JavaScript is disabled in your browser. Please enable JavaScript to view this website.
AB70378

Anti-hSET1/SET1 抗体

Anti-hSET1/SET1 antibody

4

(3 Reviews)

|

(24 Publications)

Rabbit Polyclonal hSET1/SET1 antibody. Suitable for IHC-P, IP, WB and reacts with Human samples. Cited in 24 publications. Immunogen corresponding to Synthetic Peptide within Human SETD1A.

別名を表示する

KIAA0339, KMT2F, SET1, SET1A, SETD1A, Histone-lysine N-methyltransferase SETD1A, Lysine N-methyltransferase 2F, SET domain-containing protein 1A, Set1/Ash2 histone methyltransferase complex subunit SET1, hSET1A

3 Images
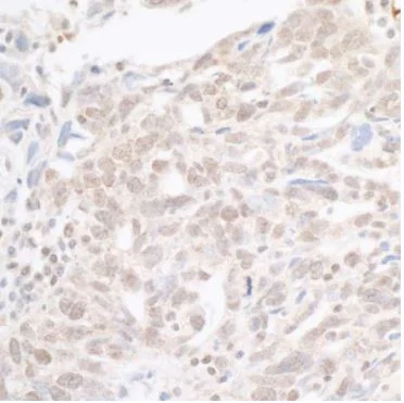
Immunohistochemistry (Formalin/PFA-fixed paraffin-embedded sections) - Anti-hSET1/SET1 antibody (AB70378)
  • IHC-P

Supplier Data

Immunohistochemistry (Formalin/PFA-fixed paraffin-embedded sections) - Anti-hSET1/SET1 antibody (AB70378)

Formalin-fixed, paraffin-embedded human ovarian carcinoma tissue stained for hSET1/SET1 using ab70378 at 1/5000 dilution in immunohistochemical analysis. Secondary : HRP-conjugated goat anti-rabbit IgG. Detection : DAB.

Immunoprecipitation - Anti-hSET1/SET1 antibody (AB70378)
  • IP

Supplier Data

Immunoprecipitation - Anti-hSET1/SET1 antibody (AB70378)

hSET1/SET1 was immunoprecipitated from 293T nuclear extracts with 6 μg/mg lysate ab70378. Western blot was performed from the immunoprecipitate using ab70378 at 1/1000 dilution.

Lane 1 : ab70378 IP in 293T nuclear extract.

Lane 2 : Control IgG IP in 293T nuclear extract.

All lanes:

Immunoprecipitation - Anti-hSET1/SET1 antibody (ab70378)

Predicted band size: 186 kDa

false

Western blot - Anti-hSET1/SET1 antibody (AB70378)
  • WB

Supplier Data

Western blot - Anti-hSET1/SET1 antibody (AB70378)

cells prepared using NETN lysis buffer

Detection : Chemiluminescence with an exposure time of 75 seconds.

All lanes:

Western blot - Anti-hSET1/SET1 antibody (ab70378) at 1/25000 dilution

Lane 1:

HEK293T Whole cell lysate at 10 µg

Lane 2:

HeLa Whole cell lysate at 10 µg

Lane 3:

Jurkat Whole cell lysate at 10 µg

Lane 4:

Hep-G2 Whole cell lysate at 10 µg

Predicted band size: 186 kDa

false

Key facts

宿主種

Rabbit

クローン性

Polyclonal

アイソタイプ

IgG

キャリアフリー

No

交差種

Human, Rat, Mouse

アプリケーション

IHC-P, IP, WB

applications

免疫原

Synthetic Peptide within Human SETD1A. The exact immunogen used to generate this antibody is proprietary information.

O15047

Reactivity data

{ "title": "Reactivity Data", "filters": { "stats": ["", "Species", "Dilution Info", "Notes"], "tabs": { "all-applications": {"fullname" : "All Applications", "shortname": "All Applications"}, "IHCP" : {"fullname" : "Immunohistochemistry (Formalin/PFA-fixed paraffin-embedded sections)", "shortname":"IHC-P"}, "IP" : {"fullname" : "Immunoprecipitation", "shortname":"IP"}, "WB" : {"fullname" : "Western blot", "shortname":"WB"} }, "product-promise": { "all": "all", "testedAndGuaranteed": "tested", "guaranteed": "expected", "predicted": "predicted", "notRecommended": "not-recommended" } }, "values": { "Human": { "IHCP-species-checked": "testedAndGuaranteed", "IHCP-species-dilution-info": "1/2000 - 1/10000", "IHCP-species-notes": "<p></p> Perform heat-mediated antigen retrieval with citrate buffer pH 6 before commencing with IHC staining protocol.", "IP-species-checked": "testedAndGuaranteed", "IP-species-dilution-info": "2-10 µg/mg of lysate", "IP-species-notes": "<p></p>", "WB-species-checked": "testedAndGuaranteed", "WB-species-dilution-info": "1/10000 - 1/25000", "WB-species-notes": "<p></p>" }, "Mouse": { "IHCP-species-checked": "predicted", "IHCP-species-dilution-info": "", "IHCP-species-notes": "", "IP-species-checked": "predicted", "IP-species-dilution-info": "", "IP-species-notes": "", "WB-species-checked": "predicted", "WB-species-dilution-info": "", "WB-species-notes": "" }, "Rat": { "IHCP-species-checked": "predicted", "IHCP-species-dilution-info": "", "IHCP-species-notes": "", "IP-species-checked": "predicted", "IP-species-dilution-info": "", "IP-species-notes": "", "WB-species-checked": "predicted", "WB-species-dilution-info": "", "WB-species-notes": "" }, "Chimpanzee": { "IHCP-species-checked": "predicted", "IHCP-species-dilution-info": "", "IHCP-species-notes": "", "IP-species-checked": "predicted", "IP-species-dilution-info": "", "IP-species-notes": "", "WB-species-checked": "predicted", "WB-species-dilution-info": "", "WB-species-notes": "" }, "Chinese hamster": { "IHCP-species-checked": "predicted", "IHCP-species-dilution-info": "", "IHCP-species-notes": "", "IP-species-checked": "predicted", "IP-species-dilution-info": "", "IP-species-notes": "", "WB-species-checked": "predicted", "WB-species-dilution-info": "", "WB-species-notes": "" }, "Cow": { "IHCP-species-checked": "predicted", "IHCP-species-dilution-info": "", "IHCP-species-notes": "", "IP-species-checked": "predicted", "IP-species-dilution-info": "", "IP-species-notes": "", "WB-species-checked": "predicted", "WB-species-dilution-info": "", "WB-species-notes": "" }, "Dog": { "IHCP-species-checked": "predicted", "IHCP-species-dilution-info": "", "IHCP-species-notes": "", "IP-species-checked": "predicted", "IP-species-dilution-info": "", "IP-species-notes": "", "WB-species-checked": "predicted", "WB-species-dilution-info": "", "WB-species-notes": "" }, "Elephant": { "IHCP-species-checked": "predicted", "IHCP-species-dilution-info": "", "IHCP-species-notes": "", "IP-species-checked": "predicted", "IP-species-dilution-info": "", "IP-species-notes": "", "WB-species-checked": "predicted", "WB-species-dilution-info": "", "WB-species-notes": "" }, "Gorilla": { "IHCP-species-checked": "predicted", "IHCP-species-dilution-info": "", "IHCP-species-notes": "", "IP-species-checked": "predicted", "IP-species-dilution-info": "", "IP-species-notes": "", "WB-species-checked": "predicted", "WB-species-dilution-info": "", "WB-species-notes": "" }, "Guinea pig": { "IHCP-species-checked": "predicted", "IHCP-species-dilution-info": "", "IHCP-species-notes": "", "IP-species-checked": "predicted", "IP-species-dilution-info": "", "IP-species-notes": "", "WB-species-checked": "predicted", "WB-species-dilution-info": "", "WB-species-notes": "" }, "Horse": { "IHCP-species-checked": "predicted", "IHCP-species-dilution-info": "", "IHCP-species-notes": "", "IP-species-checked": "predicted", "IP-species-dilution-info": "", "IP-species-notes": "", "WB-species-checked": "predicted", "WB-species-dilution-info": "", "WB-species-notes": "" }, "Orangutan": { "IHCP-species-checked": "predicted", "IHCP-species-dilution-info": "", "IHCP-species-notes": "", "IP-species-checked": "predicted", "IP-species-dilution-info": "", "IP-species-notes": "", "WB-species-checked": "predicted", "WB-species-dilution-info": "", "WB-species-notes": "" }, "Pig": { "IHCP-species-checked": "predicted", "IHCP-species-dilution-info": "", "IHCP-species-notes": "", "IP-species-checked": "predicted", "IP-species-dilution-info": "", "IP-species-notes": "", "WB-species-checked": "predicted", "WB-species-dilution-info": "", "WB-species-notes": "" }, "Rabbit": { "IHCP-species-checked": "predicted", "IHCP-species-dilution-info": "", "IHCP-species-notes": "", "IP-species-checked": "predicted", "IP-species-dilution-info": "", "IP-species-notes": "", "WB-species-checked": "predicted", "WB-species-dilution-info": "", "WB-species-notes": "" }, "Rhesus monkey": { "IHCP-species-checked": "predicted", "IHCP-species-dilution-info": "", "IHCP-species-notes": "", "IP-species-checked": "predicted", "IP-species-dilution-info": "", "IP-species-notes": "", "WB-species-checked": "predicted", "WB-species-dilution-info": "", "WB-species-notes": "" } } }

出荷温度及び保存条件

製品の状態
Liquid
精製方法
Affinity purification Immunogen
バッファー組成
pH: 7 - 8 Preservative: 0.09% Sodium azide Constituents: Tris citrate/phosphate
出荷温度
Blue Ice
短期保存期間
1-2 weeks
短期保存温度
+4°C
長期保存温度
+4°C
分注に関する情報
Upon delivery aliquot
保管に関する情報
Avoid freeze / thaw cycle|Do Not Freeze

補足情報

This supplementary information is collated from multiple sources and compiled automatically.

HSET1 also known as SET1 is a protein complex known for its role in histone methylation specifically on histone H3 at lysine 4 (H3K4). This methylation activity plays an important role in gene expression regulation. Predominantly expressed in the nucleus of eukaryotic cells hSET1 forms part of the COMPASS complex which weighs around 600 kDa. The enzyme encompasses various subunits each contributing to the overall stability and functionality of the complex.
Biological function summary

HSET1 influences chromatin structure modifications that regulate transcriptional activity. As a histone methyltransferase its activity results in epigenetic changes that turn genes on or off. hSET1 as part of the COMPASS complex recruits other factors to transcription initiation sites leading to active gene expression. This activity highlights its significant role in cell differentiation and development affecting how cells progress from one state to another.

Pathways

HSET1 plays a major role in the regulation of the Wnt signaling pathway and the DNA damage response pathway. Through the Wnt pathway hSET1 influences the dynamic process of cellular growth and differentiation interacting with proteins such as β-catenin. In the DNA damage response hSET1 modulates chromatin modifications facilitating the repair of damaged DNA coordinating with proteins like p53 to maintain genomic stability.

Aberrations in hSET1 functions associate with leukemias and certain neurodevelopmental disorders. In leukemia inappropriate activity or mutation in hSET1 leads to misregulated gene expression contributing to malignancy progression. Neurodevelopmental disorders have also shown correlations with abnormal hSET1 expression possibly affecting synaptic connectivity. Proteins such as EZH2 in the context of leukemia show interactions with SET1-related pathways highlighting its potential as a therapeutic target.

製品プロトコール

For this product, it's our understanding that no specific protocols are required. You can visit:

ターゲットの情報

Histone methyltransferase that catalyzes methyl group transfer from S-adenosyl-L-methionine to the epsilon-amino group of 'Lys-4' of histone H3 (H3K4) via a non-processive mechanism (PubMed : 12670868, PubMed : 25561738). Part of chromatin remodeling machinery, forms H3K4me1, H3K4me2 and H3K4me3 methylation marks at active chromatin sites where transcription and DNA repair take place (PubMed : 29937342, PubMed : 31197650, PubMed : 32346159). Responsible for H3K4me3 enriched promoters and transcriptional programming of inner mass stem cells and neuron progenitors during embryogenesis (By similarity) (PubMed : 31197650). Required for H3K4me1 mark at stalled replication forks. Mediates FANCD2-dependent nucleosome remodeling and RAD51 nucleofilaments stabilization at reversed forks, protecting them from nucleolytic degradation (PubMed : 29937342, PubMed : 32346159). Does not methylate 'Lys-4' of histone H3 if the neighboring 'Lys-9' residue is already methylated (PubMed : 12670868). Binds RNAs involved in RNA processing and the DNA damage response (PubMed : 38003223).
See full target information SETD1A

文献 (24)

Recent publications for all applications. Explore the full list and refine your search

Infectious agents and cancer 20:12 PubMed40025575

2025

Potential mechanism of circKIAA1429 accelerating the progression of hepatocellular carcinoma.

Applications

Unspecified application

Species

Unspecified reactive species

Yiting Yuan,Junwei Huang,Guifen Wei,Guang Hu,Hongmei Yu,Yiming Tao

Nature genetics 57:165-179 PubMed39806204

2025

Loss of Kmt2c or Kmt2d primes urothelium for tumorigenesis and redistributes KMT2A-menin to bivalent promoters.

Applications

Unspecified application

Species

Unspecified reactive species

Naitao Wang,Mohini R Pachai,Dan Li,Cindy J Lee,Sarah Warda,Makhzuna N Khudoynazarova,Woo Hyun Cho,Guojia Xie,Sagar R Shah,Li Yao,Cheng Qian,Elissa W P Wong,Juan Yan,Fanny V Tomas,Wenhuo Hu,Fengshen Kuo,Sizhi P Gao,Jiaqian Luo,Alison E Smith,Ming Han,Dong Gao,Kai Ge,Haiyuan Yu,Sarat Chandarlapaty,Gopakumar V Iyer,Jonathan E Rosenberg,David B Solit,Hikmat A Al-Ahmadie,Ping Chi,Yu Chen

The EMBO journal 44:437-456 PubMed39639179

2024

Histone methyltransferases MLL2 and SETD1A/B play distinct roles in H3K4me3 deposition during the transition from totipotency to pluripotency.

Applications

Unspecified application

Species

Unspecified reactive species

Jingjing Zhang,Qiaoran Sun,Liang Liu,Shichun Yang,Xia Zhang,Yi-Liang Miao,Xin Liu

iScience 27:110187 PubMed38989451

2024

The COMPASS complex maintains the metastatic capacity imparted by a subpopulation of cells in UPS.

Applications

Unspecified application

Species

Unspecified reactive species

Ga I Ban,Vijitha Puviindran,Yu Xiang,Puvi Nadesan,Jackie Tang,Jianhong Ou,Nicholas Guardino,Makoto Nakagawa,MaKenna Browne,Asjah Wallace,Koji Ishikawa,Eijiro Shimada,John T Martin,Yarui Diao,David G Kirsch,Benjamin A Alman

Nature communications 15:5674 PubMed38971831

2024

Epigenetic maintenance of adult neural stem cell quiescence in the mouse hippocampus via Setd1a.

Applications

Unspecified application

Species

Unspecified reactive species

Ting Zhao,Yan Hong,Bowen Yan,Suming Huang,Guo-Li Ming,Hongjun Song

International journal of medical sciences 21:70-79 PubMed38164353

2024

Anlotinib suppresses the DNA damage response by disrupting SETD1A and inducing p53-dependent apoptosis in Transformed Follicular Lymphoma.

Applications

Unspecified application

Species

Unspecified reactive species

Xinguo Zhuang,Jingwei Yao,Xun Li,Yuelong Jiang,Mengya Zhong,Jinshui Tan,Hui Zhou,Genhong Li,Jie Zha,Bing Xu

Cell reports 38:110524 PubMed35294876

2022

The BTB transcription factors ZBTB11 and ZFP131 maintain pluripotency by repressing pro-differentiation genes.

Applications

Unspecified application

Species

Unspecified reactive species

Görkem Garipler,Congyi Lu,Alexis Morrissey,Lorena S Lopez-Zepeda,Yingzhen Pei,Simon E Vidal,Ana Paula Zen Petisco Fiore,Begüm Aydin,Matthias Stadtfeld,Uwe Ohler,Shaun Mahony,Neville E Sanjana,Esteban O Mazzoni

Science advances 8:eabm1077 PubMed35245111

2022

Cell type-specific mechanism of Setd1a heterozygosity in schizophrenia pathogenesis.

Applications

Unspecified application

Species

Unspecified reactive species

Renchao Chen,Yiqiong Liu,Mohamed N Djekidel,Wenqiang Chen,Aritra Bhattacherjee,Zhiyuan Chen,Ed Scolnick,Yi Zhang

Investigative ophthalmology & visual science 62:1 PubMed33938913

2021

Setd1a Plays Pivotal Roles for the Survival and Proliferation of Retinal Progenitors via Histone Modifications of Uhrf1.

Applications

Unspecified application

Species

Unspecified reactive species

Xiaoyue Deng,Toshiro Iwagawa,Masaya Fukushima,Yutaka Suzuki,Sumiko Watanabe

American journal of translational research 13:1494-1504 PubMed33841673

2021

Anlotinib suppresses MLL-rearranged acute myeloid leukemia cell growth by inhibiting SETD1A/AKT-mediated DNA damage response.

Applications

Unspecified application

Species

Unspecified reactive species

Jinzhu Chen,Juan Feng,Zhihong Fang,Jing Ye,Qinwei Chen,Qiuling Chen,Kai Chen,Xiaoming Xiong,Guowei Li,Haihan Song,Bing Xu
View all publications

Abcam product promise

当社は、高品質な試薬を通じてお客様の研究を力強くサポートすることをお約束いたします。ご使用いただく各段階で、常にお客様をサポートできる体制を整えております。万が一、製品が期待通りに機能しない場合は、「Abcam Product Promise」による当社保証制度に基づき、安心してご利用いただけます。
保証に関する詳細については利用規約をご確認ください。

Please note: All products are 'FOR RESEARCH USE ONLY. NOT FOR USE IN DIAGNOSTIC OR THERAPEUTIC PROCEDURES'.

For licensing inquiries, please contact partnerships@abcam.com