JavaScript is disabled in your browser. Please enable JavaScript to view this website.
AB5951

Anti-GIPC1 抗体

Anti-GIPC1 antibody

3

(3 Reviews)

|

(5 Publications)

Goat Polyclonal GIPC1 antibody. Suitable for WB, IHC-P and reacts with Human samples. Cited in 5 publications. Immunogen corresponding to Synthetic Peptide within Human GIPC1 aa 300 to C-terminus.

別名を表示する

C19orf3, GIPC, RGS19IP1, GIPC1, PDZ domain-containing protein GIPC1, GAIP C-terminus-interacting protein, RGS-GAIP-interacting protein, RGS19-interacting protein 1, Synectin, Tax interaction protein 2, TIP-2

4 Images
Immunohistochemistry (Formalin/PFA-fixed paraffin-embedded sections) - Anti-GIPC1 antibody (AB5951)
  • IHC-P

AbReview16058****

Immunohistochemistry (Formalin/PFA-fixed paraffin-embedded sections) - Anti-GIPC1 antibody (AB5951)

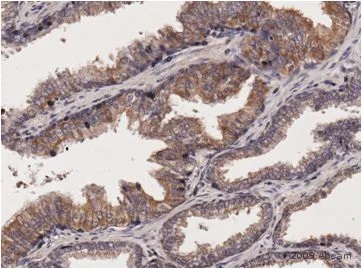
ab5951 staining GIPC1 in human prostate tissue section by immunohistochemistry (formalin/PFA-fixed paraffin-embedded sections). Cells were formalin fixed prior to blocking in 10% serum for 20 minutes at RT. The primary antibody was diluted 1/250 and incubated with the sample for 24 hour at 4°C. A biotin conjugated rabbit anti-goat antibody, diluted 1/250, was used as the secondary.

This image is courtesy of an anonymous Abreview

Western blot - Anti-GIPC1 antibody (AB5951)
  • WB

Unknown

Western blot - Anti-GIPC1 antibody (AB5951)

Primary incubated for 1 hour. Detected by western blot using chemiluminescence.

All lanes:

Western blot - Anti-GIPC1 antibody (ab5951) at 0.03 µg/mL

All lanes:

Human HeLa cell lysate (RIPA buffer, 35µg total protein per lane)

Predicted band size: 36 kDa

Observed band size: 24 kDa,38 kDa

false

Immunohistochemistry (Formalin/PFA-fixed paraffin-embedded sections) - Anti-GIPC1 antibody (AB5951)
  • IHC-P

Unknown

Immunohistochemistry (Formalin/PFA-fixed paraffin-embedded sections) - Anti-GIPC1 antibody (AB5951)

ab5951 (10ug/ml) staining human GIPC1 in human kidney by immunohistochemistry using paraffin embedded tissue. Microwaved antigen retrieval with Tris/EDTA buffer pH9, HRP-staining.

Western blot - Anti-GIPC1 antibody (AB5951)
  • WB

Unknown

Western blot - Anti-GIPC1 antibody (AB5951)

ab5951 at 1μg/ml staining GIPC1 at approximately 40kDa in HeLa Lysate by Western blot (ECL). ab5951 at 1µg/ml staining GIPC1 at approximately 40kDa in HeLa Lysate by Western blot (ECL).

All lanes:

Western blot - Anti-GIPC1 antibody (ab5951)

Predicted band size: 36 kDa

false

Key facts

宿主種

Goat

クローン性

Polyclonal

アイソタイプ

IgG

キャリアフリー

No

交差種

Human

アプリケーション

WB, IHC-P

applications

免疫原

Synthetic Peptide within Human GIPC1 aa 300 to C-terminus. The exact immunogen used to generate this antibody is proprietary information.

O14908

Reactivity data

{ "title": "Reactivity Data", "filters": { "stats": ["", "Species", "Dilution Info", "Notes"], "tabs": { "all-applications": {"fullname" : "All Applications", "shortname": "All Applications"}, "WB" : {"fullname" : "Western blot", "shortname":"WB"}, "IHCP" : {"fullname" : "Immunohistochemistry (Formalin/PFA-fixed paraffin-embedded sections)", "shortname":"IHC-P"} }, "product-promise": { "all": "all", "testedAndGuaranteed": "tested", "guaranteed": "expected", "predicted": "predicted", "notRecommended": "not-recommended" } }, "values": { "Human": { "WB-species-checked": "testedAndGuaranteed", "WB-species-dilution-info": "1-3 µg/mL", "WB-species-notes": "<p>1 hour primary incubation is recommended for this product.</p>", "IHCP-species-checked": "testedAndGuaranteed", "IHCP-species-dilution-info": "", "IHCP-species-notes": "<p></p>" }, "Mouse": { "WB-species-checked": "predicted", "WB-species-dilution-info": "", "WB-species-notes": "", "IHCP-species-checked": "predicted", "IHCP-species-dilution-info": "", "IHCP-species-notes": "" }, "Rat": { "WB-species-checked": "predicted", "WB-species-dilution-info": "", "WB-species-notes": "", "IHCP-species-checked": "predicted", "IHCP-species-dilution-info": "", "IHCP-species-notes": "" } } }

出荷温度及び保存条件

製品の状態
Liquid
精製方法
Affinity purification Immunogen
精製に関する特記事項
Purified from goat serum by ammonium sulphate precipitation followed by antigen affinity chromatography using the immunizing peptide.
バッファー組成
pH: 7.3 Preservative: 0.02% Sodium azide Constituents: Tris buffered saline, 0.5% BSA
出荷温度
Blue Ice
短期保存温度
+4°C
長期保存温度
-20°C
分注に関する情報
Upon delivery aliquot
保管に関する情報
Avoid freeze / thaw cycle

補足情報

This supplementary information is collated from multiple sources and compiled automatically.

The protein GIPC1 also known as GAIP-interacting protein C terminus 1 weighs approximately 36 kDa. It functions mechanically as an adaptor protein binding to PDZ domains. Expressed widely throughout tissues GIPC1 shows high expression in the brain and heart. Acting at the cellular level it plays vital roles in receptor sorting and signal transduction through interactions with various cell surface proteins.
Biological function summary

The function of GIPC1 extends to endocytosis and cell signaling. It often forms part of protein complexes that facilitate intracellular trafficking. By interacting with membrane receptors like integrins and receptor tyrosine kinases GIPC1 aids in cell communication and adhesion processes. Its presence impacts the development and maintenance of cellular structures due to these complex formations.

Pathways

GIPC1 participates significantly in both the Wnt signaling and Ras signaling pathways. It associates with Dishevelled proteins in the Wnt pathway contributing to modulation of cell fate and proliferation. Additionally it connects to Ras-related signaling where it interacts with receptors such as the insulin-like growth factor receptor (IGF1R) thereby mediating downstream signaling effects important for cell growth and differentiation.

GIPC1 presents connections to cancer and diabetic retinopathy. In cancer aberrant GIPC1 expression influences tumor progression and metastasis by interacting with proteins like Ras and IGF1R affecting cellular proliferation and survival mechanisms. For diabetic retinopathy GIPC1 modulates angiogenic signals potentially through its partnerships with vascular endothelial growth factor receptor (VEGFR) pathways which leads to pathological neovascularization associated with vision impairment.

製品プロトコール

For this product, it's our understanding that no specific protocols are required. You can visit:

ターゲットの情報

May be involved in G protein-linked signaling.
See full target information GIPC1

文献 (5)

Recent publications for all applications. Explore the full list and refine your search

Molecular cell 81:1337-1354.e8 PubMed33545068

2021

Systematically defining selective autophagy receptor-specific cargo using autophagosome content profiling.

Applications

Unspecified application

Species

Unspecified reactive species

Susanne Zellner,Martina Schifferer,Christian Behrends

Chemical senses 42:25-35 PubMed27655939

2016

NHERF1 in Microvilli of Vomeronasal Sensory Neurons.

Applications

Unspecified application

Species

Unspecified reactive species

Bastian Henkel,Willem Bintig,S Sneha Bhat,Marc Spehr,Eva M Neuhaus

The Journal of biological chemistry 285:28643-50 PubMed20634288

2010

GIPC1 interacts with MyoGEF and promotes MDA-MB-231 breast cancer cell invasion.

Applications

ICC/IF

Species

Human

Di Wu,Akiko Haruta,Qize Wei

PLoS biology 7:e25 PubMed19175293

2009

Neuropilin-1/GIPC1 signaling regulates alpha5beta1 integrin traffic and function in endothelial cells.

Applications

WB

Species

Human

Donatella Valdembri,Patrick T Caswell,Kurt I Anderson,Juliane P Schwarz,Ireen König,Elena Astanina,Francesca Caccavari,Jim C Norman,Martin J Humphries,Federico Bussolino,Guido Serini

Molecular neurodegeneration 3:5 PubMed18348724

2008

Oxysterol-binding protein-1 (OSBP1) modulates processing and trafficking of the amyloid precursor protein.

Applications

WB

Species

Human

Celina V Zerbinatti,Joanna M Cordy,Ci-Di Chen,Maria Guillily,Sokreine Suon,William J Ray,Guy R Seabrook,Carmela R Abraham,Benjamin Wolozin
View all publications

Abcam product promise

当社は、高品質な試薬を通じてお客様の研究を力強くサポートすることをお約束いたします。ご使用いただく各段階で、常にお客様をサポートできる体制を整えております。万が一、製品が期待通りに機能しない場合は、「Abcam Product Promise」による当社保証制度に基づき、安心してご利用いただけます。
保証に関する詳細については利用規約をご確認ください。

Please note: All products are 'FOR RESEARCH USE ONLY. NOT FOR USE IN DIAGNOSTIC OR THERAPEUTIC PROCEDURES'.

For licensing inquiries, please contact partnerships@abcam.com