JavaScript is disabled in your browser. Please enable JavaScript to view this website.
AB323239

Anti-GFAP 抗体 [EPR1034Y] - Astrocyte marker - Chicken IgY (Chimeric)

Anti-GFAP antibody [EPR1034Y] - Astrocyte marker - Chicken IgY (Chimeric)

Be the first to review this product! Submit a review

|

(0 Publication)

Chicken Recombinant Monoclonal GFAP antibody. Suitable for IHC-P, WB, ICC/IF, IHC-Fr, Flow Cyt (Intra) and reacts with Mouse, Rat, Human samples.

別名を表示する

Glial fibrillary acidic protein, GFAP

19 Images
Immunohistochemistry (Frozen sections) - Anti-GFAP antibody [EPR1034Y] - Astrocyte marker - Chicken IgY (Chimeric) (AB323239)
  • IHC-Fr

Lab

Immunohistochemistry (Frozen sections) - Anti-GFAP antibody [EPR1034Y] - Astrocyte marker - Chicken IgY (Chimeric) (AB323239)

IHC image of GFAP staining in a section of frozen Human normal cerebral cortex performed on a Leica Biosystems BOND® RX instrument. The section was fixed in 10% paraformaldehyde (10 min) prior to staining. The section was incubated with ab323239, 1/100 dilution, for 15 mins at room temperature and detected using an HRP conjugated compact polymer system. DAB was used as the chromogen. The section was then counterstained with haematoxylin and mounted with DPX. The inset secondary-only control image is taken from an identical assay without primary antibody.

For other IHC staining systems (automated and non-automated) customers should optimize variable parameters such as antigen retrieval conditions, primary antibody concentration and antibody incubation times.

Immunohistochemistry (Formalin/PFA-fixed paraffin-embedded sections) - Anti-GFAP antibody [EPR1034Y] - Astrocyte marker - Chicken IgY (Chimeric) (AB323239)
  • IHC-P

Lab

Immunohistochemistry (Formalin/PFA-fixed paraffin-embedded sections) - Anti-GFAP antibody [EPR1034Y] - Astrocyte marker - Chicken IgY (Chimeric) (AB323239)

Composite multiplex immunofluorescence staining of Iba1, GFAP and MAP2 staining in a section of formalin-fixed paraffin-embedded human cerebral cortex*.

Performed on a Leica BOND. The section was pre-treated using heat mediated antigen retrieval with EDTA (Ph9.0) using retrieval settings of 100°C for 40 minutes. The section was then incubated at room temperature for 1 hour with ab323239 at 5µg/ml dilution (shown in green), ab300645 at 5µg/ml (shown in magenta), and ab178846 at 5µg/ml (shown in yellow). Then incubated for 1 hour with ab150119 Goat Anti-Mouse IgG H&L (Alexa Fluor® 647) preadsorbed 1/1000, ab150084 Goat Anti-Rabbit IgG H&L (Alexa Fluor® 594) preadsorbed 1/1000, and ab150173 Goat Anti-Chicken IgY H&L (Alexa Fluor® 488) preadsorbed 1/1000. Nuclear DNA was labelled with DAPI (shown in blue). The section was then mounted using Dako Fluorescence Mounting Medium ®.

Image was taken with a confocal microscope (Leica-Microsystems, TCS SP8).

For other IHC staining systems (automated and non-automated), customers should optimize variable parameters such as antigen retrieval conditions, antibody concentrations and incubation times.

*Tissue obtained from the Human Research Tissue Bank, supported by the NIHR Cambridge Biomedical Research Centre.

Immunohistochemistry (Formalin/PFA-fixed paraffin-embedded sections) - Anti-GFAP antibody [EPR1034Y] - Astrocyte marker - Chicken IgY (Chimeric) (AB323239)
  • IHC-P

Lab

Immunohistochemistry (Formalin/PFA-fixed paraffin-embedded sections) - Anti-GFAP antibody [EPR1034Y] - Astrocyte marker - Chicken IgY (Chimeric) (AB323239)

Immunofluorescence staining of GFAP in sections of formalin-fixed paraffin-embedded human cerebral cortex*. Performed on a Leica BOND. The section was pre-treated using heat mediated antigen retrieval with EDTA (pH9.0) for 40 minutes. The section was then incubated at room temperature for 1 hour with ab323239 at 1/100 dilution and then incubated for 1 hour with ab150173 Goat Anti-Chicken IgY H&L (Alexa Fluor® 488) preadsorbed at 1/1000 dilution (shown in green). Nuclear DNA was labelled with DAPI (shown in blue). The section was then mounted using Dako Fluorescence Mounting Medium®. Image was taken with a confocal microscope (Leica-Microsystems, TCS SP8). For other IHC staining systems (automated and non-automated), customers should optimize variable parameters such as antigen retrieval conditions, antibody concentrations and incubation times. *Tissue obtained from the Human Research Tissue Bank, supported by the NIHR Cambridge Biomedical Research Centre.

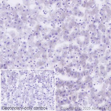
Immunohistochemistry (Frozen sections) - Anti-GFAP antibody [EPR1034Y] - Astrocyte marker - Chicken IgY (Chimeric) (AB323239)
  • IHC-Fr

Lab

Immunohistochemistry (Frozen sections) - Anti-GFAP antibody [EPR1034Y] - Astrocyte marker - Chicken IgY (Chimeric) (AB323239)

Negative control : confocal image showing no staining on a section of frozen normal Human liver performed on a Leica Biosystems BOND® RX instrument. The section was fixed in 10% paraformaldehyde (10 min) prior to staining. The section was incubated with ab323239, 1/100 dilution, for 15 mins at room temperature and detected using an HRP conjugated compact polymer system. DAB was used as the chromogen. The section was then counterstained with haematoxylin and mounted with DPX. The inset secondary-only control image is taken from an identical assay without primary antibody.

For other IHC staining systems (automated and non-automated) customers should optimize variable parameters such as antigen retrieval conditions, primary antibody concentration and antibody incubation times.

Flow Cytometry (Intracellular) - Anti-GFAP antibody [EPR1034Y] - Astrocyte marker - Chicken IgY (Chimeric) (AB323239)
  • Flow Cyt (Intra)

Lab

Flow Cytometry (Intracellular) - Anti-GFAP antibody [EPR1034Y] - Astrocyte marker - Chicken IgY (Chimeric) (AB323239)

Negative Control : PC-12. Flow cytometry (intracellular) analysis of PC-12 (rat adrenal gland pheochromocytoma cell) cells fixed with 4% PFA showing no staining of GFAP with ab323239 used at 1/5000 dilution (0.01ug/mL) (right). Isotype control Chicken IgY (left). Secondary antibody was Goat anti-Chicken IgY H&L (Alexa Fluor® 488, ab150173, used at 1/5000 dilution.

Immunocytochemistry/ Immunofluorescence - Anti-GFAP antibody [EPR1034Y] - Astrocyte marker - Chicken IgY (Chimeric) (AB323239)
  • ICC/IF

Lab

Immunocytochemistry/ Immunofluorescence - Anti-GFAP antibody [EPR1034Y] - Astrocyte marker - Chicken IgY (Chimeric) (AB323239)

ab323239 showing no staining of GFAP in NIH/3T3 (mouse embryonic fibroblast) cells at 1/50 dilution (10 ug/mL). The cells were fixed with 4% Paraformaldehyde, and permeabilized with 0.1% PBS-Triton X-100. Negative control : confocal image showing no staining in NIH/3T3. The counterstain, ab7291 (Mouse monoclonal [DM1A] to alpha Tubulin) at 1/1000 (1 ug/mL) dilution was observed in magenta. ab150173 Goat Anti-Chicken IgY H&L (Alexa Fluor® 488) preadsorbed 1/1000 (2 μg/ml) was used as secondary antibody. Nuclear DNA was labelled with DAPI (shown in blue).

Image was taken with a confocal microscope (Leica-Microsystems, TCS SP8).

-ve control 1 : ab323239 (Chicken antibody), followed by ab150120 Goat Anti-Mouse IgG H&L (Alexa Fluor® 594).

-ve control 2 : GFAP (Mouse antibody), followed by ab150173 Goat Anti-Chicken IgY H&L (Alexa Fluor® 488) preadsorbed.

Immunohistochemistry (PFA perfusion fixed frozen sections) - Anti-GFAP antibody [EPR1034Y] - Astrocyte marker - Chicken IgY (Chimeric) (AB323239)
  • IHC-FoFr

Lab

Immunohistochemistry (PFA perfusion fixed frozen sections) - Anti-GFAP antibody [EPR1034Y] - Astrocyte marker - Chicken IgY (Chimeric) (AB323239)

Negative control : confocal image showing no staining on a section of Rat liver (perfusion fixed, 4% solution PFA).

The section was incubated with ab323239 for 60 mins at room temperature. The section was then mounted using Fluoromount®.The immunostaining was performed on a Leica Biosystems BOND® RX instrument. Image was taken with a confocal microscope (Leica-Microsystems, TCS SP8). The nuclear counterstain was DAPI (Blue).

Heat mediated antigen retrieval using sodium citrate buffer (10mM citrate pH 6.0 + 0.05% Tween-20)

Immunohistochemistry (PFA perfusion fixed frozen sections) - Anti-GFAP antibody [EPR1034Y] - Astrocyte marker - Chicken IgY (Chimeric) (AB323239)
  • IHC-FoFr

Lab

Immunohistochemistry (PFA perfusion fixed frozen sections) - Anti-GFAP antibody [EPR1034Y] - Astrocyte marker - Chicken IgY (Chimeric) (AB323239)

Immunohistochemical analysis of Mouse hippocampus (perfusion fixed, 4% solution PFA) labeling GFAP with ab323239.

Panel A : merged staining of anti-GFAP using ab323239 (green), counterstained with anti-NeuN ab190565 (magenta) on mouse hippocampus.

Panel B : anti-GFAP stained on mouse hippocampus.

Panel C : anti-NeuN stained in neurons of mouse hippocampus.

The section was incubated with ab323239 and ab190565, for 1 hr at room temperature. The nuclear counterstain was DAPI (Blue). Heat mediated antigen retrieval using sodium citrate buffer (10mM citrate pH 6.0 + 0.05% Tween-20). The section was then mounted using Fluoromount®.

The immunostaining was performed on a Leica Biosystems BOND® RX instrument. Image was taken with a confocal microscope (Leica-Microsystems, TCS SP8).

Immunohistochemistry (PFA perfusion fixed frozen sections) - Anti-GFAP antibody [EPR1034Y] - Astrocyte marker - Chicken IgY (Chimeric) (AB323239)
  • IHC-FoFr

Lab

Immunohistochemistry (PFA perfusion fixed frozen sections) - Anti-GFAP antibody [EPR1034Y] - Astrocyte marker - Chicken IgY (Chimeric) (AB323239)

Immunohistochemical analysis of Rat hippocampus (perfusion fixed, 4% solution PFA) labeling GFAP with ab323239.

Panel A : merged staining of anti-GFAP ab323239 (green), counterstained with anti-NeuN ab190565 (magenta) on rat hippocampus.

Panel B : anti-GFAP stained on rat hippocampus.

Panel C : anti-NeuN stained in neurons of rat hippocampus.

The section was incubated with ab323239 and ab190565, for 1 hr at room temperature. The nuclear counterstain was DAPI (Blue). Heat mediated antigen retrieval using sodium citrate buffer (10mM citrate pH 6.0 + 0.05% Tween-20). The section was then mounted using Fluoromount®.

The immunostaining was performed on a Leica Biosystems BOND® RX instrument. Image was taken with a confocal microscope (Leica-Microsystems, TCS SP8).

Immunocytochemistry/ Immunofluorescence - Anti-GFAP antibody [EPR1034Y] - Astrocyte marker - Chicken IgY (Chimeric) (AB323239)
  • ICC/IF

Lab

Immunocytochemistry/ Immunofluorescence - Anti-GFAP antibody [EPR1034Y] - Astrocyte marker - Chicken IgY (Chimeric) (AB323239)

ab323239 staining GFAP in mouse primary neural/glia cells at 1/50 dilution (10 ug/mL). The cells were fixed with 4% Paraformaldehyde, and permeabilized with 0.1% PBS-Triton X-100. Confocal image showing positive cytoplasmic staining in mouse astrocytes (shown in green). The counterstain, Anti-Glial Fibrillary Acidic Protein (GFAP) mouse monoclonal antibody at 1/100 dilution was observed in magenta. ab150173 Goat Anti-Chicken IgY H&L (Alexa Fluor® 488) preadsorbed 1/1000 (2 μg/ml) was used as secondary antibody. Nuclear DNA was labelled with DAPI (shown in blue).

Image was taken with a confocal microscope (Leica-Microsystems, TCS SP8).

-ve control 1 : ab323239 (Chicken antibody), followed by ab150120 Goat Anti-Mouse IgG H&L (Alexa Fluor® 594).

-ve control 2 : GFAP (Mouse antibody), followed by ab150173 Goat Anti-Chicken IgY H&L (Alexa Fluor® 488) preadsorbed.

Immunohistochemistry (PFA perfusion fixed frozen sections) - Anti-GFAP antibody [EPR1034Y] - Astrocyte marker - Chicken IgY (Chimeric) (AB323239)
  • IHC-FoFr

Lab

Immunohistochemistry (PFA perfusion fixed frozen sections) - Anti-GFAP antibody [EPR1034Y] - Astrocyte marker - Chicken IgY (Chimeric) (AB323239)

Negative control : confocal image showing no staining on a section of Mouse liver (perfusion fixed, 4% solution PFA).

The section was incubated with ab323239 for 60 mins at room temperature. The section was then mounted using Fluoromount®.The immunostaining was performed on a Leica Biosystems BOND® RX instrument. Image was taken with a confocal microscope (Leica-Microsystems, TCS SP8). The nuclear counterstain was DAPI (Blue).

Heat mediated antigen retrieval using sodium citrate buffer (10mM citrate pH 6.0 + 0.05% Tween-20)

Immunocytochemistry/ Immunofluorescence - Anti-GFAP antibody [EPR1034Y] - Astrocyte marker - Chicken IgY (Chimeric) (AB323239)
  • ICC/IF

Lab

Immunocytochemistry/ Immunofluorescence - Anti-GFAP antibody [EPR1034Y] - Astrocyte marker - Chicken IgY (Chimeric) (AB323239)

ab323239 staining GFAP in rat primary neural/glia cells at 1/50 dilution (10 ug/mL). The cells were fixed with 4% Paraformaldehyde, and permeabilized with 0.1% PBS-Triton X-100. Confocal image showing positive cytoplasmic staining in rat astrocytes (shown in green). The counterstain, Anti-Glial Fibrillary Acidic Protein (GFAP) mouse monoclonal antibody at 1/100 dilution was observed in magenta. ab150173 Goat Anti-Chicken IgY H&L (Alexa Fluor® 488) preadsorbed 1/1000 (2 μg/ml) was used as secondary antibody. Nuclear DNA was labelled with DAPI (shown in blue).

Image was taken with a confocal microscope (Leica-Microsystems, TCS SP8).

-ve control 1 : ab323239 (Chicken antibody), followed by ab150120 Goat Anti-Mouse IgG H&L (Alexa Fluor® 594).

-ve control 2 : GFAP (Mouse antibody), followed by ab150173 Goat Anti-Chicken IgY H&L (Alexa Fluor® 488) preadsorbed.

Immunocytochemistry/ Immunofluorescence - Anti-GFAP antibody [EPR1034Y] - Astrocyte marker - Chicken IgY (Chimeric) (AB323239)
  • ICC/IF

Lab

Immunocytochemistry/ Immunofluorescence - Anti-GFAP antibody [EPR1034Y] - Astrocyte marker - Chicken IgY (Chimeric) (AB323239)

ab323239 showing no staining of GFAP in PC-12 (rat adrenal gland pheochromocytoma cell) cells at 1/50 dilution (10 ug/mL). The cells were fixed with 4% Paraformaldehyde, and permeabilized with 0.1% PBS-Triton X-100. Negative control : confocal image showing no staining in PC-12. The counterstain, ab7291 (Mouse monoclonal [DM1A] to alpha Tubulin) at 1/1000 (1 ug/mL) dilution was observed in magenta. ab150173 Goat Anti-Chicken IgY H&L (Alexa Fluor® 488) preadsorbed 1/1000 (2 μg/ml) was used as secondary antibody. Nuclear DNA was labelled with DAPI (shown in blue).

Image was taken with a confocal microscope (Leica-Microsystems, TCS SP8).

-ve control 1 : ab323239 (Chicken antibody), followed by ab150120 Goat Anti-Mouse IgG H&L (Alexa Fluor® 594).

-ve control 2 : GFAP (Mouse antibody), followed by ab150173 Goat Anti-Chicken IgY H&L (Alexa Fluor® 488) preadsorbed.

Immunohistochemistry (Formalin/PFA-fixed paraffin-embedded sections) - Anti-GFAP antibody [EPR1034Y] - Astrocyte marker - Chicken IgY (Chimeric) (AB323239)
  • IHC-P

Lab

Immunohistochemistry (Formalin/PFA-fixed paraffin-embedded sections) - Anti-GFAP antibody [EPR1034Y] - Astrocyte marker - Chicken IgY (Chimeric) (AB323239)

Immunofluorescence staining of GFAP in sections of formalin-fixed paraffin-embedded rat brain (positive) and rat skeletal muscle (negative).

Performed on a Leica BOND. The section was pre-treated using heat mediated antigen retrieval with sodium citrate (pH6.0) for 20 minutes. The section was then incubated at room temperature for 1 hour with ab323239 at 1/500 dilution and then incubated for 1 hour with ab150173 Goat Anti-Chicken IgG H&L (Alexa Fluor® 488) preadsorbed at 1/1000 dilution (shown in green). Nuclear DNA was labelled with DAPI (shown in blue). The section was then mounted using Dako Fluorescence Mounting Medium®.

Image was taken with a confocal microscope (Leica-Microsystems, TCS SP8).

For other IHC staining systems (automated and non-automated), customers should optimize variable parameters such as antigen retrieval conditions, antibody concentrations and incubation times.

Immunohistochemistry (Formalin/PFA-fixed paraffin-embedded sections) - Anti-GFAP antibody [EPR1034Y] - Astrocyte marker - Chicken IgY (Chimeric) (AB323239)
  • IHC-P

Lab

Immunohistochemistry (Formalin/PFA-fixed paraffin-embedded sections) - Anti-GFAP antibody [EPR1034Y] - Astrocyte marker - Chicken IgY (Chimeric) (AB323239)

Immunofluorescence staining of GFAP in sections of formalin-fixed paraffin-embedded mouse brain (positive) and mouse skeletal muscle (negative).

Performed on a Leica BOND. The section was pre-treated using heat mediated antigen retrieval with sodium citrate (pH6.0) for 20 minutes. The section was then incubated at room temperature for 1 hour with ab323239 at 1/500 dilution and then incubated for 1 hour with ab150173 Goat Anti-Chicken IgG H&L (Alexa Fluor® 488) preadsorbed at 1/1000 dilution (shown in green). Nuclear DNA was labelled with DAPI (shown in blue). The section was then mounted using Dako Fluorescence Mounting Medium®.

Image was taken with a confocal microscope (Leica-Microsystems, TCS SP8).

For other IHC staining systems (automated and non-automated), customers should optimize variable parameters such as antigen retrieval conditions, antibody concentrations and incubation times.

Flow Cytometry (Intracellular) - Anti-GFAP antibody [EPR1034Y] - Astrocyte marker - Chicken IgY (Chimeric) (AB323239)
  • Flow Cyt (Intra)

Lab

Flow Cytometry (Intracellular) - Anti-GFAP antibody [EPR1034Y] - Astrocyte marker - Chicken IgY (Chimeric) (AB323239)

Negative Control : NIH/3T3. Flow cytometry (intracellular) analysis of NIH/3T3 (mouse embryonic fibroblasts) fixed with 4% PFA showing no staining of GFAP with ab323239 used at 1/50000 dilution (0.01ug/mL) (right). Isotype control Chicken IgY (left). Secondary antibody was Goat anti-Chicken IgY H&L (Alexa Fluor® 488, ab150173, used at 1/5000 dilution.

Flow Cytometry (Intracellular) - Anti-GFAP antibody [EPR1034Y] - Astrocyte marker - Chicken IgY (Chimeric) (AB323239)
  • Flow Cyt (Intra)

Lab

Flow Cytometry (Intracellular) - Anti-GFAP antibody [EPR1034Y] - Astrocyte marker - Chicken IgY (Chimeric) (AB323239)

Flow cytometry (intracellular) analysis of Mouse primary neural/glia cells fixed with 4% PFA staining GFAP with ab323239 used at 1/50000 dilution (0.01ug/mL) (right). Isotype control Chicken IgY (left). Secondary antibody was Goat anti-Chicken IgY H&L (Alexa Fluor® 488, ab150173, used at 1/5000 dilution.

Flow Cytometry (Intracellular) - Anti-GFAP antibody [EPR1034Y] - Astrocyte marker - Chicken IgY (Chimeric) (AB323239)
  • Flow Cyt (Intra)

Lab

Flow Cytometry (Intracellular) - Anti-GFAP antibody [EPR1034Y] - Astrocyte marker - Chicken IgY (Chimeric) (AB323239)

Flow cytometry (intracellular) analysis of Rat primary neural/glia cells fixed with 4% PFA staining GFAP with ab323239 used at 1/5000 dilution (0.01ug/mL) (right). Isotype control Chicken IgY (left). Secondary antibody was Goat anti-Chicken IgY H&L (Alexa Fluor® 488, ab150173, used at 1/5000 dilution.

Western blot - Anti-GFAP antibody [EPR1034Y] - Astrocyte marker - Chicken IgY (Chimeric) (AB323239)
  • WB

Lab

Western blot - Anti-GFAP antibody [EPR1034Y] - Astrocyte marker - Chicken IgY (Chimeric) (AB323239)

Blocking and diluting buffer and concentration : 5% NFDM/TBST.

In Western blot, Anti-GAPDH antibody [EPR16891] - Loading Control (ab181602).

Negative control : liver.

All lanes:

Western blot - Anti-GFAP antibody [EPR1034Y] - Astrocyte marker - Chicken IgY (Chimeric) (ab323239) at 1/1000 dilution

Lane 1:

Human cerebellum tissue lysate at 20 µg

Lane 2:

Human liver tissue lysate at 20 µg

Lane 3:

Mouse brain tissue lysate at 20 µg

Lane 4:

Mouse liver tissue lysate at 20 µg

Lane 5:

Rat brain tissue lysate at 20 µg

Lane 6:

Rat liver tissue lysate at 20 µg

Secondary

All lanes:

Western blot - Goat Anti-Chicken IgY H&L (HRP) (<a href='/products/secondary-antibodies/goat-chicken-igy-h-l-hrp-ab6877'>ab6877</a>) at 1/10000 dilution

Observed band size: 45-50 kDa

false

Exposure time: 3min

関連する標識済み抗体及び組成の異なる製品 (1)

  • Carrier free

    Anti-GFAP antibody [EPR1034Y] – Chicken IgY (Chimeric) – BSA and Azide Free

Key facts

宿主種

Chicken

クローン性

Monoclonal

クローン番号

EPR1034Y

アイソタイプ

IgY

キャリアフリー

No

交差種

Mouse, Rat, Human

アプリケーション

ICC/IF, IHC-Fr, IHC-P, Flow Cyt (Intra), WB

applications

免疫原

The exact immunogen used to generate this antibody is proprietary information.

Reactivity data

{ "title": "Reactivity Data", "filters": { "stats": ["", "Species", "Dilution Info", "Notes"], "tabs": { "all-applications": {"fullname" : "All Applications", "shortname": "All Applications"}, "IHCP" : {"fullname" : "Immunohistochemistry (Formalin/PFA-fixed paraffin-embedded sections)", "shortname":"IHC-P"}, "WB" : {"fullname" : "Western blot", "shortname":"WB"}, "ICCIF" : {"fullname" : "Immunocytochemistry/ Immunofluorescence", "shortname":"ICC/IF"}, "IHCFr" : {"fullname" : "Immunohistochemistry (Frozen sections)", "shortname":"IHC-Fr"}, "FlowCytIntra" : {"fullname" : "Flow Cytometry (Intracellular)", "shortname":"Flow Cyt (Intra)"} }, "product-promise": { "all": "all", "testedAndGuaranteed": "tested", "guaranteed": "expected", "predicted": "predicted", "notRecommended": "not-recommended" } }, "values": { "Human": { "IHCP-species-checked": "testedAndGuaranteed", "IHCP-species-dilution-info": "1/100", "IHCP-species-notes": "<p></p> Perform heat-mediated antigen retrieval with Tris/EDTA buffer pH 9.0 before commencing with IHC staining protocol.", "WB-species-checked": "testedAndGuaranteed", "WB-species-dilution-info": "1/1000", "WB-species-notes": "<p></p>", "ICCIF-species-checked": "guaranteed", "ICCIF-species-dilution-info": "", "ICCIF-species-notes": "", "IHCFr-species-checked": "testedAndGuaranteed", "IHCFr-species-dilution-info": "1/100", "IHCFr-species-notes": "<p></p>", "FlowCytIntra-species-checked": "guaranteed", "FlowCytIntra-species-dilution-info": "", "FlowCytIntra-species-notes": "" }, "Mouse": { "IHCP-species-checked": "testedAndGuaranteed", "IHCP-species-dilution-info": "1/500", "IHCP-species-notes": "<p></p> Perform heat-mediated antigen retrieval with citrate buffer pH 6 before commencing with IHC staining protocol.", "WB-species-checked": "testedAndGuaranteed", "WB-species-dilution-info": "1/1000", "WB-species-notes": "<p></p>", "ICCIF-species-checked": "testedAndGuaranteed", "ICCIF-species-dilution-info": "1/50", "ICCIF-species-notes": "<p></p>", "IHCFr-species-checked": "testedAndGuaranteed", "IHCFr-species-dilution-info": "", "IHCFr-species-notes": "<p></p>", "FlowCytIntra-species-checked": "testedAndGuaranteed", "FlowCytIntra-species-dilution-info": "1/50000", "FlowCytIntra-species-notes": "<p></p>" }, "Rat": { "IHCP-species-checked": "testedAndGuaranteed", "IHCP-species-dilution-info": "1/500", "IHCP-species-notes": "<p></p> Perform heat-mediated antigen retrieval with citrate buffer pH 6 before commencing with IHC staining protocol.", "WB-species-checked": "testedAndGuaranteed", "WB-species-dilution-info": "1/1000", "WB-species-notes": "<p></p>", "ICCIF-species-checked": "testedAndGuaranteed", "ICCIF-species-dilution-info": "1/50", "ICCIF-species-notes": "<p></p>", "IHCFr-species-checked": "testedAndGuaranteed", "IHCFr-species-dilution-info": "", "IHCFr-species-notes": "<p></p>", "FlowCytIntra-species-checked": "testedAndGuaranteed", "FlowCytIntra-species-dilution-info": "1/5000", "FlowCytIntra-species-notes": "<p></p>" } } }

製品の詳細

This chicken monoclonal chimeric antibody has been engineered from a RabMAb parent antibody (ab68428). By necessity, some rabbit sequence is retained as part of the variable domain. When multiplexing with other rabbit-derived antibodies, using cross absorbed Fc-reactive secondary antibodies are recommended.

What are the advantages of a recombinant monoclonal antibody?
This product is a recombinant monoclonal antibody, which offers several advantages including:

  • - High batch-to-batch consistency and reproducibility
  • - Improved sensitivity and specificity
  • - Long-term security of supply
  • - Animal-free batch production

For more information, read more on recombinant antibodies.

出荷温度及び保存条件

製品の状態
Liquid
精製方法
Affinity purification Thiophilic Resin
バッファー組成
pH: 7.2 - 7.4 Preservative: 0.01% Sodium azide Constituents: PBS, 40% Glycerol (glycerin, glycerine), 0.05% BSA
出荷温度
Blue Ice
短期保存期間
1-2 weeks
短期保存温度
+4°C
長期保存温度
-20°C
分注に関する情報
Upon delivery aliquot
保管に関する情報
Avoid freeze / thaw cycle

製品プロトコール

For this product, it's our understanding that no specific protocols are required. You can visit:

ターゲットの情報

GFAP, a class-III intermediate filament, is a cell-specific marker that, during the development of the central nervous system, distinguishes astrocytes from other glial cells.
See full target information GFAP

Abcam product promise

当社は、高品質な試薬を通じてお客様の研究を力強くサポートすることをお約束いたします。ご使用いただく各段階で、常にお客様をサポートできる体制を整えております。万が一、製品が期待通りに機能しない場合は、「Abcam Product Promise」による当社保証制度に基づき、安心してご利用いただけます。
保証に関する詳細については利用規約をご確認ください。

Please note: All products are 'FOR RESEARCH USE ONLY. NOT FOR USE IN DIAGNOSTIC OR THERAPEUTIC PROCEDURES'.

For licensing inquiries, please contact partnerships@abcam.com