JavaScript is disabled in your browser. Please enable JavaScript to view this website.
AB2927

Anti-Hsp90 beta 抗体

Anti-Hsp90 beta antibody

Be the first to review this product! Submit a review

|

(8 Publications)

Rabbit Polyclonal HS90B antibody. Suitable for IP, WB, IHC-P, ICC/IF, Flow Cyt and reacts with Human, Mouse, Rat, African green monkey, Primates samples. Cited in 8 publications. Immunogen corresponding to Synthetic Peptide within Mouse Hsp90ab1 aa 1-50.

別名を表示する

Hsp84, Hsp84-1, Hspc3, Hspcb, Heat shock protein HSP 90-beta, Heat shock 84 kDa, Tumor-specific transplantation 84 kDa antigen, HSP 84, HSP84, TSTA

12 Images
Immunocytochemistry/ Immunofluorescence - Anti-Hsp90 beta antibody (AB2927)
  • ICC/IF

Supplier Data

Immunocytochemistry/ Immunofluorescence - Anti-Hsp90 beta antibody (AB2927)

Immunocytochemistry/Immunofluorescence analysis of HSP90 beta shows staining in U251 cells. HSP 90 beta staining (green), F-Actin staining with Phalloidin (red) and nuclei with DAPI (blue) is shown. Cells were grown on chamber slides and fixed with formaldehyde prior to staining. Cells were probed without (control) or with or ab2927 at a dilution of 1 : 100 over night at 4°C, washed with PBS and incubated with a DyLight-488 conjugated goat anti-rabbit secondary antibody. Images were taken at 60X magnification.

Immunohistochemistry (Formalin/PFA-fixed paraffin-embedded sections) - Anti-Hsp90 beta antibody (AB2927)
  • IHC-P

Unknown

Immunohistochemistry (Formalin/PFA-fixed paraffin-embedded sections) - Anti-Hsp90 beta antibody (AB2927)

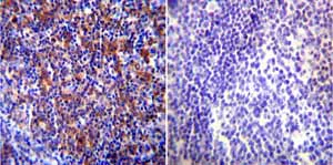
Immunohistochemistry was performed on normal biopsies of deparaffinized Human tonsil tissue. To expose target proteins heat induced antigen retrieval was performed using 10mM sodium citrate (pH6.0) buffer microwaved for 8-15 minutes. Following antigen retrieval tissues were blocked in 3% BSA-PBS for 30 minutes at room temperature. Tissues were then probed at a dilution of 1 : 100 with a rabbit polyclonal antibody recognizing Heat Shock Protein 84 ab2927 or without primary antibody (negative control) overnight at 4°C in a humidified chamber. Tissues were washed extensively with PBST and endogenous peroxidase activity was quenched with a peroxidase suppressor. Detection was performed using a biotin-conjugated secondary antibody and SA-HRP followed by colorimetric detection using DAB. Tissues were counterstained with hematoxylin and prepped for mounting.

Immunohistochemistry (Formalin/PFA-fixed paraffin-embedded sections) - Anti-Hsp90 beta antibody (AB2927)
  • IHC-P

Unknown

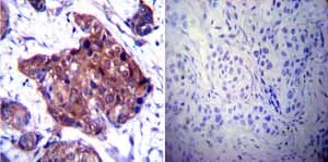
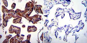
Immunohistochemistry (Formalin/PFA-fixed paraffin-embedded sections) - Anti-Hsp90 beta antibody (AB2927)

Immunohistochemistry was performed on normal biopsies of deparaffinized Human placenta tissue. To expose target proteins heat induced antigen retrieval was performed using 10mM sodium citrate (pH6.0) buffer microwaved for 8-15 minutes. Following antigen retrieval tissues were blocked in 3% BSA-PBS for 30 minutes at room temperature. Tissues were then probed at a dilution of 1 : 20 with a rabbit polyclonal antibody recognizing Heat Shock Protein 84 ab2927 or without primary antibody (negative control) overnight at 4°C in a humidified chamber. Tissues were washed extensively with PBST and endogenous peroxidase activity was quenched with a peroxidase suppressor. Detection was performed using a biotin-conjugated secondary antibody and SA-HRP followed by colorimetric detection using DAB. Tissues were counterstained with hematoxylin and prepped for mounting.

Immunocytochemistry/ Immunofluorescence - Anti-Hsp90 beta antibody (AB2927)
  • ICC/IF

Supplier Data

Immunocytochemistry/ Immunofluorescence - Anti-Hsp90 beta antibody (AB2927)

Immunocytochemistry/Immunofluorescence analysis of HSP90 beta shows staining in HepG2 cells. HSP 90 beta staining (green), F-Actin staining with Phalloidin (red) and nuclei with DAPI (blue) is shown. Cells were grown on chamber slides and fixed with formaldehyde prior to staining. Cells were probed without (control) or with or ab2927 at a dilution of 1 : 100 over night at 4°C, washed with PBS and incubated with a DyLight-488 conjugated goat anti-rabbit secondary antibody. Images were taken at 60X magnification.

Immunocytochemistry/ Immunofluorescence - Anti-Hsp90 beta antibody (AB2927)
  • ICC/IF

Supplier Data

Immunocytochemistry/ Immunofluorescence - Anti-Hsp90 beta antibody (AB2927)

Immunocytochemistry/Immunofluorescence analysis of HSP90 beta (green) in HeLa and NIH3T3 cells. Formalin fixed cells were permeabilized with 0.1% Triton X-100 in TBS for 10 minutes at room temperature. Cells were blocked with 1% BSA for 15 minutes at room temperature. Cells were incubated with ab2927 at a dilution of 1 : 50 for at least 1 hour at room temperature, washed with PBS, and incubated with a DyLight 488 goat-anti-rabbit IgG secondary antibody (1 : 400) for 30 minutes at room temperature. Nuclei (blue) were stained with Hoechst 33342 dye. Images were taken at 20X magnification.

Immunohistochemistry (Formalin/PFA-fixed paraffin-embedded sections) - Anti-Hsp90 beta antibody (AB2927)
  • IHC-P

Unknown

Immunohistochemistry (Formalin/PFA-fixed paraffin-embedded sections) - Anti-Hsp90 beta antibody (AB2927)

Immunohistochemistry was performed on cancer biopsies of deparaffinized Human breast carcinoma tissue. To expose target proteins heat induced antigen retrieval was performed using 10mM sodium citrate (pH6.0) buffer microwaved for 8-15 minutes. Following antigen retrieval tissues were blocked in 3% BSA-PBS for 30 minutes at room temperature. Tissues were then probed at a dilution of 1 : 100 with a rabbit polyclonal antibody recognizing Heat Shock Protein 84 ab2927 or without primary antibody (negative control) overnight at 4°C in a humidified chamber. Tissues were washed extensively with PBST and endogenous peroxidase activity was quenched with a peroxidase suppressor. Detection was performed using a biotin-conjugated secondary antibody and SA-HRP followed by colorimetric detection using DAB. Tissues were counterstained with hematoxylin and prepped for mounting.

Immunocytochemistry/ Immunofluorescence - Anti-Hsp90 beta antibody (AB2927)
  • ICC/IF

Supplier Data

Immunocytochemistry/ Immunofluorescence - Anti-Hsp90 beta antibody (AB2927)

Immunocytochemistry/Immunofluorescence analysis of HSP90 beta shows staining in A2058 cells. HSP 90 beta staining (green), F-Actin staining with Phalloidin (red) and nuclei with DAPI (blue) is shown. Cells were grown on chamber slides and fixed with formaldehyde prior to staining. Cells were probed without (control) or with or ab2927 at a dilution of 1 : 100 over night at 4°C, washed with PBS and incubated with a DyLight-488 conjugated goat anti-rabbit secondary antibody. Images were taken at 60X magnification.

Flow Cytometry - Anti-Hsp90 beta antibody (AB2927)
  • Flow Cyt

Supplier Data

Flow Cytometry - Anti-Hsp90 beta antibody (AB2927)

Flow cytometry analysis of HSP90 was done on HeLa cells. Cells were fixed, permeabilized and stained with a HSP90 rabbit polyclonal antibody (ab2927) (blue histogram) or a rabbit IgG isotype control (black histogram) at a dilution of 10 μg/mL. After incubation for 1 hour on ice, the cells were labeled with a Goat anti-Rabbit IgG (H+L) Superclonal™ Secondary Antibody, Alexa Fluor® 647 conjugate at a dilution of 1/50 for 1 hour on ice. A representative 10,000 cells were acquired and analyzed for each sample.

Immunoprecipitation - Anti-Hsp90 beta antibody (AB2927)
  • IP

Unknown

Immunoprecipitation - Anti-Hsp90 beta antibody (AB2927)

Immunoprecipitation of Hsp90 was performed on HeLa cells. Antigen : antibody complexes were formed by incubating 500μg whole cell lysate with 2μg of Hsp90 polyclonal antibody (ab2927) overnight on a rocking platform at 4°C. Immune complexes were captured on 50μl Protein A/G Agarose washed extensively and eluted with Buffer. Samples were resolved on a 4-20% Tris-HCl polyacrylamide gel, transferred to a PVDF membraneand blocked with 5% BSA/TBST for at least 1 hour. The membrane was probed with a Hsp90 polyclonal antibody (ab2927) at a dilution of 1 : 1000 overnight rotating at 4°C, washed in TBSTand probed with HRP detection reagent at a dilution of 1 : 1000 for at least one hour. Chemiluminescent detection was performed.

All lanes:

Immunoprecipitation - Anti-Hsp90 beta antibody (ab2927)

Predicted band size: 83 kDa

false

Western blot - Anti-Hsp90 beta antibody (AB2927)
  • WB

Supplier Data

Western blot - Anti-Hsp90 beta antibody (AB2927)

Samples were loaded onto a 4-20% Tris-HCl polyacrylamide gel. Proteins were transferred to a PVDF membrane and blocked with 5% BSA/TBST for at least 1 hour. The membrane was then probed with primary antibody (ab2927) overnight at 4°C on a rocking platform, washed in TBS-0.1%Tween 20, and probed with secondary antibody for at least one hour. Chemiluminescent detection was performed using SuperSignal West Pico.

All lanes:

Western blot - Anti-Hsp90 beta antibody (ab2927) at 1/1000 dilution

Lane 1:

MCF7 whole cell lysate at 50 µg

Lane 2:

293T whole cell lysate at 50 µg

Lane 3:

HeLa whole cell lysate at 50 µg

Lane 4:

K562 whole cell lysate at 50 µg

Lane 5:

A431 whole cell lysate at 50 µg

Lane 6:

HepG2 whole cell lysate at 50 µg

Lane 7:

COS7 whole cell lysate at 50 µg

Lane 8:

NIH3T3 whole cell lysate at 50 µg

Lane 9:

NRK whole cell lysate at 50 µg

Secondary

All lanes:

Goat anti-rabbit IgG-HRP at 1/20000 dilution

Predicted band size: 83 kDa

false

Western blot - Anti-Hsp90 beta antibody (AB2927)
  • WB

Unknown

Western blot - Anti-Hsp90 beta antibody (AB2927)

Western blot of mouse HSP 86 using ab2927.

All lanes:

Western blot - Anti-Hsp90 beta antibody (ab2927)

Predicted band size: 83 kDa

false

Western blot - Anti-Hsp90 beta antibody (AB2927)
  • WB

Supplier Data

Western blot - Anti-Hsp90 beta antibody (AB2927)

All lanes:

Western blot - Anti-Hsp90 beta antibody (ab2927)

Lane 1:

CRISPR targeted HSP90 beta knockout HeLa whole cell lysate

Lane 2:

Wild-type HeLa whole cell lysate

Predicted band size: 83 kDa

false

Key facts

宿主種

Rabbit

クローン性

Polyclonal

アイソタイプ

IgG

キャリアフリー

No

交差種

African green monkey, Mouse, Rat, Human, Primates

アプリケーション

Flow Cyt, WB, IP, ICC/IF, IHC-P

applications

免疫原

Synthetic Peptide within Mouse Hsp90ab1 aa 1-50. The exact immunogen used to generate this antibody is proprietary information.

P11499

特異性

Detects heat shock protein 90 beta (HSP90). This antibody does not detect HSP86 alpha.

Reactivity data

{ "title": "Reactivity Data", "filters": { "stats": ["", "Species", "Dilution Info", "Notes"], "tabs": { "all-applications": {"fullname" : "All Applications", "shortname": "All Applications"}, "IP" : {"fullname" : "Immunoprecipitation", "shortname":"IP"}, "WB" : {"fullname" : "Western blot", "shortname":"WB"}, "IHCP" : {"fullname" : "Immunohistochemistry (Formalin/PFA-fixed paraffin-embedded sections)", "shortname":"IHC-P"}, "ICCIF" : {"fullname" : "Immunocytochemistry/ Immunofluorescence", "shortname":"ICC/IF"}, "FlowCyt" : {"fullname" : "Flow Cytometry", "shortname":"Flow Cyt"} }, "product-promise": { "all": "all", "testedAndGuaranteed": "tested", "guaranteed": "expected", "predicted": "predicted", "notRecommended": "not-recommended" } }, "values": { "Human": { "IP-species-checked": "testedAndGuaranteed", "IP-species-dilution-info": "", "IP-species-notes": "<p>2 μg</p>", "WB-species-checked": "guaranteed", "WB-species-dilution-info": "", "WB-species-notes": "", "IHCP-species-checked": "testedAndGuaranteed", "IHCP-species-dilution-info": "10 µg/mL", "IHCP-species-notes": "<p></p>", "ICCIF-species-checked": "testedAndGuaranteed", "ICCIF-species-dilution-info": "10-20 µg/mL", "ICCIF-species-notes": "<p></p>", "FlowCyt-species-checked": "testedAndGuaranteed", "FlowCyt-species-dilution-info": "1-20 µg/mL", "FlowCyt-species-notes": "<p></p>" }, "Mouse": { "IP-species-checked": "guaranteed", "IP-species-dilution-info": "", "IP-species-notes": "", "WB-species-checked": "testedAndGuaranteed", "WB-species-dilution-info": "1/1000 - 1/20000", "WB-species-notes": "<p></p>", "IHCP-species-checked": "guaranteed", "IHCP-species-dilution-info": "", "IHCP-species-notes": "", "ICCIF-species-checked": "testedAndGuaranteed", "ICCIF-species-dilution-info": "10-20 µg/mL", "ICCIF-species-notes": "<p></p>", "FlowCyt-species-checked": "guaranteed", "FlowCyt-species-dilution-info": "", "FlowCyt-species-notes": "" }, "Rat": { "IP-species-checked": "guaranteed", "IP-species-dilution-info": "", "IP-species-notes": "", "WB-species-checked": "testedAndGuaranteed", "WB-species-dilution-info": "1/1000 - 1/20000", "WB-species-notes": "<p></p>", "IHCP-species-checked": "guaranteed", "IHCP-species-dilution-info": "", "IHCP-species-notes": "", "ICCIF-species-checked": "guaranteed", "ICCIF-species-dilution-info": "", "ICCIF-species-notes": "", "FlowCyt-species-checked": "guaranteed", "FlowCyt-species-dilution-info": "", "FlowCyt-species-notes": "" }, "African green monkey": { "IP-species-checked": "guaranteed", "IP-species-dilution-info": "", "IP-species-notes": "", "WB-species-checked": "testedAndGuaranteed", "WB-species-dilution-info": "1/1000 - 1/20000", "WB-species-notes": "<p></p>", "IHCP-species-checked": "guaranteed", "IHCP-species-dilution-info": "", "IHCP-species-notes": "", "ICCIF-species-checked": "guaranteed", "ICCIF-species-dilution-info": "", "ICCIF-species-notes": "", "FlowCyt-species-checked": "guaranteed", "FlowCyt-species-dilution-info": "", "FlowCyt-species-notes": "" }, "Cow": { "IP-species-checked": "predicted", "IP-species-dilution-info": "", "IP-species-notes": "", "WB-species-checked": "predicted", "WB-species-dilution-info": "", "WB-species-notes": "", "IHCP-species-checked": "predicted", "IHCP-species-dilution-info": "", "IHCP-species-notes": "", "ICCIF-species-checked": "predicted", "ICCIF-species-dilution-info": "", "ICCIF-species-notes": "", "FlowCyt-species-checked": "predicted", "FlowCyt-species-dilution-info": "", "FlowCyt-species-notes": "" }, "Cynomolgus monkey": { "IP-species-checked": "predicted", "IP-species-dilution-info": "", "IP-species-notes": "", "WB-species-checked": "predicted", "WB-species-dilution-info": "", "WB-species-notes": "", "IHCP-species-checked": "predicted", "IHCP-species-dilution-info": "", "IHCP-species-notes": "", "ICCIF-species-checked": "predicted", "ICCIF-species-dilution-info": "", "ICCIF-species-notes": "", "FlowCyt-species-checked": "predicted", "FlowCyt-species-dilution-info": "", "FlowCyt-species-notes": "" }, "Horse": { "IP-species-checked": "predicted", "IP-species-dilution-info": "", "IP-species-notes": "", "WB-species-checked": "predicted", "WB-species-dilution-info": "", "WB-species-notes": "", "IHCP-species-checked": "predicted", "IHCP-species-dilution-info": "", "IHCP-species-notes": "", "ICCIF-species-checked": "predicted", "ICCIF-species-dilution-info": "", "ICCIF-species-notes": "", "FlowCyt-species-checked": "predicted", "FlowCyt-species-dilution-info": "", "FlowCyt-species-notes": "" }, "Primates": { "IP-species-checked": "guaranteed", "IP-species-dilution-info": "", "IP-species-notes": "<p>2 μg</p>", "WB-species-checked": "guaranteed", "WB-species-dilution-info": "1/1000 - 1/20000", "WB-species-notes": "<p></p>", "IHCP-species-checked": "guaranteed", "IHCP-species-dilution-info": "10 µg/mL", "IHCP-species-notes": "<p></p>", "ICCIF-species-checked": "guaranteed", "ICCIF-species-dilution-info": "10-20 µg/mL", "ICCIF-species-notes": "<p></p>", "FlowCyt-species-checked": "guaranteed", "FlowCyt-species-dilution-info": "1-20 µg/mL", "FlowCyt-species-notes": "<p></p>" }, "Rabbit": { "IP-species-checked": "predicted", "IP-species-dilution-info": "", "IP-species-notes": "", "WB-species-checked": "predicted", "WB-species-dilution-info": "", "WB-species-notes": "", "IHCP-species-checked": "predicted", "IHCP-species-dilution-info": "", "IHCP-species-notes": "", "ICCIF-species-checked": "predicted", "ICCIF-species-dilution-info": "", "ICCIF-species-notes": "", "FlowCyt-species-checked": "predicted", "FlowCyt-species-dilution-info": "", "FlowCyt-species-notes": "" } } }

出荷温度及び保存条件

製品の状態
Liquid
精製方法
Affinity purification Immunogen
バッファー組成
Preservative: 0.05% Sodium azide Constituents: PBS, 0.1% BSA
出荷温度
Blue Ice
短期保存期間
1-2 weeks
短期保存温度
+4°C
長期保存温度
-20°C
分注に関する情報
Upon delivery aliquot
保管に関する情報
Avoid freeze / thaw cycle

補足情報

This supplementary information is collated from multiple sources and compiled automatically.

Hsp90 beta also known as Hsp90AB1 or Hsp90 protein is a heat shock protein of approximately 90 kDa. It is a molecular chaperone found in most eukaryotic cells. Hsp90 beta helps in the proper folding stabilization and degradation of many proteins. Unlike its isoform Hsp90 alpha Hsp90 beta has a more stable expression and is not typically induced by stress. This protein is primarily localized in the cytosol but can also be present in other cellular compartments depending on the cellular state.
Biological function summary

Hsp90 beta functions to maintain protein homeostasis and cellular integrity. It forms part of a multi-protein chaperone complex which includes cochaperones such as Hop Hsp70 and p23 necessary for its full functionality. Hsp90 beta supports the maturation of steroid hormone receptors kinases and other client proteins. It plays an important role in the cell cycle regulation through its interaction with various proteins ensuring proper cell division and growth.

Pathways

Hsp90 beta is deeply involved in signal transduction and cellular stress response pathways. Its interaction with the Akt pathway is significant for cell survival signals. Hsp90 beta also participates in the MAP kinase pathway affecting cell growth and differentiation. The protein associates with multiple kinases including RAF and Src which are important for downstream signaling.

The dysregulation of Hsp90 beta is associated with cancer and neurodegenerative diseases. In cancer Hsp90 beta stabilizes many oncoproteins making it a potential therapeutic target for inhibiting tumor growth. It interacts with client proteins like the proto-oncogene c-Src promoting tumorigenesis. In neurodegenerative disorders such as Alzheimer's disease improper interaction between Hsp90 beta and tau proteins can contribute to disease progression impacting neuronal function.

製品プロトコール

For this product, it's our understanding that no specific protocols are required. You can visit:

ターゲットの情報

Molecular chaperone that promotes the maturation, structural maintenance and proper regulation of specific target proteins involved for instance in cell cycle control and signal transduction. Undergoes a functional cycle linked to its ATPase activity. This cycle probably induces conformational changes in the client proteins, thereby causing their activation. Interacts dynamically with various co-chaperones that modulate its substrate recognition, ATPase cycle and chaperone function. Engages with a range of client protein classes via its interaction with various co-chaperone proteins or complexes, that act as adapters, simultaneously able to interact with the specific client and the central chaperone itself. Recruitment of ATP and co-chaperone followed by client protein forms a functional chaperone. After the completion of the chaperoning process, properly folded client protein and co-chaperone leave HSP90 in an ADP-bound partially open conformation and finally, ADP is released from HSP90 which acquires an open conformation for the next cycle. Apart from its chaperone activity, it also plays a role in the regulation of the transcription machinery. HSP90 and its co-chaperones modulate transcription at least at three different levels. They first alter the steady-state levels of certain transcription factors in response to various physiological cues. Second, they modulate the activity of certain epigenetic modifiers, such as histone deacetylases or DNA methyl transferases, and thereby respond to the change in the environment. Third, they participate in the eviction of histones from the promoter region of certain genes and thereby turn on gene expression. Antagonizes STUB1-mediated inhibition of TGF-beta signaling via inhibition of STUB1-mediated SMAD3 ubiquitination and degradation. Promotes cell differentiation by chaperoning BIRC2 and thereby protecting from auto-ubiquitination and degradation by the proteasomal machinery. Main chaperone involved in the phosphorylation/activation of the STAT1 by chaperoning both JAK2 and PRKCE under heat shock and in turn, activates its own transcription. Involved in the translocation into ERGIC (endoplasmic reticulum-Golgi intermediate compartment) of leaderless cargos (lacking the secretion signal sequence) such as the interleukin 1/IL-1; the translocation process is mediated by the cargo receptor TMED10.
See full target information Hsp90ab1

文献 (8)

Recent publications for all applications. Explore the full list and refine your search

Virus research 355:199570 PubMed40188851

2025

Common host factors for internal ribosomal entry site-mediated translation of viral genomic RNA: An investigation in foot-and-mouth disease and classical swine fever viruses.

Applications

Unspecified application

Species

Unspecified reactive species

Rupaly Akhter,Kazi Anowar Hossain,Bouchra Kitab,Yoshihiro Sakoda,Kyoko Tsukiyama-Kohara

International journal of molecular sciences 23: PubMed36498913

2022

Repeated Episodes of Ischemia/Reperfusion Induce Heme-Oxygenase-1 (HO-1) and Anti-Inflammatory Responses and Protects against Chronic Kidney Disease.

Applications

Unspecified application

Species

Unspecified reactive species

Juan Antonio Ortega-Trejo,Rosalba Pérez-Villalva,Andrea Sánchez-Navarro,Brenda Marquina,Bernardo Rodríguez-Iturbe,Norma A Bobadilla

Oncology reports 44:2725-2734 PubMed33125132

2020

VDAC upregulation and αTAT1‑mediated α‑tubulin acetylation contribute to tanespimycin‑induced apoptosis in Calu‑1 cells.

Applications

Unspecified application

Species

Unspecified reactive species

Qilin Wang,Xiangguo Liu

Journal of molecular cell biology 12:448-461 PubMed31560394

2019

The molecular chaperone Hsp90 maintains Golgi organization and vesicular trafficking by regulating microtubule stability.

Applications

Unspecified application

Species

Unspecified reactive species

Yuan Wu,Yubo Ding,Xiudan Zheng,Kan Liao

Journal of molecular cell biology 12:216-229 PubMed31408169

2019

The molecular chaperone Hsp90α deficiency causes retinal degeneration by disrupting Golgi organization and vesicle transportation in photoreceptors.

Applications

Unspecified application

Species

Unspecified reactive species

Yuan Wu,Xiudan Zheng,Yubo Ding,Min Zhou,Zhuang Wei,Tao Liu,Kan Liao

American journal of physiology. Renal physiology 317:F275-F285 PubMed31116605

2019

Reduced endothelial nitric oxide synthase activation contributes to cardiovascular injury during chronic kidney disease progression.

Applications

Unspecified application

Species

Unspecified reactive species

Isabel Amador-Martínez,Rosalba Pérez-Villalva,Norma Uribe,César Cortés-González,Norma A Bobadilla,Jonatan Barrera-Chimal

Immunity 50:137-151.e6 PubMed30650373

2019

Fever Promotes T Lymphocyte Trafficking via a Thermal Sensory Pathway Involving Heat Shock Protein 90 and α4 Integrins.

Applications

Unspecified application

Species

Unspecified reactive species

ChangDong Lin,YouHua Zhang,Kun Zhang,YaJuan Zheng,Ling Lu,HaiShuang Chang,Hui Yang,YanRong Yang,YaoYing Wan,ShiHui Wang,MengYa Yuan,ZhanJun Yan,RongGuang Zhang,YongNing He,GaoXiang Ge,Dianqing Wu,JianFeng Chen

Nature 538:397-401 PubMed27706135

2016

The epichaperome is an integrated chaperome network that facilitates tumour survival.

Applications

Unspecified application

Species

Unspecified reactive species

Anna Rodina,Tai Wang,Pengrong Yan,Erica DaGama Gomes,Mark P S Dunphy,Nagavarakishore Pillarsetty,John Koren,John F Gerecitano,Tony Taldone,Hongliang Zong,Eloisi Caldas-Lopes,Mary Alpaugh,Adriana Corben,Matthew Riolo,Brad Beattie,Christina Pressl,Radu I Peter,Chao Xu,Robert Trondl,Hardik J Patel,Fumiko Shimizu,Alexander Bolaender,Chenghua Yang,Palak Panchal,Mohammad F Farooq,Sarah Kishinevsky,Shanu Modi,Oscar Lin,Feixia Chu,Sujata Patil,Hediye Erdjument-Bromage,Pat Zanzonico,Clifford Hudis,Lorenz Studer,Gail J Roboz,Ethel Cesarman,Leandro Cerchietti,Ross Levine,Ari Melnick,Steven M Larson,Jason S Lewis,Monica L Guzman,Gabriela Chiosis
View all publications

Abcam product promise

当社は、高品質な試薬を通じてお客様の研究を力強くサポートすることをお約束いたします。ご使用いただく各段階で、常にお客様をサポートできる体制を整えております。万が一、製品が期待通りに機能しない場合は、「Abcam Product Promise」による当社保証制度に基づき、安心してご利用いただけます。
保証に関する詳細については利用規約をご確認ください。

Please note: All products are 'FOR RESEARCH USE ONLY. NOT FOR USE IN DIAGNOSTIC OR THERAPEUTIC PROCEDURES'.

For licensing inquiries, please contact partnerships@abcam.com