JavaScript is disabled in your browser. Please enable JavaScript to view this website.
AB191470

Anti-HOXA10 抗体

Anti-HOXA10 antibody

Be the first to review this product! Submit a review

|

(24 Publications)

Goat Polyclonal HOXA10 antibody. Suitable for IHC-P, WB and reacts with Human samples. Cited in 24 publications. Immunogen corresponding to Synthetic Peptide within Human HOXA10 aa 150-200.

別名を表示する

HOX1H, HOXA10, Homeobox protein Hox-A10, Homeobox protein Hox-1.8, Homeobox protein Hox-1H, PL

3 Images
Immunohistochemistry (Formalin/PFA-fixed paraffin-embedded sections) - Anti-HOXA10 antibody (AB191470)
  • IHC-P

Supplier Data

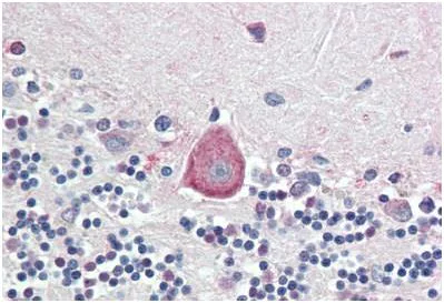
Immunohistochemistry (Formalin/PFA-fixed paraffin-embedded sections) - Anti-HOXA10 antibody (AB191470)

Immunohistochemical analysis of formalin-fixed, paraffin-embedded Human brain cerebellum tissue labeling HOXA10 with ab191470 at 5 μg/ml.

Immunohistochemistry (Formalin/PFA-fixed paraffin-embedded sections) - Anti-HOXA10 antibody (AB191470)
  • IHC-P

Supplier Data

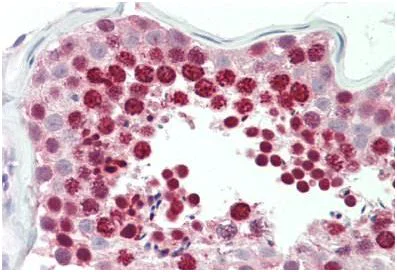
Immunohistochemistry (Formalin/PFA-fixed paraffin-embedded sections) - Anti-HOXA10 antibody (AB191470)

Immunohistochemical analysis of formalin-fixed, paraffin-embedded Human testis tissue labeling HOXA10 with ab191470 at 5 μg/ml.

Western blot - Anti-HOXA10 antibody (AB191470)
  • WB

Supplier Data

Western blot - Anti-HOXA10 antibody (AB191470)

Primary incubation was 1 hour.

All lanes:

Western blot - Anti-HOXA10 antibody (ab191470) at 0.2 µg/mL

All lanes:

Human Skeletal Muscle lysate in RIPA buffer at 35 µg

Predicted band size: 42 kDa

Observed band size: 38 kDa

true

Key facts

宿主種

Goat

クローン性

Polyclonal

アイソタイプ

IgG

キャリアフリー

No

交差種

Human

アプリケーション

IHC-P, WB

applications

免疫原

Synthetic Peptide within Human HOXA10 aa 150-200. The exact immunogen used to generate this antibody is proprietary information.

P31260

Reactivity data

{ "title": "Reactivity Data", "filters": { "stats": ["", "Species", "Dilution Info", "Notes"], "tabs": { "all-applications": {"fullname" : "All Applications", "shortname": "All Applications"}, "IHCP" : {"fullname" : "Immunohistochemistry (Formalin/PFA-fixed paraffin-embedded sections)", "shortname":"IHC-P"}, "WB" : {"fullname" : "Western blot", "shortname":"WB"} }, "product-promise": { "all": "all", "testedAndGuaranteed": "tested", "guaranteed": "expected", "predicted": "predicted", "notRecommended": "not-recommended" } }, "values": { "Human": { "IHCP-species-checked": "testedAndGuaranteed", "IHCP-species-dilution-info": "5 µg/mL", "IHCP-species-notes": "<p></p> Perform heat-mediated antigen retrieval with citrate buffer pH 6 before commencing with IHC staining protocol.", "WB-species-checked": "testedAndGuaranteed", "WB-species-dilution-info": "0.2-0.6 µg/mL", "WB-species-notes": "<p></p>" }, "Mouse": { "IHCP-species-checked": "predicted", "IHCP-species-dilution-info": "", "IHCP-species-notes": "", "WB-species-checked": "predicted", "WB-species-dilution-info": "", "WB-species-notes": "" }, "Rat": { "IHCP-species-checked": "predicted", "IHCP-species-dilution-info": "", "IHCP-species-notes": "", "WB-species-checked": "predicted", "WB-species-dilution-info": "", "WB-species-notes": "" }, "Chicken": { "IHCP-species-checked": "predicted", "IHCP-species-dilution-info": "", "IHCP-species-notes": "", "WB-species-checked": "predicted", "WB-species-dilution-info": "", "WB-species-notes": "" }, "Chimpanzee": { "IHCP-species-checked": "predicted", "IHCP-species-dilution-info": "", "IHCP-species-notes": "", "WB-species-checked": "predicted", "WB-species-dilution-info": "", "WB-species-notes": "" }, "Cow": { "IHCP-species-checked": "predicted", "IHCP-species-dilution-info": "", "IHCP-species-notes": "", "WB-species-checked": "predicted", "WB-species-dilution-info": "", "WB-species-notes": "" }, "Gorilla": { "IHCP-species-checked": "predicted", "IHCP-species-dilution-info": "", "IHCP-species-notes": "", "WB-species-checked": "predicted", "WB-species-dilution-info": "", "WB-species-notes": "" }, "Horse": { "IHCP-species-checked": "predicted", "IHCP-species-dilution-info": "", "IHCP-species-notes": "", "WB-species-checked": "predicted", "WB-species-dilution-info": "", "WB-species-notes": "" }, "Monkey": { "IHCP-species-checked": "predicted", "IHCP-species-dilution-info": "", "IHCP-species-notes": "", "WB-species-checked": "predicted", "WB-species-dilution-info": "", "WB-species-notes": "" }, "Pig": { "IHCP-species-checked": "predicted", "IHCP-species-dilution-info": "", "IHCP-species-notes": "", "WB-species-checked": "predicted", "WB-species-dilution-info": "", "WB-species-notes": "" }, "Rabbit": { "IHCP-species-checked": "predicted", "IHCP-species-dilution-info": "", "IHCP-species-notes": "", "WB-species-checked": "predicted", "WB-species-dilution-info": "", "WB-species-notes": "" } } }

出荷温度及び保存条件

製品の状態
Liquid
精製方法
Affinity purification Immunogen
バッファー組成
pH: 7.3 Preservative: 0.02% Sodium azide Constituents: 99% Tris buffered saline, 0.5% BSA
出荷温度
Blue Ice
短期保存期間
1-2 weeks
短期保存温度
+4°C
長期保存温度
-20°C
分注に関する情報
Upon delivery aliquot
保管に関する情報
Avoid freeze / thaw cycle

補足情報

This supplementary information is collated from multiple sources and compiled automatically.

The homeobox protein A10 (HOXA10) also known as HOX1H is a transcription factor with important functions in gene regulation. HOXA10 has a molecular mass of approximately 38 kDa. It is part of the homeobox gene family and is expressed predominantly in the developing uterus and the hematopoietic system. This expression pattern indicates its role in development and differentiation processes particularly in these tissues where it controls several developmental genes.
Biological function summary

HOXA10 is involved in developmental regulation of gene expression. It acts as a transcription factor and binds to DNA sequences to regulate expression of target genes necessary for proper morphogenesis. HOXA10 often operates within multi-protein complexes cooperating with other proteins to exert its function efficiently. By orchestrating gene transcription HOXA10 contributes to the formation and development of certain organs and tissues.

Pathways

The regulatory role of HOXA10 is evident in the Wnt and ERK signaling pathways. These pathways involve critical development and morphogenesis functions where HOXA10 acts as a transcriptional regulator. In the Wnt pathway HOXA10 interacts with proteins like β-catenin to influence cell fate decisions. In the ERK pathway it influences cellular proliferation and differentiation processes integrating signals that contribute to organ development.

HOXA10 has been associated with infertility and certain forms of leukemia. Mutations or altered expression of HOXA10 can disrupt normal uterine development leading to infertility issues. Additionally aberrations in HOXA10 expression are linked with leukemia where its interaction with proteins like MEIS1 alters cell cycle regulation and contributes to oncogenic transformation. Understanding these disease associations offers potential therapeutic targets for managing these conditions.

製品プロトコール

For this product, it's our understanding that no specific protocols are required. You can visit:

ターゲットの情報

Sequence-specific transcription factor which is part of a developmental regulatory system that provides cells with specific positional identities on the anterior-posterior axis. Binds to the DNA sequence 5'-AA[AT]TTTTATTAC-3'.
See full target information HOXA10

文献 (24)

Recent publications for all applications. Explore the full list and refine your search

Journal of traditional Chinese medicine = Chung i tsa chih ying wen pan 44:1137-1145 PubMed39617699

2024

Bushen Huoxue decoction improves the reproduction of endometriosis-associated infertility by regulating Homeobox A10 and αlpha(v)beta(3) integrin expression.

Applications

Unspecified application

Species

Unspecified reactive species

Tang Weiwei,Liu Kaili,Fan Xumei,Zhu Li,Zeng Zheng,Sun Jiali,Shi Jie,Zhang Zhenzhen,Gui Tao,Wan Guiping

Molecular biomedicine 5:32 PubMed39138733

2024

Effects of HOX family regulator-mediated modification patterns and immunity characteristics on tumor-associated cell type in endometrial cancer.

Applications

Unspecified application

Species

Unspecified reactive species

JiaoLin Yang,JinPeng Li,SuFen Li,YuTong Yang,HuanCheng Su,HongRui Guo,Jing Lei,YaLin Wang,KaiTing Wen,Xia Li,SanYuan Zhang,Zhe Wang

Discover. Oncology 14:108 PubMed37351805

2023

Development and validation of a predictive model in diagnosis and prognosis of primary glioblastoma patients based on Homeobox A family.

Applications

Unspecified application

Species

Unspecified reactive species

Zong-Qing Zheng,Gui-Qiang Yuan,Guo-Guo Zhang,Qian-Qian Nie,Zhong Wang

Pharmacogenomics and personalized medicine 16:425-432 PubMed37180957

2023

A Preliminary Study on the Correlation Between Age and Endometrial Receptivity.

Applications

Unspecified application

Species

Unspecified reactive species

Song Guo,Di Zhang,Shan Zhao,Huan Zhang,Yijuan Sun,Li Yan

Cell cycle (Georgetown, Tex.) 22:276-290 PubMed36588458

2023

LncRNA HOXA10-AS promotes the progression of esophageal carcinoma by regulating the expression of HOXA10.

Applications

Unspecified application

Species

Unspecified reactive species

Jinghua Kuai,Kangkang Wu,Ting Han,Wenzhe Zhai,Ruijie Sun

Current stem cell research & therapy 18:1001-1012 PubMed36121094

2022

HOXA10 Expressing UCMSCs Transplantation Improved Endometrial Receptivity on Endometrial Injury.

Applications

Unspecified application

Species

Unspecified reactive species

Meixian Wu,Yuanyuan Li,Yiwei Wang,Yifan Li,Jinghui Li,Jing Xie,Shuang Zhao,Lihua Sun

Evidence-based complementary and alternative medicine : eCAM 2022:1790041 PubMed36062171

2022

Acupuncture Improves Endometrial Angiogenesis by Activating PI3K/AKT Pathway in a Rat Model with PCOS.

Applications

Unspecified application

Species

Unspecified reactive species

Liwei Xing,Yang Chen,Zhe He,Ming He,Yuhuan Sun,Jinlong Xu,Jian Wang,Haina Zhuang,Zeqin Ren,Ying Chen,Jun Yang,Shuluo Cheng,Rong Zhao

Cells 11: PubMed35741044

2022

Challenges in Cell Fate Acquisition to Scid-Repopulating Activity from Hemogenic Endothelium of hiPSCs Derived from AML Patients Using Forced Transcription Factor Expression.

Applications

Unspecified application

Species

Unspecified reactive species

Deanna P Porras,Jennifer C Reid,Borko Tanasijevic,Diana Golubeva,Allison L Boyd,Mickie Bhatia

Cell cycle (Georgetown, Tex.) 21:1932-1944 PubMed35574918

2022

LncRNA NEAT1 affects endometrial receptivity by regulating HOXA10 promoter activity.

Applications

Unspecified application

Species

Unspecified reactive species

Jiaxuan Geng,Chenchen Cui,Yisha Yin,Yan Zhao,Cuilian Zhang

Molecular biology reports 49:1701-1710 PubMed35031923

2022

Increased expression of HMGB1 in the implantation phase endometrium is related to recurrent implantation failure.

Applications

Unspecified application

Species

Unspecified reactive species

Mi Han,Yi Cao,Wenjie Zhou,Mingjuan Zhou,Xiaowei Zhou,Dan Zhang,Bufang Xu,Aijun Zhang
View all publications

Abcam product promise

当社は、高品質な試薬を通じてお客様の研究を力強くサポートすることをお約束いたします。ご使用いただく各段階で、常にお客様をサポートできる体制を整えております。万が一、製品が期待通りに機能しない場合は、「Abcam Product Promise」による当社保証制度に基づき、安心してご利用いただけます。
保証に関する詳細については利用規約をご確認ください。

Please note: All products are 'FOR RESEARCH USE ONLY. NOT FOR USE IN DIAGNOSTIC OR THERAPEUTIC PROCEDURES'.

For licensing inquiries, please contact partnerships@abcam.com