JavaScript is disabled in your browser. Please enable JavaScript to view this website.
AB115730

Anti-Glucose Transporter GLUT1 抗体 [EPR3915]

Anti-Glucose Transporter GLUT1 antibody [EPR3915]

  • BOND RX™ Validated
  • 20ul selling size
  • RabMAb
  • Recombinant
  • KO Validated
  • 詳細を見る

4

(19 Reviews)

|

(466 Publications)

Anti-Glucose Transporter GLUT1 antibody [EPR3915] (ab115730) is a rabbit monoclonal antibody detecting Glucose Transporter GLUT1 in Western Blot, Flow Cytometry (Intra), IHC-P, ICC/IF. Suitable for Human, Mouse.

- KO validated for confirmed specificity
- Biophysical QC for unrivalled batch-batch consistency
- Over 320 publications

別名を表示する

GLUT1, SLC2A1, HepG2 glucose transporter, GLUT-1

28 Images
Immunohistochemistry (Formalin/PFA-fixed paraffin-embedded sections) - Anti-Glucose Transporter GLUT1 antibody [EPR3915] (AB115730)
  • IHC-P

PubMed

Immunohistochemistry (Formalin/PFA-fixed paraffin-embedded sections) - Anti-Glucose Transporter GLUT1 antibody [EPR3915] (AB115730)

GLUT1 and GLUT3 are downregulated in KSHV-infected cells in human KS tumors

Representative illustration of dual immunofluorescence detection of LANA and GLUT1 or in a normal human skin section and a Karposi Sarcoma (KS) tumor section. Tissues were fixed with paraformaldehyhde and paraffin-embedded.

Zhu, Y. et al PLoS Pathog. 2016 May 17;12(5):e1005648. doi: 10.1371/journal.ppat.1005648. eCollection 2016 May Reproduced under the Creative Commons license http://creativecommons.org/licenses/by/4.0/

Flow Cytometry (Intracellular) - Anti-Glucose Transporter GLUT1 antibody [EPR3915] (AB115730)
  • Flow Cyt (Intra)

Lab

Flow Cytometry (Intracellular) - Anti-Glucose Transporter GLUT1 antibody [EPR3915] (AB115730)

Flow cytometry overlay histogram showing wild-type A549 (green line) and A549-SLC2A1 knockout cells stained with ab115730 (magenta line). The cells were fixed with 4% formaldehyde (10 min) and then permeabilised with 0.1% PBS-Triton X-100 for 15 min. The cells were then incubated in 1x PBS containing 10% normal goat serum to block non-specific protein-protein interaction followed by the antibody (ab115730) (1x 106in 100μl at 0.04 μg/ml (1/12500)) for 30min at 22°C.

The secondary antibody Goat Anti-Rabbit IgG H&L (Alexa Fluor® 488) preadsorbed was incubated at 1/4000 for 30min at 22°C

Isotype control antibody Recombinant Rabbit IgG, monoclonal [EPR25A] - Isotype Control was used at the same concentration and conditions as the primary antibody (wild-type A549 - black line, A549-SLC2A1 knockout - grey line). Unlabelled sample was also used as a control (this line is not shown for the purpose of simplicity).

Acquisition of >5000 events were collected using a 50 mW Blue laser (488nm) and 525/40 bandpass filter.

This antibody gave a positive signal in A549 WT Fixed with 80% methanol (5 min) / permeabilised with 0.1% PBS-Triton X-100 for 15 min under the same conditions.

Immunohistochemistry (Formalin/PFA-fixed paraffin-embedded sections) - Anti-Glucose Transporter GLUT1 antibody [EPR3915] (AB115730)
  • IHC-P

Supplier Data

Immunohistochemistry (Formalin/PFA-fixed paraffin-embedded sections) - Anti-Glucose Transporter GLUT1 antibody [EPR3915] (AB115730)

Unpurified ab115730 at 1/250 dilution staining Glucose Transporter GLUT1 in Paraffin-embedded human cervical carcinoma tissue by Immunohistochemistry.

Perform heat mediated antigen retrieval before commencing with IHC staining protocol.

Immunohistochemistry (Formalin/PFA-fixed paraffin-embedded sections) - Anti-Glucose Transporter GLUT1 antibody [EPR3915] (AB115730)
  • IHC-P

Unknown

Immunohistochemistry (Formalin/PFA-fixed paraffin-embedded sections) - Anti-Glucose Transporter GLUT1 antibody [EPR3915] (AB115730)

Unpurified ab115730 showing negative staining in human skeletal muscle tissue.

Perform heat mediated antigen retrieval before commencing with IHC staining protocol.

Immunohistochemistry (Formalin/PFA-fixed paraffin-embedded sections) - Anti-Glucose Transporter GLUT1 antibody [EPR3915] (AB115730)
  • IHC-P

Unknown

Immunohistochemistry (Formalin/PFA-fixed paraffin-embedded sections) - Anti-Glucose Transporter GLUT1 antibody [EPR3915] (AB115730)

Unpurified ab115730 showing positive staining in human normal liver tissue.

Perform heat mediated antigen retrieval before commencing with IHC staining protocol.

Immunohistochemistry (Formalin/PFA-fixed paraffin-embedded sections) - Anti-Glucose Transporter GLUT1 antibody [EPR3915] (AB115730)
  • IHC-P

Unknown

Immunohistochemistry (Formalin/PFA-fixed paraffin-embedded sections) - Anti-Glucose Transporter GLUT1 antibody [EPR3915] (AB115730)

Unpurified ab115730 showing positive staining in human urinary bladder transitional carcinoma tissue.

Perform heat mediated antigen retrieval before commencing with IHC staining protocol.

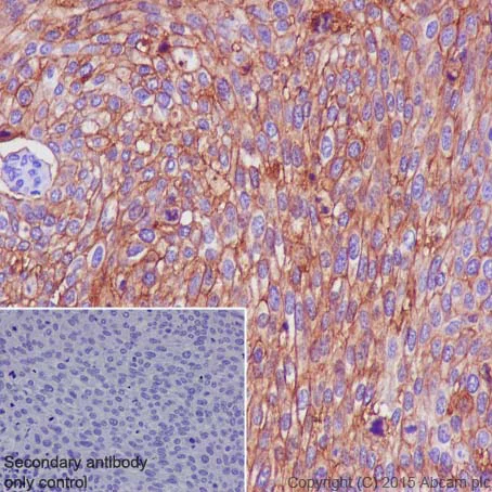
Immunohistochemistry - Anti-Glucose Transporter GLUT1 antibody [EPR3915] (AB115730)
  • IHC

Lab

Immunohistochemistry - Anti-Glucose Transporter GLUT1 antibody [EPR3915] (AB115730)

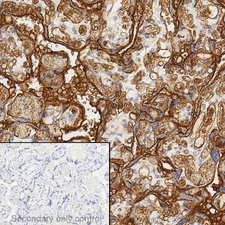
Immunohistochemical analysis of formalin fixed paraffin embedded human placenta labelling Glucose Transporter GLUT1 with ab115730 at a concentration of 0.05µ/ml.

The immunostaining was performed on a Ventana DISCOVERY ULTRA (Roche Tissue Diagnostics) instrument with an OptiView DAB IHC Detection Kit. Heat mediated antigen retrieval was conducted for 20mins with DISCOVERY cell conditioning solution (CC1) 100°C, pH8.5. ab115730 anti-Glucose Transporter GLUT1 was incubated at 37°C for 16mins.

Sections were counterstained is with Hematoxylin II. Image inset shows absence of staining in secondary antibody only control.

Customers are encouraged to optimise antigen retrieval conditions, antibody concentration, incubation times and temperature for best results in their own IHC assay workflow (automated and manual)

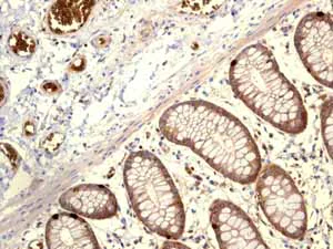
Immunohistochemistry (Formalin/PFA-fixed paraffin-embedded sections) - Anti-Glucose Transporter GLUT1 antibody [EPR3915] (AB115730)
  • IHC-P

Unknown

Immunohistochemistry (Formalin/PFA-fixed paraffin-embedded sections) - Anti-Glucose Transporter GLUT1 antibody [EPR3915] (AB115730)

Unpurified ab115730 showing positive staining in human normal colon tissue.

Perform heat mediated antigen retrieval before commencing with IHC staining protocol.

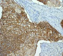
Immunohistochemistry (Formalin/PFA-fixed paraffin-embedded sections) - Anti-Glucose Transporter GLUT1 antibody [EPR3915] (AB115730)
  • IHC-P

Unknown

Immunohistochemistry (Formalin/PFA-fixed paraffin-embedded sections) - Anti-Glucose Transporter GLUT1 antibody [EPR3915] (AB115730)

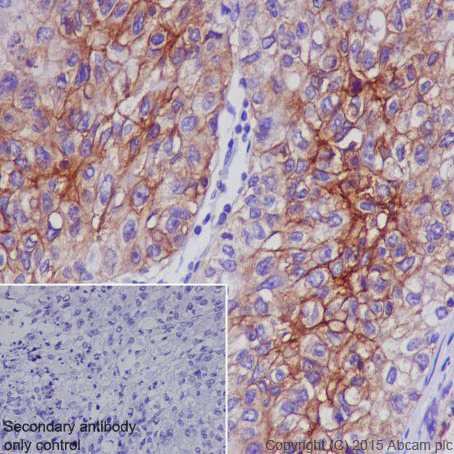
Immunohistochemical staining of paraffin embedded human lung carcinoma with purified ab115730 at a working dilution of 1/500. The secondary antibody used is ab97051, a goat anti-rabbit IgG (H&L) at a dilution of 1/500. The sample is counter-stained with hematoxylin. Antigen retrieval was perfomed using Tris-EDTA buffer, pH 9.0. PBS was used instead of the primary antibody as the negative control, and is shown in the inset.

Immunohistochemistry (Formalin/PFA-fixed paraffin-embedded sections) - Anti-Glucose Transporter GLUT1 antibody [EPR3915] (AB115730)
  • IHC-P

Supplier Data

Immunohistochemistry (Formalin/PFA-fixed paraffin-embedded sections) - Anti-Glucose Transporter GLUT1 antibody [EPR3915] (AB115730)

Unpurified ab115730 at 1/250 dilution staining Glucose Transporter GLUT1 in Paraffin-embedded human colonic adenocarcinoma tissue by Immunohistochemistry.

Perform heat mediated antigen retrieval before commencing with IHC staining protocol.

Immunocytochemistry/ Immunofluorescence - Anti-Glucose Transporter GLUT1 antibody [EPR3915] (AB115730)
  • ICC/IF

Lab

Immunocytochemistry/ Immunofluorescence - Anti-Glucose Transporter GLUT1 antibody [EPR3915] (AB115730)

ab115730 staining SLC2A1 in wild-type A549 cells, with negative expression in SLC2A1 knockout A549 cells. The cells were fixed with 100% methanol (5 min), permeabilised with 0.1% Triton x-100 for 5 minutes and then blocked with 1% BSA/10% normal goat serum/0.3M glycine in 0.1% PBS-Tween for 1h. The cells were then incubated overnight at +4°C with ab115730 at 1 μg/ml and ab7291, Mouse monoclonal [DM1A] to alpha Tubulin at 0.5 μg/ml. Cells were then incubated with ab150081, Goat polyclonal Secondary Antibody to Rabbit IgG - H&L (Alexa Fluor® 488), pre-adsorbed at 1/1000 dilution (shown in green) and ab150119, Goat polyclonal Secondary Antibody to Mouse IgG - H&L (Alexa Fluor® 647), pre-adsorbed at 1/1000 dilution (shown in red). Nuclear DNA was labelled with DAPI (shown in blue).Image was acquired with a confocal microscope (Leica-Microsystems TCS SP8) and a single confocal section is shown.

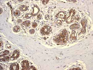
Immunohistochemistry (Formalin/PFA-fixed paraffin-embedded sections) - Anti-Glucose Transporter GLUT1 antibody [EPR3915] (AB115730)
  • IHC-P

Unknown

Immunohistochemistry (Formalin/PFA-fixed paraffin-embedded sections) - Anti-Glucose Transporter GLUT1 antibody [EPR3915] (AB115730)

Unpurified ab115730 showing positive staining in human normal breast tissue.

Perform heat mediated antigen retrieval before commencing with IHC staining protocol.

Immunohistochemistry (Formalin/PFA-fixed paraffin-embedded sections) - Anti-Glucose Transporter GLUT1 antibody [EPR3915] (AB115730)
  • IHC-P

Unknown

Immunohistochemistry (Formalin/PFA-fixed paraffin-embedded sections) - Anti-Glucose Transporter GLUT1 antibody [EPR3915] (AB115730)

Unpurified ab115730 showing negative staining in human normal heart tissue.

Perform heat mediated antigen retrieval before commencing with IHC staining protocol.

Immunocytochemistry/ Immunofluorescence - Anti-Glucose Transporter GLUT1 antibody [EPR3915] (AB115730)
  • ICC/IF

Unknown

Immunocytochemistry/ Immunofluorescence - Anti-Glucose Transporter GLUT1 antibody [EPR3915] (AB115730)

Immunofluorescence staining of HepG2 cells with purified ab115730 at a working dilution of 1/100, counter-stained with DAPI. The secondary antibody was Alexa Fluor® 488 goat anti-rabbit (ab150077), used at a dilution of 1/1000. ab7291, a mouse anti-tubulin antibody (1/1000), was used to stain tubulin along with ab150120 (Alexa Fluor® 594 goat anti-mouse, 1/1000), shown in the top right hand panel. The cells were fixed in 4% PFA and permeabilized using 0.1% Triton X 100. The negative controls are shown in bottom middle and right hand panels - for negative control 1, purified ab115730 was used at a dilution of 1/500 followed by an Alexa Fluor® 594 goat anti-mouse antibody (ab150120) at a dilution of 1/500. For negative control 2, ab7291 (mouse anti-tubulin) was used at a dilution of 1/500 followed by an Alexa Fluor® 488 goat anti-rabbit antibody (ab150077) at a dilution of 1/400.

Alexa Fluor® 488 (ab195359) and Alexa Fluor® 647 (ab195020) conjugated versions are available for this clone.

Immunohistochemistry (Formalin/PFA-fixed paraffin-embedded sections) - Anti-Glucose Transporter GLUT1 antibody [EPR3915] (AB115730)
  • IHC-P

Unknown

Immunohistochemistry (Formalin/PFA-fixed paraffin-embedded sections) - Anti-Glucose Transporter GLUT1 antibody [EPR3915] (AB115730)

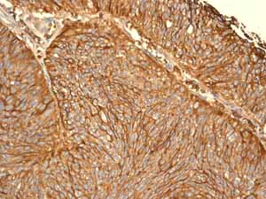
Unpurified ab115730 showing positive staining in human kidney carcinoma tissue.

Perform heat mediated antigen retrieval before commencing with IHC staining protocol.

Immunohistochemistry - Anti-Glucose Transporter GLUT1 antibody [EPR3915] (AB115730)
  • IHC

Lab

Immunohistochemistry - Anti-Glucose Transporter GLUT1 antibody [EPR3915] (AB115730)

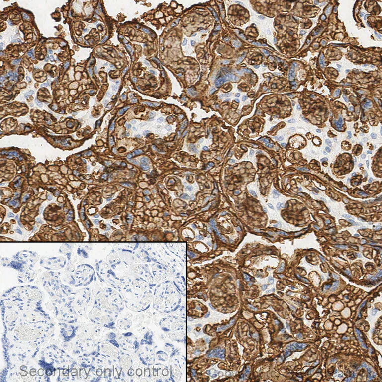
Immunohistochemical analysis of formalin fixed paraffin embedded human placenta labelling Glucose Transporter GLUT1 with ab115730 at a concentration of 0.2µ/ml. The immunostaining was performed on a Leica Biosystems BOND® RX instrument with a Bond™ Polymer Refine Detection kit. Heat mediated antigen retrieval was performed with Tris-EDTA buffer (pH 9.0, Epitope Retrieval Solution 2) for 20mins.

ab115730 anti-Glucose Transporter GLUT1 antibody [EPR3915] was incubated for 15mins at room temperature. Sections were counterstained with Hematoxylin. Image inset shows absence of staining in secondary antibody only control.

Customers are encouraged to optimise antigen retrieval conditions, antibody concentration, incubation times and temperature for best results in their own IHC assay workflow (automated and manual)

Flow Cytometry (Intracellular) - Anti-Glucose Transporter GLUT1 antibody [EPR3915] (AB115730)
  • Flow Cyt (Intra)

Unknown

Flow Cytometry (Intracellular) - Anti-Glucose Transporter GLUT1 antibody [EPR3915] (AB115730)

Overlay histogram showing HeLa cells stained with unpurified ab115730 (red line). The cells were fixed with 80% methanol (5 min) and then permeabilized with 0.1% PBS-Tween for 20 min. The cells were then incubated in 1x PBS / 10% normal goat serum / 0.3M glycine to block non-specific protein-protein interactions followed by the antibody (ab115730, 1/1000 dilution) for 30 min at 22°C. The secondary antibody used was Alexa Fluor® 488 goat anti-rabbit IgG (H+L) (ab150077) at 1/2000 dilution for 30 min at 22°C. Isotype control antibody (black line) was rabbit IgG (monoclonal) (1μg/1x106 cells) used under the same conditions. Unlabelled sample (blue line) was also used as a control. Acquisition of >5,000 events were collected using a 20mW Argon ion laser (488nm) and 525/30 bandpass filter. This antibody gave a positive signal in HeLa cells fixed with 4% paraformaldehyde (10 min)/permeabilized with 0.1% PBS-Tween for 20 min used under the same conditions.

Flow Cytometry (Intracellular) - Anti-Glucose Transporter GLUT1 antibody [EPR3915] (AB115730)
  • Flow Cyt (Intra)

Unknown

Flow Cytometry (Intracellular) - Anti-Glucose Transporter GLUT1 antibody [EPR3915] (AB115730)

Overlay histogram showing Jurkat cells fixed in 4% PFA and stained with purified ab115730 at a dilution of 1/40 (red line). The secondary antibody used was Alexa Fluorr® 488 goat anti-rabbit at a dilution of 1/500. Rabbit monoclonal IgG was used as an isotype control (black line) and cells incubated in the absence of both primary and secondary antibody were used as a negative control (blue line).

Alexa Fluorr®488 (ab195359) and Alexa Fluorr®647 (ab195020) conjugated versions are available for this clone.

Immunohistochemistry (Formalin/PFA-fixed paraffin-embedded sections) - Anti-Glucose Transporter GLUT1 antibody [EPR3915] (AB115730)
  • IHC-P

Unknown

Immunohistochemistry (Formalin/PFA-fixed paraffin-embedded sections) - Anti-Glucose Transporter GLUT1 antibody [EPR3915] (AB115730)

Immunohistochemical staining of paraffin embedded human cervical carcinoma with purified ab115730 at a working dilution of 1/500. The secondary antibody used is ab97051, a goat anti-rabbit IgG (H&L) at a dilution of 1/500. The sample is counter-stained with hematoxylin. Antigen retrieval was perfomed using Tris-EDTA buffer, pH 9.0. PBS was used instead of the primary antibody as the negative control, and is shown in the inset.

Western blot - Anti-Glucose Transporter GLUT1 antibody [EPR3915] (AB115730)
  • WB

Supplier Data

Western blot - Anti-Glucose Transporter GLUT1 antibody [EPR3915] (AB115730)

Lanes 1 - 2 : Merged signal (red and green). Green - ab196357 observed at 54 kDa. Red - loading control, ab8245, observed at 37 kDa.

ab196357 was shown to recognize in wild-type A549 cells as signal was lost at the expected MW in SLC2A1 knockout cells. Additional cross-reactive bands were observed in the wild-type and knockout cells. Wild-type and SLC2A1 knockout samples were subjected to SDS-PAGE. ab196357 and ab8245 (Mouse anti-GAPDH loading control) were incubated overnight at 4°C at 1 μg/ml and 1/20000 dilution respectively. Blots were developed with Goat anti-Rabbit IgG H&L (IRDye® 800CW) preabsorbed ab216773 and Goat anti-Mouse IgG H&L (IRDye® 680RD) preabsorbed ab216776 secondary antibodies at 1/20000 dilution for 1 hour at room temperature before imaging.

All lanes:

Western blot - Anti-Glucose Transporter GLUT1 antibody [EPR3915] (ab115730) at 1 µg/mL

Lane 1:

Wild-type A549 whole cell lysate at 20 µg

Lane 2:

Western blot - Human SLC2A1 (Glucose Transporter GLUT1) knockout A549 cell line (<a href='/products/cell-lines/human-slc2a1-glucose-transporter-glut1-knockout-a549-cell-line-ab261869'>ab261869</a>) at 20 µg

Lane 2:

Western blot - Human SLC2A1 (Glucose Transporter GLUT1) knockout A549 cell line (<a href='/products/cell-lines/human-slc2a1-glucose-transporter-glut1-knockout-a549-cell-line-ab261869'>ab261869</a>)

Predicted band size: 54 kDa

false

Western blot - Anti-Glucose Transporter GLUT1 antibody [EPR3915] (AB115730)
  • WB

Lab

Western blot - Anti-Glucose Transporter GLUT1 antibody [EPR3915] (AB115730)

Western blot : Anti-Glucose Transporter GLUT1 antibody [EPR3915] staining at 1/100000 dilution, shown in green; Mouse anti-GAPDH antibody [6C5] (ab8245) loading control staining at 1/20000 dilution, shown in red. In Western blot, ab115730 was shown to bind specifically to Glucose Transporter GLUT1. A band was observed at 50-300 kDa in wild-type HepG2 cell lysates with no signal observed at this size in SLC2A1 knockout cell line ab280797 (knockout cell lysate ab284224). To generate this image, wild-type and SLC2A1 knockout HepG2 cell lysates were analysed. First, samples were run on an SDS-PAGE gel then transferred onto a nitrocellulose membrane. Membranes were blocked in 3% milk in TBS-0.1% Tween® 20 (TBS-T) before incubation with primary antibodies overnight at 4°C. Blots were washed four times in TBS-T, incubated with secondary antibodies for 1 h at room temperature, washed again four times then imaged. Secondary antibodies used were Goat anti-Rabbit IgG H&L 800CW and Goat anti-Mouse IgG H&L 680RD at 1/20000 dilution.

All lanes:

Western blot - Anti-Glucose Transporter GLUT1 antibody [EPR3915] (ab115730) at 1/100000 dilution

Lane 1:

Wild-type HepG2 cell lysate at 20 µg

Lane 2:

LC2A1 knockout HepG2 cell lysate at 20 µg

Lane 3:

A549 cell lysate at 20 µg

Lane 4:

Jurkat cell lysate at 20 µg

Observed band size: 50-300 kDa

false

Western blot - Anti-Glucose Transporter GLUT1 antibody [EPR3915] (AB115730)
  • WB

Lab

Western blot - Anti-Glucose Transporter GLUT1 antibody [EPR3915] (AB115730)

Blocking buffer : 5% NFDM/TBST
Dilution buffer : 5% NFDM/TBST

All lanes:

Western blot - Anti-Glucose Transporter GLUT1 antibody [EPR3915] (ab115730) at 1/1000000 dilution

Lane 1:

HepG2 whole cell lysate at 10 µg

Lane 2:

Human fetal liver lysate at 10 µg

Lane 3:

HT-29 whole cell lysate at 10 µg

Lane 4:

SW480 whole cell lysate at 10 µg

Secondary

All lanes:

Anti-rabbit IgG (HRP), specific to the non-reduced form of IgG at 1/1000 dilution

Predicted band size: 54 kDa

Observed band size: 40-60 kDa

false

Western blot - Anti-Glucose Transporter GLUT1 antibody [EPR3915] (AB115730)
  • WB

Lab

Western blot - Anti-Glucose Transporter GLUT1 antibody [EPR3915] (AB115730)

Exposure time

Lane 1 to 2 : 10 seconds
Lane 3 to 4 : 30 seconds

We recommend not to boil the samples after lysis to get desired WB bands.

Blocking and diluting buffer and concentration : 5% NFDM/TBST.

All lanes:

Western blot - Anti-Glucose Transporter GLUT1 antibody [EPR3915] (ab115730) at 1/50000 dilution

Lane 1:

HT-29 (Human colorectal adenocarcinoma epithelial cell) whole cell lysates unboiled at 20 µg

Lane 2:

HT-29 (Human colorectal adenocarcinoma epithelial cell) whole cell lysates boiled at 20 µg

Lane 3:

3T3-L1 (Mouse embryonic fibroblast) whole cell lysates unboiled at 20 µg

Lane 4:

3T3-L1 (Mouse embryonic fibroblast) whole cell lysates boiled at 20 µg

Secondary

All lanes:

Western blot - Goat Anti-Rabbit IgG H&L (HRP) (<a href='/products/secondary-antibodies/goat-rabbit-igg-h-l-hrp-ab97051'>ab97051</a>) at 1/20000 dilution

Predicted band size: 54 kDa

Observed band size: 40-60 kDa

false

Western blot - Anti-Glucose Transporter GLUT1 antibody [EPR3915] (AB115730)
  • WB

Lab

Western blot - Anti-Glucose Transporter GLUT1 antibody [EPR3915] (AB115730)

Blocking and diluting buffer and concentration : 5% NFDM/TBST.

All lanes:

Western blot - Anti-Glucose Transporter GLUT1 antibody [EPR3915] (ab115730) at 1/1000 dilution

All lanes:

Rat placenta tissue lysate at 20 µg

Secondary

All lanes:

Western blot - Goat Anti-Rabbit IgG H&L (HRP) (<a href='/products/secondary-antibodies/goat-rabbit-igg-h-l-hrp-ab97051'>ab97051</a>) at 1/20000 dilution

Observed band size: 40-60 kDa

false

Exposure time: 15s

Immunohistochemistry (Formalin/PFA-fixed paraffin-embedded sections) - Anti-Glucose Transporter GLUT1 antibody [EPR3915] (AB115730)
  • IHC-P

PubMed

Immunohistochemistry (Formalin/PFA-fixed paraffin-embedded sections) - Anti-Glucose Transporter GLUT1 antibody [EPR3915] (AB115730)

Immunohistochemical expression of Glut1 in normal tongue epithelium and tongue cancer. Expression was greatest in lymphocytes (arrows in left upper and lower panels). In the normal oral epithelium, Glut1 was weakly expressed in the basal and spinous cells (left upper panel). In OSCC, Glut1 was upregulated, showing a level of expression comparable with lymphocytes (left and right lower panels). Scale bar, 100 μm.

Note : Glut1 = SLC2A (alternative names for the same target).

Khaom, R. et al PLoS One. 2016 Aug 11;11(8):e0161163. doi: 10.1371/journal.pone.0161163. eCollection 2016 Reproduced under the Creative Commons license http://creativecommons.org/licenses/by/4.0/

Western blot - Anti-Glucose Transporter GLUT1 antibody [EPR3915] (AB115730)
  • WB

Unknown

Western blot - Anti-Glucose Transporter GLUT1 antibody [EPR3915] (AB115730)

All lanes:

Western blot - Anti-Glucose Transporter GLUT1 antibody [EPR3915] (ab115730) at 1/1000 dilution

Lane 1:

Jurkat lysate at 10 µg

Lane 2:

Mouse brain lysate at 10 µg

Lane 3:

Human fetal brain lysate at 10 µg

Lane 4:

3T3L1 lysate at 10 µg

Lane 5:

Human fetal liver lysate at 10 µg

Lane 6:

HepG2 lysate at 10 µg

Predicted band size: 54 kDa

false

OI-RD Scanning - Anti-Glucose Transporter GLUT1 antibody [EPR3915] (AB115730)
  • OI-RD Scanning

Unknown

OI-RD Scanning - Anti-Glucose Transporter GLUT1 antibody [EPR3915] (AB115730)

We have systematically measured KD (the equilibrium dissociation constant between the antibody and its antigen), of more than 840 recombinant antibodies to assess not only their individual KD values but also to see the average affinity of antibody. Based on the comparison with published literature values for mouse monoclonal antibodies, Recombinant antibodies appear to be on average 1-2 order of magnitude higher affinity.

Western blot - Anti-Glucose Transporter GLUT1 antibody [EPR3915] (AB115730)
  • WB

CiteAb

Western blot - Anti-Glucose Transporter GLUT1 antibody [EPR3915] (AB115730)

Glucose Transporter GLUT1 Western Blotting using Anti-Glucose Transporter GLUT1 antibody [EPR3915], ab115730. Publication image from Yang, Q. et al., 2018, Nat Commun, PubMed : 30405100.

PRKAA1 is required for disturbed flow-induced metabolic alteration of ECs. a–c Representative images and quantification data of en face immunofluorescence staining for Slc2a1 and Pfkfb3 (red) on arterial endothelium of Prkaa1f/f and Prkaa1VEC-KO mice. The endothelium was visualized by CD31 staining (Alexa Fluor-488, green). Nuclei were counterstained with DAPI (blue). Images were captured with confocal fluorescent microscopy. Scale bar : 20 µm; n = 7. d Real-time PCR analysis of mRNA levels of glycolytic genes (Hif1a, Slc2a1, Pfkfb3, Hk1, and Ldha) of ECs from sham-operated right carotid arteries in Prkaa1f/f mice and partially ligated left carotid arteries in Prkaa1f/f and Prkaa1VEC-KO mice. n = 9 mice per group. e Real-time PCR analysis of mRNA levels of HIF1A, SLC2A1, PFKFB3, and HK1 in HUVECs transfected with siCtrl and siPRKAA1 under laminar flow and oscillating flow for 24 h. n = 4. f Western-blot analysis and quantification data of protein levels of HIF1A, SLC2A1, and PFKFB3 in HUVECs transfected with siCtrl and siPRKAA1 under laminar flow and oscillating flow for 24 h. n = 4. g Western-blot analysis and quantification data of protein level of Cezanne in HUVECs transfected with siCtrl and siPRKAA1 under laminar flow and oscillating flow for 24 h. n = 4. h Western-blot analysis and quantification data of protein levels of p-PRKA, PRKAA1, PRKAA, SLC2A1, and PFKFB3 in HUVECs transfected with siCtrl and siHIF1A under laminar flow and oscillating flow for 24 h. n = 4. i Western-blot analysis and quantification data of protein levels of SLC2A1 and PFKFB3 in HUVECs transfected with siCtrl-Ad-Ctrl, siPRKAA1-Ad-Ctrl, and siPRKAA1-Ad-HIF1A under oscillating flow for 24 h. n = 5. All data were expressed as mean ± SEM. Statistical significance was determined by one-way ANOVA followed by Bonferroni test. *p < 0.05 was considered significant, **p < 0.01, ***p < 0.001

false

関連する標識済み抗体及び組成の異なる製品 (11)

  • 617 Alexa Fluor® 594

    Alexa Fluor® 594 Anti-Glucose Transporter GLUT1 antibody [EPR3915]

  • 578 PE

    PE Anti-Glucose Transporter GLUT1 antibody [EPR3915]

  • HRP

    HRP Anti-Glucose Transporter GLUT1 antibody [EPR3915]

  • 519 Alexa Fluor® 488

    Alexa Fluor® 488 Anti-Glucose Transporter GLUT1 antibody [EPR3915]

  • 665 Alexa Fluor® 647

    Alexa Fluor® 647 Anti-Glucose Transporter GLUT1 antibody [EPR3915]

  • Carrier free

    Anti-Glucose Transporter GLUT1 antibody [EPR3915] - BSA and Azide free

  • 421 Alexa Fluor® 405

    Alexa Fluor® 405 Anti-Glucose Transporter GLUT1 antibody [EPR3915]

  • 660 APC

    APC Anti-Glucose Transporter GLUT1 antibody [EPR3915]

  • 519 FITC

    FITC Anti-Glucose Transporter GLUT1 antibody [EPR3915]

  • Biotin

    Biotin Anti-Glucose Transporter GLUT1 antibody [EPR3915]

  • Carrier free

    Anti-Glucose Transporter GLUT1 antibody [EPR3915] - Low endotoxin, Azide free

Key facts

宿主種

Rabbit

クローン性

Monoclonal

クローン番号

EPR3915

アイソタイプ

IgG

キャリアフリー

No

交差種

Mouse, Rat, Human

アプリケーション

WB, IHC-P, Flow Cyt (Intra), ICC/IF

applications

免疫原

The exact immunogen used to generate this antibody is proprietary information.

特異性

We recommend not to boil the samples after lysis to get desired WB bands.

Reactivity data

{ "title": "Reactivity Data", "filters": { "stats": ["", "Species", "Dilution Info", "Notes"], "tabs": { "all-applications": {"fullname" : "All Applications", "shortname": "All Applications"}, "IHCP" : {"fullname" : "Immunohistochemistry (Formalin/PFA-fixed paraffin-embedded sections)", "shortname":"IHC-P"}, "WB" : {"fullname" : "Western blot", "shortname":"WB"}, "ICCIF" : {"fullname" : "Immunocytochemistry/ Immunofluorescence", "shortname":"ICC/IF"}, "FlowCytIntra" : {"fullname" : "Flow Cytometry (Intracellular)", "shortname":"Flow Cyt (Intra)"} }, "product-promise": { "all": "all", "testedAndGuaranteed": "tested", "guaranteed": "expected", "predicted": "predicted", "notRecommended": "not-recommended" } }, "values": { "Human": { "IHCP-species-checked": "testedAndGuaranteed", "IHCP-species-dilution-info": "1/250 - 1/500", "IHCP-species-notes": "<p></p> Perform heat-mediated antigen retrieval before commencing with IHC staining protocol.", "WB-species-checked": "testedAndGuaranteed", "WB-species-dilution-info": "1/100000", "WB-species-notes": "<p>We would not recommend boiling due to the possible irreversible aggregation of glycose transporters. If samples are boiled it can prevent some of the protein from entering the gel or produce multimers which are often mistaken for background. Samples should be solubilized in standard SDS Laemmli buffer and maintained at room temperature before loading.</p>", "ICCIF-species-checked": "testedAndGuaranteed", "ICCIF-species-dilution-info": "1 µg/mL", "ICCIF-species-notes": "<p>This product gave a positive signal in A549 (SLC2A1 knockout A549 cells used as a negative control) fixed with 100% methanol (5 min).</p>", "FlowCytIntra-species-checked": "testedAndGuaranteed", "FlowCytIntra-species-dilution-info": "1/40", "FlowCytIntra-species-notes": "<p><a href='/products/primary-antibodies/rabbit-igg-monoclonal-epr25a-isotype-control-ab172730'>ab172730</a> - Rabbit monoclonal IgG, is suitable for use as an isotype control with this antibody.</p>" }, "Mouse": { "IHCP-species-checked": "notRecommended", "IHCP-species-dilution-info": "1/250 - 1/500", "IHCP-species-notes": "<p></p> Perform heat-mediated antigen retrieval before commencing with IHC staining protocol.", "WB-species-checked": "testedAndGuaranteed", "WB-species-dilution-info": "1/100000", "WB-species-notes": "<p>We would not recommend boiling due to the possible irreversible aggregation of glycose transporters. If samples are boiled it can prevent some of the protein from entering the gel or produce multimers which are often mistaken for background. Samples should be solubilized in standard SDS Laemmli buffer and maintained at room temperature before loading.</p>", "ICCIF-species-checked": "guaranteed", "ICCIF-species-dilution-info": "", "ICCIF-species-notes": "", "FlowCytIntra-species-checked": "guaranteed", "FlowCytIntra-species-dilution-info": "", "FlowCytIntra-species-notes": "" }, "Rat": { "IHCP-species-checked": "notRecommended", "IHCP-species-dilution-info": "1/250 - 1/500", "IHCP-species-notes": "<p></p> Perform heat-mediated antigen retrieval before commencing with IHC staining protocol.", "WB-species-checked": "testedAndGuaranteed", "WB-species-dilution-info": "1/1000", "WB-species-notes": "<p>We would not recommend boiling due to the possible irreversible aggregation of glycose transporters. If samples are boiled it can prevent some of the protein from entering the gel or produce multimers which are often mistaken for background. Samples should be solubilized in standard SDS Laemmli buffer and maintained at room temperature before loading.</p>", "ICCIF-species-checked": "guaranteed", "ICCIF-species-dilution-info": "", "ICCIF-species-notes": "", "FlowCytIntra-species-checked": "guaranteed", "FlowCytIntra-species-dilution-info": "", "FlowCytIntra-species-notes": "" } } }

製品の詳細

Anti-Glucose Transporter GLUT1 antibody [EPR3915] (ab115730) was developed by Abcam using patented rabbit monoclonal antibody technology and is validated for use in Flow Cyt (Intra), ICC/IF, IHC-P and WB.

Anti-Glucose Transporter GLUT1 antibody [EPR3915] (ab115730) was first used in a scientific publication in 2012 and has been cited over 320 times in peer reviewed journals. It's performance in Western Blot in human and mouse samples is trusted by the scientific community.

Abcam's high quality manufacturing and validation processes ensure Anti-Glucose Transporter GLUT1 antibody [EPR3915] (ab115730) has high sensitivity and specificity alongside high lot-to-lot consistency and reproducibility.

The specificity of Anti-Glucose Transporter GLUT1 antibody [EPR3915] (ab115730) has been confirmed by Western Blot testing in Glucose Transporter GLUT1 knockout HepG2 cells (ab280797).

Anti-Glucose Transporter GLUT1 antibody [EPR3915] (ab115730) has 18 independent reviews from customers.

Anti-Glucose Transporter GLUT1 antibody [EPR3915] (ab115730) specifically detects Glucose Transporter GLUT1 (UniProt ID: P11166; Molecular weight: 55kDa) and is sold in a convenient trial size to enable initial testing (20 µL) and larger sizes for subsequent scaling up experiments (100 µL and 1 mL).

Conjugation-ready, carrier free format available for antibody clone EPR3915 - ab196357.

Antibody clone EPR3915 is also available pre-conjugated to a variety of labels for your convenience - Alexa Fluor® 647, HRP, Alexa Fluor® 488, Alexa Fluor® 594, PE, Alexa Fluor® 405, APC, FITC (ab195020, ab195021, ab195359, ab206360, ab209449, ab210438, ab316298, ab322306).

GLUT1 significantly impacts inflammation by facilitating glucose uptake in immune cells, which is essential for their activation and function. GLUT1 activity can lead to chronic inflammation and tissue damage. GLUT1 is a key biomarker in IBD and immunometabolism. GLUT1 is a signature in Met-flow analysis. Antibody is top cited with over 428 publications.

Patented technology
Our RabMAb® technology is a patented hybridoma-based technology for making rabbit monoclonal antibodies. For details on our patents, please refer to RabMAb® patents.

What are the advantages of a recombinant monoclonal antibody?
This product is a recombinant monoclonal antibody, which offers several advantages including:

  • - High batch-to-batch consistency and reproducibility
  • - Improved sensitivity and specificity
  • - Long-term security of supply
  • - Animal-free batch production

For more information, read more on recombinant antibodies.

出荷温度及び保存条件

製品の状態
Liquid
精製方法
Affinity purification Protein A
バッファー組成
pH: 7.2 - 7.4 Preservative: 0.01% Sodium azide Constituents: PBS, 50% Glycerol (glycerin, glycerine), 0.05% BSA
出荷温度
Blue Ice
短期保存期間
1-2 weeks
短期保存温度
+4°C
長期保存温度
-20°C
分注に関する情報
Upon delivery aliquot
保管に関する情報
Avoid freeze / thaw cycle

補足情報

This supplementary information is collated from multiple sources and compiled automatically.

The Glucose Transporter GLUT1 also known as SLC2A1 is an important protein responsible for the transport of glucose across cell membranes. The GLUT1 transporter has a molecular weight of approximately 55 kDa. This protein is highly expressed in erythrocytes endothelial cells lining blood vessels and in the blood-brain barrier. Its primary role is to facilitate the basal glucose uptake necessary for cellular metabolism particularly in tissues where glucose is a critical energy source.
Biological function summary

This glucose transporter plays a significant role in maintaining glucose homeostasis in the human body. GLUT1 functions independently and not as part of a complex. It ensures that glucose is available to cells with high metabolic demands including the brain and red blood cells where it remains important for survival and function. Its expression level can be influenced by various factors including hypoxia and insulin.

Pathways

GLUT1 is involved in the glycolysis and hypoxia-related pathways. It supports the glycolytic pathway by ensuring a sufficient supply of glucose to the cells which is then metabolized to produce ATP. Additionally during hypoxic conditions GLUT1 expression can increase aligning with proteins like HIF-1α which helps cells adapt by modifying their metabolism. This coordinated regulation permits cells to adjust their energy systems according to the oxygen availability.

GLUT1 is implicated in glucose transporter type 1 deficiency syndrome (GLUT1 DS) and various forms of cancer. GLUT1 DS results from inadequate glucose transport into the brain presenting neurological symptoms due to energy deficiency. In cancer overexpression of GLUT1 links to increased glucose uptake and tumor growth a condition known to involve proteins like hexokinase. These associations underline GLUT1's contribution to both genetic defects and metabolic shifts in cancerous tissues.

製品プロトコール

For this product, it's our understanding that no specific protocols are required. You can visit:

ターゲットの情報

Facilitative glucose transporter, which is responsible for constitutive or basal glucose uptake (PubMed : 10227690, PubMed : 10954735, PubMed : 18245775, PubMed : 19449892, PubMed : 25982116, PubMed : 27078104, PubMed : 32860739). Has a very broad substrate specificity; can transport a wide range of aldoses including both pentoses and hexoses (PubMed : 18245775, PubMed : 19449892). Most important energy carrier of the brain : present at the blood-brain barrier and assures the energy-independent, facilitative transport of glucose into the brain (PubMed : 10227690). In association with BSG and NXNL1, promotes retinal cone survival by increasing glucose uptake into photoreceptors (By similarity). Required for mesendoderm differentiation (By similarity).
See full target information SLC2A1

文献 (466)

Recent publications for all applications. Explore the full list and refine your search

Diabetology & metabolic syndrome 17:378 PubMed41044791

2025

Electroacupuncture ameliorates cognitive dysfunction in T2DM rats by modulating astrocytic polarization and aberrant energy metabolism in the hippocampus via the Wnt/β-catenin pathway.

Applications

Unspecified application

Species

Unspecified reactive species

Xiaolu Li,Rui Li,Jiayi Lin,Xiaoli Wu

Scientific reports 15:34135 PubMed41034261

2025

Clinicopathological analysis of GLUT-1, GLS1, and GLS2 expression in breast cancer tissues from Jordanian patients.

Applications

Unspecified application

Species

Unspecified reactive species

Haneen A Basheer,Ahlam Zaid Alkilani,Samir Al Bashir,Maram A Alhusban,Lina Elsalem,Sura Bilal AlOmari,Qosay Mahmoud Sharqiah,Kamyar Afarinkia

Veterinary sciences 12: PubMed41012809

2025

Effects of Maternal Nutrition and One-Carbon Metabolite Supplementation on Fetal Jejunal Morphology and Hexose Transporter Expression in Beef Cattle.

Applications

Unspecified application

Species

Unspecified reactive species

Mojtaba Daneshi,Pawel P Borowicz,Virginia Montgomery,Yssi L Entzie,Jessica G Syring,Layla E King,Kazi Sarjana Safain,Muhammad Anas,Lawrence P Reynolds,Alison K Ward,Carl R Dahlen,Matthew S Crouse,Joel S Caton

Discover oncology 16:1712 PubMed41003853

2025

Hsa_circ_0075451 promotes NSCLC proliferation, metastasis, and glycolysis through interaction with the RNA-binding protein RBM4.

Applications

Unspecified application

Species

Unspecified reactive species

ChongYu Su,YuXuan Wang,Kang Shi,ZheXin Bai,DaPing Yu,ZhiDong Liu

Pakistan journal of pharmaceutical sciences 38:1632-1646 PubMed40996179

2025

Cantharidic acid inhibits the malignant progression of colorectal cancer by inhibiting aerobic glycolysis and regulating the PI3K/Akt/P53 pathway.

Applications

Unspecified application

Species

Unspecified reactive species

Yan Wei,Shulin Dai,Dongyun Zhang,Ting Zhang,Xiaoyu Wang,Bolin Liu,Wei Huang,Yin Li,Mingliao Niu

Nature 647:228-237 PubMed40963024

2025

Repeated head trauma causes neuron loss and inflammation in young athletes.

Applications

Unspecified application

Species

Unspecified reactive species

Morgane L M D Butler,Nida Pervaiz,Kerry Breen,Samantha Calderazzo,Petra Ypsilantis,Yichen Wang,Julia Cammasola Breda,Sarah Mazzilli,Raymond Nicks,Elizabeth Spurlock,Marco M Hefti,Kimberly L Fiock,Bertrand R Huber,Victor E Alvarez,Thor D Stein,Joshua D Campbell,Ann C McKee,Jonathan D Cherry

Frontiers in cell and developmental biology 13:1629770 PubMed40894922

2025

Efficacy of bleomycin and sirolimus in inhibiting CD31 endothelial cell proliferation in noninvoluting congenital hemangiomas.

Applications

Unspecified application

Species

Unspecified reactive species

Yanan Li,Chuan Wang,Yi Li,Xinglong Zhu,Ji Bao,Yi Ji

Acta biochimica et biophysica Sinica 57:1718-1731 PubMed40891247

2025

LINC00114 promotes colorectal cancer metastasis by targeting HNRNPA1 to regulate glutamine metabolism reprogramming and angiogenesis.

Applications

Unspecified application

Species

Unspecified reactive species

Shiyu Tang,Meng Liu,Yangyang Zhu,Lifa Li,Chen Qing,Yuehua Guan,Tong Zhou,Xuegui Tang

Advanced science (Weinheim, Baden-Wurttemberg, Germany) 12:e11873 PubMed40832885

2025

Succinate Dehydrogenase Subunit A (SDHA) Mediated Microglia Extracellular Traps Formation Participating in Cerebral Ischemic Reperfusion Injury.

Applications

Unspecified application

Species

Unspecified reactive species

Lili Zhao,Tao Li,Meijuan Dang,Ye Li,Jialiang Lu,Ziwei Lu,Zhiyang Chen,Qiao Huang,Yujie Chen,Yang Yang,Yuxuan Feng,Xiaoya Wang,Yating Jian,Heying Wang,Yingying Guo,Lei Zhang,Yu Jiang,Songhua Fan,Shengxi Wu,Hong Fan,Fang Kuang,Guilian Zhang

Cancer biology & therapy 26:2546219 PubMed40808274

2025

Hypoxia-induced PYCR1 regulates glycolysis and histone lactylation to promote bladder cancer progression and metastasis via SLC6A14/Glutamine metabolism.

Applications

Unspecified application

Species

Unspecified reactive species

Zhuo Li,Qinghua Jiang,Quan Yang,Yujie Zhou,Jiansong Wang
View all publications

Abcam product promise

当社は、高品質な試薬を通じてお客様の研究を力強くサポートすることをお約束いたします。ご使用いただく各段階で、常にお客様をサポートできる体制を整えております。万が一、製品が期待通りに機能しない場合は、「Abcam Product Promise」による当社保証制度に基づき、安心してご利用いただけます。
保証に関する詳細については利用規約をご確認ください。

Please note: All products are 'FOR RESEARCH USE ONLY. NOT FOR USE IN DIAGNOSTIC OR THERAPEUTIC PROCEDURES'.

For licensing inquiries, please contact partnerships@abcam.com