JavaScript is disabled in your browser. Please enable JavaScript to view this website.
AB183734

Anti-GFP 抗体 [EPR14104]

Anti-GFP antibody [EPR14104]

5

(24 Reviews)

|

(88 Publications)

Anti-GFP antibody [EPR14104] (ab183734) is a rabbit monoclonal antibody detecting GFP in Western Blot, Flow Cytometry (Intra), Flow Cytometry, IHC-P, ICC/IF.

- Biophysical QC for unrivalled batch-batch consistency
- Over 80 publications


See more GFP antibodies and assay kits

別名を表示する

Green fluorescent protein, GFP

12 Images
Immunohistochemistry (Formalin/PFA-fixed paraffin-embedded sections) - Anti-GFP antibody [EPR14104] (AB183734)
  • IHC-P

Supplier Data

Immunohistochemistry (Formalin/PFA-fixed paraffin-embedded sections) - Anti-GFP antibody [EPR14104] (AB183734)

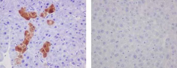
Immunohistochemical analysis of paraffin-embedded GFP transgenic mouse liver tissue (left) and normal mouse liver tissue (right) labeling GFP with unpurified ab183734 at 1/250 dilution followed by prediluted HRP Polymer for Rabbit IgG. Counterstained with Hematoxylin.

Perform heat mediated antigen retrieval before commencing with IHC staining protocol.

Immunohistochemistry (Formalin/PFA-fixed paraffin-embedded sections) - Anti-GFP antibody [EPR14104] (AB183734)
  • IHC-P

AbReview76836****

Immunohistochemistry (Formalin/PFA-fixed paraffin-embedded sections) - Anti-GFP antibody [EPR14104] (AB183734)

Immunohistochemistry analysis (Formalin/PFA-fixed paraffin-embedded sections) of paraformaldehyde fixed, mouse pineal gland tissue from an adult Cx3cr1-eGFP+/-; APP/PS1 mouse. Stained with ab183734 at 1/300 dilution. Secondary antibody used was Alexa Fluor® 647 donkey Anti-rabbit antibody at 1/1000 dilution. Cell nuclei were counterstained with DAPI (grey). Blocking was done with 3% BSA for 1 hour at 24°C. The sample was incubated with the primary antibody and PBS with 3% BSA and 1% Triton X-100 for 16 hours at 24°C. Antigen retrieval method was heat mediated 10 mM citrate buffer pH6

This image is courtesy of an Abreview submitted by Estela Munoz

Immunohistochemistry (Formalin/PFA-fixed paraffin-embedded sections) - Anti-GFP antibody [EPR14104] (AB183734)
  • IHC-P

Lab

Immunohistochemistry (Formalin/PFA-fixed paraffin-embedded sections) - Anti-GFP antibody [EPR14104] (AB183734)

Immunohistochemistry (Formalin/PFA-fixed paraffin-embedded sections) analysis of mouse pancreas tissue (negative control) labelling GFP with purified ab183734 at a dilution of 1/100. Heat mediated antigen retrieval was performed using Tris/EDTA buffer pH 9. ab97051, a HRP-conjugated goat anti-rabbit IgG (H+L) was used as the secondary antibody (1/500). Negative control using PBS instead of primary antibody. Counterstained with hematoxylin.

Immunocytochemistry/ Immunofluorescence - Anti-GFP antibody [EPR14104] (AB183734)
  • ICC/IF

Supplier Data

Immunocytochemistry/ Immunofluorescence - Anti-GFP antibody [EPR14104] (AB183734)

Immunofluorescent analysis of 4% paraformaldehyde-fixed GFP transfected 293 cells labeling GFP with unpurified ab183734 at 1/500 dilution, followed by Goat anti rabbit IgG (Alexa Fluor® 488) secondary antibody at 1/200 dilution (green). Counterstained with Dapi (blue)

Immunocytochemistry/ Immunofluorescence - Anti-GFP antibody [EPR14104] (AB183734)
  • ICC/IF

Lab

Immunocytochemistry/ Immunofluorescence - Anti-GFP antibody [EPR14104] (AB183734)

ab183734 staining GFP in GFP-transfected NIH3T3 cells. The cells were fixed with 4% formaldehyde (10min) and then blocked in 1% BSA / 0.3M glycine in 0.1%PBS-Tween for 1h. The cells were then incubated with ab183734 at 1/500 dilution overnight at +4°C followed by incubation with ab150081, Goat Anti-Rabbit IgG H&L (Alexa Fluor® 488), for 1 hour, at 1μg/ml.

Under identical experimental conditions, when compared to the basal level of GFP expression in transfected NIH3T3 cells, the cells upon which ab183734 was applied gave a stronger signal in the 488 channel, indicating that ab183734 is binding to GFP and therefore eliciting signal amplification.

ab183734 was also applied to non-GFP-transfected NIH3T3 cells, which produced no positive staining, indicating specificity for GFP. Nuclear DNA was labelled with 1.43μM DAPI (blue).

Immunohistochemistry (Formalin/PFA-fixed paraffin-embedded sections) - Anti-GFP antibody [EPR14104] (AB183734)
  • IHC-P

Supplier Data

Immunohistochemistry (Formalin/PFA-fixed paraffin-embedded sections) - Anti-GFP antibody [EPR14104] (AB183734)

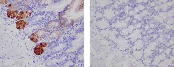
Immunohistochemical analysis of paraffin-embedded GFP transgenic mouse colon tissue (left) and normal mouse colon tissue (right) labeling GFP with unpurified ab183734 at 1/250 dilution followed by prediluted HRP Polymer for Rabbit IgG. Counterstained with Hematoxylin.

Perform heat mediated antigen retrieval before commencing with IHC staining protocol.

Flow Cytometry (Intracellular) - Anti-GFP antibody [EPR14104] (AB183734)
  • Flow Cyt (Intra)

Unknown

Flow Cytometry (Intracellular) - Anti-GFP antibody [EPR14104] (AB183734)

Intracellular Flow Cytometry analysis of 293T (human embryonic kidney) transfected with human TNFRSF9 cells labeling GFP with purified ab183734 at 1/50 dilution (10ug/ml) (red). Cells were fixed with 4% paraformaldehyde and permeabilised with 90% methanol. A Goat anti rabbit IgG (Alexa Fluor® 647) (1/2000 dilution) was used as the secondary antibody. Rabbit monoclonal IgG (Black) was used as the isotype control, cells without incubation with primary antibody and secondary antibody (Blue) was used as the unlabeled control.

Immunohistochemistry (Formalin/PFA-fixed paraffin-embedded sections) - Anti-GFP antibody [EPR14104] (AB183734)
  • IHC-P

Lab

Immunohistochemistry (Formalin/PFA-fixed paraffin-embedded sections) - Anti-GFP antibody [EPR14104] (AB183734)

Immunohistochemistry (Formalin/PFA-fixed paraffin-embedded sections) analysis of GFP transgenic mouse pancreas tissue labelling GFP with purified ab183734 at a dilution of 1/100. Heat mediated antigen retrieval was performed using Tris/EDTA buffer pH 9. ab97051, a HRP-conjugated goat anti-rabbit IgG (H+L) was used as the secondary antibody (1/500). Negative control using PBS instead of primary antibody. Counterstained with hematoxylin.

Western blot - Anti-GFP antibody [EPR14104] (AB183734)
  • WB

Lab

Western blot - Anti-GFP antibody [EPR14104] (AB183734)

Different batches of ab183734 were tested on GFP transfected HEK-293 (Human embryonic kidney epithelial cell) lysate at 0.004 µg/ml. 15 µg of lysate was loaded in each lane. Bands observed at 27 kDa.

All lanes:

Western blot - Anti-GFP antibody [EPR14104] (ab183734)

Predicted band size: 27 kDa

false

Western blot - Anti-GFP antibody [EPR14104] (AB183734)
  • WB

Lab

Western blot - Anti-GFP antibody [EPR14104] (AB183734)

Blocking and dilution buffer : 5% NFDM /TBST.

All lanes:

Western blot - Anti-GFP antibody [EPR14104] (ab183734) at 1/10000 dilution

Lane 1:

GFP transfected 293 cell lysate at 10 µg

Lane 2:

Non-transfected 293 cell lysate at 10 µg

Secondary

All lanes:

Western blot - Goat Anti-Rabbit IgG H&L (HRP) (<a href='/products/secondary-antibodies/goat-rabbit-igg-h-l-hrp-ab97051'>ab97051</a>) at 1/100000 dilution

Predicted band size: 27 kDa

Observed band size: 25 kDa

false

Western blot - Anti-GFP antibody [EPR14104] (AB183734)
  • WB

Supplier Data

Western blot - Anti-GFP antibody [EPR14104] (AB183734)

All lanes:

Western blot - Anti-GFP antibody [EPR28018-38] (<a href='/products/primary-antibodies/gfp-antibody-epr28018-38-ab314656'>ab314656</a>) at 1/1000 dilution

Lane 1:

293T (human embryonic kidney epithelial cell) transfected with an empty vector containing a myc-His-tag®, whole cell lysate at 7 µg

Lane 2:

293T transfected with an empty vector containing an EGFP-myc-tag, whole cell lysate at 7 µg

Lane 3:

293T transfected with an empty vector containing a GFP-tag, whole cell lysate at 7 µg

Secondary

All lanes:

Western blot - Goat Anti-Rabbit IgG H&L (HRP) (<a href='/products/secondary-antibodies/goat-rabbit-igg-h-l-hrp-ab97051'>ab97051</a>) at 1/100000 dilution

Observed band size: 26 kDa,36 kDa

false

Exposure time: 3s

Western blot - Anti-GFP antibody [EPR14104] (AB183734)
  • WB

Supplier Data

Western blot - Anti-GFP antibody [EPR14104] (AB183734)

All lanes:

Western blot - Anti-GFP antibody [EPR14104] (ab183734) at 1/10000 dilution

Lane 1:

GFP transfected 293 cell lysate at 10 µg

Lane 2:

Non-transfected 293 cell lysate at 10 µg

Secondary

All lanes:

Goat Anti-Rabbit IgG, (H+L), Peroxidase conjugate at 1/1000 dilution

Predicted band size: 27 kDa

Observed band size: 27 kDa

false

関連する標識済み抗体及び組成の異なる製品 (4)

  • Carrier free

    Anti-GFP antibody [EPR14104] - BSA and Azide free

  • 578 PE

    PE Anti-GFP antibody [EPR14104]

  • 660 APC

    APC Anti-GFP antibody [EPR14104]

  • 519 Alexa Fluor® 488

    Alexa Fluor® 488 Anti-GFP antibody [EPR14104] - GFP booster

Key facts

宿主種

Rabbit

クローン性

Monoclonal

クローン番号

EPR14104

アイソタイプ

IgG

キャリアフリー

No

アプリケーション

IHC-P, WB, Flow Cyt (Intra), ICC/IF

applications

免疫原

The exact immunogen used to generate this antibody is proprietary information.

特異性

On the basis of low sequence homology, ab183734 is predicted to show no or limited cross-reactivity to RFP and BFP.

For the best results in IHC, please use ab183734 on Formalin/PFA-fixed paraffin-embedded sections with heat mediated antigen retrieval.

Reactivity data

{ "title": "Reactivity Data", "filters": { "stats": ["", "Species", "Dilution Info", "Notes"], "tabs": { "all-applications": {"fullname" : "All Applications", "shortname": "All Applications"}, "IP" : {"fullname" : "Immunoprecipitation", "shortname":"IP"}, "IHCP" : {"fullname" : "Immunohistochemistry (Formalin/PFA-fixed paraffin-embedded sections)", "shortname":"IHC-P"}, "WB" : {"fullname" : "Western blot", "shortname":"WB"}, "ICCIF" : {"fullname" : "Immunocytochemistry/ Immunofluorescence", "shortname":"ICC/IF"}, "FlowCytIntra" : {"fullname" : "Flow Cytometry (Intracellular)", "shortname":"Flow Cyt (Intra)"} }, "product-promise": { "all": "all", "testedAndGuaranteed": "tested", "guaranteed": "expected", "predicted": "predicted", "notRecommended": "not-recommended" } }, "values": { "Tag": { "IP-species-checked": "notRecommended", "IP-species-dilution-info": "", "IP-species-notes": "<p></p>", "IHCP-species-checked": "testedAndGuaranteed", "IHCP-species-dilution-info": "1/100 - 1/250", "IHCP-species-notes": "<p></p> Perform heat-mediated antigen retrieval before commencing with IHC staining protocol.", "WB-species-checked": "testedAndGuaranteed", "WB-species-dilution-info": "1/10000 - 1/50000", "WB-species-notes": "<p></p>", "ICCIF-species-checked": "testedAndGuaranteed", "ICCIF-species-dilution-info": "1/500", "ICCIF-species-notes": "<p></p>", "FlowCytIntra-species-checked": "testedAndGuaranteed", "FlowCytIntra-species-dilution-info": "1/50", "FlowCytIntra-species-notes": "<p></p>" } } }

下記製品にもご興味をお持ちいただけるかもしれません:

AB235672

GFP Quantification Kit

0

0 Reviews

製品ページを見る
こちらの製品も推奨する理由

この製品は、同様の実験や関連する研究で広く使用されていることから推奨させていただいております。

お客様の実験に適するかご確認いただくため、必ず製品データシートをご確認いただくことをお勧めいたします。ご不明点等ございましたら、テクニカルサポートチームまでお問い合わせください。

製品の詳細

出荷温度及び保存条件

製品の状態
Liquid
精製方法
Affinity purification Protein A
バッファー組成
pH: 7.2 Preservative: 0.01% Sodium azide Constituents: 59% PBS, 40% Glycerol (glycerin, glycerine), 0.05% BSA
出荷温度
Blue Ice
短期保存期間
1-2 weeks
短期保存温度
+4°C
長期保存温度
-20°C
分注に関する情報
Upon delivery aliquot
保管に関する情報
Avoid freeze / thaw cycle

製品プロトコール

For this product, it's our understanding that no specific protocols are required. You can visit:

ターゲットの情報

Energy-transfer acceptor. Its role is to transduce the blue chemiluminescence of the protein aequorin into green fluorescent light by energy transfer. Fluoresces in vivo upon receiving energy from the Ca(2+)-activated photoprotein aequorin.
See full target information GFP

文献 (88)

Recent publications for all applications. Explore the full list and refine your search

FASEB journal : official publication of the Federation of American Societies for Experimental Biology 37:e22975 PubMed37159340

2023

A LGR5 reporter pig model closely resembles human intestine for improved study of stem cells in disease.

Applications

Unspecified application

Species

Unspecified reactive species

Cecilia R Schaaf,Kathryn M Polkoff,Amber Carter,Amy S Stewart,Breanna Sheahan,John Freund,Joshua Ginzel,Joshua C Snyder,Jatin Roper,Jorge A Piedrahita,Liara M Gonzalez

Journal of biomedical science 30:27 PubMed37101169

2023

Degradation of neurodegenerative disease-associated TDP-43 aggregates and oligomers via a proteolysis-targeting chimera.

Applications

Unspecified application

Species

Unspecified reactive species

Yu-Ling Tseng,Po-Chao Lu,Chi-Chang Lee,Ruei-Yu He,Yung-An Huang,Yin-Chen Tseng,Ting-Jen Rachel Cheng,Joseph Jen-Tse Huang,Jim-Min Fang

iScience 26:106107 PubMed36852271

2023

Microtubule-associated proteins MAP7 and MAP7D1 promote DNA double-strand break repair in the G1 cell cycle phase.

Applications

Unspecified application

Species

Unspecified reactive species

Arlinda Dullovi,Meryem Ozgencil,Vinothini Rajvee,Wai Yiu Tse,Pedro R Cutillas,Sarah A Martin,Zuzana Hořejší

Frontiers in microbiology 14:1103418 PubMed36760509

2023

The secreted FolAsp aspartic protease facilitates the virulence of f. sp. .

Applications

Unspecified application

Species

Unspecified reactive species

Chenyang Wang,Yaning Zheng,Zhishan Liu,Yongpan Qian,Yue Li,Limei Yang,Sihui Liu,Wenxing Liang,Jingtao Li

eLife 11: PubMed36374166

2022

Acetylation of a fungal effector that translocates host PR1 facilitates virulence.

Applications

Unspecified application

Species

Unspecified reactive species

Jingtao Li,Xiaoying Ma,Chenyang Wang,Sihui Liu,Gang Yu,Mingming Gao,Hengwei Qian,Mengjie Liu,Ben F Luisi,Dean W Gabriel,Wenxing Liang

Nature communications 13:6413 PubMed36302769

2022

Arctic introgression and chromatin regulation facilitated rapid Qinghai-Tibet Plateau colonization by an avian predator.

Applications

Unspecified application

Species

Unspecified reactive species

Li Hu,Juan Long,Yi Lin,Zhongru Gu,Han Su,Xuemin Dong,Zhenzhen Lin,Qian Xiao,Nyambayar Batbayar,Batbayar Bold,Lucia Deutschová,Sergey Ganusevich,Vasiliy Sokolov,Aleksandr Sokolov,Hardip R Patel,Paul D Waters,Jennifer Ann Marshall Graves,Andrew Dixon,Shengkai Pan,Xiangjiang Zhan

The Journal of biological chemistry 298:102533 PubMed36162502

2022

Eisosome protein Pil1 regulates mitochondrial morphology, mitophagy, and cell death in Saccharomyces cerevisiae.

Applications

Unspecified application

Species

Unspecified reactive species

Amita Pal,Arun Kumar Paripati,Pallavi Deolal,Arpan Chatterjee,Pushpa Rani Prasad,Priyanka Adla,Naresh Babu V Sepuri

iScience 25:104912 PubMed36060050

2022

Lung fibrogenic microenvironment in mouse reconstitutes human alveolar structure and lung tumor.

Applications

Unspecified application

Species

Unspecified reactive species

Ryo Miyata,Koichi Hasegawa,Toshi Menju,Akihiko Yoshizawa,Akira Watanabe,Toyohiro Hirai,Hiroshi Date,Atsuyasu Sato

Current biology : CB 32:3886-3897.e6 PubMed35932761

2022

Broad-spectrum chemicals block ROS detoxification to prevent plant fungal invasion.

Applications

Unspecified application

Species

Unspecified reactive species

Qianqian Yang,Jinguang Yang,Yameng Wang,Juan Du,Jianan Zhang,Ben F Luisi,Wenxing Liang

Journal of neurochemistry 163:310-326 PubMed35775994

2022

Somatostatin interneurons inhibit excitatory transmission mediated by astrocytic GABA and presynaptic GABA and adenosine A receptors in the hippocampus.

Applications

Unspecified application

Species

Unspecified reactive species

Weida Shen,Zijing Li,Yejiao Tang,Pufan Han,Feng Zhu,Jingyin Dong,Tianyu Ma,Kai Zhao,Xin Zhang,Yicheng Xie,Ling-Hui Zeng
View all publications

Abcam product promise

当社は、高品質な試薬を通じてお客様の研究を力強くサポートすることをお約束いたします。ご使用いただく各段階で、常にお客様をサポートできる体制を整えております。万が一、製品が期待通りに機能しない場合は、「Abcam Product Promise」による当社保証制度に基づき、安心してご利用いただけます。
保証に関する詳細については利用規約をご確認ください。

関連製品

Select an associated product type
Alternative Product
Primary Antibodies

AB290

Anti-GFP antibody

primary-antibodies

gfp-antibody-ab290

5

(179 reviews)

Alternative Product
Primary Antibodies

AB5449

Anti-GFP antibody

primary-antibodies

gfp-antibody-ab5449

4

(1 reviews)

Alternative Product
Primary Antibodies

AB42562

Biotin Anti-GFP antibody [LGB-1]

primary-antibodies

biotin-gfp-antibody-lgb-1-ab42562

0

(0 reviews)

Alternative Product
Primary Antibodies

AB6556

Anti-GFP antibody

primary-antibodies

gfp-antibody-ab6556

5

(61 reviews)

Alternative Product
Primary Antibodies

AB5450

Anti-GFP antibody

primary-antibodies

gfp-antibody-ab5450

5

(13 reviews)

Alternative Product
Primary Antibodies

AB69314

Sepharose Anti-GFP antibody

primary-antibodies

sepharose-gfp-antibody-ab69314

4

(1 reviews)

Alternative Product
Primary Antibodies

AB6661

Alkaline Phosphatase Anti-GFP antibody

primary-antibodies

alkaline-phosphatase-gfp-antibody-ab6661

0

(0 reviews)

Alternative Product
Primary Antibodies

AB6662

FITC Anti-GFP antibody

primary-antibodies

fitc-gfp-antibody-ab6662

4

(15 reviews)

Alternative Product
Primary Antibodies

AB1218

Anti-GFP antibody [9F9.F9]

primary-antibodies

gfp-antibody-9f9f9-ab1218

4

(44 reviews)

Alternative Product
Primary Antibodies

AB13970

Anti-GFP antibody

primary-antibodies

gfp-antibody-ab13970

5

(96 reviews)

Alternative Product
Primary Antibodies

AB6658

Biotin Anti-GFP antibody

primary-antibodies

biotin-gfp-antibody-ab6658

5

(6 reviews)

Alternative Product
Primary Antibodies

AB6673

Anti-GFP antibody

primary-antibodies

gfp-antibody-ab6673

4

(25 reviews)

Alternative Product
Primary Antibodies

AB92456

Anti-GFP antibody

primary-antibodies

gfp-antibody-ab92456

0

(0 reviews)

Alternative Product
Primary Antibodies

AB190584

HRP Anti-GFP antibody [E385]

primary-antibodies

hrp-gfp-antibody-e385-ab190584

5

(1 reviews)

Alternative Product
Primary Antibodies

AB183735

Anti-GFP antibody [EPR14104-89]

primary-antibodies

gfp-antibody-epr14104-89-ab183735

0

(0 reviews)

Alternative Version
Primary Antibodies

AB300643

Anti-GFP antibody [EPR14104] - Chicken IgY (Chimeric)

primary-antibodies

gfp-antibody-epr14104-chicken-igy-chimeric-ab300643

0

(0 reviews)

Please note: All products are 'FOR RESEARCH USE ONLY. NOT FOR USE IN DIAGNOSTIC OR THERAPEUTIC PROCEDURES'.

For licensing inquiries, please contact partnerships@abcam.com