JavaScript is disabled in your browser. Please enable JavaScript to view this website.
AB316870

Anti-HNF1 alpha 抗体 [RM1094]

Anti-HNF1 alpha antibody [RM1094]

  • BOND RX™ Validated
  • 20ul selling size
  • Recombinant
  • Advanced Validation
  • RabMAb
  • 詳細を見る

Be the first to review this product! Submit a review

|

(0 Publication)

Rabbit Recombinant Multiclonal HNF1 alpha antibody. Suitable for WB, IHC-P, ICC/IF, Flow Cyt (Intra), ChIC/CUT&RUN-seq, IP and reacts with Human, Mouse, Rat samples.

別名を表示する

TCF1, HNF1A, Hepatocyte nuclear factor 1-alpha, HNF-1-alpha, HNF-1A, Liver-specific transcription factor LF-B1, Transcription factor 1, LFB1, TCF-1

11 Images
Immunohistochemistry (Formalin/PFA-fixed paraffin-embedded sections) - Anti-HNF1 alpha antibody [RM1094] (AB316870)
  • IHC-P

Supplier Data

Immunohistochemistry (Formalin/PFA-fixed paraffin-embedded sections) - Anti-HNF1 alpha antibody [RM1094] (AB316870)

Immunohistochemical analysis of paraffin-embedded Human skeletal muscle tissue labeling HNF1 alpha with ab316870 at 1/4000 (0.129 ug/ml) dilution, followed by a ready to use Rabbit specific IHC polymer detection kit HRP/DAB (ab209101).

Negative control : no staining on human skeletal msucle. The section was incubated with ab316870 for 30 mins at room temperature.
The immunostaining was performed on a Leica Biosystems BOND® RX instrument

Counterstained with Hematoxylin.

Secondary antibody only control : Secondary antibody is a ready to use Rabbit specific IHC polymer detection kit HRP/DAB (ab209101).

Heat mediated antigen retrieval was performed with Tris-EDTA buffer (pH 9.0, Epitope Retrieval Solution2) for 20 mins

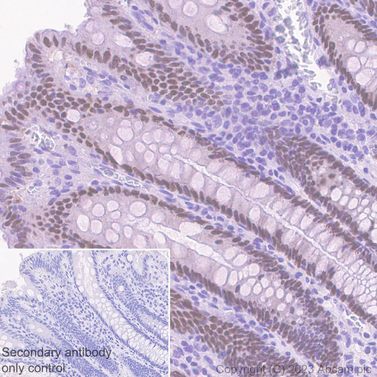
Immunohistochemistry (Formalin/PFA-fixed paraffin-embedded sections) - Anti-HNF1 alpha antibody [RM1094] (AB316870)
  • IHC-P

Supplier Data

Immunohistochemistry (Formalin/PFA-fixed paraffin-embedded sections) - Anti-HNF1 alpha antibody [RM1094] (AB316870)

Immunohistochemical analysis of paraffin-embedded Human colon tissue labeling HNF1 alpha with ab316870 at 1/4000 (0.129 ug/ml) dilution, followed by a ready to use Rabbit specific IHC polymer detection kit HRP/DAB (ab209101).

Positive staining on human colon. The section was incubated with ab316870 for 30 mins at room temperature.
The immunostaining was performed on a Leica Biosystems BOND® RX instrument

Counterstained with Hematoxylin.

Secondary antibody only control : Secondary antibody is a ready to use Rabbit specific IHC polymer detection kit HRP/DAB (ab209101).

Heat mediated antigen retrieval was performed with Tris-EDTA buffer (pH 9.0, Epitope Retrieval Solution2) for 20 mins

Immunocytochemistry/ Immunofluorescence - Anti-HNF1 alpha antibody [RM1094] (AB316870)
  • ICC/IF

Supplier Data

Immunocytochemistry/ Immunofluorescence - Anti-HNF1 alpha antibody [RM1094] (AB316870)

Immunofluorescent analysis of 4% Paraformaldehyde-fixed, 0.1% TritonX-100 permeabilized HepG2 (human hepatocellular carcinoma epithelial cell) cells labelling HNF1 alpha with ab316870 at 1/500 (1.04 ug/ml) dilution, followed by ab150081 Goat Anti-Rabbit IgG H&L (Alexa Fluor® 488) preadsorbed antibody at 1/1000 (2 ug/ml) dilution (Green).

Confocal image showing nuclear staining in HepG2 cell line.
Negative control : HeLa.
Image was taken with a confocal microscope(Leica-Microsystems, TCS SP8).

ab195889 Anti-alpha Tubulin mouse monoclonal antibody - Microtubule Marker (Alexa Fluor® 594) was used to counterstain tubulin at 1/200 (2.5ug/ml) dilution (Red). The Nuclear counterstain was DAPI (Blue).

Secondary antibody only control : Secondary antibody is ab150081 Goat Anti-Rabbit IgG H&L (Alexa Fluor® 488) preadsorbed at 1/1000 (2 ug/ml) dilution.

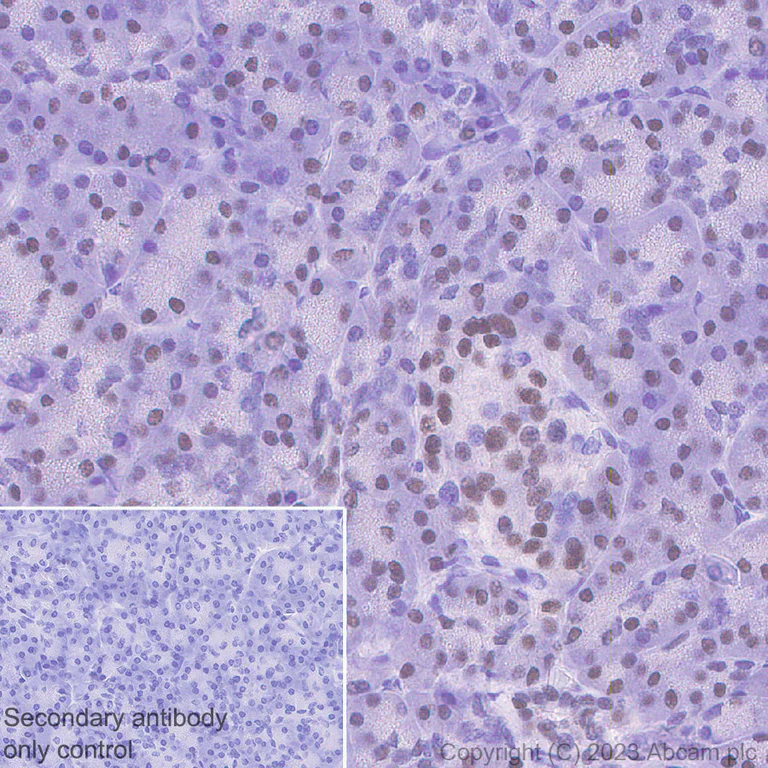
Immunohistochemistry (Formalin/PFA-fixed paraffin-embedded sections) - Anti-HNF1 alpha antibody [RM1094] (AB316870)
  • IHC-P

Supplier Data

Immunohistochemistry (Formalin/PFA-fixed paraffin-embedded sections) - Anti-HNF1 alpha antibody [RM1094] (AB316870)

Immunohistochemical analysis of paraffin-embedded Human pancreas tissue labeling HNF1 alpha with ab316870 at 1/4000 (0.129 ug/ml) dilution, followed by a ready to use Rabbit specific IHC polymer detection kit HRP/DAB (ab209101).

Positive staining on human pancreas. The section was incubated with ab316870 for 30 mins at room temperature.
The immunostaining was performed on a Leica Biosystems BOND® RX instrument

Counterstained with Hematoxylin.

Secondary antibody only control : Secondary antibody is a ready to use Rabbit specific IHC polymer detection kit HRP/DAB (ab209101).

Heat mediated antigen retrieval was performed with Tris-EDTA buffer (pH 9.0, Epitope Retrieval Solution2) for 20 mins

Flow Cytometry (Intracellular) - Anti-HNF1 alpha antibody [RM1094] (AB316870)
  • Flow Cyt (Intra)

Supplier Data

Flow Cytometry (Intracellular) - Anti-HNF1 alpha antibody [RM1094] (AB316870)

Flow cytometric analysis of 4% paraformaldehyde fixed 90% methanol permeabilized HeLa (human cervical adenocarcinoma epithelial cell, Left) / HepG2 (human hepatocellular carcinoma epithelial cell, Right) cells labelling HNF1 alpha with ab316870 at 1/500 dilution (0.1 ug)/Red compared with a Rabbit monoclonal IgG (ab172730) (Black) isotype control and an unlabelled control (cells without incubation with primary antibody and secondary antibody) (Blue).

Goat Anti-Rabbit IgG (Alexa Fluor® 488, ab150081) at 1/5000 dilution was used as the secondary antibody.

Negative control : HeLa.

Immunoprecipitation - Anti-HNF1 alpha antibody [RM1094] (AB316870)
  • IP

Supplier Data

Immunoprecipitation - Anti-HNF1 alpha antibody [RM1094] (AB316870)

HNF1 alpha was immunoprecipitated from 0.35 mg HepG2 (human hepatocellular carcinoma epithelial cell) whole cell lysate with ab316870 at 1/30 dilution (2ug in 0.35mg lysates). Western blot was performed on the immunoprecipitate using ab316870 at 1/1000 dilution. VeriBlot for IP secondary antibody(HRP)(ab131366) was used at 1/5000 dilution.

Lane 1 : HepG2 (human hepatocellular carcinoma epithelial cell) whole cell lysate
Lane 2 : ab316870 IP in HepG2 (human hepatocellular carcinoma epithelial cell) whole cell lysate
Lane 3 : Rabbit monoclonal IgG (ab172730) instead of ab316870 in HepG2 whole cell lysate

Lysate was freshly made and used for Western blotting immediately to minimize protein degradation.

All lanes:

Immunoprecipitation - Anti-HNF1 alpha antibody [RM1094] (ab316870) at 1/30 dilution

All lanes:

HepG2 (human hepatocellular carcinoma epithelial cell) whole cell lysate

Secondary

All lanes:

Immunoprecipitation - VeriBlot for IP Detection Reagent (HRP) (<a href='/products/reagents/veriblot-for-ip-detection-reagent-hrp-ab131366'>ab131366</a>) at 1/5000 dilution

false

Exposure time: 67s

Western blot - Anti-HNF1 alpha antibody [RM1094] (AB316870)
  • WB

Supplier Data

Western blot - Anti-HNF1 alpha antibody [RM1094] (AB316870)

Negative control : Hela.

The lysates were freshly made and used for Western Blotting immediately to minimize protein degradation.

The molecular weight observed is consistent with what has been described in the literature (PMID : 31145732).

In Western blot, Anti-GAPDH antibody [EPR16891] - Loading Control (ab181602) staining at 1/200000 dilution.

All lanes:

Western blot - Anti-HNF1 alpha antibody [RM1094] (ab316870) at 1/1000 dilution

Lane 1:

HepG2 (human hepatocellar carcinoma epithelial cell) whole cell lysate at 20 µg

Lane 2:

Hela (human cervical adenocarcinoma epithelial cell) whole cell lysate at 20 µg

Secondary

All lanes:

Western blot - Goat Anti-Rabbit IgG H&L (HRP) (<a href='/products/secondary-antibodies/goat-rabbit-igg-h-l-hrp-ab97051'>ab97051</a>) at 1/100000 dilution

Observed band size: 35 kDa,81 kDa,36 kDa

false

Exposure time: 37s

ChIC/CUT&RUN sequencing - Anti-HNF1 alpha antibody [RM1094] (AB316870)
  • ChIC/CUT&RUN-seq

Supplier Data

ChIC/CUT&RUN sequencing - Anti-HNF1 alpha antibody [RM1094] (AB316870)

ChIC/CUT&RUN sequencing - Anti-HNF1 alpha antibody [RM1094] (ab316870)

ChIC/CUT&RUN was performed using a pAG-MNase at a final concentration of 700 ng/mL, 2.5 x 10^5 HepG2 (Human liver hepatocellular carcinoma cell line) cells and 5 µg of ab316870 [RM1094]. The resulting DNA was sequenced on the Illumina NovaSeq 6000 to a depth of 10 million reads. The negative IgG control ab172730 is also shown. The University of Geneva owns patents relevant to ChIC (Chromatin Immuno-Cleavage) methods.

ChIC/CUT&RUN sequencing - Anti-HNF1 alpha antibody [RM1094] (AB316870)
  • ChIC/CUT&RUN-seq

Supplier Data

ChIC/CUT&RUN sequencing - Anti-HNF1 alpha antibody [RM1094] (AB316870)

ChIC/CUT&RUN sequencing - Anti-HNF1 alpha antibody [RM1094] (ab316870)

ChIC/CUT&RUN was performed using a pAG-MNase at a final concentration of 700 ng/mL, 2.5 x 10^5 HepG2 (Human liver hepatocellular carcinoma cell line) cells and 5 µg of ab316870 [RM1094]. The resulting DNA was sequenced on the Illumina NovaSeq 6000 to a depth of 10 million reads. The negative IgG control ab172730 is also shown. The University of Geneva owns patents relevant to ChIC (Chromatin Immuno-Cleavage) methods.

ChIC/CUT&RUN sequencing - Anti-HNF1 alpha antibody [RM1094] (AB316870)
  • ChIC/CUT&RUN-seq

Supplier Data

ChIC/CUT&RUN sequencing - Anti-HNF1 alpha antibody [RM1094] (AB316870)

ChIC/CUT&RUN sequencing - Anti-HNF1 alpha antibody [RM1094] (ab316870)

ChIC/CUT&RUN was performed using a pAG-MNase at a final concentration of 700 ng/mL, 2.5 x 10^5 HepG2 (Human liver hepatocellular carcinoma cell line) cells and 5 µg of ab316870 [RM1094]. The resulting DNA was sequenced on the Illumina NovaSeq 6000 to a depth of 10 million reads. The negative IgG control ab172730 is also shown. The University of Geneva owns patents relevant to ChIC (Chromatin Immuno-Cleavage) methods.

Western blot - Anti-HNF1 alpha antibody [RM1094] (AB316870)
  • WB

Supplier Data

Western blot - Anti-HNF1 alpha antibody [RM1094] (AB316870)

The lysates were freshly made and used for Western Blotting immediately to minimize protein degradation.

In Western blot, Anti-GAPDH antibody [EPR16891] - Loading Control (ab181602) staining at 1/200000 dilution.

All lanes:

Western blot - Anti-HNF1 alpha antibody [RM1094] (ab316870) at 1/1000 dilution

Lane 1:

NIH/3T3 (mouse embryonic fibroblast) whole cell lysate at 20 µg

Lane 2:

PC-12 (rat adrenal gland pheochromocytoma cell) whole cell lysate at 20 µg

Secondary

All lanes:

Western blot - Goat Anti-Rabbit IgG H&L (HRP) (<a href='/products/secondary-antibodies/goat-rabbit-igg-h-l-hrp-ab97051'>ab97051</a>) at 1/100000 dilution

Observed band size: 81 kDa,36 kDa

true

Exposure time: 37s

関連する標識済み抗体及び組成の異なる製品 (1)

  • Carrier free

    Anti-HNF1 alpha antibody [RM1094] - BSA and Azide free

Key facts

宿主種

Rabbit

クローン性

Multiclonal

クローン番号

RM1094

アイソタイプ

IgG

キャリアフリー

No

交差種

Human, Mouse, Rat

アプリケーション

ChIC/CUT&RUN-seq, IHC-P, WB, Flow Cyt (Intra), IP, ICC/IF

applications

免疫原

The exact immunogen used to generate this antibody is proprietary information.

特異性

Unsuitable for mouse and rat IHC.

Unsuitable for mouse ICC and mouse FC.

Reactivity data

{ "title": "Reactivity Data", "filters": { "stats": ["", "Species", "Dilution Info", "Notes"], "tabs": { "all-applications": {"fullname" : "All Applications", "shortname": "All Applications"}, "WB" : {"fullname" : "Western blot", "shortname":"WB"}, "IHCP" : {"fullname" : "Immunohistochemistry (Formalin/PFA-fixed paraffin-embedded sections)", "shortname":"IHC-P"}, "ICCIF" : {"fullname" : "Immunocytochemistry/ Immunofluorescence", "shortname":"ICC/IF"}, "FlowCytIntra" : {"fullname" : "Flow Cytometry (Intracellular)", "shortname":"Flow Cyt (Intra)"}, "ChICCUTRUNseq" : {"fullname" : "ChIC/CUT&RUN sequencing", "shortname":"ChIC/CUT&RUN-seq"}, "IP" : {"fullname" : "Immunoprecipitation", "shortname":"IP"} }, "product-promise": { "all": "all", "testedAndGuaranteed": "tested", "guaranteed": "expected", "predicted": "predicted", "notRecommended": "not-recommended" } }, "values": { "Human": { "WB-species-checked": "testedAndGuaranteed", "WB-species-dilution-info": "1/1000", "WB-species-notes": "<p></p>", "IHCP-species-checked": "testedAndGuaranteed", "IHCP-species-dilution-info": "1/4000", "IHCP-species-notes": "<p></p> Perform heat-mediated antigen retrieval with Tris/EDTA buffer pH 9.0 before commencing with IHC staining protocol.", "ICCIF-species-checked": "testedAndGuaranteed", "ICCIF-species-dilution-info": "1/500", "ICCIF-species-notes": "<p></p>", "FlowCytIntra-species-checked": "testedAndGuaranteed", "FlowCytIntra-species-dilution-info": "1/500", "FlowCytIntra-species-notes": "<p></p>", "ChICCUTRUNseq-species-checked": "testedAndGuaranteed", "ChICCUTRUNseq-species-dilution-info": "20 µg for 10^6 Cells", "ChICCUTRUNseq-species-notes": "<p></p>", "IP-species-checked": "testedAndGuaranteed", "IP-species-dilution-info": "1/30", "IP-species-notes": "<p></p>" }, "Mouse": { "WB-species-checked": "testedAndGuaranteed", "WB-species-dilution-info": "1/1000", "WB-species-notes": "<p></p>", "IHCP-species-checked": "notRecommended", "IHCP-species-dilution-info": "", "IHCP-species-notes": "<p></p>", "ICCIF-species-checked": "notRecommended", "ICCIF-species-dilution-info": "", "ICCIF-species-notes": "<p></p>", "FlowCytIntra-species-checked": "notRecommended", "FlowCytIntra-species-dilution-info": "", "FlowCytIntra-species-notes": "<p></p>", "ChICCUTRUNseq-species-checked": "guaranteed", "ChICCUTRUNseq-species-dilution-info": "", "ChICCUTRUNseq-species-notes": "", "IP-species-checked": "guaranteed", "IP-species-dilution-info": "", "IP-species-notes": "" }, "Rat": { "WB-species-checked": "testedAndGuaranteed", "WB-species-dilution-info": "1/1000", "WB-species-notes": "<p></p>", "IHCP-species-checked": "notRecommended", "IHCP-species-dilution-info": "", "IHCP-species-notes": "<p></p>", "ICCIF-species-checked": "guaranteed", "ICCIF-species-dilution-info": "", "ICCIF-species-notes": "", "FlowCytIntra-species-checked": "guaranteed", "FlowCytIntra-species-dilution-info": "", "FlowCytIntra-species-notes": "", "ChICCUTRUNseq-species-checked": "guaranteed", "ChICCUTRUNseq-species-dilution-info": "", "ChICCUTRUNseq-species-notes": "", "IP-species-checked": "guaranteed", "IP-species-dilution-info": "", "IP-species-notes": "" } } }

製品の詳細

What are recombinant multiclonals?
Recombinant multiclonals are a mixture of recombinant antibodies co-expressed from a library of heavy and light chains. They offer several advantages including:

  • - The sensitivity of polyclonal antibodies by recognising multiple epitopes
  • - High batch-to-batch consistency and reproducibility
  • - Improved sensitivity and specificity
  • - Long-term security of supply
  • - Animal-free batch production

View our range of recombinant multiclonal antibodies.

Patented technology
Our RabMAb® technology is a patented hybridoma-based technology for making rabbit monoclonal antibodies. For details on our patents, please refer to RabMAb® patents.

出荷温度及び保存条件

製品の状態
Liquid
精製方法
Affinity purification Protein A
バッファー組成
pH: 7.2 - 7.4 Preservative: 0.01% Sodium azide Constituents: PBS, 40% Glycerol (glycerin, glycerine), 0.05% BSA
出荷温度
Blue Ice
短期保存期間
1-2 weeks
短期保存温度
+4°C
長期保存温度
-20°C
分注に関する情報
Upon delivery aliquot
保管に関する情報
Avoid freeze / thaw cycle

補足情報

This supplementary information is collated from multiple sources and compiled automatically.

The HNF1 alpha also known as hepatocyte nuclear factor 1 alpha is a transcription factor that has an important role in regulating gene expression. It has a mass of approximately 67 kDa. Predominantly HNF1 alpha appears in the liver kidney intestines and pancreas. It binds to enhancer elements of target genes affecting the transcriptional activity. The protein is also vital for cellular differentiation and maintenance in tissues where it is expressed.
Biological function summary

The HNF1 alpha functions as part of the dimeric HNF1 protein complex often partnering with HNF1 beta. It governs a wide array of genes including those involved in carbohydrate and lipid metabolism. By influencing the gene expression HNF1 alpha assists in maintaining normal metabolic processes. Its activity is critical for proper liver function and insulin secretion from pancreatic beta cells.

Pathways

HNF1 alpha actively integrates into key metabolic pathways such as the gluconeogenesis and the cholesterol biosynthesis pathways. In these pathways it works alongside other proteins like HNF4 alpha and PGC-1 alpha contributing significantly to glucose and lipid homeostasis. The transcription factor impacts the metabolic pathway reinforcing its integral role in maintaining energy balance and metabolic health.

HNF1 alpha is importantly linked to maturity-onset diabetes of the young (MODY) and certain forms of liver disease. Mutations or dysregulation in HNF1 alpha can cause MODY3 a subtype of diabetes characterized by an autosomal dominant pattern of inheritance. Additionally the abnormal activity of HNF1 alpha may contribute to liver dysfunction often in conjunction with HNF4 alpha disruptions. These associations highlight the importance of HNF1 alpha in both metabolic pathway integrity and disease pathology.

製品プロトコール

For this product, it's our understanding that no specific protocols are required. You can visit:

ターゲットの情報

Transcriptional activator that regulates the tissue specific expression of multiple genes, especially in pancreatic islet cells and in liver (By similarity). Binds to the inverted palindrome 5'-GTTAATNATTAAC-3' (PubMed : 10966642, PubMed : 12453420). Activates the transcription of CYP1A2, CYP2E1 and CYP3A11 (By similarity).. (Microbial infection) Plays a crucial role for hepatitis B virus gene transcription and DNA replication. Mechanistically, synergistically cooperates with NR5A2 to up-regulate the activity of one of the critical cis-elements in the hepatitis B virus genome enhancer II (ENII).
See full target information HNF1A

Abcam product promise

当社は、高品質な試薬を通じてお客様の研究を力強くサポートすることをお約束いたします。ご使用いただく各段階で、常にお客様をサポートできる体制を整えております。万が一、製品が期待通りに機能しない場合は、「Abcam Product Promise」による当社保証制度に基づき、安心してご利用いただけます。
保証に関する詳細については利用規約をご確認ください。

Please note: All products are 'FOR RESEARCH USE ONLY. NOT FOR USE IN DIAGNOSTIC OR THERAPEUTIC PROCEDURES'.

For licensing inquiries, please contact partnerships@abcam.com