JavaScript is disabled in your browser. Please enable JavaScript to view this website.
AB2411

Anti-Human IgA 抗体

Anti-Human IgA antibody

Be the first to review this product! Submit a review

|

(2 Publications)

Rabbit Polyclonal IGHA1 antibody. Suitable for IHC-P and reacts with Human samples. Cited in 2 publications. Immunogen corresponding to Native Full Length Protein corresponding to Human IGHA1.

別名を表示する

Immunoglobulin heavy constant alpha 1, Ig alpha-1 chain C region, Ig alpha-1 chain C region BUR, Ig alpha-1 chain C region TRO, IGHA1

1 Images
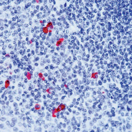
Immunohistochemistry (Formalin/PFA-fixed paraffin-embedded sections) - Anti-Human IgA antibody (AB2411)
  • IHC-P

Unknown

Immunohistochemistry (Formalin/PFA-fixed paraffin-embedded sections) - Anti-Human IgA antibody (AB2411)

ab2411 staining IgA in human tonsil sections

Key facts

宿主種

Rabbit

クローン性

Polyclonal

アイソタイプ

Unknown

軽鎖のタイプ

unknown

キャリアフリー

No

交差種

Human

アプリケーション

IHC-P

applications

免疫原

Native Full Length Protein corresponding to Human IGHA1.

P01876

Reactivity data

{ "title": "Reactivity Data", "filters": { "stats": ["", "Species", "Dilution Info", "Notes"], "tabs": { "all-applications": {"fullname" : "All Applications", "shortname": "All Applications"}, "IHCP" : {"fullname" : "Immunohistochemistry (Formalin/PFA-fixed paraffin-embedded sections)", "shortname":"IHC-P"} }, "product-promise": { "all": "all", "testedAndGuaranteed": "tested", "guaranteed": "expected", "predicted": "predicted", "notRecommended": "not-recommended" } }, "values": { "Human": { "IHCP-species-checked": "testedAndGuaranteed", "IHCP-species-dilution-info": "", "IHCP-species-notes": "<p></p>" } } }

出荷温度及び保存条件

製品の状態
Liquid
精製方法
Proprietary technique
バッファー組成
pH: 7.3 - 7.5 Preservative: 0.05% Sodium azide Constituents: 1% BSA
出荷温度
Blue Ice
短期保存期間
1-2 weeks
短期保存温度
+4°C
長期保存温度
-20°C
保管に関する情報
Avoid freeze / thaw cycle

補足情報

This supplementary information is collated from multiple sources and compiled automatically.

Human IgA also known as Immunoglobulin A is an antibody that plays a critical role in the immune system. It weighs approximately 160 kDa and is predominantly found in mucosal areas such as the respiratory and gastrointestinal tracts as well as in saliva tears and breast milk. In its molecular form IgA often exists as a dimer two IgA molecules linked by a joining (J) chain. The primary function of IgA is to protect mucosal surfaces by neutralizing pathogens and toxins preventing them from adhering to epithelial cells.
Biological function summary

IgA contributes to the immune defense by participating in immune exclusion mechanisms. As part of this process IgA interacts with the polymeric immunoglobulin receptor (pIgR) to transport across epithelial cells making it important for mucosal immunity. IgA is also connected with secretory components that further stabilize and enhance its longevity in mucosal secretions. It plays an integral role in forming complexes that assist in eliminating antigens from mucosal surfaces.

Pathways

Human IgA is an important player in the mucosal immune response pathway defending against pathogens by zeroing in on antigen neutralization. Its interactions with the pIgR are central to the transport mechanism through epithelial cells where the IgA-pIgR complex becomes the secretory IgA. This pathway shares a strong connection with related proteins such as IgM another immunoglobulin involved in the early stages of immune response and found in serum.

IgA is associated with IgA nephropathy a kidney disorder caused by the deposition of IgA in the kidneys leading to inflammation and functional impairment. Additionally IgA plays a role in celiac disease where IgA antibodies are produced in response to gluten and can contribute to intestinal damage. In these conditions the relationship between IgA and other proteins like complement component 3 (C3) is significant as improper regulation of these pathways may lead to tissue damage and disease progression.

製品プロトコール

For this product, it's our understanding that no specific protocols are required. You can visit:

ターゲットの情報

Constant region of immunoglobulin heavy chains. Immunoglobulins, also known as antibodies, are membrane-bound or secreted glycoproteins produced by B lymphocytes. In the recognition phase of humoral immunity, the membrane-bound immunoglobulins serve as receptors which, upon binding of a specific antigen, trigger the clonal expansion and differentiation of B lymphocytes into immunoglobulins-secreting plasma cells. Secreted immunoglobulins mediate the effector phase of humoral immunity, which results in the elimination of bound antigens (PubMed : 20176268, PubMed : 22158414). The antigen binding site is formed by the variable domain of one heavy chain, together with that of its associated light chain. Thus, each immunoglobulin has two antigen binding sites with remarkable affinity for a particular antigen. The variable domains are assembled by a process called V-(D)-J rearrangement and can then be subjected to somatic hypermutations which, after exposure to antigen and selection, allow affinity maturation for a particular antigen (PubMed : 17576170, PubMed : 20176268). Ig alpha is the major immunoglobulin class in body secretions (PubMed : 2241915).
See full target information IGHA1

文献 (2)

Recent publications for all applications. Explore the full list and refine your search

Annual review of pharmacology and toxicology 65:333-354 PubMed39259979

2024

Gut Microbiota-Related Biomarkers in Immuno-Oncology.

Applications

Unspecified application

Species

Unspecified reactive species

Carolina Alves Costa Silva,Marine Fidelle,Andrew A Almonte,Lisa Derosa,Laurence Zitvogel

Scientific reports 9:16241 PubMed31700017

2019

Cellular elements in the developing caecum of Japanese quail (Coturnix coturnix japonica): morphological, morphometrical, immunohistochemical and electron-microscopic studies.

Applications

Unspecified application

Species

Unspecified reactive species

Aalaa M AbuAli,Doaa M Mokhtar,Reda A Ali,Ekbal T Wassif,K E H Abdalla
View all publications

Abcam product promise

当社は、高品質な試薬を通じてお客様の研究を力強くサポートすることをお約束いたします。ご使用いただく各段階で、常にお客様をサポートできる体制を整えております。万が一、製品が期待通りに機能しない場合は、「Abcam Product Promise」による当社保証制度に基づき、安心してご利用いただけます。
保証に関する詳細については利用規約をご確認ください。

Please note: All products are 'FOR RESEARCH USE ONLY. NOT FOR USE IN DIAGNOSTIC OR THERAPEUTIC PROCEDURES'.

For licensing inquiries, please contact partnerships@abcam.com