JavaScript is disabled in your browser. Please enable JavaScript to view this website.
AB45953

Anti-Glutaredoxin 1 抗体

Anti-Glutaredoxin 1 antibody

5

(2 Reviews)

|

(29 Publications)

Rabbit Polyclonal Glutaredoxin 1 antibody. Suitable for IP, WB, IHC-P, ICC/IF and reacts with Human samples. Cited in 29 publications.

別名を表示する

GRX, GLRX, Glutaredoxin-1, Thioltransferase-1, TTase-1

7 Images
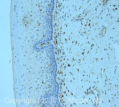
Immunohistochemistry (Formalin/PFA-fixed paraffin-embedded sections) - Anti-Glutaredoxin 1 antibody (AB45953)
  • IHC-P

Unknown

Immunohistochemistry (Formalin/PFA-fixed paraffin-embedded sections) - Anti-Glutaredoxin 1 antibody (AB45953)

IHC image of ab45953 staining in cervix formalin fixed paraffin embedded tissue section, performed on a Leica BondTM system using the standard protocol F. The section was pre-treated using heat mediated antigen retrieval with sodium citrate buffer (pH6, epitope retrieval solution 1) for 20 mins. The section was then incubated with ab45953, 1µg/ml, for 15 mins at room temperature and detected using an HRP conjugated compact polymer system. DAB was used as the chromogen. The section was then counterstained with haematoxylin and mounted with DPX.

For other IHC staining systems (automated and non-automated) customers should optimize variable parameters such as antigen retrieval conditions, primary antibody concentration and antibody incubation times.

Immunocytochemistry/ Immunofluorescence - Anti-Glutaredoxin 1 antibody (AB45953)
  • ICC/IF

Unknown

Immunocytochemistry/ Immunofluorescence - Anti-Glutaredoxin 1 antibody (AB45953)

ICC/IF image of ab45953 stained human HeLa cells. The cells were methanol fixed (5 min), permabilised in TBS-T (20 min) and incubated with the antibody (ab45953, 1μg/ml) for 1h at room temperature. 1%BSA / 10% normal serum / 0.3M glycine was used to quench autofluorescence and block non-specific protein-protein interactions. The secondary antibody (green) was Alexa Fluor® 488 goat anti-rabbit IgG (H+L) used at a 1/1000 dilution for 1h. Alexa Fluor® 594 WGA was used to label plasma membranes (red). DAPI was used to stain the cell nuclei (blue).

Immunoprecipitation - Anti-Glutaredoxin 1 antibody (AB45953)
  • IP

Unknown

Immunoprecipitation - Anti-Glutaredoxin 1 antibody (AB45953)

Glutaredoxin 1 was immunoprecipitated using 0.5mg Jurkat whole cell extract, 5µg of Rabbit polyclonal to Glutaredoxin 1 and 50µl of protein G magnetic beads (+). No antibody was added to the control (-).
The antibody was incubated under agitation with Protein G beads for 10min, Jurkat whole cell extract lysate diluted in RIPA buffer was added to each sample and incubated for a further 10min under agitation.
Proteins were eluted by addition of 40µl SDS loading buffer and incubated for 10min at 70oC; 10µl of each sample was separated on a SDS PAGE gel, transferred to a nitrocellulose membrane, blocked with 5% BSA and probed with ab45953.
Secondary : Clean-Blot IP Detection Reagent (HRP) at 1/500 dilution.
Band : 12kDa; Glutaredoxin 1.

All lanes:

Immunoprecipitation - Anti-Glutaredoxin 1 antibody (ab45953)

Predicted band size: 11 kDa

false

Western blot - Anti-Glutaredoxin 1 antibody (AB45953)
  • WB

Project

Western blot - Anti-Glutaredoxin 1 antibody (AB45953)

All lanes:

Western blot - Anti-Glutaredoxin 1 antibody (ab45953) at 1/250 dilution

All lanes:

Jurkat (Human T cell lymphoblast-like cell line) Whole Cell Lysate at 10 µg

Secondary

All lanes:

Goat polyclonal to Rabbit IgG - H&L - Pre-Adsorbed at 1/3000 dilution

Predicted band size: 11 kDa

Observed band size: 12 kDa,45 kDa,70 kDa

false

Western blot - Anti-Glutaredoxin 1 antibody (AB45953)
  • WB

Lab

Western blot - Anti-Glutaredoxin 1 antibody (AB45953)

Western blot : Rabbit Polyclonal to Glutaredoxin 1 ab45953 staining at 1/250 dilution, shown in black; Mouse anti GAPDH (ab8245) loading control staining at 1/20,000 dilution, shown in magenta. A band was observed at 10 kDa in Wild-type A549 cell lysates with no signal observed at this size in GLRX knockout A549 cell line. To generate this image, samples were run on an SDS-PAGE gel then transferred onto a nitrocellulose membrane. Membranes were blocked in 3pc Milk in TBS-0.1 % Tween® 20 (TBS-T) before incubation with primary antibodies overnight at 4°C. Blots were washed four times in TBS-T, incubated with secondary antibodies for 1 h at room temperature, washed again four times then imaged. Secondary antibodies used were Goat anti-Rabbit HRP (H+L) & Goat anti-Mouse 680RD at 1/20,000 dilution.

All lanes:

Western blot - Anti-Glutaredoxin 1 antibody (ab45953) at 1/250 dilution

Lane 1:

Wild-type A549 at 20 µg

Lane 2:

GLRX knockout A549 at 20 µg

Lane 3:

RKO at 20 µg

Lane 4:

A549 Nuclear at 20 µg

Secondary

Lanes 1 - 4:

Goat anti-Rabbit HRP (H+L) at 1/20000 dilution

Lanes 1 - 4:

Goat anti-Mouse 680RD at 1/20000 dilution

Predicted band size: 12 kDa

Observed band size: 10 kDa

true

Exposure time: 90s

Western blot - Anti-Glutaredoxin 1 antibody (AB45953)
  • WB

Unknown

Western blot - Anti-Glutaredoxin 1 antibody (AB45953)

All lanes:

Western blot - Anti-Glutaredoxin 1 antibody (ab45953) at 1/250 dilution

Lane 1:

Western blot - Recombinant Human Glutaredoxin 1 protein (Tag Free) (<a href='/products/proteins-peptides/recombinant-human-glutaredoxin-1-protein-ab86987'>ab86987</a>) at 0.01 µg

Lane 2:

Western blot - Recombinant Human Glutaredoxin 1 protein (Tag Free) (<a href='/products/proteins-peptides/recombinant-human-glutaredoxin-1-protein-ab86987'>ab86987</a>) at 0.001 µg

Secondary

All lanes:

Western blot - Goat Anti-Rabbit IgG H&L (HRP) preadsorbed (<a href='/products/secondary-antibodies/goat-rabbit-igg-h-l-hrp-preadsorbed-ab97080'>ab97080</a>) at 1/5000 dilution

Predicted band size: 11 kDa

true

Exposure time: 1min

Western blot - Anti-Glutaredoxin 1 antibody (AB45953)
  • WB

Unknown

Western blot - Anti-Glutaredoxin 1 antibody (AB45953)

All lanes:

Western blot - Anti-Glutaredoxin 1 antibody (ab45953) at 1/250 dilution

Lane 1:

Western blot - Recombinant Human Glutaredoxin 1 protein (Tag Free) (<a href='/products/proteins-peptides/recombinant-human-glutaredoxin-1-protein-ab86987'>ab86987</a>) at 0.01 µg

Lane 2:

Western blot - Recombinant Human Glutaredoxin 1 protein (Tag Free) (<a href='/products/proteins-peptides/recombinant-human-glutaredoxin-1-protein-ab86987'>ab86987</a>) at 0.001 µg

Secondary

All lanes:

Western blot - Goat Anti-Rabbit IgG H&L (HRP) preadsorbed (<a href='/products/secondary-antibodies/goat-rabbit-igg-h-l-hrp-preadsorbed-ab97080'>ab97080</a>) at 1/5000 dilution

Predicted band size: 11 kDa

true

Exposure time: 1min

Key facts

宿主種

Rabbit

クローン性

Polyclonal

アイソタイプ

IgG

キャリアフリー

No

交差種

Human

アプリケーション

IHC-P, IP, ICC/IF, WB

applications

免疫原

The exact immunogen used to generate this antibody is proprietary information.

Reactivity data

{ "title": "Reactivity Data", "filters": { "stats": ["", "Species", "Dilution Info", "Notes"], "tabs": { "all-applications": {"fullname" : "All Applications", "shortname": "All Applications"}, "IP" : {"fullname" : "Immunoprecipitation", "shortname":"IP"}, "WB" : {"fullname" : "Western blot", "shortname":"WB"}, "IHCP" : {"fullname" : "Immunohistochemistry (Formalin/PFA-fixed paraffin-embedded sections)", "shortname":"IHC-P"}, "ICCIF" : {"fullname" : "Immunocytochemistry/ Immunofluorescence", "shortname":"ICC/IF"} }, "product-promise": { "all": "all", "testedAndGuaranteed": "tested", "guaranteed": "expected", "predicted": "predicted", "notRecommended": "not-recommended" } }, "values": { "Human": { "IP-species-checked": "testedAndGuaranteed", "IP-species-dilution-info": "5 µg/mL", "IP-species-notes": "<p></p>", "WB-species-checked": "testedAndGuaranteed", "WB-species-dilution-info": "1/250", "WB-species-notes": "<p></p>", "IHCP-species-checked": "testedAndGuaranteed", "IHCP-species-dilution-info": "", "IHCP-species-notes": "<p></p>", "ICCIF-species-checked": "testedAndGuaranteed", "ICCIF-species-dilution-info": "1 µg/mL", "ICCIF-species-notes": "<p></p>" }, "Mouse": { "IP-species-checked": "predicted", "IP-species-dilution-info": "", "IP-species-notes": "", "WB-species-checked": "predicted", "WB-species-dilution-info": "", "WB-species-notes": "", "IHCP-species-checked": "predicted", "IHCP-species-dilution-info": "", "IHCP-species-notes": "", "ICCIF-species-checked": "predicted", "ICCIF-species-dilution-info": "", "ICCIF-species-notes": "" }, "Cow": { "IP-species-checked": "predicted", "IP-species-dilution-info": "", "IP-species-notes": "", "WB-species-checked": "predicted", "WB-species-dilution-info": "", "WB-species-notes": "", "IHCP-species-checked": "predicted", "IHCP-species-dilution-info": "", "IHCP-species-notes": "", "ICCIF-species-checked": "predicted", "ICCIF-species-dilution-info": "", "ICCIF-species-notes": "" }, "Pig": { "IP-species-checked": "predicted", "IP-species-dilution-info": "", "IP-species-notes": "", "WB-species-checked": "predicted", "WB-species-dilution-info": "", "WB-species-notes": "", "IHCP-species-checked": "predicted", "IHCP-species-dilution-info": "", "IHCP-species-notes": "", "ICCIF-species-checked": "predicted", "ICCIF-species-dilution-info": "", "ICCIF-species-notes": "" }, "Rabbit": { "IP-species-checked": "predicted", "IP-species-dilution-info": "", "IP-species-notes": "", "WB-species-checked": "predicted", "WB-species-dilution-info": "", "WB-species-notes": "", "IHCP-species-checked": "predicted", "IHCP-species-dilution-info": "", "IHCP-species-notes": "", "ICCIF-species-checked": "predicted", "ICCIF-species-dilution-info": "", "ICCIF-species-notes": "" } } }

出荷温度及び保存条件

製品の状態
Liquid
精製方法
Affinity purification Immunogen
バッファー組成
pH: 7.4 Preservative: 0.02% Sodium azide Constituents: PBS, 1% BSA
出荷温度
Blue Ice
短期保存期間
1-2 weeks
短期保存温度
+4°C
長期保存温度
-20°C
分注に関する情報
Upon delivery aliquot
保管に関する情報
Avoid freeze / thaw cycle

補足情報

This supplementary information is collated from multiple sources and compiled automatically.

Glutaredoxin 1 also known as GLRX or thioltransferase is a small protein with a mass of around 12 kDa. It functions mechanically by catalyzing the reduction of disulfide bonds in proteins using glutathione as a cofactor. This enzyme plays a critical role in maintaining the redox balance within cells. Glutaredoxin 1 is widely expressed in various tissues with particularly high levels in the liver and brain. Its ubiquitous expression highlights its importance in cellular processes requiring reduction-oxidation reactions.
Biological function summary

This enzyme acts as an important regulator in cellular redox homeostasis and defense against oxidative stress. Glutaredoxin 1 does not technically form a complex but often interacts with multiple other proteins to modulate their redox state. It is involved in the regulation of apoptosis signaling pathways and the repair of oxidatively damaged proteins. Through these actions Glutaredoxin 1 protects cells from damage and maintains proper cellular function.

Pathways

Glutaredoxin 1 participates in key processes like the regulation of the thiol-disulfide balance and the glutathione metabolism pathway. These pathways are important for cellular detoxification and antioxidant defense. It works closely with glutathione peroxidase to mitigate oxidative damage and preserves cellular integrity by ensuring reduced forms of cysteine residues on proteins. This function links Glutaredoxin 1 to other proteins such as thioredoxin which shares similar roles in oxidative stress management.

Glutaredoxin 1 plays a significant part in neurodegenerative diseases and cardiovascular disorders. Its role in managing oxidative stress links it to conditions such as Alzheimer's disease where oxidative damage is a known contributor to disease progression. The relationship between Glutaredoxin 1 and proteins like amyloid-beta prevalent in Alzheimer's further highlights its importance. In cardiovascular disorders Glutaredoxin 1 influences the function of endothelial nitric oxide synthase a protein important for vascular health suggesting its involvement in maintaining vascular function and preventing cardiovascular diseases.

製品プロトコール

For this product, it's our understanding that no specific protocols are required. You can visit:

ターゲットの情報

Has a glutathione-disulfide oxidoreductase activity in the presence of NADPH and glutathione reductase. Reduces low molecular weight disulfides and proteins.
See full target information GLRX

文献 (29)

Recent publications for all applications. Explore the full list and refine your search

The Journal of clinical investigation 135: PubMed39808494

2025

Impaired hydrogen sulfide biosynthesis underlies eccentric contraction-induced force loss in dystrophin-deficient skeletal muscle.

Applications

Unspecified application

Species

Unspecified reactive species

W Michael Southern,Erynn E Johnson,Elizabeth K Fasbender,Katherine S Fallon,Courtney L Cavazos,Dawn A Lowe,George G Rodney,James M Ervasti

Biomolecules & therapeutics 33:117-128 PubMed39632667

2024

Glutathione's Role in Liver Metabolism and Hangover Symptom Relief: Dysregulation of Protein S-Glutathionylation and Antioxidant Enzymes.

Applications

Unspecified application

Species

Unspecified reactive species

Hwa-Young Lee,Geum-Hwa Lee,Do-Sung Kim,Young Jae Lim,Boram Cho,Hojung Jung,Hyun-Shik Choi,Soonok Sa,Wookyung Chung,Hyewon Lee,Myoung Ja Chung,Junghyun Kim,Han-Jung Chae

Molecular therapy. Methods & clinical development 32:101214 PubMed38496303

2024

Glutaredoxin-1 modulates the NF-κB signaling pathway to activate inducible nitric oxide synthase in experimental necrotizing enterocolitis.

Applications

Unspecified application

Species

Unspecified reactive species

Yunfei Zhang,Mei Yan,Yingying Xia,Yingbin Yue,Shuli Wang,Yuhui Hu,Genjian Lai,Quanjiang Wu,Qianyang Liu,Xin Ding,Chunbao Guo

Antioxidants (Basel, Switzerland) 12: PubMed37507901

2023

Disturbances of the Lung Glutathione System in Adult Guinea Pigs Following Neonatal Vitamin C or Cysteine Deficiency.

Applications

Unspecified application

Species

Unspecified reactive species

Vitor Teixeira,Ibrahim Mohamed,Jean-Claude Lavoie

Clinical and translational medicine 13:e1333 PubMed37478294

2023

Glutaredoxin-1 promotes lymphangioleiomyomatosis progression through inhibiting Bim-mediated apoptosis via COX2/PGE2/ERK pathway.

Applications

Unspecified application

Species

Unspecified reactive species

Ya Feng,Tianjiao Li,Yin Li,Zhoujun Lin,Xiao Han,Xiaolin Pei,Yupeng Zhang,Fei Li,Juan Yang,Di Shao,Chenggang Li

Arteriosclerosis, thrombosis, and vascular biology 43:e339-e357 PubMed37288573

2023

Redox Dysregulation of Vascular Smooth Muscle Sirtuin-1 in Thoracic Aortic Aneurysm in Marfan Syndrome.

Applications

Unspecified application

Species

Unspecified reactive species

Enkhjargal Budbazar,Sandra Sulser Ponce De Leon,Yuko Tsukahara,Hanxiao Liu,Yuhao Huangfu,Yu Wang,Pedro Maria Seabra,Xiaoqiu Yang,Jena Brooke Goodman,Xueping Wan,Vipul Chitalia,Jingyan Han,Francesca Seta

Redox biology 62:102676 PubMed36989576

2023

Glutaredoxin 1 protects lens epithelial cells from epithelial-mesenchymal transition by preventing casein kinase 1α S-glutathionylation during posterior capsular opacification.

Applications

Unspecified application

Species

Unspecified reactive species

Chenshuang Li,Xi Chen,Siqi Zhang,Chen Liang,Xiaopan Ma,Ruixue Zhang,Hong Yan

Frontiers in chemistry 10:996604 PubMed36385982

2022

A macrocyclic molecule with multiple antioxidative activities protects the lens from oxidative damage.

Applications

Unspecified application

Species

Unspecified reactive species

Jinmin Zhang,Yu Yu,Magy A Mekhail,Hongli Wu,Kayla N Green

eNeuro 9: PubMed34983831

2022

Mechanism of miR-132-3p Promoting Neuroinflammation and Dopaminergic Neurodegeneration in Parkinson's Disease.

Applications

Unspecified application

Species

Unspecified reactive species

Xin Gong,Mengyi Huang,Lei Chen

Nature communications 12:7094 PubMed34876574

2021

Oxidative stress-induced FABP5 S-glutathionylation protects against acute lung injury by suppressing inflammation in macrophages.

Applications

Unspecified application

Species

Unspecified reactive species

Yuxian Guo,Yaru Liu,Shihao Zhao,Wangting Xu,Yiqing Li,Pengwei Zhao,Di Wang,Hongqiang Cheng,Yuehai Ke,Xue Zhang
View all publications

Abcam product promise

当社は、高品質な試薬を通じてお客様の研究を力強くサポートすることをお約束いたします。ご使用いただく各段階で、常にお客様をサポートできる体制を整えております。万が一、製品が期待通りに機能しない場合は、「Abcam Product Promise」による当社保証制度に基づき、安心してご利用いただけます。
保証に関する詳細については利用規約をご確認ください。

Please note: All products are 'FOR RESEARCH USE ONLY. NOT FOR USE IN DIAGNOSTIC OR THERAPEUTIC PROCEDURES'.

For licensing inquiries, please contact partnerships@abcam.com