JavaScript is disabled in your browser. Please enable JavaScript to view this website.
AB195520

HRP Anti-Synaptophysin 抗体 [YE269]

HRP Anti-Synaptophysin antibody [YE269] - Synaptic Marker

Be the first to review this product! Submit a review

|

(1 Publication)

Rabbit Recombinant Monoclonal Synaptophysin antibody - conjugated to HRP. Suitable for IHC-P, WB and reacts with Human, Mouse, Rat samples. Cited in 1 publication.

別名を表示する

Synaptophysin, Major synaptic vesicle protein p38, SYP

2 Images
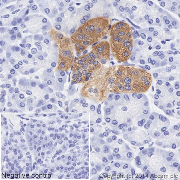
Immunohistochemistry (Formalin/PFA-fixed paraffin-embedded sections) - HRP Anti-Synaptophysin antibody [YE269] - Synaptic Marker (AB195520)
  • IHC-P

Lab

Immunohistochemistry (Formalin/PFA-fixed paraffin-embedded sections) - HRP Anti-Synaptophysin antibody [YE269] - Synaptic Marker (AB195520)

IHC image of Synaptophysin staining in a section of formalin-fixed paraffin-embedded normal human pancreas tissue*, performed on a Leica BOND. The section was pre-treated using heat mediated antigen retrieval with sodium citrate buffer (pH6, epitope retrieval solution 1) for 20mins. The section was then incubated with ab195520 at 1/500 dilution, for 15 mins at room temperature. DAB was used as the chromogen. The section was then counterstained with haematoxylin and mounted with DPX. The inset negative control image is taken from an identical assay without primary antibody.

For other IHC staining systems (automated and non-automated) customers should optimize variable parameters such as antigen retrieval conditions, primary antibody concentration and antibody incubation times.

*Tissue obtained from the Human Research Tissue Bank, supported by the NIHR Cambridge Biomedical Research Centre.

Western blot - HRP Anti-Synaptophysin antibody [YE269] - Synaptic Marker (AB195520)
  • WB

Lab

Western blot - HRP Anti-Synaptophysin antibody [YE269] - Synaptic Marker (AB195520)

This blot was produced using a 4-12% Bis-tris gel under the MOPS buffer system. The gel was run at 200V for 50 minutes before being transferred onto a Nitrocellulose membrane at 30V for 70 minutes. The membrane was then blocked for an hour using 3% milk before being incubated with ab195520 overnight at 4°C. Antibody binding was visualised using ECL development solution ab133406.

All lanes:

Western blot - HRP Anti-Synaptophysin antibody [YE269] - Synaptic Marker (ab195520) at 1/1000 dilution

Lane 1:

PC12 (Rat adrenal pheochromocytoma cell line) Whole Cell Lysate at 10 µg

Lane 2:

Brain (Rat) Tissue Lysate at 10 µg

Lane 3:

Brain (Mouse) Tissue Lysate at 10 µg

Predicted band size: 33 kDa

Observed band size: 37 kDa

true

Exposure time: 2s

関連する標識済み抗体及び組成の異なる製品 (6)

  • 617 Alexa Fluor® 594

    Alexa Fluor® 594 Anti-Synaptophysin antibody [YE269] - Synaptic Marker

  • 519 Alexa Fluor® 488

    Alexa Fluor® 488 Anti-Synaptophysin antibody [YE269] - Synaptic Marker

  • 665 Alexa Fluor® 647

    Alexa Fluor® 647 Anti-Synaptophysin antibody [YE269] - Synaptic Marker

  • 565 Alexa Fluor® 555

    Alexa Fluor® 555 Anti-Synaptophysin antibody [YE269] - Synaptic Marker

  • Unconjugated

    Anti-Synaptophysin antibody [YE269] - Synaptic Marker

  • Carrier free

    Anti-Synaptophysin antibody [YE269] - BSA and Azide free

Key facts

宿主種

Rabbit

クローン性

Monoclonal

クローン番号

YE269

アイソタイプ

IgG

標識

HRP

励起波長/蛍光波長
キャリアフリー

No

交差種

Mouse, Rat, Human, Human, Mouse, Rat

アプリケーション

WB, IHC-P

applications

免疫原

The exact immunogen used to generate this antibody is proprietary information.

Reactivity data

{ "title": "Reactivity Data", "filters": { "stats": ["", "Species", "Dilution Info", "Notes"], "tabs": { "all-applications": {"fullname" : "All Applications", "shortname": "All Applications"}, "IHCP" : {"fullname" : "Immunohistochemistry (Formalin/PFA-fixed paraffin-embedded sections)", "shortname":"IHC-P"}, "WB" : {"fullname" : "Western blot", "shortname":"WB"} }, "product-promise": { "all": "all", "testedAndGuaranteed": "tested", "guaranteed": "expected", "predicted": "predicted", "notRecommended": "not-recommended" } }, "values": { "Human": { "IHCP-species-checked": "testedAndGuaranteed", "IHCP-species-dilution-info": "1/500", "IHCP-species-notes": "<p></p>", "WB-species-checked": "guaranteed", "WB-species-dilution-info": "", "WB-species-notes": "" }, "Mouse": { "IHCP-species-checked": "guaranteed", "IHCP-species-dilution-info": "", "IHCP-species-notes": "", "WB-species-checked": "testedAndGuaranteed", "WB-species-dilution-info": "1/10000", "WB-species-notes": "<p></p>" }, "Rat": { "IHCP-species-checked": "guaranteed", "IHCP-species-dilution-info": "", "IHCP-species-notes": "", "WB-species-checked": "testedAndGuaranteed", "WB-species-dilution-info": "1/10000", "WB-species-notes": "<p></p>" } } }

製品の詳細

Patented technology
Our RabMAb® technology is a patented hybridoma-based technology for making rabbit monoclonal antibodies. For details on our patents, please refer to RabMAb® patents.

出荷温度及び保存条件

製品の状態
Liquid
精製方法
Affinity purification Protein A
バッファー組成
pH: 7.4 Preservative: 0.1% Proclin 300 Solution Constituents: PBS, 30% Glycerol (glycerin, glycerine), 1% BSA
出荷温度
Blue Ice
短期保存期間
1-2 weeks
短期保存温度
+4°C
長期保存温度
-20°C
分注に関する情報
Upon delivery aliquot
保管に関する情報
Avoid freeze / thaw cycle|Store in the dark

補足情報

This supplementary information is collated from multiple sources and compiled automatically.

Synaptophysin also known as SYP is a glycoprotein approximately 38 kDa in size. It is expressed abundantly in the presynaptic vesicle membranes of neurons and in neuroendocrine cells. Synaptophysin serves as a marker for synaptic vesicles and neuroendocrine tumors. The protein plays a significant role in synaptic vesicle cycling processes engaging in the release and recycling of neurotransmitters.
Biological function summary

Synaptophysin contributes to synaptic transmission and is engaged in the formation and maintenance of the synaptic vesicle pools. It is a part of the complex involved in neuronal communication and might interact with other vesicular proteins to ensure efficient neurotransmitter exchange. Researchers often utilize anti-Synaptophysin antibodies such as Alexa Fluor 647 labeled ones for visualization under confocal microscopy.

Pathways

Synaptophysin operates within pathways involving neurotransmitter release and synaptic vesicle cycle. It connects to proteins like Synaptotagmin and SNAP-25 integral to the facilitation of synaptic transmission and exocytosis. These pathways ensure efficient signal conduction across neurons which is critical for normal nervous system functioning.

Synaptophysin shows a strong association with neurodegenerative diseases and certain cancers like neuroblastoma. Altered expression levels or dysfunction of Synaptophysin can serve as a diagnostic marker for these conditions. The protein is connected with proteins like Bcl-2 in neurodegenerative diseases affecting cell survival and apoptosis pathways.

製品プロトコール

For this product, it's our understanding that no specific protocols are required. You can visit:

ターゲットの情報

Possibly involved in structural functions as organizing other membrane components or in targeting the vesicles to the plasma membrane. Involved in the regulation of short-term and long-term synaptic plasticity (By similarity).
See full target information SYP

文献 (1)

Recent publications for all applications. Explore the full list and refine your search

Canadian journal of physiology and pharmacology 96:241-248 PubMed28817786

2017

Propofol attenuates BV2 microglia inflammation via NMDA receptor inhibition.

Applications

Unspecified application

Species

Unspecified reactive species

Qichao Wu,Yanjun Zhao,Xiangyuan Chen,Minmin Zhu,Changhong Miao
View all publications

Abcam product promise

当社は、高品質な試薬を通じてお客様の研究を力強くサポートすることをお約束いたします。ご使用いただく各段階で、常にお客様をサポートできる体制を整えております。万が一、製品が期待通りに機能しない場合は、「Abcam Product Promise」による当社保証制度に基づき、安心してご利用いただけます。
保証に関する詳細については利用規約をご確認ください。

Please note: All products are 'FOR RESEARCH USE ONLY. NOT FOR USE IN DIAGNOSTIC OR THERAPEUTIC PROCEDURES'.

For licensing inquiries, please contact partnerships@abcam.com