JavaScript is disabled in your browser. Please enable JavaScript to view this website.
AB183898

Anti-HLA-DQB1 抗体

Anti-HLA-DQB1 antibody

Be the first to review this product! Submit a review

|

(2 Publications)

Rabbit Polyclonal DQB1 antibody. Suitable for WB, ICC/IF and reacts with Human samples. Cited in 2 publications. Immunogen corresponding to Recombinant Fragment Protein within Human HLA-DQB1 aa 1-200.

別名を表示する

HLA-DQB, HLA-DQB1, MHC class II antigen DQB1

2 Images
Immunocytochemistry/ Immunofluorescence - Anti-HLA-DQB1 antibody (AB183898)
  • ICC/IF

Supplier Data

Immunocytochemistry/ Immunofluorescence - Anti-HLA-DQB1 antibody (AB183898)

Immunofluorescence analysis of Raji cells fixed in iced-cold methanol for 5 minutes, labeling HLA-DQB1 using ab183898 at a 1/500 dilution (green). Blue : Hoechst 33342 staining.

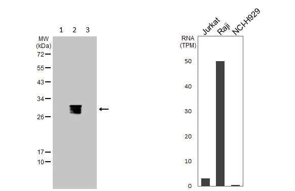
Western blot - Anti-HLA-DQB1 antibody (AB183898)
  • WB

Supplier Data

Western blot - Anti-HLA-DQB1 antibody (AB183898)

Samples were separated by 12% SDS-PAGE. Corresponding RNA expression data for the same cell lines are based on Human Protein Atlas program.

All lanes:

Western blot - Anti-HLA-DQB1 antibody (ab183898) at 1/1000 dilution

Lane 1:

Jurkat whole cell extracts at 30 µg

Lane 2:

Raji whole cell extracts at 30 µg

Lane 3:

NCI-H929 whole cell extracts at 30 µg

Secondary

All lanes:

HRP-conjugated anti-rabbit IgG antibody

Predicted band size: 30 kDa

false

Key facts

宿主種

Rabbit

クローン性

Polyclonal

アイソタイプ

IgG

キャリアフリー

No

交差種

Human

アプリケーション

WB, ICC/IF

applications

免疫原

Recombinant Fragment Protein within Human HLA-DQB1 aa 1-200. The exact immunogen used to generate this antibody is proprietary information.

P01920

Reactivity data

{ "title": "Reactivity Data", "filters": { "stats": ["", "Species", "Dilution Info", "Notes"], "tabs": { "all-applications": {"fullname" : "All Applications", "shortname": "All Applications"}, "WB" : {"fullname" : "Western blot", "shortname":"WB"}, "ICCIF" : {"fullname" : "Immunocytochemistry/ Immunofluorescence", "shortname":"ICC/IF"} }, "product-promise": { "all": "all", "testedAndGuaranteed": "tested", "guaranteed": "expected", "predicted": "predicted", "notRecommended": "not-recommended" } }, "values": { "Human": { "WB-species-checked": "testedAndGuaranteed", "WB-species-dilution-info": "1/500 - 1/3000", "WB-species-notes": "<p></p>", "ICCIF-species-checked": "testedAndGuaranteed", "ICCIF-species-dilution-info": "1/100 - 1/1000", "ICCIF-species-notes": "<p></p>" } } }

出荷温度及び保存条件

製品の状態
Liquid
精製方法
Affinity purification Immunogen
バッファー組成
pH: 7 Preservative: 0.01% Thimerosal (merthiolate) Constituents: 20% Glycerol (glycerin, glycerine), 1.21% Tris, 0.75% Glycine
出荷温度
Blue Ice
短期保存期間
1-2 weeks
短期保存温度
+4°C
長期保存温度
-20°C
分注に関する情報
Upon delivery aliquot
保管に関する情報
Avoid freeze / thaw cycle

製品プロトコール

For this product, it's our understanding that no specific protocols are required. You can visit:

ターゲットの情報

Binds peptides derived from antigens that access the endocytic route of antigen presenting cells (APC) and presents them on the cell surface for recognition by the CD4 T-cells. The peptide binding cleft accommodates peptides of 10-30 residues. The peptides presented by MHC class II molecules are generated mostly by degradation of proteins that access the endocytic route, where they are processed by lysosomal proteases and other hydrolases. Exogenous antigens that have been endocytosed by the APC are thus readily available for presentation via MHC II molecules, and for this reason this antigen presentation pathway is usually referred to as exogenous. As membrane proteins on their way to degradation in lysosomes as part of their normal turn-over are also contained in the endosomal/lysosomal compartments, exogenous antigens must compete with those derived from endogenous components. Autophagy is also a source of endogenous peptides, autophagosomes constitutively fuse with MHC class II loading compartments. In addition to APCs, other cells of the gastrointestinal tract, such as epithelial cells, express MHC class II molecules and CD74 and act as APCs, which is an unusual trait of the GI tract. To produce a MHC class II molecule that presents an antigen, three MHC class II molecules (heterodimers of an alpha and a beta chain) associate with a CD74 trimer in the ER to form a heterononamer. Soon after the entry of this complex into the endosomal/lysosomal system where antigen processing occurs, CD74 undergoes a sequential degradation by various proteases, including CTSS and CTSL, leaving a small fragment termed CLIP (class-II-associated invariant chain peptide). The removal of CLIP is facilitated by HLA-DM via direct binding to the alpha-beta-CLIP complex so that CLIP is released. HLA-DM stabilizes MHC class II molecules until primary high affinity antigenic peptides are bound. The MHC II molecule bound to a peptide is then transported to the cell membrane surface. In B-cells, the interaction between HLA-DM and MHC class II molecules is regulated by HLA-DO. Primary dendritic cells (DCs) also to express HLA-DO. Lysosomal microenvironment has been implicated in the regulation of antigen loading into MHC II molecules, increased acidification produces increased proteolysis and efficient peptide loading.
See full target information HLA-DQB1

文献 (2)

Recent publications for all applications. Explore the full list and refine your search

Reproductive sciences (Thousand Oaks, Calif.) 32:2453-2466 PubMed40550985

2025

Beneficial Effects of Alchemilla vulgaris in DHEA-Induced Rat Model of Polycystic Ovary Syndrome.

Applications

Unspecified application

Species

Unspecified reactive species

Zeynep Ece Utkan Korun,Semil Selcen Gocmez,Selenay Furat,Kubra Kavram Sarihan,Fatma Ceyla Eraldemir,Huseyin Askin Akpulat,Deniz Sahin,Sule Yildiz

Molecular & cellular proteomics : MCP 19:1619-1631 PubMed32641473

2020

Novel Proteome Extraction Method Illustrates a Conserved Immunological Signature of MSI-H Colorectal Tumors.

Applications

Unspecified application

Species

Unspecified reactive species

Elez D Vainer,Juliane Kania-Almog,Ghadeer Zatara,Yishai Levin,Gilad W Vainer
View all publications

Abcam product promise

当社は、高品質な試薬を通じてお客様の研究を力強くサポートすることをお約束いたします。ご使用いただく各段階で、常にお客様をサポートできる体制を整えております。万が一、製品が期待通りに機能しない場合は、「Abcam Product Promise」による当社保証制度に基づき、安心してご利用いただけます。
保証に関する詳細については利用規約をご確認ください。

Please note: All products are 'FOR RESEARCH USE ONLY. NOT FOR USE IN DIAGNOSTIC OR THERAPEUTIC PROCEDURES'.

For licensing inquiries, please contact partnerships@abcam.com