JavaScript is disabled in your browser. Please enable JavaScript to view this website.
AB32111

Anti-GRB2 抗体 [Y301]

Anti-GRB2 antibody [Y301]

4

(1 Review)

|

(9 Publications)

Rabbit Recombinant Monoclonal GRB2 antibody. Suitable for IHC-P, WB, ICC/IF, Flow Cyt (Intra) and reacts with Human, Mouse, Rat samples. Cited in 9 publications.

別名を表示する

ASH, GRB2, Growth factor receptor-bound protein 2, Adapter protein GRB2, Protein Ash, SH2/SH3 adapter GRB2

7 Images
Flow Cytometry (Intracellular) - Anti-GRB2 antibody [Y301] (AB32111)
  • Flow Cyt (Intra)

Lab

Flow Cytometry (Intracellular) - Anti-GRB2 antibody [Y301] (AB32111)

Overlay histogram showing SH-SY5Y cells stained with ab32111 (red line). The cells were fixed with 4% paraformaldehyde (10 min) and then permeabilized with 0.1% PBS-Tween for 20 min. The cells were then incubated in 1x PBS / 10% normal goat serum / 0.3M glycine to block non-specific protein-protein interactions followed by the antibody (ab32111 1/100 dilution) for 30 min at 22°C. The secondary antibody used was DyLight® 488 goat anti-rabbit IgG (H+L) (ab96899) at 1/500 dilution for 30 min at 22°C. Isotype control antibody (black line) was rabbit IgG (monoclonal) (1μg/1x106 cells) used under the same conditions. Acquisition of >5000 events was performed.

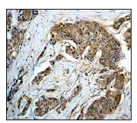
Immunohistochemistry (Formalin/PFA-fixed paraffin-embedded sections) - Anti-GRB2 antibody [Y301] (AB32111)
  • IHC-P

Unknown

Immunohistochemistry (Formalin/PFA-fixed paraffin-embedded sections) - Anti-GRB2 antibody [Y301] (AB32111)

Immunohistochemical analysis of GRB2 expression in paraffin embedded human breast carcinoma tissue section using 1/100 ab32111. Heat mediated antigen retrieval was performed with citrate buffer pH 6 before commencing with IHC staining protocol.

Immunocytochemistry/ Immunofluorescence - Anti-GRB2 antibody [Y301] (AB32111)
  • ICC/IF

Unknown

Immunocytochemistry/ Immunofluorescence - Anti-GRB2 antibody [Y301] (AB32111)

Immunofluorescent analysis of GRB2 expression in PC12 cells, using 1/100 ab32111.

Western blot - Anti-GRB2 antibody [Y301] (AB32111)
  • WB

Unknown

Western blot - Anti-GRB2 antibody [Y301] (AB32111)

Lanes 1 - 4 : Merged signal (red and green). Green - ab32111 observed at 25 kDa. Red - loading control ab8245 (Mouse anti-GAPDH antibody [6C5]) observed at 37kDa.

ab32111 was shown to react with GRB2 in wild-type HCT 116 cells in western blot with loss of signal observed in GRB2 knockout cell line ab273715 (GRB2 knockout cell lysate ab275248). Wild-type and GRB2 knockout HCT 116 cell lysates were subjected to SDS-PAGE. Membranes were blocked in 3% milk in TBS-T (0.1% Tween®) before incubation with ab32111 and ab8245 (Mouse anti-GAPDH antibody [6C5]) overnight at 4°C at a 1 in 2000 dilution and a 1 in 20000 dilution respectively. Blots were incubated with Goat anti-Rabbit IgG H&L (IRDye® 800CW) preabsorbed (ab216773) and Goat anti-Mouse IgG H&L (IRDye® 680RD) preabsorbed (ab216776) secondary antibodies at 1 in 20000 dilution for 1 hour at room temperature before imaging.

All lanes:

Western blot - Anti-GRB2 antibody [Y301] (ab32111) at 1/2000 dilution

Lane 1:

Wild-type HCT116 cell lysate at 20 µg

Lane 2:

GRB2 knockout HCT116 cell lysate at 20 µg

Lane 2:

Western blot - Human GRB2 knockout HCT116 cell line (<a href='/products/cell-lines/human-grb2-knockout-hct116-cell-line-ab273715'>ab273715</a>)

Lane 3:

HeLa cell lysate at 20 µg

Lane 4:

HEK293 cell lysate at 20 µg

Predicted band size: 25 kDa

Observed band size: 25 kDa

false

Western blot - Anti-GRB2 antibody [Y301] (AB32111)
  • WB

Supplier Data

Western blot - Anti-GRB2 antibody [Y301] (AB32111)

Blocking and diluting buffer and concentration : 5% NFDM/TBST This antibody recognises GRB2 isoform 1 (ASH-L) and not GRB2 isoform 2 (GRB3-3).

All lanes:

Western blot - Anti-GRB2 antibody [EPR24634-17] (<a href='/products/primary-antibodies/grb2-antibody-epr24634-17-ab315005'>ab315005</a>) at 1/1000 dilution

Lane 1:

Human GRB2 isoform 1 recombinant protein at 10 ng

Lane 2:

Human GRB2 isoform 2 recombinant protein at 10 ng

Secondary

All lanes:

Western blot - Goat Anti-Rabbit IgG H&L (HRP) (<a href='/products/secondary-antibodies/goat-rabbit-igg-h-l-hrp-ab97051'>ab97051</a>) at 1/100000 dilution

Observed band size: 25 kDa,60 kDa

false

Exposure time: 92s

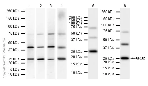
Western blot - Anti-GRB2 antibody [Y301] (AB32111)
  • WB

Lab

Western blot - Anti-GRB2 antibody [Y301] (AB32111)

Blocking/Diluting Buffer and concentration : 5% NFDM/TBST

We are unsure how to define the extra bands.

All lanes:

Western blot - Anti-GRB2 antibody [Y301] (ab32111) at 1/5000 dilution

Lane 1:

HeLa (Human cervix adenocarcinoma epithelial cell) whole cell lysate at 15 µg

Lane 2:

PC-12 (Rat adrenal gland pheochromocytoma) whole cell lysate at 15 µg

Lane 3:

NIH/3T3 (Mouse embryonic fibroblast) whole cell lysate at 15 µg

Lane 4:

HEK-293 (Human embryonic kidney epithelial cell) whole cell lysate at 15 µg

Lane 5:

RAW 264.7 (Mouse Abelson murine leukemia virus-induced tumor macrophage) whole cell lysate at 15 µg

Lane 6:

C6 (Rat glial tumor glial cell) whole cell lysate at 15 µg

Secondary

All lanes:

Western blot - Goat Anti-Rabbit IgG H&L (HRP) (<a href='/products/secondary-antibodies/goat-rabbit-igg-h-l-hrp-ab97051'>ab97051</a>) at 1/20000 dilution

Predicted band size: 25 kDa

Observed band size: 25 kDa

false

Western blot - Anti-GRB2 antibody [Y301] (AB32111)
  • WB

Lab

Western blot - Anti-GRB2 antibody [Y301] (AB32111)

Anti-GRB2 antibody [Y301] (ab32111) staining at 1/1000 dilution, shown in green; Mouse anti-Alpha Tubulin [DM1A] (ab7291) loading control staining at 1/20000 dilution, shown in red. In Western blot, ab32111 was shown to bind specifically to GRB2. A band was observed at 26 kDa in wild-type A431 cell lysates with a reduction in signal observed at this size in GRB2 heterozygous knockout cell line. To generate this image, wild-type and GRB2 heterozygous knockout A431 cell lysates were analysed. First, samples were run on an SDS-PAGE gel then transferred onto a nitrocellulose membrane. Membranes were blocked in 3 % milk in TBS-0.1 % Tween® 20 (TBS-T) before incubation with primary antibodies overnight at 4 °C. Blots were washed four times in TBS-T, incubated with secondary antibodies for 1 h at room temperature, washed again four times then imaged. Secondary antibodies used were Goat anti-Rabbit IgG H&L 800CW and Goat anti-Mouse IgG H&L 680RD at 1/20000 dilution.

All lanes:

Western blot - Anti-GRB2 antibody [Y301] (ab32111) at 1/1000 dilution

Lane 1:

Wild-type A431 cell lysate at 20 µg

Lane 2:

Western blot - Human GRB2 heterozygous knockout A-431 cell line (<a href='/products/cell-lines/human-grb2-heterozygous-knockout-a-431-cell-line-ab276085'>ab276085</a>)

Lane 2:

GRB2 knockout A431 cell lysate at 20 µg

Lane 3:

HCT 116 cell lysate at 20 µg

Lane 4:

HeLa cell lysate at 20 µg

Secondary

Lanes 1 - 4:

Goat anti-Rabbit IgG H&L 800CW at 1/20000 dilution

Lanes 1 - 4:

Goat anti-Mouse IgG H&L 680RD at 1/20000 dilution

Predicted band size: 25 kDa

Observed band size: 26 kDa

false

関連する標識済み抗体及び組成の異なる製品 (1)

  • Carrier free

    Anti-GRB2 antibody [Y301] - BSA and Azide free

Key facts

宿主種

Rabbit

クローン性

Monoclonal

クローン番号

Y301

アイソタイプ

IgG

キャリアフリー

No

交差種

Mouse, Rat, Human

アプリケーション

IHC-P, ICC/IF, WB, Flow Cyt (Intra)

applications

免疫原

The exact immunogen used to generate this antibody is proprietary information.

特異性

ab32111 recognises GRB2. This antibody can also detect the splice isoform GRB3-3 of GRB2.

Reactivity data

{ "title": "Reactivity Data", "filters": { "stats": ["", "Species", "Dilution Info", "Notes"], "tabs": { "all-applications": {"fullname" : "All Applications", "shortname": "All Applications"}, "IHCP" : {"fullname" : "Immunohistochemistry (Formalin/PFA-fixed paraffin-embedded sections)", "shortname":"IHC-P"}, "IP" : {"fullname" : "Immunoprecipitation", "shortname":"IP"}, "WB" : {"fullname" : "Western blot", "shortname":"WB"}, "ICCIF" : {"fullname" : "Immunocytochemistry/ Immunofluorescence", "shortname":"ICC/IF"}, "FlowCytIntra" : {"fullname" : "Flow Cytometry (Intracellular)", "shortname":"Flow Cyt (Intra)"} }, "product-promise": { "all": "all", "testedAndGuaranteed": "tested", "guaranteed": "expected", "predicted": "predicted", "notRecommended": "not-recommended" } }, "values": { "Human": { "IHCP-species-checked": "testedAndGuaranteed", "IHCP-species-dilution-info": "", "IHCP-species-notes": "<p></p>", "IP-species-checked": "notRecommended", "IP-species-dilution-info": "", "IP-species-notes": "<p></p>", "WB-species-checked": "testedAndGuaranteed", "WB-species-dilution-info": "1/1000 - 1/5000", "WB-species-notes": "<p></p>", "ICCIF-species-checked": "guaranteed", "ICCIF-species-dilution-info": "", "ICCIF-species-notes": "", "FlowCytIntra-species-checked": "testedAndGuaranteed", "FlowCytIntra-species-dilution-info": "1/40", "FlowCytIntra-species-notes": "<p><a href='/products/primary-antibodies/rabbit-igg-monoclonal-epr25a-isotype-control-ab172730'>ab172730</a> - Rabbit monoclonal IgG, is suitable for use as an isotype control with this antibody.</p>" }, "Mouse": { "IHCP-species-checked": "guaranteed", "IHCP-species-dilution-info": "", "IHCP-species-notes": "", "IP-species-checked": "notRecommended", "IP-species-dilution-info": "", "IP-species-notes": "<p></p>", "WB-species-checked": "testedAndGuaranteed", "WB-species-dilution-info": "1/1000 - 1/5000", "WB-species-notes": "<p></p>", "ICCIF-species-checked": "guaranteed", "ICCIF-species-dilution-info": "", "ICCIF-species-notes": "", "FlowCytIntra-species-checked": "guaranteed", "FlowCytIntra-species-dilution-info": "", "FlowCytIntra-species-notes": "" }, "Rat": { "IHCP-species-checked": "guaranteed", "IHCP-species-dilution-info": "", "IHCP-species-notes": "", "IP-species-checked": "notRecommended", "IP-species-dilution-info": "", "IP-species-notes": "<p></p>", "WB-species-checked": "testedAndGuaranteed", "WB-species-dilution-info": "1/1000 - 1/5000", "WB-species-notes": "<p></p>", "ICCIF-species-checked": "testedAndGuaranteed", "ICCIF-species-dilution-info": "1/100 - 1/250", "ICCIF-species-notes": "<p></p>", "FlowCytIntra-species-checked": "guaranteed", "FlowCytIntra-species-dilution-info": "", "FlowCytIntra-species-notes": "" } } }

製品の詳細

Patented technology
Our RabMAb® technology is a patented hybridoma-based technology for making rabbit monoclonal antibodies. For details on our patents, please refer to RabMAb® patents.

What are the advantages of a recombinant monoclonal antibody?
This product is a recombinant monoclonal antibody, which offers several advantages including:

  • - High batch-to-batch consistency and reproducibility
  • - Improved sensitivity and specificity
  • - Long-term security of supply
  • - Animal-free batch production

For more information, read more on recombinant antibodies.

出荷温度及び保存条件

製品の状態
Liquid
精製方法
Affinity purification Protein A
バッファー組成
pH: 7.2 - 7.4 Preservative: 0.01% Sodium azide Constituents: PBS, 50% Glycerol (glycerin, glycerine), 0.05% BSA
出荷温度
Blue Ice
短期保存温度
+4°C
長期保存温度
-20°C
分注に関する情報
Upon delivery aliquot
保管に関する情報
Avoid freeze / thaw cycle

補足情報

This supplementary information is collated from multiple sources and compiled automatically.

The GRB2 protein also known as growth factor receptor-bound protein 2 is instrumental in signal transduction. GRB2 has a molecular weight of about 25 kDa. It comprises one SH2 domain and two SH3 domains which facilitate its role in linking receptor tyrosine kinases to downstream signaling molecules. GRB2 is ubiquitously expressed in various tissues signifying its importance in diverse cellular functions.
Biological function summary

GRB2 functions as an adaptor protein that connects activated receptor tyrosine kinases to intracellular pathways. It often forms complexes with other proteins such as the SOS protein which further propagates signaling cascades critical for cell proliferation and differentiation. GRB2’s ability to mediate these interactions contributes to cellular responses to external stimuli including growth factors and hormones.

Pathways

GRB2 plays an important role in the Ras-MAPK signaling pathway. It interacts with proteins like SOS and Ras enabling signal transduction from the cell surface to the nucleus which is vital for processes such as cell growth and survival. GRB2 is also implicated in the PI3K-Akt pathway connecting it to another set of signaling proteins that regulate metabolism growth and survival.

GRB2 has significant associations with cancer and immune disorders. Aberrant activation of pathways involving GRB2 can lead to uncontrolled cell proliferation contributing to oncogenesis in different cancers. Additionally GRB2’s interactions with proteins like BCR-ABL in chronic myeloid leukemia highlight its potential role as a therapeutic target. GRB2 inhibitors could therefore offer promising avenues for treating such conditions by disrupting its pathological signaling interactions.

製品プロトコール

For this product, it's our understanding that no specific protocols are required. You can visit:

ターゲットの情報

Non-enzymatic adapter protein that plays a pivotal role in precisely regulated signaling cascades from cell surface receptors to cellular responses, including signaling transduction and gene expression (PubMed : 11726515, PubMed : 37626338). Thus, participates in many biological processes including regulation of innate and adaptive immunity, autophagy, DNA repair or necroptosis (PubMed : 35831301, PubMed : 37626338, PubMed : 38182563). Controls signaling complexes at the T-cell antigen receptor to facilitate the activation, differentiation, and function of T-cells (PubMed : 36864087, PubMed : 9489702). Mechanistically, engagement of the TCR leads to phosphorylation of the adapter protein LAT, which serves as docking site for GRB2 (PubMed : 9489702). In turn, GRB2 establishes a a connection with SOS1 that acts as a guanine nucleotide exchange factor and serves as a critical regulator of KRAS/RAF1 leading to MAPKs translocation to the nucleus and activation (PubMed : 12171928, PubMed : 25870599). Functions also a role in B-cell activation by amplifying Ca(2+) mobilization and activation of the ERK MAP kinase pathway upon recruitment to the phosphorylated B-cell antigen receptor (BCR) (PubMed : 25413232, PubMed : 29523808). Plays a role in switching between autophagy and programmed necrosis upstream of EGFR by interacting with components of necrosomes including RIPK1 and with autophagy regulators SQSTM1 and BECN1 (PubMed : 35831301, PubMed : 38182563). Regulates miRNA biogenesis by forming a functional ternary complex with AGO2 and DICER1 (PubMed : 37328606). Functions in the replication stress response by protecting DNA at stalled replication forks from MRE11-mediated degradation. Mechanistically, inhibits RAD51 ATPase activity to stabilize RAD51 on stalled replication forks (PubMed : 38459011). Additionally, directly recruits and later releases MRE11 at DNA damage sites during the homology-directed repair (HDR) process (PubMed : 34348893).. Isoform 2. Does not bind to phosphorylated epidermal growth factor receptor (EGFR) but inhibits EGF-induced transactivation of a RAS-responsive element. Acts as a dominant negative protein over GRB2 and by suppressing proliferative signals, may trigger active programmed cell death. Mechanistically, inhibits RAS-ERK signaling and downstream cell proliferation by competing with GRB2 for SOS1 binding and thus by regulating SOS1 membrane recruitment (PubMed : 36171279).
See full target information GRB2

文献 (9)

Recent publications for all applications. Explore the full list and refine your search

CytoJournal 21:34 PubMed39563667

2024

The mechanism of L1 cell adhesion molecule interacting with protein tyrosine kinase 2 to regulate the focal adhesion kinase-growth factor receptor-bound protein 2-son of sevenless-rat sarcoma pathway in the identification and treatment of type I high-risk endometrial cancer.

Applications

Unspecified application

Species

Unspecified reactive species

Wei He,Wei Liu,Xiumei Liu,Wenhua Tan

Biochimica et biophysica acta. Molecular cell research 1871:119674 PubMed38242328

2024

AKAP2-anchored extracellular signal-regulated kinase 1 (ERK1) regulates cardiac myofibroblast migration.

Applications

Unspecified application

Species

Unspecified reactive species

Marion Delaunay,Aleksandra Paterek,Ivan Gautschi,Greta Scherler,Dario Diviani

International journal of molecular sciences 24: PubMed36674593

2023

The Silkworm Carboxypeptidase Inhibitor Prevents Gastric Cancer Cells' Proliferation through the EGF/EGFR Signaling Pathway.

Applications

Unspecified application

Species

Unspecified reactive species

Junhong Ye,Jifu Li,Ping Zhao

Experimental and therapeutic medicine 23:188 PubMed35069869

2022

CBL knockdown protects cardiomyocytes against hypoxia-reoxygenation injury by downregulating GRB2 expression.

Applications

Unspecified application

Species

Unspecified reactive species

Zhengbing Lv,Xiaojia Luo,Biying Hong,Qiran Ye,Jianxiong Liu,Yongmei Hu

Experimental & molecular medicine 53:1356-1365 PubMed34531509

2021

MicroRNA-338-3p as a novel therapeutic target for intervertebral disc degeneration.

Applications

Unspecified application

Species

Unspecified reactive species

Hua Jiang,Abu Moro,Jiaqi Wang,Dihua Meng,Xinli Zhan,Qingjun Wei

Aging 13:16786-16803 PubMed34162761

2021

Transcription factor PAX4 facilitates gastric cancer progression through interacting with miR-27b-3p/Grb2 axis.

Applications

Unspecified application

Species

Unspecified reactive species

Yan Zhang,Li Ding,Qingfeng Ni,Ran Tao,Jun Qin

Neural plasticity 2021:8825698 PubMed33603781

2021

Neuroprotective Effects of ZiBuPiYin Recipe on db/db Mice via PI3K-Akt Signaling Pathway by Activating Grb2.

Applications

Unspecified application

Species

Unspecified reactive species

Wei-Ming Ren,Ze-Bin Weng,Xin Li,Li-Bin Zhan

Cell death & disease 11:709 PubMed32848131

2020

Y772 phosphorylation of EphA2 is responsible for EphA2-dependent NPC nasopharyngeal carcinoma growth by Shp2/Erk-1/2 signaling pathway.

Applications

Unspecified application

Species

Unspecified reactive species

Yi-Ping Xiang,Ta Xiao,Qi-Guang Li,Shan-Shan Lu,Wei Zhu,Yun-Ya Liu,Jie-Ya Qiu,Zheng-Hui Song,Wei Huang,Hong Yi,Yao-Yun Tang,Zhi-Qiang Xiao

Acta neuropathologica 130:279-95 PubMed25920452

2015

Fumarates modulate microglia activation through a novel HCAR2 signaling pathway and rescue synaptic dysregulation in inflamed CNS.

Applications

WB

Species

Unspecified reactive species

Benedetta Parodi,Silvia Rossi,Sara Morando,Christian Cordano,Alberto Bragoni,Caterina Motta,Cesare Usai,Brian T Wipke,Robert H Scannevin,Giovanni L Mancardi,Diego Centonze,Nicole Kerlero de Rosbo,Antonio Uccelli
View all publications

Abcam product promise

当社は、高品質な試薬を通じてお客様の研究を力強くサポートすることをお約束いたします。ご使用いただく各段階で、常にお客様をサポートできる体制を整えております。万が一、製品が期待通りに機能しない場合は、「Abcam Product Promise」による当社保証制度に基づき、安心してご利用いただけます。
保証に関する詳細については利用規約をご確認ください。

Please note: All products are 'FOR RESEARCH USE ONLY. NOT FOR USE IN DIAGNOSTIC OR THERAPEUTIC PROCEDURES'.

For licensing inquiries, please contact partnerships@abcam.com