JavaScript is disabled in your browser. Please enable JavaScript to view this website.
AB228705

Anti-GRK2 抗体

Anti-GRK2 antibody

  • JP Deleterious:医薬用外劇物

Be the first to review this product! Submit a review

|

(4 Publications)

Rabbit Polyclonal GRK2 antibody. Suitable for WB, IHC-P and reacts with Human, Mouse samples. Cited in 4 publications. Immunogen corresponding to Recombinant Fragment Protein within Human GRK2.

別名を表示する

ADRBK1, BARK, BARK1, GRK2, Beta-adrenergic receptor kinase 1, Beta-ARK-1, G-protein coupled receptor kinase 2

2 Images
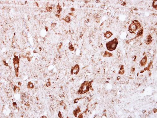
Immunohistochemistry (Formalin/PFA-fixed paraffin-embedded sections) - Anti-GRK2 antibody (AB228705)
  • IHC-P

Supplier Data

Immunohistochemistry (Formalin/PFA-fixed paraffin-embedded sections) - Anti-GRK2 antibody (AB228705)

Paraffin-embedded mouse brain stem tissue stained for GRK2 with ab228705 at 1/500 dilution in immunohistochemical analysis.

Western blot - Anti-GRK2 antibody (AB228705)
  • WB

Supplier Data

Western blot - Anti-GRK2 antibody (AB228705)

7.5% SDS-PAGE

All lanes:

Western blot - Anti-GRK2 antibody (ab228705) at 1/1000 dilution

All lanes:

MOLT-4 (human lymphoblastic leukemia cell line) whole cell lysate at 30 µg

Predicted band size: 80 kDa

true

Key facts

宿主種

Rabbit

クローン性

Polyclonal

アイソタイプ

IgG

キャリアフリー

No

交差種

Mouse, Human

アプリケーション

IHC-P, WB

applications

免疫原

Recombinant Fragment Protein within Human GRK2. The exact immunogen used to generate this antibody is proprietary information.

P25098

Reactivity data

{ "title": "Reactivity Data", "filters": { "stats": ["", "Species", "Dilution Info", "Notes"], "tabs": { "all-applications": {"fullname" : "All Applications", "shortname": "All Applications"}, "WB" : {"fullname" : "Western blot", "shortname":"WB"}, "IHCP" : {"fullname" : "Immunohistochemistry (Formalin/PFA-fixed paraffin-embedded sections)", "shortname":"IHC-P"} }, "product-promise": { "all": "all", "testedAndGuaranteed": "tested", "guaranteed": "expected", "predicted": "predicted", "notRecommended": "not-recommended" } }, "values": { "Human": { "WB-species-checked": "testedAndGuaranteed", "WB-species-dilution-info": "1/500 - 1/3000", "WB-species-notes": "<p></p>", "IHCP-species-checked": "guaranteed", "IHCP-species-dilution-info": "", "IHCP-species-notes": "" }, "Mouse": { "WB-species-checked": "guaranteed", "WB-species-dilution-info": "", "WB-species-notes": "", "IHCP-species-checked": "testedAndGuaranteed", "IHCP-species-dilution-info": "1/100 - 1/1000", "IHCP-species-notes": "<p></p>" }, "Rat": { "WB-species-checked": "predicted", "WB-species-dilution-info": "", "WB-species-notes": "", "IHCP-species-checked": "predicted", "IHCP-species-dilution-info": "", "IHCP-species-notes": "" }, "Cow": { "WB-species-checked": "predicted", "WB-species-dilution-info": "", "WB-species-notes": "", "IHCP-species-checked": "predicted", "IHCP-species-dilution-info": "", "IHCP-species-notes": "" }, "Pig": { "WB-species-checked": "predicted", "WB-species-dilution-info": "", "WB-species-notes": "", "IHCP-species-checked": "predicted", "IHCP-species-dilution-info": "", "IHCP-species-notes": "" } } }

出荷温度及び保存条件

製品の状態
Liquid
精製方法
Affinity purification Immunogen
バッファー組成
pH: 7 Preservative: 0.01% Thimerosal (merthiolate) Constituents: 10% Glycerol (glycerin, glycerine), 1.21% Tris, 0.75% Glycine
出荷温度
Blue Ice
短期保存期間
1-2 weeks
短期保存温度
+4°C
長期保存温度
-20°C
分注に関する情報
Upon delivery aliquot
保管に関する情報
Avoid freeze / thaw cycle

補足情報

This supplementary information is collated from multiple sources and compiled automatically.

The protein GRK2 also known as G protein-coupled receptor kinase 2 is an important enzyme involved in the regulation of G protein-coupled receptors (GPCRs). It has a molecular weight of approximately 80 kilodaltons. GRK2 is widely expressed in many tissues especially in the heart and brain where it plays an important role in cellular signaling processes. Its primary action is phosphorylating activated GPCRs which leads to receptor desensitization and downregulation modulating cellular responses to stimuli.
Biological function summary

GRK2 acts by coordinating with other proteins to regulate signal transduction pathways. It usually forms a complex with arrestins which prevent further signaling by blocking G protein coupling and directing receptors towards internalization pathways. This kinase acts to modulate receptor activity and maintain cellular homeostasis. GRK2 is essential for preventing overstimulation of cells playing a role in neurobiology and cardiology.

Pathways

GRK2 plays an important role in the adrenergic receptor signaling pathways including the beta-adrenergic and alpha-adrenergic pathways. It participates in the regulation of cardiac output and vascular tone by influencing the response of cells to catecholamines like adrenaline and noradrenaline. Proteins related to GRK2 in these pathways include adrenergic receptor subtypes and arrestin proteins. Voltage-gated calcium channels also interact with GRK2 linking it to calcium signaling pathways vital for muscle contraction and neurotransmitter release.

Research highlights GRK2's involvement in heart failure and hypertension. In heart failure elevated levels of GRK2 correlate with worsened cardiac function due to impaired beta-adrenergic receptor signaling. GRK2 is also linked to the development of hypertension through its effects on vascular smooth muscle cells and blood pressure regulation. Its interaction with proteins like arrestins suggests potential therapeutic targets for these cardiovascular conditions. Understanding and modulating GRK2 activity might offer approaches to treat these disorders.

製品プロトコール

For this product, it's our understanding that no specific protocols are required. You can visit:

ターゲットの情報

Specifically phosphorylates the agonist-occupied form of the beta-adrenergic and closely related receptors, probably inducing a desensitization of them (PubMed : 19715378). Key regulator of LPAR1 signaling (PubMed : 19306925). Competes with RALA for binding to LPAR1 thus affecting the signaling properties of the receptor (PubMed : 19306925). Desensitizes LPAR1 and LPAR2 in a phosphorylation-independent manner (PubMed : 19306925). Positively regulates ciliary smoothened (SMO)-dependent Hedgehog (Hh) signaling pathway by facilitating the trafficking of SMO into the cilium and the stimulation of SMO activity (By similarity). Inhibits relaxation of airway smooth muscle in response to blue light (PubMed : 30284927).
See full target information GRK2

文献 (4)

Recent publications for all applications. Explore the full list and refine your search

Nature communications 15:3330 PubMed38684656

2024

Atypical heat shock transcription factor HSF5 is critical for male meiotic prophase under non-stress conditions.

Applications

Unspecified application

Species

Unspecified reactive species

Saori Yoshimura,Ryuki Shimada,Koji Kikuchi,Soichiro Kawagoe,Hironori Abe,Sakie Iisaka,Sayoko Fujimura,Kei-Ichiro Yasunaga,Shingo Usuki,Naoki Tani,Takashi Ohba,Eiji Kondoh,Tomohide Saio,Kimi Araki,Kei-Ichiro Ishiguro

Advanced science (Weinheim, Baden-Wurttemberg, Germany) 10:e2204961 PubMed36698265

2023

Reversing T Cell Dysfunction to Boost Glioblastoma Immunotherapy by Paroxetine-Mediated GRK2 Inhibition and Blockade of Multiple Checkpoints through Biomimetic Nanoparticles.

Applications

Unspecified application

Species

Unspecified reactive species

Tingting Wang,Hao Zhang,Yaobao Han,Qing Zheng,Hanghang Liu,Mengxiao Han,Zhen Li

Experimental and therapeutic medicine 24:523 PubMed35837026

2022

Paeoniflorin-6'O-benzene sulfonate suppresses fibroblast-like synoviocytes proliferation and migration in rheumatoid arthritis through regulating GRK2-Gβγ interaction.

Applications

Unspecified application

Species

Unspecified reactive species

Yuwen Zhang,Xuezhi Yang,Chenchen Han,Dandan Wang,Yang Ma,Wei Wei

Molecular medicine reports 20:4831-4842 PubMed31661133

2019

CP-25 exerts anti-angiogenic effects on a rat model of adjuvant-induced arthritis by promoting GRK2-induced downregulation of CXCR4-ERK1/2 signaling in endothelial cells.

Applications

Unspecified application

Species

Unspecified reactive species

Min Zhang,Mei Gao,Jinyu Chen,Lihua Song,Wei Wei
View all publications

Abcam product promise

当社は、高品質な試薬を通じてお客様の研究を力強くサポートすることをお約束いたします。ご使用いただく各段階で、常にお客様をサポートできる体制を整えております。万が一、製品が期待通りに機能しない場合は、「Abcam Product Promise」による当社保証制度に基づき、安心してご利用いただけます。
保証に関する詳細については利用規約をご確認ください。

Please note: All products are 'FOR RESEARCH USE ONLY. NOT FOR USE IN DIAGNOSTIC OR THERAPEUTIC PROCEDURES'.

For licensing inquiries, please contact partnerships@abcam.com