JavaScript is disabled in your browser. Please enable JavaScript to view this website.
AB205439

HRP Anti-MAP1LC3A 抗体 [EP1528Y]

HRP Anti-MAP1LC3A antibody [EP1528Y] - Autophagosome Marker

Be the first to review this product! Submit a review

|

(2 Publications)

Rabbit Recombinant Monoclonal Microtubule-associated proteins 1A/1B light chain 3A antibody - conjugated to HRP. Suitable for IHC-P, WB and reacts with Human samples. Cited in 2 publications.

別名を表示する

Microtubule-associated proteins 1A/1B light chain 3A, Autophagy-related protein LC3 A, Autophagy-related ubiquitin-like modifier LC3 A, MAP1 light chain 3-like protein 1, MAP1A/MAP1B light chain 3 A, Microtubule-associated protein 1 light chain 3 alpha, MAP1A/MAP1B LC3 A, MAP1LC3A

2 Images
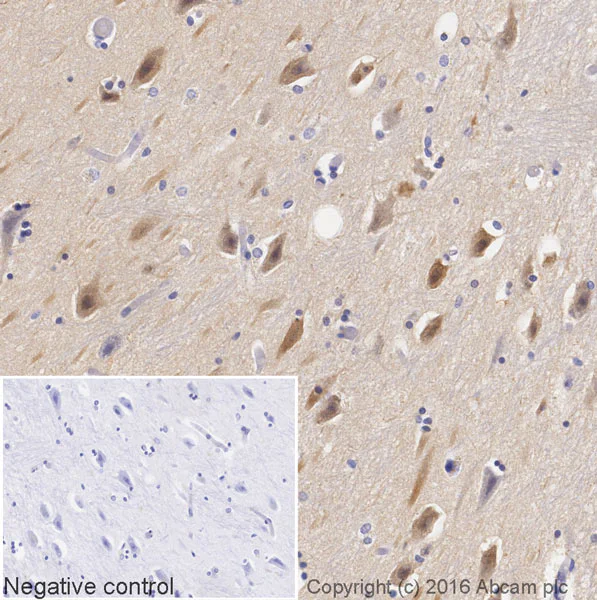
Immunohistochemistry (Formalin/PFA-fixed paraffin-embedded sections) - HRP Anti-MAP1LC3A antibody [EP1528Y] - Autophagosome Marker (AB205439)
  • IHC-P

Lab

Immunohistochemistry (Formalin/PFA-fixed paraffin-embedded sections) - HRP Anti-MAP1LC3A antibody [EP1528Y] - Autophagosome Marker (AB205439)

IHC image of MAP1LC3A staining in a section of formalin-fixed paraffin-embedded normal human hippocampus tissue, performed on a Leica BONDTM. The section was pre-treated using heat mediated antigen retrieval with sodium citrate buffer (pH6, epitope retrieval solution 1) for 20mins. The section was then incubated with ab205439, 1/150 dilution, for 15 mins at room temperature. DAB was used as the chromogen. The section was then counterstained with haematoxylin and mounted with DPX. The inset negative control image is taken from an identical assay without primary antibody.

For other IHC staining systems (automated and non-automated) customers should optimize variable parameters such as antigen retrieval conditions, primary antibody concentration and antibody incubation times.

Western blot - HRP Anti-MAP1LC3A antibody [EP1528Y] - Autophagosome Marker (AB205439)
  • WB

Lab

Western blot - HRP Anti-MAP1LC3A antibody [EP1528Y] - Autophagosome Marker (AB205439)

This blot was produced using a 4-12% Bis-tris gel under the MES buffer system. The gel was run at 200V for 35 minutes before being transferred onto a Nitrocellulose membrane at 30V for 70 minutes. The membrane was then blocked for an hour using 2% Bovine Serum Albumin before being incubated with ab205439 overnight at 4°C. Antibody binding was visualised using ECL development solution ab133406.

All lanes:

Western blot - HRP Anti-MAP1LC3A antibody [EP1528Y] - Autophagosome Marker (ab205439) at 1/5000 dilution

All lanes:

Brain (Human) Tissue Lysate - fetal normal tissue at 10 µg

Predicted band size: 14 kDa

Observed band size: 16 kDa

true

Exposure time: 4min

関連する標識済み抗体及び組成の異なる製品 (2)

  • Unconjugated

    Anti-MAP1LC3A antibody [EP1528Y] - Autophagosome Marker

  • Carrier free

    Anti-MAP1LC3A antibody [EP1528Y] - BSA and Azide free

Key facts

宿主種

Rabbit

クローン性

Monoclonal

クローン番号

EP1528Y

アイソタイプ

IgG

標識

HRP

励起波長/蛍光波長
キャリアフリー

No

交差種

Human

アプリケーション

WB, IHC-P

applications

免疫原

The exact immunogen used to generate this antibody is proprietary information.

Reactivity data

{ "title": "Reactivity Data", "filters": { "stats": ["", "Species", "Dilution Info", "Notes"], "tabs": { "all-applications": {"fullname" : "All Applications", "shortname": "All Applications"}, "IHCP" : {"fullname" : "Immunohistochemistry (Formalin/PFA-fixed paraffin-embedded sections)", "shortname":"IHC-P"}, "WB" : {"fullname" : "Western blot", "shortname":"WB"} }, "product-promise": { "all": "all", "testedAndGuaranteed": "tested", "guaranteed": "expected", "predicted": "predicted", "notRecommended": "not-recommended" } }, "values": { "Human": { "IHCP-species-checked": "testedAndGuaranteed", "IHCP-species-dilution-info": "1/150", "IHCP-species-notes": "<p></p>", "WB-species-checked": "testedAndGuaranteed", "WB-species-dilution-info": "1/5000", "WB-species-notes": "<p></p>" }, "Mouse": { "IHCP-species-checked": "predicted", "IHCP-species-dilution-info": "", "IHCP-species-notes": "", "WB-species-checked": "predicted", "WB-species-dilution-info": "", "WB-species-notes": "" }, "Rat": { "IHCP-species-checked": "predicted", "IHCP-species-dilution-info": "", "IHCP-species-notes": "", "WB-species-checked": "predicted", "WB-species-dilution-info": "", "WB-species-notes": "" } } }

製品の詳細

Patented technology
Our RabMAb® technology is a patented hybridoma-based technology for making rabbit monoclonal antibodies. For details on our patents, please refer to RabMAb® patents.

What are the advantages of a recombinant monoclonal antibody?
This product is a recombinant monoclonal antibody, which offers several advantages including:

  • - High batch-to-batch consistency and reproducibility
  • - Improved sensitivity and specificity
  • - Long-term security of supply
  • - Animal-free batch production

For more information, read more on recombinant antibodies.

出荷温度及び保存条件

製品の状態
Liquid
精製方法
Affinity purification Protein A
バッファー組成
pH: 7.4 Preservative: 0.1% Proclin 300 Solution Constituents: PBS, 30% Glycerol (glycerin, glycerine), 1% BSA
出荷温度
Blue Ice
短期保存期間
1-2 weeks
短期保存温度
+4°C
長期保存温度
-20°C
分注に関する情報
Upon delivery aliquot
保管に関する情報
Stable for 12 months at -20°C|Store in the dark

製品プロトコール

For this product, it's our understanding that no specific protocols are required. You can visit:

ターゲットの情報

Ubiquitin-like modifier involved in formation of autophagosomal vacuoles (autophagosomes) (PubMed : 20713600, PubMed : 24290141). While LC3s are involved in elongation of the phagophore membrane, the GABARAP/GATE-16 subfamily is essential for a later stage in autophagosome maturation (PubMed : 20713600). Through its interaction with the reticulophagy receptor TEX264, participates in the remodeling of subdomains of the endoplasmic reticulum into autophagosomes upon nutrient stress, which then fuse with lysosomes for endoplasmic reticulum turnover (PubMed : 31006537, PubMed : 31006538).
See full target information MAP1LC3A

文献 (2)

Recent publications for all applications. Explore the full list and refine your search

PLoS pathogens 21:e1013167 PubMed40359428

2025

Caspase-1-licensed pyroptosis drives dsRNA-mediated necroptosis and dampens host defense against bacterial pneumonia.

Applications

Unspecified application

Species

Unspecified reactive species

Qinyu Luo,Lihua Shen,Shiyue Yang,Yan Zhang,Yihang Pan,Zehua Wu,Qiang Shu,Qixing Chen

Journal of veterinary research 67:307-314 PubMed38143820

2023

Functional and morphological maturation of the full-sized and mini-pig corpus luteum by programmed cell death mechanism.

Applications

Unspecified application

Species

Unspecified reactive species

Ji-Hye Lee,Sang-Hwan Kim
View all publications

Abcam product promise

当社は、高品質な試薬を通じてお客様の研究を力強くサポートすることをお約束いたします。ご使用いただく各段階で、常にお客様をサポートできる体制を整えております。万が一、製品が期待通りに機能しない場合は、「Abcam Product Promise」による当社保証制度に基づき、安心してご利用いただけます。
保証に関する詳細については利用規約をご確認ください。

Please note: All products are 'FOR RESEARCH USE ONLY. NOT FOR USE IN DIAGNOSTIC OR THERAPEUTIC PROCEDURES'.

For licensing inquiries, please contact partnerships@abcam.com