JavaScript is disabled in your browser. Please enable JavaScript to view this website.
AB228590

Anti-Glutamine Synthetase 抗体

Anti-Glutamine Synthetase antibody

Be the first to review this product! Submit a review

|

(15 Publications)

Rabbit Polyclonal Glutamine Synthetase antibody. Suitable for IP, WB, IHC-P, ICC/IF, IHC-Fr and reacts with Human, Mouse, Rat, Zebrafish samples. Cited in 15 publications. Immunogen corresponding to Recombinant Full Length Protein corresponding to Human GLUL.

別名を表示する

GLNS, GLUL, Glutamine synthetase, GS, Glutamate--ammonia ligase, Palmitoyltransferase GLUL

14 Images
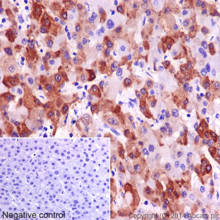
Immunohistochemistry (Formalin/PFA-fixed paraffin-embedded sections) - Anti-Glutamine Synthetase antibody (AB228590)
  • IHC-P

Supplier Data

Immunohistochemistry (Formalin/PFA-fixed paraffin-embedded sections) - Anti-Glutamine Synthetase antibody (AB228590)

Paraffin-embedded H441 (human) xenograft tissue stained for Glutamine Synthetase using ab228590 at 1/500 dilution in immunohistochemical analysis.

Immunoprecipitation - Anti-Glutamine Synthetase antibody (AB228590)
  • IP

Supplier Data

Immunoprecipitation - Anti-Glutamine Synthetase antibody (AB228590)

Glutamine Synthetase was immunoprecipitated from IMR32 whole cell extract with 5 μg of ab228590. Western blot was performed from the immunoprecipitate using ab228590. Anti-Rabbit IgG was used as a secondary reagent.

Lane 1 : Control IgG instead of ab228590 in IMR32 whole cell extract.
Lane 2 : ab228590 IP in IMR32 whole cell extract.

All lanes:

Immunoprecipitation - Anti-Glutamine Synthetase antibody (ab228590)

Predicted band size: 42 kDa

false

Immunohistochemistry (Formalin/PFA-fixed paraffin-embedded sections) - Anti-Glutamine Synthetase antibody (AB228590)
  • IHC-P

Supplier Data

Immunohistochemistry (Formalin/PFA-fixed paraffin-embedded sections) - Anti-Glutamine Synthetase antibody (AB228590)

Paraffin-embedded adult mouse retina tissue stained for Glutamine Synthetase (green) using ab228590 at 1/250 dilution in immunohistochemical analysis.

Nuclear counter stain : Fluoroshield with DAPI (blue). beta Tubulin 3/Tuj1 was stained by an anti-beta Tubulin 3/Tuj1 antibody (red) at 1/250 dilution.

Immunocytochemistry/ Immunofluorescence - Anti-Glutamine Synthetase antibody (AB228590)
  • ICC/IF

Supplier Data

Immunocytochemistry/ Immunofluorescence - Anti-Glutamine Synthetase antibody (AB228590)

Paraformaldehyde-fixed DIV9 rat E18 primary cortical neurons stained for Glutamine Synthetase (green) using ab228590 at 1/500 dilution in ICF/IF.

Nuclear counter stain : Fluoroshield with DAPI (blue). beta Tubulin 3/Tuj1 was stained by an anti-beta Tubulin 3/Tuj1 antibody (red) at 1/500 dilution.

Immunohistochemistry (Frozen sections) - Anti-Glutamine Synthetase antibody (AB228590)
  • IHC-Fr

Supplier Data

Immunohistochemistry (Frozen sections) - Anti-Glutamine Synthetase antibody (AB228590)

Frozen sections of adult mouse cerebellum tissue stained for Glutamine Synthetase (green) using ab228590 at 1/250 dilution in immunohistochemical analysis.

Nuclear counter stain : Fluoroshield with DAPI (blue). beta Tubulin 3/Tuj1 was stained by an anti-beta Tubulin 3/Tuj1 antibody (red) at 1/500 dilution.

Western blot - Anti-Glutamine Synthetase antibody (AB228590)
  • WB

Supplier Data

Western blot - Anti-Glutamine Synthetase antibody (AB228590)

10% SDS-PAGE gel.

All lanes:

Western blot - Anti-Glutamine Synthetase antibody (ab228590) at 1/1000 dilution

Lane 1:

Non-transfected HEK-293T (human epithelial cell line from embryonic kidney transformed with large T antigen) whole cell extract at 30 µg

Lane 2:

HEK-293T (human epithelial cell line from embryonic kidney transformed with large T antigen) transfected with Glutamine Synthetase shRNA, whole cell extract at 30 µg

Secondary

All lanes:

HRP-conjugated anti-rabbit IgG

Predicted band size: 42 kDa

false

Western blot - Anti-Glutamine Synthetase antibody (AB228590)
  • WB

Supplier Data

Western blot - Anti-Glutamine Synthetase antibody (AB228590)

Samples were separated by 10% SDS-PAGE.

All lanes:

Western blot - Anti-Glutamine Synthetase antibody (ab228590) at 1/1000 dilution

Lane 1:

U87-MG whole cell extracts at 30 µg

Lane 2:

SK-N-SH whole cell extracts at 30 µg

Lane 3:

IMR32 whole cell extracts at 30 µg

Lane 4:

SK-N-AS whole cell extracts at 30 µg

Secondary

All lanes:

HRP-conjugated anti-rabbit IgG antibody

Predicted band size: 42 kDa

false

Western blot - Anti-Glutamine Synthetase antibody (AB228590)
  • WB

Supplier Data

Western blot - Anti-Glutamine Synthetase antibody (AB228590)

Samples were separated by 10% SDS-PAGE.

All lanes:

Western blot - Anti-Glutamine Synthetase antibody (ab228590) at 1/1000 dilution

Lane 1:

HeLa whole cell extracts at 30 µg

Lane 2:

SK-MEL-28 whole cell extracts at 30 µg

Secondary

All lanes:

HRP-conjugated anti-rabbit IgG antibody

Predicted band size: 42 kDa

false

Western blot - Anti-Glutamine Synthetase antibody (AB228590)
  • WB

Supplier Data

Western blot - Anti-Glutamine Synthetase antibody (AB228590)

Samples were separated by 10% SDS-PAGE.

All lanes:

Western blot - Anti-Glutamine Synthetase antibody (ab228590) at 1/10000 dilution

Lane 1:

Non-transfected (-) 293T whole cell extracts at 30 µg

Lane 2:

Transfected (+) 293T whole cell extracts at 30 µg

Secondary

All lanes:

HRP-conjugated anti-rabbit IgG antibody

Predicted band size: 42 kDa

false

Western blot - Anti-Glutamine Synthetase antibody (AB228590)
  • WB

Supplier Data

Western blot - Anti-Glutamine Synthetase antibody (AB228590)

Samples were separated by 10% SDS-PAGE.

All lanes:

Western blot - Anti-Glutamine Synthetase antibody (ab228590) at 1/50000 dilution

All lanes:

Mouse brain tissue extract at 50 µg

Predicted band size: 42 kDa

false

Western blot - Anti-Glutamine Synthetase antibody (AB228590)
  • WB

Supplier Data

Western blot - Anti-Glutamine Synthetase antibody (AB228590)

Samples were separated by 10% SDS-PAGE.

All lanes:

Western blot - Anti-Glutamine Synthetase antibody (ab228590) at 1/50000 dilution

All lanes:

Rat brain tissue extract at 50 µg

Predicted band size: 42 kDa

false

Western blot - Anti-Glutamine Synthetase antibody (AB228590)
  • WB

Supplier Data

Western blot - Anti-Glutamine Synthetase antibody (AB228590)

Samples were separated by 10% SDS-PAGE.

All lanes:

Western blot - Anti-Glutamine Synthetase antibody (ab228590) at 1/20000 dilution

All lanes:

Mouse eye tissue extract at 50 µg

Predicted band size: 42 kDa

false

Western blot - Anti-Glutamine Synthetase antibody (AB228590)
  • WB

Supplier Data

Western blot - Anti-Glutamine Synthetase antibody (AB228590)

Samples were separated by 10% SDS-PAGE.

All lanes:

Western blot - Anti-Glutamine Synthetase antibody (ab228590) at 1/10000 dilution

All lanes:

Whole zebrafish extract at 30 µg

Predicted band size: 42 kDa

false

Western blot - Anti-Glutamine Synthetase antibody (AB228590)
  • WB

Supplier Data

Western blot - Anti-Glutamine Synthetase antibody (AB228590)

Samples were separated by 10% SDS-PAGE.

All lanes:

Western blot - Anti-Glutamine Synthetase antibody (ab228590) at 1/1000 dilution

Lane 1:

Zebrafish brain tissue extracts at 30 µg

Lane 2:

Zebrafish liver tissue extracts at 30 µg

Lane 3:

Zebrafish ovary tissue extracts at 30 µg

Lane 4:

Zebrafish muscle tissue extracts at 30 µg

Predicted band size: 42 kDa

false

Key facts

宿主種

Rabbit

クローン性

Polyclonal

アイソタイプ

IgG

キャリアフリー

No

交差種

Mouse, Human, Rat, Zebrafish

アプリケーション

IP, ICC/IF, WB, IHC-Fr, IHC-P

applications

免疫原

Recombinant Full Length Protein corresponding to Human GLUL.

P15104

Reactivity data

{ "title": "Reactivity Data", "filters": { "stats": ["", "Species", "Dilution Info", "Notes"], "tabs": { "all-applications": {"fullname" : "All Applications", "shortname": "All Applications"}, "IP" : {"fullname" : "Immunoprecipitation", "shortname":"IP"}, "WB" : {"fullname" : "Western blot", "shortname":"WB"}, "IHCP" : {"fullname" : "Immunohistochemistry (Formalin/PFA-fixed paraffin-embedded sections)", "shortname":"IHC-P"}, "ICCIF" : {"fullname" : "Immunocytochemistry/ Immunofluorescence", "shortname":"ICC/IF"}, "IHCFr" : {"fullname" : "Immunohistochemistry (Frozen sections)", "shortname":"IHC-Fr"} }, "product-promise": { "all": "all", "testedAndGuaranteed": "tested", "guaranteed": "expected", "predicted": "predicted", "notRecommended": "not-recommended" } }, "values": { "Human": { "IP-species-checked": "testedAndGuaranteed", "IP-species-dilution-info": "1/100 - 1/500", "IP-species-notes": "<p></p>", "WB-species-checked": "testedAndGuaranteed", "WB-species-dilution-info": "1/5000 - 1/20000", "WB-species-notes": "<p></p>", "IHCP-species-checked": "testedAndGuaranteed", "IHCP-species-dilution-info": "1/100 - 1/1000", "IHCP-species-notes": "<p></p>", "ICCIF-species-checked": "guaranteed", "ICCIF-species-dilution-info": "", "ICCIF-species-notes": "", "IHCFr-species-checked": "guaranteed", "IHCFr-species-dilution-info": "", "IHCFr-species-notes": "" }, "Mouse": { "IP-species-checked": "guaranteed", "IP-species-dilution-info": "", "IP-species-notes": "", "WB-species-checked": "testedAndGuaranteed", "WB-species-dilution-info": "1/5000 - 1/20000", "WB-species-notes": "<p></p>", "IHCP-species-checked": "testedAndGuaranteed", "IHCP-species-dilution-info": "1/100 - 1/1000", "IHCP-species-notes": "<p></p>", "ICCIF-species-checked": "guaranteed", "ICCIF-species-dilution-info": "", "ICCIF-species-notes": "", "IHCFr-species-checked": "testedAndGuaranteed", "IHCFr-species-dilution-info": "1/100 - 1/1000", "IHCFr-species-notes": "<p></p>" }, "Rat": { "IP-species-checked": "guaranteed", "IP-species-dilution-info": "", "IP-species-notes": "", "WB-species-checked": "testedAndGuaranteed", "WB-species-dilution-info": "1/5000 - 1/20000", "WB-species-notes": "<p></p>", "IHCP-species-checked": "guaranteed", "IHCP-species-dilution-info": "", "IHCP-species-notes": "", "ICCIF-species-checked": "testedAndGuaranteed", "ICCIF-species-dilution-info": "1/100 - 1/1000", "ICCIF-species-notes": "<p></p>", "IHCFr-species-checked": "guaranteed", "IHCFr-species-dilution-info": "", "IHCFr-species-notes": "" }, "Chimpanzee": { "IP-species-checked": "predicted", "IP-species-dilution-info": "", "IP-species-notes": "", "WB-species-checked": "predicted", "WB-species-dilution-info": "", "WB-species-notes": "", "IHCP-species-checked": "predicted", "IHCP-species-dilution-info": "", "IHCP-species-notes": "", "ICCIF-species-checked": "predicted", "ICCIF-species-dilution-info": "", "ICCIF-species-notes": "", "IHCFr-species-checked": "predicted", "IHCFr-species-dilution-info": "", "IHCFr-species-notes": "" }, "Cow": { "IP-species-checked": "predicted", "IP-species-dilution-info": "", "IP-species-notes": "", "WB-species-checked": "predicted", "WB-species-dilution-info": "", "WB-species-notes": "", "IHCP-species-checked": "predicted", "IHCP-species-dilution-info": "", "IHCP-species-notes": "", "ICCIF-species-checked": "predicted", "ICCIF-species-dilution-info": "", "ICCIF-species-notes": "", "IHCFr-species-checked": "predicted", "IHCFr-species-dilution-info": "", "IHCFr-species-notes": "" }, "Dog": { "IP-species-checked": "predicted", "IP-species-dilution-info": "", "IP-species-notes": "", "WB-species-checked": "predicted", "WB-species-dilution-info": "", "WB-species-notes": "", "IHCP-species-checked": "predicted", "IHCP-species-dilution-info": "", "IHCP-species-notes": "", "ICCIF-species-checked": "predicted", "ICCIF-species-dilution-info": "", "ICCIF-species-notes": "", "IHCFr-species-checked": "predicted", "IHCFr-species-dilution-info": "", "IHCFr-species-notes": "" }, "Pig": { "IP-species-checked": "predicted", "IP-species-dilution-info": "", "IP-species-notes": "", "WB-species-checked": "predicted", "WB-species-dilution-info": "", "WB-species-notes": "", "IHCP-species-checked": "predicted", "IHCP-species-dilution-info": "", "IHCP-species-notes": "", "ICCIF-species-checked": "predicted", "ICCIF-species-dilution-info": "", "ICCIF-species-notes": "", "IHCFr-species-checked": "predicted", "IHCFr-species-dilution-info": "", "IHCFr-species-notes": "" }, "Rhesus monkey": { "IP-species-checked": "predicted", "IP-species-dilution-info": "", "IP-species-notes": "", "WB-species-checked": "predicted", "WB-species-dilution-info": "", "WB-species-notes": "", "IHCP-species-checked": "predicted", "IHCP-species-dilution-info": "", "IHCP-species-notes": "", "ICCIF-species-checked": "predicted", "ICCIF-species-dilution-info": "", "ICCIF-species-notes": "", "IHCFr-species-checked": "predicted", "IHCFr-species-dilution-info": "", "IHCFr-species-notes": "" }, "Zebrafish": { "IP-species-checked": "guaranteed", "IP-species-dilution-info": "", "IP-species-notes": "", "WB-species-checked": "testedAndGuaranteed", "WB-species-dilution-info": "1/5000 - 1/20000", "WB-species-notes": "<p></p>", "IHCP-species-checked": "guaranteed", "IHCP-species-dilution-info": "", "IHCP-species-notes": "", "ICCIF-species-checked": "guaranteed", "ICCIF-species-dilution-info": "", "ICCIF-species-notes": "", "IHCFr-species-checked": "guaranteed", "IHCFr-species-dilution-info": "", "IHCFr-species-notes": "" } } }

出荷温度及び保存条件

製品の状態
Liquid
精製方法
Affinity purification Immunogen
バッファー組成
pH: 7 Preservative: 0.025% Proclin 300 Constituents: PBS, 20% Glycerol (glycerin, glycerine)
出荷温度
Blue Ice
短期保存期間
1-2 weeks
短期保存温度
+4°C
長期保存温度
-20°C
分注に関する情報
Upon delivery aliquot
保管に関する情報
Avoid freeze / thaw cycle

補足情報

This supplementary information is collated from multiple sources and compiled automatically.

Glutamine synthetase also known as glutamine s synthetase or glnA is an enzyme that catalyzes the ATP-dependent conversion of glutamate and ammonia into glutamine. This reaction plays an important role in nitrogen metabolism. Glutamine synthetase has a molecular weight of approximately 620 kDa and forms a multimeric structure commonly seen in bacteria plants and animal tissues with significant expression in the brain liver and kidneys.
Biological function summary

This enzyme supports the detoxification of ammonia by incorporating it into glutamine an essential amino acid and nitrogen donor. Glutamine synthetase operates independently rather than as part of a larger protein complex. It assists in maintaining cellular nitrogen balance and facilitates the synthesis of proteins and other nitrogen-containing molecules. Glutamine peptides serve vital roles in cellular processes underlining the significance of their synthesis.

Pathways

Glutamine synthetase integrates into the glutamate and glutamine cycle between neurons and glial cells highlighting its part in neurotransmitter metabolism. It also features prominently in the urea cycle influencing nitrogen disposal in organisms. Glutamine synthetase interacts with glutaminase which assists in transforming glutamine back to glutamate maintaining a balance of nitrogenous compounds within these pathways.

Glutamine synthetase abnormalities link to hepatic encephalopathy and neurodegenerative disorders such as Alzheimer's disease. Altered enzyme expression contributes to increased ammonia levels adversely affecting brain function. In Alzheimer's disease connections with tau and amyloid-beta proteins suggest a link between glutamine synthetase activity and neurotoxic events. Understanding these interactions may offer insights into therapeutic approaches for these conditions.

製品プロトコール

For this product, it's our understanding that no specific protocols are required. You can visit:

ターゲットの情報

Glutamine synthetase that catalyzes the ATP-dependent conversion of glutamate and ammonia to glutamine (PubMed : 16267323, PubMed : 30158707, PubMed : 36289327). Its role depends on tissue localization : in the brain, it regulates the levels of toxic ammonia and converts neurotoxic glutamate to harmless glutamine, whereas in the liver, it is one of the enzymes responsible for the removal of ammonia (By similarity). Essential for proliferation of fetal skin fibroblasts (PubMed : 18662667). Independently of its glutamine synthetase activity, required for endothelial cell migration during vascular development : acts by regulating membrane localization and activation of the GTPase RHOJ, possibly by promoting RHOJ palmitoylation (PubMed : 30158707). May act as a palmitoyltransferase for RHOJ : able to autopalmitoylate and then transfer the palmitoyl group to RHOJ (PubMed : 30158707). Plays a role in ribosomal 40S subunit biogenesis (PubMed : 26711351). Through the interaction with BEST2, inhibits BEST2 channel activity by affecting the gating at the aperture in the absence of intracellular L-glutamate, but sensitizes BEST2 to intracellular L-glutamate, which promotes the opening of BEST2 and thus relieves its inhibitory effect on BEST2 (PubMed : 36289327).
See full target information GLUL

文献 (15)

Recent publications for all applications. Explore the full list and refine your search

The Journal of biological chemistry 301:108111 PubMed39706273

2024

PRDX4 mitigates diabetic retinopathy by inhibiting reactive gliosis, apoptosis, ER stress, oxidative stress, and mitochondrial dysfunction in Müller cells.

Applications

Unspecified application

Species

Unspecified reactive species

Yue Huang,Yuting Zhang,Yuan Liu,Yinan Jin,Hongwei Yang

Journal of cellular physiology 240:e31482 PubMed39605294

2024

Spontaneously Immortalised Nonhuman Primate Müller Glia Cell Lines as Source to Explore Retinal Reprogramming Mechanisms for Cell Therapies.

Applications

Unspecified application

Species

Unspecified reactive species

Ahmed Salman,Arantxa Bolinches-Amorós,Tina Storm,Daniela Moralli,Paulina Bryika,Angela J Russell,Stephen G Davies,Alun R Barnard,Robert E MacLaren

International journal of ophthalmology 17:1800-1808 PubMed39430007

2024

Impaired pericyte-Müller glia interaction PDGFRβ suppression aggravates photoreceptor loss in a rodent model of light-induced retinal injury.

Applications

Unspecified application

Species

Unspecified reactive species

Wei Xu,Li-Jin Cui,Xiao-Ying Yang,Xiao-Yuan Cui,Jian Guo,Guo-Xing Xu

Journal of neuroinflammation 21:190 PubMed39095775

2024

CD44 signaling in Müller cells impacts photoreceptor function and survival in healthy and diseased retinas.

Applications

Unspecified application

Species

Unspecified reactive species

Monika Ayten,Tobias Straub,Lew Kaplan,Stefanie M Hauck,Antje Grosche,Susanne F Koch

Molecular metabolism 88:101994 PubMed39032643

2024

Metabolic plasticity in a Pde6b retinitis pigmentosa mouse model following rescue.

Applications

Unspecified application

Species

Unspecified reactive species

Monika Ayten,Nundehui Díaz-Lezama,Hanaa Ghanawi,Felia C Haffelder,Jacqueline Kajtna,Tobias Straub,Marco Borso,Axel Imhof,Stefanie M Hauck,Susanne F Koch

Physiological reports 11:e15837 PubMed37813559

2023

In utero, lactational, or peripartal fluoxetine administration has differential implications on the murine maternal skeleton.

Applications

Unspecified application

Species

Unspecified reactive species

Hannah P Fricke,Chandler J Krajco,Molly J Perry,Maggie A Reisner,Lauren J Brettingen,Lella A Wake,Julia F Charles,Laura L Hernandez

Nature cancer 5:85-99 PubMed37814010

2023

Targeting pancreatic cancer metabolic dependencies through glutamine antagonism.

Applications

Unspecified application

Species

Unspecified reactive species

Joel Encarnación-Rosado,Albert S W Sohn,Douglas E Biancur,Elaine Y Lin,Victoria Osorio-Vasquez,Tori Rodrick,Diana González-Baerga,Ende Zhao,Yumi Yokoyama,Diane M Simeone,Drew R Jones,Seth J Parker,Robert Wild,Alec C Kimmelman

Cell reports. Medicine 4:101209 PubMed37757825

2023

Hyperglycemia-regulated tRNA-derived fragment tRF-3001a propels neurovascular dysfunction in diabetic mice.

Applications

Unspecified application

Species

Unspecified reactive species

Jun-Ya Zhu,Wen Yao,Xi-Sen Ni,Mu-Di Yao,Wen Bai,Tian-Jing Yang,Zi-Ran Zhang,Xiu-Miao Li,Qin Jiang,Biao Yan

Pharmaceuticals (Basel, Switzerland) 16: PubMed37513944

2023

EYE-503: A Novel Retinoic Acid Drug for Treating Retinal Neurodegeneration.

Applications

Unspecified application

Species

Unspecified reactive species

Sha Liu,Yuke Ji,Huan Li,Ling Ren,Junya Zhu,Tianjing Yang,Xiumiao Li,Jin Yao,Xin Cao,Biao Yan

Advanced materials (Deerfield Beach, Fla.) 35:e2209690 PubMed36527723

2023

A Novel "Inside-Out" Intraocular Nanomedicine Delivery Mode for Nanomaterials' Biological Effect Enhanced Choroidal Neovascularization Occlusion and Microenvironment Regulation.

Applications

Unspecified application

Species

Unspecified reactive species

Yingying Jin,Yishun Guo,Jianhua Yang,Xiaoying Chu,Xiaomin Huang,Qingying Wang,Yanlin Zeng,Lili Su,Si Lu,Chenyang Wang,Jie Yang,Jia Qu,Yingwei Yang,Bailiang Wang
View all publications

Abcam product promise

当社は、高品質な試薬を通じてお客様の研究を力強くサポートすることをお約束いたします。ご使用いただく各段階で、常にお客様をサポートできる体制を整えております。万が一、製品が期待通りに機能しない場合は、「Abcam Product Promise」による当社保証制度に基づき、安心してご利用いただけます。
保証に関する詳細については利用規約をご確認ください。

Please note: All products are 'FOR RESEARCH USE ONLY. NOT FOR USE IN DIAGNOSTIC OR THERAPEUTIC PROCEDURES'.

For licensing inquiries, please contact partnerships@abcam.com