JavaScript is disabled in your browser. Please enable JavaScript to view this website.
AB183735

Anti-GFP 抗体 [EPR14104-89]

Anti-GFP antibody [EPR14104-89]

Be the first to review this product! Submit a review

|

(11 Publications)

Anti-GFP antibody [EPR14104-89] (ab183735) is a rabbit monoclonal antibody detecting GFP in Western Blot, Flow Cytometry (Intra), Flow Cytometry, IHC-P, ICC/IF.

- Biophysical QC for unrivalled batch-batch consistency

See more GFP antibodies and assay kits

別名を表示する

Green fluorescent protein, GFP

5 Images
Immunocytochemistry/ Immunofluorescence - Anti-GFP antibody [EPR14104-89] (AB183735)
  • ICC/IF

Supplier Data

Immunocytochemistry/ Immunofluorescence - Anti-GFP antibody [EPR14104-89] (AB183735)

Immunofluorescent analysis of 4% paraformaldehyde-fixed GFP transfected 293 cells labeling GFP with ab183735 at 1/500 dilution, followed by Goat anti rabbit IgG (Alexa Fluor® 488) secondary antibody at 1/200 dilution (green). Counter stained with Dapi (blue).

Flow Cytometry (Intracellular) - Anti-GFP antibody [EPR14104-89] (AB183735)
  • Flow Cyt (Intra)

Lab

Flow Cytometry (Intracellular) - Anti-GFP antibody [EPR14104-89] (AB183735)

Intracellular Flow Cytometry analysis of 293T (Human epithelial cell line from embryonic kidney) transfected with GFPcells labeling GFP with unpurified ab183735 at 1/200 dilution (10ug/ml, Right panel). Cells were fixed with 4% paraformaldehyde and permeabilised with 90% methanol. A Goat anti rabbit IgG (Alexa Fluor® 647) (1/2000 dilution) was used as the secondary antibody. Rabbit monoclonal IgG (Left panel) was used as the isotype control.

Immunohistochemistry (Formalin/PFA-fixed paraffin-embedded sections) - Anti-GFP antibody [EPR14104-89] (AB183735)
  • IHC-P

Supplier Data

Immunohistochemistry (Formalin/PFA-fixed paraffin-embedded sections) - Anti-GFP antibody [EPR14104-89] (AB183735)

Immunohistochemical analysis of paraffin-embedded GFP transgenic mouse colon tissue (left) and normal mouse colon tissue (right) labeling GFP with ab183735 at 1/250 dilution followed by prediluted HRP Polymer for Rabbit IgG. Counter stained with Hematoxylin.

Perform heat mediated antigen retrieval with citrate buffer pH 6 before commencing with IHC staining protocol.

Immunohistochemistry (Formalin/PFA-fixed paraffin-embedded sections) - Anti-GFP antibody [EPR14104-89] (AB183735)
  • IHC-P

Supplier Data

Immunohistochemistry (Formalin/PFA-fixed paraffin-embedded sections) - Anti-GFP antibody [EPR14104-89] (AB183735)

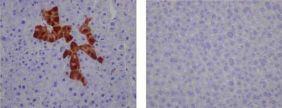
Immunohistochemical analysis of paraffin-embedded GFP transgenic mouse liver tissue (left) and normal mouse liver tissue (right) labeling GFP with ab183735 at 1/250 dilution followed by prediluted HRP Polymer for Rabbit IgG. Counter stained with Hematoxylin.

Perform heat mediated antigen retrieval with citrate buffer pH 6 before commencing with IHC staining protocol.

Western blot - Anti-GFP antibody [EPR14104-89] (AB183735)
  • WB

Supplier Data

Western blot - Anti-GFP antibody [EPR14104-89] (AB183735)

All lanes:

Western blot - Anti-GFP antibody [EPR14104-89] (ab183735) at 1/10000 dilution

Lane 1:

GFP transfected 293 cell lysate at 10 µg

Lane 2:

Non-transfected 293 cell lysate at 10 µg

Secondary

All lanes:

Goat Anti-Rabbit IgG, (H+L), Peroxidase conjugate at 1/1000 dilution

Predicted band size: 27 kDa

Observed band size: 27 kDa

false

関連する標識済み抗体及び組成の異なる製品 (1)

  • Carrier free

    Anti-GFP antibody [EPR14104-89] - BSA and Azide free

Key facts

宿主種

Rabbit

クローン性

Monoclonal

クローン番号

EPR14104-89

アイソタイプ

IgG

キャリアフリー

No

アプリケーション

Flow Cyt (Intra), ICC/IF, WB, IHC-P

applications

免疫原

The exact immunogen used to generate this antibody is proprietary information.

Reactivity data

{ "title": "Reactivity Data", "filters": { "stats": ["", "Species", "Dilution Info", "Notes"], "tabs": { "all-applications": {"fullname" : "All Applications", "shortname": "All Applications"}, "IHCP" : {"fullname" : "Immunohistochemistry (Formalin/PFA-fixed paraffin-embedded sections)", "shortname":"IHC-P"}, "WB" : {"fullname" : "Western blot", "shortname":"WB"}, "ICCIF" : {"fullname" : "Immunocytochemistry/ Immunofluorescence", "shortname":"ICC/IF"}, "FlowCytIntra" : {"fullname" : "Flow Cytometry (Intracellular)", "shortname":"Flow Cyt (Intra)"} }, "product-promise": { "all": "all", "testedAndGuaranteed": "tested", "guaranteed": "expected", "predicted": "predicted", "notRecommended": "not-recommended" } }, "values": { "Tag": { "IHCP-species-checked": "testedAndGuaranteed", "IHCP-species-dilution-info": "1/250", "IHCP-species-notes": "<p></p>", "WB-species-checked": "testedAndGuaranteed", "WB-species-dilution-info": "1/10000 - 1/50000", "WB-species-notes": "<p></p>", "ICCIF-species-checked": "testedAndGuaranteed", "ICCIF-species-dilution-info": "1/500", "ICCIF-species-notes": "<p></p>", "FlowCytIntra-species-checked": "testedAndGuaranteed", "FlowCytIntra-species-dilution-info": "", "FlowCytIntra-species-notes": "<p></p>" } } }

製品の詳細

What is this antibody validated in?
Anti-GFP antibody [EPR14104-89] (ab183735) is a rabbit recombinant monoclonal antibody and is validated for use in Western Blot (WB), Flow Cytometry (Intra), Flow Cytometry (Flow Cyt), Immunohistochemistry (IHC-P), Immunocytochemistry/immunofluorescence (ICC/IF). What is the molecular weight of GFP?
Anti-GFP [EPR14104-89] (ab183735) specifically detects a band for GFP (UniProt: P42212) at a molecular weight of 27kDa.

Trial sizes available!
Test your antibody or perform pre-screening before committing to a larger quantity. Sold in 10µl. Discover our selection of trial-size antibodies.

Other related products
We have a range of other formats of antibody clone [EPR14104-89] also available for your convenience: ab183735, Carrier free - ab236117

Patented technology
Our RabMAb® technology is a patented hybridoma-based technology for making rabbit monoclonal antibodies. For details on our patents, please refer to RabMAb® patents.

What are the advantages of a recombinant monoclonal antibody?
This product is a recombinant monoclonal antibody, which offers several advantages including:

  • - High batch-to-batch consistency and reproducibility
  • - Improved sensitivity and specificity
  • - Long-term security of supply
  • - Animal-free batch production

For more information, read more on recombinant antibodies.

出荷温度及び保存条件

製品の状態
Liquid
精製方法
Affinity purification Protein A
バッファー組成
pH: 7.2 Preservative: 0.01% Sodium azide Constituents: 59% PBS, 40% Glycerol (glycerin, glycerine), 0.05% BSA
出荷温度
Blue Ice
短期保存期間
1-2 weeks
短期保存温度
+4°C
長期保存温度
-20°C
分注に関する情報
Upon delivery aliquot
保管に関する情報
Avoid freeze / thaw cycle

製品プロトコール

For this product, it's our understanding that no specific protocols are required. You can visit:

ターゲットの情報

Energy-transfer acceptor. Its role is to transduce the blue chemiluminescence of the protein aequorin into green fluorescent light by energy transfer. Fluoresces in vivo upon receiving energy from the Ca(2+)-activated photoprotein aequorin.
See full target information GFP

文献 (11)

Recent publications for all applications. Explore the full list and refine your search

Nature protocols 18:3413-3459 PubMed37735235

2023

Structure-guided AAV capsid evolution strategies for enhanced CNS gene delivery.

Applications

Unspecified application

Species

Unspecified reactive species

Trevor J Gonzalez,Aaron Mitchell-Dick,Leo O Blondel,Marco M Fanous,Joshua A Hull,Daniel K Oh,Sven Moller-Tank,Ruth M Castellanos Rivera,Jorge A Piedrahita,Aravind Asokan

The EMBO journal 42:e112039 PubMed36715460

2023

Noncoding RNA circBtnl1 suppresses self-renewal of intestinal stem cells via disruption of Atf4 mRNA stability.

Applications

Unspecified application

Species

Unspecified reactive species

Hui Guo,Jiahang Zhang,Zhimin Jiang,Xiaoxiao Zhu,Jing Yang,Rui Mu,Ying Du,Yong Tian,Pingping Zhu,Zusen Fan

Cancer cell 40:1423-1439.e11 PubMed36240778

2022

Spatial epitope barcoding reveals clonal tumor patch behaviors.

Applications

Unspecified application

Species

Unspecified reactive species

Xavier Rovira-Clavé,Alexandros P Drainas,Sizun Jiang,Yunhao Bai,Maya Baron,Bokai Zhu,Alec E Dallas,Myung Chang Lee,Theresa P Chu,Alessandra Holzem,Ramya Ayyagari,Debadrita Bhattacharya,Erin F McCaffrey,Noah F Greenwald,Maxim Markovic,Garry L Coles,Michael Angelo,Michael C Bassik,Julien Sage,Garry P Nolan

Cell research 32:555-569 PubMed35379903

2022

Gut microbiota drives macrophage-dependent self-renewal of intestinal stem cells via niche enteric serotonergic neurons.

Applications

Unspecified application

Species

Unspecified reactive species

Pingping Zhu,Tiankun Lu,Jiayi Wu,Dongdong Fan,Benyu Liu,Xiaoxiao Zhu,Hui Guo,Ying Du,Feng Liu,Yong Tian,Zusen Fan

The Journal of biological chemistry 298:101720 PubMed35151686

2022

Loss of the N-acetylgalactosamine side chain of the GPI-anchor impairs bone formation and brain functions and accelerates the prion disease pathology.

Applications

Unspecified application

Species

Unspecified reactive species

Tetsuya Hirata,Atsushi Kobayashi,Tamio Furuse,Ikuko Yamada,Masaru Tamura,Hiroyuki Tomita,Yuko Tokoro,Akinori Ninomiya,Yoshitaka Fujihara,Masahito Ikawa,Yusuke Maeda,Yoshiko Murakami,Yasuhiko Kizuka,Taroh Kinoshita

Stem cell research & therapy 12:607 PubMed34930450

2021

Induction of meiosis by embryonic gonadal somatic cells differentiated from pluripotent stem cells.

Applications

Unspecified application

Species

Unspecified reactive species

Haiying Wang,Linlin Liu,Chang Liu,Lingling Wang,Jiyu Chen,Huasong Wang,Dai Heng,Ming Zeng,Chun Liu,Zhongcheng Zhou,Xiaoying Ye,Yajuan Wan,Huiyu Li,Lin Liu

International journal of molecular sciences 22: PubMed34445536

2021

Selective Expression of a SNARE-Cleaving Protease in Peripheral Sensory Neurons Attenuates Pain-Related Gene Transcription and Neuropeptide Release.

Applications

Unspecified application

Species

Unspecified reactive species

Wanzhi Wang,Miaomiao Kong,Yu Dou,Shanghai Xue,Yang Liu,Yinghao Zhang,Weiwei Chen,Yanqing Li,Xiaolong Dai,Jianghui Meng,Jiafu Wang

The EMBO journal 39:e103786 PubMed32449550

2020

The chromatin remodeler SRCAP promotes self-renewal of intestinal stem cells.

Applications

Unspecified application

Species

Unspecified reactive species

Buqing Ye,Liuliu Yang,Guomin Qian,Benyu Liu,Xiaoxiao Zhu,Pingping Zhu,Jing Ma,Wei Xie,Huimu Li,Tianku Lu,Yanying Wang,Shuo Wang,Ying Du,Zhimin Wang,Jing Jiang,Jinsong Li,Dongdong Fan,Shu Meng,Jiayi Wu,Yong Tian,Zusen Fan

Scientific reports 9:15596 PubMed31666602

2019

Notch Signaling Regulates MMP-13 Expression via Runx2 in Chondrocytes.

Applications

Unspecified application

Species

Unspecified reactive species

Di Xiao,Ruiye Bi,Xianwen Liu,Jie Mei,Nan Jiang,Songsong Zhu

Molecular medicine reports 16:7459-7467 PubMed28944821

2017

Transplantation of periodontal ligament cell sheets expressing human β‑defensin‑3 promotes anti‑inflammation in a canine model of periodontitis.

Applications

Unspecified application

Species

Unspecified reactive species

Minwen Zhu,Bo Miao,Jianhua Zhu,Haiyan Wang,Zengtong Zhou
View all publications

Abcam product promise

当社は、高品質な試薬を通じてお客様の研究を力強くサポートすることをお約束いたします。ご使用いただく各段階で、常にお客様をサポートできる体制を整えております。万が一、製品が期待通りに機能しない場合は、「Abcam Product Promise」による当社保証制度に基づき、安心してご利用いただけます。
保証に関する詳細については利用規約をご確認ください。

Please note: All products are 'FOR RESEARCH USE ONLY. NOT FOR USE IN DIAGNOSTIC OR THERAPEUTIC PROCEDURES'.

For licensing inquiries, please contact partnerships@abcam.com