang,Yutong Li,Qiongzhang Wang,Yanran Chen,Benhao Xu,Haiyun Xu
View all publications

Abcam product promise

当社は、高品質な試薬を通じてお客様の研究を力強くサポートすることをお約束いたします。ご使用いただく各段階で、常にお客様をサポートできる体制を整えております。万が一、製品が期待通りに機能しない場合は、「Abcam Product Promise」による当社保証制度に基づき、安心してご利用いただけます。
保証に関する詳細については利用規約をご確認ください。

Please note: All products are 'FOR RESEARCH USE ONLY. NOT FOR USE IN DIAGNOSTIC OR THERAPEUTIC PROCEDURES'.

For licensing inquiries, please contact partnerships@abcam.com