JavaScript is disabled in your browser. Please enable JavaScript to view this website.
AB196325

HRP Anti-GAP43 抗体 [EP890Y] - Neuronal Marker

HRP Anti-GAP43 antibody [EP890Y] - Neuronal Marker

Be the first to review this product! Submit a review

|

(1 Publication)

Rabbit Recombinant Monoclonal GAP43 antibody - conjugated to HRP. Neuron marker. Suitable for IHC-P, WB and reacts with Human, Mouse, Rat samples. Cited in 1 publication.

別名を表示する

Neuromodulin, Axonal membrane protein GAP-43, Growth-associated protein 43, Neural phosphoprotein B-50, pp46, GAP43

1 Images
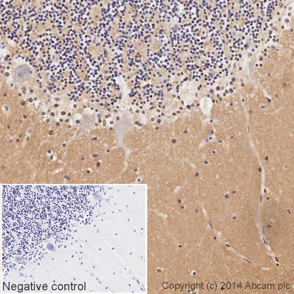
Immunohistochemistry (Formalin/PFA-fixed paraffin-embedded sections) - HRP Anti-GAP43 antibody [EP890Y] - Neuronal Marker (AB196325)
  • IHC-P

Lab

Immunohistochemistry (Formalin/PFA-fixed paraffin-embedded sections) - HRP Anti-GAP43 antibody [EP890Y] - Neuronal Marker (AB196325)

IHC image of GAP43 staining in a section of formalin-fixed paraffin-embedded normal human cerebellum, performed on a Leica BOND. The section was pre-treated using heat mediated antigen retrieval with sodium citrate buffer (pH6, epitope retrieval solution 1) for 20mins. The section was then incubated with ab196325 at 1/100 dilution, for 15 mins at room temperature. DAB was used as the chromogen. The section was then counterstained with haematoxylin and mounted with DPX. The inset negative control image is taken from an identical assay without primary antibody.

For other IHC staining systems (automated and non-automated) customers should optimize variable parameters such as antigen retrieval conditions, primary antibody concentration and antibody incubation times.

関連する標識済み抗体及び組成の異なる製品 (5)

  • 578 PE

    PE Anti-GAP43 antibody [EP890Y] - Neuronal Marker

  • 665 Alexa Fluor® 647

    Alexa Fluor® 647 Anti-GAP43 antibody [EP890Y] - Neuronal Marker

  • 519 Alexa Fluor® 488

    Alexa Fluor® 488 Anti-GAP43 antibody [EP890Y] - Neuronal Marker

  • Unconjugated

    Anti-GAP43 antibody [EP890Y] - Neuronal Marker

  • Carrier free

    Anti-GAP43 antibody [EP890Y] - BSA and Azide free

Key facts

宿主種

Rabbit

クローン性

Monoclonal

クローン番号

EP890Y

アイソタイプ

IgG

標識

HRP

励起波長/蛍光波長
キャリアフリー

No

交差種

Human, Human, Mouse, Rat

アプリケーション

WB, IHC-P

applications

免疫原

The exact immunogen used to generate this antibody is proprietary information.

Reactivity data

{ "title": "Reactivity Data", "filters": { "stats": ["", "Species", "Dilution Info", "Notes"], "tabs": { "all-applications": {"fullname" : "All Applications", "shortname": "All Applications"}, "IHCP" : {"fullname" : "Immunohistochemistry (Formalin/PFA-fixed paraffin-embedded sections)", "shortname":"IHC-P"}, "WB" : {"fullname" : "Western blot", "shortname":"WB"} }, "product-promise": { "all": "all", "testedAndGuaranteed": "tested", "guaranteed": "expected", "predicted": "predicted", "notRecommended": "not-recommended" } }, "values": { "Human": { "IHCP-species-checked": "testedAndGuaranteed", "IHCP-species-dilution-info": "1/100", "IHCP-species-notes": "<p></p> Perform heat-mediated antigen retrieval before commencing with IHC staining protocol.", "WB-species-checked": "guaranteed", "WB-species-dilution-info": "", "WB-species-notes": "<p></p>" }, "Mouse": { "IHCP-species-checked": "guaranteed", "IHCP-species-dilution-info": "", "IHCP-species-notes": "<p></p>", "WB-species-checked": "guaranteed", "WB-species-dilution-info": "", "WB-species-notes": "<p></p>" }, "Rat": { "IHCP-species-checked": "guaranteed", "IHCP-species-dilution-info": "", "IHCP-species-notes": "<p></p>", "WB-species-checked": "guaranteed", "WB-species-dilution-info": "", "WB-species-notes": "<p></p>" } } }

製品の詳細

Patented technology
Our RabMAb® technology is a patented hybridoma-based technology for making rabbit monoclonal antibodies. For details on our patents, please refer to RabMAb® patents.

出荷温度及び保存条件

製品の状態
Liquid
精製方法
Affinity purification Protein A
バッファー組成
pH: 7.4 Preservative: 0.1% Proclin 300 Solution Constituents: PBS, 30% Glycerol (glycerin, glycerine), 1% BSA
出荷温度
Blue Ice
短期保存期間
1-2 weeks
短期保存温度
+4°C
長期保存温度
-20°C
分注に関する情報
Upon delivery aliquot
保管に関する情報
Avoid freeze / thaw cycle|Store in the dark

補足情報

This supplementary information is collated from multiple sources and compiled automatically.

GAP43 commonly called Growth Associated Protein 43 or neuronal marker is a protein with a molecular weight of approximately 25-50 kDa. Researchers identify it by various names including GAP-43 GAP43 anticuerpo or GAP43 neuronal marker. This protein exhibits a specific presence in the nervous system especially in axons of neurons. It has significant expression during neural development and regeneration indicating its role in growth and repair.
Biological function summary

GAP43 plays an important role in neurite outgrowth and synaptic plasticity. It functions as an important mediator of signal transduction in neurons. GAP43 does not act alone but integrates into a network of signaling pathways that guide axonal elongation and branching. It works closely with cytoskeletal elements influencing the structural dynamics needed for effective neuronal response and adaptation.

Pathways

GAP43 is vital in the regulation of the protein kinase C pathway and the cAMP pathway both essential for neuronal growth and differentiation. It closely interacts with proteins such as calmodulin which binds to GAP43 and impacts its function in those pathways. These interactions highlight its role in the modulation of neuronal growth and synaptic plasticity making it essential for neurons' response to environmental signals.

GAP43 associates with neurodegenerative diseases and cognitive disorders particularly Alzheimer's disease and schizophrenia. Changes in GAP43 expression levels correlate with the severity and progression of these conditions. Additionally GAP43 connects to other proteins implicated in such diseases like tau in Alzheimer's suggesting a multifaceted involvement in disease mechanisms. This makes it a target of interest for therapeutic research as modulating GAP43 activity might alter disease progression.

製品プロトコール

For this product, it's our understanding that no specific protocols are required. You can visit:

ターゲットの情報

This protein is associated with nerve growth. It is a major component of the motile 'growth cones' that form the tips of elongating axons. Plays a role in axonal and dendritic filopodia induction.
See full target information GAP43

文献 (1)

Recent publications for all applications. Explore the full list and refine your search

Frontiers in neurology 11:586958 PubMed33584493

2021

Operation Brain Trauma Therapy: An Exploratory Study of Levetiracetam Treatment Following Mild Traumatic Brain Injury in the Micro Pig.

Applications

Unspecified application

Species

Unspecified reactive species

Audrey Lafrenaye,Stefania Mondello,John Povlishock,Karen Gorse,Susan Walker,Ronald Hayes,Kevin Wang,Patrick M Kochanek
View all publications

Abcam product promise

当社は、高品質な試薬を通じてお客様の研究を力強くサポートすることをお約束いたします。ご使用いただく各段階で、常にお客様をサポートできる体制を整えております。万が一、製品が期待通りに機能しない場合は、「Abcam Product Promise」による当社保証制度に基づき、安心してご利用いただけます。
保証に関する詳細については利用規約をご確認ください。

Please note: All products are 'FOR RESEARCH USE ONLY. NOT FOR USE IN DIAGNOSTIC OR THERAPEUTIC PROCEDURES'.

For licensing inquiries, please contact partnerships@abcam.com