JavaScript is disabled in your browser. Please enable JavaScript to view this website.
AB6106

Anti-hnRNP L 抗体 [4D11]

Anti-hnRNP L antibody [4D11]

5

(8 Reviews)

|

(61 Publications)

Mouse Monoclonal hnRNP L antibody. Suitable for IHC-P, IP, Flow Cyt, WB and reacts with Human samples. Cited in 61 publications. Immunogen corresponding to Native Full Length Protein corresponding to Human HNRNPL.

別名を表示する

HNRPL, P/OKcl.14, HNRNPL, Heterogeneous nuclear ribonucleoprotein L, hnRNP L

4 Images
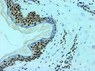
Immunohistochemistry (Formalin/PFA-fixed paraffin-embedded sections) - Anti-hnRNP L antibody [4D11] (AB6106)
  • IHC-P

Unknown

Immunohistochemistry (Formalin/PFA-fixed paraffin-embedded sections) - Anti-hnRNP L antibody [4D11] (AB6106)

IHC image of ab6106 staining in human normal skin formalin fixed paraffin embedded tissue section, performed on a Leica BondTM system using the standard protocol F. The section was pre-treated using heat mediated antigen retrieval with sodium citrate buffer (pH6, epitope retrieval solution 1) for 20 mins. The section was then incubated with ab6106, 1µg/ml, for 15 mins at room temperature and detected using an HRP conjugated compact polymer system. DAB was used as the chromogen. The section was then counterstained with haematoxylin and mounted with DPX.

For other IHC staining systems (automated and non-automated) customers should optimize variable parameters such as antigen retrieval conditions, primary antibody concentration and antibody incubation times.

Flow Cytometry - Anti-hnRNP L antibody [4D11] (AB6106)
  • Flow Cyt

Unknown

Flow Cytometry - Anti-hnRNP L antibody [4D11] (AB6106)

Overlay histogram showing Jurkat cells stained with ab6106 (red line). The cells were fixed with 80% methanol (5 min) and then permeabilized with 0.1% PBS-Tween for 20 min. The cells were then incubated in 1x PBS / 10% normal goat serum / 0.3M glycine to block non-specific protein-protein interactions followed by the antibody (ab6106, 1μg/1x106 cells) for 30 min at 22°C. The secondary antibody used was DyLight® 488 goat anti-mouse IgG (H+L) (ab96879) at 1/500 dilution for 30 min at 22°C. Isotype control antibody (black line) was mouse IgG1 [ICIGG1] (ab91353, 2μg/1x106 cells) used under the same conditions. Acquisition of >5,000 events was performed.

Immunoprecipitation - Anti-hnRNP L antibody [4D11] (AB6106)
  • IP

Unknown

Immunoprecipitation - Anti-hnRNP L antibody [4D11] (AB6106)

hnRNP L was immunoprecipitated using 0.5mg Hela whole cell extract, 5µg of Mouse monoclonal to hnRNP L (ab6106) and 50µl of protein G magnetic beads (+). No antibody was added to the control (-).
The antibody was incubated under agitation with Protein G beads for 10min, Hela whole cell extract lysate diluted in RIPA buffer was added to each sample and incubated for a further 10min under agitation.
Proteins were eluted by addition of 40µl SDS loading buffer and incubated for 10min at 70oC; 10µl of each sample was separated on a SDS PAGE gel, transferred to a nitrocellulose membrane, blocked with 5% BSA and probed with ab6106.
Secondary : Goat polyclonal to mouse IgG light chain specific (HRP) at 1/5000 dilution.
Band : 65kDa : hnRNP L. Non specific - 70kDa and 55kDa : We are unsure as to the identity of this extra band.

All lanes:

Immunoprecipitation - Anti-hnRNP L antibody [4D11] (ab6106)

Predicted band size: 64 kDa

false

Western blot - Anti-hnRNP L antibody [4D11] (AB6106)
  • WB

Unknown

Western blot - Anti-hnRNP L antibody [4D11] (AB6106)

All lanes:

Western blot - Anti-hnRNP L antibody [4D11] (ab6106) at 1 µg/mL

Lane 1:

HeLa (Human epithelial carcinoma cell line) Whole Cell Lysate at 10 µg

Lane 2:

Jurkat (Human T cell lymphoblast-like cell line) Whole Cell Lysate at 10 µg

Lane 3:

MCF7 (Human breast adenocarcinoma cell line) Whole Cell Lysate at 10 µg

Lane 4:

HepG2 (Human hepatocellular liver carcinoma cell line) Whole Cell Lysate at 10 µg

Secondary

All lanes:

Western blot - Goat Anti-Mouse IgG H&L (HRP) preadsorbed (<a href='/products/secondary-antibodies/goat-mouse-igg-h-l-hrp-preadsorbed-ab97040'>ab97040</a>) at 1/5000 dilution

Predicted band size: 64 kDa

Observed band size: 60 kDa,64 kDa,68 kDa

true

Exposure time: 1min

Key facts

宿主種

Mouse

クローン性

Monoclonal

クローン番号

4D11

アイソタイプ

IgG1

キャリアフリー

No

交差種

Human

アプリケーション

Flow Cyt, IP, IHC-P, WB

applications

免疫原

Native Full Length Protein corresponding to Human HNRNPL.

P14866

Reactivity data

{ "title": "Reactivity Data", "filters": { "stats": ["", "Species", "Dilution Info", "Notes"], "tabs": { "all-applications": {"fullname" : "All Applications", "shortname": "All Applications"}, "IHCP" : {"fullname" : "Immunohistochemistry (Formalin/PFA-fixed paraffin-embedded sections)", "shortname":"IHC-P"}, "IP" : {"fullname" : "Immunoprecipitation", "shortname":"IP"}, "FlowCyt" : {"fullname" : "Flow Cytometry", "shortname":"Flow Cyt"}, "WB" : {"fullname" : "Western blot", "shortname":"WB"} }, "product-promise": { "all": "all", "testedAndGuaranteed": "tested", "guaranteed": "expected", "predicted": "predicted", "notRecommended": "not-recommended" } }, "values": { "Human": { "IHCP-species-checked": "testedAndGuaranteed", "IHCP-species-dilution-info": "1 µg/mL", "IHCP-species-notes": "<p></p> Perform heat-mediated antigen retrieval with citrate buffer pH 6 before commencing with IHC staining protocol.", "IP-species-checked": "testedAndGuaranteed", "IP-species-dilution-info": "", "IP-species-notes": "<p></p>", "FlowCyt-species-checked": "testedAndGuaranteed", "FlowCyt-species-dilution-info": "1 µg for 10^6 Cells", "FlowCyt-species-notes": "<p><a href='/products/primary-antibodies/mouse-igg1-kappa-monoclonal-15-6e10a7-isotype-control-ab170190'>ab170190</a> - Mouse monoclonal IgG1, is suitable for use as an isotype control with this antibody.</p>", "WB-species-checked": "testedAndGuaranteed", "WB-species-dilution-info": "1/2000", "WB-species-notes": "<p></p>" } } }

出荷温度及び保存条件

製品の状態
Liquid
精製方法
Affinity purification Protein A
精製に関する特記事項
Purified from supernatant.
バッファー組成
Preservative: 0.1% Sodium azide Constituents: PBS
出荷温度
Blue Ice
短期保存期間
1-2 weeks
短期保存温度
+4°C
長期保存温度
-20°C
分注に関する情報
Upon delivery aliquot
保管に関する情報
Avoid freeze / thaw cycle

補足情報

This supplementary information is collated from multiple sources and compiled automatically.

Heterogeneous nuclear ribonucleoprotein L commonly known as hnRNP L functions in the processing of pre-mRNA. It binds to RNA sequences influencing mRNA stability splicing and nuclear export. The protein weighs approximately 64 kDa and is typically expressed in a variety of human tissues including the brain and liver. hnRNP L contains RNA recognition motifs that allow dynamic interaction with RNA playing a central role in gene expression regulation.
Biological function summary

HnRNP L contributes to alternative splicing by modulating intron retention and exon skipping. It operates as a monomer but may interact with other hnRNP family members to form complexes. These complexes allow hnRNP L to exert its influence over mRNA metabolism in different cellular contexts ensuring the diverse expression of proteins necessary for various cellular functions.

Pathways

HnRNP L integrates into the mRNA splicing and transport pathways significantly affecting gene expression. It interacts with other splicing factors such as SR proteins helping to orchestrate the formation of spliceosomes. These interactions further connect hnRNP L to the pathway involving the regulation of alternative splicing choices affecting how cells respond to environmental and developmental cues.

HnRNP L shows implications in cancer and autoimmune diseases. Abnormal regulation or expression of hnRNP L has associations with tumor progression particularly influencing cancer-related genes through altered splicing patterns. Additionally hnRNP L interacts with autoimmune-related proteins such as SRSF1 which suggests its role in the pathogenesis of autoimmune conditions. Understanding these interactions provides valuable insights into potential therapeutic targets.

製品プロトコール

For this product, it's our understanding that no specific protocols are required. You can visit:

ターゲットの情報

Splicing factor binding to exonic or intronic sites and acting as either an activator or repressor of exon inclusion. Exhibits a binding preference for CA-rich elements (PubMed : 11809897, PubMed : 22570490, PubMed : 24164894, PubMed : 25623890, PubMed : 26051023). Component of the heterogeneous nuclear ribonucleoprotein (hnRNP) complexes and associated with most nascent transcripts (PubMed : 2687284). Associates, together with APEX1, to the negative calcium responsive element (nCaRE) B2 of the APEX2 promoter (PubMed : 11809897). As part of a ribonucleoprotein complex composed at least of ZNF827, HNRNPK and the circular RNA circZNF827 that nucleates the complex on chromatin, may negatively regulate the transcription of genes involved in neuronal differentiation (PubMed : 33174841). Regulates alternative splicing of a core group of genes involved in neuronal differentiation, likely by mediating H3K36me3-coupled transcription elongation and co-transcriptional RNA processing via interaction with CHD8.
See full target information HNRNPL

文献 (61)

Recent publications for all applications. Explore the full list and refine your search

RNA (New York, N.Y.) 31:1260-1286 PubMed40500149

2025

Structural analysis of the lncRNA SChLAP1 reveals protein binding interfaces and a conformationally heterogenous retroviral insertion.

Applications

Unspecified application

Species

Unspecified reactive species

James P Falese,Emily J McFadden,Christopher A D'Inzeo,Amanda E Hargrove

Nature communications 16:4828 PubMed40413189

2025

hnRNPL phase separation activates PIK3CB transcription and promotes glycolysis in ovarian cancer.

Applications

Unspecified application

Species

Unspecified reactive species

Fengjiang Qin,Yuya Wang,Chenyue Yang,Yifei Ren,Qinglv Wei,Yan Tang,Jie Xu,Haocheng Wang,Fatao Luo,Qingya Luo,Xin Luo,Xiaoyi Liu,Dan Yang,Xinzhao Zuo,Yu Yang,Chunming Cheng,Jing Xu,Wei Wang,Tao Liu,Ping Yi

Neoplasia (New York, N.Y.) 60:101109 PubMed39724754

2024

Inhibiting HnRNP L-mediated alternative splicing of EIF4G1 counteracts immune checkpoint blockade resistance in Castration-resistant prostate Cancer.

Applications

Unspecified application

Species

Unspecified reactive species

Xumin Zhou,Shilong Cheng,Zhongjie Chen,Jinming Zhang,Jiaqi Wang,Qiang Li,Xumin Zhou

Scientific reports 14:10987 PubMed38745101

2024

Alternative 3'UTR expression induced by T cell activation is regulated in a temporal and signal dependent manner.

Applications

Unspecified application

Species

Unspecified reactive species

Davia Blake,Matthew R Gazzara,Isabel Breuer,Max Ferretti,Kristen W Lynch

Heliyon 9:e22281 PubMed38045134

2023

RNA binding proteins PTBP1 and HNRNPL regulate mRNA decay.

Applications

Unspecified application

Species

Unspecified reactive species

Amna Siddiqui,Arpit Saxena,Joshua Echols,Viktoria Havasi,Lianwu Fu,Kim M Keeling

eLife 12: PubMed37162507

2023

ARPC5 isoforms and their regulation by calcium-calmodulin-N-WASP drive distinct Arp2/3-dependent actin remodeling events in CD4 T cells.

Applications

Unspecified application

Species

Unspecified reactive species

Lopamudra Sadhu,Nikolaos Tsopoulidis,Md Hasanuzzaman,Vibor Laketa,Michael Way,Oliver T Fackler

Cell reports 42:112273 PubMed36933216

2023

Alternative splicing of HDAC7 regulates its interaction with 14-3-3 proteins to alter histone marks and target gene expression.

Applications

Unspecified application

Species

Unspecified reactive species

Laura M Agosto,Michael J Mallory,Max B Ferretti,Davia Blake,Keegan S Krick,Matthew R Gazzara,Benjamin A Garcia,Kristen W Lynch

PLoS biology 21:e3002028 PubMed36930682

2023

TDP-43 and other hnRNPs regulate cryptic exon inclusion of a key ALS/FTD risk gene, UNC13A.

Applications

Unspecified application

Species

Unspecified reactive species

Yuka Koike,Sarah Pickles,Virginia Estades Ayuso,Karen Jansen-West,Yue A Qi,Ziyi Li,Lillian M Daughrity,Mei Yue,Yong-Jie Zhang,Casey N Cook,Dennis W Dickson,Michael Ward,Leonard Petrucelli,Mercedes Prudencio

Science advances 8:eabq7289 PubMed36563164

2022

MALAT1 modulates alternative splicing by cooperating with the splicing factors PTBP1 and PSF.

Applications

Unspecified application

Species

Unspecified reactive species

Hui Miao,Fan Wu,Yu Li,Chenyu Qin,Yongyun Zhao,Mingfeng Xie,Hongyuan Dai,Hong Yao,Haoyang Cai,Qianhong Wang,Xu Song,Ling Li

Molecules (Basel, Switzerland) 27: PubMed36014574

2022

MOBT Alleviates Pulmonary Fibrosis through an lncITPF-hnRNP-l-Complex-Mediated Signaling Pathway.

Applications

Unspecified application

Species

Unspecified reactive species

Pan Xu,Haitong Zhang,Huangting Li,Bo Liu,Rongrong Li,Jinjin Zhang,Xiaodong Song,Changjun Lv,Hongbo Li,Mingwei Chen
View all publications

Abcam product promise

当社は、高品質な試薬を通じてお客様の研究を力強くサポートすることをお約束いたします。ご使用いただく各段階で、常にお客様をサポートできる体制を整えております。万が一、製品が期待通りに機能しない場合は、「Abcam Product Promise」による当社保証制度に基づき、安心してご利用いただけます。
保証に関する詳細については利用規約をご確認ください。

Please note: All products are 'FOR RESEARCH USE ONLY. NOT FOR USE IN DIAGNOSTIC OR THERAPEUTIC PROCEDURES'.

For licensing inquiries, please contact partnerships@abcam.com