JavaScript is disabled in your browser. Please enable JavaScript to view this website.
AB14683

Anti-Glucose Transporter GLUT1 抗体

Anti-Glucose Transporter GLUT1 antibody

5

(1 Review)

|

(65 Publications)

Rabbit Polyclonal Glucose Transporter GLUT1 antibody. Suitable for IHC-P, WB, ICC/IF and reacts with Human samples. Cited in 65 publications. Immunogen corresponding to Synthetic Peptide within Rat Slc2a1 aa 450 to C-terminus.

別名を表示する

GLUT1, SLC2A1, HepG2 glucose transporter, GLUT-1

4 Images
Immunohistochemistry (Formalin/PFA-fixed paraffin-embedded sections) - Anti-Glucose Transporter GLUT1 antibody (AB14683)
  • IHC-P

PubMed

Immunohistochemistry (Formalin/PFA-fixed paraffin-embedded sections) - Anti-Glucose Transporter GLUT1 antibody (AB14683)

Immunohistochemical analysis of mammary glands taken from wild-type or Erbb4-/- lactating mice, staining Glucose Transporter GLUT1 with ab14683.

Image from Paatero I et al., J Biol Chem. 2012 Mar 23;287(13):9659-71. Epub 2012 Feb 3. Fig 1.; doi: 10.1074/jbc.M111.299537; March 23, 2012 The Journal of Biological Chemistry, 287, 9659-9671.

Western blot - Anti-Glucose Transporter GLUT1 antibody (AB14683)
  • WB

Unknown

Western blot - Anti-Glucose Transporter GLUT1 antibody (AB14683)

This antibody labels Glut 1 protein as a smear due to large amount of glycosylation on Glut 1 transporter. We observed that boiling and freezing the Glut 1 samples resulted in aggregated form of the protein and gives a smear form high 100kDa range to 45kDa with significant reduction in Glut 1 (44-47kDa) band. We suggest that samples should not be heated or frozen. Following extraction in lysis buffer, the proteins are then dissolved in SDS-PAGE sample buffer 2X and reduced in presence of 2.5-5% BME. All samples at this time will be heated 70-80°C for 3 minutes and aliquot and stored frozen till it is time for analysis. Just before analyses the samples much be thawed at room temp or at 37°C to dissolve any precipitated SDS in the sample. The remaining sample must not be frozen again, this freeze and next thaw cycle will make aggregate in some samples.

All lanes:

Western blot - Anti-Glucose Transporter GLUT1 antibody (ab14683) at 1/2500 dilution

Lane 1:

Human placenta tissue lysate - total protein (ab29745) at 10 µg

Lane 2:

SW480 (Human colon adenocarcinoma cell line) Whole Cell Lysate at 10 µg

Secondary

All lanes:

Goat polyclonal to Rabbit IgG - H&L - Pre-Adsorbed (HRP) at 1/3000 dilution

Predicted band size: 54 kDa

Observed band size: 55 kDa

false

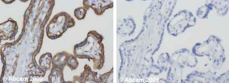
Immunohistochemistry (Formalin/PFA-fixed paraffin-embedded sections) - Anti-Glucose Transporter GLUT1 antibody (AB14683)
  • IHC-P

Unknown

Immunohistochemistry (Formalin/PFA-fixed paraffin-embedded sections) - Anti-Glucose Transporter GLUT1 antibody (AB14683)

Human normal placenta. Staining is observed at the cell surface.

Left panel : Primary antibody at 2 ug/ml.

Right panel : Isotype control.

Sections were stained using an automated system DAKO Autostainer Plus , at room temperature : sections were rehydrated and antigen retrieved with the Dako 3 in 1 AR buffers citrate pH 6.1 in a DAKO PT Link. Slides were peroxidase blocked in 3% H2O2 in methanol for 10 minutess. They were then blocked with Dako Protein block for 10 minutes (containing casein 0.25% in PBS) then incubated with primary antibody for 20 minutes and detected with Dako envision flex amplification kit for rabbit for 30 minutes. Colorimetric detection was completed with Diaminobenzidine for 5 minutes. Slides were counterstained with haematoxylin and coverslipped under DePeX.

Please note that for manual staining we recommend to optimize the primary antibody concentration and incubation time (overnight incubation), and amplification may be required.

Immunocytochemistry/ Immunofluorescence - Anti-Glucose Transporter GLUT1 antibody (AB14683)
  • ICC/IF

Unknown

Immunocytochemistry/ Immunofluorescence - Anti-Glucose Transporter GLUT1 antibody (AB14683)

ICC/IF image of ab14683 stained HeLa (Human epithelial cell line from cervix adenocarcinoma) cells. The cells were 4% formaldehyde fixed (10 minutes) and then incubated in 1% BSA / 10% normal goat serum / 0.3M glycine in 0.1% PBS-Tween for 1 hour to permeabilize the cells and block non-specific protein-protein interactions. The cells were then incubated with the antibody (ab14683, 5 μg/ml) overnight at +4°C. The secondary antibody (green) was Alexa Fluor® 488 goat anti-rabbit IgG (H+L) used at a 1/1000 dilution for 1 hour. Alexa Fluor® 594 WGA was used to label plasma membranes (red) at a 1/200 dilution for 1 hour. DAPI was used to stain the cell nuclei (blue) at a concentration of 1.43 μM.

Key facts

宿主種

Rabbit

クローン性

Polyclonal

アイソタイプ

IgG

キャリアフリー

No

交差種

Human

アプリケーション

IHC-P, ICC/IF, WB

applications

免疫原

Synthetic Peptide within Rat Slc2a1 aa 450 to C-terminus. The exact immunogen used to generate this antibody is proprietary information.

P11167

Reactivity data

{ "title": "Reactivity Data", "filters": { "stats": ["", "Species", "Dilution Info", "Notes"], "tabs": { "all-applications": {"fullname" : "All Applications", "shortname": "All Applications"}, "IHCP" : {"fullname" : "Immunohistochemistry (Formalin/PFA-fixed paraffin-embedded sections)", "shortname":"IHC-P"}, "WB" : {"fullname" : "Western blot", "shortname":"WB"}, "ICCIF" : {"fullname" : "Immunocytochemistry/ Immunofluorescence", "shortname":"ICC/IF"} }, "product-promise": { "all": "all", "testedAndGuaranteed": "tested", "guaranteed": "expected", "predicted": "predicted", "notRecommended": "not-recommended" } }, "values": { "Human": { "IHCP-species-checked": "testedAndGuaranteed", "IHCP-species-dilution-info": "", "IHCP-species-notes": "<p></p> Perform heat-mediated antigen retrieval before commencing with IHC staining protocol.", "WB-species-checked": "testedAndGuaranteed", "WB-species-dilution-info": "1/2500", "WB-species-notes": "<p>We suggest that samples should not be heated or frozen.</p>", "ICCIF-species-checked": "testedAndGuaranteed", "ICCIF-species-dilution-info": "1/200", "ICCIF-species-notes": "<p></p>" }, "Baboon": { "IHCP-species-checked": "predicted", "IHCP-species-dilution-info": "", "IHCP-species-notes": "", "WB-species-checked": "predicted", "WB-species-dilution-info": "", "WB-species-notes": "", "ICCIF-species-checked": "predicted", "ICCIF-species-dilution-info": "", "ICCIF-species-notes": "" }, "Cat": { "IHCP-species-checked": "predicted", "IHCP-species-dilution-info": "", "IHCP-species-notes": "", "WB-species-checked": "predicted", "WB-species-dilution-info": "", "WB-species-notes": "", "ICCIF-species-checked": "predicted", "ICCIF-species-dilution-info": "", "ICCIF-species-notes": "" }, "Chicken": { "IHCP-species-checked": "predicted", "IHCP-species-dilution-info": "", "IHCP-species-notes": "", "WB-species-checked": "predicted", "WB-species-dilution-info": "", "WB-species-notes": "", "ICCIF-species-checked": "predicted", "ICCIF-species-dilution-info": "", "ICCIF-species-notes": "" }, "Chimpanzee": { "IHCP-species-checked": "predicted", "IHCP-species-dilution-info": "", "IHCP-species-notes": "", "WB-species-checked": "predicted", "WB-species-dilution-info": "", "WB-species-notes": "", "ICCIF-species-checked": "predicted", "ICCIF-species-dilution-info": "", "ICCIF-species-notes": "" }, "Horse": { "IHCP-species-checked": "predicted", "IHCP-species-dilution-info": "", "IHCP-species-notes": "", "WB-species-checked": "predicted", "WB-species-dilution-info": "", "WB-species-notes": "", "ICCIF-species-checked": "predicted", "ICCIF-species-dilution-info": "", "ICCIF-species-notes": "" }, "Monkey": { "IHCP-species-checked": "predicted", "IHCP-species-dilution-info": "", "IHCP-species-notes": "", "WB-species-checked": "predicted", "WB-species-dilution-info": "", "WB-species-notes": "", "ICCIF-species-checked": "predicted", "ICCIF-species-dilution-info": "", "ICCIF-species-notes": "" }, "Pig": { "IHCP-species-checked": "predicted", "IHCP-species-dilution-info": "", "IHCP-species-notes": "", "WB-species-checked": "predicted", "WB-species-dilution-info": "", "WB-species-notes": "", "ICCIF-species-checked": "predicted", "ICCIF-species-dilution-info": "", "ICCIF-species-notes": "" } } }

下記製品もご検討ください

AB115730

Anti-Glucose Transporter GLUT1 antibody [EPR3915]

4
19 Reviews
製品ページを見る
こちらの製品も推奨する理由

私たちは、より高品質な製品をお届けするために、製品構成を常に改善しています。今回ご紹介する代替製品は、性能の向上、使いやすさや利便性の向上、またはより早くお届けできる点などを踏まえて選定しています。

出荷温度及び保存条件

製品の状態
Liquid
精製方法
Affinity purification Immunogen
精製に関する特記事項
Purified antibody was isolated from immobilized antigen sepharose affinity column.
バッファー組成
pH: 7.4 - 7.8 Preservative: 0.02% Sodium azide Constituents: 30% Glycerol (glycerin, glycerine), 0.5% BSA, 0.24% HEPES, 0.16% Tris HCl
出荷温度
Blue Ice
短期保存温度
+4°C
長期保存温度
-20°C
分注に関する情報
Upon delivery aliquot
保管に関する情報
Avoid freeze / thaw cycle

補足情報

This supplementary information is collated from multiple sources and compiled automatically.

The Glucose Transporter GLUT1 also known as SLC2A1 is an important protein responsible for the transport of glucose across cell membranes. The GLUT1 transporter has a molecular weight of approximately 55 kDa. This protein is highly expressed in erythrocytes endothelial cells lining blood vessels and in the blood-brain barrier. Its primary role is to facilitate the basal glucose uptake necessary for cellular metabolism particularly in tissues where glucose is a critical energy source.
Biological function summary

This glucose transporter plays a significant role in maintaining glucose homeostasis in the human body. GLUT1 functions independently and not as part of a complex. It ensures that glucose is available to cells with high metabolic demands including the brain and red blood cells where it remains important for survival and function. Its expression level can be influenced by various factors including hypoxia and insulin.

Pathways

GLUT1 is involved in the glycolysis and hypoxia-related pathways. It supports the glycolytic pathway by ensuring a sufficient supply of glucose to the cells which is then metabolized to produce ATP. Additionally during hypoxic conditions GLUT1 expression can increase aligning with proteins like HIF-1α which helps cells adapt by modifying their metabolism. This coordinated regulation permits cells to adjust their energy systems according to the oxygen availability.

GLUT1 is implicated in glucose transporter type 1 deficiency syndrome (GLUT1 DS) and various forms of cancer. GLUT1 DS results from inadequate glucose transport into the brain presenting neurological symptoms due to energy deficiency. In cancer overexpression of GLUT1 links to increased glucose uptake and tumor growth a condition known to involve proteins like hexokinase. These associations underline GLUT1's contribution to both genetic defects and metabolic shifts in cancerous tissues.

製品プロトコール

For this product, it's our understanding that no specific protocols are required. You can visit:

ターゲットの情報

Facilitative glucose transporter, which is responsible for constitutive or basal glucose uptake (PubMed : 10227690, PubMed : 10954735, PubMed : 18245775, PubMed : 19449892, PubMed : 25982116, PubMed : 27078104, PubMed : 32860739). Has a very broad substrate specificity; can transport a wide range of aldoses including both pentoses and hexoses (PubMed : 18245775, PubMed : 19449892). Most important energy carrier of the brain : present at the blood-brain barrier and assures the energy-independent, facilitative transport of glucose into the brain (PubMed : 10227690). In association with BSG and NXNL1, promotes retinal cone survival by increasing glucose uptake into photoreceptors (By similarity). Required for mesendoderm differentiation (By similarity).
See full target information SLC2A1

文献 (65)

Recent publications for all applications. Explore the full list and refine your search

PloS one 18:e0294909 PubMed38033124

2023

Upper glycolytic components contribute differently in controlling retinal vascular endothelial cellular behavior: Implications for endothelial-related retinal diseases.

Applications

Unspecified application

Species

Unspecified reactive species

Nicole Oska,Shaimaa Eltanani,Mohamed Shawky,Armaan Naghdi,Andrew Gregory,Thangal Yumnamcha,Ahmed S Ibrahim

Journal of translational medicine 21:667 PubMed37752585

2023

Tumor microenvironment in a minipig model of spinal cord glioma.

Applications

Unspecified application

Species

Unspecified reactive species

Muhibullah S Tora,Stewart G Neill,Yuliya Lakhina,Hemza Assed,Michelle Zhang,Purva P Nagarajan,Thais Federici,Juanmarco Gutierrez,Kimberly B Hoang,Yuhong Du,Kecheng Lei,Nicholas M Boulis

Journal of biochemical and molecular toxicology 37:e23436 PubMed37376914

2023

Matrine suppresses liver cancer progression and the Warburg effect by regulating the circROBO1/miR-130a-5p/ROBO1 axis.

Applications

Unspecified application

Species

Unspecified reactive species

Zhengchun Huang,Hongwei Li,Qihua Li,Xuehong Chen,Ruizhen Liu,Xinfeng Chang

Frontiers in endocrinology 14:1167734 PubMed37223031

2023

Mature primary human osteocytes in mini organotypic cultures secrete FGF23 and PTH1-34-regulated sclerostin.

Applications

Unspecified application

Species

Unspecified reactive species

Helen J Knowles,Anastasios Chanalaris,Argyro Koutsikouni,Adam P Cribbs,Liam M Grover,Philippa A Hulley

Cancer discovery 12:2308-2329 PubMed35758895

2022

A Targetable Myeloid Inflammatory State Governs Disease Recurrence in Clear-Cell Renal Cell Carcinoma.

Applications

Unspecified application

Species

Unspecified reactive species

Phillip M Rappold,Lynda Vuong,Josef Leibold,Nicholas H Chakiryan,Michael Curry,Fengshen Kuo,Erich Sabio,Hui Jiang,Briana G Nixon,Ming Liu,Anders E Berglund,Andrew W Silagy,Eduardo A Mascareno,Mahdi Golkaram,Mahtab Marker,Albert Reising,Alexander Savchenko,John Millholland,Ying-Bei Chen,Paul Russo,Jonathan Coleman,Ed Reznik,Brandon J Manley,Irina Ostrovnaya,Vladimir Makarov,Renzo G DiNatale,Kyle A Blum,Xiaoxiao Ma,Diego Chowell,Ming O Li,David B Solit,Scott W Lowe,Timothy A Chan,Robert J Motzer,Martin H Voss,A Ari Hakimi

Frontiers in oncology 12:829524 PubMed35419292

2022

Increased Ascorbate Content of Glioblastoma Is Associated With a Suppressed Hypoxic Response and Improved Patient Survival.

Applications

Unspecified application

Species

Unspecified reactive species

Eleanor R Burgess,Rebekah L I Crake,Elisabeth Phillips,Helen R Morrin,Janice A Royds,Tania L Slatter,George A R Wiggins,Margreet C M Vissers,Bridget A Robinson,Gabi U Dachs

Frontiers in cellular neuroscience 16:848764 PubMed35360491

2022

Pericyte Loss Leads to Capillary Stalling Through Increased Leukocyte-Endothelial Cell Interaction in the Brain.

Applications

Unspecified application

Species

Unspecified reactive species

Young-Geun Choe,Jin-Hui Yoon,Jongyoon Joo,Bokyung Kim,Seon Pyo Hong,Gou Young Koh,Dong-Seok Lee,Wang-Yuhl Oh,Yong Jeong

Bioengineered 13:6293-6308 PubMed35212614

2022

Circular RNA midline-1 (circMID1) promotes proliferation, migration, invasion and glycolysis in prostate cancer.

Applications

WB

Species

Human

Yafei Ding,Mi Wang,Jinjian Yang

Bioengineered 13:3434-3449 PubMed35067172

2022

Knockdown of circular RNA tousled-like kinase 1 relieves ischemic stroke in middle cerebral artery occlusion mice and oxygen-glucose deprivation and reoxygenation-induced N2a cell damage.

Applications

Unspecified application

Species

Unspecified reactive species

Rile Wu,Qiang Yun,Jianping Zhang,Zhong Wang,Xiaojun Zhang,Jingang Bao

Bioengineered 12:10194-10202 PubMed34872447

2021

Centromere protein U (CENPU) promotes gastric cancer cell proliferation and glycolysis by regulating high mobility group box 2 (HMGB2).

Applications

Unspecified application

Species

Unspecified reactive species

Taozhi Deng,Xuemei Jiang,Zhoutao He,Manni Cai,Chaochao Chen,Zewen Xu
View all publications

Abcam product promise

当社は、高品質な試薬を通じてお客様の研究を力強くサポートすることをお約束いたします。ご使用いただく各段階で、常にお客様をサポートできる体制を整えております。万が一、製品が期待通りに機能しない場合は、「Abcam Product Promise」による当社保証制度に基づき、安心してご利用いただけます。
保証に関する詳細については利用規約をご確認ください。

関連製品

Select an associated product type
Alternative Product
Primary Antibodies

AB206360

Alexa Fluor® 594 Anti-Glucose Transporter GLUT1 antibody [EPR3915]

primary-antibodies

alexa-fluor-594-glucose-transporter-glut1-antibody-epr3915-ab206360

0

(0 reviews)

Alternative Product
Primary Antibodies

AB209449

PE Anti-Glucose Transporter GLUT1 antibody [EPR3915]

primary-antibodies

pe-glucose-transporter-glut1-antibody-epr3915-ab209449

5

(2 reviews)

Alternative Product
Primary Antibodies

AB195359

Alexa Fluor® 488 Anti-Glucose Transporter GLUT1 antibody [EPR3915]

primary-antibodies

alexa-fluor-488-glucose-transporter-glut1-antibody-epr3915-ab195359

5

(1 reviews)

Alternative Product
Primary Antibodies

AB196357

Anti-Glucose Transporter GLUT1 antibody [EPR3915] - Low endotoxin, Azide free

primary-antibodies

glucose-transporter-glut1-antibody-epr3915-low-endotoxin-azide-free-ab196357

0

(0 reviews)

Alternative Product
Primary Antibodies

AB195020

Alexa Fluor® 647 Anti-Glucose Transporter GLUT1 antibody [EPR3915]

primary-antibodies

alexa-fluor-647-glucose-transporter-glut1-antibody-epr3915-ab195020

4

(5 reviews)

Alternative Product
Primary Antibodies

AB210438

Alexa Fluor® 405 Anti-Glucose Transporter GLUT1 antibody [EPR3915]

primary-antibodies

alexa-fluor-405-glucose-transporter-glut1-antibody-epr3915-ab210438

5

(9 reviews)

Please note: All products are 'FOR RESEARCH USE ONLY. NOT FOR USE IN DIAGNOSTIC OR THERAPEUTIC PROCEDURES'.

For licensing inquiries, please contact partnerships@abcam.com