JavaScript is disabled in your browser. Please enable JavaScript to view this website.
AB46798

Anti-Hsp60 抗体

Anti-Hsp60 antibody - Mitochondrial Marker

5

(14 Reviews)

|

(166 Publications)

Anti-Hsp60 antibody (ab46798) is a rabbit polyclonal antibody detecting Hsp60 in Western Blot, Flow Cytometry (Intra), IP, IHC-P, ICC/IF. Suitable for Human, Mouse, Pig, Rat.

- Over 130 publications
- Trusted since 2007

別名を表示する

HSP60, HSPD1, 60 kDa chaperonin, Chaperonin 60, Heat shock protein 60, Heat shock protein family D member 1, HuCHA60, Mitochondrial matrix protein P1, P60 lymphocyte protein, CPN60, HSP-60, Hsp60

16 Images
Western blot - Anti-Hsp60 antibody - Mitochondrial Marker (AB46798)
  • WB

Unknown

Western blot - Anti-Hsp60 antibody - Mitochondrial Marker (AB46798)

Blocking Buffer : 5% NFDM/TBST

Dilution Buffer : 5% NFDM/TBST

All lanes:

Western blot - Anti-Hsp60 antibody - Mitochondrial Marker (ab46798) at 1/20000 dilution

Lane 1:

Mouse brain tissue lysate at 20 µg

Lane 2:

Mouse heart tissue lysate at 20 µg

Lane 3:

Mouse spleen tissue lysate at 20 µg

Lane 4:

Rat heart tissue lysate at 10 µg

Secondary

All lanes:

HRP conjugated goat anti-rabbit IgG (H+L) at 1/1000 dilution

Predicted band size: 61 kDa

Observed band size: 60 kDa

false

Immunohistochemistry (Formalin/PFA-fixed paraffin-embedded sections) - Anti-Hsp60 antibody - Mitochondrial Marker (AB46798)
  • IHC-P

Lab

Immunohistochemistry (Formalin/PFA-fixed paraffin-embedded sections) - Anti-Hsp60 antibody - Mitochondrial Marker (AB46798)

IHC image of Hsp60 staining in a section of formalin-fixed paraffin-embedded normal human liver* performed on a Leica Biosystems BOND® RX instrument. The section was pre-treated using heat mediated antigen retrieval with sodium citrate buffer (pH6, epitope retrieval solution 1) for 20mins. The section was then incubated with ab46798, 1ug/ml, for 15 mins at room temperature and detected using an HRP conjugated compact polymer system. DAB was used as the chromogen. The section was then counterstained with haematoxylin and mounted with DPX. The inset secondary-only control image is taken from an identical assay without primary antibody. For other IHC staining systems (automated and non-automated) customers should optimize variable parameters such as antigen retrieval conditions, primary antibody concentration and antibody incubation times. *Tissue obtained from the Human Research Tissue Bank, supported by the NIHR Cambridge Biomedical Research Centre

Immunohistochemistry (Formalin/PFA-fixed paraffin-embedded sections) - Anti-Hsp60 antibody - Mitochondrial Marker (AB46798)
  • IHC-P

PubMed

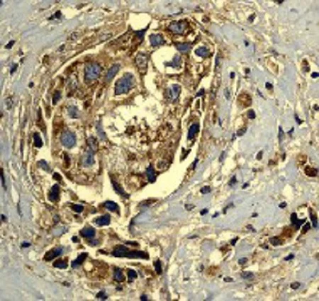
Immunohistochemistry (Formalin/PFA-fixed paraffin-embedded sections) - Anti-Hsp60 antibody - Mitochondrial Marker (AB46798)

Unpurified ab46798 staining Hsp60 from human colon tissue by immunohistochemistry (formalin/PFA-fixed paraffin-embedded sections). Cells were formaldehyde fixed prior to blocking in 10% serum for 2 hours at 21°C. The primary antibody was diluted 1/500 and incubated with the sample for 2 hours at 21°C. Alexa fluor® 594 goat polyclonal, diluted 1/5000, was used as the secondary.

This image is courtesy of an Abreview submitted by Nicole Schechter Reproduced under the Creative Commons license http://creativecommons.org/licenses/by/4.0/

Immunocytochemistry/ Immunofluorescence - Anti-Hsp60 antibody - Mitochondrial Marker (AB46798)
  • ICC/IF

Lab

Immunocytochemistry/ Immunofluorescence - Anti-Hsp60 antibody - Mitochondrial Marker (AB46798)

ab46798 staining Hsp60 in HeLa cells. The cells were fixed with 100% methanol (5 min), permeabilized with 0.1% PBS-Triton X-100 for 5 minutes and then blocked with 1% BSA/10% normal goat serum/0.3M glycine in 0.1%PBS-Tween for 1h. The cells were then incubated overnight at 4°C with ab46798 at 1µg/ml and ab7291, Mouse monoclonal [DM1A] to alpha Tubulin - Loading Control. Cells were then incubated with ab150081, Goat polyclonal Secondary Antibody to Rabbit IgG - H&L (Alexa Fluor® 488), pre-adsorbed at 1/1000 dilution (shown in green) and ab150120, Goat polyclonal Secondary Antibody to Mouse IgG - H&L (Alexa Fluor® 594), pre-adsorbed at 1/1000 dilution (shown in pseudocolour magenta). Nuclear DNA was labelled with DAPI (shown in blue).

Also suitable in cells fixed with 4% paraformaldehyde (10 min).

Image was acquired with a high-content analyser (Operetta CLS, Perkin Elmer) and a maximum intensity projection of confocal sections is shown.

Immunohistochemistry (Formalin/PFA-fixed paraffin-embedded sections) - Anti-Hsp60 antibody - Mitochondrial Marker (AB46798)
  • IHC-P

Unknown

Immunohistochemistry (Formalin/PFA-fixed paraffin-embedded sections) - Anti-Hsp60 antibody - Mitochondrial Marker (AB46798)

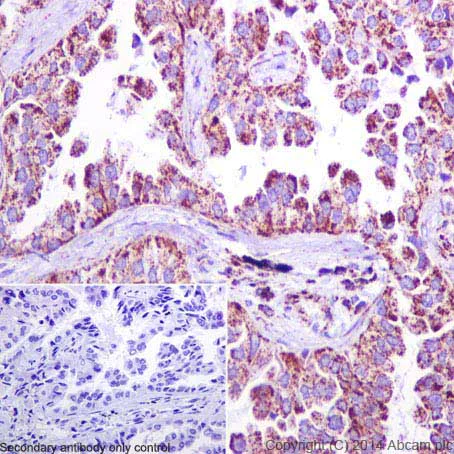
Immunohistochemical staining of paraffin embedded human lung adenocarcinoma with purified ab46798 at a working dilution of 1 in 100. The secondary antibody used is ab97051 Goat Anti-Rabbit IgG H&L (HRP) at a dilution of 1/500. The sample is counter-stained with hematoxylin. Antigen retrieval was perfomed using Tris-EDTA buffer, pH 9.0. PBS was used instead of the primary antibody as the negative control, and is shown in the inset.

Immunohistochemistry (Formalin/PFA-fixed paraffin-embedded sections) - Anti-Hsp60 antibody - Mitochondrial Marker (AB46798)
  • IHC-P

Unknown

Immunohistochemistry (Formalin/PFA-fixed paraffin-embedded sections) - Anti-Hsp60 antibody - Mitochondrial Marker (AB46798)

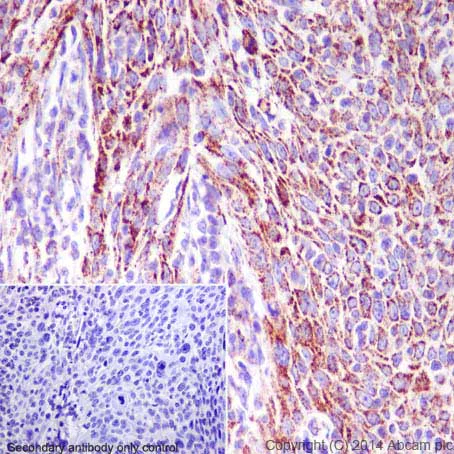
Immunohistochemical staining of paraffin embedded human cervical carcinoma with purified ab46798 at a working dilution of 1 in 100. The secondary antibody used is ab97051 Goat Anti-Rabbit IgG H&L (HRP) at a dilution of 1/500. The sample is counter-stained with hematoxylin. Antigen retrieval was perfomed using Tris-EDTA buffer, pH 9.0. PBS was used instead of the primary antibody as the negative control, and is shown in the inset.

Immunocytochemistry - Anti-Hsp60 antibody - Mitochondrial Marker (AB46798)
  • ICC

AbReview81189****

Immunocytochemistry - Anti-Hsp60 antibody - Mitochondrial Marker (AB46798)

Immunocytochemistry analysis of paraformaldehyde-fixed 0.3% Triton X permeabilized HeLa FlipIn Cell line staining with ab46798 at 1/200 dilution. Secondary antibody was Alexa fluor™ 488 goat anti-rabbit IgG H+L at 1/700 dilution. Samples were incubated with the primary antibody with blocking buffer (5% FBS in PBS) for 2 hours at 24°C. Blocking was done using 5% serum for 1 hour at 24°C.

This image is courtesy of an Abreview submitted by Suleyman Bozkurt

Flow Cytometry (Intracellular) - Anti-Hsp60 antibody - Mitochondrial Marker (AB46798)
  • Flow Cyt (Intra)

Unknown

Flow Cytometry (Intracellular) - Anti-Hsp60 antibody - Mitochondrial Marker (AB46798)

Overlay histogram showing HeLa cells fixed in 2% PFA and stained with purified ab46798 at a dilution of 1 in 150 (red line). The secondary antibody used was FITC goat anti-rabbit at a dilution of 1 in 150. Rabbit monoclonal IgG was used as an isotype control (black) and cells without incubation with the antibody were used as a negative control (blue line).

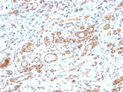
Immunohistochemistry (Formalin/PFA-fixed paraffin-embedded sections) - Anti-Hsp60 antibody - Mitochondrial Marker (AB46798)
  • IHC-P

Supplier Data

Immunohistochemistry (Formalin/PFA-fixed paraffin-embedded sections) - Anti-Hsp60 antibody - Mitochondrial Marker (AB46798)

Immunohistochemical analysis of paraffin-embedded human breast adenocarcinoma using unpurified ab46798 at 1/250 dilution.

Immunoprecipitation - Anti-Hsp60 antibody - Mitochondrial Marker (AB46798)
  • IP

Unknown

Immunoprecipitation - Anti-Hsp60 antibody - Mitochondrial Marker (AB46798)

ab46798 (purified) at 1/40 immunoprecipitating Hsp60 in MCF7 (Lane 1). Lane 2 - PBS. For western blotting, a HRP-conjugated anti-rabbit IgG, specific to the non-reduced form of IgG was used as the secondary antibody (1/1500).

Blocking buffer and concentration : 5% NFDM/TBST.

Diluting buffer and concentration : 5% NFDM /TBST.

All lanes:

Immunoprecipitation - Anti-Hsp60 antibody - Mitochondrial Marker (ab46798)

Predicted band size: 61 kDa

Observed band size: 60 kDa

false

Immunohistochemistry (Formalin/PFA-fixed paraffin-embedded sections) - Anti-Hsp60 antibody - Mitochondrial Marker (AB46798)
  • IHC-P

Unknown

Immunohistochemistry (Formalin/PFA-fixed paraffin-embedded sections) - Anti-Hsp60 antibody - Mitochondrial Marker (AB46798)

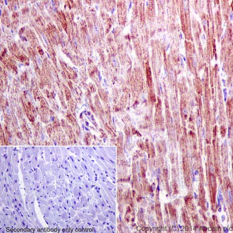
Immunohistochemical staining of paraffin embedded mouse cardiac muscle with purified ab46798 at a working dilution of 1 in 100. The secondary antibody used is ab97051 Goat Anti-Rabbit IgG H&L (HRP) at a dilution of 1/500. The sample is counter-stained with hematoxylin. Antigen retrieval was perfomed using Tris-EDTA buffer, pH 9.0. PBS was used instead of the primary antibody as the negative control, and is shown in the inset.

Immunohistochemistry (Formalin/PFA-fixed paraffin-embedded sections) - Anti-Hsp60 antibody - Mitochondrial Marker (AB46798)
  • IHC-P

Unknown

Immunohistochemistry (Formalin/PFA-fixed paraffin-embedded sections) - Anti-Hsp60 antibody - Mitochondrial Marker (AB46798)

Immunohistochemical staining of paraffin embedded rat kidney with purified ab46798 at a working dilution of 1 in 100. The secondary antibody used is ab97051 Goat Anti-Rabbit IgG H&L (HRP) at a dilution of 1/500. The sample is counter-stained with hematoxylin. Antigen retrieval was perfomed using Tris-EDTA buffer, pH 9.0. PBS was used instead of the primary antibody as the negative control, and is shown in the inset.

Western blot - Anti-Hsp60 antibody - Mitochondrial Marker (AB46798)
  • WB

Unknown

Western blot - Anti-Hsp60 antibody - Mitochondrial Marker (AB46798)

Secondary antibody - anti-rabbit HRP (ab6721)

All lanes:

Western blot - Anti-Hsp60 antibody - Mitochondrial Marker (ab46798) at 1/50000 dilution

All lanes:

Western blot - T-47D whole cell lysate (<a href='/products/cell-lysates/t-47d-whole-cell-lysate-ab14899'>ab14899</a>) at 10 µg

Secondary

All lanes:

Western blot - Goat Anti-Rabbit IgG H&L (HRP) (<a href='/products/secondary-antibodies/goat-rabbit-igg-h-l-hrp-ab6721'>ab6721</a>) at 1/2000 dilution

Predicted band size: 61 kDa

Observed band size: 60 kDa

false

Western blot - Anti-Hsp60 antibody - Mitochondrial Marker (AB46798)
  • WB

Unknown

Western blot - Anti-Hsp60 antibody - Mitochondrial Marker (AB46798)

Blocking Buffer : 5% NFDM/TBST

Dilution Buffer : 5% NFDM/TBST

All lanes:

Western blot - Anti-Hsp60 antibody - Mitochondrial Marker (ab46798) at 1/20000 dilution

All lanes:

T47-D cell lysate at 10 µg

Secondary

All lanes:

HRP conjugated goat anti-rabbit IgG (H+L) at 1/1000 dilution

Predicted band size: 61 kDa

Observed band size: 60 kDa

false

Western blot - Anti-Hsp60 antibody - Mitochondrial Marker (AB46798)
  • WB

Unknown

Western blot - Anti-Hsp60 antibody - Mitochondrial Marker (AB46798)

Blocking Buffer : 5% NFDM/TBST

Dilution Buffer : 5% NFDM/TBST

All lanes:

Western blot - Anti-Hsp60 antibody - Mitochondrial Marker (ab46798) at 1/50000 dilution

Lane 1:

MCF7 cell lysate at 20 µg

Lane 2:

SW480 cell lysate at 20 µg

Secondary

All lanes:

HRP conjugated goat anti-rabbit IgG (H+L) at 1/1000 dilution

Predicted band size: 61 kDa

Observed band size: 60 kDa

false

Western blot - Anti-Hsp60 antibody - Mitochondrial Marker (AB46798)
  • WB

Unknown

Western blot - Anti-Hsp60 antibody - Mitochondrial Marker (AB46798)

Blocking Buffer : 5% NFDM/TBST

Dilution Buffer : 5% NFDM/TBST

All lanes:

Western blot - Anti-Hsp60 antibody - Mitochondrial Marker (ab46798) at 1/50000 dilution

All lanes:

Pig heart tissue lysate at 20 µg

Secondary

All lanes:

HRP conjugated goat anti-rabbit IgG (H+L) at 1/1000 dilution

Predicted band size: 61 kDa

Observed band size: 60 kDa

false

Key facts

宿主種

Rabbit

クローン性

Polyclonal

アイソタイプ

IgG

キャリアフリー

No

交差種

Mouse, Rat, Human, Pig

アプリケーション

Flow Cyt (Intra), ICC/IF, IHC-P, WB, IP

applications

免疫原

The exact immunogen used to generate this antibody is proprietary information.

特異性

Replenishment batches of our polyclonal antibody, ab46798 are tested in WB. Previous batches were additionally validated in Flow Cyt, ICC/IF, IHC-P and IP. These applications are still expected to work and are covered by our Abpromise guarantee. You may also be interested in our alternative recombinant antibody, ab190828.

Reactivity data

{ "title": "Reactivity Data", "filters": { "stats": ["", "Species", "Dilution Info", "Notes"], "tabs": { "all-applications": {"fullname" : "All Applications", "shortname": "All Applications"}, "IP" : {"fullname" : "Immunoprecipitation", "shortname":"IP"}, "FlowCytIntra" : {"fullname" : "Flow Cytometry (Intracellular)", "shortname":"Flow Cyt (Intra)"}, "WB" : {"fullname" : "Western blot", "shortname":"WB"}, "IHCP" : {"fullname" : "Immunohistochemistry (Formalin/PFA-fixed paraffin-embedded sections)", "shortname":"IHC-P"}, "ICCIF" : {"fullname" : "Immunocytochemistry/ Immunofluorescence", "shortname":"ICC/IF"} }, "product-promise": { "all": "all", "testedAndGuaranteed": "tested", "guaranteed": "expected", "predicted": "predicted", "notRecommended": "not-recommended" } }, "values": { "Human": { "IP-species-checked": "testedAndGuaranteed", "IP-species-dilution-info": "1/40", "IP-species-notes": "<p></p>", "FlowCytIntra-species-checked": "testedAndGuaranteed", "FlowCytIntra-species-dilution-info": "1/30", "FlowCytIntra-species-notes": "<p><a href='/products/primary-antibodies/rabbit-igg-polyclonal-isotype-control-chip-grade-ab171870'>ab171870</a> - Rabbit polyclonal IgG, is suitable for use as an isotype control with this antibody.</p>", "WB-species-checked": "testedAndGuaranteed", "WB-species-dilution-info": "1/20000", "WB-species-notes": "<p></p>", "IHCP-species-checked": "testedAndGuaranteed", "IHCP-species-dilution-info": "1/100", "IHCP-species-notes": "<p></p>", "ICCIF-species-checked": "testedAndGuaranteed", "ICCIF-species-dilution-info": "5-10 µg/mL", "ICCIF-species-notes": "<p></p>" }, "Mouse": { "IP-species-checked": "guaranteed", "IP-species-dilution-info": "", "IP-species-notes": "", "FlowCytIntra-species-checked": "guaranteed", "FlowCytIntra-species-dilution-info": "", "FlowCytIntra-species-notes": "", "WB-species-checked": "testedAndGuaranteed", "WB-species-dilution-info": "1/20000", "WB-species-notes": "<p></p>", "IHCP-species-checked": "testedAndGuaranteed", "IHCP-species-dilution-info": "1/100", "IHCP-species-notes": "<p></p>", "ICCIF-species-checked": "guaranteed", "ICCIF-species-dilution-info": "", "ICCIF-species-notes": "" }, "Rat": { "IP-species-checked": "guaranteed", "IP-species-dilution-info": "", "IP-species-notes": "", "FlowCytIntra-species-checked": "guaranteed", "FlowCytIntra-species-dilution-info": "", "FlowCytIntra-species-notes": "", "WB-species-checked": "guaranteed", "WB-species-dilution-info": "", "WB-species-notes": "", "IHCP-species-checked": "testedAndGuaranteed", "IHCP-species-dilution-info": "1/100", "IHCP-species-notes": "<p></p>", "ICCIF-species-checked": "guaranteed", "ICCIF-species-dilution-info": "", "ICCIF-species-notes": "" }, "Chicken": { "IP-species-checked": "predicted", "IP-species-dilution-info": "", "IP-species-notes": "", "FlowCytIntra-species-checked": "predicted", "FlowCytIntra-species-dilution-info": "", "FlowCytIntra-species-notes": "", "WB-species-checked": "predicted", "WB-species-dilution-info": "", "WB-species-notes": "", "IHCP-species-checked": "predicted", "IHCP-species-dilution-info": "", "IHCP-species-notes": "", "ICCIF-species-checked": "predicted", "ICCIF-species-dilution-info": "", "ICCIF-species-notes": "" }, "Cow": { "IP-species-checked": "predicted", "IP-species-dilution-info": "", "IP-species-notes": "", "FlowCytIntra-species-checked": "predicted", "FlowCytIntra-species-dilution-info": "", "FlowCytIntra-species-notes": "", "WB-species-checked": "predicted", "WB-species-dilution-info": "", "WB-species-notes": "", "IHCP-species-checked": "predicted", "IHCP-species-dilution-info": "", "IHCP-species-notes": "", "ICCIF-species-checked": "predicted", "ICCIF-species-dilution-info": "", "ICCIF-species-notes": "" }, "Hamster": { "IP-species-checked": "predicted", "IP-species-dilution-info": "", "IP-species-notes": "", "FlowCytIntra-species-checked": "predicted", "FlowCytIntra-species-dilution-info": "", "FlowCytIntra-species-notes": "", "WB-species-checked": "predicted", "WB-species-dilution-info": "", "WB-species-notes": "", "IHCP-species-checked": "predicted", "IHCP-species-dilution-info": "", "IHCP-species-notes": "", "ICCIF-species-checked": "predicted", "ICCIF-species-dilution-info": "", "ICCIF-species-notes": "" }, "Orangutan": { "IP-species-checked": "predicted", "IP-species-dilution-info": "", "IP-species-notes": "", "FlowCytIntra-species-checked": "predicted", "FlowCytIntra-species-dilution-info": "", "FlowCytIntra-species-notes": "", "WB-species-checked": "predicted", "WB-species-dilution-info": "", "WB-species-notes": "", "IHCP-species-checked": "predicted", "IHCP-species-dilution-info": "", "IHCP-species-notes": "", "ICCIF-species-checked": "predicted", "ICCIF-species-dilution-info": "", "ICCIF-species-notes": "" }, "Pig": { "IP-species-checked": "guaranteed", "IP-species-dilution-info": "", "IP-species-notes": "", "FlowCytIntra-species-checked": "guaranteed", "FlowCytIntra-species-dilution-info": "", "FlowCytIntra-species-notes": "", "WB-species-checked": "testedAndGuaranteed", "WB-species-dilution-info": "1/20000", "WB-species-notes": "<p></p>", "IHCP-species-checked": "guaranteed", "IHCP-species-dilution-info": "", "IHCP-species-notes": "", "ICCIF-species-checked": "guaranteed", "ICCIF-species-dilution-info": "", "ICCIF-species-notes": "" } } }

製品の詳細

What is this antibody validated in?
Anti-Hsp60 antibody (ab46798) is a rabbit polyclonal antibody and is validated for use in Western Blot (WB), Flow Cytometry (Intra), Flow Cytometry (Flow Cyt), Immunoprecipitation (IP), Immunohistochemistry (IHC-P), Immunocytochemistry/immunofluorescence (ICC/IF) in Human, Mouse, Pig, Rat samples.

What is the molecular weight of Hsp60?
Anti-Hsp60 (ab46798) specifically detects a band for Hsp60 (UniProt: P10809) at a molecular weight of 60kDa.

Trusted by the scientific community
Anti-Hsp60 (ab46798) was first used in a scientific publication in 2007 and has been cited over 130 times in peer-reviewed journals.

Reviewed by scientists
Anti-Hsp60 (ab46798) has over 10 independent reviews from customers.

出荷温度及び保存条件

製品の状態
Liquid
精製方法
Affinity purification Immunogen
バッファー組成
pH: 7.4 Preservative: 0.02% Sodium azide Constituents: PBS, 1% BSA
出荷温度
Blue Ice
短期保存期間
1-2 weeks
短期保存温度
+4°C
長期保存温度
-20°C
分注に関する情報
Upon delivery aliquot
保管に関する情報
Avoid freeze / thaw cycle

補足情報

This supplementary information is collated from multiple sources and compiled automatically.

Hsp60 also known as HSPD1 and heat shock protein 60 is a significant chaperonin with a molecular weight of approximately 60 kDa. It resides predominantly in the mitochondria and functions to assist in the proper folding of proteins preventing their aggregation. Hsp60 is expressed mainly in cells with high metabolic activity. Its presence as a mitochondrial marker highlights its essential role in maintaining cellular homeostasis and function.
Biological function summary

The protein ensures mitochondrial protein stability by facilitating the refolding of misfolded proteins and cooperating with other chaperonins like Hsp10. Hsp60 participates in forming a complex with these proteins to create a conducive environment for protein folding. It plays a part in regulating mitochondrial homeostasis impacting cell survival and apoptosis processes.

Pathways

Hsp60 links to the ATP synthesis and apoptosis pathways showcasing its importance as a mitochondrial marker. It interacts with proteins like caspase-3 to modulate cell death mechanisms highlighting its influence beyond simple protein folding. In the ATP synthesis pathway it contributes indirectly to energy production by maintaining mitochondrial function.

Hsp60 shows a connection to neurodegenerative diseases and cancer. Altered Hsp60 levels correlate with increased apoptosis in neurodegenerative conditions like Alzheimer's disease. Additionally in cancer interactions with proteins such as AKT suggest its potential role in cell proliferation and survival. Understanding its role could aid in the development of therapeutic interventions targeting mitochondrial dysfunction.

製品プロトコール

For this product, it's our understanding that no specific protocols are required. You can visit:

ターゲットの情報

Chaperonin implicated in mitochondrial protein import and macromolecular assembly. Together with Hsp10, facilitates the correct folding of imported proteins. May also prevent misfolding and promote the refolding and proper assembly of unfolded polypeptides generated under stress conditions in the mitochondrial matrix (PubMed : 11422376, PubMed : 1346131). The functional units of these chaperonins consist of heptameric rings of the large subunit Hsp60, which function as a back-to-back double ring. In a cyclic reaction, Hsp60 ring complexes bind one unfolded substrate protein per ring, followed by the binding of ATP and association with 2 heptameric rings of the co-chaperonin Hsp10. This leads to sequestration of the substrate protein in the inner cavity of Hsp60 where, for a certain period of time, it can fold undisturbed by other cell components. Synchronous hydrolysis of ATP in all Hsp60 subunits results in the dissociation of the chaperonin rings and the release of ADP and the folded substrate protein (Probable).
See full target information HSPD1

文献 (166)

Recent publications for all applications. Explore the full list and refine your search

Biology methods & protocols 10:bpaf068 PubMed41018846

2025

A robust protocol for proteomic profiling of secreted proteins in conditioned culture medium.

Applications

Unspecified application

Species

Unspecified reactive species

Takayoshi Otsuka,Atsushi Hatano,Masaki Matsumoto,Hideaki Matsui

Nature aging 5:2003-2021 PubMed40993327

2025

Herbal terpenoids activate autophagy and mitophagy through modulation of bioenergetics and protect from metabolic stress, sarcopenia and epigenetic aging.

Applications

Unspecified application

Species

Unspecified reactive species

Gabriele Civiletto,Dario Brunetti,Giulia Lizzo,Kamila Muller,Guillaume E Jacot,Ioanna Daskalaki,Federico Sizzano,Minji Huh,Ivano Di Meo,Maria Nicol Colombo,José L Sanchez-Garcia,Bertrand J Bétrisey,Alix Zollinger,Patricia Lino,Christopher Neal,Anne-Laure Egesipe,Joy Richard,Myriam Chimen,Aurélie Hermant,Benjamin Brinon,Lorane Texari,Sylviane Metairon,Mohammed Adnan Qureshi,Dhaval S Patel,Siva A Vanapalli,Marco Malavolta,Arwen W Gao,Amelia Lalou,Mauro Provinciali,Fiorenza Orlando,Valeria Tiranti,Robert T Brooke,Steve Horvath,Johan Auwerx,Jerome N Feige,Philipp Gut

Nature cell biology 27:1272-1287 PubMed40715440

2025

Reconstitution of BNIP3/NIX-mitophagy initiation reveals hierarchical flexibility of the autophagy machinery.

Applications

Unspecified application

Species

Unspecified reactive species

Elias Adriaenssens,Stefan Schaar,Annan S I Cook,Jan F M Stuke,Justyna Sawa-Makarska,Thanh Ngoc Nguyen,Xuefeng Ren,Martina Schuschnig,Julia Romanov,Grace Khuu,Louise Uoselis,Michael Lazarou,Gerhard Hummer,James H Hurley,Sascha Martens

Journal of molecular and cellular cardiology plus 13:100469 PubMed40686505

2025

MitoQ Protects Against Oxidative Stress-Induced Mitochondrial Dysregulation in Human Cardiomyocytes.

Applications

Unspecified application

Species

Unspecified reactive species

Alex M Parker,Jarmon G Lees,Mitchel Tate,Ren J Phang,Anida Velagic,Minh Deo,Tayla Bishop,Thomas Krieg,Michael P Murphy,Shiang Y Lim,Miles J De Blasio,Rebecca H Ritchie

Proceedings of the National Academy of Sciences of the United States of America 121:e2401996121 PubMed40591563

2025

UPF1 deficiency enhances mitochondrial ROS which promotes an immunosuppressive microenvironment in pancreatic ductal adenocarcinoma.

Applications

Unspecified application

Species

Unspecified reactive species

Wenjuan Su,Juan Kochen Rossi,Cristina Nuevo-Tapioles,Ting Chen,Emily Kawaler,Cristina Branco,Kwok-Kin Wong,Diane M Simeone,Lawrence B Gardner,Mark R Philips

Cell death & disease 16:409 PubMed40399264

2025

Asb10 accelerates pathological cardiac remodeling by stabilizing HSP70.

Applications

Unspecified application

Species

Unspecified reactive species

Ke Lin,Wenjie Wei,Songzan Chen,Yingchao Gong,Xingchen Wang,Meihui Wang,Ran Li,Yanbo Zhao,Shengjie Xu,Chongying Jin,Chenyang Jiang,Guosheng Fu,Qinfeng Li

Nature communications 16:3221 PubMed40185737

2025

The Futile Creatine Cycle powers UCP1-independent thermogenesis in classical BAT.

Applications

Unspecified application

Species

Unspecified reactive species

Jakub Bunk,Mohammed F Hussain,Maria Delgado-Martin,Bozena Samborska,Mina Ersin,Abhirup Shaw,Janane F Rahbani,Lawrence Kazak

Journal of immunology (Baltimore, Md. : 1950) 214:238-252 PubMed40073244

2025

Aggregatin is a mitochondrial regulator of MAVS activation to drive innate immunity.

Applications

Unspecified application

Species

Unspecified reactive species

Ju Gao,Mao Ding,Yanbin Xiyang,Siyue Qin,Devanshi Shukla,Jiawei Xu,Masaru Miyagi,Hisashi Fujioka,Jingjing Liang,Xinglong Wang

Journal of extracellular vesicles 13:e12414 PubMed39400522

2024

Low fluid shear stress stimulates the uptake of noxious endothelial extracellular vesicles via MCAM and PECAM-1 cell adhesion molecules.

Applications

Unspecified application

Species

Unspecified reactive species

Pierre-Michaël Coly,Shruti Chatterjee,Fariza Mezine,Christelle El Jekmek,Cécile Devue,Thomas Nipoti,Stephane Mazlan,Maribel Lara Corona,Florent Dingli,Damarys Loew,Guillaume van Niel,Xavier Loyer,Chantal M Boulanger

Nature communications 15:8086 PubMed39278958

2024

Normothermic ex vivo kidney perfusion preserves mitochondrial and graft function after warm ischemia and is further enhanced by AP39.

Applications

Unspecified application

Species

Unspecified reactive species

Masataka Kawamura,Catherine Parmentier,Samrat Ray,Sergi Clotet-Freixas,Sharon Leung,Rohan John,Laura Mazilescu,Emmanuel Nogueira,Yuki Noguchi,Toru Goto,Bhranavi Arulratnam,Sujani Ganesh,Tomas Tamang,Kaitlin Lees,Trevor W Reichman,Ana C Andreazza,Peter K Kim,Ana Konvalinka,Markus Selzner,Lisa A Robinson
View all publications

Abcam product promise

当社は、高品質な試薬を通じてお客様の研究を力強くサポートすることをお約束いたします。ご使用いただく各段階で、常にお客様をサポートできる体制を整えております。万が一、製品が期待通りに機能しない場合は、「Abcam Product Promise」による当社保証制度に基づき、安心してご利用いただけます。
保証に関する詳細については利用規約をご確認ください。

Please note: All products are 'FOR RESEARCH USE ONLY. NOT FOR USE IN DIAGNOSTIC OR THERAPEUTIC PROCEDURES'.

For licensing inquiries, please contact partnerships@abcam.com