JavaScript is disabled in your browser. Please enable JavaScript to view this website.
AB220802

Anti-GFP 抗体 [EPR14104] - BSA and Azide free

Anti-GFP antibody [EPR14104] - BSA and Azide free

4

(1 Review)

|

(0 Publication)

Anti-GFP antibody [EPR14104] - BSA and Azide free (ab220802) is a rabbit recombinant monoclonal antibody provided in a PBS only buffer for easy conjugation detecting GFP in Western Blot, Flow Cytometry (Intra), Flow Cytometry, IHC-P, ICC/IF.

- BSA, sodium azide, and glycerol-free for easy conjugation
- Biophysical QC for unrivalled batch-batch consistency

See more GFP antibodies and assay kits

別名を表示する

Green fluorescent protein, GFP

8 Images
Immunohistochemistry (Formalin/PFA-fixed paraffin-embedded sections) - Anti-GFP antibody [EPR14104] - BSA and Azide free (AB220802)
  • IHC-P

Supplier Data

Immunohistochemistry (Formalin/PFA-fixed paraffin-embedded sections) - Anti-GFP antibody [EPR14104] - BSA and Azide free (AB220802)

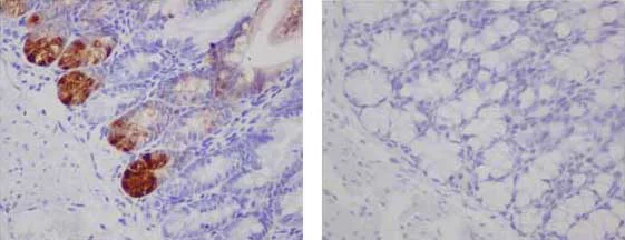
Immunohistochemical analysis of paraffin-embedded GFP transgenic mouse colon tissue (left) and normal mouse colon tissue (right) labeling GFP with unpurified ab183734 at 1/250 dilution followed by prediluted HRP Polymer for Rabbit IgG. Counterstained with Hematoxylin.

This data was developed using the same antibody clone in a different buffer formulation containing PBS, BSA, glycerol, and sodium azide (ab183734).

Perform heat mediated antigen retrieval before commencing with IHC staining protocol.

Immunohistochemistry (Formalin/PFA-fixed paraffin-embedded sections) - Anti-GFP antibody [EPR14104] - BSA and Azide free (AB220802)
  • IHC-P

Lab

Immunohistochemistry (Formalin/PFA-fixed paraffin-embedded sections) - Anti-GFP antibody [EPR14104] - BSA and Azide free (AB220802)

Immunohistochemistry (Formalin/PFA-fixed paraffin-embedded sections) analysis of mouse pancreas tissue (negative control) labelling GFP with purified ab183734 at a dilution of 1/100. Heat mediated antigen retrieval was performed using Tris/EDTA buffer pH 9. ab97051, a HRP-conjugated goat anti-rabbit IgG (H+L) was used as the secondary antibody (1/500). Negative control using PBS instead of primary antibody. Counterstained with hematoxylin.

This data was developed using the same antibody clone in a different buffer formulation containing PBS, BSA, glycerol, and sodium azide (ab183734).

Immunocytochemistry/ Immunofluorescence - Anti-GFP antibody [EPR14104] - BSA and Azide free (AB220802)
  • ICC/IF

Supplier Data

Immunocytochemistry/ Immunofluorescence - Anti-GFP antibody [EPR14104] - BSA and Azide free (AB220802)

Immunofluorescent analysis of 4% paraformaldehyde-fixed GFP transfected 293 cells labeling GFP with unpurified ab183734 at 1/500 dilution, followed by Goat anti rabbit IgG (Alexa Fluor® 488) secondary antibody at 1/200 dilution (green). Counterstained with Dapi (blue)

This data was developed using the same antibody clone in a different buffer formulation containing PBS, BSA, glycerol, and sodium azide (ab183734).

Immunocytochemistry/ Immunofluorescence - Anti-GFP antibody [EPR14104] - BSA and Azide free (AB220802)
  • ICC/IF

Lab

Immunocytochemistry/ Immunofluorescence - Anti-GFP antibody [EPR14104] - BSA and Azide free (AB220802)

ab183734 staining GFP in GFP-transfected NIH3T3 cells. The cells were fixed with 4% formaldehyde (10min) and then blocked in 1% BSA / 0.3M glycine in 0.1%PBS-Tween for 1h. The cells were then incubated with ab183734 at 1/500 dilution overnight at +4°C followed by incubation with ab150081, Goat Anti-Rabbit IgG H&L (Alexa Fluor® 488), for 1 hour, at 1μg/ml.

Under identical experimental conditions, when compared to the basal level of GFP expression in transfected NIH3T3 cells, the cells upon which ab183734 was applied gave a stronger signal in the 488 channel, indicating that ab183734 is binding to GFP and therefore eliciting signal amplification.

ab183734 was also applied to non-GFP-transfected NIH3T3 cells, which produced no positive staining, indicating specificity for GFP. Nuclear DNA was labelled with 1.43μM DAPI (blue).

This data was developed using the same antibody clone in a different buffer formulation containing PBS, BSA, glycerol, and sodium azide (ab183734).

Immunohistochemistry (Formalin/PFA-fixed paraffin-embedded sections) - Anti-GFP antibody [EPR14104] - BSA and Azide free (AB220802)
  • IHC-P

Lab

Immunohistochemistry (Formalin/PFA-fixed paraffin-embedded sections) - Anti-GFP antibody [EPR14104] - BSA and Azide free (AB220802)

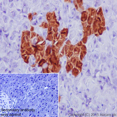
Immunohistochemistry (Formalin/PFA-fixed paraffin-embedded sections) analysis of GFP transgenic mouse pancreas tissue labelling GFP with purified ab183734 at a dilution of 1/100. Heat mediated antigen retrieval was performed using Tris/EDTA buffer pH 9. ab97051, a HRP-conjugated goat anti-rabbit IgG (H+L) was used as the secondary antibody (1/500). Negative control using PBS instead of primary antibody. Counterstained with hematoxylin.

This data was developed using the same antibody clone in a different buffer formulation containing PBS, BSA, glycerol, and sodium azide (ab183734).

Immunohistochemistry (Formalin/PFA-fixed paraffin-embedded sections) - Anti-GFP antibody [EPR14104] - BSA and Azide free (AB220802)
  • IHC-P

Supplier Data

Immunohistochemistry (Formalin/PFA-fixed paraffin-embedded sections) - Anti-GFP antibody [EPR14104] - BSA and Azide free (AB220802)

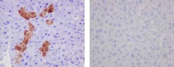
Immunohistochemical analysis of paraffin-embedded GFP transgenic mouse liver tissue (left) and normal mouse liver tissue (right) labeling GFP with unpurified ab183734 at 1/250 dilution followed by prediluted HRP Polymer for Rabbit IgG. Counterstained with Hematoxylin.

This data was developed using the same antibody clone in a different buffer formulation containing PBS, BSA, glycerol, and sodium azide (ab183734).

Perform heat mediated antigen retrieval before commencing with IHC staining protocol.

Flow Cytometry (Intracellular) - Anti-GFP antibody [EPR14104] - BSA and Azide free (AB220802)
  • Flow Cyt (Intra)

Unknown

Flow Cytometry (Intracellular) - Anti-GFP antibody [EPR14104] - BSA and Azide free (AB220802)

Intracellular Flow Cytometry analysis of 293T (human embryonic kidney) transfected with human TNFRSF9 cells labeling GFP with purified ab183734 at 1/50 dilution (10ug/ml) (red). Cells were fixed with 4% paraformaldehyde and permeabilised with 90% methanol. A Goat anti rabbit IgG (Alexa Fluor® 647) (1/2000 dilution) was used as the secondary antibody. Rabbit monoclonal IgG (Black) was used as the isotype control, cells without incubation with primary antibody and secondary antibody (Blue) was used as the unlabeled control.

This data was developed using the same antibody clone in a different buffer formulation containing PBS, BSA, glycerol, and sodium azide (ab183734).

Western blot - Anti-GFP antibody [EPR14104] - BSA and Azide free (AB220802)
  • WB

Lab

Western blot - Anti-GFP antibody [EPR14104] - BSA and Azide free (AB220802)

This data was developed using ab183734, the same antibody clone in a different buffer formulation. Different batches of ab183734 were tested on GFP transfected HEK-293 (Human embryonic kidney epithelial cell) lysate at 0.004 µg/ml. 15 µg of lysate was loaded in each lane. Bands observed at 27 kDa.

All lanes:

Western blot - Anti-GFP antibody [EPR14104] (<a href='/products/primary-antibodies/gfp-antibody-epr14104-ab183734'>ab183734</a>)

Predicted band size: 27 kDa

false

関連する標識済み抗体及び組成の異なる製品 (4)

  • Unconjugated

    Anti-GFP antibody [EPR14104]

  • 578 PE

    PE Anti-GFP antibody [EPR14104]

  • 660 APC

    APC Anti-GFP antibody [EPR14104]

  • 519 Alexa Fluor® 488

    Alexa Fluor® 488 Anti-GFP antibody [EPR14104] - GFP booster

Key facts

宿主種

Rabbit

クローン性

Monoclonal

クローン番号

EPR14104

アイソタイプ

IgG

キャリアフリー

Yes

アプリケーション

ICC/IF, IHC-P, WB, Flow Cyt (Intra)

applications

免疫原

The exact immunogen used to generate this antibody is proprietary information.

Reactivity data

{ "title": "Reactivity Data", "filters": { "stats": ["", "Species", "Dilution Info", "Notes"], "tabs": { "all-applications": {"fullname" : "All Applications", "shortname": "All Applications"}, "IP" : {"fullname" : "Immunoprecipitation", "shortname":"IP"}, "IHCP" : {"fullname" : "Immunohistochemistry (Formalin/PFA-fixed paraffin-embedded sections)", "shortname":"IHC-P"}, "WB" : {"fullname" : "Western blot", "shortname":"WB"}, "ICCIF" : {"fullname" : "Immunocytochemistry/ Immunofluorescence", "shortname":"ICC/IF"}, "FlowCytIntra" : {"fullname" : "Flow Cytometry (Intracellular)", "shortname":"Flow Cyt (Intra)"} }, "product-promise": { "all": "all", "testedAndGuaranteed": "tested", "guaranteed": "expected", "predicted": "predicted", "notRecommended": "not-recommended" } }, "values": { "Tag": { "IP-species-checked": "notRecommended", "IP-species-dilution-info": "", "IP-species-notes": "<p></p>", "IHCP-species-checked": "testedAndGuaranteed", "IHCP-species-dilution-info": "", "IHCP-species-notes": "<p></p>", "WB-species-checked": "testedAndGuaranteed", "WB-species-dilution-info": "", "WB-species-notes": "<p></p>", "ICCIF-species-checked": "testedAndGuaranteed", "ICCIF-species-dilution-info": "", "ICCIF-species-notes": "<p></p>", "FlowCytIntra-species-checked": "testedAndGuaranteed", "FlowCytIntra-species-dilution-info": "", "FlowCytIntra-species-notes": "<p></p>" } } }

製品の詳細

What is this antibody validated in?
Anti-GFP antibody [EPR14104] - BSA and Azide free (ab220802) is a rabbit recombinant monoclonal antibody and is validated for use in Western Blot (WB), Flow Cytometry (Intra), Flow Cytometry (Flow Cyt), Immunohistochemistry (IHC-P), Immunocytochemistry/immunofluorescence (ICC/IF). What is the molecular weight of GFP?
Anti-GFP [EPR14104] - BSA and Azide free (ab220802) specifically detects a band for GFP (UniProt: P42212) at a molecular weight of 27kDa.

Trial sizes available!
Test your antibody or perform pre-screening before committing to a larger quantity. Sold in 10µl. Discover our selection of trial-size antibodies.

Other related products
We have a range of other formats of antibody clone [EPR14104] also available for your convenience: ab183734, Carrier free - ab220802, Alexa Fluor® 488 - ab225314, APC - ab283597, ab300643, Carrier free - ab300644, PE - ab303588

Patented technology
Our RabMAb® technology is a patented hybridoma-based technology for making rabbit monoclonal antibodies. For details on our patents, please refer to RabMAb® patents.

What are the advantages of a recombinant monoclonal antibody?
This product is a recombinant monoclonal antibody, which offers several advantages including:

  • - High batch-to-batch consistency and reproducibility
  • - Improved sensitivity and specificity
  • - Long-term security of supply
  • - Animal-free batch production

For more information, read more on recombinant antibodies.

Conjugation ready
Our carrier-free antibodies are typically supplied in a PBS-only formulation, purified and free of BSA, sodium azide and glycerol. This conjugation-ready format is designed for use with fluorochromes, metal isotopes, oligonucleotides, and enzymes, which makes them ideal for antibody labelling, functional and cell-based assays, flow-based assays (e.g. mass cytometry) and Multiplex Imaging applications.

Use our conjugation kits for antibody conjugates that are ready-to-use in as little as 20 minutes with 1 minute hands-on-time and 100% antibody recovery: available for fluorescent dyes, HRP, biotin and gold.

Compatibility
This product is compatible with the Maxpar® Antibody Labeling Kit from Fluidigm, without the need for antibody preparation. Maxpar® is a trademark of Fluidigm Canada Inc.

出荷温度及び保存条件

製品の状態
Liquid
精製方法
Affinity purification Protein A
バッファー組成
pH: 7.2 - 7.4 Constituents: PBS
出荷温度
Blue Ice
短期保存温度
+4°C
長期保存温度
+4°C
保管に関する情報
Do Not Freeze

製品プロトコール

For this product, it's our understanding that no specific protocols are required. You can visit:

ターゲットの情報

Energy-transfer acceptor. Its role is to transduce the blue chemiluminescence of the protein aequorin into green fluorescent light by energy transfer. Fluoresces in vivo upon receiving energy from the Ca(2+)-activated photoprotein aequorin.
See full target information GFP

Abcam product promise

当社は、高品質な試薬を通じてお客様の研究を力強くサポートすることをお約束いたします。ご使用いただく各段階で、常にお客様をサポートできる体制を整えております。万が一、製品が期待通りに機能しない場合は、「Abcam Product Promise」による当社保証制度に基づき、安心してご利用いただけます。
保証に関する詳細については利用規約をご確認ください。

Please note: All products are 'FOR RESEARCH USE ONLY. NOT FOR USE IN DIAGNOSTIC OR THERAPEUTIC PROCEDURES'.

For licensing inquiries, please contact partnerships@abcam.com