JavaScript is disabled in your browser. Please enable JavaScript to view this website.
AB228819

Anti-Hexokinase II 抗体 [EPR20839] - BSA and Azide free

Anti-Hexokinase II antibody [EPR20839] - BSA and Azide free

Be the first to review this product! Submit a review

|

(8 Publications)

Anti-Hexokinase II antibody [EPR20839] - BSA and Azide free (ab228819) is a rabbit recombinant monoclonal antibody provided in a PBS only buffer for easy conjugation. Suitable for Western Blot, Flow Cytometry, IP, IHC-P, ICC/IF in Human, Mouse, Rat.

- KO validated for confirmed specificity
- BSA, sodium azide, and glycerol-free for easy conjugation
- Biophysical QC for unrivalled batch-batch consistency

別名を表示する

Hexokinase-2, Hexokinase type II, Hexokinase-B, Muscle form hexokinase, HK II, HK2

8 Images
Flow Cytometry (Intracellular) - Anti-Hexokinase II antibody [EPR20839] - BSA and Azide free (AB228819)
  • Flow Cyt (Intra)

Unknown

Flow Cytometry (Intracellular) - Anti-Hexokinase II antibody [EPR20839] - BSA and Azide free (AB228819)

Intracellular flow cytometric analysis of 4% paraformaldehyde-fixed, 90% methanol-permeabilized HeLa (human epithelial cell line from cervix adenocarcinoma) cell line labeling Hexokinase II with ab209847 at 1/60 dilution (red) compared with a Rabbit IgG, monoclonal [EPR25A] - Isotype Control (ab172730) (black) and an unlabeled control (cells without incubation with primary antibody and secondary antibody) (blue). Goat Anti-Rabbit IgG H&L (Alexa Fluor® 488) (ab150077) at 1/2000 dilution was used as the secondary antibody.

This data was developed using the same antibody clone in a different buffer formulation containing PBS, BSA, glycerol, and sodium azide (ab209847).

Immunohistochemistry (Formalin/PFA-fixed paraffin-embedded sections) - Anti-Hexokinase II antibody [EPR20839] - BSA and Azide free (AB228819)
  • IHC-P

Supplier Data

Immunohistochemistry (Formalin/PFA-fixed paraffin-embedded sections) - Anti-Hexokinase II antibody [EPR20839] - BSA and Azide free (AB228819)

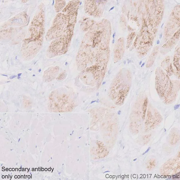
Immunohistochemical analysis of paraffin-embedded human heart tissue labeling Hexokinase II with ab209847 at 1/500 dilution, followed by Goat Anti-Rabbit IgG H&L (HRP) Ready to use. Granularly cytoplasmic staining in human heart (PMID : 4058069; PMID : 26722360) is observed. Counter stained with Hematoxylin.

Secondary antibody only control : Used PBS instead of primary antibody, secondary antibody is Goat Anti-Rabbit IgG H&L (HRP) Ready to use.

This data was developed using the same antibody clone in a different buffer formulation containing PBS, BSA, glycerol, and sodium azide (ab209847).

Perform heat mediated antigen retrieval with Tris/EDTA buffer pH 9.0 before commencing with IHC staining protocol.

Immunocytochemistry/ Immunofluorescence - Anti-Hexokinase II antibody [EPR20839] - BSA and Azide free (AB228819)
  • ICC/IF

Unknown

Immunocytochemistry/ Immunofluorescence - Anti-Hexokinase II antibody [EPR20839] - BSA and Azide free (AB228819)

Clone EPR20839 (ab228819) has been successfully conjugated by Abcam. This image was generated using Anti-Hexokinase II antibody [EPR20839] (Alexa Fluor® 647). Please refer to ab237314 for protocol details.

ab237314 staining Hexokinase II in HeLa cells. The cells were fixed with 4% formaldehyde (10 min), permeabilized with 0.1% Triton X-100 for 5 minutes and then blocked with 1% BSA/10% normal goat serum/0.3M glycine in 0.1% PBS-Tween for 1h. The cells were then incubated overnight at +4°C with ab237314 at 1/1000 dilution (shown in red) and ab195887, Mouse monoclonal to alpha Tubulin (Alexa Fluor® 488), at 1/250 dilution (shown in green). Nuclear DNA was labelled with DAPI (shown in blue).

Image was taken with a confocal microscope (Leica-Microsystems, TCS SP8).

Immunohistochemistry (Formalin/PFA-fixed paraffin-embedded sections) - Anti-Hexokinase II antibody [EPR20839] - BSA and Azide free (AB228819)
  • IHC-P

Supplier Data

Immunohistochemistry (Formalin/PFA-fixed paraffin-embedded sections) - Anti-Hexokinase II antibody [EPR20839] - BSA and Azide free (AB228819)

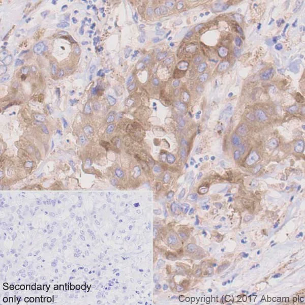
Immunohistochemical analysis of paraffin-embedded human pancreatic adenocarcinoma tissue labeling Hexokinase II with ab209847 at 1/500 dilution, followed by Goat Anti-Rabbit IgG H&L (HRP) Ready to use. Strong cytoplasmic staining in human pancreatic adenocarcinoma (PMID : 26137268) is observed. Counter stained with Hematoxylin.

Secondary antibody only control : Used PBS instead of primary antibody, secondary antibody is Goat Anti-Rabbit IgG H&L (HRP) Ready to use.

This data was developed using the same antibody clone in a different buffer formulation containing PBS, BSA, glycerol, and sodium azide (ab209847).

Perform heat mediated antigen retrieval with Tris/EDTA buffer pH 9.0 before commencing with IHC staining protocol.

Immunocytochemistry/ Immunofluorescence - Anti-Hexokinase II antibody [EPR20839] - BSA and Azide free (AB228819)
  • ICC/IF

Supplier Data

Immunocytochemistry/ Immunofluorescence - Anti-Hexokinase II antibody [EPR20839] - BSA and Azide free (AB228819)

Immunofluorescent analysis of 4% paraformaldehyde-fixed, 0.1% Triton X-100 permeabilized HeLa (human cervix adenocarcinoma epithelial cell) cells labeling Hexokinase II with ab209847 at 1/100 dilution, followed by Goat Anti-Rabbit IgG H&L (Alexa Fluor® 488) (ab150077) secondary antibody at 1/1000 dilution (green). Cytoplasmic staining in HeLa cells.

The nuclear counter stain is DAPI (blue). Tubulin is detected with Anti-alpha Tubulin antibody [DM1A] - Microtubule Marker (Alexa Fluor® 594) (ab195889) (red) at 1/200 dilution.

Secondary antibody only control : Used PBS instead of primary antibody, secondary antibody is Goat Anti-Rabbit IgG H&L (Alexa Fluor® 488) (ab150077) secondary antibody at 1/1000 dilution.

This data was developed using the same antibody clone in a different buffer formulation containing PBS, BSA, glycerol, and sodium azide (ab209847).

Immunoprecipitation - Anti-Hexokinase II antibody [EPR20839] - BSA and Azide free (AB228819)
  • IP

Supplier Data

Immunoprecipitation - Anti-Hexokinase II antibody [EPR20839] - BSA and Azide free (AB228819)

Hexokinase II was immunoprecipitated from 0.35 mg HeLa (humanepithelial cell line from cervix adenocarcinoma) whole cell lysate with ab209847 at 1/30 dilution. Western blot was performed from the immunoprecipitate using ab209847 at 1/1000 dilution. VeriBlot for IP Detection Reagent (HRP) (ab131366), was used for detection at 1/10000 dilution.

Lane 1 : HeLa whole cell lysate 10 μg (Input).
Lane 2 : ab209847 IP in HeLa whole cell lysate.
Lane 3 : Rabbit monoclonal IgG (ab172730) instead of ab209847 in HeLa whole cell lysate.

Exposure time : 30 seconds.

Blocking and dilution buffer and concentration : 5% NFDM/TBST.

This data was developed using the same antibody clone in a different buffer formulation containing PBS, BSA, glycerol, and sodium azide (ab209847).

All lanes:

Immunoprecipitation - Anti-Hexokinase II antibody [EPR20839] (<a href='/products/primary-antibodies/hexokinase-ii-antibody-epr20839-ab209847'>ab209847</a>)

Predicted band size: 102 kDa

Observed band size: 102 kDa

false

Immunocytochemistry/ Immunofluorescence - Anti-Hexokinase II antibody [EPR20839] - BSA and Azide free (AB228819)
  • ICC/IF

Supplier Data

Immunocytochemistry/ Immunofluorescence - Anti-Hexokinase II antibody [EPR20839] - BSA and Azide free (AB228819)

Immunofluorescent analysis of 4% paraformaldehyde-fixed, 0.1% Triton X-100 permeabilized NIH/3T3 (mouse embryonic fibroblast cell line) cells labeling Hexokinase II with ab209847 at 1/100 dilution, followed by Goat Anti-Rabbit IgG H&L (Alexa Fluor® 488) (ab150077) secondary antibody at 1/1000 dilution (green). Cytoplasmic staining in NIH/3T3 cells.

The nuclear counter stain is DAPI (blue). Tubulin is detected with Anti-alpha Tubulin antibody [DM1A] - Microtubule Marker (Alexa Fluor® 594) (ab195889) (red) at 1/200 dilution.

Secondary antibody only control : Used PBS instead of primary antibody, secondary antibody is Goat Anti-Rabbit IgG H&L (Alexa Fluor® 488) (ab150077) secondary antibody at 1/1000 dilution.

This data was developed using the same antibody clone in a different buffer formulation containing PBS, BSA, glycerol, and sodium azide (ab209847).

Western blot - Anti-Hexokinase II antibody [EPR20839] - BSA and Azide free (AB228819)
  • WB

Lab

Western blot - Anti-Hexokinase II antibody [EPR20839] - BSA and Azide free (AB228819)

This data was developed using the same antibody clone in a different buffer formulation (ab209847).

Lanes 1 - 4 : Merged signal (red and green). Green - ab209847 observed at 110 kDa. Red - loading control ab8245 (Mouse anti-GAPDH antibody [6C5]) observed at 37kDa.

ab209847 was shown to react with Hexokinase II in wild-type HEK-293 cells in western blot with loss of signal observed in HK2 knockout sample. Wild-type and HK2 knockout HEK-293 cell lysates were subjected to SDS-PAGE. Membranes were blocked in 3% milk in TBS-T (0.1% Tween®) before incubation with ab209847 and ab8245 (Mouse anti-GAPDH antibody [6C5]) overnight at 4°C at a 1 in 1000 Dilution and a 1 in 20000 dilution respectively. Blots were incubated with Goat anti-Rabbit IgG H&L (IRDye® 800CW) preabsorbed (ab216773) and Goat anti-Mouse IgG H&L (IRDye® 680RD) preabsorbed (ab216776) secondary antibodies at 1 in 20000 dilution for 1 hour at room temperature before imaging.

All lanes:

Western blot - Anti-Hexokinase II antibody [EPR20839] (<a href='/products/primary-antibodies/hexokinase-ii-antibody-epr20839-ab209847'>ab209847</a>) at 1/1000 dilution

Lane 1:

Wild-type HEK-293 (Human epithelial cell line from embryonic kidney) whole cell lysate at 20 µg

Lane 2:

HK2 knockout HEK-293 (Human epithelial cell line from embryonic kidney) whole cell lysate at 20 µg

Lane 2:

Western blot - Human HK2 (Hexokinase II) knockout HEK-293 cell line (<a href='/products/cell-lines/human-hk2-hexokinase-ii-knockout-hek-293-cell-line-ab269485'>ab269485</a>)

Lane 3:

HeLa (Human epithelial cell line from cervix adenocarcinoma) whole cell lysate at 20 µg

Lane 4:

A549 (Human lung carcinoma cell line) whole cell lysate at 20 µg

Predicted band size: 102 kDa

Observed band size: 110 kDa

false

関連する標識済み抗体及び組成の異なる製品 (3)

  • Unconjugated

    Anti-Hexokinase II antibody [EPR20839]

  • HRP

    HRP Anti-Hexokinase II antibody [EPR20839]

  • 665 Alexa Fluor® 647

    Alexa Fluor® 647 Anti-Hexokinase II antibody [EPR20839]

Key facts

宿主種

Rabbit

クローン性

Monoclonal

クローン番号

EPR20839

アイソタイプ

IgG

キャリアフリー

Yes

交差種

Mouse, Rat, Human

アプリケーション

ICC/IF, IP, IHC-P, Flow Cyt (Intra), WB

applications

免疫原

The exact immunogen used to generate this antibody is proprietary information.

Reactivity data

{ "title": "Reactivity Data", "filters": { "stats": ["", "Species", "Dilution Info", "Notes"], "tabs": { "all-applications": {"fullname" : "All Applications", "shortname": "All Applications"}, "ICCIF" : {"fullname" : "Immunocytochemistry/ Immunofluorescence", "shortname":"ICC/IF"}, "IHCP" : {"fullname" : "Immunohistochemistry (Formalin/PFA-fixed paraffin-embedded sections)", "shortname":"IHC-P"}, "IP" : {"fullname" : "Immunoprecipitation", "shortname":"IP"}, "WB" : {"fullname" : "Western blot", "shortname":"WB"}, "FlowCytIntra" : {"fullname" : "Flow Cytometry (Intracellular)", "shortname":"Flow Cyt (Intra)"} }, "product-promise": { "all": "all", "testedAndGuaranteed": "tested", "guaranteed": "expected", "predicted": "predicted", "notRecommended": "not-recommended" } }, "values": { "Human": { "ICCIF-species-checked": "testedAndGuaranteed", "ICCIF-species-dilution-info": "", "ICCIF-species-notes": "<p></p>", "IHCP-species-checked": "testedAndGuaranteed", "IHCP-species-dilution-info": "", "IHCP-species-notes": "<p>Not recommended for rat and mouse tissues.</p> Perform heat-mediated antigen retrieval with Tris/EDTA buffer pH 9.0 before commencing with IHC staining protocol.", "IP-species-checked": "testedAndGuaranteed", "IP-species-dilution-info": "", "IP-species-notes": "<p></p>", "WB-species-checked": "testedAndGuaranteed", "WB-species-dilution-info": "", "WB-species-notes": "<p></p>", "FlowCytIntra-species-checked": "testedAndGuaranteed", "FlowCytIntra-species-dilution-info": "", "FlowCytIntra-species-notes": "<p></p>" }, "Mouse": { "ICCIF-species-checked": "testedAndGuaranteed", "ICCIF-species-dilution-info": "", "ICCIF-species-notes": "<p></p>", "IHCP-species-checked": "notRecommended", "IHCP-species-dilution-info": "", "IHCP-species-notes": "<p></p>", "IP-species-checked": "guaranteed", "IP-species-dilution-info": "", "IP-species-notes": "", "WB-species-checked": "testedAndGuaranteed", "WB-species-dilution-info": "", "WB-species-notes": "<p></p>", "FlowCytIntra-species-checked": "guaranteed", "FlowCytIntra-species-dilution-info": "", "FlowCytIntra-species-notes": "" }, "Rat": { "ICCIF-species-checked": "guaranteed", "ICCIF-species-dilution-info": "", "ICCIF-species-notes": "", "IHCP-species-checked": "notRecommended", "IHCP-species-dilution-info": "", "IHCP-species-notes": "<p></p>", "IP-species-checked": "guaranteed", "IP-species-dilution-info": "", "IP-species-notes": "", "WB-species-checked": "testedAndGuaranteed", "WB-species-dilution-info": "", "WB-species-notes": "<p></p>", "FlowCytIntra-species-checked": "guaranteed", "FlowCytIntra-species-dilution-info": "", "FlowCytIntra-species-notes": "" }, "Recombinant full length protein - Human": { "ICCIF-species-checked": "notRecommended", "ICCIF-species-dilution-info": "", "ICCIF-species-notes": "", "IHCP-species-checked": "notRecommended", "IHCP-species-dilution-info": "", "IHCP-species-notes": "", "IP-species-checked": "notRecommended", "IP-species-dilution-info": "", "IP-species-notes": "", "WB-species-checked": "testedAndGuaranteed", "WB-species-dilution-info": "", "WB-species-notes": "<p></p>", "FlowCytIntra-species-checked": "notRecommended", "FlowCytIntra-species-dilution-info": "", "FlowCytIntra-species-notes": "" } } }

製品の詳細

What is this antibody validated in?
Anti-Hexokinase II antibody [EPR20839] - BSA and Azide free (ab228819) is a rabbit recombinant monoclonal antibody and is validated for use in Western Blot (WB), Flow Cytometry (Intra), Flow Cytometry (Flow Cyt), Immunoprecipitation (IP), Immunohistochemistry (IHC-P), Immunocytochemistry/immunofluorescence (ICC/IF) in Human, Mouse, Rat samples.

What is the molecular weight of Hexokinase II?
Anti-Hexokinase II [EPR20839] - BSA and Azide free (ab228819) specifically detects a band for Hexokinase II (UniProt: P52789) at a molecular weight of 102kDa.

Specificity confirmed
The specificity of Anti-Hexokinase II antibody [EPR20839] - BSA and Azide free (ab228819) has been confirmed by Western blot testing in HK2 Knockout HEK-293 cell line.

Other related products
We have a range of other formats of antibody clone [EPR20839] also available for your convenience: ab209847, Carrier free - ab228819, Alexa Fluor® 647 - ab237314, HRP - ab237315, ab323242, Carrier free - ab323251

Patented technology
Our RabMAb® technology is a patented hybridoma-based technology for making rabbit monoclonal antibodies. For details on our patents, please refer to RabMAb® patents.

What are the advantages of a recombinant monoclonal antibody?
This product is a recombinant monoclonal antibody, which offers several advantages including:

  • - High batch-to-batch consistency and reproducibility
  • - Improved sensitivity and specificity
  • - Long-term security of supply
  • - Animal-free batch production

For more information, read more on recombinant antibodies.

Conjugation ready
Our carrier-free antibodies are typically supplied in a PBS-only formulation, purified and free of BSA, sodium azide and glycerol. This conjugation-ready format is designed for use with fluorochromes, metal isotopes, oligonucleotides, and enzymes, which makes them ideal for antibody labelling, functional and cell-based assays, flow-based assays (e.g. mass cytometry) and Multiplex Imaging applications.

Use our conjugation kits for antibody conjugates that are ready-to-use in as little as 20 minutes with 1 minute hands-on-time and 100% antibody recovery: available for fluorescent dyes, HRP, biotin and gold.

Compatibility
This product is compatible with the Maxpar® Antibody Labeling Kit from Fluidigm, without the need for antibody preparation. Maxpar® is a trademark of Fluidigm Canada Inc.

出荷温度及び保存条件

製品の状態
Liquid
精製方法
Affinity purification Protein A
バッファー組成
pH: 7.2 - 7.4 Constituents: PBS
出荷温度
Blue Ice
短期保存温度
+4°C
長期保存温度
+4°C
保管に関する情報
Do Not Freeze

製品プロトコール

For this product, it's our understanding that no specific protocols are required. You can visit:

ターゲットの情報

Catalyzes the phosphorylation of hexose, such as D-glucose and D-fructose, to hexose 6-phosphate (D-glucose 6-phosphate and D-fructose 6-phosphate, respectively) (PubMed : 23185017, PubMed : 26985301, PubMed : 29298880). Mediates the initial step of glycolysis by catalyzing phosphorylation of D-glucose to D-glucose 6-phosphate (PubMed : 29298880). Plays a key role in maintaining the integrity of the outer mitochondrial membrane by preventing the release of apoptogenic molecules from the intermembrane space and subsequent apoptosis (PubMed : 18350175).
See full target information HK2

文献 (8)

Recent publications for all applications. Explore the full list and refine your search

Nature communications 16:6009 PubMed40593805

2025

Spatial and single cell mapping of castleman disease reveals key stromal cell types and cytokine pathways.

Applications

Unspecified application

Species

Unspecified reactive species

David Smith,Anna Eichinger,Éanna Fennell,Zijun Y Xu-Monette,Andrew Rech,Julia Wang,Eduardo Esteva,Arta Seyedian,Xiaoxu Yang,Mei Zhang,Dan Martinez,Kai Tan,Minjie Luo,Katherine J Young,Paul G Murray,Christopher Park,Boris Reizis,Vinodh Pillai

Heliyon 10:e30959 PubMed38813227

2024

TFAIP6 facilitates hepatocellular carcinoma cell glycolysis through upregulating c-myc/PKM2 axis.

Applications

Unspecified application

Species

Unspecified reactive species

Kecai Duan,Kunpeng Fang,Chengjun Sui

Cell chemical biology 30:1053-1063.e5 PubMed37562406

2023

Genetic activation of glycolysis in osteoblasts preserves bone mass in type I diabetes.

Applications

Unspecified application

Species

Unspecified reactive species

Xing Ji,Rebecca Seeley,Ke Li,Fangfang Song,Xueyang Liao,Chao Song,Marco Angelozzi,Arianna Valeri,Tyler Marmo,Wen-Chih Lee,Yu Shi,Fanxin Long

JCI insight 8: PubMed37166984

2023

T cell metabolic reprogramming in acute kidney injury and protection by glutamine blockade.

Applications

Unspecified application

Species

Unspecified reactive species

Kyungho Lee,Elizabeth A Thompson,Sepideh Gharaie,Chirag H Patel,Johanna T Kurzhagen,Phillip M Pierorazio,Lois J Arend,Ajit G Thomas,Sanjeev Noel,Barbara S Slusher,Hamid Rabb

Cell reports 34:108863 PubMed33691089

2021

Metabolic programs define dysfunctional immune responses in severe COVID-19 patients.

Applications

Unspecified application

Species

Unspecified reactive species

Elizabeth A Thompson,Katherine Cascino,Alvaro A Ordonez,Weiqiang Zhou,Ajay Vaghasia,Anne Hamacher-Brady,Nathan R Brady,Im-Hong Sun,Rulin Wang,Avi Z Rosenberg,Michael Delannoy,Richard Rothman,Katherine Fenstermacher,Lauren Sauer,Kathyrn Shaw-Saliba,Evan M Bloch,Andrew D Redd,Aaron A R Tobian,Maureen Horton,Kellie Smith,Andrew Pekosz,Franco R D'Alessio,Srinivasan Yegnasubramanian,Hongkai Ji,Andrea L Cox,Jonathan D Powell

medRxiv : the preprint server for health sciences : PubMed32935120

2020

Metabolic programs define dysfunctional immune responses in severe COVID-19 patients.

Applications

Unspecified application

Species

Unspecified reactive species

Elizabeth A Thompson,Katherine Cascino,Alvaro A Ordonez,Weiqiang Zhou,Ajay Vaghasia,Anne Hamacher-Brady,Nathan R Brady,Im-Hong Sun,Rulin Wang,Avi Z Rosenberg,Michael Delannoy,Richard Rothman,Katherine Fenstermacher,Lauren Sauer,Kathyrn Shaw-Saliba,Evan M Bloch,Andrew D Redd,Aaron Ar Tobian,Maureen Horton,Kellie Smith,Andrew Pekosz,Franco R D'Alessio,Srinivasan Yegnasubramanian,Hongkai Ji,Andrea L Cox,Jonathan D Powell

Experimental and therapeutic medicine 20:572-580 PubMed32537015

2020

MicroRNA-513a-3p regulates colorectal cancer cell metabolism via targeting hexokinase 2.

Applications

Unspecified application

Species

Unspecified reactive species

Chen Li,Zhijin Yu,Jinpeng Ye

Cell 179:1483-1498.e22 PubMed31813625

2019

Metabolic Control of Astrocyte Pathogenic Activity via cPLA2-MAVS.

Applications

Unspecified application

Species

Unspecified reactive species

Chun-Cheih Chao,Cristina Gutiérrez-Vázquez,Veit Rothhammer,Lior Mayo,Michael A Wheeler,Emily C Tjon,Stephanie E J Zandee,Manon Blain,Kalil Alves de Lima,Maisa C Takenaka,Julian Avila-Pacheco,Patrick Hewson,Lei Liu,Liliana M Sanmarco,Davis M Borucki,Gabriel Z Lipof,Sunia A Trauger,Clary B Clish,Jack P Antel,Alexandre Prat,Francisco J Quintana
View all publications

Abcam product promise

当社は、高品質な試薬を通じてお客様の研究を力強くサポートすることをお約束いたします。ご使用いただく各段階で、常にお客様をサポートできる体制を整えております。万が一、製品が期待通りに機能しない場合は、「Abcam Product Promise」による当社保証制度に基づき、安心してご利用いただけます。
保証に関する詳細については利用規約をご確認ください。

Please note: All products are 'FOR RESEARCH USE ONLY. NOT FOR USE IN DIAGNOSTIC OR THERAPEUTIC PROCEDURES'.

For licensing inquiries, please contact partnerships@abcam.com