JavaScript is disabled in your browser. Please enable JavaScript to view this website.
AB320815

Anti-Histone H4 (acetyl K12) 抗体 [EPR28340-173]

Anti-Histone H4 (acetyl K12) antibody [EPR28340-173]

Be the first to review this product! Submit a review

|

(0 Publication)

Anti-Histone H4 (acetyl K12) antibody [EPR28340-173] is a Rabbit Monoclonal antibody that is used in Histone H4 (acetyl K12) ChIP-seq, Flow Cytometry, ICC/IF, IP, PepArr. Suitable for Human samples.

Unmodified histone H4 at specific residues are useful for understanding the effect of different cell treatments on histone modification enzymes. The modification or un-modification of a residue can have a major impact on cellular gene regulation.

別名を表示する

H4/A, H4FA, HIST1H4A, H4C2, H4/I, H4FI, HIST1H4B, H4C3, H4/G, H4FG, HIST1H4C, H4C4, H4/B, H4FB, HIST1H4D, H4C5, H4/J, H4FJ, HIST1H4E, H4C6, H4/C, H4FC, HIST1H4F, H4C8, H4/H, H4FH, HIST1H4H, H4C9, H4/M, H4FM, HIST1H4I, H4C11, H4/E, H4FE, HIST1H4J, H4C12, H4/D, H4FD, HIST1H4K, H4C13, H4/K, H4FK, HIST1H4L, H4C14, H4/N, H4F2, H4FN, HIST2H4, HIST2H4A, H4C15, H4/O, H4FO, HIST2H4B, H4C16, H4-16, HIST4H4, H4C1, Histone H4, H4K12ac

10 Images
Immunocytochemistry/ Immunofluorescence - Anti-Histone H4 (acetyl K12) antibody [EPR28340-173] (AB320815)
  • ICC/IF

Supplier Data

Immunocytochemistry/ Immunofluorescence - Anti-Histone H4 (acetyl K12) antibody [EPR28340-173] (AB320815)

Immunofluorescent analysis of 4% Paraformaldehyde-fixed, 0.1% TritonX-100 permeabilized HeLa (human cervical adenocarcinoma epithelial cell) cells labelling Histone H4 (acetyl K12) with ab320815 at 1/500 (1.044 ug/ml) dilution, followed by ab150081 Goat Anti-Rabbit IgG H&L (Alexa Fluor® 488) preadsorbed antibody at 1/1000 2 ug/mL dilution (Green).

Confocal image showing increased nuclear staining in HeLa cells treated with Trichostatin A (500 ng/mL) for 4 hr (shown in green). The counterstain was observed in magenta. Nuclear DNA was labelled with DAPI (shown in blue). Image was taken with a confocal microscope (Leica-Microsystems, TCS SP8).

ab195889 Anti-alpha Tubulin mouse monoclonal antibody - Microtubule Marker (Alexa Fluor® 594) was used to counterstain tubulin at 1/200 2.5ug/ml dilution (Magenta). The Nuclear counterstain was DAPI (Blue).

Secondary antibody only control : Secondary antibody is ab150081 Goat Anti-Rabbit IgG H&L (Alexa Fluor® 488) preadsorbed at 1/1000 2 ug/mL dilution.

Flow Cytometry - Anti-Histone H4 (acetyl K12) antibody [EPR28340-173] (AB320815)
  • Flow Cyt

Supplier Data

Flow Cytometry - Anti-Histone H4 (acetyl K12) antibody [EPR28340-173] (AB320815)

Flow cytometric analysis of 4% paraformaldehyde fixed 90% methanol permeabilized HeLa (human cervical adenocarcinoma epithelial cell) treated with 500ng/ml Trichostatin A for another 4h (Green) /Untreated control (Magenta) cells labelling Histone H4 (acetyl K12) with ab320815 at 1/50 dilution (1ug) / magenta and green compared with a Rabbit IgG monoclonal [EPR25A] - Isotype Control (Alexa Fluor® 488) (ab199091) (Black) and Grey isotype control and an unlabelled control (cells without incubation with primary antibody and secondary antibody).

Goat Anti-Rabbit IgG (Alexa Fluor® 488, ab150081) at 1/5000 dilution was used as the secondary antibody.

ChIP-sequencing - Anti-Histone H4 (acetyl K12) antibody [EPR28340-173] (AB320815)
  • ChIP-seq

Supplier Data

ChIP-sequencing - Anti-Histone H4 (acetyl K12) antibody [EPR28340-173] (AB320815)

Chromatin was prepared from HeLa cells. Cells were fixed with 1% formaldehyde for 10 minutes. ChIP was performed with 107 cells and 4 µg of ab320815 [EPR28340-173]. ChIP DNA was sequenced on the Illumina NovaSeq 6000 to a depth of 60 million reads. The Input control is also shown.

ChIP-sequencing - Anti-Histone H4 (acetyl K12) antibody [EPR28340-173] (AB320815)
  • ChIP-seq

Supplier Data

ChIP-sequencing - Anti-Histone H4 (acetyl K12) antibody [EPR28340-173] (AB320815)

Chromatin was prepared from HeLa cells. Cells were fixed with 1% formaldehyde for 10 minutes. ChIP was performed with 107 cells and 4 µg of ab320815 [EPR28340-173]. ChIP DNA was sequenced on the Illumina NovaSeq 6000 to a depth of 60 million reads. The Input control is also shown.

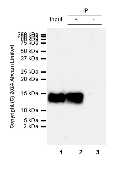
Immunoprecipitation - Anti-Histone H4 (acetyl K12) antibody [EPR28340-173] (AB320815)
  • IP

Supplier Data

Immunoprecipitation - Anti-Histone H4 (acetyl K12) antibody [EPR28340-173] (AB320815)

Histone H4 (acetyl K12) was immunoprecipitated from 0.35 mg HeLa (human cervical adenocarcinoma epithelial cell) treated with 500ng/ml TSA for 4h whole cell lysate with ab320815 at 1/30 dilution (2ug in 0.35mg lysates). Western blot was performed on the immunoprecipitate using ab320815 at 1/1000 dilution. VeriBlot for IP secondary antibody(HRP)(ab131366) was used at 1/5000 dilution.

Lane 1 : HeLa (human cervical adenocarcinoma epithelial cell) treated with 500ng/ml TSA for 4h whole cell lysate 10ug
Lane 2 : ab320815 IP in HeLa (human cervical adenocarcinoma epithelial cell) treated with 500ng/ml TSA for 4h whole cell lysate
Lane 3 : Rabbit monoclonal IgG (ab172730) instead of ab320815 in HeLa treated with 500ng/ml TSA for 4h whole cell lysate

Blocking and dilution buffer and concentration : 5% NFDM/TBST

The IP experiment was performed by ab320815 (capture antibody), and band detected by another Anti-Histone H4 (acetyl K12) antibody [EPR17906] (ab177793).

All lanes:

Immunoprecipitation - Anti-Histone H4 (acetyl K12) antibody [EPR28340-173] (ab320815) at 1/30 dilution

All lanes:

HeLa (human cervical adenocarcinoma epithelial cell) treated with 500ng/ml TSA for 4h whole cell lysate

Secondary

All lanes:

Immunoprecipitation - VeriBlot for IP Detection Reagent (HRP) (<a href='/products/reagents/veriblot-for-ip-detection-reagent-hrp-ab131366'>ab131366</a>) at 1/5000 dilution

false

Exposure time: 67s

ChIP-sequencing - Anti-Histone H4 (acetyl K12) antibody [EPR28340-173] (AB320815)
  • ChIP-seq

Supplier Data

ChIP-sequencing - Anti-Histone H4 (acetyl K12) antibody [EPR28340-173] (AB320815)

Chromatin was prepared from HeLa cells. Cells were fixed with 1% formaldehyde for 10 minutes. ChIP was performed with 107 cells and 4 µg of ab320815 [EPR28340-173]. ChIP DNA was sequenced on the Illumina NovaSeq 6000 to a depth of 60 million reads. The Input control is also shown.

ChIP-sequencing - Anti-Histone H4 (acetyl K12) antibody [EPR28340-173] (AB320815)
  • ChIP-seq

Lab

ChIP-sequencing - Anti-Histone H4 (acetyl K12) antibody [EPR28340-173] (AB320815)

Chromatin was prepared from NIH/3T3 cells. Cells were fixed with 1% formaldehyde for 10 minutes. ChIP was performed with 10^7 cells and 4 µg of ab320815 [EPR28340-173]. ChIP DNA was sequenced on the Illumina NovaSeq 6000 to a depth of 60 million reads. The Input control is also shown.

ChIP-sequencing - Anti-Histone H4 (acetyl K12) antibody [EPR28340-173] (AB320815)
  • ChIP-seq

Lab

ChIP-sequencing - Anti-Histone H4 (acetyl K12) antibody [EPR28340-173] (AB320815)

Chromatin was prepared from NIH/3T3 cells. Cells were fixed with 1% formaldehyde for 10 minutes. ChIP was performed with 10^7 cells and 4 µg of ab320815 [EPR28340-173]. ChIP DNA was sequenced on the Illumina NovaSeq 6000 to a depth of 60 million reads. The Input control is also shown.

ChIP-sequencing - Anti-Histone H4 (acetyl K12) antibody [EPR28340-173] (AB320815)
  • ChIP-seq

Lab

ChIP-sequencing - Anti-Histone H4 (acetyl K12) antibody [EPR28340-173] (AB320815)

Chromatin was prepared from NIH/3T3 cells. Cells were fixed with 1% formaldehyde for 10 minutes. ChIP was performed with 10^7 cells and 4 µg of ab320815 [EPR28340-173]. ChIP DNA was sequenced on the Illumina NovaSeq 6000 to a depth of 60 million reads. The Input control is also shown.

Peptide Array - Anti-Histone H4 (acetyl K12) antibody [EPR28340-173] (AB320815)
  • PepArr

Supplier Data

Peptide Array - Anti-Histone H4 (acetyl K12) antibody [EPR28340-173] (AB320815)

Peptide array analysis of ab320815 at 1 : 5000 (0.1 ug/ml) followed by a Goat Anti-Rabbit IgG, (H+L), Fluo 647nm conjugated at 1 : 50,000 dilution.

ab320815 was tested in Peptide Array against 501 different modified and unmodified histone peptides; each peptide is printed on the array at six concentrations (each in triplicate).
Circle area represents affinity between the antibody and a peptide : all antigen-containing peptides are displayed as red circles, all other peptides as blue circles. The affinity is calculated as the area under the curve when antibody binding values are plotted against the corresponding peptide concentration. Each circle area is normalized to the peptide with the strongest affinity.
The complete dataset, including a full list of all peptides and information on the position of each peptide in the diagram, can be downloaded here.

Key facts

宿主種

Rabbit

クローン性

Monoclonal

クローン番号

EPR28340-173

アイソタイプ

IgG

キャリアフリー

No

交差種

Human, Mouse

アプリケーション

PepArr, Flow Cyt, ChIP-seq, ICC/IF, IP

applications

免疫原

The exact immunogen used to generate this antibody is proprietary information.

Reactivity data

{ "title": "Reactivity Data", "filters": { "stats": ["", "Species", "Dilution Info", "Notes"], "tabs": { "all-applications": {"fullname" : "All Applications", "shortname": "All Applications"}, "PepArr" : {"fullname" : "Peptide Array", "shortname":"PepArr"}, "IP" : {"fullname" : "Immunoprecipitation", "shortname":"IP"}, "ICCIF" : {"fullname" : "Immunocytochemistry/ Immunofluorescence", "shortname":"ICC/IF"}, "FlowCyt" : {"fullname" : "Flow Cytometry", "shortname":"Flow Cyt"}, "ChIPseq" : {"fullname" : "ChIP-sequencing", "shortname":"ChIP-seq"}, "WB" : {"fullname" : "Western blot", "shortname":"WB"}, "ChICCUTRUNseq" : {"fullname" : "ChIC/CUT&RUN sequencing", "shortname":"ChIC/CUT&RUN-seq"} }, "product-promise": { "all": "all", "testedAndGuaranteed": "tested", "guaranteed": "expected", "predicted": "predicted", "notRecommended": "not-recommended" } }, "values": { "Human": { "PepArr-species-checked": "guaranteed", "PepArr-species-dilution-info": "", "PepArr-species-notes": "", "IP-species-checked": "testedAndGuaranteed", "IP-species-dilution-info": "1/30", "IP-species-notes": "<p></p>", "ICCIF-species-checked": "testedAndGuaranteed", "ICCIF-species-dilution-info": "1/500", "ICCIF-species-notes": "<p></p>", "FlowCyt-species-checked": "testedAndGuaranteed", "FlowCyt-species-dilution-info": "1/50", "FlowCyt-species-notes": "<p></p>", "ChIPseq-species-checked": "testedAndGuaranteed", "ChIPseq-species-dilution-info": "4 µg for 10^7 Cells", "ChIPseq-species-notes": "<p></p>", "WB-species-checked": "notRecommended", "WB-species-dilution-info": "", "WB-species-notes": "<p></p>", "ChICCUTRUNseq-species-checked": "notRecommended", "ChICCUTRUNseq-species-dilution-info": "", "ChICCUTRUNseq-species-notes": "<p></p>" }, "Mouse": { "PepArr-species-checked": "guaranteed", "PepArr-species-dilution-info": "", "PepArr-species-notes": "", "IP-species-checked": "guaranteed", "IP-species-dilution-info": "", "IP-species-notes": "", "ICCIF-species-checked": "guaranteed", "ICCIF-species-dilution-info": "", "ICCIF-species-notes": "", "FlowCyt-species-checked": "guaranteed", "FlowCyt-species-dilution-info": "", "FlowCyt-species-notes": "", "ChIPseq-species-checked": "testedAndGuaranteed", "ChIPseq-species-dilution-info": "4 µg for 10^7 Cells", "ChIPseq-species-notes": "<p></p>", "WB-species-checked": "notRecommended", "WB-species-dilution-info": "", "WB-species-notes": "<p></p>", "ChICCUTRUNseq-species-checked": "notRecommended", "ChICCUTRUNseq-species-dilution-info": "", "ChICCUTRUNseq-species-notes": "" }, "Rat": { "PepArr-species-checked": "notRecommended", "PepArr-species-dilution-info": "", "PepArr-species-notes": "", "IP-species-checked": "notRecommended", "IP-species-dilution-info": "", "IP-species-notes": "", "ICCIF-species-checked": "notRecommended", "ICCIF-species-dilution-info": "", "ICCIF-species-notes": "", "FlowCyt-species-checked": "notRecommended", "FlowCyt-species-dilution-info": "", "FlowCyt-species-notes": "", "ChIPseq-species-checked": "notRecommended", "ChIPseq-species-dilution-info": "", "ChIPseq-species-notes": "", "WB-species-checked": "notRecommended", "WB-species-dilution-info": "", "WB-species-notes": "<p></p>", "ChICCUTRUNseq-species-checked": "notRecommended", "ChICCUTRUNseq-species-dilution-info": "", "ChICCUTRUNseq-species-notes": "" }, "Synthetic peptide": { "PepArr-species-checked": "testedAndGuaranteed", "PepArr-species-dilution-info": "1/5000", "PepArr-species-notes": "<p></p>", "IP-species-checked": "notRecommended", "IP-species-dilution-info": "", "IP-species-notes": "", "ICCIF-species-checked": "notRecommended", "ICCIF-species-dilution-info": "", "ICCIF-species-notes": "", "FlowCyt-species-checked": "notRecommended", "FlowCyt-species-dilution-info": "", "FlowCyt-species-notes": "", "ChIPseq-species-checked": "notRecommended", "ChIPseq-species-dilution-info": "", "ChIPseq-species-notes": "", "WB-species-checked": "notRecommended", "WB-species-dilution-info": "", "WB-species-notes": "", "ChICCUTRUNseq-species-checked": "notRecommended", "ChICCUTRUNseq-species-dilution-info": "", "ChICCUTRUNseq-species-notes": "" } } }

製品の詳細

Patented technology
Our RabMAb® technology is a patented hybridoma-based technology for making rabbit monoclonal antibodies. For details on our patents, please refer to RabMAb® patents.

What are the advantages of a recombinant monoclonal antibody?
This product is a recombinant monoclonal antibody, which offers several advantages including:

  • - High batch-to-batch consistency and reproducibility
  • - Improved sensitivity and specificity
  • - Long-term security of supply
  • - Animal-free batch production

For more information, read more on recombinant antibodies.

出荷温度及び保存条件

製品の状態
Liquid
精製方法
Affinity purification Protein A
バッファー組成
pH: 7.2 - 7.4 Preservative: 0.01% Sodium azide Constituents: PBS, 40% Glycerol (glycerin, glycerine), 0.05% BSA
出荷温度
Blue Ice
短期保存期間
1-2 weeks
短期保存温度
+4°C
長期保存温度
-20°C
分注に関する情報
Upon delivery aliquot
保管に関する情報
Avoid freeze / thaw cycle

製品プロトコール

For this product, it's our understanding that no specific protocols are required. You can visit:

ターゲットの情報

Core component of nucleosome. Nucleosomes wrap and compact DNA into chromatin, limiting DNA accessibility to the cellular machineries which require DNA as a template. Histones thereby play a central role in transcription regulation, DNA repair, DNA replication and chromosomal stability. DNA accessibility is regulated via a complex set of post-translational modifications of histones, also called histone code, and nucleosome remodeling.
See full target information Histone H4 acetyl K12

Abcam product promise

当社は、高品質な試薬を通じてお客様の研究を力強くサポートすることをお約束いたします。ご使用いただく各段階で、常にお客様をサポートできる体制を整えております。万が一、製品が期待通りに機能しない場合は、「Abcam Product Promise」による当社保証制度に基づき、安心してご利用いただけます。
保証に関する詳細については利用規約をご確認ください。

Please note: All products are 'FOR RESEARCH USE ONLY. NOT FOR USE IN DIAGNOSTIC OR THERAPEUTIC PROCEDURES'.

For licensing inquiries, please contact partnerships@abcam.com