JavaScript is disabled in your browser. Please enable JavaScript to view this website.
AB1791

Anti-Histone H3 抗体 - Nuclear Marker and ChIP Grade

Anti-Histone H3 antibody - Nuclear Marker and ChIP Grade

5

(233 Reviews)

|

(4738 Publications)

Anti-Histone H3 antibody - ChIP Grade Nuclear Marker (ab1791) is a rabbit polyclonal antibody detecting Histone H3 in Western Blot, IP, IHC-P, ICC/IF, ChIP. Suitable for Human, Mouse, Rat, Arabidopsis, Drosophila, Muntjac, S.cerevisiae, S.pombe, Xenopus.

- Over 4740 publications
- Trusted since 2002

別名を表示する

H3FA, HIST1H3A, H3C2, H3FL, HIST1H3B, H3C3, H3FC HIST1H3C, H3C4, H3FB, HIST1H3D, H3C6, H3FD, HIST1H3E, H3C7, H3FI, HIST1H3F, H3C8, H3FH, HIST1H3G, H3C10, H3FK, HIST1H3H, H3C11, H3FF, HIST1H3I, H3C12, H3FJ, HIST1H3J, HIST1H3C, H3FC, H3C1, Histone H3.1, Histone H3/a, Histone H3/b, Histone H3/c, Histone H3/d, Histone H3/f, Histone H3/h, Histone H3/i, Histone H3/j, Histone H3/k, Histone H3/l

14 Images
ChIP - Anti-Histone H3 antibody - Nuclear Marker and ChIP Grade (AB1791)
  • ChIP

Unknown

ChIP - Anti-Histone H3 antibody - Nuclear Marker and ChIP Grade (AB1791)

Chromatin was prepared from HeLa cells according to the Abcam X-ChIP protocol. Cells were fixed with formaldehyde for 10 minutes. The ChIP was performed with 25μg of chromatin, 2μg of ab1791 (blue), and 20μl of Protein A/G sepharose beads. No antibody was added to the beads control (yellow). The immunoprecipitated DNA was quantified by real time PCR (Taqman approach for active and inactive loci, Sybr green approach for heterochromatic loci). Primers and probes are located in the first kb of the transcribed region.

Western blot - Anti-Histone H3 antibody - Nuclear Marker and ChIP Grade (AB1791)
  • WB

AbReview53732****

Western blot - Anti-Histone H3 antibody - Nuclear Marker and ChIP Grade (AB1791)

Blocked with 3% milk for 1 hour at 25°C.

Incubated with the primary antibody for 16 hours at 4°C in 3% milk in TBS-tween.

All lanes:

Western blot - Anti-Histone H3 antibody - Nuclear Marker and ChIP Grade (ab1791) at 1/1000 dilution

Lane 1:

Mouse skeletal muscle mitochondrial fraction at 20 µg

Lane 2:

Mouse skeletal muscle nuclear fraction at 20 µg

Secondary

All lanes:

HRP-conjugated goat anti-rabbit IgG at 1/4000 dilution

Predicted band size: 15 kDa

Observed band size: 17 kDa

true

Exposure time: 7min

This image is courtesy of an anonymous Abreview

Immunohistochemistry (Formalin/PFA-fixed paraffin-embedded sections) - Anti-Histone H3 antibody - Nuclear Marker and ChIP Grade (AB1791)
  • IHC-P

Unknown

Immunohistochemistry (Formalin/PFA-fixed paraffin-embedded sections) - Anti-Histone H3 antibody - Nuclear Marker and ChIP Grade (AB1791)

ab1791 staining Histone H3 (red) in rat brain tissue sections by Immunohistochemistry (IHC-P - paraformaldehyde-fixed paraffin-embedded sections).

Tissue was fixed with formaldehyde permeabilized with 0.1% TBS-TritonX and blocked with 10% serum for 1 hour at 25°C; antigen retrieval was by heat mediation in a citrate buffer. Samples were incubated with the primary antibody (1/500 in 10% normal goat serum) for 24 hours at 24°C. An Alexa Fluor® 594-conjugated goat anti-rabbit IgG polyclonal (1/500 dilution) was used as the secondary antibody.

Green - Nucleus staining.
Red - Histone H3 staining.

Immunohistochemistry (Formalin/PFA-fixed paraffin-embedded sections) - Anti-Histone H3 antibody - Nuclear Marker and ChIP Grade (AB1791)
  • IHC-P

AbReview48053****

Immunohistochemistry (Formalin/PFA-fixed paraffin-embedded sections) - Anti-Histone H3 antibody - Nuclear Marker and ChIP Grade (AB1791)

Paraffin-embedded rat brain tissue stained for Histone H3 using ab1791 at 1/8000 dilution in immunohistochemical analysis.

Immunocytochemistry/ Immunofluorescence - Anti-Histone H3 antibody - Nuclear Marker and ChIP Grade (AB1791)
  • ICC/IF

Lab

Immunocytochemistry/ Immunofluorescence - Anti-Histone H3 antibody - Nuclear Marker and ChIP Grade (AB1791)

ab1791 staining Histone H3 in HeLa cells. The cells were fixed with 100% methanol (5 min), permeabilized with 0.1% PBS-Triton X-100 for 5 minutes and then blocked with 1% BSA/10% normal goat serum/0.3M glycine in 0.1% PBS-Tween for 1h. The cells were then incubated overnight at 4°C with ab1791 at 0.1 μg/mL and ab7291, Mouse monoclonal [DM1A] to alpha Tubulin - Loading Control. Cells were then incubated with ab150081, Goat polyclonal Secondary Antibody to Rabbit IgG - H&L (Alexa Fluor® 488), pre-adsorbed at 1/1000 dilution (shown in green) and ab150120, Goat polyclonal Secondary Antibody to Mouse IgG - H&L (Alexa Fluor® 594), pre-adsorbed at 1/1000 dilution (shown in pseudocolour red). Nuclear DNA was labelled with DAPI (shown in blue).

Immunocytochemistry/ Immunofluorescence - Anti-Histone H3 antibody - Nuclear Marker and ChIP Grade (AB1791)
  • ICC/IF

AbReview20971****

Immunocytochemistry/ Immunofluorescence - Anti-Histone H3 antibody - Nuclear Marker and ChIP Grade (AB1791)

ab1791 staining Histone H3 in HeLa (Human epithelial cell line from cervix adenocarcinoma) by ICC/IF (Immunocytochemistry/immunofluorescence).

Cells were fixed with methanol and blocked with 0.2% fish scale gelatin for 1 hour at 25°C. Samples were incubated with the primary antibody (1/300 in PBS + 0.2% gelatin) for 20 minutes at 25°C. An Alexa Fluor® 488-conjugated donkey anti-rabbit IgG polyclonal (1/500) was used as the secondary antibody.

Green - Histone H3.
Blue - DAPI.
Red - Tubulin.

This image is courtesy of an anonymous Abreview

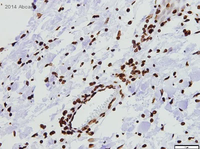
Immunohistochemistry (Formalin/PFA-fixed paraffin-embedded sections) - Anti-Histone H3 antibody - Nuclear Marker and ChIP Grade (AB1791)
  • IHC-P

AbReview43801****

Immunohistochemistry (Formalin/PFA-fixed paraffin-embedded sections) - Anti-Histone H3 antibody - Nuclear Marker and ChIP Grade (AB1791)

ab1791 staining Histone H3 in human infantile fibromatosis tissue sections by Immunohistochemistry (IHC-P - paraformaldehyde-fixed, paraffin-embedded sections).

Tissue was fixed with formaldehyde and blocked with 1% FBS/BSA for 3 hours at room temperature; antigen retrieval was by heat mediation in Tris pH 9. Samples were incubated with primary antibody (1/100 in TBS + 1% BSA + 1% FBS) for 16 hours. An un-diluted HRP-conjugated goat anti-rabbit IgG polyclonal was used as the secondary antibody.

This image is courtesy of an anonymous Abreview

Immunohistochemistry (Formalin/PFA-fixed paraffin-embedded sections) - Anti-Histone H3 antibody - Nuclear Marker and ChIP Grade (AB1791)
  • IHC-P

AbReview42146****

Immunohistochemistry (Formalin/PFA-fixed paraffin-embedded sections) - Anti-Histone H3 antibody - Nuclear Marker and ChIP Grade (AB1791)

ab1796 staining Histone H3 in mouse liver tissue sections by Immunohistochemistry (IHC-P - paraformaldehyde-fixed paraffin-embedded sections).

Tissue was fixed with paraformaldehyde permeabilized with 0.05% Triton X-100 in PBS for 30 minutes and blocked with 5% BSA for 1 hour; antigen retrieval was by heat mediation in sodium citrate pH 6. Samples were incubated with the primary antibody (1/500 in blocking buffer) for 16 hours at 4°C. An Alexa Fluor® 488-conjugated goat anti-rabbit IgG polyclonal (1/400 dilution) was used as the secondary antibody.

This image is courtesy of an anonymous Abreview

ChIP - Anti-Histone H3 antibody - Nuclear Marker and ChIP Grade (AB1791)
  • ChIP

AbReview56600****

ChIP - Anti-Histone H3 antibody - Nuclear Marker and ChIP Grade (AB1791)

The ChIP was performed with chromatin from mouse gut cell lysate and ab1791 at 1/250 dilution.

Negative control : No antibody was used (right bar).

The immunoprecipitated DNA was quantified by real time PCR.

Immunoprecipitation - Anti-Histone H3 antibody - Nuclear Marker and ChIP Grade (AB1791)
  • IP

Lab

Immunoprecipitation - Anti-Histone H3 antibody - Nuclear Marker and ChIP Grade (AB1791)

Histone H3 - ChIP Grade was immunoprecipitated using 0.5mg HeLa (Human epithelial cell line from cervix adenocarcinoma) whole cell extract, 5 μg of Rabbit polyclonal to and 50 μl of protein G magnetic beads (+). No antibody was added to the control (-).

The antibody was incubated under agitation with Protein G beads for 10 minutes, HeLa whole cell extract lysate diluted in RIPA buffer was added to each sample and incubated for a further 10 minutes under agitation.

Proteins were eluted by addition of 40 μl SDS loading buffer and incubated for 10 minutes at 70°C; 10 μl of each sample was separated on a SDS PAGE gel, transferred to a nitrocellulose membrane, blocked with 5% BSA and probed with ab1791.

Secondary Antibody : Mouse anti-rabbit HRP light chain (HRP) (ab99697).

Band : 15kDa; Histone H3 - ChIP Grade

All lanes:

Immunoprecipitation - Anti-Histone H3 antibody - Nuclear Marker and ChIP Grade (ab1791)

Predicted band size: 15 kDa

true

Exposure time: 30s

ChIP - Anti-Histone H3 antibody - Nuclear Marker and ChIP Grade (AB1791)
  • ChIP

Unknown

ChIP - Anti-Histone H3 antibody - Nuclear Marker and ChIP Grade (AB1791)

Chromatin from Xenopus laevis oocytes was prepared according to the Abcam X-ChIP protocol.

Oocytes were fixed with formaldehyde for 10 minutes. The ChIP was performed with 25 mg of chromatin, 3 mg of ab7834 (anti-H3, light blue) and 3 μg of ab1791 (anti-H3, dark blue), and 20 ml of Protein A/G sepharose beads. A non-specific antibody was used as a control (yellow).

The immunoprecipitated DNA was quantified by real time PCR (Taqman approach).

Western blot - Anti-Histone H3 antibody - Nuclear Marker and ChIP Grade (AB1791)
  • WB

Lab

Western blot - Anti-Histone H3 antibody - Nuclear Marker and ChIP Grade (AB1791)

This blot was produced using a 4-12% Bis-tris gel under the MES buffer system. The gel was run at 200V for 35 minutes before being transferred onto a Nitrocellulose membrane at 30V for 70 minutes. The membrane was then blocked for an hour using 2% Bovine Serum Albumin before being incubated with ab1791 overnight at 4°C.

Goat Anti-Rabbit IgG H&L (HRP) (ab6721) secondary antibody was used for detection.

Antibody binding was visualised using ECL development solution ab133406.

All lanes:

Western blot - Anti-Histone H3 antibody - Nuclear Marker and ChIP Grade (ab1791) at 1/1000 dilution

Lanes 1 and 4:

A431 (Human epithelial carcinoma cell line) Whole Cell Lysate at 20 µg

Lanes 2 and 5:

Jurkat (Human T cell lymphoblast-like cell line) Whole Cell Lysate at 20 µg

Lanes 3 and 6:

HEK293 (Human embryonic kidney cell line) Whole Cell Lysate at 20 µg

Secondary

All lanes:

Western blot - Goat Anti-Rabbit IgG H&L (HRP) (ab6721) at 1/5000 dilution

Predicted band size: 15 kDa

Observed band size: 17 kDa

true

Exposure time: 10s

Western blot - Anti-Histone H3 antibody - Nuclear Marker and ChIP Grade (AB1791)
  • WB

Collaborator

Western blot - Anti-Histone H3 antibody - Nuclear Marker and ChIP Grade (AB1791)

Rabbit polyclonal to Histone H3 (ab1791) at 1/5000 on S. cerevisiae whole cell lysate (40 ug per lane).

Protein resolved on 15% SDS-PAGE gel. After transfer to PVDF membrane, blots were blocked in 1X PBS, 0.1% Tween-20, and 5% milk. ab1791 was diluted in 5 ml blocking buffer at 1/5000. Blots plus primary antibodies were either incubated overnight at 4°C or at RT for 2 hours. Blots were washed 6X for 10 minutes each in PBS with 0.1% Tween-20 before addition of secondary antibodies. Secondary antibodies were diluted 1/2,000 in blocking buffer and incubated with blots for 2 hours at RT. Secondary blots were washed 4X for 10 minutes each in PBS with 0.1% Tween-20 and 2X for 10 minutes each in PBS.

All lanes:

Western blot - Anti-Histone H3 antibody - Nuclear Marker and ChIP Grade (ab1791)

Predicted band size: 15 kDa

false

This image is courtesy of John E. Mueller and J. Ruth German (Mary Bryk lab)

Western blot - Anti-Histone H3 antibody - Nuclear Marker and ChIP Grade (AB1791)
  • WB

Project4211****

Western blot - Anti-Histone H3 antibody - Nuclear Marker and ChIP Grade (AB1791)

ab1791 is tested in western blot on a range of species. We recommend loading higher amounts of protein (20-30ug) to increase the signal in yeast lysates

All lanes:

Western blot - Anti-Histone H3 antibody - Nuclear Marker and ChIP Grade (ab1791) at 1 µg/mL

Lane 1:

HeLa (Human epithelial carcinoma cell line) Whole Cell Lysate at 10 µg

Lane 2:

Western blot - NIH/3T3 whole cell lysate (<a href='/products/cell-lysates/nih-3t3-whole-cell-lysate-ab7179'>ab7179</a>) at 10 µg

Lane 3:

Drosophila embryo nuclear extract (from melanogaster embryos 0-12Hr) at 10 µg

Lane 4:

S.cerevisiae (Y190) Whole Cell Lysate at 10 µg

Lane 5:

S.pombe Whole Cell Lysate at 10 µg

Secondary

All lanes:

Goat polyclonal to Rabbit IgG - H&L - Pre-Adsorbed (HRP) at 1/3000 dilution

Predicted band size: 15 kDa

Observed band size: 17 kDa

false

Key facts

宿主種

Rabbit

クローン性

Polyclonal

アイソタイプ

IgG

キャリアフリー

No

交差種

Mouse, Rat, Human, Saccharomyces cerevisiae, Xenopus laevis, Arabidopsis thaliana, Drosophila melanogaster, Indian muntjac, Schizosaccharomyces pombe

アプリケーション

ChIP, ICC/IF, WB, IHC-P, IP

applications

免疫原

The exact immunogen used to generate this antibody is proprietary information.

特異性

From Mar 2024, QC testing of replenishment batches of this polyclonal changed. All tested and expected application and reactive species combinations are still covered by our Abcam product promise. However, we no longer test all applications. For more information on a specific batch, please contact our Scientific Support who will be happy to help. Based only on sequence homology, we expect the antibody to react with multiple variants of H3 such as H3.1, H3.2 and H3.3.

Reactivity data

{ "title": "Reactivity Data", "filters": { "stats": ["", "Species", "Dilution Info", "Notes"], "tabs": { "all-applications": {"fullname" : "All Applications", "shortname": "All Applications"}, "IHCP" : {"fullname" : "Immunohistochemistry (Formalin/PFA-fixed paraffin-embedded sections)", "shortname":"IHC-P"}, "ChIP" : {"fullname" : "ChIP", "shortname":"ChIP"}, "ICCIF" : {"fullname" : "Immunocytochemistry/ Immunofluorescence", "shortname":"ICC/IF"}, "IP" : {"fullname" : "Immunoprecipitation", "shortname":"IP"}, "WB" : {"fullname" : "Western blot", "shortname":"WB"} }, "product-promise": { "all": "all", "testedAndGuaranteed": "tested", "guaranteed": "expected", "predicted": "predicted", "notRecommended": "not-recommended" } }, "values": { "Human": { "IHCP-species-checked": "guaranteed", "IHCP-species-dilution-info": "1/100.00000 - 1/400.00000", "IHCP-species-notes": "<p></p> Perform heat-mediated antigen retrieval before commencing with IHC staining protocol.", "ChIP-species-checked": "testedAndGuaranteed", "ChIP-species-dilution-info": "2 µg for 10^6 Cells", "ChIP-species-notes": "<p></p>", "ICCIF-species-checked": "testedAndGuaranteed", "ICCIF-species-dilution-info": "1 µg/mL", "ICCIF-species-notes": "<p></p>", "IP-species-checked": "guaranteed", "IP-species-dilution-info": "5 µg/mL", "IP-species-notes": "<p></p>", "WB-species-checked": "testedAndGuaranteed", "WB-species-dilution-info": "1/1000.00000 - 1/5000.00000", "WB-species-notes": "<p>We recommend Goat Anti-Rabbit IgG H&amp;L (HRP) (ab6721) secondary antibody.</p>" }, "Mouse": { "IHCP-species-checked": "guaranteed", "IHCP-species-dilution-info": "1/100.00000 - 1/400.00000", "IHCP-species-notes": "<p></p> Perform heat-mediated antigen retrieval before commencing with IHC staining protocol.", "ChIP-species-checked": "guaranteed", "ChIP-species-dilution-info": "", "ChIP-species-notes": "", "ICCIF-species-checked": "guaranteed", "ICCIF-species-dilution-info": "", "ICCIF-species-notes": "", "IP-species-checked": "guaranteed", "IP-species-dilution-info": "5 µg/mL", "IP-species-notes": "<p></p>", "WB-species-checked": "testedAndGuaranteed", "WB-species-dilution-info": "1/1000.00000 - 1/5000.00000", "WB-species-notes": "<p>We recommend Goat Anti-Rabbit IgG H&amp;L (HRP) (ab6721) secondary antibody.</p>" }, "Rat": { "IHCP-species-checked": "guaranteed", "IHCP-species-dilution-info": "1/100.00000 - 1/400.00000", "IHCP-species-notes": "<p></p> Perform heat-mediated antigen retrieval before commencing with IHC staining protocol.", "ChIP-species-checked": "guaranteed", "ChIP-species-dilution-info": "2 µg for 10^6 Cells", "ChIP-species-notes": "<p></p>", "ICCIF-species-checked": "guaranteed", "ICCIF-species-dilution-info": "1 µg/mL", "ICCIF-species-notes": "<p></p>", "IP-species-checked": "guaranteed", "IP-species-dilution-info": "5 µg/mL", "IP-species-notes": "<p></p>", "WB-species-checked": "guaranteed", "WB-species-dilution-info": "1/1000 - 1/5000", "WB-species-notes": "<p>We recommend Goat Anti-Rabbit IgG H&L (HRP) (ab6721) secondary antibody.</p>" }, "Arabidopsis thaliana": { "IHCP-species-checked": "guaranteed", "IHCP-species-dilution-info": "1/100 - 1/400", "IHCP-species-notes": "<p></p> Perform heat-mediated antigen retrieval before commencing with IHC staining protocol.", "ChIP-species-checked": "guaranteed", "ChIP-species-dilution-info": "2 µg for 10^6 Cells", "ChIP-species-notes": "<p></p>", "ICCIF-species-checked": "guaranteed", "ICCIF-species-dilution-info": "1 µg/mL", "ICCIF-species-notes": "<p></p>", "IP-species-checked": "guaranteed", "IP-species-dilution-info": "5 µg/mL", "IP-species-notes": "<p></p>", "WB-species-checked": "guaranteed", "WB-species-dilution-info": "1/1000 - 1/5000", "WB-species-notes": "<p>We recommend Goat Anti-Rabbit IgG H&amp;L (HRP) (ab6721) secondary antibody.</p>" }, "Caenorhabditis elegans": { "IHCP-species-checked": "predicted", "IHCP-species-dilution-info": "", "IHCP-species-notes": "", "ChIP-species-checked": "predicted", "ChIP-species-dilution-info": "", "ChIP-species-notes": "", "ICCIF-species-checked": "predicted", "ICCIF-species-dilution-info": "", "ICCIF-species-notes": "", "IP-species-checked": "predicted", "IP-species-dilution-info": "", "IP-species-notes": "", "WB-species-checked": "predicted", "WB-species-dilution-info": "", "WB-species-notes": "" }, "Candida albicans": { "IHCP-species-checked": "predicted", "IHCP-species-dilution-info": "", "IHCP-species-notes": "", "ChIP-species-checked": "predicted", "ChIP-species-dilution-info": "", "ChIP-species-notes": "", "ICCIF-species-checked": "predicted", "ICCIF-species-dilution-info": "", "ICCIF-species-notes": "", "IP-species-checked": "predicted", "IP-species-dilution-info": "", "IP-species-notes": "", "WB-species-checked": "predicted", "WB-species-dilution-info": "", "WB-species-notes": "" }, "Chicken": { "IHCP-species-checked": "predicted", "IHCP-species-dilution-info": "", "IHCP-species-notes": "", "ChIP-species-checked": "predicted", "ChIP-species-dilution-info": "", "ChIP-species-notes": "", "ICCIF-species-checked": "predicted", "ICCIF-species-dilution-info": "", "ICCIF-species-notes": "", "IP-species-checked": "predicted", "IP-species-dilution-info": "", "IP-species-notes": "", "WB-species-checked": "predicted", "WB-species-dilution-info": "", "WB-species-notes": "" }, "Cyanidioschyzon merolae": { "IHCP-species-checked": "predicted", "IHCP-species-dilution-info": "", "IHCP-species-notes": "", "ChIP-species-checked": "predicted", "ChIP-species-dilution-info": "", "ChIP-species-notes": "", "ICCIF-species-checked": "predicted", "ICCIF-species-dilution-info": "", "ICCIF-species-notes": "", "IP-species-checked": "predicted", "IP-species-dilution-info": "", "IP-species-notes": "", "WB-species-checked": "predicted", "WB-species-dilution-info": "", "WB-species-notes": "" }, "Dictyostelium discoideum": { "IHCP-species-checked": "predicted", "IHCP-species-dilution-info": "", "IHCP-species-notes": "", "ChIP-species-checked": "predicted", "ChIP-species-dilution-info": "", "ChIP-species-notes": "", "ICCIF-species-checked": "predicted", "ICCIF-species-dilution-info": "", "ICCIF-species-notes": "", "IP-species-checked": "predicted", "IP-species-dilution-info": "", "IP-species-notes": "", "WB-species-checked": "predicted", "WB-species-dilution-info": "", "WB-species-notes": "" }, "Dog": { "IHCP-species-checked": "predicted", "IHCP-species-dilution-info": "", "IHCP-species-notes": "", "ChIP-species-checked": "predicted", "ChIP-species-dilution-info": "", "ChIP-species-notes": "", "ICCIF-species-checked": "predicted", "ICCIF-species-dilution-info": "", "ICCIF-species-notes": "", "IP-species-checked": "predicted", "IP-species-dilution-info": "", "IP-species-notes": "", "WB-species-checked": "predicted", "WB-species-dilution-info": "", "WB-species-notes": "" }, "Drosophila melanogaster": { "IHCP-species-checked": "guaranteed", "IHCP-species-dilution-info": "1/100 - 1/400", "IHCP-species-notes": "<p></p> Perform heat-mediated antigen retrieval before commencing with IHC staining protocol.", "ChIP-species-checked": "guaranteed", "ChIP-species-dilution-info": "", "ChIP-species-notes": "", "ICCIF-species-checked": "guaranteed", "ICCIF-species-dilution-info": "", "ICCIF-species-notes": "", "IP-species-checked": "guaranteed", "IP-species-dilution-info": "5 µg/mL", "IP-species-notes": "<p></p>", "WB-species-checked": "testedAndGuaranteed", "WB-species-dilution-info": "1/1000.00000 - 1/5000.00000", "WB-species-notes": "<p>We recommend Goat Anti-Rabbit IgG H&amp;L (HRP) (ab6721) secondary antibody.</p>" }, "Ferret": { "IHCP-species-checked": "predicted", "IHCP-species-dilution-info": "", "IHCP-species-notes": "", "ChIP-species-checked": "predicted", "ChIP-species-dilution-info": "", "ChIP-species-notes": "", "ICCIF-species-checked": "predicted", "ICCIF-species-dilution-info": "", "ICCIF-species-notes": "", "IP-species-checked": "predicted", "IP-species-dilution-info": "", "IP-species-notes": "", "WB-species-checked": "predicted", "WB-species-dilution-info": "", "WB-species-notes": "" }, "Indian muntjac": { "IHCP-species-checked": "guaranteed", "IHCP-species-dilution-info": "1/100 - 1/400", "IHCP-species-notes": "<p></p> Perform heat-mediated antigen retrieval before commencing with IHC staining protocol.", "ChIP-species-checked": "guaranteed", "ChIP-species-dilution-info": "2 µg for 10^6 Cells", "ChIP-species-notes": "<p></p>", "ICCIF-species-checked": "guaranteed", "ICCIF-species-dilution-info": "1 µg/mL", "ICCIF-species-notes": "<p></p>", "IP-species-checked": "guaranteed", "IP-species-dilution-info": "5 µg/mL", "IP-species-notes": "<p></p>", "WB-species-checked": "guaranteed", "WB-species-dilution-info": "1/1000 - 1/5000", "WB-species-notes": "<p>We recommend Goat Anti-Rabbit IgG H&amp;L (HRP) (ab6721) secondary antibody.</p>" }, "Mammals": { "IHCP-species-checked": "predicted", "IHCP-species-dilution-info": "", "IHCP-species-notes": "", "ChIP-species-checked": "predicted", "ChIP-species-dilution-info": "", "ChIP-species-notes": "", "ICCIF-species-checked": "predicted", "ICCIF-species-dilution-info": "", "ICCIF-species-notes": "", "IP-species-checked": "predicted", "IP-species-dilution-info": "", "IP-species-notes": "", "WB-species-checked": "predicted", "WB-species-dilution-info": "", "WB-species-notes": "" }, "Neurospora crassa": { "IHCP-species-checked": "predicted", "IHCP-species-dilution-info": "", "IHCP-species-notes": "", "ChIP-species-checked": "predicted", "ChIP-species-dilution-info": "", "ChIP-species-notes": "", "ICCIF-species-checked": "predicted", "ICCIF-species-dilution-info": "", "ICCIF-species-notes": "", "IP-species-checked": "predicted", "IP-species-dilution-info": "", "IP-species-notes": "", "WB-species-checked": "predicted", "WB-species-dilution-info": "", "WB-species-notes": "" }, "Oncorhynchus mykiss": { "IHCP-species-checked": "predicted", "IHCP-species-dilution-info": "", "IHCP-species-notes": "", "ChIP-species-checked": "predicted", "ChIP-species-dilution-info": "", "ChIP-species-notes": "", "ICCIF-species-checked": "predicted", "ICCIF-species-dilution-info": "", "ICCIF-species-notes": "", "IP-species-checked": "predicted", "IP-species-dilution-info": "", "IP-species-notes": "", "WB-species-checked": "predicted", "WB-species-dilution-info": "", "WB-species-notes": "" }, "Rice": { "IHCP-species-checked": "predicted", "IHCP-species-dilution-info": "", "IHCP-species-notes": "", "ChIP-species-checked": "predicted", "ChIP-species-dilution-info": "", "ChIP-species-notes": "", "ICCIF-species-checked": "predicted", "ICCIF-species-dilution-info": "", "ICCIF-species-notes": "", "IP-species-checked": "predicted", "IP-species-dilution-info": "", "IP-species-notes": "", "WB-species-checked": "predicted", "WB-species-dilution-info": "", "WB-species-notes": "" }, "Saccharomyces cerevisiae": { "IHCP-species-checked": "guaranteed", "IHCP-species-dilution-info": "1/100 - 1/400", "IHCP-species-notes": "<p></p> Perform heat-mediated antigen retrieval before commencing with IHC staining protocol.", "ChIP-species-checked": "guaranteed", "ChIP-species-dilution-info": "", "ChIP-species-notes": "", "ICCIF-species-checked": "guaranteed", "ICCIF-species-dilution-info": "", "ICCIF-species-notes": "", "IP-species-checked": "guaranteed", "IP-species-dilution-info": "5 µg/mL", "IP-species-notes": "<p></p>", "WB-species-checked": "testedAndGuaranteed", "WB-species-dilution-info": "1/1000.00000 - 1/5000.00000", "WB-species-notes": "<p>We recommend Goat Anti-Rabbit IgG H&amp;L (HRP) (ab6721) secondary antibody.</p>" }, "Schistosoma mansoni": { "IHCP-species-checked": "predicted", "IHCP-species-dilution-info": "", "IHCP-species-notes": "", "ChIP-species-checked": "predicted", "ChIP-species-dilution-info": "", "ChIP-species-notes": "", "ICCIF-species-checked": "predicted", "ICCIF-species-dilution-info": "", "ICCIF-species-notes": "", "IP-species-checked": "predicted", "IP-species-dilution-info": "", "IP-species-notes": "", "WB-species-checked": "predicted", "WB-species-dilution-info": "", "WB-species-notes": "" }, "Schizosaccharomyces pombe": { "IHCP-species-checked": "guaranteed", "IHCP-species-dilution-info": "1/100 - 1/400", "IHCP-species-notes": "<p></p> Perform heat-mediated antigen retrieval before commencing with IHC staining protocol.", "ChIP-species-checked": "guaranteed", "ChIP-species-dilution-info": "", "ChIP-species-notes": "", "ICCIF-species-checked": "guaranteed", "ICCIF-species-dilution-info": "", "ICCIF-species-notes": "", "IP-species-checked": "guaranteed", "IP-species-dilution-info": "5 µg/mL", "IP-species-notes": "<p></p>", "WB-species-checked": "testedAndGuaranteed", "WB-species-dilution-info": "1/1000.00000 - 1/5000.00000", "WB-species-notes": "<p>We recommend Goat Anti-Rabbit IgG H&amp;L (HRP) (ab6721) secondary antibody.</p>" }, "Silk worm": { "IHCP-species-checked": "predicted", "IHCP-species-dilution-info": "", "IHCP-species-notes": "", "ChIP-species-checked": "predicted", "ChIP-species-dilution-info": "", "ChIP-species-notes": "", "ICCIF-species-checked": "predicted", "ICCIF-species-dilution-info": "", "ICCIF-species-notes": "", "IP-species-checked": "predicted", "IP-species-dilution-info": "", "IP-species-notes": "", "WB-species-checked": "predicted", "WB-species-dilution-info": "", "WB-species-notes": "" }, "Toxoplasma gondii": { "IHCP-species-checked": "predicted", "IHCP-species-dilution-info": "", "IHCP-species-notes": "", "ChIP-species-checked": "predicted", "ChIP-species-dilution-info": "", "ChIP-species-notes": "", "ICCIF-species-checked": "predicted", "ICCIF-species-dilution-info": "", "ICCIF-species-notes": "", "IP-species-checked": "predicted", "IP-species-dilution-info": "", "IP-species-notes": "", "WB-species-checked": "predicted", "WB-species-dilution-info": "", "WB-species-notes": "" }, "Xenopus laevis": { "IHCP-species-checked": "guaranteed", "IHCP-species-dilution-info": "1/100 - 1/400", "IHCP-species-notes": "<p></p> Perform heat-mediated antigen retrieval before commencing with IHC staining protocol.", "ChIP-species-checked": "guaranteed", "ChIP-species-dilution-info": "2 µg for 10^6 Cells", "ChIP-species-notes": "<p></p>", "ICCIF-species-checked": "guaranteed", "ICCIF-species-dilution-info": "1 µg/mL", "ICCIF-species-notes": "<p></p>", "IP-species-checked": "guaranteed", "IP-species-dilution-info": "5 µg/mL", "IP-species-notes": "<p></p>", "WB-species-checked": "guaranteed", "WB-species-dilution-info": "1/1000 - 1/5000", "WB-species-notes": "<p>We recommend Goat Anti-Rabbit IgG H&L (HRP) (ab6721) secondary antibody.</p>" }, "Zebrafish": { "IHCP-species-checked": "predicted", "IHCP-species-dilution-info": "", "IHCP-species-notes": "", "ChIP-species-checked": "predicted", "ChIP-species-dilution-info": "", "ChIP-species-notes": "", "ICCIF-species-checked": "predicted", "ICCIF-species-dilution-info": "", "ICCIF-species-notes": "", "IP-species-checked": "predicted", "IP-species-dilution-info": "", "IP-species-notes": "", "WB-species-checked": "predicted", "WB-species-dilution-info": "", "WB-species-notes": "" } } }

下記製品もご検討ください

AB176842

Anti-Histone H3 antibody [EPR16987] - Nuclear Marker and ChIP Grade

5
15 Reviews
製品ページを見る
こちらの製品も推奨する理由

私たちは、より高品質な製品をお届けするために、製品構成を常に改善しています。今回ご紹介する代替製品は、性能の向上、使いやすさや利便性の向上、またはより早くお届けできる点などを踏まえて選定しています。

製品の詳細

Anti-Histone H3 antibody - Nuclear Marker and ChIP Grade (ab1791) is a rabbit polyclonal antibody and is validated for use in ChIP, ICC/IF, IHC-P, IP and WB.

Anti-Histone H3 antibody - Nuclear Marker and ChIP Grade (ab1791) was first used in a scientific publication in 1987 and has been cited over 4739 times in peer reviewed journals. It's performance in Western blot and ChIP in human and mouse samples is trusted by the scientific community.

Abcam's high quality validation processes ensure Anti-Histone H3 antibody - Nuclear Marker and ChIP Grade (ab1791) has high sensitivity and specificity.

Anti-Histone H3 antibody - Nuclear Marker and ChIP Grade (ab1791) has 230 independent reviews from customers.

Anti-Histone H3 antibody - Nuclear Marker and ChIP Grade (ab1791) specifically detects Histone H3 (UniProt ID: P68431; Molecular weight: 16kDa) and is sold in 100 µg and 250 µg selling sizes.

Top cited antibody for this target with >5000 citations and >150 five star abreviews. Key marker for researchers studying chromatin structure, epigenetic regulation and histone modifications. This antibody can use used as a control in cancer research, particularly in understanding histone mutations in various tumors and is widely used in studies of gene expression, DNA repair and cell cycle regulation.

出荷温度及び保存条件

製品の状態
Liquid
精製方法
Affinity purification Immunogen
バッファー組成
pH: 7.4 Preservative: 0.02% Sodium azide Constituents: 98.98% PBS, 1% BSA
出荷温度
Blue Ice
短期保存期間
1-2 weeks
短期保存温度
+4°C
長期保存温度
-20°C
分注に関する情報
Upon delivery aliquot
保管に関する情報
Avoid freeze / thaw cycle

補足情報

This supplementary information is collated from multiple sources and compiled automatically.

Histone H3 is a core component of the nucleosome playing an important role in DNA packaging within eukaryotic cells. Often referred to as H3 it has a molecular weight of around 15 kDa. Histone H3 is expressed in the nucleus of nearly all eukaryotic cells where it interacts with DNA and other histone proteins to form chromatin structure. Scientists frequently study histone H3 using techniques like Western blotting and immunohistochemistry utilizing antibodies such as anti-histone or phospho-histone H3 to distinguish post-translational modifications.
Biological function summary

Histone H3 participates in chromatin remodeling and gene transcription regulation. As part of the nucleosome complex it influences DNA accessibility and subsequently gene expression. Through post-translational modifications including methylation and phosphorylation H3 modulates chromatin structure. Common modifications include mono- di- and tri-methylation at various lysine residues like K56 which affect transcriptional activation or repression. These modifications form a part of the histone code a framework for regulating chromatin dynamics and genetic information.

Pathways

Histone H3 modifications are integral to several signaling pathways that modulate gene expression and cellular responses. The histone code interpreted by other proteins such as transcription factors and chromatin remodelers contributes significantly to the regulation of the cell cycle and signal transduction pathways like the MAPK/ERK pathway. H3 interacts closely with regulatory proteins including other histones and transcription machinery to facilitate these complex processes.

Histone H3 modifications are associated with various health conditions including cancer and neurological disorders. Aberrations in histone H3 methylation are linked to oncogenic transformations with disruptions often found in cancer types like glioblastoma and breast cancer. The alterations in H3 also connect to Alzheimer's disease through interactions with other histone modifications and their impact on gene expression patterns critical for neural function. Understanding these modifications helps provide insights into disease mechanisms and potential therapeutic targets.

製品プロトコール

For this product, it's our understanding that no specific protocols are required. You can visit:

ターゲットの情報

The protein expressed by gene H3C1 is a core component of the nucleosome, which is essential for wrapping and compacting DNA into chromatin. This process restricts DNA accessibility to cellular machineries that use DNA as a template. Consequently, histones are central to transcription regulation, DNA repair, DNA replication, and chromosomal stability. DNA accessibility is regulated through a complex set of post-translational modifications of histones, known as the histone code, and through nucleosome remodeling. This supplementary information is collated from multiple sources and compiled automatically.
See full target information H3C1

文献 (4738)

Recent publications for all applications. Explore the full list and refine your search

Genes & development 37:984-997 PubMed37993255

2023

Molecular basis for PHF7-mediated ubiquitination of histone H3.

Applications

Unspecified application

Species

Unspecified reactive species

Hyun Sik Lee,Injin Bang,Junghyun You,Tae-Kyeong Jeong,Chang Rok Kim,Minsang Hwang,Jong-Seo Kim,Sung Hee Baek,Ji-Joon Song,Hee-Jung Choi

Scientific reports 13:22565 PubMed38114530

2023

Sequential deregulation of histone marks, chromatin accessibility and gene expression in response to PROTAC-induced degradation of ASH2L.

Applications

Unspecified application

Species

Unspecified reactive species

Mirna Barsoum,Roksaneh Sayadi-Boroujeni,Alexander T Stenzel,Philip Bussmann,Juliane Lüscher-Firzlaff,Bernhard Lüscher

eLife 12: PubMed38108809

2023

Atlas of intraerythrocytic development using expansion microscopy.

Applications

Unspecified application

Species

Unspecified reactive species

Benjamin Liffner,Ana Karla Cepeda Diaz,James Blauwkamp,David Anaguano,Sonja Frolich,Vasant Muralidharan,Danny W Wilson,Jeffrey D Dvorin,Sabrina Absalon

Cell death & disease 14:837 PubMed38104106

2023

Upregulation of FAM83F by c-Myc promotes cervical cancer growth and aerobic glycolysis via Wnt/β-catenin signaling activation.

Applications

Unspecified application

Species

Unspecified reactive species

Changlin Zhang,Lixiang Liu,Weizhao Li,Mengxiong Li,Xunzhi Zhang,Chi Zhang,Huan Yang,Jiayuan Xie,Wei Pan,Xue Guo,Peng She,Li Zhong,Tian Li

Signal transduction and targeted therapy 8:453 PubMed38097539

2023

Aberrant epithelial cell interaction promotes esophageal squamous-cell carcinoma development and progression.

Applications

Unspecified application

Species

Unspecified reactive species

Liping Chen,Shihao Zhu,Tianyuan Liu,Xuan Zhao,Tao Xiang,Xiao Hu,Chen Wu,Dongxin Lin

Journal of cell science 136: PubMed37997922

2023

DEK oncoprotein participates in heterochromatin replication via SUMO-dependent nuclear bodies.

Applications

Unspecified application

Species

Unspecified reactive species

Agnieszka Pierzynska-Mach,Christina Czada,Christopher Vogel,Eva Gwosch,Xenia Osswald,Denis Bartoschek,Alberto Diaspro,Ferdinand Kappes,Elisa Ferrando-May

Nature communications 14:8238 PubMed38086830

2023

Epigenetic modifications regulate cultivar-specific root development and metabolic adaptation to nitrogen availability in wheat.

Applications

Unspecified application

Species

Unspecified reactive species

Hao Zhang,Zhiyuan Jin,Fa Cui,Long Zhao,Xiaoyu Zhang,Jinchao Chen,Jing Zhang,Yanyan Li,Yongpeng Li,Yanxiao Niu,Wenli Zhang,Caixia Gao,Xiangdong Fu,Yiping Tong,Lei Wang,Hong-Qing Ling,Junming Li,Jun Xiao

Nature communications 14:8200 PubMed38081826

2023

An allele-selective inter-chromosomal protein bridge supports monogenic antigen expression in the African trypanosome.

Applications

Unspecified application

Species

Unspecified reactive species

Joana R C Faria,Michele Tinti,Catarina A Marques,Martin Zoltner,Harunori Yoshikawa,Mark C Field,David Horn

Nature communications 14:8177 PubMed38071198

2023

Harnessing PROTAC technology to combat stress hormone receptor activation.

Applications

Unspecified application

Species

Unspecified reactive species

Mahshid Gazorpak,Karina M Hugentobler,Dominique Paul,Pierre-Luc Germain,Miriam Kretschmer,Iryna Ivanova,Selina Frei,Kei Mathis,Remo Rudolf,Sergio Mompart Barrenechea,Vincent Fischer,Xiaohan Xue,Aleksandra L Ptaszek,Julian Holzinger,Mattia Privitera,Andreas Hierlemann,Onno C Meijer,Robert Konrat,Erick M Carreira,Johannes Bohacek,Katharina Gapp

Nature communications 14:8160 PubMed38071364

2023

Loss of cohesin regulator PDS5A reveals repressive role of Polycomb loops.

Applications

Unspecified application

Species

Unspecified reactive species

Daniel Bsteh,Hagar F Moussa,Georg Michlits,Ramesh Yelagandula,Jingkui Wang,Ulrich Elling,Oliver Bell
View all publications

Abcam product promise

当社は、高品質な試薬を通じてお客様の研究を力強くサポートすることをお約束いたします。ご使用いただく各段階で、常にお客様をサポートできる体制を整えております。万が一、製品が期待通りに機能しない場合は、「Abcam Product Promise」による当社保証制度に基づき、安心してご利用いただけます。
保証に関する詳細については利用規約をご確認ください。

関連製品

Select an associated product type
Alternative Product
Primary Antibodies

AB213257

Anti-Histone H3 antibody [EPR21228] - Nuclear Marker

primary-antibodies

histone-h3-antibody-epr21228-nuclear-marker-ab213257

0

(0 reviews)

Alternative Product
Primary Antibodies

AB201456

Anti-Histone H3 antibody [EPR17785] - Nuclear Marker

primary-antibodies

histone-h3-antibody-epr17785-nuclear-marker-ab201456

4

(5 reviews)

Alternative Product
Primary Antibodies

AB176916

Anti-Histone H3 (tri methyl K9) antibody [EPR16601] - ChIP Grade

primary-antibodies

histone-h3-tri-methyl-k9-antibody-epr16601-chip-grade-ab176916

4

(12 reviews)

Alternative Product
Primary Antibodies

AB32356

Anti-Histone H3 (di methyl K4) antibody [Y47] - ChIP Grade

primary-antibodies

histone-h3-di-methyl-k4-antibody-y47-chip-grade-ab32356

5

(14 reviews)

Alternative Product
Primary Antibodies

AB52946

Anti-Histone H3 (acetyl K14) antibody [EP964Y] - ChIP Grade

primary-antibodies

histone-h3-acetyl-k14-antibody-ep964y-chip-grade-ab52946

5

(12 reviews)

Alternative Product
Primary Antibodies

AB176843

Anti-Histone H3 (citrulline R2) antibody [EPR17703]

primary-antibodies

histone-h3-citrulline-r2-antibody-epr17703-ab176843

5

(1 reviews)

Alternative Product
Primary Antibodies

AB219407

Anti-Histone H3 (citrulline R17) antibody [EPR20358-120]

primary-antibodies

histone-h3-citrulline-r17-antibody-epr20358-120-ab219407

5

(1 reviews)

Alternative Product
Primary Antibodies

AB277918

Alexa Fluor® 488 Anti-Histone H3 (acetyl K14) antibody [EP964Y]

primary-antibodies

alexa-fluor-488-histone-h3-acetyl-k14-antibody-ep964y-ab277918

0

(0 reviews)

Alternative Product
Primary Antibodies

AB277919

Alexa Fluor® 647 Anti-Histone H3 (acetyl K14) antibody [EP964Y]

primary-antibodies

alexa-fluor-647-histone-h3-acetyl-k14-antibody-ep964y-ab277919

0

(0 reviews)

Alternative Product
Primary Antibodies

AB192985

Anti-Histone H3 (tri methyl K27) antibody [EPR18607] - ChIP Grade

primary-antibodies

histone-h3-tri-methyl-k27-antibody-epr18607-chip-grade-ab192985

4

(14 reviews)

Alternative Version
Primary Antibodies

AB21054

HRP Anti-Histone H3 antibody - Nuclear Loading Control

primary-antibodies

hrp-histone-h3-antibody-nuclear-loading-control-ab21054

0

(0 reviews)

Please note: All products are 'FOR RESEARCH USE ONLY. NOT FOR USE IN DIAGNOSTIC OR THERAPEUTIC PROCEDURES'.

For licensing inquiries, please contact partnerships@abcam.com