JavaScript is disabled in your browser. Please enable JavaScript to view this website.
AB213677

Anti-Histone H3.3 抗体

Anti-Histone H3.3 antibody

Be the first to review this product! Submit a review

|

(1 Publication)

Rabbit Polyclonal H3 antibody. Suitable for IHC-P, WB, Flow Cyt (Intra) and reacts with Mouse, Rat, Human samples. Cited in 1 publication. Immunogen corresponding to Synthetic Peptide within Human H3-3A aa 50 to C-terminus conjugated to Keyhole Limpet Haemocyanin.

別名を表示する

H3.3A, H3F3, H3F3A, PP781, H3-3B, H3.3B, H3F3B, H3-3A, Histone H3.3

5 Images
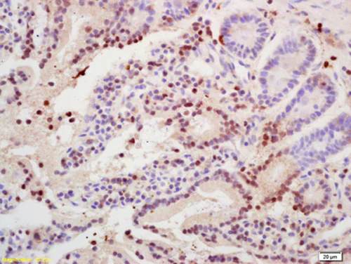
Immunohistochemistry (Formalin/PFA-fixed paraffin-embedded sections) - Anti-Histone H3.3 antibody (AB213677)
  • IHC-P

Supplier Data

Immunohistochemistry (Formalin/PFA-fixed paraffin-embedded sections) - Anti-Histone H3.3 antibody (AB213677)

Immunohistochemical analysis of formalin-fixed, paraffin-embedded human colon cancer tissue labeling Histone H3.3 with ab213677 at 1/400 dilution followed by conjugation to the secondary antibody and DAB staining.

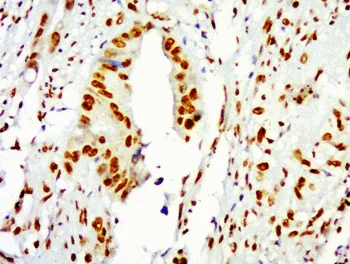
Immunohistochemistry (Formalin/PFA-fixed paraffin-embedded sections) - Anti-Histone H3.3 antibody (AB213677)
  • IHC-P

Supplier Data

Immunohistochemistry (Formalin/PFA-fixed paraffin-embedded sections) - Anti-Histone H3.3 antibody (AB213677)

Immunohistochemical analysis of formalin-fixed, paraffin-embedded Mouse intestine tissue labeling Histone H3.3 with ab213677 at 1/200 dilution followed by conjugation to the secondary antibody and DAB staining.

Immunohistochemistry (Formalin/PFA-fixed paraffin-embedded sections) - Anti-Histone H3.3 antibody (AB213677)
  • IHC-P

Supplier Data

Immunohistochemistry (Formalin/PFA-fixed paraffin-embedded sections) - Anti-Histone H3.3 antibody (AB213677)

Immunohistochemical analysis of formalin-fixed, paraffin-embedded Rat brain tissue labeling Histone H3.3 with ab213677 at 1/200 dilution followed by conjugation to the secondary antibody and DAB staining.

Flow Cytometry (Intracellular) - Anti-Histone H3.3 antibody (AB213677)
  • Flow Cyt (Intra)

Supplier Data

Flow Cytometry (Intracellular) - Anti-Histone H3.3 antibody (AB213677)

Intracellular flow cytometric analysis ofMouse splenocytes labeling Histone H3.3 with ab213677 at 1/50 dilution for 30 minutes (green)followed by a FITC conjugated secondary antibody compared to unstained cells (blue), secondary only (light blue), and isotype control (orange).

Western blot - Anti-Histone H3.3 antibody (AB213677)
  • WB

Supplier Data

Western blot - Anti-Histone H3.3 antibody (AB213677)

All lanes:

Western blot - Anti-Histone H3.3 antibody (ab213677) at 1/300 dilution

All lanes:

K562 cell lysate

Predicted band size: 15 kDa

false

Key facts

宿主種

Rabbit

クローン性

Polyclonal

アイソタイプ

IgG

キャリアフリー

No

交差種

Mouse, Rat, Human

アプリケーション

WB, IHC-P, Flow Cyt (Intra)

applications

免疫原

Synthetic Peptide within Human H3-3A aa 50 to C-terminus conjugated to Keyhole Limpet Haemocyanin. The exact immunogen used to generate this antibody is proprietary information.

P84243

Reactivity data

{ "title": "Reactivity Data", "filters": { "stats": ["", "Species", "Dilution Info", "Notes"], "tabs": { "all-applications": {"fullname" : "All Applications", "shortname": "All Applications"}, "IHCP" : {"fullname" : "Immunohistochemistry (Formalin/PFA-fixed paraffin-embedded sections)", "shortname":"IHC-P"}, "WB" : {"fullname" : "Western blot", "shortname":"WB"}, "FlowCytIntra" : {"fullname" : "Flow Cytometry (Intracellular)", "shortname":"Flow Cyt (Intra)"} }, "product-promise": { "all": "all", "testedAndGuaranteed": "tested", "guaranteed": "expected", "predicted": "predicted", "notRecommended": "not-recommended" } }, "values": { "Human": { "IHCP-species-checked": "testedAndGuaranteed", "IHCP-species-dilution-info": "1/100 - 1/500", "IHCP-species-notes": "<p>When using a fluorescent probe the recommended dilution is 1/50 – 1/200.</p> Perform heat-mediated antigen retrieval with citrate buffer pH 6 before commencing with IHC staining protocol.", "WB-species-checked": "testedAndGuaranteed", "WB-species-dilution-info": "1/100 - 1/1000", "WB-species-notes": "<p></p>", "FlowCytIntra-species-checked": "guaranteed", "FlowCytIntra-species-dilution-info": "", "FlowCytIntra-species-notes": "" }, "Mouse": { "IHCP-species-checked": "testedAndGuaranteed", "IHCP-species-dilution-info": "1/100 - 1/500", "IHCP-species-notes": "<p>When using a fluorescent probe the recommended dilution is 1/50 – 1/200.</p> Perform heat-mediated antigen retrieval with citrate buffer pH 6 before commencing with IHC staining protocol.", "WB-species-checked": "guaranteed", "WB-species-dilution-info": "", "WB-species-notes": "", "FlowCytIntra-species-checked": "testedAndGuaranteed", "FlowCytIntra-species-dilution-info": "", "FlowCytIntra-species-notes": "<p></p>" }, "Rat": { "IHCP-species-checked": "testedAndGuaranteed", "IHCP-species-dilution-info": "1/100 - 1/500", "IHCP-species-notes": "<p>When using a fluorescent probe the recommended dilution is 1/50 – 1/200.</p> Perform heat-mediated antigen retrieval with citrate buffer pH 6 before commencing with IHC staining protocol.", "WB-species-checked": "guaranteed", "WB-species-dilution-info": "", "WB-species-notes": "", "FlowCytIntra-species-checked": "guaranteed", "FlowCytIntra-species-dilution-info": "", "FlowCytIntra-species-notes": "" }, "Pig": { "IHCP-species-checked": "predicted", "IHCP-species-dilution-info": "", "IHCP-species-notes": "", "WB-species-checked": "predicted", "WB-species-dilution-info": "", "WB-species-notes": "", "FlowCytIntra-species-checked": "predicted", "FlowCytIntra-species-dilution-info": "", "FlowCytIntra-species-notes": "" } } }

出荷温度及び保存条件

製品の状態
Liquid
精製方法
Affinity purification Protein A
バッファー組成
pH: 7.4 Preservative: 0.02% Proclin 300 Constituents: 50% Glycerol (glycerin, glycerine), 48.98% TBS, 1X, 1% BSA
出荷温度
Blue Ice
短期保存期間
1-2 weeks
短期保存温度
+4°C
長期保存温度
-20°C
分注に関する情報
Upon delivery aliquot
保管に関する情報
Avoid freeze / thaw cycle

製品プロトコール

For this product, it's our understanding that no specific protocols are required. You can visit:

ターゲットの情報

Variant histone H3 which replaces conventional H3 in a wide range of nucleosomes in active genes. Constitutes the predominant form of histone H3 in non-dividing cells and is incorporated into chromatin independently of DNA synthesis. Deposited at sites of nucleosomal displacement throughout transcribed genes, suggesting that it represents an epigenetic imprint of transcriptionally active chromatin. Nucleosomes wrap and compact DNA into chromatin, limiting DNA accessibility to the cellular machineries which require DNA as a template. Histones thereby play a central role in transcription regulation, DNA repair, DNA replication and chromosomal stability. DNA accessibility is regulated via a complex set of post-translational modifications of histones, also called histone code, and nucleosome remodeling.
See full target information H3-3A

文献 (1)

Recent publications for all applications. Explore the full list and refine your search

International journal of molecular medicine 56: PubMed40709382

2025

Dulaglutide markedly prevents peritoneal fibrosis in a rodent model of chronic kidney disease: Insights into the pathogenesis.

Applications

Unspecified application

Species

Unspecified reactive species

Chih-Chao Yang,Ya Yue,Yi-Ting Wang,John Y Chiang,Ben-Chung Cheng,Tsuen-Wei Hsu,Yi-Ling Chen,Yi-Chen Li,Hon-Kan Yip
View all publications

Abcam product promise

当社は、高品質な試薬を通じてお客様の研究を力強くサポートすることをお約束いたします。ご使用いただく各段階で、常にお客様をサポートできる体制を整えております。万が一、製品が期待通りに機能しない場合は、「Abcam Product Promise」による当社保証制度に基づき、安心してご利用いただけます。
保証に関する詳細については利用規約をご確認ください。

Please note: All products are 'FOR RESEARCH USE ONLY. NOT FOR USE IN DIAGNOSTIC OR THERAPEUTIC PROCEDURES'.

For licensing inquiries, please contact partnerships@abcam.com