JavaScript is disabled in your browser. Please enable JavaScript to view this website.
AB183797

Anti-Glutamate Receptor 1 (AMPA subtype) 抗体 [EPR19522]

Anti-Glutamate Receptor 1 (AMPA subtype) antibody [EPR19522]

5

(1 Review)

|

(30 Publications)

Anti-Glutamate Receptor 1 (AMPA subtype) antibody [EPR19522] (ab183797) is a rabbit monoclonal antibody detecting Glutamate Receptor 1 (AMPA subtype) in Western Blot, IP, IHC-P, IHC-Fr. Suitable for Human, Mouse, Rat.

- Biophysical QC for unrivalled batch-batch consistency
- Over 20 publications
12 Images
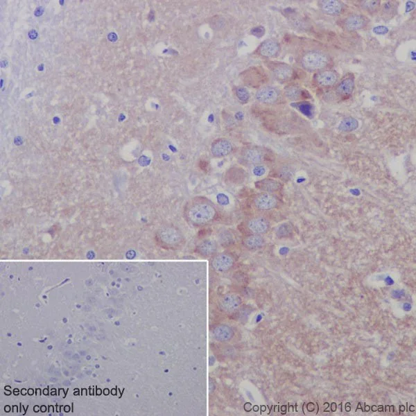
Immunohistochemistry (Formalin/PFA-fixed paraffin-embedded sections) - Anti-Glutamate Receptor 1 (AMPA subtype) antibody [EPR19522] (AB183797)
  • IHC-P

Supplier Data

Immunohistochemistry (Formalin/PFA-fixed paraffin-embedded sections) - Anti-Glutamate Receptor 1 (AMPA subtype) antibody [EPR19522] (AB183797)

Immunohistochemical analysis of paraffin-embedded Mouse hippocampus tissue labeling Glutamate Receptor 1 (AMPA subtype) with ab183797 at 1/100 dilution followed by Goat Anti-Rabbit IgG H&L (HRP) (ab97051) at 1/500 dilution. Cytoplasm staining on mouse hippocampus was observed [PMID : 15723058]. Counter stained with Hematoxylin.

Secondary antibody only control : Used PBS instead of primary antibody secondary antibody is ab97051 at 1/500 dilution.

Perform heat mediated antigen retrieval with Tris/EDTA buffer pH 9.0 before commencing with IHC staining protocol.

Immunohistochemistry (Frozen sections) - Anti-Glutamate Receptor 1 (AMPA subtype) antibody [EPR19522] (AB183797)
  • IHC-Fr

Supplier Data

Immunohistochemistry (Frozen sections) - Anti-Glutamate Receptor 1 (AMPA subtype) antibody [EPR19522] (AB183797)

Immunohistochemical analysis of 4% paraformaldehyde-fixed 0.2% Triton X-100 permeabilized frozen Mouse hippocampus tissue labeling Glutamate Receptor 1 (AMPA subtype) with ab183797 at 1/100 dilution followed by Goat anti-rabbit IgG (Alexa Fluor® 488) (ab150077) secondary antibody at 1/1000 dilution (green). Cytoplasm staining on mouse hippocampus was observed. The nuclear counterstain is DAPI (blue).

Secondary antibody only control : Used PBS instead of primary antibody secondary antibody is ab150077 secondary antibody at 1/1000 dilution.

Immunohistochemistry (Formalin/PFA-fixed paraffin-embedded sections) - Anti-Glutamate Receptor 1 (AMPA subtype) antibody [EPR19522] (AB183797)
  • IHC-P

Supplier Data

Immunohistochemistry (Formalin/PFA-fixed paraffin-embedded sections) - Anti-Glutamate Receptor 1 (AMPA subtype) antibody [EPR19522] (AB183797)

Immunohistochemical analysis of paraffin-embedded Rat hippocampus tissue labeling Glutamate Receptor 1 (AMPA subtype) with ab183797 at 1/100 dilution followed by Goat Anti-Rabbit IgG H&L (HRP) (ab97051) at 1/500 dilution. Cytoplasm staining on rat hippocampus is observed [PMID : 15723058]. Counter stained with Hematoxylin.

Secondary antibody only control : Used PBS instead of primary antibody secondary antibody is ab97051 at 1/500 dilution.

Perform heat mediated antigen retrieval with Tris/EDTA buffer pH 9.0 before commencing with IHC staining protocol.

Immunohistochemistry (Frozen sections) - Anti-Glutamate Receptor 1 (AMPA subtype) antibody [EPR19522] (AB183797)
  • IHC-Fr

Supplier Data

Immunohistochemistry (Frozen sections) - Anti-Glutamate Receptor 1 (AMPA subtype) antibody [EPR19522] (AB183797)

Immunohistochemical analysis of 4% paraformaldehyde-fixed 0.2% Triton X-100 permeabilized frozen Mouse hippocampus tissue labeling Glutamate Receptor 1 (AMPA subtype) with ab183797 at 1/100 dilution followed by Goat Anti-Rabbit IgG (Alexa Fluor® 488) (ab150077) secondary antibody at 1/1000 dilution (green). Cytoplasm staining on mouse hippocampus was observed. The nuclear counterstain is DAPI (blue).

Secondary antibody only control : Used PBS instead of primary antibody secondary antibody is ab150077 at 1/1000 dilution.

Immunohistochemistry (Formalin/PFA-fixed paraffin-embedded sections) - Anti-Glutamate Receptor 1 (AMPA subtype) antibody [EPR19522] (AB183797)
  • IHC-P

Supplier Data

Immunohistochemistry (Formalin/PFA-fixed paraffin-embedded sections) - Anti-Glutamate Receptor 1 (AMPA subtype) antibody [EPR19522] (AB183797)

Immunohistochemical analysis of paraffin-embedded Rat stomach tissue labeling Glutamate Receptor 1 (AMPA subtype) with ab183797 at 1/100 dilution followed by Goat Anti-Rabbit IgG H&L (HRP) (ab97051) at 1/500 dilution. No staining on rat stomach is observed. Counter stained with Hematoxylin.

Perform heat mediated antigen retrieval with Tris/EDTA buffer pH 9.0 before commencing with IHC staining protocol.

Immunohistochemistry (Formalin/PFA-fixed paraffin-embedded sections) - Anti-Glutamate Receptor 1 (AMPA subtype) antibody [EPR19522] (AB183797)
  • IHC-P

Supplier Data

Immunohistochemistry (Formalin/PFA-fixed paraffin-embedded sections) - Anti-Glutamate Receptor 1 (AMPA subtype) antibody [EPR19522] (AB183797)

Immunohistochemical analysis of paraffin-embedded Mouse liver tissue labeling Glutamate Receptor 1 (AMPA subtype) with ab183797 at 1/100 dilution followed by Goat Anti-Rabbit IgG H&L (HRP) (ab97051) at 1/500 dilution. No staining on mouse liver is observed. Counter stained with Hematoxylin.

Perform heat mediated antigen retrieval with Tris/EDTA buffer pH 9.0 before commencing with IHC staining protocol.

Immunoprecipitation - Anti-Glutamate Receptor 1 (AMPA subtype) antibody [EPR19522] (AB183797)
  • IP

Supplier Data

Immunoprecipitation - Anti-Glutamate Receptor 1 (AMPA subtype) antibody [EPR19522] (AB183797)

Glutamate Receptor 1 (AMPA subtype) was immunoprecipitated from 0.35 mg of Mouse brain whole cell lysate with ab183797 at 1/30 dilution. Western blot was performed from the immunoprecipitate using ab183797 at 1/1000 dilution. VeriBlot for IP Detection Reaction (HRP) (ab131366), was used for detection at 1/10000 dilution.

Lane 1 : Mouse brain whole cell lysate, 10ug (Input).

Lane 2 : ab183797 IP in Mouse brain whole cell lysate.

Lane 3 : Rabbit IgG,monoclonal [EPR25A]-Isotype Control (ab172730) instead of ab183797 in Mouse brain whole cell lysate.

Blocking and dilution buffer and concentration : 5% NFDM/TBST.

Exposure time : 3 minutes.

All lanes:

Immunoprecipitation - Anti-Glutamate Receptor 1 (AMPA subtype) antibody [EPR19522] (ab183797)

Predicted band size: 102 kDa

false

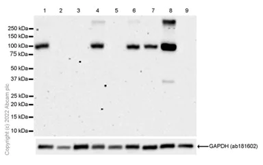
Western blot - Anti-Glutamate Receptor 1 (AMPA subtype) antibody [EPR19522] (AB183797)
  • WB

Lab

Western blot - Anti-Glutamate Receptor 1 (AMPA subtype) antibody [EPR19522] (AB183797)

Blocking and diluting buffer and concentration : 5% NFDM/TBST.

Negative control : liver (PMID : 2480522).human muscle (PMID : 1652753).

Bands around 300kDa in lane 4, lane 6 and lane 8 may due to protein aggregation.

All lanes:

Western blot - Anti-Glutamate Receptor 1 (AMPA subtype) antibody [EPR19522] (ab183797) at 1/1000 dilution

Lane 1:

Human cerebellum tissue lysate at 20 µg

Lane 2:

Human liver tissue lysate at 20 µg

Lane 3:

human skeletal muscle tissue lysate at 20 µg

Lane 4:

Mouse brain tissue lysate at 20 µg

Lane 5:

Mouse liver tissue lysate at 20 µg

Lane 6:

Rat brain tissue lysate at 20 µg

Lane 7:

Rat cerebellum tissue at 20 µg

Lane 8:

Rat hippocampus tissue lysate at 20 µg

Lane 9:

Rat liver tissue lysate at 20 µg

Secondary

All lanes:

Western blot - Goat Anti-Rabbit IgG H&L (HRP) (<a href='/products/secondary-antibodies/goat-rabbit-igg-h-l-hrp-ab97051'>ab97051</a>) at 1/100000 dilution

Observed band size: 101 kDa

false

Exposure time: 180s

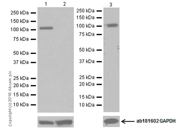
Western blot - Anti-Glutamate Receptor 1 (AMPA subtype) antibody [EPR19522] (AB183797)
  • WB

Supplier Data

Western blot - Anti-Glutamate Receptor 1 (AMPA subtype) antibody [EPR19522] (AB183797)

Blocking/Dilution buffer : 5% NFDM/TBST.

Human Glutamate Receptor 1 is widely expressed in brain and represents the predominant excitatory neurotransmitter system but not in muscle.

Negative control : human muscle (PMID : 1652753).

All lanes:

Western blot - Anti-Glutamate Receptor 1 (AMPA subtype) antibody [EPR19522] (ab183797) at 1/1000 dilution

Lane 1:

Human cerebellum lysate at 20 µg

Lane 2:

Human muscle lysate at 20 µg

Lane 3:

Human fetal brain lysate at 20 µg

Secondary

All lanes:

Goat Anti-Rabbit IgG Peroxidase Conjugate, specific to the non-reduced form of IgG at 1/10000 dilution

Predicted band size: 102 kDa

Observed band size: 102 kDa

false

Exposure time: 3min

Western blot - Anti-Glutamate Receptor 1 (AMPA subtype) antibody [EPR19522] (AB183797)
  • WB

Supplier Data

Western blot - Anti-Glutamate Receptor 1 (AMPA subtype) antibody [EPR19522] (AB183797)

Blocking/Dilution buffer : 5% NFDM/TBST.

Exposure times : Lane 1 : 2 seconds; Lane 2 : 3 minutes.

Mouse Glutamate Receptor 1 fragment recombinant protein contains aa19-184 with a GST/His-Tag®. Mouse Glutamate Receptor 2 fragment recombinant protein contains aa25-288 with a His-Tag®.

All lanes:

Western blot - Anti-Glutamate Receptor 1 (AMPA subtype) antibody [EPR19522] (ab183797) at 1/5000 dilution

Lane 1:

Mouse Glutamate Receptor 1 fragment recombinant protein at 0.01 µg

Lane 2:

Mouse Glutamate Receptor 2 fragment recombinant protein at 0.01 µg

Secondary

All lanes:

Western blot - Goat Anti-Rabbit IgG H&L (HRP) (<a href='/products/secondary-antibodies/goat-rabbit-igg-h-l-hrp-ab97051'>ab97051</a>) at 1/100000 dilution

Predicted band size: 102 kDa

false

Western blot - Anti-Glutamate Receptor 1 (AMPA subtype) antibody [EPR19522] (AB183797)
  • WB

Lab

Western blot - Anti-Glutamate Receptor 1 (AMPA subtype) antibody [EPR19522] (AB183797)

Blocking and diluting buffer and concentration : 5% NFDM/TBST.

This antibody does not cross-react with Mouse GRIA2, GRIA3 and GRIA4.

All lanes:

Western blot - Anti-Glutamate Receptor 1 (AMPA subtype) antibody [EPR19522] (ab183797) at 1/1000 dilution

Lane 1:

293T transfected with an empty vector (vector control), containing a myc-His-tag®, whole cell lysate at 20 µg

Lane 2:

293T transfected with Mouse full length GRIA1 expression vector containing a c-term myc-His-tag®, whole cell lysate at 20 µg

Lane 3:

293T transfected with Mouse full length GRIA2 expression vector containing a c-term myc-His-tag®, whole cell lysate at 20 µg

Lane 4:

293T transfected with Mouse full length GRIA3 expression vector containing a c-term myc-His-tag®, whole cell lysate at 20 µg

Lane 5:

293T transfected with Mouse full length GRIA4 expression vector containing a c-term myc-His-tag®, whole cell lysate at 20 µg

Secondary

Lanes 1 - 5:

Western blot - Goat Anti-Rabbit IgG H&L (HRP) (<a href='/products/secondary-antibodies/goat-rabbit-igg-h-l-hrp-ab97051'>ab97051</a>) at 1/100000 dilution

Lanes 1 - 5:

Goat anti-mouse IgG (H+L), Peroxidase conjugated at 1/10000 dilution

Observed band size: 101 kDa

false

Exposure time: 20s

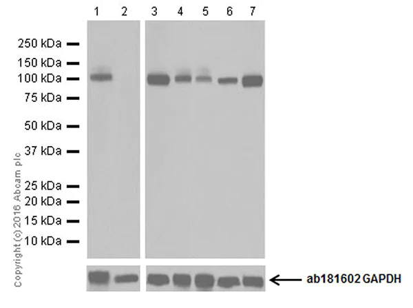
Western blot - Anti-Glutamate Receptor 1 (AMPA subtype) antibody [EPR19522] (AB183797)
  • WB

Supplier Data

Western blot - Anti-Glutamate Receptor 1 (AMPA subtype) antibody [EPR19522] (AB183797)

Blocking/Dilution buffer : 5% NFDM/TBST.

Exposure times : Lane 1 and 2 : 30 seconds; Lane 3, 4, 5, 6 and 7 : 15 seconds.

Rodent Glutamate Receptor 1 is widely expressed in brain and represents the predominant excitatory neurotransmitter system but not in liver.

Negative control : Rat liver (PMID : 2480522).

All lanes:

Western blot - Anti-Glutamate Receptor 1 (AMPA subtype) antibody [EPR19522] (ab183797) at 1/1000 dilution

Lane 1:

Mouse brain lysate at 20 µg

Lane 2:

Rat liver lysate at 20 µg

Lane 3:

Mouse hippocampus lysate at 20 µg

Lane 4:

Mouse cerebellum lysate at 20 µg

Lane 5:

Rat brain lysate at 20 µg

Lane 6:

Rat cerebellum lysate at 20 µg

Lane 7:

Rat hippocampus lysate at 20 µg

Secondary

All lanes:

Western blot - Goat Anti-Rabbit IgG H&L (HRP) (<a href='/products/secondary-antibodies/goat-rabbit-igg-h-l-hrp-ab97051'>ab97051</a>) at 1/100000 dilution

Predicted band size: 102 kDa

Observed band size: 102 kDa

false

関連する標識済み抗体及び組成の異なる製品 (1)

  • Carrier free

    Anti-Glutamate Receptor 1 (AMPA subtype) antibody [EPR19522] - BSA and Azide free

Key facts

宿主種

Rabbit

クローン性

Monoclonal

クローン番号

EPR19522

アイソタイプ

IgG

キャリアフリー

No

交差種

Mouse, Rat, Human

アプリケーション

WB, IHC-Fr, IHC-P, IP

applications

免疫原

The exact immunogen used to generate this antibody is proprietary information.

特異性

This antibody does not cross-react with Mouse GRIA2, GRIA3 and GRIA4.

Reactivity data

{ "title": "Reactivity Data", "filters": { "stats": ["", "Species", "Dilution Info", "Notes"], "tabs": { "all-applications": {"fullname" : "All Applications", "shortname": "All Applications"}, "IP" : {"fullname" : "Immunoprecipitation", "shortname":"IP"}, "WB" : {"fullname" : "Western blot", "shortname":"WB"}, "IHCFr" : {"fullname" : "Immunohistochemistry (Frozen sections)", "shortname":"IHC-Fr"}, "IHCP" : {"fullname" : "Immunohistochemistry (Formalin/PFA-fixed paraffin-embedded sections)", "shortname":"IHC-P"}, "ICC" : {"fullname" : "Immunocytochemistry", "shortname":"ICC"} }, "product-promise": { "all": "all", "testedAndGuaranteed": "tested", "guaranteed": "expected", "predicted": "predicted", "notRecommended": "not-recommended" } }, "values": { "Human": { "IP-species-checked": "guaranteed", "IP-species-dilution-info": "", "IP-species-notes": "", "WB-species-checked": "testedAndGuaranteed", "WB-species-dilution-info": "1/1000", "WB-species-notes": "<p></p>", "IHCFr-species-checked": "guaranteed", "IHCFr-species-dilution-info": "", "IHCFr-species-notes": "", "IHCP-species-checked": "guaranteed", "IHCP-species-dilution-info": "", "IHCP-species-notes": "", "ICC-species-checked": "notRecommended", "ICC-species-dilution-info": "", "ICC-species-notes": "" }, "Mouse": { "IP-species-checked": "testedAndGuaranteed", "IP-species-dilution-info": "1/30", "IP-species-notes": "<p></p>", "WB-species-checked": "testedAndGuaranteed", "WB-species-dilution-info": "1/1000", "WB-species-notes": "<p></p>", "IHCFr-species-checked": "testedAndGuaranteed", "IHCFr-species-dilution-info": "1/100", "IHCFr-species-notes": "<p>Antigen retrieval: Heated citrate solution (10mM citrate PH 6.0 + 0.05% Tween-20)</p><p>IHC is recommended for mouse and rat only</p>", "IHCP-species-checked": "testedAndGuaranteed", "IHCP-species-dilution-info": "1/100", "IHCP-species-notes": "<p>IHC is recommended for mouse and rat only.</p> Perform heat-mediated antigen retrieval with Tris/EDTA buffer pH 9.0 before commencing with IHC staining protocol.", "ICC-species-checked": "notRecommended", "ICC-species-dilution-info": "", "ICC-species-notes": "<p></p>" }, "Rat": { "IP-species-checked": "guaranteed", "IP-species-dilution-info": "", "IP-species-notes": "", "WB-species-checked": "testedAndGuaranteed", "WB-species-dilution-info": "1/1000", "WB-species-notes": "<p></p>", "IHCFr-species-checked": "guaranteed", "IHCFr-species-dilution-info": "", "IHCFr-species-notes": "", "IHCP-species-checked": "testedAndGuaranteed", "IHCP-species-dilution-info": "1/100", "IHCP-species-notes": "<p>IHC is recommended for mouse and rat only.</p> Perform heat-mediated antigen retrieval with Tris/EDTA buffer pH 9.0 before commencing with IHC staining protocol.", "ICC-species-checked": "notRecommended", "ICC-species-dilution-info": "", "ICC-species-notes": "<p></p>" } } }

製品の詳細

What is this antibody validated in?
Anti-Glutamate Receptor 1 (AMPA subtype) antibody [EPR19522] (ab183797) is a rabbit recombinant monoclonal antibody and is validated for use in Western Blot (WB), Immunoprecipitation (IP), Immunohistochemistry (IHC-P), Immunohistochemistry (IHC-Fr) in Human, Mouse, Rat samples.

What is the molecular weight of Glutamate Receptor 1 (AMPA subtype)?
Anti-Glutamate Receptor 1 (AMPA subtype) [EPR19522] (ab183797) specifically detects a band for Glutamate Receptor 1 (AMPA subtype) (UniProt: P23818) at a molecular weight of 102kDa.

Trusted by the scientific community
Anti-Glutamate Receptor 1 (AMPA subtype) [EPR19522] (ab183797) was first used in a scientific publication in 2016 and has been cited over 20 times in peer-reviewed journals.

Trial sizes available!
Test your antibody or perform pre-screening before committing to a larger quantity. Sold in 10µl. Discover our selection of trial-size antibodies.

Other related products
We have a range of other formats of antibody clone [EPR19522] also available for your convenience: ab183797, Carrier free - ab250709

Patented technology
Our RabMAb® technology is a patented hybridoma-based technology for making rabbit monoclonal antibodies. For details on our patents, please refer to RabMAb® patents.

What are the advantages of a recombinant monoclonal antibody?
This product is a recombinant monoclonal antibody, which offers several advantages including:

  • - High batch-to-batch consistency and reproducibility
  • - Improved sensitivity and specificity
  • - Long-term security of supply
  • - Animal-free batch production

For more information, read more on recombinant antibodies.

出荷温度及び保存条件

製品の状態
Liquid
精製方法
Affinity purification Protein A
バッファー組成
pH: 7.2 Preservative: 0.01% Sodium azide Constituents: PBS, 40% Glycerol (glycerin, glycerine), 0.05% BSA
出荷温度
Blue Ice
短期保存期間
1-2 weeks
短期保存温度
+4°C
長期保存温度
-20°C
分注に関する情報
Upon delivery aliquot
保管に関する情報
Avoid freeze / thaw cycle

補足情報

This supplementary information is collated from multiple sources and compiled automatically.

Glutamate Receptor 1 (AMPA subtype) also known as GluR1 is a subunit of the AMPA receptor complex which mediates fast synaptic transmission in the central nervous system. It is an ionotropic receptor for glutamate functioning by opening ion channels to allow the flow of Na+ and Ca2+ ions across the cell membrane contributing to excitatory neurotransmission. The GluR1 subunit has a molecular mass of approximately 100 kDa. This receptor is commonly expressed in the brain regions such as the hippocampus and the cerebral cortex playing an important role in synaptic plasticity and memory formation.
Biological function summary

The GluR1 subunit is an essential component of the AMPA receptor complex which typically forms as a tetramer. This complex modulates synaptic strength and plasticity processes critical for learning and memory. The activity of AMPA receptors including those containing GluR1 is regulated by several auxiliary proteins and is essential for post-synaptic responses. The GluR1 subunit also interacts with other proteins such as TARPs which modulate its trafficking and channel properties.

Pathways

The GluR1-containing AMPA receptors participate significantly in the glutamatergic signaling pathway which is vital for fast excitatory synaptic transmission in the brain. This pathway also involves the NMDA receptors which work together with AMPA receptors to regulate synaptic plasticity and neuronal communication. Additionally the GluR1 interacts within the long-term potentiation (LTP) pathway contributing to the strengthening of synapses an essential mechanism underlying learning and memory.

Dysfunction in GluR1 and associated AMPA receptors has been implicated in conditions like Alzheimer's disease and epilepsy. Alzheimer's disease exhibits decreased synaptic transmission and plasticity linked to impaired GluR1 function and its interactions with NMDA receptors. In epilepsy abnormal GluR1 activity may contribute to heightened neuronal excitability and seizure propagation. Targeting GluR1 or associated pathways offers potential for therapeutic interventions in these disorders possibly through drugs such as memantine and NBQX which modulate receptor activity.

製品プロトコール

For this product, it's our understanding that no specific protocols are required. You can visit:

ターゲットの情報

Ionotropic glutamate receptor that functions as a ligand-gated cation channel, gated by L-glutamate and glutamatergic agonists such as alpha-amino-3-hydroxy-5-methyl-4-isoxazolepropionic acid (AMPA), quisqualic acid, and kainic acid (PubMed:1699805). L-glutamate acts as an excitatory neurotransmitter at many synapses in the central nervous system. Binding of the excitatory neurotransmitter L-glutamate induces a conformation change, leading to the opening of the cation channel, and thereby converts the chemical signal to an electrical impulse upon entry of monovalent and divalent cations such as sodium and calcium. The receptor then desensitizes rapidly and enters in a transient inactive state, characterized by the presence of bound agonist. In the presence of CACNG2 or CACNG4 or CACNG7 or CACNG8, shows resensitization which is characterized by a delayed accumulation of current flux upon continued application of L-glutamate. Calcium (Ca(2+)) permeability depends on subunits composition and, heteromeric channels containing edited GRIA2 subunit are calcium-impermeable. Also permeable to other divalents cations such as strontium(2+) and magnesium(2+) and monovalent cations such as potassium(1+) and lithium(1+) (By similarity).

文献 (30)

Recent publications for all applications. Explore the full list and refine your search

Frontiers in molecular neuroscience 18:1635852 PubMed40771360

2025

Chronic reduction of synaptic proteins in the epileptogenic lesion of patients with hippocampal sclerosis.

Applications

Unspecified application

Species

Unspecified reactive species

Akiko Oota-Ishigaki,Nami Suzuki,Keiya Iijima,Yutaro Takayama,Yuiko Kimura,Kotaro Hattori,Masaki Iwasaki,Takashi Hayashi

Journal of neurodevelopmental disorders 17:36 PubMed40604385

2025

Novel ANKRD17 variants implicate synaptic and mitochondrial disruptions in intellectual disability and autism spectrum disorder.

Applications

Unspecified application

Species

Unspecified reactive species

Dan Xia,Yuanyuan Xu,Zhanwen He,Rui Chen,Xiaoqin Xiao,Xiaojuan Li,Kewen Deng,Shuyun Deng,Lina Zhang,Jieming Zhang,Xiaofang Peng,Zhe Meng,Ruohao Wu,Dilong Wang,Zulin Liu,Hui Chen,Lu Li,Liyang Liang

Molecular brain 17:35 PubMed38858726

2024

Exploration of new space elicits phosphorylation of GluA1(Ser831) and S6K and expression of Arc in the hippocampus in vivo as in long-term potentiation.

Applications

Unspecified application

Species

Unspecified reactive species

Roberta Cagnetta,Jean-Claude Lacaille,Nahum Sonenberg

Frontiers in oncology 14:1335401 PubMed38835368

2024

A glutamatergic biomarker panel enables differentiating Grade 4 gliomas/astrocytomas from brain metastases.

Applications

Unspecified application

Species

Unspecified reactive species

Falko Lange,Richard Gade,Anne Einsle,Katrin Porath,Gesine Reichart,Claudia Maletzki,Björn Schneider,Christian Henker,Daniel Dubinski,Michael Linnebacher,Rüdiger Köhling,Thomas M Freiman,Timo Kirschstein

The Journal of endocrinology 260: PubMed37991884

2023

Testosterone reduces hippocampal synaptic damage in an androgen receptor-independent manner.

Applications

Unspecified application

Species

Unspecified reactive species

Yizhou Zhang,Meiqin Chen,Huan Chen,Shixiong Mi,Chang Wang,Hongchun Zuo,Leigang Song,Juan Du,Huixian Cui,Sha Li

Purinergic signalling 20:181-192 PubMed37458955

2023

Effect of chronic maternal L-Glu intake during gestation and/or lactation on oxidative stress markers, AMPA Glu1 receptor and adenosine A signalling pathway from foetal and neonatal cerebellum.

Applications

Unspecified application

Species

Unspecified reactive species

Adrián Tejero,David Agustín León-Navarro,Mairena Martín

Molecular psychiatry 28:4374-4389 PubMed37280283

2023

VEGF-A in serum protects against memory impairment in APP/PS1 transgenic mice by blocking neutrophil infiltration.

Applications

Unspecified application

Species

Unspecified reactive species

Fangfang Qi,Zejie Zuo,Kaishun Hu,Rui Wang,Tong Wu,Hao Liu,Jiaoling Tang,Qingbo Wang,Yufeng Xie,Liren Tan,Yunjie Yang,Xiaoran Zhang,Jiaying Zheng,Jie Xu,Zhibin Yao,Shengwen Wang,Long-Jun Wu,Kaihua Guo

Frontiers in psychiatry 14:1192379 PubMed37234209

2023

Hippocampal BAIAP2 prevents chronic mild stress-induced depression-like behaviors in mice.

Applications

Unspecified application

Species

Unspecified reactive species

Yaling Fu,Xiangfei Guo,Rui Yang,Hao Feng,Xueyong Yin,Shuang Wang,Li Song,Xi Wang,Penghui Zhao,Sheng Wang,Yun Shi,Haishui Shi

Frontiers in public health 11:1087161 PubMed37006533

2023

Combined effects of EMP and RF field on emotional behavior in mice.

Applications

Unspecified application

Species

Unspecified reactive species

Tongzhou Qin,Liyuan Liu,Xing Wang,Ling Guo,Jiajin Lin,Junze Du,Yizhe Xue,Panpan Lai,Yuntao Jing,Guirong Ding

Brain, behavior, and immunity 108:204-220 PubMed36496170

2022

Adaptor protein MyD88 confers the susceptibility to stress via amplifying immune danger signals.

Applications

Unspecified application

Species

Unspecified reactive species

Xia-Ping Yao,Jian Ye,Ting Feng,Feng-Chao Jiang,Ping Zhou,Fang Wang,Jian-Guo Chen,Peng-Fei Wu
View all publications

Abcam product promise

当社は、高品質な試薬を通じてお客様の研究を力強くサポートすることをお約束いたします。ご使用いただく各段階で、常にお客様をサポートできる体制を整えております。万が一、製品が期待通りに機能しない場合は、「Abcam Product Promise」による当社保証制度に基づき、安心してご利用いただけます。
保証に関する詳細については利用規約をご確認ください。

Please note: All products are 'FOR RESEARCH USE ONLY. NOT FOR USE IN DIAGNOSTIC OR THERAPEUTIC PROCEDURES'.

For licensing inquiries, please contact partnerships@abcam.com