JavaScript is disabled in your browser. Please enable JavaScript to view this website.
AB209790

Anti-Ghrelin 抗体 [EPR20502]

Anti-Ghrelin antibody [EPR20502]

  • BOND RX™ Validated
  • Advanced Validation
  • RabMAb
  • Recombinant
  • 詳細を見る

4

(1 Review)

|

(10 Publications)

Rabbit Recombinant Monoclonal GHRL antibody. Suitable for mIHC, IHC-Fr, IHC-P and reacts with Mouse, Rat, Human samples. Cited in 10 publications.

別名を表示する

MTLRP, UNQ524/PRO1066, GHRL, Appetite-regulating hormone, Growth hormone secretagogue, Growth hormone-releasing peptide, Motilin-related peptide, Protein M46

8 Images
Immunohistochemistry (Formalin/PFA-fixed paraffin-embedded sections) - Anti-Ghrelin antibody [EPR20502] (AB209790)
  • IHC-P

Supplier Data

Immunohistochemistry (Formalin/PFA-fixed paraffin-embedded sections) - Anti-Ghrelin antibody [EPR20502] (AB209790)

Immunohistochemical analysis of paraffin-embedded human stomach tissue labeling Ghrelin with ab209790 at 1/8000 dilution followed by Goat Anti-Rabbit IgG H&L (HRP) (ab97051) at 1/500 dilution. Cytoplasmic staining on endocrine cells of human stomach is observed [PMID : 18474938]. Counter stained with Hematoxylin.

Secondary antibody only control : Used PBS instead of primary antibody secondary antibody is Goat Anti-Rabbit IgG H&L (HRP) (ab97051) at 1/500 dilution.

Perform heat mediated antigen retrieval with Tris/EDTA buffer pH 9.0 before commencing with IHC staining protocol.

Immunohistochemistry (Formalin/PFA-fixed paraffin-embedded sections) - Anti-Ghrelin antibody [EPR20502] (AB209790)
  • IHC-P

Supplier Data

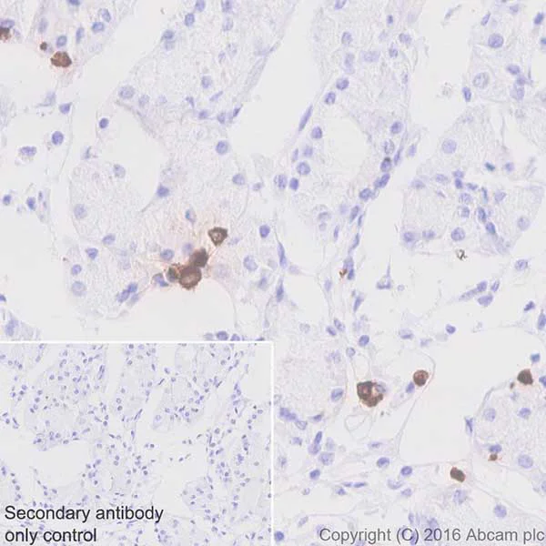
Immunohistochemistry (Formalin/PFA-fixed paraffin-embedded sections) - Anti-Ghrelin antibody [EPR20502] (AB209790)

Immunohistochemical analysis of paraffin-embedded human liver tissue labeling Ghrelin with ab209790 at 1/8000 dilution followed by Goat Anti-Rabbit IgG H&L (HRP) (ab97051) at 1/500 dilution.

Negative control : no staining on human liver [PMID : 10604470].

Counter stained with Hematoxylin.

Perform heat mediated antigen retrieval with Tris/EDTA buffer pH 9.0 before commencing with IHC staining protocol.

Immunohistochemistry (Formalin/PFA-fixed paraffin-embedded sections) - Anti-Ghrelin antibody [EPR20502] (AB209790)
  • IHC-P

Supplier Data

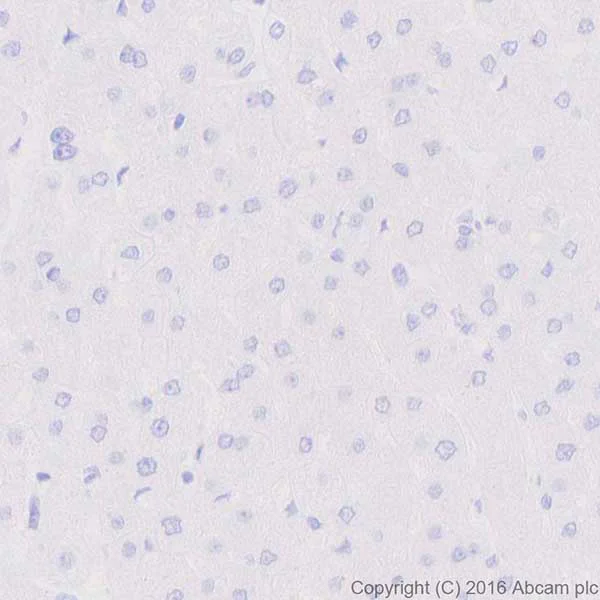
Immunohistochemistry (Formalin/PFA-fixed paraffin-embedded sections) - Anti-Ghrelin antibody [EPR20502] (AB209790)

Immunohistochemical analysis of paraffin-embedded mouse liver tissue labeling Ghrelin with ab209790 at 1/8000 dilution followed by Goat Anti-Rabbit IgG H&L (HRP) (ab97051) at 1/500 dilution.

Negative control : no staining on mouse liver [PMID : 10604470].

Counter stained with Hematoxylin.

Perform heat mediated antigen retrieval with Tris/EDTA buffer pH 9.0 before commencing with IHC staining protocol.

Immunohistochemistry (Formalin/PFA-fixed paraffin-embedded sections) - Anti-Ghrelin antibody [EPR20502] (AB209790)
  • IHC-P

Supplier Data

Immunohistochemistry (Formalin/PFA-fixed paraffin-embedded sections) - Anti-Ghrelin antibody [EPR20502] (AB209790)

Immunohistochemical analysis of paraffin-embedded rat stomach tissue labeling Ghrelin with ab209790 at 1/8000 dilution followed by Goat Anti-Rabbit IgG H&L (HRP) (ab97051) at 1/500 dilution. Cytoplasmic staining on endocrine cells of rat stomach is observed [PMID : 18474938]. Counter stained with Hematoxylin.

Secondary antibody only control : Used PBS instead of primary antibody secondary antibody is Goat Anti-Rabbit IgG H&L (HRP) (ab97051) at 1/500 dilution.

Perform heat mediated antigen retrieval with Tris/EDTA buffer pH 9.0 before commencing with IHC staining protocol.

Immunohistochemistry (Formalin/PFA-fixed paraffin-embedded sections) - Anti-Ghrelin antibody [EPR20502] (AB209790)
  • IHC-P

Supplier Data

Immunohistochemistry (Formalin/PFA-fixed paraffin-embedded sections) - Anti-Ghrelin antibody [EPR20502] (AB209790)

Immunohistochemical analysis of paraffin-embedded mouse stomach tissue labeling Ghrelin with ab209790 at 1/8000 dilution followed by Goat Anti-Rabbit IgG H&L (HRP) (ab97051) at 1/500 dilution. Cytoplasmic staining on endocrine cells of mouse stomach is observed [PMID : 18474938]. Counter stained with Hematoxylin.

Secondary antibody only control : Used PBS instead of primary antibody secondary antibody is Goat Anti-Rabbit IgG H&L (HRP) (ab97051) at 1/500 dilution.

Perform heat mediated antigen retrieval with Tris/EDTA buffer pH 9.0 before commencing with IHC staining protocol.

Immunohistochemistry (Frozen sections) - Anti-Ghrelin antibody [EPR20502] (AB209790)
  • IHC-Fr

Supplier Data

Immunohistochemistry (Frozen sections) - Anti-Ghrelin antibody [EPR20502] (AB209790)

Immunohistochemical analysis of 4% paraformaldehyde-fixed 0.2% Triton X-100 permeabilized frozen mouse stomach tissue labeling Ghrelin with ab209790 at 1/100 dilution followed by Goat anti-rabbit IgG (Alexa Fluor® 488) (ab150077) secondary antibody at 1/1000 dilution (green). Cytoplasmic staining on endocrine cells of mouse stomach is observed [PMID : 18474938]. The nuclear counterstain is DAPI (blue).

Secondary antibody only control : Used PBS instead of primary antibody secondary antibody is Goat anti-rabbit IgG (Alexa Fluor® 488) (ab150077) at 1/1000 dilution.

This antibody worked well on mouse IHC-Frozen sections. Staining on rat sections was weak and human samples were not tested.

Multiplex immunohistochemistry - Anti-Ghrelin antibody [EPR20502] (AB209790)
  • mIHC

Lab

Multiplex immunohistochemistry - Anti-Ghrelin antibody [EPR20502] (AB209790)

Multiplex immunohistochemistry analysis of formalin/PFA-fixed paraffin-embedded mouse stomach tissue staining CaMKII beta with ab314897 at 1/5000 dilution, ab315150 anti-Serotonin used at 1/5000 dilution and ab209790 anti-Ghrelin used at a 1/40000 dilution. Opal Polymer HRP Ms + Rb was used as a secondary antibody, and DAPI was used for a nuclear counter stain. Heat mediated antigen retrieval with Tris-EDTA buffer (pH 9.0, epitope retrieval solution2) for 20 mins.

Panel A : merged staining of anti-CaMKII beta (magenta; Opal690), anti-Serotonin (green; Opal520) and anti-Ghrelin (gray; Opal570) on mouse stomach.
Panel B : anti-CaMKII beta staining endocrine cells in mouse stomach.
Panel C : anti-Serotonin staining enterochromaffin cells in mouse stomach.
Panel D : anti-Ghrelin staining ghrelin in mouse stomach.
Nuclear DNA was labeled with DAPI (shown in blue).

The section was incubated in three rounds of staining : in the order of ab314897, ab315150 and ab209790 for 30 mins at room temperature. Each round was followed by a separate fluorescent tyramide signal amplification system.

The immunostaining was performed on a Leica Biosystems BOND® RX instrument with an Opal 4-color kit. Image acquisition was performed with Leica SP8 confocal microscope.

Immunohistochemistry (Formalin/PFA-fixed paraffin-embedded sections) - Anti-Ghrelin antibody [EPR20502] (AB209790)
  • IHC-P

Supplier Data

Immunohistochemistry (Formalin/PFA-fixed paraffin-embedded sections) - Anti-Ghrelin antibody [EPR20502] (AB209790)

Immunohistochemical analysis of paraffin-embedded rat liver tissue labeling Ghrelin with ab209790 at 1/8000 dilution followed by Goat Anti-Rabbit IgG H&L (HRP) (ab97051) at 1/500 dilution.

Negative control : no staining on rat liver [PMID : 10604470].

Counter stained with Hematoxylin.

Perform heat mediated antigen retrieval with Tris/EDTA buffer pH 9.0 before commencing with IHC staining protocol.

関連する標識済み抗体及び組成の異なる製品 (7)

Key facts

宿主種

Rabbit

クローン性

Monoclonal

クローン番号

EPR20502

アイソタイプ

IgG

キャリアフリー

No

交差種

Mouse, Rat, Human

アプリケーション

IHC-Fr, IHC-P, mIHC

applications

免疫原

The exact immunogen used to generate this antibody is proprietary information.

Reactivity data

{ "title": "Reactivity Data", "filters": { "stats": ["", "Species", "Dilution Info", "Notes"], "tabs": { "all-applications": {"fullname" : "All Applications", "shortname": "All Applications"}, "mIHC" : {"fullname" : "Multiplex immunohistochemistry", "shortname":"mIHC"}, "IHCFr" : {"fullname" : "Immunohistochemistry (Frozen sections)", "shortname":"IHC-Fr"}, "IHCP" : {"fullname" : "Immunohistochemistry (Formalin/PFA-fixed paraffin-embedded sections)", "shortname":"IHC-P"} }, "product-promise": { "all": "all", "testedAndGuaranteed": "tested", "guaranteed": "expected", "predicted": "predicted", "notRecommended": "not-recommended" } }, "values": { "Human": { "mIHC-species-checked": "guaranteed", "mIHC-species-dilution-info": "", "mIHC-species-notes": "", "IHCFr-species-checked": "guaranteed", "IHCFr-species-dilution-info": "", "IHCFr-species-notes": "", "IHCP-species-checked": "testedAndGuaranteed", "IHCP-species-dilution-info": "1/8000", "IHCP-species-notes": "<p></p>" }, "Mouse": { "mIHC-species-checked": "testedAndGuaranteed", "mIHC-species-dilution-info": "1/40000", "mIHC-species-notes": "<p></p>", "IHCFr-species-checked": "testedAndGuaranteed", "IHCFr-species-dilution-info": "1/100", "IHCFr-species-notes": "<p>Antigen retrieval: Heated citrate solution (10mM citrate PH 6.0 + 0.05% Tween-20).</p><p>This antibody worked well on mouse IHC-Frozen sections. Staining on rat sections was weak and human samples were not tested.</p>", "IHCP-species-checked": "testedAndGuaranteed", "IHCP-species-dilution-info": "1/8000", "IHCP-species-notes": "<p></p>" }, "Rat": { "mIHC-species-checked": "guaranteed", "mIHC-species-dilution-info": "", "mIHC-species-notes": "", "IHCFr-species-checked": "guaranteed", "IHCFr-species-dilution-info": "", "IHCFr-species-notes": "", "IHCP-species-checked": "testedAndGuaranteed", "IHCP-species-dilution-info": "1/8000", "IHCP-species-notes": "<p></p>" } } }

製品の詳細

Our broad range of gold-standard reagents features highly specific recombinant antibodies and kits, validated across applications and species to ensure the precision and reproducibility your work requires. Drive your drug discovery efforts forward with our tailored solutions designed to meet the unique challenges of obesity research.

Patented technology
Our RabMAb® technology is a patented hybridoma-based technology for making rabbit monoclonal antibodies. For details on our patents, please refer to RabMAb® patents.

What are the advantages of a recombinant monoclonal antibody?
This product is a recombinant monoclonal antibody, which offers several advantages including:

  • - High batch-to-batch consistency and reproducibility
  • - Improved sensitivity and specificity
  • - Long-term security of supply
  • - Animal-free batch production

For more information, read more on recombinant antibodies.

出荷温度及び保存条件

製品の状態
Liquid
精製方法
Affinity purification Protein A
バッファー組成
pH: 7.2 - 7.4 Preservative: 0.01% Sodium azide Constituents: PBS, 40% Glycerol (glycerin, glycerine), 0.05% BSA
出荷温度
Blue Ice
短期保存期間
1-2 weeks
短期保存温度
+4°C
長期保存温度
-20°C
分注に関する情報
Upon delivery aliquot
保管に関する情報
Avoid freeze / thaw cycle

補足情報

This supplementary information is collated from multiple sources and compiled automatically.

Ghrelin also known as the "hunger hormone" or GH secretagogue is a peptide hormone with a mass of 28 amino acids. Ghrelin is mainly expressed in the stomach particularly in the enteroendocrine cells but it can also be found in small amounts in the lungs pancreas and hypothalamus. The hormone increases food intake and promotes fat storage by signaling the brain to stimulate hunger. Its secretion occurs in response to fasting and is suppressed by food intake reflecting its role in energy balance.
Biological function summary

Ghrelin influences a variety of physiological processes beyond hunger regulation. It plays a role in modulating the release of growth hormone by acting on the growth hormone secretagogue receptor (GHS-R). Ghrelin also affects gastric motility and acid secretion due to its expression in the gastrointestinal tract. Though not part of a larger complex its interaction with GHS-R strongly influences its biological functions. Ghrelin may also impact insulin secretion and sensitivity linking it to glucose metabolism processes.

Pathways

Ghrelin interacts with several critical biological networks. Ghrelin is involved in the neuroendocrine pathway that connects the gut to the brain and contributes significantly to energy homeostasis. Within this pathway it influences proteins like leptin which exerts opposite effects by suppressing hunger. Additionally ghrelin functions in the hedonic control of eating which relates to the rewarding aspects of food intake controlled by pathways involving dopamine.

Ghrelin holds relevance to obesity and cachexia a form of extreme weight loss often seen in chronic illness. Ghrelin promotes adiposity by stimulating appetite which can contribute to obesity. Conversely in cachexia the decrease in ghrelin activity is thought to exacerbate weight loss. Its role in energy balance associates ghrelin with the protein leptin which counterbalances its effects and connections to metabolic disorders. Understanding ghrelin’s functions and pathways provides insight into therapeutic strategies for these conditions.

製品プロトコール

For this product, it's our understanding that no specific protocols are required. You can visit:

ターゲットの情報

Ghrelin-27. Ghrelin is the ligand for growth hormone secretagogue receptor type 1 (GHSR) (PubMed : 10604470). Induces the release of growth hormone from the pituitary (PubMed : 10604470). Has an appetite-stimulating effect, induces adiposity and stimulates gastric acid secretion. Involved in growth regulation.. Ghrelin-28. Ghrelin is the ligand for growth hormone secretagogue receptor type 1 (GHSR) (PubMed : 10604470). Induces the release of growth hormone from the pituitary (PubMed : 10604470). Has an appetite-stimulating effect, induces adiposity and stimulates gastric acid secretion. Involved in growth regulation.. Obestatin. May be the ligand for GPR39. May have an appetite-reducing effect resulting in decreased food intake. May reduce gastric emptying activity and jejunal motility (By similarity).
See full target information GHRL

文献 (10)

Recent publications for all applications. Explore the full list and refine your search

Histology and histopathology :18676 PubMed37997936

2023

WITHDRAWN: Ethyl acetate extracted from the chinese medicinal plant Caesalpinia sappan L alleviates gustatory response in diabetes mellitus rats.

Applications

Unspecified application

Species

Unspecified reactive species

Xun Cao,Li Cui,Wen Yang

Advanced science (Weinheim, Baden-Wurttemberg, Germany) 10:e2300822 PubMed37552813

2023

Layer-Specific BTX-A Delivery to the Gastric Muscularis Achieves Effective Weight Control and Metabolic Improvement.

Applications

Unspecified application

Species

Unspecified reactive species

Siqi Wang,Yuqiong Wang,Long Lin,Zongjie Li,Fengyi Liu,Long Zhu,Jie Chen,Nianrong Zhang,Xinyu Cao,Sunman Ran,Genzheng Liu,Peng Gao,Weiliang Sun,Liang Peng,Jian Zhuang,Hua Meng

BMC cancer 23:549 PubMed37322434

2023

Characterization and clinical verification of immune-related genes in hepatocellular carcinoma to aid prognosis evaluation and immunotherapy.

Applications

Unspecified application

Species

Unspecified reactive species

Jialin Qu,Fenghao Sun,Yichen Hou,Haoran Qi,Xiaorong Sun,Ligang Xing

Journal of Cancer 12:4121-4133 PubMed34093815

2021

Chronic stress accelerates the process of gastric precancerous lesions in rats.

Applications

Unspecified application

Species

Unspecified reactive species

Jiayi Zheng,Weiwu Cai,Xuen Lu,Wei He,Ding Li,Haoyu Zhong,Liangjun Yang,Siyi Li,Haishan Li,Sereen Rafee,Ziming Zhao,Qi Wang,Huafeng Pan

Frontiers in immunology 12:646775 PubMed33968038

2021

Ghrelin Alleviates Intestinal Dysfunction in Sepsis Through the KLF4/MMP2 Regulatory Axis by Activating SIRT1.

Applications

Unspecified application

Species

Unspecified reactive species

Bin Li,Zhimin Dou,Lei Zhang,Lei Zhu,Yongqiang Cao,Qin Yu

Cell research 31:886-903 PubMed33692492

2021

Sequential progenitor states mark the generation of pancreatic endocrine lineages in mice and humans.

Applications

Unspecified application

Species

Unspecified reactive species

Xin-Xin Yu,Wei-Lin Qiu,Liu Yang,Yan-Chun Wang,Mao-Yang He,Dan Wang,Yu Zhang,Lin-Chen Li,Jing Zhang,Yi Wang,Cheng-Ran Xu

Medical science monitor : international medical jo 26:e919815 PubMed32248203

2020

The Effects of Low-Dose and High-Dose Decoctions of Fructus aurantii in a Rat Model of Functional Dyspepsia.

Applications

Unspecified application

Species

Unspecified reactive species

Jing Zhu,Hengli Tong,Xide Ye,Jinlian Zhang,Yi Huang,Ming Yang,Lingyun Zhong,Qianfeng Gong

EBioMedicine 50:306-316 PubMed31780397

2019

Abnormal regulation of glucagon secretion by human islet alpha cells in the absence of beta cells.

Applications

Unspecified application

Species

Unspecified reactive species

Wei Liu,Tatsuya Kin,Siuhong Ho,Craig Dorrell,Sean R Campbell,Ping Luo,Xiaojuan Chen

Journal of ethnopharmacology 245:112166 PubMed31421184

2019

Research on mechanism of charred hawthorn on digestive through modulating "brain-gut" axis and gut flora.

Applications

Unspecified application

Species

Unspecified reactive species

Yun Wang,Min Lv,Ting Wang,Jingying Sun,Yuxia Wang,Manqiong Xia,Yun Jiang,Xia Zhou,Jun Wan

International journal of molecular sciences 20: PubMed30934667

2019

Effects of Motilin Receptor Agonists and Ghrelin in Human Transgenic Mice.

Applications

Unspecified application

Species

Unspecified reactive species

Tomoe Kawamura,Bunzo Matsuura,Teruki Miyake,Masanori Abe,Yoshiou Ikeda,Yoichi Hiasa
View all publications

Abcam product promise

当社は、高品質な試薬を通じてお客様の研究を力強くサポートすることをお約束いたします。ご使用いただく各段階で、常にお客様をサポートできる体制を整えております。万が一、製品が期待通りに機能しない場合は、「Abcam Product Promise」による当社保証制度に基づき、安心してご利用いただけます。
保証に関する詳細については利用規約をご確認ください。

Please note: All products are 'FOR RESEARCH USE ONLY. NOT FOR USE IN DIAGNOSTIC OR THERAPEUTIC PROCEDURES'.

For licensing inquiries, please contact partnerships@abcam.com