JavaScript is disabled in your browser. Please enable JavaScript to view this website.
AB308520

Anti-Golgin 97 抗体 [EPR27333-18]

Anti-Golgin 97 antibody [EPR27333-18]

Be the first to review this product! Submit a review

|

(1 Publication)

Knockout Tested Rabbit Recombinant Monoclonal Golgin 97 antibody. Suitable for WB, ICC/IF, Flow Cyt (Intra), IP and reacts with Human, Mouse, Rat samples. Cited in 1 publication.

別名を表示する

Golgin subfamily A member 1, Golgin-97, GOLGA1

9 Images
Flow Cytometry (Intracellular) - Anti-Golgin 97 antibody [EPR27333-18] (AB308520)
  • Flow Cyt (Intra)

Supplier Data

Flow Cytometry (Intracellular) - Anti-Golgin 97 antibody [EPR27333-18] (AB308520)

Flow cytometric analysis of 4% paraformaldehyde fixed 90% methanol permeabilized HeLa (human cervical adenocarcinoma epithelial cell) cells labelling Golgin 97 with ab308520 at 1/500 dilution (0.1 ug)/Red (Red) compared with a Rabbit monoclonal IgG (ab172730) (Black) isotype control and an unlabelled control (cells without incubation with primary antibody and secondary antibody) (Blue). A Goat Anti-Rabbit IgG (Alexa Fluor® 488, ab150081) at 1/5000 dilution was used as the secondary antibody.

Immunocytochemistry/ Immunofluorescence - Anti-Golgin 97 antibody [EPR27333-18] (AB308520)
  • ICC/IF

Supplier Data

Immunocytochemistry/ Immunofluorescence - Anti-Golgin 97 antibody [EPR27333-18] (AB308520)

Immunofluorescent analysis of 4% Paraformaldehyde-fixed, 0.1% TritonX-100 permeabilized HeLa (human cervix adenocarcinoma epithelial cell) cells labelling Golgin 97 with ab308520 at 1/250 (1.828 ug/ml) dilution, followed by ab150081 Goat Anti-Rabbit IgG H&L (Alexa Fluor® 488) preadsorbed antibody at 1/1000 2ug/mL dilution (Green). Confocal image showing the staining co-located with Golgi marker in HeLa cell line.Image was taken with a confocal microscope (Leica-Microsystems, TCS SP8). ab169276 Anti-GM130 mouse polyclonal antibody - cis-Golgi Marker was used to counterstain tubulin at 1/200 5ug/ml dilution (Red). The Nuclear counterstain was DAPI (Blue). Secondary antibody only control : Secondary antibody is ab150081 Goat Anti-Rabbit IgG H&L (Alexa Fluor® 488) preadsorbed at 1/1000 2ug/mL dilution.

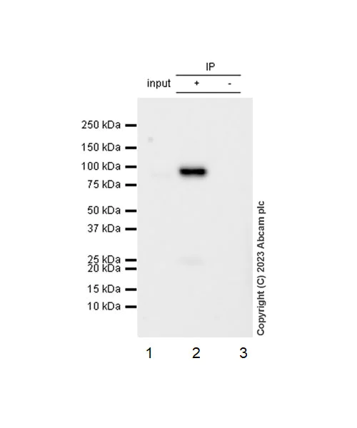
Immunoprecipitation - Anti-Golgin 97 antibody [EPR27333-18] (AB308520)
  • IP

Supplier Data

Immunoprecipitation - Anti-Golgin 97 antibody [EPR27333-18] (AB308520)

Golgin 97 was immunoprecipitated from 0.35 mg HeLa (human cervix adenocarcinoma epithelial cell) whole cell lysate with ab308520 at 1/30 dilution (2ug in 0.35mg lysates). Western blot was performed on the immunoprecipitate using ab308520 at 1/1000 dilution. VeriBlot for IP secondary antibody (HRP) (ab131366) was used at 1/5000 dilution.

Lane 1 : HeLa (human cervix adenocarcinoma epithelial cell) whole cell lysate
Lane 2 : ab308520 IP in HeLa (human cervix adenocarcinoma epithelial cell) whole cell lysate
Lane 3 : Rabbit monoclonal IgG (ab172730) instead of ab308520 in HeLa whole cell lysate

Blocking and dilution buffer and concentration : 5% NFDM/TBST.

Exposure time : 24 seconds

All lanes:

Immunoprecipitation - Anti-Golgin 97 antibody [EPR27333-18] (ab308520) at 1/1000 dilution

All lanes:

HeLa (human cervix adenocarcinoma epithelial cell) whole cell lysate at 10 µg

Secondary

All lanes:

Immunoprecipitation - VeriBlot for IP Detection Reagent (HRP) (<a href='/products/reagents/veriblot-for-ip-detection-reagent-hrp-ab131366'>ab131366</a>) at 1/5000 dilution

Observed band size: 97 kDa

false

Exposure time: 24s

Immunocytochemistry/ Immunofluorescence - Anti-Golgin 97 antibody [EPR27333-18] (AB308520)
  • ICC/IF

Supplier Data

Immunocytochemistry/ Immunofluorescence - Anti-Golgin 97 antibody [EPR27333-18] (AB308520)

Immunofluorescent analysis of 4% Paraformaldehyde-fixed, 0.1% TritonX-100 permeabilized C2C12 (mouse myoblasts myoblast) cells labelling Golgin 97 with ab308520 at 1/250 (1.828 ug/ml) dilution, followed by ab150081 Goat Anti-Rabbit IgG H&L (Alexa Fluor® 488) preadsorbed antibody at 1/1000 2ug/mL dilution (Green). Confocal image showing the staining co-located with Golgi marker in C2C12 cell line.Image was taken with a confocal microscope (Leica-Microsystems, TCS SP8). ab169276 Anti-GM130 mouse polyclonal antibody - cis-Golgi Marker was used to counterstain tubulin at 1/200 5ug/ml dilution (Red). The Nuclear counterstain was DAPI (Blue). Secondary antibody only control : Secondary antibody is ab150081 Goat Anti-Rabbit IgG H&L (Alexa Fluor® 488) preadsorbed at 1/1000 2ug/mL dilution.

Flow Cytometry (Intracellular) - Anti-Golgin 97 antibody [EPR27333-18] (AB308520)
  • Flow Cyt (Intra)

Supplier Data

Flow Cytometry (Intracellular) - Anti-Golgin 97 antibody [EPR27333-18] (AB308520)

Flow cytometric analysis of 4% paraformaldehyde fixed 90% methanol permeabilized C2C12 (mouse myoblast) cells labelling Golgin 97 with ab308520 at 1/500 dilution (0.1 ug)/Red (Red) compared with a Rabbit monoclonal IgG (ab172730) (Black) isotype control and an unlabelled control (cells without incubation with primary antibody and secondary antibody) (Blue). A Goat Anti-Rabbit IgG (Alexa Fluor® 488, ab150081) at 1/5000 dilution was used as the secondary antibody.

Western blot - Anti-Golgin 97 antibody [EPR27333-18] (AB308520)
  • WB

Supplier Data

Western blot - Anti-Golgin 97 antibody [EPR27333-18] (AB308520)

Blocking and diluting buffer and concentration : 5% NFDM/TBST  Exposure time : Lane 1 and 2 : 37seconds, Lane 3-5 : 180 seconds.

All lanes:

Western blot - Anti-Golgin 97 antibody [EPR27333-18] (ab308520) at 1/1000 dilution

Lane 1:

HepG2 (human hepatocellar carcinoma epithelial cell) whole cell lysate at 20 µg

Lane 2:

SW480 (human colorectal adenocarcinoma epithelial cell) whole cell lysate at 20 µg

Lane 3:

C2C12 (mouse myoblast) whole cell lysate at 20 µg

Lane 4:

C6 (rat glial tumor glial cell)whole cell lysate at 20 µg

Lane 5:

PC-12 (rat adrenal gland pheochromocytoma) whole cell lysate at 20 µg

Secondary

All lanes:

Western blot - Goat Anti-Rabbit IgG H&L (HRP) (<a href='/products/secondary-antibodies/goat-rabbit-igg-h-l-hrp-ab97051'>ab97051</a>) at 1/100000 dilution

Predicted band size: 88 kDa

Observed band size: 97 kDa

false

Western blot - Anti-Golgin 97 antibody [EPR27333-18] (AB308520)
  • WB

Supplier Data

Western blot - Anti-Golgin 97 antibody [EPR27333-18] (AB308520)

Blocking and diluting buffer and concentration : 5% NFDM/TBST. In Western blot, anti-GAPDH antibody (ab181602) loading control staining at 1/200000 dilution. Exposure time : 180 seconds

All lanes:

Western blot - Anti-Golgin 97 antibody [EPR27333-18] (ab308520) at 1/1000 dilution

Lane 1:

Hela (human cervical adenocarcinoma epithelial cell) transfected with scrambled siRNA control whole cell lysate, at 20 µg

Lane 2:

Hela transfected with siRNA specifically targeti Golgin 97 whole cell lysate, at 20 µg

Secondary

All lanes:

Western blot - Goat Anti-Rabbit IgG H&L (HRP) (<a href='/products/secondary-antibodies/goat-rabbit-igg-h-l-hrp-ab97051'>ab97051</a>) at 1/100000 dilution

Predicted band size: 88 kDa

Observed band size: 97 kDa

false

Exposure time: 180s

Western blot - Anti-Golgin 97 antibody [EPR27333-18] (AB308520)
  • WB

Lab

Western blot - Anti-Golgin 97 antibody [EPR27333-18] (AB308520)

Western blot : Anti-GOLGA1 antibody [EPR27333-18] (ab308520) staining at 1/1000 dilution, shown in green; Mouse anti-GAPDH antibody [6C5] (ab8245) loading control staining at 1/20000 dilution, shown in magenta. In Western blot, ab308520 was shown to bind specifically to GOLGA1. A band was observed at 99 kDa in wild-type HCT 116 cell lysates with no signal observed at this size in GOLGA1 knockout cell line. To generate this image, wild-type and GOLGA1 knockout HCT 116 cell lysates were analysed. First, samples were run on an SDS-PAGE gel then transferred onto a nitrocellulose membrane. Membranes were blocked in 3 % milk in TBS-0.1 % Tween® 20 (TBS-T) before incubation with primary antibodies overnight at 4 °C. Blots were washed four times in TBS-T, incubated with secondary antibodies for 1 h at room temperature, washed again four times then imaged. Secondary antibodies used were Goat anti-Rabbit IgG H&L 800CW and Goat anti-Mouse IgG H&L 680RD at 1/20000 dilution.

All lanes:

Western blot - Anti-Golgin 97 antibody [EPR27333-18] (ab308520) at 1/1000 dilution

Lane 1:

Wild-type HCT 116 cell lysate at 20 µg

Lane 2:

GOLGA1 knockout HCT 116 cell lysate at 20 µg

Lane 3:

HeLa cell lysate at 20 µg

Lane 4:

Ramos cell lysate at 20 µg

Secondary

All lanes:

Goat anti-Rabbit IgG H&L 800CW and Goat anti-Mouse IgG H&L 680RD at 1/20000 dilution

Observed band size: 99 kDa

false

Western blot - Anti-Golgin 97 antibody [EPR27333-18] (AB308520)
  • WB

Supplier Data

Western blot - Anti-Golgin 97 antibody [EPR27333-18] (AB308520)

Blocking and diluting buffer and concentration : 5% NFDM/TBST Exposure time : 92 seconds

All lanes:

Western blot - Anti-Golgin 97 antibody [EPR27333-18] (ab308520) at 1/1000 dilution

Lane 1:

Mouse testis tissue lysate at 20 µg

Lane 2:

Rat testis tissue lysate at 20 µg

Lane 3:

Human kidney tissue lysate at 20 µg

Secondary

All lanes:

Goat Anti-Rabbit IgG (HRP) with minimal cross-reactivity with human IgG at 1/2000 dilution

Predicted band size: 88 kDa

Observed band size: 97 kDa

false

Exposure time: 92s

関連する標識済み抗体及び組成の異なる製品 (1)

  • Carrier free

    Anti-Golgin 97 antibody [EPR27333-18] - BSA and Azide free

Key facts

宿主種

Rabbit

クローン性

Monoclonal

クローン番号

EPR27333-18

アイソタイプ

IgG

キャリアフリー

No

交差種

Human, Mouse, Rat

アプリケーション

WB, ICC/IF, IP, Flow Cyt (Intra)

applications

免疫原

The exact immunogen used to generate this antibody is proprietary information.

Reactivity data

{ "title": "Reactivity Data", "filters": { "stats": ["", "Species", "Dilution Info", "Notes"], "tabs": { "all-applications": {"fullname" : "All Applications", "shortname": "All Applications"}, "WB" : {"fullname" : "Western blot", "shortname":"WB"}, "ICCIF" : {"fullname" : "Immunocytochemistry/ Immunofluorescence", "shortname":"ICC/IF"}, "FlowCytIntra" : {"fullname" : "Flow Cytometry (Intracellular)", "shortname":"Flow Cyt (Intra)"}, "IP" : {"fullname" : "Immunoprecipitation", "shortname":"IP"}, "IHCP" : {"fullname" : "Immunohistochemistry (Formalin/PFA-fixed paraffin-embedded sections)", "shortname":"IHC-P"} }, "product-promise": { "all": "all", "testedAndGuaranteed": "tested", "guaranteed": "expected", "predicted": "predicted", "notRecommended": "not-recommended" } }, "values": { "Human": { "WB-species-checked": "testedAndGuaranteed", "WB-species-dilution-info": "1/1000", "WB-species-notes": "<p></p>", "ICCIF-species-checked": "testedAndGuaranteed", "ICCIF-species-dilution-info": "1/250", "ICCIF-species-notes": "<p></p>", "FlowCytIntra-species-checked": "testedAndGuaranteed", "FlowCytIntra-species-dilution-info": "1/500", "FlowCytIntra-species-notes": "<p></p>", "IP-species-checked": "testedAndGuaranteed", "IP-species-dilution-info": "1/30", "IP-species-notes": "<p></p>", "IHCP-species-checked": "notRecommended", "IHCP-species-dilution-info": "", "IHCP-species-notes": "<p></p>" }, "Mouse": { "WB-species-checked": "testedAndGuaranteed", "WB-species-dilution-info": "1/1000", "WB-species-notes": "<p></p>", "ICCIF-species-checked": "testedAndGuaranteed", "ICCIF-species-dilution-info": "1/250", "ICCIF-species-notes": "<p></p>", "FlowCytIntra-species-checked": "testedAndGuaranteed", "FlowCytIntra-species-dilution-info": "1/500", "FlowCytIntra-species-notes": "<p></p>", "IP-species-checked": "guaranteed", "IP-species-dilution-info": "", "IP-species-notes": "", "IHCP-species-checked": "notRecommended", "IHCP-species-dilution-info": "", "IHCP-species-notes": "<p></p>" }, "Rat": { "WB-species-checked": "testedAndGuaranteed", "WB-species-dilution-info": "1/1000", "WB-species-notes": "<p></p>", "ICCIF-species-checked": "guaranteed", "ICCIF-species-dilution-info": "", "ICCIF-species-notes": "", "FlowCytIntra-species-checked": "guaranteed", "FlowCytIntra-species-dilution-info": "", "FlowCytIntra-species-notes": "", "IP-species-checked": "guaranteed", "IP-species-dilution-info": "", "IP-species-notes": "", "IHCP-species-checked": "notRecommended", "IHCP-species-dilution-info": "", "IHCP-species-notes": "<p></p>" } } }

製品の詳細

Patented technology
Our RabMAb® technology is a patented hybridoma-based technology for making rabbit monoclonal antibodies. For details on our patents, please refer to RabMAb® patents.

What are the advantages of a recombinant monoclonal antibody?
This product is a recombinant monoclonal antibody, which offers several advantages including:

  • - High batch-to-batch consistency and reproducibility
  • - Improved sensitivity and specificity
  • - Long-term security of supply
  • - Animal-free batch production

For more information, read more on recombinant antibodies.

出荷温度及び保存条件

製品の状態
Liquid
精製方法
Affinity purification Protein A
バッファー組成
pH: 7.2 - 7.4 Preservative: 0.01% Sodium azide Constituents: PBS, 40% Glycerol (glycerin, glycerine), 0.05% BSA
出荷温度
Blue Ice
短期保存期間
1-2 weeks
短期保存温度
+4°C
長期保存温度
-20°C
分注に関する情報
Upon delivery aliquot
保管に関する情報
Avoid freeze / thaw cycle

補足情報

This supplementary information is collated from multiple sources and compiled automatically.

Golgin-97 also known as Golgin subfamily A member 1 is a protein that plays a significant role in the Golgi apparatus function. This protein has a molecular mass of approximately 97 kDa. Golgin-97 is widely expressed in the Golgi apparatus of eukaryotic cells. Its structure facilitates its function as a membrane-bound protein influencing the organization of the Golgi stack and maintenance of the Golgi ribbon.
Biological function summary

Golgin-97 participates in tethering of transport vesicles to the Golgi membrane ensuring efficient trafficking of proteins to their correct destinations. It is part of the golgin family which includes several coiled-coil proteins critical for Golgi structure and dynamics. Golgin-97 acts within a larger protein complex that interacts with other Golgi-associated proteins to regulate vesicle docking and fusion.

Pathways

Protein and lipid trafficking involve Golgin-97 significantly as it aids in vesicular transport coordination from the endoplasmic reticulum to the Golgi and within the Golgi stacks. The protein interacts closely with Rab GTPases a class of proteins that regulate vesicle movement. Golgin-97's function intertwines with pathways like the secretory pathway and the endocytic pathway linking it to other proteins such as Rab6 and Rab9.

Golgin-97 has associations with pathologies involving Golgi dysfunction and transport defects. For instance it relates to diseases like neurodegenerative disorders where proper protein trafficking is disrupted. The malfunction of Golgin-97 can affect proteins like Alzheimer's disease proteins as vesicular transport failure can lead to their mislocalization or aggregation contributing to disease progression.

製品プロトコール

For this product, it's our understanding that no specific protocols are required. You can visit:

ターゲットの情報

Involved in vesicular trafficking at the Golgi apparatus level. Involved in endosome-to-Golgi trafficking.
See full target information GOLGA1

文献 (1)

Recent publications for all applications. Explore the full list and refine your search

The Journal of clinical investigation 134: PubMed39264847

2024

Lactate supports Treg function and immune balance via MGAT1 effects on N-glycosylation in the mitochondria.

Applications

Unspecified application

Species

Unspecified reactive species

Jinren Zhou,Jian Gu,Qufei Qian,Yigang Zhang,Tianning Huang,Xiangyu Li,Zhuoqun Liu,Qing Shao,Yuan Liang,Lei Qiao,Xiaozhang Xu,Qiuyang Chen,Zibo Xu,Yu Li,Ji Gao,Yufeng Pan,Yiming Wang,Roderick O'Connor,Keli L Hippen,Ling Lu,Bruce R Blazar
View all publications

Abcam product promise

当社は、高品質な試薬を通じてお客様の研究を力強くサポートすることをお約束いたします。ご使用いただく各段階で、常にお客様をサポートできる体制を整えております。万が一、製品が期待通りに機能しない場合は、「Abcam Product Promise」による当社保証制度に基づき、安心してご利用いただけます。
保証に関する詳細については利用規約をご確認ください。

Please note: All products are 'FOR RESEARCH USE ONLY. NOT FOR USE IN DIAGNOSTIC OR THERAPEUTIC PROCEDURES'.

For licensing inquiries, please contact partnerships@abcam.com