JavaScript is disabled in your browser. Please enable JavaScript to view this website.
AB227884

Anti-Histone H4 (tri methyl K20) 抗体

Anti-Histone H4 (tri methyl K20) antibody

  • JP Deleterious:医薬用外劇物

Be the first to review this product! Submit a review

|

(1 Publication)

Rabbit Polyclonal Histone H4 tri methyl K20 antibody. Suitable for Dot, WB, IHC-P, ICC/IF and reacts with Synthetic peptide, Human, Mouse, Rat samples. Cited in 1 publication. Immunogen corresponding to Synthetic Peptide within Human H4C1 tri methyl K20.

別名を表示する

H4/A, H4FA, HIST1H4A, H4C2, H4/I, H4FI, HIST1H4B, H4C3, H4/G, H4FG, HIST1H4C, H4C4, H4/B, H4FB, HIST1H4D, H4C5, H4/J, H4FJ, HIST1H4E, H4C6, H4/C, H4FC, HIST1H4F, H4C8, H4/H, H4FH, HIST1H4H, H4C9, H4/M, H4FM, HIST1H4I, H4C11, H4/E, H4FE, HIST1H4J, H4C12, H4/D, H4FD, HIST1H4K, H4C13, H4/K, H4FK, HIST1H4L, H4C14, H4/N, H4F2, H4FN, HIST2H4, HIST2H4A, H4C15, H4/O, H4FO, HIST2H4B, H4C16, H4-16, HIST4H4, H4C1, Histone H4, H4K20me3, H4K20me, H4K20

7 Images
Immunocytochemistry/ Immunofluorescence - Anti-Histone H4 (tri methyl K20) antibody (AB227884)
  • ICC/IF

Supplier Data

Immunocytochemistry/ Immunofluorescence - Anti-Histone H4 (tri methyl K20) antibody (AB227884)

HeLa (human epithelial cell line from cervix adenocarcinoma) cells stained for Histone H4 (tri methyl K20) (green) using ab227884 at 1/500 dilution in ICC/IF. Cells were fixed in 4% paraformaldehyde at RT for 15 minutes.

Red : alpha Tubulin stained with an alpha Tubulin antibody at 1/500 dilution..
Blue : Hoechst 33342 staining.

Immunohistochemistry (Formalin/PFA-fixed paraffin-embedded sections) - Anti-Histone H4 (tri methyl K20) antibody (AB227884)
  • IHC-P

Supplier Data

Immunohistochemistry (Formalin/PFA-fixed paraffin-embedded sections) - Anti-Histone H4 (tri methyl K20) antibody (AB227884)

Paraffin-embedded mouse duodenum tissue stained for Histone H4 (tri methyl K20) using ab227884 at 1/500 dilution in immunohistochemical analysis.

Immunohistochemistry (Formalin/PFA-fixed paraffin-embedded sections) - Anti-Histone H4 (tri methyl K20) antibody (AB227884)
  • IHC-P

Supplier Data

Immunohistochemistry (Formalin/PFA-fixed paraffin-embedded sections) - Anti-Histone H4 (tri methyl K20) antibody (AB227884)

Paraffin-embedded rat fore brain tissue stained for Histone H4 (tri methyl K20) using ab227884 at 1/500 dilution in immunohistochemical analysis.

Immunohistochemistry (Formalin/PFA-fixed paraffin-embedded sections) - Anti-Histone H4 (tri methyl K20) antibody (AB227884)
  • IHC-P

Supplier Data

Immunohistochemistry (Formalin/PFA-fixed paraffin-embedded sections) - Anti-Histone H4 (tri methyl K20) antibody (AB227884)

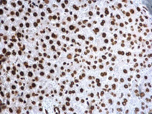
Paraffin-embedded mouse liver tissue stained for Histone H4 (tri methyl K20) using ab227884 at 1/500 dilution in immunohistochemical analysis.

Immunohistochemistry (Formalin/PFA-fixed paraffin-embedded sections) - Anti-Histone H4 (tri methyl K20) antibody (AB227884)
  • IHC-P

Supplier Data

Immunohistochemistry (Formalin/PFA-fixed paraffin-embedded sections) - Anti-Histone H4 (tri methyl K20) antibody (AB227884)

Paraffin-embedded mouse muscle tissue stained for Histone H4 (tri methyl K20) using ab227884 at 1/500 dilution in immunohistochemical analysis.

Western blot - Anti-Histone H4 (tri methyl K20) antibody (AB227884)
  • WB

Supplier Data

Western blot - Anti-Histone H4 (tri methyl K20) antibody (AB227884)

15 % SDS-PAGE gel.

All lanes:

Western blot - Anti-Histone H4 (tri methyl K20) antibody (ab227884) at 1/2000 dilution

Lane 1:

HeLa (human epithelial cell line from cervix adenocarcinoma) whole cell lysate at 30 µg

Lane 2:

HeLa (human epithelial cell line from cervix adenocarcinoma) nuclear lysate at 30 µg

Predicted band size: 11 kDa

false

Dot Blot - Anti-Histone H4 (tri methyl K20) antibody (AB227884)
  • Dot

Supplier Data

Dot Blot - Anti-Histone H4 (tri methyl K20) antibody (AB227884)

Dot Blot analysis of anti-Histone H4 (tri methyl Lys20) antibody with peptide samples.

Varied amount of peptide samples were spotted onto positively charged nylon membrane and blotted with ab227884 at 1/5000 dilution.

A : Peptide samples of H4K20 un
B : Peptide samples of H4K20me1
C : Peptide samples of H4K20me2
D : Peptide samples of H4K20me3

Key facts

宿主種

Rabbit

クローン性

Polyclonal

アイソタイプ

IgG

キャリアフリー

No

交差種

Mouse, Rat, Human

アプリケーション

WB, ICC/IF, Dot, IHC-P

applications

免疫原

Synthetic Peptide within Human H4C1 tri methyl K20. The exact immunogen used to generate this antibody is proprietary information.

P62805

Reactivity data

{ "title": "Reactivity Data", "filters": { "stats": ["", "Species", "Dilution Info", "Notes"], "tabs": { "all-applications": {"fullname" : "All Applications", "shortname": "All Applications"}, "Dot" : {"fullname" : "Dot Blot", "shortname":"Dot"}, "WB" : {"fullname" : "Western blot", "shortname":"WB"}, "IHCP" : {"fullname" : "Immunohistochemistry (Formalin/PFA-fixed paraffin-embedded sections)", "shortname":"IHC-P"}, "ICCIF" : {"fullname" : "Immunocytochemistry/ Immunofluorescence", "shortname":"ICC/IF"} }, "product-promise": { "all": "all", "testedAndGuaranteed": "tested", "guaranteed": "expected", "predicted": "predicted", "notRecommended": "not-recommended" } }, "values": { "Human": { "Dot-species-checked": "guaranteed", "Dot-species-dilution-info": "", "Dot-species-notes": "", "WB-species-checked": "testedAndGuaranteed", "WB-species-dilution-info": "1/500 - 1/3000", "WB-species-notes": "<p></p>", "IHCP-species-checked": "guaranteed", "IHCP-species-dilution-info": "", "IHCP-species-notes": "", "ICCIF-species-checked": "testedAndGuaranteed", "ICCIF-species-dilution-info": "1/100 - 1/1000", "ICCIF-species-notes": "<p></p>" }, "Mouse": { "Dot-species-checked": "guaranteed", "Dot-species-dilution-info": "", "Dot-species-notes": "", "WB-species-checked": "guaranteed", "WB-species-dilution-info": "", "WB-species-notes": "", "IHCP-species-checked": "testedAndGuaranteed", "IHCP-species-dilution-info": "1/100 - 1/1000", "IHCP-species-notes": "<p></p>", "ICCIF-species-checked": "guaranteed", "ICCIF-species-dilution-info": "", "ICCIF-species-notes": "" }, "Rat": { "Dot-species-checked": "guaranteed", "Dot-species-dilution-info": "", "Dot-species-notes": "", "WB-species-checked": "guaranteed", "WB-species-dilution-info": "", "WB-species-notes": "", "IHCP-species-checked": "testedAndGuaranteed", "IHCP-species-dilution-info": "1/100 - 1/1000", "IHCP-species-notes": "<p></p>", "ICCIF-species-checked": "guaranteed", "ICCIF-species-dilution-info": "", "ICCIF-species-notes": "" }, "Synthetic peptide": { "Dot-species-checked": "testedAndGuaranteed", "Dot-species-dilution-info": "", "Dot-species-notes": "<p></p>", "WB-species-checked": "notRecommended", "WB-species-dilution-info": "", "WB-species-notes": "", "IHCP-species-checked": "notRecommended", "IHCP-species-dilution-info": "", "IHCP-species-notes": "", "ICCIF-species-checked": "notRecommended", "ICCIF-species-dilution-info": "", "ICCIF-species-notes": "" }, "Xenopus laevis": { "Dot-species-checked": "predicted", "Dot-species-dilution-info": "", "Dot-species-notes": "", "WB-species-checked": "predicted", "WB-species-dilution-info": "", "WB-species-notes": "", "IHCP-species-checked": "predicted", "IHCP-species-dilution-info": "", "IHCP-species-notes": "", "ICCIF-species-checked": "predicted", "ICCIF-species-dilution-info": "", "ICCIF-species-notes": "" } } }

出荷温度及び保存条件

製品の状態
Liquid
精製方法
Affinity purification Immunogen
バッファー組成
pH: 7 Preservative: 0.01% Thimerosal (merthiolate) Constituents: PBS, 20% Glycerol (glycerin, glycerine), 1% BSA
出荷温度
Blue Ice
短期保存期間
1-2 weeks
短期保存温度
+4°C
長期保存温度
-20°C
分注に関する情報
Upon delivery aliquot
保管に関する情報
Avoid freeze / thaw cycle

製品プロトコール

For this product, it's our understanding that no specific protocols are required. You can visit:

ターゲットの情報

Core component of nucleosome. Nucleosomes wrap and compact DNA into chromatin, limiting DNA accessibility to the cellular machineries which require DNA as a template. Histones thereby play a central role in transcription regulation, DNA repair, DNA replication and chromosomal stability. DNA accessibility is regulated via a complex set of post-translational modifications of histones, also called histone code, and nucleosome remodeling.
See full target information H4C1 tri methyl K20

文献 (1)

Recent publications for all applications. Explore the full list and refine your search

Gerontology 70:1294-1304 PubMed39413738

2024

LncRNA MALAT1 Facilitates Parkinson's Disease Progression by Increasing SOCS3 Promoter Methylation.

Applications

Unspecified application

Species

Unspecified reactive species

Yuqi Liu,Dan Feng,Fenfen Liu,Yun Liu,Fangya Zuo,Yujie Wang,Lanlan Chen,Xiuhong Guo,Jinyong Tian
View all publications

Abcam product promise

当社は、高品質な試薬を通じてお客様の研究を力強くサポートすることをお約束いたします。ご使用いただく各段階で、常にお客様をサポートできる体制を整えております。万が一、製品が期待通りに機能しない場合は、「Abcam Product Promise」による当社保証制度に基づき、安心してご利用いただけます。
保証に関する詳細については利用規約をご確認ください。

Please note: All products are 'FOR RESEARCH USE ONLY. NOT FOR USE IN DIAGNOSTIC OR THERAPEUTIC PROCEDURES'.

For licensing inquiries, please contact partnerships@abcam.com