JavaScript is disabled in your browser. Please enable JavaScript to view this website.
AB182277

Anti-GluN2C 抗体 [EPR19094]

Anti-GluN2C antibody [EPR19094]

4

(1 Review)

|

(2 Publications)

Rabbit Recombinant Monoclonal GluN2C antibody. Suitable for WB and reacts with Recombinant fragment, Mouse, Rat, Human samples. Cited in 2 publications.

別名を表示する

NMDAR2C, GRIN2C, GluN2C, Glutamate [NMDA] receptor subunit epsilon-3, N-methyl D-aspartate receptor subtype 2C, NR2C

3 Images
Western blot - Anti-GluN2C antibody [EPR19094] (AB182277)
  • WB

Supplier Data

Western blot - Anti-GluN2C antibody [EPR19094] (AB182277)

Blocking/Dilution buffer : 5% NFDM/TBST.

All lanes:

Western blot - Anti-GluN2C antibody [EPR19094] (ab182277) at 1/1000 dilution

All lanes:

Human fetal brain lysate at 10 µg

Secondary

All lanes:

Western blot - Goat Anti-Rabbit IgG H&L (HRP) (<a href='/products/secondary-antibodies/goat-rabbit-igg-h-l-hrp-ab97051'>ab97051</a>) at 1/100000 dilution

Predicted band size: 134 kDa

Observed band size: 135 kDa

false

Exposure time: 30s

Western blot - Anti-GluN2C antibody [EPR19094] (AB182277)
  • WB

Unknown

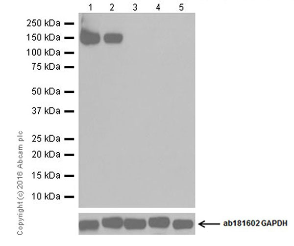
Western blot - Anti-GluN2C antibody [EPR19094] (AB182277)

Blocking/Dilution buffer : 5% NFDM/TBST.

The expression profile is consistent with what has been described in the literature (PMID : 8987814).

All lanes:

Western blot - Anti-GluN2C antibody [EPR19094] (ab182277) at 1/1000 dilution

Lane 1:

Rat cerebellum lysate at 20 µg

Lane 2:

Mouse cerebellum lysate at 20 µg

Lane 3:

Mouse heart lysate at 20 µg

Lane 4:

Rat liver lysate at 20 µg

Lane 5:

Neuro-2a (Mouse neuroblastoma cell line) whole cell lysate at 20 µg

Secondary

All lanes:

Western blot - Goat Anti-Rabbit IgG H&L (HRP) (<a href='/products/secondary-antibodies/goat-rabbit-igg-h-l-hrp-ab97051'>ab97051</a>) at 1/100000 dilution

Predicted band size: 134 kDa

Observed band size: 135 kDa

false

Exposure time: 30s

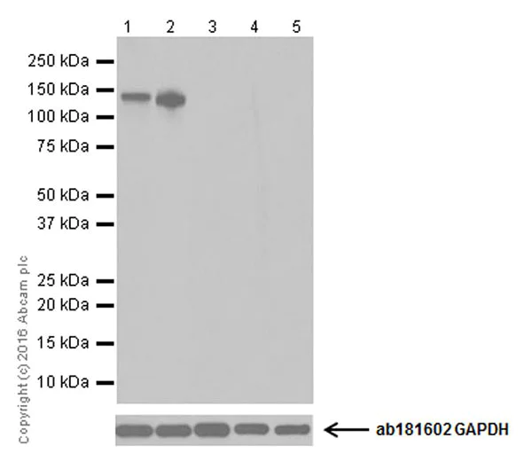
Western blot - Anti-GluN2C antibody [EPR19094] (AB182277)
  • WB

Supplier Data

Western blot - Anti-GluN2C antibody [EPR19094] (AB182277)

Blocking/Dilution buffer : 5% NFDM/TBST.

Exposure time : Lane1 : 1 second; Lane2 : 3 minutes.

Mouse GluN2C fragment recombinant protein contains aa300-499 with a His-Tag®. NMDAR2D fragment recombinant protein contains aa328-526 with a His-Tag®. These two recombinant proteins were made in-house.

All lanes:

Western blot - Anti-GluN2C antibody [EPR19094] (ab182277) at 1/2000 dilution

Lane 1:

Mouse GluN2C fragment recombinant protein at 0.01 µg

Lane 2:

Mouse NMDAR2D fragment recombinant protein at 0.01 µg

Secondary

All lanes:

Western blot - Goat Anti-Rabbit IgG H&L (HRP) (<a href='/products/secondary-antibodies/goat-rabbit-igg-h-l-hrp-ab97051'>ab97051</a>) at 1/100000 dilution

Predicted band size: 134 kDa,27 kDa

Observed band size: 25 kDa

false

関連する標識済み抗体及び組成の異なる製品 (1)

  • Carrier free

    Anti-GluN2C antibody [EPR19094] - BSA and Azide free

Key facts

宿主種

Rabbit

クローン性

Monoclonal

クローン番号

EPR19094

アイソタイプ

IgG

キャリアフリー

No

交差種

Mouse, Rat, Human

アプリケーション

WB

applications

免疫原

The exact immunogen used to generate this antibody is proprietary information.

Reactivity data

{ "title": "Reactivity Data", "filters": { "stats": ["", "Species", "Dilution Info", "Notes"], "tabs": { "all-applications": {"fullname" : "All Applications", "shortname": "All Applications"}, "WB" : {"fullname" : "Western blot", "shortname":"WB"} }, "product-promise": { "all": "all", "testedAndGuaranteed": "tested", "guaranteed": "expected", "predicted": "predicted", "notRecommended": "not-recommended" } }, "values": { "Human": { "WB-species-checked": "testedAndGuaranteed", "WB-species-dilution-info": "1/1000", "WB-species-notes": "<p></p>" }, "Mouse": { "WB-species-checked": "testedAndGuaranteed", "WB-species-dilution-info": "1/1000 - 1/2000", "WB-species-notes": "<p></p>" }, "Rat": { "WB-species-checked": "testedAndGuaranteed", "WB-species-dilution-info": "1/1000", "WB-species-notes": "<p></p>" }, "Recombinant fragment": { "WB-species-checked": "testedAndGuaranteed", "WB-species-dilution-info": "1/1000 - 1/2000", "WB-species-notes": "<p></p>" } } }

製品の詳細

Patented technology
Our RabMAb® technology is a patented hybridoma-based technology for making rabbit monoclonal antibodies. For details on our patents, please refer to RabMAb® patents.

What are the advantages of a recombinant monoclonal antibody?
This product is a recombinant monoclonal antibody, which offers several advantages including:

  • - High batch-to-batch consistency and reproducibility
  • - Improved sensitivity and specificity
  • - Long-term security of supply
  • - Animal-free batch production

For more information, read more on recombinant antibodies.

出荷温度及び保存条件

製品の状態
Liquid
精製方法
Affinity purification Protein A
バッファー組成
pH: 7.2 Preservative: 0.01% Sodium azide Constituents: PBS, 40% Glycerol (glycerin, glycerine), 0.05% BSA
出荷温度
Blue Ice
短期保存期間
1-2 weeks
短期保存温度
+4°C
長期保存温度
-20°C
分注に関する情報
Upon delivery aliquot
保管に関する情報
Avoid freeze / thaw cycle

補足情報

This supplementary information is collated from multiple sources and compiled automatically.

GluN2C also known as NR2C is a subunit of the NMDA (N-methyl-D-aspartate) receptor an important ion channel in the central nervous system. This protein with a molecular weight of approximately 140 kDa is mainly expressed in the cerebellum and certain thalamic regions of the brain. GluN2C forms part of the ligand-gated ion channels which are important for synaptic transmission and plasticity. By co-assembling with other subunits of NMDA receptors GluN2C plays a vital role in modulating the receptor's response to neurotransmitters like glutamate and glycine.
Biological function summary

NMDA receptors which include the GluN2C subunit perform important functions in calcium ion influx across the cell membrane when activated. This calcium signaling is important for processes such as neuronal development synaptic plasticity and cognitive functions like learning and memory. The NMDA receptor operates as a heterotetrameric complex typically assembled from two GluN1 and two GluN2 (or GluN3) subunits with GluN2C representing one of several variants of the GluN2 subunit.

Pathways

GluN2C plays a role in the glutamatergic signaling pathway which is critical for excitatory neurotransmission in the brain. This pathway includes interactions with proteins such as PSD-95 and CaMKII which are important for synaptic strength and plasticity. Another key pathway is the calcium signaling pathway where GluN2C contributes to calcium-mediated cellular responses influencing neuronal excitability and survival.

GluN2C has associations with neurological conditions like schizophrenia and cerebellar ataxia. Alterations in NMDA receptor function including changes involving the GluN2C subunit can lead to dysregulated synaptic signaling observed in these disorders. In schizophrenia the GluN2C-containing NMDA receptors may interact with synaptic proteins like PSD-95 potentially affecting synaptic architecture and neurotransmitter dynamics. In cerebellar ataxia disruptions in GluN2C expression or function could impair motor coordination emphasizing the importance of proper NMDA receptor function for neurological health.

製品プロトコール

For this product, it's our understanding that no specific protocols are required. You can visit:

ターゲットの情報

Component of N-methyl-D-aspartate (NMDA) receptors (NMDARs) that function as heterotetrameric, ligand-gated cation channels with high calcium permeability and voltage-dependent block by Mg(2+) (PubMed : 26875626, PubMed : 36309015). Participates in synaptic plasticity for learning and memory formation by contributing to the slow phase of excitatory postsynaptic current and long-term synaptic potentiation (By similarity). Channel activation requires binding of the neurotransmitter L-glutamate to the GluN2 subunit, glycine or D-serine binding to the GluN1 subunit, plus membrane depolarization to eliminate channel inhibition by Mg(2+) (PubMed : 26875626, PubMed : 36309015). NMDARs mediate simultaneously the potasium efflux and the influx of calcium and sodium (By similarity). Each GluN2 subunit confers differential attributes to channel properties, including activation, deactivation and desensitization kinetics, pH sensitivity, Ca2(+) permeability, and binding to allosteric modulators (PubMed : 26875626).
See full target information GRIN2C

文献 (2)

Recent publications for all applications. Explore the full list and refine your search

CNS neuroscience & therapeutics 31:e70394 PubMed40237297

2025

Depletion of HSP60 in Microglia Leads to Synaptic Dysfunction and Depression-Like Behaviors Through Enhanced Synaptic Pruning in Male Mice.

Applications

Unspecified application

Species

Unspecified reactive species

Wenhui Zhu,Jinlong Chang,Liusuyan Tian,Xiuyan Yang,Weifen Li

CNS neuroscience & therapeutics 30:e14723 PubMed38676295

2024

Peripheral inflammation triggering central anxiety through the hippocampal glutamate metabolized receptor 1.

Applications

Unspecified application

Species

Unspecified reactive species

Jun-Meng Wang,Yue-Mei Wang,Yuan-Bing Zhu,Chan Cui,Tong Feng,Qin Huang,Shu-Qing Liu,Qiao-Feng Wu
View all publications

Abcam product promise

当社は、高品質な試薬を通じてお客様の研究を力強くサポートすることをお約束いたします。ご使用いただく各段階で、常にお客様をサポートできる体制を整えております。万が一、製品が期待通りに機能しない場合は、「Abcam Product Promise」による当社保証制度に基づき、安心してご利用いただけます。
保証に関する詳細については利用規約をご確認ください。

Please note: All products are 'FOR RESEARCH USE ONLY. NOT FOR USE IN DIAGNOSTIC OR THERAPEUTIC PROCEDURES'.

For licensing inquiries, please contact partnerships@abcam.com