JavaScript is disabled in your browser. Please enable JavaScript to view this website.
AB4103

Anti-HHV8 抗体 [LN53]

Anti-HHV8 antibody [LN53]

Be the first to review this product! Submit a review

|

(17 Publications)

Anti-HHV8 antibody [LN53] (ab4103) is a rat monoclonal antibody detecting HHV8 in IHC-P, IHC-Fr. Suitable for Human herpesvirus 8.

- Over 10 publications
- Trusted since 2003

別名を表示する

HHV 8, Human Herpes Virus 8, KSHV, Kaposi's sarcoma associated herpes virus

1 Images
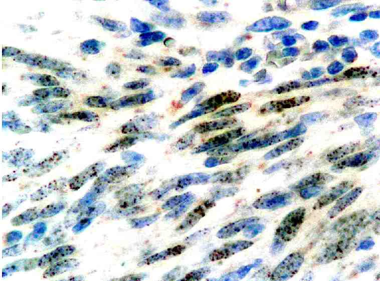
Immunohistochemistry (Formalin/PFA-fixed paraffin-embedded sections) - Anti-HHV8 antibody [LN53] (AB4103)
  • IHC-P

Supplier Data

Immunohistochemistry (Formalin/PFA-fixed paraffin-embedded sections) - Anti-HHV8 antibody [LN53] (AB4103)

Cultured cells infected with HHV8, stained with HHV8 using ABC and DAB chromogen.

Key facts

宿主種

Rat

クローン性

Monoclonal

クローン番号

LN53

アイソタイプ

IgG3

キャリアフリー

No

交差種

Human gammaherpesvirus 8

アプリケーション

IHC-P, IHC-Fr

applications

エピトープ

Located within the ORF-73 region.

特異性

HHV 8 is the likely etiological agent of Kaposi’s sarcoma (KS). HHV 8 encodes a latent nuclear antigen (LNA), which is the product of the viral gene orf 73. LNA is capable of forming a complex with retinoblastoma susceptibility gene product, which may be related to its oncogenic activity.

Reactivity data

{ "title": "Reactivity Data", "filters": { "stats": ["", "Species", "Dilution Info", "Notes"], "tabs": { "all-applications": {"fullname" : "All Applications", "shortname": "All Applications"}, "IHCP" : {"fullname" : "Immunohistochemistry (Formalin/PFA-fixed paraffin-embedded sections)", "shortname":"IHC-P"}, "IHCFr" : {"fullname" : "Immunohistochemistry (Frozen sections)", "shortname":"IHC-Fr"} }, "product-promise": { "all": "all", "testedAndGuaranteed": "tested", "guaranteed": "expected", "predicted": "predicted", "notRecommended": "not-recommended" } }, "values": { "Human gammaherpesvirus 8": { "IHCP-species-checked": "testedAndGuaranteed", "IHCP-species-dilution-info": "1/25 - 1/50", "IHCP-species-notes": "<p>ABC method.</p> Perform heat-mediated antigen retrieval before commencing with IHC staining protocol.", "IHCFr-species-checked": "guaranteed", "IHCFr-species-dilution-info": "1/25 - 1/50", "IHCFr-species-notes": "<p>ABC method.</p>" } } }

製品の詳細

What is this antibody validated in?
Anti-HHV8 antibody [LN53] (ab4103) is a rat monoclonal antibody and is validated for use in Immunohistochemistry (IHC-P), Immunohistochemistry (IHC-Fr) in Human herpesvirus 8 samples.

Trusted by the scientific community
Anti-HHV8 [LN53] (ab4103) was first used in a scientific publication in 2003 and has been cited over 10 times in peer-reviewed journals.

出荷温度及び保存条件

製品の状態
Liquid
精製度
Tissue culture supernatant
バッファー組成
pH: 7.3 - 7.5 Preservative: 0.05% Sodium azide Constituents: Tissue culture supernatant, 1% BSA
出荷温度
Blue Ice
短期保存期間
1-2 weeks
短期保存温度
+4°C
長期保存温度
-20°C
保管に関する情報
Avoid freeze / thaw cycle

補足情報

This supplementary information is collated from multiple sources and compiled automatically.

HHV-8 also known as Human Herpesvirus 8 or Kaposi's Sarcoma-associated herpesvirus (KSHV) is a double-stranded DNA virus with a genome mass of approximately 165 kilobase pairs. It mainly expresses in endothelial cells B lymphocytes and epithelial cells. The virus encodes several proteins that mimic host cell proteins influencing cell regulation and survival. One well-documented tool for detection includes HHV-8 immunostain techniques which assist in identifying viral presence in tissues. Important markers such as LN53 are often used in conjunction with HHV-8 IHC (immunohistochemistry) to facilitate accurate identification and study of this virus's expressions.
Biological function summary

HHV-8 disrupts normal cellular processes by expressing proteins like LANA (latency-associated nuclear antigen) that interfere with host cellular mechanisms. It is known to be part of complex interactions within infected cells chiefly affecting the tumor suppressor pathways. These proteins lead to changes that permit the infected cells to escape immune destruction and continue proliferating unchecked. Despite interventions the virus maintains a dormant state in the host which makes complete eradication difficult.

Pathways

HHV-8 influences two major biological pathways—the p53 signaling pathway and the NF-kB signaling pathway. The virus's interference with the p53 protein which plays a critical role in controlling cell cycle arrest and apoptosis is a major aspect of its pathogenic capacity. Additionally HHV-8 can activate the NF-kB pathway which leads to inflammation and survival signaling encouraging oncogenic transformation. This viral manipulation disrupts normal cellular homeostasis and contributes to disease manifestation.

HHV-8 is strongly associated with Kaposi's sarcoma a vascular tumor affecting the skin and other tissues and primary effusion lymphoma. These diseases are connected to the virus through its interactions with host cellular proteins like p53 and the aforementioned pathways. The LANA protein is significant in Kaposi’s sarcoma pathogenesis by binding to p53 and RB protein inhibiting their tumor suppressor functions. Furthermore HHV-8’s ability to remain latent and resist host immune controls complicates treatment and highlights the importance of understanding its role in disease development.

製品プロトコール

For this product, it's our understanding that no specific protocols are required. You can visit:

ターゲットの情報

See full target information HHV8

文献 (17)

Recent publications for all applications. Explore the full list and refine your search

Frontiers in cellular and infection microbiology 13:1270935 PubMed37928187

2023

Co-infection and co-localization of Kaposi sarcoma-associated herpesvirus and Epstein-Barr virus in HIV-associated Kaposi sarcoma: a case report.

Applications

Unspecified application

Species

Unspecified reactive species

Peter Julius,Guobin Kang,Stepfanie Siyumbwa,Jane Musumali,For Yue Tso,Owen Ngalamika,Trevor Kaile,Fred Maate,Phyllis Moonga,John T West,Peter Angeletti,Charles Wood

Cell death & disease 14:591 PubMed37673880

2023

METTL16 controls Kaposi's sarcoma-associated herpesvirus replication by regulating S-adenosylmethionine cycle.

Applications

Unspecified application

Species

Unspecified reactive species

Xinquan Zhang,Wen Meng,Jian Feng,Xinghong Gao,Chao Qin,Pinghui Feng,Yufei Huang,Shou-Jiang Gao

PLoS pathogens 19:e1010753 PubMed36689549

2023

KSHV infection of endothelial precursor cells with lymphatic characteristics as a novel model for translational Kaposi's sarcoma studies.

Applications

Unspecified application

Species

Unspecified reactive species

Krista Tuohinto,Terri A DiMaio,Elina A Kiss,Pirjo Laakkonen,Pipsa Saharinen,Tara Karnezis,Michael Lagunoff,Päivi M Ojala

Cell reports 37:110144 PubMed34965440

2021

Kaposi's sarcoma herpesvirus activates the hypoxia response to usurp HIF2α-dependent translation initiation for replication and oncogenesis.

Applications

Unspecified application

Species

Unspecified reactive species

Omayra Méndez-Solís,Mourad Bendjennat,Julian Naipauer,Phaedra R Theodoridis,J J David Ho,Ramiro E Verdun,Joshua M Hare,Ethel Cesarman,Stephen Lee,Enrique A Mesri

PLoS pathogens 17:e1009600 PubMed34936683

2021

Kaposi's sarcoma-associated herpesvirus vFLIP promotes MEndT to generate hybrid M/E state for tumorigenesis.

Applications

Unspecified application

Species

Unspecified reactive species

Weikang Chen,Yao Ding,Dawei Liu,Zhengzhou Lu,Yan Wang,Yan Yuan

Frontiers in microbiology 12:778525 PubMed34975802

2021

Dimethyl Sulfoxide Enhances Kaposi's Sarcoma-Associated Herpesvirus Production During Lytic Replication.

Applications

Unspecified application

Species

Unspecified reactive species

Su-Kyung Kang,Myung-Ju Lee,Ho-Hyun Ryu,Jisu Lee,Myung-Shin Lee

Journal of medical virology 93:5065-5075 PubMed33942339

2021

Reversible switching of primary cells between normal and malignant state by oncogenic virus KSHV and CRISPR/Cas9-mediated targeting of a major viral latent protein.

Applications

Unspecified application

Species

Unspecified reactive species

Enguo Ju,Tingting Li,Suzane Ramos da Silva,Ashley Markazi,Shou-Jiang Gao

Proceedings of the National Academy of Sciences of the United States of America 118: PubMed33674386

2021

Kaposi's sarcoma herpesvirus is associated with osteosarcoma in Xinjiang populations.

Applications

Unspecified application

Species

Unspecified reactive species

Qian Chen,Jiangtao Chen,Yuqing Li,Dawei Liu,Yan Zeng,Zheng Tian,Akbar Yunus,Yong Yang,Jie Lu,Xinghua Song,Yan Yuan

PLoS pathogens 17:e1009231 PubMed33471863

2021

Phase separation and DAXX redistribution contribute to LANA nuclear body and KSHV genome dynamics during latency and reactivation.

Applications

Unspecified application

Species

Unspecified reactive species

Olga Vladimirova,Alessandra De Leo,Zhong Deng,Andreas Wiedmer,James Hayden,Paul M Lieberman

Journal of virology 94: PubMed32295923

2020

Kaposi's Sarcoma-Associated Herpesvirus Lytic Replication Is Independent of Anaphase-Promoting Complex Activity.

Applications

Unspecified application

Species

Unspecified reactive species

Endrit Elbasani,Silvia Gramolelli,Thomas Günther,Ildar Gabaev,Adam Grundhoff,Päivi M Ojala
View all publications

Abcam product promise

当社は、高品質な試薬を通じてお客様の研究を力強くサポートすることをお約束いたします。ご使用いただく各段階で、常にお客様をサポートできる体制を整えております。万が一、製品が期待通りに機能しない場合は、「Abcam Product Promise」による当社保証制度に基づき、安心してご利用いただけます。
保証に関する詳細については利用規約をご確認ください。

関連製品

Select an associated product type
Alternative Product
Primary Antibodies

AB267352

Anti-HHV8 antibody [HHV8/3633R]

primary-antibodies

hhv8-antibody-hhv8-3633r-ab267352

0

(0 reviews)

Alternative Product
Primary Antibodies

AB267354

Anti-HHV8 antibody [HHV8/3606]

primary-antibodies

hhv8-antibody-hhv8-3606-ab267354

0

(0 reviews)

Alternative Product
Primary Antibodies

AB267355

Anti-HHV8 antibody [HHV8/3606] - BSA and Azide free

primary-antibodies

hhv8-antibody-hhv8-3606-bsa-and-azide-free-ab267355

0

(0 reviews)

Please note: All products are 'FOR RESEARCH USE ONLY. NOT FOR USE IN DIAGNOSTIC OR THERAPEUTIC PROCEDURES'.

For licensing inquiries, please contact partnerships@abcam.com