JavaScript is disabled in your browser. Please enable JavaScript to view this website.
AB2787

Anti-Hsp70 抗体 [5A5]

Anti-Hsp70 antibody [5A5]

5

(18 Reviews)

|

(268 Publications)

Anti-Hsp70 antibody [5A5] (ab2787) is a mouse monoclonal antibody detecting Hsp70 in Western Blot, Flow Cytometry, IP, IHC-P, ICC/IF. Suitable for African green monkey, Dog, Human, Mouse, Rat.

- Over 200 publications
- Trusted since 2003

別名を表示する

HSP72, HSPA1, HSX70, HSPA1A, Heat shock 70 kDa protein 1A, Heat shock 70 kDa protein 1, Heat shock protein family A member 1A, HSP70-1, HSP70.1

14 Images
Immunocytochemistry/ Immunofluorescence - Anti-Hsp70 antibody [5A5] (AB2787)
  • ICC/IF

Unknown

Immunocytochemistry/ Immunofluorescence - Anti-Hsp70 antibody [5A5] (AB2787)

Immunofluorescent analysis of U-251 MG (Human brain glioma cell line) cells labeling Hsp70 (green) with ab2787. F-Actin staining with Phalloidin (red) and nuclei with DAPI (blue) is shown. Cells were grown on chamber slides and fixed with formaldehyde prior to staining. Cells were probed without (control) or with or an antibody recognizing Heat Shock Protein 70 ab2787 at a dilution of 1/100-1/200 over night at 4oC washed with PBS and incubated with a DyLight-488 conjugated secondary antibody. Images were taken at 60X magnification.

Immunohistochemistry (Formalin/PFA-fixed paraffin-embedded sections) - Anti-Hsp70 antibody [5A5] (AB2787)
  • IHC-P

Unknown

Immunohistochemistry (Formalin/PFA-fixed paraffin-embedded sections) - Anti-Hsp70 antibody [5A5] (AB2787)

Immunohistochemistry was performed on normal biopsies of deparaffinized Human testis tissue. To expose target proteins heat induced antigen retrieval was performed using 10mM sodium citrate (pH6.0) buffer microwaved for 8-15 minutes. Following antigen retrieval tissues were blocked in 3% BSA-PBS for 30 minutes at room temperature. Tissues were then probed at a dilution of 1/200 with a mouse monoclonal antibody recognizing Heat Shock Protein 70 (ab2787) or without primary antibody (negative control) overnight at 4°C in a humidified chamber. Tissues were washed extensively with PBST and endogenous peroxidase activity was quenched with a peroxidase suppressor. Detection was performed using a biotin-conjugated secondary antibody and SA-HRP followed by colorimetric detection using DAB. Tissues were counterstained with hematoxylin and prepped for mounting.

Immunohistochemistry (Formalin/PFA-fixed paraffin-embedded sections) - Anti-Hsp70 antibody [5A5] (AB2787)
  • IHC-P

Unknown

Immunohistochemistry (Formalin/PFA-fixed paraffin-embedded sections) - Anti-Hsp70 antibody [5A5] (AB2787)

Immunohistochemistry was performed on cancer biopsies of deparaffinized Human prostate carcinoma tissue. To expose target proteins heat induced antigen retrieval was performed using 10mM sodium citrate (pH6.0) buffer microwaved for 8-15 minutes. Following antigen retrieval tissues were blocked in 3% BSA-PBS for 30 minutes at room temperature. Tissues were then probed at a dilution of 1/100 with a mouse monoclonal antibody recognizing Heat Shock Protein 70 (ab2787) or without primary antibody (negative control) overnight at 4°C in a humidified chamber. Tissues were washed extensively with PBST and endogenous peroxidase activity was quenched with a peroxidase suppressor. Detection was performed using a biotin-conjugated secondary antibody and SA-HRP followed by colorimetric detection using DAB. Tissues were counterstained with hematoxylin and prepped for mounting.

Flow Cytometry - Anti-Hsp70 antibody [5A5] (AB2787)
  • Flow Cyt

Unknown

Flow Cytometry - Anti-Hsp70 antibody [5A5] (AB2787)

Overlay histogram showing Jurkat cells stained with ab2787 (red line). The cells were fixed with 4% paraformaldehyde (10 min) and then permeabilized with 0.1% PBS-Tween for 20 min. The cells were then incubated in 1x PBS / 10% normal goat serum / 0.3M glycine to block non-specific protein-protein interactions followed by the antibody (ab2787, 1 : 100 dilution) for 30 min at 22°C. The secondary antibody used was DyLight® 488 goat anti-mouse IgG (H+L) (ab96879) at 1 : 500 dilution for 30 min at 22°C. Isotype control antibody (black line) was mouse IgG1 [ICIGG1] (ab91353, 2μg/1x106 cells) used under the same conditions. Acquisition of >5,000 events was performed. This antibody gave a positive signal in Jurkat cells fixed with 80% methanol (5min)/permeabilized with 0.1% PBS-Tween for 20 min used under the same conditions.

Immunocytochemistry/ Immunofluorescence - Anti-Hsp70 antibody [5A5] (AB2787)
  • ICC/IF

Supplier Data

Immunocytochemistry/ Immunofluorescence - Anti-Hsp70 antibody [5A5] (AB2787)

Immunofluorescent analysis of HeLa (Human epithelial cell line from cervix adenocarcinoma) and NIH/3T3 (Mouse embryo fibroblast cell line) cells labeling Hsp70 (green) with ab2787. Formalin fixed cells were permeabilized with 0.1% Triton X-100 in TBS for 10 minutes at room temperature and blocked with 1% Blocker BSA for 15 minutes at room temperature. Cells were probed with a HSP70 Monoclonal Antibody, at a dilution of 1 : 50 for at least 1 hour at room temperature, washed with PBS, and incubated with DyLight 488 goat-anti-mouse IgG secondary antibody at a dilution of 1/400 for 30 minutes at room temperature. Nuclei (blue) were stained with Hoechst 33342 dye.

Immunocytochemistry/ Immunofluorescence - Anti-Hsp70 antibody [5A5] (AB2787)
  • ICC/IF

Unknown

Immunocytochemistry/ Immunofluorescence - Anti-Hsp70 antibody [5A5] (AB2787)

Immunofluorescent analysis of HeLa (Human epithelial cell line from cervix adenocarcinoma) cells labeling Hsp70 (green) with ab2787. F-Actin staining with Phalloidin (red) and nuclei with DAPI (blue) is shown. Cells were grown on chamber slides and fixed with formaldehyde prior to staining. Cells were probed without (control) or with or an antibody recognizing Heat Shock Protein 70 ab2787 at a dilution of 1/100-1/200 over night at 4oC washed with PBS and incubated with a DyLight-488 conjugated secondary antibody. Images were taken at 60X magnification.

Immunocytochemistry/ Immunofluorescence - Anti-Hsp70 antibody [5A5] (AB2787)
  • ICC/IF

PubMed

Immunocytochemistry/ Immunofluorescence - Anti-Hsp70 antibody [5A5] (AB2787)

ab2787 staining Hsp70 in 2089 cells by Immunocytochemistry/ Immunofluorescence. Cells were fixed in methanol for 30 minutes at -20°C, washed with PBS, and incubated in blocking solution (10% human serum in PBS) for 1 hour at room temperature. Cells were stained with ab2787 diluted in blocking solution for 1 hour at room temperature in humidified chambers. Cells were washed with PBS and then incubated with secondary antibody diluted 1/200 in blocking solution for 1 hour at room temperature in opaque humidified chambers.

Image from Park R et al, J Biol Chem. 2011 Mar 18;286(11):9748-62. Epub 2011 Jan 13, Fig 4. DOI 10.1074/jbc.M110.198325

Immunohistochemistry (Formalin/PFA-fixed paraffin-embedded sections) - Anti-Hsp70 antibody [5A5] (AB2787)
  • IHC-P

Unknown

Immunohistochemistry (Formalin/PFA-fixed paraffin-embedded sections) - Anti-Hsp70 antibody [5A5] (AB2787)

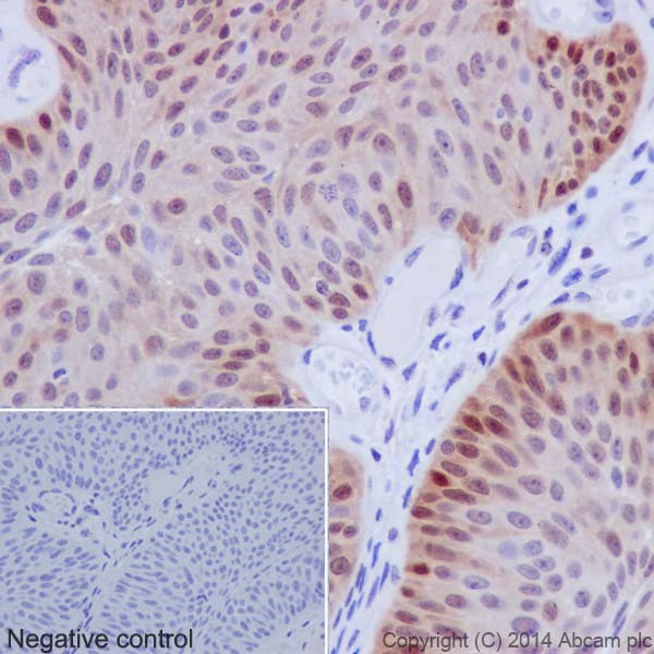
ab2787 staining human skin. Staining is localized to the cytoplasm and nucleus.
Left panel : with primary antibody at 1/100. Right panel : isotype control.
Sections were stained using an automated system at room temperature. Sections were rehydrated and antigen retrieved. Slides were peroxidase blocked in 3% H2O2 in methanol for 10 minutes. They were then blocked for 10 minutes (containing casein 0.25% in PBS) then incubated with primary antibody for 20 minutes. Colorimetric detection was completed with diaminobenzidine for 5 minutes. Slides were counterstained with Haematoxylin and coverslipped under DePeX. Please note that for manual staining we recommend to optimize the primary antibody concentration and incubation time (overnight incubation), and amplification may be required.

Immunohistochemistry (Formalin/PFA-fixed paraffin-embedded sections) - Anti-Hsp70 antibody [5A5] (AB2787)
  • IHC-P

Unknown

Immunohistochemistry (Formalin/PFA-fixed paraffin-embedded sections) - Anti-Hsp70 antibody [5A5] (AB2787)

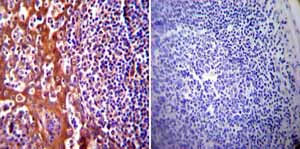
Immunohistochemistry was performed on normal biopsies of deparaffinized Human tonsil tissue. To expose target proteins heat induced antigen retrieval was performed using 10mM sodium citrate (pH6.0) buffer microwaved for 8-15 minutes. Following antigen retrieval tissues were blocked in 3% BSA-PBS for 30 minutes at room temperature. Tissues were then probed at a dilution of 1/200 with a mouse monoclonal antibody recognizing Heat Shock Protein 70 (ab2787) or without primary antibody (negative control) overnight at 4°C in a humidified chamber. Tissues were washed extensively with PBST and endogenous peroxidase activity was quenched with a peroxidase suppressor. Detection was performed using a biotin-conjugated secondary antibody and SA-HRP followed by colorimetric detection using DAB. Tissues were counterstained with hematoxylin and prepped for mounting.

Immunoprecipitation - Anti-Hsp70 antibody [5A5] (AB2787)
  • IP

Supplier Data

Immunoprecipitation - Anti-Hsp70 antibody [5A5] (AB2787)

Immunoprecipitation of Hsp70 was performed on HeLa (Human epithelial cell line from cervix adenocarcinoma) whole cell lysate. Antigen : antibody complexes were formed by incubating 500μg whole cell lysate with 2μg of ab2787 overnight on a rocking platform at 4°C. The immune complexes were captured on 50μl Protein A/G Agarose, washed extensively, and eluted with buffer. Samples were then resolved on a 4-20% Tris-HCl polyacrylamide gel, transferred to a PVDF membrane, and blocked with 5% BSA/TBST for at least 1 hour. The membrane was incubated with ab2787 (1 : 1000) overnight rotating at 4°C, washed in TBST, and probed with IP detection reagent-HRP at a dilution of 1 : 1000 for at least one hour. Chemiluminescent detection was performed.

All lanes:

Immunoprecipitation - Anti-Hsp70 antibody [5A5] (ab2787)

Predicted band size: 70 kDa

false

Immunocytochemistry/ Immunofluorescence - Anti-Hsp70 antibody [5A5] (AB2787)
  • ICC/IF

Unknown

Immunocytochemistry/ Immunofluorescence - Anti-Hsp70 antibody [5A5] (AB2787)

Immunofluorescent analysis of C6 (Rat glial tumor cell line) cells labeling Hsp70 (green) with ab2787. F-Actin staining with Phalloidin (red) and nuclei with DAPI (blue) is shown. Cells were grown on chamber slides and fixed with formaldehyde prior to staining. Cells were probed without (right) or with or an antibody recognizing Heat Shock Protein 70 (ab2787) (left) at a dilution of 1/100-1/200 over night at 4oC washed with PBS and incubated with a DyLight-488 conjugated secondary antibody. Images were taken at 60X magnification.

Western blot - Anti-Hsp70 antibody [5A5] (AB2787)
  • WB

Unknown

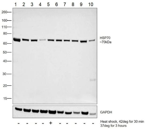
Western blot - Anti-Hsp70 antibody [5A5] (AB2787)

All lanes:

Western blot - Anti-Hsp70 antibody [5A5] (ab2787) at 1/500 dilution

Lane 1:

HEK-293 (Human epithelial cell line from embryonic kidney) whole cell lysate at 30 µg

Lane 2:

A549 (Human lung carcinoma cell line) whole cell lysate at 30 µg

Lane 3:

IMR32 (Human brain neuroblast cell line) whole cell lysate at 30 µg

Lanes 4 - 5:

Jurkat (Human T cell leukemia cell line from peripheral blood) whole cell lysate at 30 µg

Lane 6:

MDCK (Canine kidney cell line) whole cell lysate at 30 µg

Lane 7:

NIH/3T3 (Mouse embryo fibroblast cell line) whole cell lysate at 30 µg

Lane 8:

PC-12 (Rat adrenal gland pheochromocytoma cell line) whole cell lysate at 30 µg

Lane 9:

COS-7 (African green monkey kidney fibroblast-like cell line) whole cell lysate at 30 µg

Lane 10:

Mouse ovary tissue lysate at 30 µg

Secondary

All lanes:

Goat anti-mouse IgG (H+L) HRP at 1/4000 dilution

Predicted band size: 70 kDa

true

Western blot - Anti-Hsp70 antibody [5A5] (AB2787)
  • WB

AbReview62480****

Western blot - Anti-Hsp70 antibody [5A5] (AB2787)

Western blot analysis of U2OS cell lysate (30μg/lane) labelling Hsp70 with ab2787 at 1/1000 in 5% milk in TBST for 13 hours at 4°C. A IRDye® 800-conjugated Goat anti-Mouse polyclonal (1/10000) was used as the secondary antibody.

All lanes:

Western blot - Anti-Hsp70 antibody [5A5] (ab2787)

Predicted band size: 70 kDa

false

This image is courtesy of an anonymous Abreview

Western blot - Anti-Hsp70 antibody [5A5] (AB2787)
  • WB

Supplier Data

Western blot - Anti-Hsp70 antibody [5A5] (AB2787)

Western blot analysis of Hsp70 was performed by 15μl of prestained protein ladder onto a 4-20% Tris-HCl polyacrylamide gel. Proteins were transferred to a PVDF membrane and blocked with 5% BSA/TBST for at least 1 hour. The membrane was incubated overnight at 4°C on a rocking platform, washed in TBS-0.1%Tween 20, and incubated with secondary antibody for at least 1 hour. Chemiluminescent detection was performed.

All lanes:

Western blot - Anti-Hsp70 antibody [5A5] (ab2787) at 1/1000 dilution

Lane 1:

HEK-293T (Human epithelial cell line from embryonic kidney transformed with large T antigen) whole cell lysate at 50 µg

Lane 2:

HeLa (Human epithelial cell line from cervix adenocarcinoma) whole cell lysate at 50 µg

Lane 3:

K562 (Human chronic myelogenous leukemia cell line from bone marrow ) whole cell lysate at 50 µg

Lane 4:

A431 (Human epidermoid carcinoma cell line) whole cell lysate at 50 µg

Lane 5:

U-2 OS (Human bone osteosarcoma epithelial cell line) whole cell lysate at 50 µg

Secondary

All lanes:

Goat anti-mouse IgG HRP secondary antibody at 1/20000 dilution

Predicted band size: 70 kDa

false

Key facts

宿主種

Mouse

クローン性

Monoclonal

クローン番号

5A5

アイソタイプ

IgG1

キャリアフリー

No

交差種

Mouse, Rat, Dog, Human, African green monkey

アプリケーション

IHC-P, IP, ICC/IF, Flow Cyt, WB

applications

免疫原

Recombinant Fragment Protein within Human HSPA1A aa 100-300. The exact immunogen used to generate this antibody is proprietary information.

P0DMV8

エピトープ

Epitope mapping with a panel of HSP 70 deletion mutants suggests that the epitope recognized is located between amino acids 122-264 of human HSP 70, a region that has been shown to be involved in ATP binding. This is the first monoclonal antibody reported to react with:

  1. The ATP binding region of HSP 70. 2) An epitope in the amino terminus of HSP 70.

Reactivity data

{ "title": "Reactivity Data", "filters": { "stats": ["", "Species", "Dilution Info", "Notes"], "tabs": { "all-applications": {"fullname" : "All Applications", "shortname": "All Applications"}, "IHCP" : {"fullname" : "Immunohistochemistry (Formalin/PFA-fixed paraffin-embedded sections)", "shortname":"IHC-P"}, "IP" : {"fullname" : "Immunoprecipitation", "shortname":"IP"}, "FlowCyt" : {"fullname" : "Flow Cytometry", "shortname":"Flow Cyt"}, "WB" : {"fullname" : "Western blot", "shortname":"WB"}, "ICCIF" : {"fullname" : "Immunocytochemistry/ Immunofluorescence", "shortname":"ICC/IF"} }, "product-promise": { "all": "all", "testedAndGuaranteed": "tested", "guaranteed": "expected", "predicted": "predicted", "notRecommended": "not-recommended" } }, "values": { "Human": { "IHCP-species-checked": "testedAndGuaranteed", "IHCP-species-dilution-info": "1/100", "IHCP-species-notes": "<p></p> Perform heat-mediated antigen retrieval before commencing with IHC staining protocol.", "IP-species-checked": "testedAndGuaranteed", "IP-species-dilution-info": "1-10 µg/mg of lysate", "IP-species-notes": "<p>See Balashova et al.</p>", "FlowCyt-species-checked": "testedAndGuaranteed", "FlowCyt-species-dilution-info": "1/100", "FlowCyt-species-notes": "<p><a href='/products/primary-antibodies/mouse-igg1-kappa-monoclonal-15-6e10a7-isotype-control-ab170190'>ab170190</a> - Mouse monoclonal IgG1, is suitable for use as an isotype control with this antibody.</p>", "WB-species-checked": "testedAndGuaranteed", "WB-species-dilution-info": "1/1000", "WB-species-notes": "<p>Detects proteins from ~70 kDa to ~78 kDa representing different members of the HSP 70 family. 2-dimensional gel electrophoresis is required to resolve the heat induced form of these proteins from their constitutively expressed counterparts.</p>", "ICCIF-species-checked": "testedAndGuaranteed", "ICCIF-species-dilution-info": "1/50 - 1/100", "ICCIF-species-notes": "<p></p>" }, "Mouse": { "IHCP-species-checked": "guaranteed", "IHCP-species-dilution-info": "", "IHCP-species-notes": "", "IP-species-checked": "guaranteed", "IP-species-dilution-info": "", "IP-species-notes": "", "FlowCyt-species-checked": "guaranteed", "FlowCyt-species-dilution-info": "", "FlowCyt-species-notes": "", "WB-species-checked": "guaranteed", "WB-species-dilution-info": "", "WB-species-notes": "", "ICCIF-species-checked": "testedAndGuaranteed", "ICCIF-species-dilution-info": "1/50 - 1/100", "ICCIF-species-notes": "<p></p>" }, "Rat": { "IHCP-species-checked": "guaranteed", "IHCP-species-dilution-info": "", "IHCP-species-notes": "", "IP-species-checked": "guaranteed", "IP-species-dilution-info": "", "IP-species-notes": "", "FlowCyt-species-checked": "guaranteed", "FlowCyt-species-dilution-info": "", "FlowCyt-species-notes": "", "WB-species-checked": "guaranteed", "WB-species-dilution-info": "", "WB-species-notes": "", "ICCIF-species-checked": "testedAndGuaranteed", "ICCIF-species-dilution-info": "1/50 - 1/100", "ICCIF-species-notes": "<p></p>" }, "African green monkey": { "IHCP-species-checked": "guaranteed", "IHCP-species-dilution-info": "", "IHCP-species-notes": "", "IP-species-checked": "guaranteed", "IP-species-dilution-info": "", "IP-species-notes": "", "FlowCyt-species-checked": "guaranteed", "FlowCyt-species-dilution-info": "", "FlowCyt-species-notes": "", "WB-species-checked": "testedAndGuaranteed", "WB-species-dilution-info": "1/1000", "WB-species-notes": "<p>Detects proteins from ~70 kDa to ~78 kDa representing different members of the HSP 70 family. 2-dimensional gel electrophoresis is required to resolve the heat induced form of these proteins from their constitutively expressed counterparts.</p>", "ICCIF-species-checked": "guaranteed", "ICCIF-species-dilution-info": "", "ICCIF-species-notes": "" }, "Dog": { "IHCP-species-checked": "guaranteed", "IHCP-species-dilution-info": "", "IHCP-species-notes": "", "IP-species-checked": "guaranteed", "IP-species-dilution-info": "", "IP-species-notes": "", "FlowCyt-species-checked": "guaranteed", "FlowCyt-species-dilution-info": "", "FlowCyt-species-notes": "", "WB-species-checked": "testedAndGuaranteed", "WB-species-dilution-info": "1/1000", "WB-species-notes": "<p>Detects proteins from ~70 kDa to ~78 kDa representing different members of the HSP 70 family. 2-dimensional gel electrophoresis is required to resolve the heat induced form of these proteins from their constitutively expressed counterparts.</p>", "ICCIF-species-checked": "guaranteed", "ICCIF-species-dilution-info": "", "ICCIF-species-notes": "" } } }

製品の詳細

Product Specifications

Anti-Hsp70 antibody [5A5] (ab2787) is a mouse monoclonal antibody and is validated for use in Flow Cyt, ICC/IF, IHC-P, IP, WB in african green monkey, dog, human, mouse, rat samples.
Anti-Hsp70 antibody [5A5] (ab2787) specifically detects Hsp70 (UniProt ID: P0DMV9; Molecular weight: 70kDa) and is sold in 250 µL selling sizes.

Quality and Validation

Abcam's high quality validation processes ensure Anti-Hsp70 antibody [5A5] (ab2787) has high sensitivity and specificity.
Anti-Hsp70 antibody [5A5] (ab2787) has been cited over 204 times in peer reviewed journals and is trusted by the scientific community.
Anti-Hsp70 antibody [5A5] (ab2787) has 18 independent reviews from customers.

Related Products

Antibody clone 5A5 is also available pre-conjugated to a variety of labels for your convenience - HRP (ab198392).

出荷温度及び保存条件

製品の状態
Liquid
精製方法
Affinity purification Protein A
バッファー組成
Preservative: 0.05% Sodium azide Constituents: BSA, PBS
出荷温度
Blue Ice
短期保存期間
1-2 weeks
短期保存温度
+4°C
長期保存温度
-20°C
分注に関する情報
Upon delivery aliquot
保管に関する情報
Avoid freeze / thaw cycle

補足情報

This supplementary information is collated from multiple sources and compiled automatically.

Hsp70 also known as Heat Shock Protein 70 or HSPA1B is a molecular chaperone with a mass of approximately 70 kDa. It plays a mechanical role by assisting in the proper folding of nascent polypeptide chains and the refolding of misfolded proteins. Researchers often detect Hsp70 using Western blot and immunohistochemistry (IHC) techniques. Hsp70 is widely expressed in many tissues particularly during stress conditions like heat shock where its expression level increases significantly.
Biological function summary

Hsp70 operates by stabilizing intermediate states of folding proteins preventing aggregation and facilitating the correct folding process. It often forms a complex with co-chaperones such as Hsp40 and nucleotide exchange factors. This complex is essential for the protein's activity and function. Additionally Hsp70 participates in protein degradation pathways by guiding misfolded proteins to the proteasome for degradation maintaining cellular homeostasis.

Pathways

This molecular chaperone plays significant roles in the heat shock response and unfolded protein response pathways. Hsp70 interacts closely with proteins such as Hsp90 and co-chaperones which together help protect cells from stress-induced damage. The protein also participates in the JAK/STAT signaling pathway influencing cell proliferation and apoptosis. These interactions suggest an integral role in maintaining cellular integrity during stress conditions.

Overexpression of Hsp70 has been associated with various cancers and neurodegenerative diseases. In cancer Hsp70 helps tumor cells survive the hostile tumor microenvironment partly by interacting with anti-apoptotic proteins such as Bcl-2. In neurodegenerative disorders such as Alzheimer's disease Hsp70 associates with amyloid-beta peptides potentially mitigating their aggregation toxicity. These interactions highlight Hsp70's importance in both protective and pathological cellular processes.

製品プロトコール

For this product, it's our understanding that no specific protocols are required. You can visit:

ターゲットの情報

Molecular chaperone implicated in a wide variety of cellular processes, including protection of the proteome from stress, folding and transport of newly synthesized polypeptides, activation of proteolysis of misfolded proteins and the formation and dissociation of protein complexes. Plays a pivotal role in the protein quality control system, ensuring the correct folding of proteins, the re-folding of misfolded proteins and controlling the targeting of proteins for subsequent degradation. This is achieved through cycles of ATP binding, ATP hydrolysis and ADP release, mediated by co-chaperones. The co-chaperones have been shown to not only regulate different steps of the ATPase cycle, but they also have an individual specificity such that one co-chaperone may promote folding of a substrate while another may promote degradation. The affinity for polypeptides is regulated by its nucleotide bound state. In the ATP-bound form, it has a low affinity for substrate proteins. However, upon hydrolysis of the ATP to ADP, it undergoes a conformational change that increases its affinity for substrate proteins. It goes through repeated cycles of ATP hydrolysis and nucleotide exchange, which permits cycles of substrate binding and release. The co-chaperones are of three types : J-domain co-chaperones such as HSP40s (stimulate ATPase hydrolysis by HSP70), the nucleotide exchange factors (NEF) such as BAG1/2/3 (facilitate conversion of HSP70 from the ADP-bound to the ATP-bound state thereby promoting substrate release), and the TPR domain chaperones such as HOPX and STUB1 (PubMed : 24012426, PubMed : 24318877, PubMed : 26865365). Maintains protein homeostasis during cellular stress through two opposing mechanisms : protein refolding and degradation. Its acetylation/deacetylation state determines whether it functions in protein refolding or protein degradation by controlling the competitive binding of co-chaperones HOPX and STUB1. During the early stress response, the acetylated form binds to HOPX which assists in chaperone-mediated protein refolding, thereafter, it is deacetylated and binds to ubiquitin ligase STUB1 that promotes ubiquitin-mediated protein degradation (PubMed : 27708256). Regulates centrosome integrity during mitosis, and is required for the maintenance of a functional mitotic centrosome that supports the assembly of a bipolar mitotic spindle (PubMed : 27137183). Enhances STUB1-mediated SMAD3 ubiquitination and degradation and facilitates STUB1-mediated inhibition of TGF-beta signaling (PubMed : 24613385). Essential for STUB1-mediated ubiquitination and degradation of FOXP3 in regulatory T-cells (Treg) during inflammation (PubMed : 23973223). Required as a co-chaperone for optimal STUB1/CHIP ubiquitination of NFATC3 (By similarity). Negatively regulates heat shock-induced HSF1 transcriptional activity during the attenuation and recovery phase period of the heat shock response (PubMed : 9499401). Involved in the clearance of misfolded PRDM1/Blimp-1 proteins. Sequesters them in the cytoplasm and promotes their association with SYNV1/HRD1, leading to proteasomal degradation (PubMed : 28842558).. (Microbial infection) In case of rotavirus A infection, serves as a post-attachment receptor for the virus to facilitate entry into the cell.
See full target information HSPA1A

追加のターゲット

HSPA1B

文献 (268)

Recent publications for all applications. Explore the full list and refine your search

Signal transduction and targeted therapy 10:310 PubMed40998785

2025

Reprogramming of cancer metabolism via photoresponsive nano-PROTAC enhances pyroptosis-mediated immunotherapy.

Applications

Unspecified application

Species

Unspecified reactive species

Byeongmin Park,Jiwoong Choi,Jae-Hyeon Lee,Yelee Kim,Woohyeong Lee,Ansoo Lee,In-Cheol Sun,Hong Yeol Yoon,Yongju Kim,Sun Hwa Kim,Yoosoo Yang,Kwangmeyung Kim,Jooho Park,Man Kyu Shim

Journal of neurochemistry 169:e70204 PubMed40847737

2025

A Longitudinal Study of Sex Differences in a TDP-43 Mouse Model Reveals STI1 Regulation of TDP-43 Proteinopathy and Motor Deficits.

Applications

Unspecified application

Species

Unspecified reactive species

Vladislav Novikov,Latiyah T C Timothy,Jue Fan,Kareem Sadek,Matthew F Cowan,Kate M Onuska,Martin Duennwald,Vania F Prado,Marco A M Prado

Cardiovascular diabetology 24:211 PubMed40369521

2025

Dysregulated inflammation, oxidative stress, and protein quality control in diabetic HFpEF: unraveling mechanisms and therapeutic targets.

Applications

Unspecified application

Species

Unspecified reactive species

Simin Delalat,Innas Sultana,Hersh Osman,Marcel Sieme,Saltanat Zhazykbayeva,Melissa Herwig,Heidi Budde,Árpád Kovács,Mustafa Kaçmaz,Eda Göztepe,Natalie Borgmann,Gelareh Shahriari,Benjamin Sasko,Jan Wintrich,Peter Haldenwang,Wolfgang E Schmidt,Wiebke Fenske,Muchtiar Khan,Kornelia Jaquet,Andreas Mügge,Domokos Máthé,Viktória E Tóth,Zoltán V Varga,Péter Ferdinandy,Ibrahim El-Battrawy,Loek van Heerebeek,Nazha Hamdani

Signal transduction and targeted therapy 10:157 PubMed40360476

2025

Exosomal transfer of pro-pyroptotic miR-216a-5p exacerbates anthracycline cardiotoxicity through breast cancer-heart pathological crosstalk.

Applications

Unspecified application

Species

Unspecified reactive species

Yan Ma,Yongjun Wang,Renzheng Chen,Yabin Wang,Yan Fang,Cheng Qin,Tianhu Wang,Xiaoying Shen,Tingwen Zhou,Lei Tian,Ting Sun,Li Fan,Xiaoning Wang,Dong Han,Feng Cao

Stem cells international 2025:9986368 PubMed40321170

2025

Immunological Safety Evaluation of Exosomes Derived From Human Umbilical Cord Mesenchymal Stem Cells in Mice.

Applications

Unspecified application

Species

Unspecified reactive species

Cancan Wang,Xinmei Hu,Yu Liu,Yu Xiao,Peng Jiang,Yunjing Lin,Xiaomin Liu,Zhengmian Zhang,Liang-Cheng Li,Zhongquan Qi

Lipids in health and disease 24:138 PubMed40221727

2025

High-fat stimulation induces atrial structural remodeling via the TPM1/P53/SHISA5 Axis.

Applications

Unspecified application

Species

Unspecified reactive species

Yansong Cui,Shuting Bai,Zhenlin Liu,Haifeng Ding,Kuan Li,Zhan Li,Yinglong Hou

Cell biology and toxicology 41:67 PubMed40186771

2025

Targeting B4GALT3 in BMSCs-EVs for Therapeutic Control of HCC via NF-κB pathway inhibition.

Applications

Unspecified application

Species

Unspecified reactive species

Juncheng Guo,Kaiqiong Wang,Qigang Sun,Jun Liu,Jinfang Zheng

Materials today. Bio 31:101501 PubMed39944529

2025

Targeted inhibition of ferroptosis in bone marrow mesenchymal stem cells by engineered exosomes alleviates bone loss in smoking-related osteoporosis.

Applications

Unspecified application

Species

Unspecified reactive species

Yao Wang,Lin Sun,Zhenglin Dong,Tianyu Zhang,Leining Wang,Yihui Cao,Hui Xu,Chenglei Liu,Bo Chen

Journal of translational medicine 23:162 PubMed39915841

2025

MT2A promotes angiogenesis in chronically ischemic brains through a copper-mitochondria regulatory mechanism.

Applications

Unspecified application

Species

Unspecified reactive species

Ni Mo,Chuyang Tai,Yang Yang,Cong Ling,Baoyu Zhang,Lei Wei,Cian Yao,Hui Wang,Chuan Chen

Journal of translational medicine 23:108 PubMed39844192

2025

A novel peptide encoded by circSRCAP confers resistance to enzalutamide by inhibiting the ubiquitin-dependent degradation of AR-V7 in castration-resistant prostate cancer.

Applications

Unspecified application

Species

Unspecified reactive species

Xiannan Meng,Qingxuan Wu,Chengsong Cao,Wendong Yang,Sufang Chu,Hongjun Guo,Suhua Qi,Jin Bai
View all publications

Abcam product promise

当社は、高品質な試薬を通じてお客様の研究を力強くサポートすることをお約束いたします。ご使用いただく各段階で、常にお客様をサポートできる体制を整えております。万が一、製品が期待通りに機能しない場合は、「Abcam Product Promise」による当社保証制度に基づき、安心してご利用いただけます。
保証に関する詳細については利用規約をご確認ください。

Please note: All products are 'FOR RESEARCH USE ONLY. NOT FOR USE IN DIAGNOSTIC OR THERAPEUTIC PROCEDURES'.

For licensing inquiries, please contact partnerships@abcam.com