JavaScript is disabled in your browser. Please enable JavaScript to view this website.
AB11080

Anti-Histone H1.0 抗体 [27]

Anti-Histone H1.0 antibody [27]

5

(1 Review)

|

(9 Publications)

Mouse Monoclonal H1.0 antibody. Suitable for IHC-P, WB and reacts with Human samples. Cited in 9 publications.

別名を表示する

H1F0, H1FV, H1-0, Histone H1.0, Histone H1', Histone H1(0)

5 Images
Immunohistochemistry (Formalin/PFA-fixed paraffin-embedded sections) - Anti-Histone H1.0 antibody [27] (AB11080)
  • IHC-P

Unknown

Immunohistochemistry (Formalin/PFA-fixed paraffin-embedded sections) - Anti-Histone H1.0 antibody [27] (AB11080)

IHC image of Histone H1 staining in a section of formalin-fixed paraffin-embedded [human normal colon]*. The section was pre-treated using pressure cooker heat mediated antigen retrieval with sodium citrate buffer (pH6) for 30mins. The section was then incubated with ab11080, 1/1000 dilution, for 15 mins at room temperature. A goat anti-mouse biotinylated secondary antibody (ab6788, 1/1000 dilution), was used to detect the primary, and visualized using an HRP conjugated ABC system. Streptavidin HRP was used, ab7403 at a 1/10000 dilution. DAB was used as the chromogen (ab103723), diluted 1/100 and incubated for 10min at room temperature. The section was then counterstained with haematoxylin and mounted with DPX. The inset negative control image is taken from an identical assay without primary antibody.

For other IHC staining systems (automated and non-automated) customers should optimize variable parameters such as antigen retrieval conditions, primary antibody concentration and antibody incubation times.

*Tissue obtained from the Human Research Tissue Bank, supported by the NIHR Cambridge Biomedical Research Centre

Western blot - Anti-Histone H1.0 antibody [27] (AB11080)
  • WB

Lab

Western blot - Anti-Histone H1.0 antibody [27] (AB11080)

Lanes 1 - 3 : Merged signal (red and green). Green - ab11080 observed at 30 kDa. Red - loading control ab52866 (Rabbit anti-alpha Tubulin antibody [EP1332Y]) observed at 55 kDa.

ab11080 was shown to react with Histone H1.0 in wild-type A431 cells in Western blot with loss of signal observed in H1F0 knockout sample. Wild-type A431 and H1F0 knockout cell lysates were subjected to SDS-PAGE. Membranes were blocked in 3 % milk in TBS-T (0.1 % Tween®) before incubation with ab11080 and ab52866 (Rabbit anti-alpha Tubulin antibody [EP1332Y]) overnight at 4°C at a 1 in 500 dilution and a 1 in 20000 dilution respectively. Blots were incubated with Goat anti-Mouse IgG H&L (IRDye® 800CW) preabsorbed (ab216772) and Goat anti-Rabbit IgG H&L (IRDye® 680RD) preabsorbed (ab216777) secondary antibodies at 1 in 20000 dilution for 1 h at room temperature before imaging.

All lanes:

Western blot - Anti-Histone H1.0 antibody [27] (ab11080) at 1/500 dilution

Lane 1:

Wild-type A431 cell lysate at 40 µg

Lane 2:

H1F0 knockout A431 cell lysate at 40 µg

Lane 2:

Western blot - Human H1F0 knockout A-431 cell line (<a href='/products/cell-lines/human-h1f0-knockout-a-431-cell-line-ab262478'>ab262478</a>)

Lane 3:

MCF7 (Human breast adenocarcinoma cell line) whole cell lysate at 40 µg

Predicted band size: 21 kDa

Observed band size: 30 kDa

false

Western blot - Anti-Histone H1.0 antibody [27] (AB11080)
  • WB

Project8206****

Western blot - Anti-Histone H1.0 antibody [27] (AB11080)

All lanes:

Western blot - Anti-Histone H1.0 antibody [27] (ab11080) at 1/500 dilution

Lane 1:

HeLa (Human epithelial carcinoma cell line) Whole Cell Lysate at 30 µg

Lane 2:

HeLa (Human epithelial carcinoma cell line) Nuclear Lysate at 30 µg

Lane 3:

Histone H1.0 Human Recombinant Protein at 30 µg

Secondary

All lanes:

Goat polyclonal to Mouse IgG - H&L - Pre-Adsorbed (HRP) at 1/3000 dilution

Predicted band size: 21 kDa

Observed band size: 30 kDa,46 kDa,65 kDa

true

Exposure time: 1min

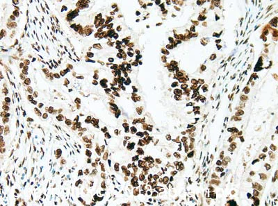
Immunohistochemistry (Formalin/PFA-fixed paraffin-embedded sections) - Anti-Histone H1.0 antibody [27] (AB11080)
  • IHC-P

Unknown

Immunohistochemistry (Formalin/PFA-fixed paraffin-embedded sections) - Anti-Histone H1.0 antibody [27] (AB11080)

IHC image of Histone H1.0 staining in human colon formalin fixed paraffin embedded tissue section*. The section was pre-treated using pressure cooker heat mediated antigen retrieval with sodium citrate buffer (pH6) for 30mins. The section was incubated with ab11080, 7.5μg/ml overnight at +4°C. An HRP-conjugated secondary (ab97240, 1/2000 dilution) was used for 1hr at room temperature. The section was counterstained with haematoxylin and mounted with DPX.

The inset negative control image is secondary-only at 1/500 dilution.

*Tissue obtained from the Human Research Tissue Bank, supported by the NIHR Cambridge Biomedical Research Centre

Immunohistochemistry (Formalin/PFA-fixed paraffin-embedded sections) - Anti-Histone H1.0 antibody [27] (AB11080)
  • IHC-P

Unknown

Immunohistochemistry (Formalin/PFA-fixed paraffin-embedded sections) - Anti-Histone H1.0 antibody [27] (AB11080)

IHC image of Histone H1.0 staining in Human pancreas adenocarcinoma formalin fixed paraffin embedded tissue section, performed on a Leica Bond™ system using the standard protocol F. The section was pre-treated using heat mediated antigen retrieval with sodium citrate buffer (pH6, epitope retrieval solution 1) for 20 mins. The section was then incubated with ab11080, 5μg/ml, for 15 mins at room temperature and detected using an HRP conjugated compact polymer system. DAB was used as the chromogen. The section was then counterstained with haematoxylin and mounted with DPX.

For other IHC staining systems (automated and non-automated) customers should optimize variable parameters such as antigen retrieval conditions, primary antibody concentration and antibody incubation times.

Key facts

宿主種

Mouse

クローン性

Monoclonal

クローン番号

27

アイソタイプ

IgG1

キャリアフリー

No

交差種

Human

アプリケーション

IHC-P, WB

applications

免疫原

The exact immunogen used to generate this antibody is proprietary information.

エピトープ

This antibody recognises an epitope within aa24-30. Proline 26, which is responsible for a bend in this region, plays an important role in the recognition. See Gorka et al. 1998 for more information.

Reactivity data

{ "title": "Reactivity Data", "filters": { "stats": ["", "Species", "Dilution Info", "Notes"], "tabs": { "all-applications": {"fullname" : "All Applications", "shortname": "All Applications"}, "IHCP" : {"fullname" : "Immunohistochemistry (Formalin/PFA-fixed paraffin-embedded sections)", "shortname":"IHC-P"}, "FlowCytIntra" : {"fullname" : "Flow Cytometry (Intracellular)", "shortname":"Flow Cyt (Intra)"}, "WB" : {"fullname" : "Western blot", "shortname":"WB"} }, "product-promise": { "all": "all", "testedAndGuaranteed": "tested", "guaranteed": "expected", "predicted": "predicted", "notRecommended": "not-recommended" } }, "values": { "Human": { "IHCP-species-checked": "testedAndGuaranteed", "IHCP-species-dilution-info": "5 µg/mL", "IHCP-species-notes": "<p></p> Perform heat-mediated antigen retrieval with citrate buffer pH 6 before commencing with IHC staining protocol.", "FlowCytIntra-species-checked": "notRecommended", "FlowCytIntra-species-dilution-info": "", "FlowCytIntra-species-notes": "<p></p>", "WB-species-checked": "testedAndGuaranteed", "WB-species-dilution-info": "1/500", "WB-species-notes": "<p>Linker histones run at about 30kD even though the predicted size is about 20kD.</p>" }, "Mouse": { "IHCP-species-checked": "notRecommended", "IHCP-species-dilution-info": "", "IHCP-species-notes": "", "FlowCytIntra-species-checked": "notRecommended", "FlowCytIntra-species-dilution-info": "", "FlowCytIntra-species-notes": "", "WB-species-checked": "notRecommended", "WB-species-dilution-info": "", "WB-species-notes": "" }, "Rat": { "IHCP-species-checked": "notRecommended", "IHCP-species-dilution-info": "", "IHCP-species-notes": "", "FlowCytIntra-species-checked": "notRecommended", "FlowCytIntra-species-dilution-info": "", "FlowCytIntra-species-notes": "", "WB-species-checked": "notRecommended", "WB-species-dilution-info": "", "WB-species-notes": "" }, "Bird": { "IHCP-species-checked": "notRecommended", "IHCP-species-dilution-info": "5 µg/mL", "IHCP-species-notes": "<p></p> Perform heat-mediated antigen retrieval with citrate buffer pH 6 before commencing with IHC staining protocol.", "FlowCytIntra-species-checked": "notRecommended", "FlowCytIntra-species-dilution-info": "", "FlowCytIntra-species-notes": "", "WB-species-checked": "notRecommended", "WB-species-dilution-info": "1/500", "WB-species-notes": "<p>Linker histones run at about 30kD even though the predicted size is about 20kD.</p>" }, "Cow": { "IHCP-species-checked": "notRecommended", "IHCP-species-dilution-info": "", "IHCP-species-notes": "", "FlowCytIntra-species-checked": "notRecommended", "FlowCytIntra-species-dilution-info": "", "FlowCytIntra-species-notes": "", "WB-species-checked": "notRecommended", "WB-species-dilution-info": "", "WB-species-notes": "" }, "Vertebrata": { "IHCP-species-checked": "notRecommended", "IHCP-species-dilution-info": "", "IHCP-species-notes": "", "FlowCytIntra-species-checked": "notRecommended", "FlowCytIntra-species-dilution-info": "", "FlowCytIntra-species-notes": "", "WB-species-checked": "notRecommended", "WB-species-dilution-info": "", "WB-species-notes": "" }, "Xenopus laevis": { "IHCP-species-checked": "notRecommended", "IHCP-species-dilution-info": "", "IHCP-species-notes": "", "FlowCytIntra-species-checked": "notRecommended", "FlowCytIntra-species-dilution-info": "", "FlowCytIntra-species-notes": "", "WB-species-checked": "notRecommended", "WB-species-dilution-info": "", "WB-species-notes": "" } } }

製品の詳細

Want a custom formulation?
This antibody clone is manufactured by Abcam. If you require a custom buffer formulation or conjugation for your experiments, please contact orders@abcam.com

出荷温度及び保存条件

製品の状態
Liquid
精製方法
Affinity purification
バッファー組成
Preservative: 0.02% Sodium azide Constituents: PBS, 6.97% L-Arginine
出荷温度
Blue Ice
短期保存期間
1-2 weeks
短期保存温度
+4°C
長期保存温度
-20°C
分注に関する情報
Upon delivery aliquot
保管に関する情報
Avoid freeze / thaw cycle

製品プロトコール

For this product, it's our understanding that no specific protocols are required. You can visit:

ターゲットの情報

Histones H1 are necessary for the condensation of nucleosome chains into higher-order structures. The histones H1.0 are found in cells that are in terminal stages of differentiation or that have low rates of cell division.
See full target information H1-0

文献 (9)

Recent publications for all applications. Explore the full list and refine your search

PloS one 11:e0162784 PubMed27611779

2016

CaMKII-Mediated CREB Phosphorylation Is Involved in Ca2+-Induced BDNF mRNA Transcription and Neurite Outgrowth Promoted by Electrical Stimulation.

Applications

WB

Species

Rat

Xiaodong Yan,Juanfang Liu,Zhengxu Ye,Jinghui Huang,Fei He,Wei Xiao,Xueyu Hu,Zhuojing Luo

Biology of reproduction 68:1569-76 PubMed12606334

2003

Mouse oocytes and early embryos express multiple histone H1 subtypes.

Applications

Unspecified application

Species

Unspecified reactive species

Germaine Fu,Parinaz Ghadam,Allen Sirotkin,Saadi Khochbin,Arthur I Skoultchi,Hugh J Clarke

Gene 271:1-12 PubMed11410360

2001

Histone H1 diversity: bridging regulatory signals to linker histone function.

Applications

Unspecified application

Species

Unspecified reactive species

S Khochbin

Journal of cell science 113 ( Pt 16):2897-907 PubMed10910774

2000

Somatic linker histone H1 is present throughout mouse embryogenesis and is not replaced by variant H1 degrees.

Applications

Unspecified application

Species

Unspecified reactive species

P G Adenot,E Campion,E Legouy,C D Allis,S Dimitrov,J Renard,E M Thompson

Methods in molecular biology (Clifton, N.J.) 119:443-54 PubMed10804531

2000

In situ analysis of chromatin proteins during development and cell differentiation using flow cytometry.

Applications

Unspecified application

Species

Unspecified reactive species

D Grunwald,C Gorka,S Curtet,S Khochbin

The Journal of biological chemistry 273:1208-15 PubMed9422788

1998

Differential recognition of histone H10 by monoclonal antibodies during cell differentiation and the arrest of cell proliferation.

Applications

Unspecified application

Species

Unspecified reactive species

C Gorka,M P Brocard,S Curtet,S Khochbin

The International journal of developmental biology 39:597-603 PubMed8619958

1995

Developmentally regulated chromatin acetylation and histone H1(0) accumulation.

Applications

Unspecified application

Species

Unspecified reactive species

D Seigneurin,D Grunwald,J J Lawrence,S Khochbin

Experimental cell research 218:586-95 PubMed7796895

1995

Accumulation of histone H1(0) during early Xenopus laevis development.

Applications

Unspecified application

Species

Unspecified reactive species

D Grunwald,J J Lawrence,S Khochbin

Experimental cell research 217:528-33 PubMed7698253

1995

Variation of H1(0) content throughout the cell cycle in regenerating rat liver.

Applications

Unspecified application

Species

Unspecified reactive species

C Gorka,J J Lawrence,S Khochbin
View all publications

Abcam product promise

当社は、高品質な試薬を通じてお客様の研究を力強くサポートすることをお約束いたします。ご使用いただく各段階で、常にお客様をサポートできる体制を整えております。万が一、製品が期待通りに機能しない場合は、「Abcam Product Promise」による当社保証制度に基づき、安心してご利用いただけます。
保証に関する詳細については利用規約をご確認ください。

関連製品

Select an associated product type
Alternative Product
Primary Antibodies

AB211382

Alexa Fluor® 488 Anti-Histone H1.0 antibody [EPR6537]

primary-antibodies

alexa-fluor-488-histone-h10-antibody-epr6537-ab211382

0

(0 reviews)

Alternative Product
Primary Antibodies

AB125027

Anti-Histone H1.0 antibody [EPR6537]

primary-antibodies

histone-h10-antibody-epr6537-ab125027

0

(0 reviews)

Alternative Product
Primary Antibodies

AB216715

Alexa Fluor® 594 Anti-Histone H1.0 antibody [EPR6537]

primary-antibodies

alexa-fluor-594-histone-h10-antibody-epr6537-ab216715

0

(0 reviews)

Alternative Product
Primary Antibodies

AB134914

Anti-Histone H1.0 antibody [EPR6536]

primary-antibodies

histone-h10-antibody-epr6536-ab134914

5

(1 reviews)

Please note: All products are 'FOR RESEARCH USE ONLY. NOT FOR USE IN DIAGNOSTIC OR THERAPEUTIC PROCEDURES'.

For licensing inquiries, please contact partnerships@abcam.com