JavaScript is disabled in your browser. Please enable JavaScript to view this website.
AB67408

Anti-GluK5 抗体

Anti-GluK5 antibody

5

(1 Review)

|

(2 Publications)

Rabbit Polyclonal GluK5 antibody. Suitable for WB, IHC-P, ICC/IF and reacts with Human samples. Cited in 2 publications. Immunogen corresponding to Synthetic Peptide within Human GRIK5.

別名を表示する

GRIK2, GRIK5, GluK5, Excitatory amino acid receptor 2, Glutamate receptor KA-2, EAA2, KA2

3 Images
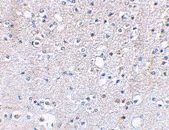
Immunohistochemistry (Formalin/PFA-fixed paraffin-embedded sections) - Anti-GluK5 antibody (AB67408)
  • IHC-P

Unknown

Immunohistochemistry (Formalin/PFA-fixed paraffin-embedded sections) - Anti-GluK5 antibody (AB67408)

ab67408 at 2.5μg/ml staining of GluK5 in human brain tissue by IHC-P.

Immunocytochemistry/ Immunofluorescence - Anti-GluK5 antibody (AB67408)
  • ICC/IF

Unknown

Immunocytochemistry/ Immunofluorescence - Anti-GluK5 antibody (AB67408)

Immunofluorescence of GluK5 in Human Brain cells using ab67408 at 20 ug/ml.

Western blot - Anti-GluK5 antibody (AB67408)
  • WB

Unknown

Western blot - Anti-GluK5 antibody (AB67408)

Lane 1:

Western blot - Anti-GluK5 antibody (ab67408) at 0.5 µg/mL

Lane 2:

Western blot - Anti-GluK5 antibody (ab67408) at 1 µg/mL

Lane 3:

Western blot - Anti-GluK5 antibody (ab67408) at 2 µg/mL

All lanes:

Human brain tissue lysate at 15 µg

Predicted band size: 109 kDa

Observed band size: 95 kDa

false

Key facts

宿主種

Rabbit

クローン性

Polyclonal

アイソタイプ

IgG

キャリアフリー

No

交差種

Human

アプリケーション

WB, ICC/IF, IHC-P

applications

免疫原

Synthetic Peptide within Human GRIK5. The exact immunogen used to generate this antibody is proprietary information.

Q16478

特異性

ab67408 does not cross-react with GRIK4.

Reactivity data

{ "title": "Reactivity Data", "filters": { "stats": ["", "Species", "Dilution Info", "Notes"], "tabs": { "all-applications": {"fullname" : "All Applications", "shortname": "All Applications"}, "WB" : {"fullname" : "Western blot", "shortname":"WB"}, "IHCP" : {"fullname" : "Immunohistochemistry (Formalin/PFA-fixed paraffin-embedded sections)", "shortname":"IHC-P"}, "ICCIF" : {"fullname" : "Immunocytochemistry/ Immunofluorescence", "shortname":"ICC/IF"} }, "product-promise": { "all": "all", "testedAndGuaranteed": "tested", "guaranteed": "expected", "predicted": "predicted", "notRecommended": "not-recommended" } }, "values": { "Human": { "WB-species-checked": "testedAndGuaranteed", "WB-species-dilution-info": "1-2 µg/mL", "WB-species-notes": "<p></p>", "IHCP-species-checked": "testedAndGuaranteed", "IHCP-species-dilution-info": "", "IHCP-species-notes": "<p></p>", "ICCIF-species-checked": "testedAndGuaranteed", "ICCIF-species-dilution-info": "20 µg/mL", "ICCIF-species-notes": "<p></p>" } } }

出荷温度及び保存条件

製品の状態
Liquid
精製方法
Affinity purification Immunogen
バッファー組成
pH: 7.2 Preservative: 0.02% Sodium azide Constituents: PBS
出荷温度
Blue Ice
短期保存温度
+4°C
長期保存温度
+4°C

補足情報

This supplementary information is collated from multiple sources and compiled automatically.

GluK5 also called GluR7 or KA2 is a subunit of the kainate type of ionotropic glutamate receptors. It has a mass of about 112 kDa and is expressed mainly in the central nervous system especially in brain regions like the hippocampus and the cerebellum. This protein plays an important role as part of a receptor that governs excitatory neurotransmission by binding kainate a neurotransmitter analog.
Biological function summary

Kainate receptors including GluK5 contribute to synaptic plasticity and modulate synaptic transmission. GluK5 functions as part of a heteromeric complex typically with other GluK subunits like GluK1-4. Its presence influences excitatory postsynaptic currents and can also affect neurotransmitter release processes. This behavior impacts learning and memory making it an area of interest in neurophysiological studies.

Pathways

Kainate receptors participate in calcium signaling and glutamatergic synapse pathways. GluK5 interacts with other GluK subunits and proteins like PSD-95 which organizes receptor positioning at synapses. These pathways influence nerve signal propagation and synaptic strength connecting GluK5 to broader neuronal communication and plasticity mechanisms.

Variations in GluK5 expression or function associate with neurological conditions such as temporal lobe epilepsy and schizophrenia. Studies suggest GluK5 subunit may impact glutamate signaling in these diseases. In epilepsy the imbalance in excitatory and inhibitory neurotransmission involving GluK5 may lead to seized activities. Additionally its connection with other receptors like NMDA in these disorders can complicate signaling pathways posing potential targets for therapeutic interventions.

製品プロトコール

For this product, it's our understanding that no specific protocols are required. You can visit:

ターゲットの情報

Ionotropic glutamate receptor that functions as a cation-permeable ligand-gated ion channel, gated by L-glutamate and the glutamatergic agonist kainic acid. Cannot form functional channels on its own and produces channel activity only in heteromeric assembly with GRIK1 and GRIK2 subunits (PubMed : 1321949, PubMed : 14511640, PubMed : 8730589). Can form functional heteromeric receptors with GRIK3 (By similarity).
See full target information GRIK5

文献 (2)

Recent publications for all applications. Explore the full list and refine your search

Scientific reports 6:19069 PubMed26753906

2016

Dynamics of the Transcriptome during Human Spermatogenesis: Predicting the Potential Key Genes Regulating Male Gametes Generation.

Applications

Unspecified application

Species

Unspecified reactive species

Zijue Zhu,Chong Li,Shi Yang,Ruhui Tian,Junlong Wang,Qingqing Yuan,Hui Dong,Zuping He,Shengyue Wang,Zheng Li

Journal of the American Society of Nephrology : JA 25:1187-97 PubMed24511141

2014

Characterization of renal toxicity in mice administered the marine biotoxin domoic Acid.

Applications

Unspecified application

Species

Unspecified reactive species

Jason A Funk,Michael G Janech,Joshua C Dillon,John J Bissler,Brian J Siroky,P Darwin Bell
View all publications

Abcam product promise

当社は、高品質な試薬を通じてお客様の研究を力強くサポートすることをお約束いたします。ご使用いただく各段階で、常にお客様をサポートできる体制を整えております。万が一、製品が期待通りに機能しない場合は、「Abcam Product Promise」による当社保証制度に基づき、安心してご利用いただけます。
保証に関する詳細については利用規約をご確認ください。

Please note: All products are 'FOR RESEARCH USE ONLY. NOT FOR USE IN DIAGNOSTIC OR THERAPEUTIC PROCEDURES'.

For licensing inquiries, please contact partnerships@abcam.com