JavaScript is disabled in your browser. Please enable JavaScript to view this website.
AB315884

Anti-HDAC11/HD11 抗体 [EPR26890-83] - BSA and Azide free

Anti-HDAC11/HD11 antibody [EPR26890-83] - BSA and Azide free

Be the first to review this product! Submit a review

|

(0 Publication)

Rabbit Recombinant Monoclonal HDAC11/HD11 antibody. Carrier free. Suitable for WB, ChIP-seq, IP and reacts with Mouse, Rat samples.

別名を表示する

Histone deacetylase 11, HD11, Hdac11

6 Images
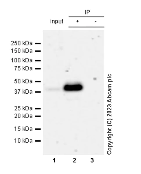
Immunoprecipitation - Anti-HDAC11/HD11 antibody [EPR26890-83] - BSA and Azide free (AB315884)
  • IP

Supplier Data

Immunoprecipitation - Anti-HDAC11/HD11 antibody [EPR26890-83] - BSA and Azide free (AB315884)

This data was developed using ab315883, the same antibody clone in a different buffer formulation.

HDAC11/HD11 was immunoprecipitated from 0.35 mg MEF (mouse embryo fibroblast) whole cell lysate with ab315883 at 1/30 dilution (2ug in 0.35mg lysates). Western blot was performed on the immunoprecipitate using ab315883 at 1/1000 dilution. VeriBlot for IP secondary antibody(HRP)(ab131366) was used at 1/5000 dilution.

Lane 1 : MEF (mouse embryo fibroblast) whole cell lysate
Lane 2 : ab315883 IP in MEF (mouse embryo fibroblast) whole cell lysate
Lane 3 : Rabbit monoclonal IgG (ab172730) instead of ab315883 in MEF whole cell lysate

All lanes:

Immunoprecipitation - Anti-HDAC11/HD11 antibody [EPR26890-83] (<a href='/products/primary-antibodies/hdac11-hd11-antibody-epr26890-83-ab315883'>ab315883</a>) at 1/30 dilution

All lanes:

MEF (mouse embryo fibroblast) whole cell lysate

Secondary

All lanes:

Immunoprecipitation - VeriBlot for IP Detection Reagent (HRP) (<a href='/products/reagents/veriblot-for-ip-detection-reagent-hrp-ab131366'>ab131366</a>) at 1/5000 dilution

false

Exposure time: 180s

Immunoprecipitation - Anti-HDAC11/HD11 antibody [EPR26890-83] - BSA and Azide free (AB315884)
  • IP

Supplier Data

Immunoprecipitation - Anti-HDAC11/HD11 antibody [EPR26890-83] - BSA and Azide free (AB315884)

This data was developed using ab315883, the same antibody clone in a different buffer formulation.

HDAC11/HD11 was immunoprecipitated from 0.35 mg Mouse brain tissue lysate with ab315883 at 1/30 dilution (2ug in 0.35mg lysates). Western blot was performed on the immunoprecipitate using ab315883 at 1/1000 dilution. VeriBlot for IP secondary antibody(HRP)(ab131366) was used at 1/5000 dilution.

Lane 1 : Mouse brain tissue lysate
Lane 2 : ab315883 IP in Mouse brain tissue lysate
Lane 3 : Rabbit monoclonal IgG (ab172730) instead of ab315883 in mouse brain tissue lysate

All lanes:

Immunoprecipitation - Anti-HDAC11/HD11 antibody [EPR26890-83] (<a href='/products/primary-antibodies/hdac11-hd11-antibody-epr26890-83-ab315883'>ab315883</a>) at 1/30 dilution

All lanes:

Mouse brain tissue lysate

Secondary

All lanes:

Immunoprecipitation - VeriBlot for IP Detection Reagent (HRP) (<a href='/products/reagents/veriblot-for-ip-detection-reagent-hrp-ab131366'>ab131366</a>) at 1/5000 dilution

false

Exposure time: 180s

ChIP-sequencing - Anti-HDAC11/HD11 antibody [EPR26890-83] - BSA and Azide free (AB315884)
  • ChIP-seq

Supplier Data

ChIP-sequencing - Anti-HDAC11/HD11 antibody [EPR26890-83] - BSA and Azide free (AB315884)

This data was developed using ab315883, the same antibody clone in a different buffer formulation.

ChIP-sequencing - Anti-HDAC11/HD11 antibody [EPR26890-83] (ab315883)

Chromatin was prepared from MEF (mouse embryo fibroblast) cells. Cells were fixed with 1% formaldehyde for 10 minutes. ChIP was performed with 10^7 cells and 8 µg of ab315883 [EPR26890-83]. ChIP DNA was sequenced on the Illumina NovaSeq 6000 to a depth of 30 million reads. The Input control is also shown.

ChIP-sequencing - Anti-HDAC11/HD11 antibody [EPR26890-83] - BSA and Azide free (AB315884)
  • ChIP-seq

Supplier Data

ChIP-sequencing - Anti-HDAC11/HD11 antibody [EPR26890-83] - BSA and Azide free (AB315884)

This data was developed using ab315883, the same antibody clone in a different buffer formulation.

ChIP-sequencing - Anti-HDAC11/HD11 antibody [EPR26890-83] (ab315883)

Chromatin was prepared from MEF (mouse embryo fibroblast) cells. Cells were fixed with 1% formaldehyde for 10 minutes. ChIP was performed with 10^7 cells and 8 µg of ab315883 [EPR26890-83]. ChIP DNA was sequenced on the Illumina NovaSeq 6000 to a depth of 30 million reads. The Input control is also shown.

ChIP-sequencing - Anti-HDAC11/HD11 antibody [EPR26890-83] - BSA and Azide free (AB315884)
  • ChIP-seq

Supplier Data

ChIP-sequencing - Anti-HDAC11/HD11 antibody [EPR26890-83] - BSA and Azide free (AB315884)

This data was developed using ab315883, the same antibody clone in a different buffer formulation.

ChIP-sequencing - Anti-HDAC11/HD11 antibody [EPR26890-83] (ab315883)

Chromatin was prepared from MEF (mouse embryo fibroblast) cells. Cells were fixed with 1% formaldehyde for 10 minutes. ChIP was performed with 10^7 cells and 8 µg of ab315883 [EPR26890-83]. ChIP DNA was sequenced on the Illumina NovaSeq 6000 to a depth of 30 million reads. The Input control is also shown.

Western blot - Anti-HDAC11/HD11 antibody [EPR26890-83] - BSA and Azide free (AB315884)
  • WB

Supplier Data

Western blot - Anti-HDAC11/HD11 antibody [EPR26890-83] - BSA and Azide free (AB315884)

This data was developed using ab315883, the same antibody clone in a different buffer formulation.

Low expression : liver, spleen (PMID : 11948178)

The identity of the lower MW band below 39kDa is unknow.

The identity of the higher MW band at approximately 200kDa in lane 1 and lane 4 is unknown.

Lysate was freshly made and used for Western blotting immediately to minimize protein degradation.

In Western blot, Anti-GAPDH antibody [EPR16891] - Loading Control (ab181602) staining at 1/200000 dilution.

All lanes:

Western blot - Anti-HDAC11/HD11 antibody [EPR26890-83] (<a href='/products/primary-antibodies/hdac11-hd11-antibody-epr26890-83-ab315883'>ab315883</a>) at 1/1000 dilution

Lane 1:

Rat brain tissue lysate at 20 µg

Lane 2:

Rat liver tissue lysate at 20 µg

Lane 3:

Rat spleen tissue lysate at 20 µg

Lane 4:

Mouse brain tissue lysate at 20 µg

Lane 5:

Mouse liver tissue lysate at 20 µg

Lane 6:

Mouse spleen tissue lysate at 20 µg

Lane 7:

MEF (mouse embryo fibroblast) whole cell lysate at 20 µg

Secondary

All lanes:

Western blot - Goat Anti-Rabbit IgG H&L (HRP) (<a href='/products/secondary-antibodies/goat-rabbit-igg-h-l-hrp-ab97051'>ab97051</a>) at 1/20000 dilution

Observed band size: 39 kDa,36 kDa

false

Exposure time: 180s

関連する標識済み抗体及び組成の異なる製品 (1)

Key facts

宿主種

Rabbit

クローン性

Monoclonal

クローン番号

EPR26890-83

アイソタイプ

IgG

キャリアフリー

Yes

交差種

Mouse, Rat

アプリケーション

ChIP-seq, IP, WB

applications

免疫原

The exact immunogen used to generate this antibody is proprietary information.

Reactivity data

{ "title": "Reactivity Data", "filters": { "stats": ["", "Species", "Dilution Info", "Notes"], "tabs": { "all-applications": {"fullname" : "All Applications", "shortname": "All Applications"}, "WB" : {"fullname" : "Western blot", "shortname":"WB"}, "ChIPseq" : {"fullname" : "ChIP-sequencing", "shortname":"ChIP-seq"}, "IP" : {"fullname" : "Immunoprecipitation", "shortname":"IP"}, "IHCP" : {"fullname" : "Immunohistochemistry (Formalin/PFA-fixed paraffin-embedded sections)", "shortname":"IHC-P"}, "FlowCytIntra" : {"fullname" : "Flow Cytometry (Intracellular)", "shortname":"Flow Cyt (Intra)"}, "ICCIF" : {"fullname" : "Immunocytochemistry/ Immunofluorescence", "shortname":"ICC/IF"} }, "product-promise": { "all": "all", "testedAndGuaranteed": "tested", "guaranteed": "expected", "predicted": "predicted", "notRecommended": "not-recommended" } }, "values": { "Human": { "WB-species-checked": "notRecommended", "WB-species-dilution-info": "", "WB-species-notes": "<p></p>", "ChIPseq-species-checked": "notRecommended", "ChIPseq-species-dilution-info": "", "ChIPseq-species-notes": "", "IP-species-checked": "notRecommended", "IP-species-dilution-info": "", "IP-species-notes": "", "IHCP-species-checked": "notRecommended", "IHCP-species-dilution-info": "", "IHCP-species-notes": "<p></p>", "FlowCytIntra-species-checked": "notRecommended", "FlowCytIntra-species-dilution-info": "", "FlowCytIntra-species-notes": "<p></p>", "ICCIF-species-checked": "notRecommended", "ICCIF-species-dilution-info": "", "ICCIF-species-notes": "<p></p>" }, "Mouse": { "WB-species-checked": "testedAndGuaranteed", "WB-species-dilution-info": "", "WB-species-notes": "<p>HDAC11 is a protein featuring high lability, with a half-life of approximately 4 hours. Consequently, it is easy to observe multiple bands of this protein in western blot analysis (PMID: 31746627).</p>", "ChIPseq-species-checked": "testedAndGuaranteed", "ChIPseq-species-dilution-info": "", "ChIPseq-species-notes": "<p></p>", "IP-species-checked": "testedAndGuaranteed", "IP-species-dilution-info": "", "IP-species-notes": "<p></p>", "IHCP-species-checked": "notRecommended", "IHCP-species-dilution-info": "", "IHCP-species-notes": "<p></p>", "FlowCytIntra-species-checked": "notRecommended", "FlowCytIntra-species-dilution-info": "", "FlowCytIntra-species-notes": "<p></p>", "ICCIF-species-checked": "notRecommended", "ICCIF-species-dilution-info": "", "ICCIF-species-notes": "<p></p>" }, "Rat": { "WB-species-checked": "testedAndGuaranteed", "WB-species-dilution-info": "", "WB-species-notes": "<p>HDAC11 is a protein featuring high lability, with a half-life of approximately 4 hours. Consequently, it is easy to observe multiple bands of this protein in western blot analysis (PMID: 31746627).</p>", "ChIPseq-species-checked": "guaranteed", "ChIPseq-species-dilution-info": "", "ChIPseq-species-notes": "", "IP-species-checked": "guaranteed", "IP-species-dilution-info": "", "IP-species-notes": "", "IHCP-species-checked": "notRecommended", "IHCP-species-dilution-info": "", "IHCP-species-notes": "<p></p>", "FlowCytIntra-species-checked": "notRecommended", "FlowCytIntra-species-dilution-info": "", "FlowCytIntra-species-notes": "", "ICCIF-species-checked": "notRecommended", "ICCIF-species-dilution-info": "", "ICCIF-species-notes": "" } } }

製品の詳細

ab315884 is the carrier-free version of ab315883.

Patented technology
Our RabMAb® technology is a patented hybridoma-based technology for making rabbit monoclonal antibodies. For details on our patents, please refer to RabMAb® patents.

What are the advantages of a recombinant monoclonal antibody?
This product is a recombinant monoclonal antibody, which offers several advantages including:

  • - High batch-to-batch consistency and reproducibility
  • - Improved sensitivity and specificity
  • - Long-term security of supply
  • - Animal-free batch production

For more information, read more on recombinant antibodies.

Conjugation ready
Our carrier-free antibodies are typically supplied in a PBS-only formulation, purified and free of BSA, sodium azide and glycerol. This conjugation-ready format is designed for use with fluorochromes, metal isotopes, oligonucleotides, and enzymes, which makes them ideal for antibody labelling, functional and cell-based assays, flow-based assays (e.g. mass cytometry) and Multiplex Imaging applications.

Use our conjugation kits for antibody conjugates that are ready-to-use in as little as 20 minutes with 1 minute hands-on-time and 100% antibody recovery: available for fluorescent dyes, HRP, biotin and gold.

Compatibility
This product is compatible with the Maxpar® Antibody Labeling Kit from Fluidigm, without the need for antibody preparation. Maxpar® is a trademark of Fluidigm Canada Inc.

出荷温度及び保存条件

製品の状態
Liquid
精製方法
Affinity purification Protein A
バッファー組成
pH: 7.2 - 7.4 Constituents: PBS
出荷温度
Blue Ice
短期保存温度
+4°C
長期保存温度
+4°C

補足情報

This supplementary information is collated from multiple sources and compiled automatically.

HDAC11 also known as HD11 is a unique member of the histone deacetylase family. HDAC11 is an enzyme involved in removing acetyl groups from lysine residues on histone tails affecting chromatin structure and gene expression. It has a molecular mass of approximately 39 kDa. You can find HDAC11 expressed in various tissues but it shows higher expression levels in brain heart skeletal muscles and kidneys indicating its significance in these organs.
Biological function summary

HDAC11 participates in the regulation of gene expression by modulating histone acetylation levels. It often functions as a part of large protein complexes that include other histone deacetylases and transcriptional co-repressors. By altering acetylation status HDAC11 can influence epigenetic regulation and thereby affect numerous cellular processes such as cell cycle progression differentiation and apoptosis. Its activity contributes to maintaining cellular homeostasis.

Pathways

HDAC11 plays a role in key signaling pathways such as the DNA damage response and inflammatory pathways. In the DNA damage response pathway HDAC11 interacts with proteins like HDAC1 and HDAC2 which are essential for DNA repair processes. Additionally in inflammatory pathways HDAC11 regulates cytokine expression and immune cell function highlighting its role in immune response modulation.

Researchers have linked HDAC11 to cancer and autoimmune diseases. Its abnormal expression or activity has associations with various cancer types including brain and kidney cancers where it potentially influences tumor progression through interaction with proteins like p53. In autoimmune diseases HDAC11 affects immune cell regulation and cytokine production interacting with immune-related proteins which may contribute to disease development and progression.

製品プロトコール

For this product, it's our understanding that no specific protocols are required. You can visit:

ターゲットの情報

Responsible for the deacetylation of lysine residues on the N-terminal part of the core histones (H2A, H2B, H3 and H4). Histone deacetylation gives a tag for epigenetic repression and plays an important role in transcriptional regulation, cell cycle progression and developmental events. Histone deacetylases act via the formation of large multiprotein complexes (By similarity).
See full target information Hdac11

Abcam product promise

当社は、高品質な試薬を通じてお客様の研究を力強くサポートすることをお約束いたします。ご使用いただく各段階で、常にお客様をサポートできる体制を整えております。万が一、製品が期待通りに機能しない場合は、「Abcam Product Promise」による当社保証制度に基づき、安心してご利用いただけます。
保証に関する詳細については利用規約をご確認ください。

Please note: All products are 'FOR RESEARCH USE ONLY. NOT FOR USE IN DIAGNOSTIC OR THERAPEUTIC PROCEDURES'.

For licensing inquiries, please contact partnerships@abcam.com