JavaScript is disabled in your browser. Please enable JavaScript to view this website.
AB227865

Anti-GRP78 BiP 抗体

Anti-GRP78 BiP antibody

Be the first to review this product! Submit a review

|

(5 Publications)

Rabbit Polyclonal GRP78 BiP antibody. Suitable for WB, IHC-P, ICC/IF and reacts with Mouse, Rat, Human samples. Cited in 5 publications. Immunogen corresponding to Recombinant Fragment Protein within Human HSPA5.

別名を表示する

GRP78, HSPA5, Endoplasmic reticulum chaperone BiP, 78 kDa glucose-regulated protein, Binding-immunoglobulin protein, Heat shock protein 70 family protein 5, Heat shock protein family A member 5, Immunoglobulin heavy chain-binding protein, GRP-78, BiP, HSP70 family protein 5

12 Images
Immunocytochemistry/ Immunofluorescence - Anti-GRP78 BiP antibody (AB227865)
  • ICC/IF

Supplier Data

Immunocytochemistry/ Immunofluorescence - Anti-GRP78 BiP antibody (AB227865)

Immunofluorescence analysis of ice-cold MeOH fixed HeLa cells labelling Grp78 protein at cytoplasm using ab227865 at a 1/500 dilution for 5 min (Green). The nuclear counter stain is Hoechst 33342 (Blue).

Immunohistochemistry (Formalin/PFA-fixed paraffin-embedded sections) - Anti-GRP78 BiP antibody (AB227865)
  • IHC-P

Supplier Data

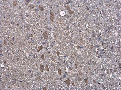
Immunohistochemistry (Formalin/PFA-fixed paraffin-embedded sections) - Anti-GRP78 BiP antibody (AB227865)

Paraffin-embedded rat brain tissue stained for GRP78 BiP using ab227865 at 1/250 dilution in immunohistochemical analysis.

Immunohistochemistry (Formalin/PFA-fixed paraffin-embedded sections) - Anti-GRP78 BiP antibody (AB227865)
  • IHC-P

Supplier Data

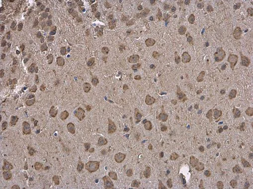
Immunohistochemistry (Formalin/PFA-fixed paraffin-embedded sections) - Anti-GRP78 BiP antibody (AB227865)

Paraffin-embedded mouse brain tissue stained for GRP78 BiP using ab227865 at 1/250 dilution in immunohistochemical analysis.

Immunocytochemistry/ Immunofluorescence - Anti-GRP78 BiP antibody (AB227865)
  • ICC/IF

Supplier Data

Immunocytochemistry/ Immunofluorescence - Anti-GRP78 BiP antibody (AB227865)

Immunofluorescence analysis of 4% paraformaldehyde fixed DIV10 rat E18 primary cortical neuron cells labelling Grp78 protein using ab227865 at a 1/500 dilution at RT for 15 min (Green). Tau was stained with anti-Tau antibody at a 1/500 dilution (Red). The nuclear counter stain is DAPI (Blue).

Immunohistochemistry (Formalin/PFA-fixed paraffin-embedded sections) - Anti-GRP78 BiP antibody (AB227865)
  • IHC-P

Supplier Data

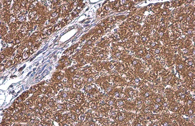
Immunohistochemistry (Formalin/PFA-fixed paraffin-embedded sections) - Anti-GRP78 BiP antibody (AB227865)

Paraffin-embedded rat liver tissue stained for Grp78 protein at cytoplasm with ab227865 at a 1/500 dilution in immunohistochemical analysis.

Antigen Retrieval : Citrate buffer, pH 6.0, 15 min.

Immunohistochemistry (Formalin/PFA-fixed paraffin-embedded sections) - Anti-GRP78 BiP antibody (AB227865)
  • IHC-P

Supplier Data

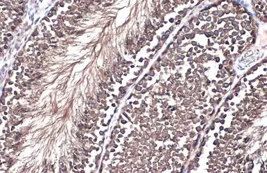
Immunohistochemistry (Formalin/PFA-fixed paraffin-embedded sections) - Anti-GRP78 BiP antibody (AB227865)

Paraffin-embedded mouse testis tissue stained for Grp78 protein at cytoplasm with ab227865 at a 1/500 dilution in immunohistochemical analysis.

Antigen Retrieval : Citrate buffer, pH 6.0, 15 min.

Immunohistochemistry (Formalin/PFA-fixed paraffin-embedded sections) - Anti-GRP78 BiP antibody (AB227865)
  • IHC-P

Supplier Data

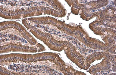
Immunohistochemistry (Formalin/PFA-fixed paraffin-embedded sections) - Anti-GRP78 BiP antibody (AB227865)

Paraffin-embedded rat duodenum tissue stained for Grp78 protein at cytoplasm with ab227865 at a 1/500 dilution in immunohistochemical analysis.

Antigen Retrieval : Citrate buffer, pH 6.0, 15 min.

Immunohistochemistry (Formalin/PFA-fixed paraffin-embedded sections) - Anti-GRP78 BiP antibody (AB227865)
  • IHC-P

Supplier Data

Immunohistochemistry (Formalin/PFA-fixed paraffin-embedded sections) - Anti-GRP78 BiP antibody (AB227865)

Paraffin-embedded mouse intestine tissue stained for Grp78 protein at cytoplasm with ab227865 at a 1/500 dilution in immunohistochemical analysis.

Antigen Retrieval : Citrate buffer, pH 6.0, 15 min.

Western blot - Anti-GRP78 BiP antibody (AB227865)
  • WB

Supplier Data

Western blot - Anti-GRP78 BiP antibody (AB227865)

Samples were separated by 7.5% SDS-PAGE. Corresponding RNA expression data for the same cell lines are based on Human Protein Atlas program.

All lanes:

Western blot - Anti-GRP78 BiP antibody (ab227865) at 1/10000 dilution

Lane 1:

HeLa whole cell extracts at 30 µg

Lane 2:

HepG2 whole cell extracts at 30 µg

Secondary

All lanes:

HRP-conjugated anti-rabbit IgG antibody

Predicted band size: 72 kDa

false

Western blot - Anti-GRP78 BiP antibody (AB227865)
  • WB

Supplier Data

Western blot - Anti-GRP78 BiP antibody (AB227865)

7.5% SDS PAGE gel.

All lanes:

Western blot - Anti-GRP78 BiP antibody (ab227865) at 1/10000 dilution

Lane 1:

Non-transfected HepG2 (human liver hepatocellular carcinoma cell line) whole cell extract at 30 µg

Lane 2:

GRP78 BiP shRNA transfected HepG2 (human liver hepatocellular carcinoma cell line) whole cell extract at 30 µg

Secondary

All lanes:

HRP-conjugated anti-rabbit IgG

Predicted band size: 72 kDa

false

Western blot - Anti-GRP78 BiP antibody (AB227865)
  • WB

Supplier Data

Western blot - Anti-GRP78 BiP antibody (AB227865)

7.5% SDS PAGE gel.

All lanes:

Western blot - Anti-GRP78 BiP antibody (ab227865) at 1/10000 dilution

Lane 1:

PC-12 (rat adrenal gland pheochromocytoma) whole cell extract at 30 µg

Lane 2:

Rat2 (rat fibroblast cell line) whole cell extract at 30 µg

Secondary

All lanes:

HRP-conjugated anti-rabbit IgG

Predicted band size: 72 kDa

false

Western blot - Anti-GRP78 BiP antibody (AB227865)
  • WB

Supplier Data

Western blot - Anti-GRP78 BiP antibody (AB227865)

7.5% SDS PAGE gel.

All lanes:

Western blot - Anti-GRP78 BiP antibody (ab227865) at 1/10000 dilution

Lane 1:

NIH/3T3 (mouse embryonic fibroblast cell line) whole cell lysate at 30 µg

Lane 2:

JC whole cell lysate at 30 µg

Lane 3:

BCL-1 whole cell lysate at 30 µg

Secondary

All lanes:

HRP-conjugated anti-rabbit IgG

Predicted band size: 72 kDa

false

Key facts

宿主種

Rabbit

クローン性

Polyclonal

アイソタイプ

IgG

キャリアフリー

No

交差種

Mouse, Rat, Human

アプリケーション

ICC/IF, IHC-P, WB

applications

免疫原

Recombinant Fragment Protein within Human HSPA5. The exact immunogen used to generate this antibody is proprietary information.

P11021

Reactivity data

{ "title": "Reactivity Data", "filters": { "stats": ["", "Species", "Dilution Info", "Notes"], "tabs": { "all-applications": {"fullname" : "All Applications", "shortname": "All Applications"}, "WB" : {"fullname" : "Western blot", "shortname":"WB"}, "IHCP" : {"fullname" : "Immunohistochemistry (Formalin/PFA-fixed paraffin-embedded sections)", "shortname":"IHC-P"}, "ICCIF" : {"fullname" : "Immunocytochemistry/ Immunofluorescence", "shortname":"ICC/IF"} }, "product-promise": { "all": "all", "testedAndGuaranteed": "tested", "guaranteed": "expected", "predicted": "predicted", "notRecommended": "not-recommended" } }, "values": { "Human": { "WB-species-checked": "testedAndGuaranteed", "WB-species-dilution-info": "1/5000 - 1/20000", "WB-species-notes": "<p></p>", "IHCP-species-checked": "guaranteed", "IHCP-species-dilution-info": "", "IHCP-species-notes": "", "ICCIF-species-checked": "testedAndGuaranteed", "ICCIF-species-dilution-info": "1/100 - 1/1000", "ICCIF-species-notes": "<p></p>" }, "Mouse": { "WB-species-checked": "testedAndGuaranteed", "WB-species-dilution-info": "1/5000 - 1/20000", "WB-species-notes": "<p></p>", "IHCP-species-checked": "testedAndGuaranteed", "IHCP-species-dilution-info": "1/100 - 1/1000", "IHCP-species-notes": "<p></p>", "ICCIF-species-checked": "guaranteed", "ICCIF-species-dilution-info": "", "ICCIF-species-notes": "" }, "Rat": { "WB-species-checked": "testedAndGuaranteed", "WB-species-dilution-info": "1/5000 - 1/20000", "WB-species-notes": "<p></p>", "IHCP-species-checked": "testedAndGuaranteed", "IHCP-species-dilution-info": "1/100 - 1/1000", "IHCP-species-notes": "<p></p>", "ICCIF-species-checked": "testedAndGuaranteed", "ICCIF-species-dilution-info": "1/100 - 1/1000", "ICCIF-species-notes": "<p></p>" }, "Chicken": { "WB-species-checked": "predicted", "WB-species-dilution-info": "", "WB-species-notes": "", "IHCP-species-checked": "predicted", "IHCP-species-dilution-info": "", "IHCP-species-notes": "", "ICCIF-species-checked": "predicted", "ICCIF-species-dilution-info": "", "ICCIF-species-notes": "" }, "Cow": { "WB-species-checked": "predicted", "WB-species-dilution-info": "", "WB-species-notes": "", "IHCP-species-checked": "predicted", "IHCP-species-dilution-info": "", "IHCP-species-notes": "", "ICCIF-species-checked": "predicted", "ICCIF-species-dilution-info": "", "ICCIF-species-notes": "" }, "Rhesus monkey": { "WB-species-checked": "predicted", "WB-species-dilution-info": "", "WB-species-notes": "", "IHCP-species-checked": "predicted", "IHCP-species-dilution-info": "", "IHCP-species-notes": "", "ICCIF-species-checked": "predicted", "ICCIF-species-dilution-info": "", "ICCIF-species-notes": "" }, "Xenopus laevis": { "WB-species-checked": "predicted", "WB-species-dilution-info": "", "WB-species-notes": "", "IHCP-species-checked": "predicted", "IHCP-species-dilution-info": "", "IHCP-species-notes": "", "ICCIF-species-checked": "predicted", "ICCIF-species-dilution-info": "", "ICCIF-species-notes": "" }, "Zebrafish": { "WB-species-checked": "predicted", "WB-species-dilution-info": "", "WB-species-notes": "", "IHCP-species-checked": "predicted", "IHCP-species-dilution-info": "", "IHCP-species-notes": "", "ICCIF-species-checked": "predicted", "ICCIF-species-dilution-info": "", "ICCIF-species-notes": "" } } }

出荷温度及び保存条件

製品の状態
Liquid
精製方法
Affinity purification Immunogen
バッファー組成
pH: 7 Preservative: 0.025% Proclin 300 Constituents: PBS, 20% Glycerol (glycerin, glycerine)
出荷温度
Blue Ice
短期保存期間
1-2 weeks
短期保存温度
+4°C
長期保存温度
-20°C
分注に関する情報
Upon delivery aliquot
保管に関する情報
Avoid freeze / thaw cycle

補足情報

This supplementary information is collated from multiple sources and compiled automatically.

GRP78 also known as BiP or HSPA5 is a protein that plays an important role in protein folding and assembly within the endoplasmic reticulum (ER). It weighs approximately 78 kDa hence the name GRP78. This chaperone protein binds to hydrophobic regions of nascent polypeptides to prevent aggregation and misfolding. GRP78 is expressed in high levels in the ER of cells where it monitors cellular stress and aids in maintaining ER homeostasis.
Biological function summary

GRP78/BiP is important in the unfolded protein response (UPR) a cellular stress response related to the ER. It is part of a complex that manages protein load inside the ER by regulating the fold of nascent proteins and interacting with other ER stress sensors like IRE1 PERK and ATF6. This function is essential for maintaining proper protein conformation in the ER especially during physiological stress ensuring that only correctly folded proteins proceed to the Golgi apparatus.

Pathways

GRP78/BiP significantly affects the UPR and apoptosis pathways. By controlling protein folding and quality in the ER GRP78 helps prevent cell death under stress conditions. It works closely with other proteins like ATF6 which activates stress response genes. In normal conditions GRP78 keeps stress transducers inactivated but during stress it dissociates allowing UPR signaling to occur.

GRP78/BiP has been implicated in cancer and neurodegenerative diseases. Overexpression of GRP78 is associated with tumor proliferation and poor prognosis in various cancers as cancer cells heavily rely on its protein-folding capacity to survive. Additionally in neurodegenerative diseases misfolded proteins can accumulate leading GRP78 to attempt counteracting these toxic aggregations highlighting its connection with proteins like tau and amyloid-beta in diseases such as Alzheimer's.

製品プロトコール

For this product, it's our understanding that no specific protocols are required. You can visit:

ターゲットの情報

Endoplasmic reticulum chaperone that plays a key role in protein folding and quality control in the endoplasmic reticulum lumen (PubMed : 2294010, PubMed : 23769672, PubMed : 23990668, PubMed : 28332555). Involved in the correct folding of proteins and degradation of misfolded proteins via its interaction with DNAJC10/ERdj5, probably to facilitate the release of DNAJC10/ERdj5 from its substrate (By similarity). Acts as a key repressor of the EIF2AK3/PERK and ERN1/IRE1-mediated unfolded protein response (UPR) (PubMed : 1550958, PubMed : 11907036, PubMed : 19538957). In the unstressed endoplasmic reticulum, recruited by DNAJB9/ERdj4 to the luminal region of ERN1/IRE1, leading to disrupt the dimerization of ERN1/IRE1, thereby inactivating ERN1/IRE1 (By similarity). Also binds and inactivates EIF2AK3/PERK in unstressed cells (PubMed : 11907036). Accumulation of misfolded protein in the endoplasmic reticulum causes release of HSPA5/BiP from ERN1/IRE1 and EIF2AK3/PERK, allowing their homodimerization and subsequent activation (PubMed : 11907036). Plays an auxiliary role in post-translational transport of small presecretory proteins across endoplasmic reticulum (ER). May function as an allosteric modulator for SEC61 channel-forming translocon complex, likely cooperating with SEC62 to enable the productive insertion of these precursors into SEC61 channel. Appears to specifically regulate translocation of precursors having inhibitory residues in their mature region that weaken channel gating. May also play a role in apoptosis and cell proliferation (PubMed : 26045166).. (Microbial infection) Plays an important role in viral binding to the host cell membrane and entry for several flaviruses such as Dengue virus, Zika virus and Japanese encephalitis virus (PubMed : 15098107, PubMed : 28053106, PubMed : 33432092). Acts as a component of the cellular receptor for Dengue virus serotype 2/DENV-2 on human liver cells (PubMed : 15098107).. (Microbial infection) Acts as a receptor for CotH proteins expressed by fungi of the order mucorales, the causative agent of mucormycosis, which plays an important role in epithelial cell invasion by the fungi (PubMed : 20484814, PubMed : 24355926, PubMed : 32487760). Acts as a receptor for R.delemar CotH3 in nasal epithelial cells, which may be an early step in rhinoorbital/cerebral mucormycosis (RCM) disease progression (PubMed : 32487760).
See full target information HSPA5

文献 (5)

Recent publications for all applications. Explore the full list and refine your search

General physiology and biophysics 44:275-287 PubMed40567071

2025

Impact of tauroursodeoxycholic acid and 4-phenylbutyric acid on mitochondrial functions and morphology of SH-SY5Y cells.

Applications

Unspecified application

Species

Unspecified reactive species

Monika Liskova,Andrea Evinova,Jaroslava Guzikova,Lubos Hudak,Michal Pokusa,Lucia Kotulova,Peter Racay

Heliyon 10:e32804 PubMed38975085

2024

Sustained feeding of a diet high in fat resulted in a decline in the liver's insulin-degrading enzyme levels in association with the induction of oxidative and endoplasmic reticulum stress in adult male rats: Evaluation of 4-phenylbutyric acid.

Applications

Unspecified application

Species

Unspecified reactive species

Fateme Binayi,Behnam Saeidi,Fatemeh Farahani,Mina Sadat Izadi,Farzaneh Eskandari,Fariba Azarkish,Mohammad Sahraei,Rasoul Ghasemi,Fariba Khodagholi,Homeira Zardooz

Histology and histopathology :18774 PubMed38916106

2024

WITHDRAWN: SUMO-specific peptidase 3 mediates the SUMO3 modification of BECN1 to repress cell autophagy in gliomas.

Applications

Unspecified application

Species

Unspecified reactive species

Pujia Huang,Wenbo Kang,Haibo Chen,Jing Tian

Scientific reports 13:1860 PubMed36725880

2023

Endoplasmic reticulum stress inhibition ameliorated WFS1 expression alterations and reduced pancreatic islets' insulin secretion induced by high-fat diet in rats.

Applications

Unspecified application

Species

Unspecified reactive species

Fateme Binayi,Javad Fahanik-Babaei,Mina Salimi,Farzaneh Eskandari,Mohammad Sahraei,Ali Ghorbani Ranjbary,Rasoul Ghasemi,Mehdi Hedayati,Fariba Khodagholi,Afsaneh Eliassi,Homeira Zardooz

Molecular medicine reports 22:2551-2563 PubMed32705200

2020

Puerarin restores the autophagic flux to alleviate cadmium‑induced endoplasmic reticulum stress in NRK‑52E cells.

Applications

Unspecified application

Species

Unspecified reactive species

Gang Liu,Kanglei Zhang,Wenxuan Dong,Yun Tan,Mengfei Long,Hui Zou,Zongping Liu
View all publications

Abcam product promise

当社は、高品質な試薬を通じてお客様の研究を力強くサポートすることをお約束いたします。ご使用いただく各段階で、常にお客様をサポートできる体制を整えております。万が一、製品が期待通りに機能しない場合は、「Abcam Product Promise」による当社保証制度に基づき、安心してご利用いただけます。
保証に関する詳細については利用規約をご確認ください。

Please note: All products are 'FOR RESEARCH USE ONLY. NOT FOR USE IN DIAGNOSTIC OR THERAPEUTIC PROCEDURES'.

For licensing inquiries, please contact partnerships@abcam.com