JavaScript is disabled in your browser. Please enable JavaScript to view this website.
AB68428

Anti-GFAP 抗体 [EPR1034Y]

Anti-GFAP antibody [EPR1034Y] - Astrocyte Marker

  • BOND RX™ Validated
  • 20ul selling size
  • RabMAb
  • Advanced Validation
  • Recombinant
  • 詳細を見る

5

(19 Reviews)

|

(178 Publications)

Anti-GFAP antibody [EPR1034Y] (ab68428) is a rabbit monoclonal antibody detecting GFAP in Western Blot, Flow Cytometry (Intra), Flow Cytometry, IP, IHC-P, IHC-Fr, ICC/IF, mIHC. Suitable for Human, Mouse, Rat.

- Multiplex IHC validated on the Leica BOND® MAX using Opal reagents
- Biophysical QC for unrivalled batch-batch consistency
- Over 100 publications
- Trusted since 2008

別名を表示する

Glial fibrillary acidic protein, GFAP

40 Images
Multiplex immunohistochemistry - Anti-GFAP antibody [EPR1034Y] - Astrocyte Marker (AB68428)
  • mIHC

Lab

Multiplex immunohistochemistry - Anti-GFAP antibody [EPR1034Y] - Astrocyte Marker (AB68428)

Fluorescence multiplex immunohistochemical analysis of human cerebellum tissue (formalin-fixed paraffin-embedded section).

Merged staining of Neu-N (ab177487; yellow; Opal™570), anti-beta III Tubulin (ab52623; red; Opal™690) and anti-GFAP (ab68428; green; Opal™520).

The immunostaining was performed on a Leica Biosystems BOND® RX instrument with an Opal™ kit.

The section was incubated in three rounds of staining with ab177487 (1/1000 dilution), ab52623 (1/200 dilution) and ab68428 (1/250 dilution); each using a separate fluorescent tyramide signal amplification system.

Sodium citrate antigen retrieval (pH 6.0) was used in between rounds of tyramide signal amplification to remove the antibody from the previous round, to avoid any cross-reactivity.

DAPI (blue) was used as a nuclear counter stain.

Multiplex immunohistochemistry - Anti-GFAP antibody [EPR1034Y] - Astrocyte Marker (AB68428)
  • mIHC

Lab

Multiplex immunohistochemistry - Anti-GFAP antibody [EPR1034Y] - Astrocyte Marker (AB68428)

Fluorescence multiplex immunohistochemical analysis of human cerebellum tissue (formalin/PFA-fixed paraffin-embedded section). Panel A : merged staining of anti-GFAP (ab68428, gray; Opal™690), anti-Myelin PLP (ab254363, green; Opal™520) and anti-MAP2 (ab254263, red; Opal™570) on human cerebellum tissue. Panel B : anti-MAP2 stained cell body and dendrites of neurons. Panel C : anti-Myelin PLP stained on myelin sheaths of oligodendrocytes. Panel D : anti-GFAP stained on astrocytes. Opal Polymer HRP Ms + Rb was used as a secondary antibody. The immunostaining was performed on a Leica Biosystems BOND®RX instrument with an Opal™ 4-color kit. The section was incubated in three rounds of staining : in the order of ab68428 (1/50 dilution), ab254363 (1/2000 dilution), and ab254263 (1/4000 dilution) for 30 mins at room temperature. Each round was followed by a separate fluorescent tyramide signal amplification system. Heat mediated antigen retrieval with Tris-EDTA buffer (pH 9.0, epitope retrieval solution 2) was used for 20 mins. DAPI (blue) was used as a nuclear counter stain. Image acquisition was performed with Leica SP8 confocal microscope.

Immunohistochemistry (Formalin/PFA-fixed paraffin-embedded sections) - Anti-GFAP antibody [EPR1034Y] - Astrocyte Marker (AB68428)
  • IHC-P

Unknown

Immunohistochemistry (Formalin/PFA-fixed paraffin-embedded sections) - Anti-GFAP antibody [EPR1034Y] - Astrocyte Marker (AB68428)

Immunohistochemical analysis of paraffin-embedded human colon tissue sections labelling GFAP with purified ab68428 at a dilution of 1/500. The secondary antibody used was ab97051, Goat Anti-Rabbit IgG H&L (HRP) at a dilution of 1/500. The sample was counterstained with hematoxylin. Antigen retrieval was performed using EDTA Buffer; pH 9.0.

Multiplex immunohistochemistry - Anti-GFAP antibody [EPR1034Y] - Astrocyte Marker (AB68428)
  • mIHC

Lab

Multiplex immunohistochemistry - Anti-GFAP antibody [EPR1034Y] - Astrocyte Marker (AB68428)

Fluorescence multiplex immunohistochemical analysis of formalin/PFA-fixed paraffin-embedded human cerebrum tissue sections.

Panel A : merged staining of anti-GPR17 (magenta; Opal™690), anti-TMEM119 (green; Opal™520) and anti-GFAP (red; Opal™570) on human cerebrum.

Panel B : anti-GPR17 staining oligodendrocytes in human cerebrum.

Panel C : anti-TMEM119 staining microglia in human cerebrum.

Panel D : anti-GFAP staining astrocytes in human cerebrum.

The section was incubated in three rounds of staining : in the order of ab316105 at a 1/500 dilution, ab306583 at a 1/2000 dilution, and ab218309 at a 1/1000 dilution for 30 mins at room temperature. Each round was followed by a separate fluorescent tyramide signal amplification system. Nuclear counterstaining with DAPI.

Heat mediated antigen retrieval with Tris-EDTA buffer (pH 9.0, epitope retrieval solution2) for 20 mins.

The immunostaining was performed on a Leica Biosystems BOND® RX instrument with an Opal™ 4-color kit. Image acquisition was performed with Leica SP8 confocal microscope.

This data was developed using ab218309, the same antibody clone in a different buffer formulation.

Immunohistochemistry (Formalin/PFA-fixed paraffin-embedded sections) - Anti-GFAP antibody [EPR1034Y] - Astrocyte Marker (AB68428)
  • IHC-P

Supplier Data

Immunohistochemistry (Formalin/PFA-fixed paraffin-embedded sections) - Anti-GFAP antibody [EPR1034Y] - Astrocyte Marker (AB68428)

Fluorescence multiplex immunohistochemical analysis of the Human cerebellum (Formalin/PFA-fixed paraffin-embedded sections).

Heat mediated antigen retrieval with Tris-EDTA buffer (pH 9.0, epitope retrieval solution2) for 20 mins.

Opal Polymer HRP Ms + Rb was used as a secondary antibody.DAPI (blue) was used as a nuclear counter stain.

Panel A : Merged staining of anti-GFAP (gray; Opal™690), anti-P2Y12 (green; Opal™520) and anti-MAP2 (red; Opal™570) on human cerebellum. Panel B : Anti-MAP2 stained cell body and dendrites of neurons. Panel C : Anti-P2Y12 stained on microglial cells. Panel D : Anti-GFAP stained on astrocytes.

The section was incubated in three rounds of staining : in the order of ab68428, ab254347, and ab254263 for 30 mins at room temperature. Each round was followed by a separate fluorescent tyramide signal amplification system.

The immunostaining was performed on a Leica Biosystems BONDBOND® RX instrument with an Opal™ 4-color kit. Image acquisition was performed with Leica SP8 confocal microscope.

Multiplex immunohistochemistry - Anti-GFAP antibody [EPR1034Y] - Astrocyte Marker (AB68428)
  • mIHC

Lab

Multiplex immunohistochemistry - Anti-GFAP antibody [EPR1034Y] - Astrocyte Marker (AB68428)

Fluorescence multiplex immunohistochemical analysis of human cerebrum tissue (formalin/PFA-fixed paraffin-embedded section). Panel A : merged staining of anti-GFAP (ab68428, gray; Opal™690), anti-Myelin PLP (ab254363, green; Opal™520) and anti-MAP2 (ab254263, red; Opal™570) on human cerebrum tissue. Panel B : anti-MAP2 stained cell body and dendrites of neurons. Panel C : anti-Myelin PLP stained on myelin sheaths of oligodendrocytes. Panel D : anti-GFAP stained on astrocytes. Opal Polymer HRP Ms + Rb was used as a secondary antibody. The immunostaining was performed on a Leica Biosystems BOND®RX instrument with an Opal™ 4-color kit. The section was incubated in three rounds of staining : in the order of ab68428 (1/50 dilution), ab254363 (1/2000 dilution), and ab254263 (1/4000 dilution) for 30 mins at room temperature. Each round was followed by a separate fluorescent tyramide signal amplification system. Heat mediated antigen retrieval with Tris-EDTA buffer (pH 9.0, epitope retrieval solution 2) was used for 20 mins. DAPI (blue) was used as a nuclear counter stain. Image acquisition was performed with Leica SP8 confocal microscope.

Multiplex immunohistochemistry - Anti-GFAP antibody [EPR1034Y] - Astrocyte Marker (AB68428)
  • mIHC

Lab

Multiplex immunohistochemistry - Anti-GFAP antibody [EPR1034Y] - Astrocyte Marker (AB68428)

Fluorescence multiplex immunohistochemical analysis of the human cerebrum (Formalin/PFA-fixed paraffin-embedded sections). Panel A : merged staining of anti-GFAP (ab68428, gray; Opal™690), anti-Myelin PLP (ab254363, green; Opal™520) and anti-P2Y12 (ab254347, red; Opal™570) on human cerebrum. Panel B : anti-P2Y12 stained on microglial cells. Panel C : anti-Myelin PLP stained on myelin sheaths of oligodendrocytes. Panel D : anti-GFAP stained on astrocytes. Opal Polymer HRP Ms + Rb was used as a secondary antibody. The immunostaining was performed on a Leica Biosystems BOND® RX instrument with an Opal™ 4-color kit. The section was incubated in three rounds of staining : in the order of ab68428 (1/50 dilution), ab254363 (1/2000 dilution), and ab254347 (1/1000 dilution) for 30 mins at room temperature. Each round was followed by a separate fluorescent tyramide signal amplification system. Heat mediated antigen retrieval with Tris-EDTA buffer (pH 9.0, epitope retrieval solution2) for 20 mins. DAPI (blue) was used as a nuclear counter stain. Image acquisition was performed with Leica SP8 confocal microscope.

Immunohistochemistry (Formalin/PFA-fixed paraffin-embedded sections) - Anti-GFAP antibody [EPR1034Y] - Astrocyte Marker (AB68428)
  • IHC-P

Lab

Immunohistochemistry (Formalin/PFA-fixed paraffin-embedded sections) - Anti-GFAP antibody [EPR1034Y] - Astrocyte Marker (AB68428)

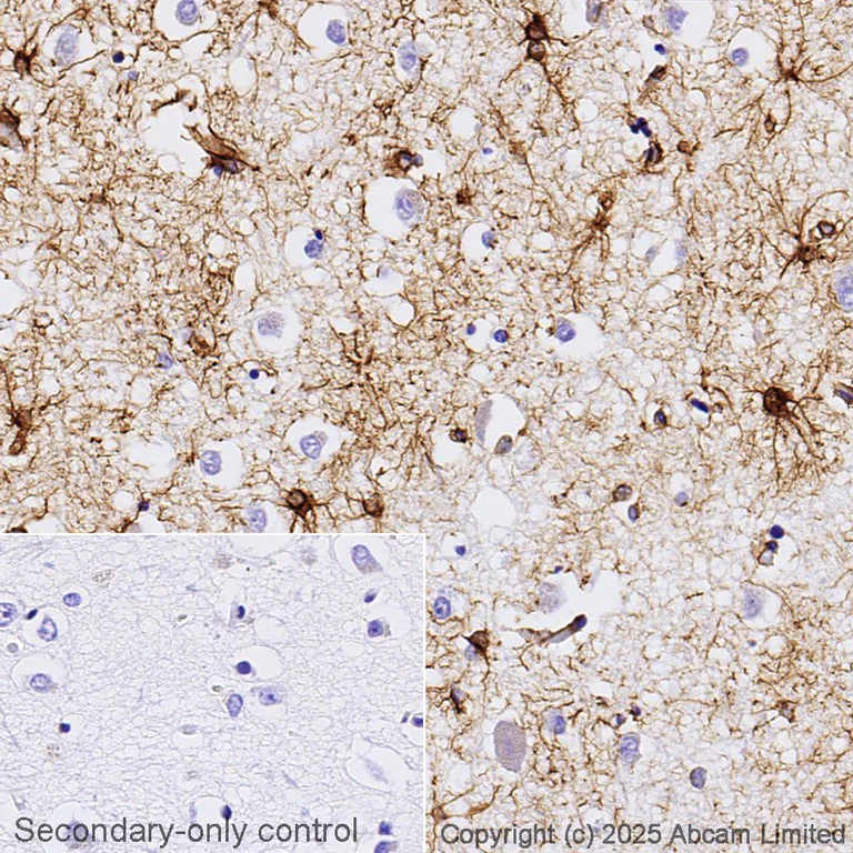
Immunohistochemical analysis of paraffin-embedded human Alzheimer's brain tissue* labelling GFAP with ab68428 at 1ug/ml followed by a ready to use LeicaDS9800 (Bond Polymer Refine Detection).

Positive staining in human Alzheimer's brain.

The section was incubated with ab68428 for 30 mins at room temperature. The immunostaining was performed on a Leica Biosystems BOND® RX instrument. Counterstained with Hematoxylin.

Secondary antibody only control : Secondary antibody is a ready to use LeicaDS9800 (Bond Polymer Refine Detection).

Heat mediated antigen retrieval with sodium citrate buffer (pH 6.0 epitope retrieval solution1) for 20 mins.

*Tissue obtained from the Human Research Tissue Bank, supported by the NIHR Cambridge Biomedical Research Centre.

Multiplex immunohistochemistry - Anti-GFAP antibody [EPR1034Y] - Astrocyte Marker (AB68428)
  • mIHC

Lab

Multiplex immunohistochemistry - Anti-GFAP antibody [EPR1034Y] - Astrocyte Marker (AB68428)

Chromogenic multiplex immunohistochemical staining of FFPE normal human cerebellum tissue. ab177487, anti-NeuN DAB chromogen. ab68428, anti-GFAP purple chromogen and ab178846, anti- Iba1 teal chromogen plus haematoxylin counterstain. Chromogenic immunostaining was performed on a Roche Ventana Discovery Ultra instrument. The section was deparaffinised and incubated with CC1 solution for 24min 100°C. Following this with 3 rounds of staining in the order of ab177487 (1/600), ab178846 (1/4000) ab68428 (1/1000). Between rounds of staining, antibody denaturation was conducted using Ultra CC2 solution for 8min at 100°C to avoid cross reactivity. Signal was developed with anti-rabbit HQ followed by anti-HQ HRP coupled with Chromomap DAB kit, Discovery purple or Discovery teal chromogens and haematoxylin II counterstain.

Multiplex immunohistochemistry - Anti-GFAP antibody [EPR1034Y] - Astrocyte Marker (AB68428)
  • mIHC

Supplier Data

Multiplex immunohistochemistry - Anti-GFAP antibody [EPR1034Y] - Astrocyte Marker (AB68428)

Fluorescence multiplex immunohistochemical analysis of the human cerebrum (Formalin/PFA-fixed paraffin-embedded sections). Panel A : merged staining of anti-GFAP (magenta; Opal™690), anti-MAP2 (green; Opal™520) and anti-GPCR GPR17 (red; Opal™570) on human cerebrum. Panel B : anti-MAP2 staining neurons. Panel C : anti-GPCR GPR17 staining oligodendrocytes. Panel D : anti-GFAP staining astrocytes. The section was incubated in three rounds of staining : in the order of ab254263, ab314307, and ab68428 for 30 mins at room temperature. Each round was followed by a separate fluorescent tyramide signal amplification system. The immunostaining was performed on a Leica Biosystems BOND® RX instrument with an Opal™ 4-color kit. Image acquisition was performed with Leica SP8 confocal microscope. Heat mediated antigen retrieval with Tris-EDTA buffer (pH 9.0, epitope retrieval solution2) for 20 mins

Immunohistochemistry (Formalin/PFA-fixed paraffin-embedded sections) - Anti-GFAP antibody [EPR1034Y] - Astrocyte Marker (AB68428)
  • IHC-P

Unknown

Immunohistochemistry (Formalin/PFA-fixed paraffin-embedded sections) - Anti-GFAP antibody [EPR1034Y] - Astrocyte Marker (AB68428)

Immunohistochemical analysis of formalin-fixed paraffin-embedded human brain (left) and human glioma (right) tissue sections labelling GFAP with unpurified ab68428 at dilution of 1/250.

Perform heat mediated antigen retrieval before commencing with IHC staining protocol.

Multiplex immunohistochemistry - Anti-GFAP antibody [EPR1034Y] - Astrocyte Marker (AB68428)
  • mIHC

Lab

Multiplex immunohistochemistry - Anti-GFAP antibody [EPR1034Y] - Astrocyte Marker (AB68428)

Fluorescence multiplex immunohistochemical analysis of the human cerebellum (Formalin/PFA-fixed paraffin-embedded sections). Panel A : merged staining of anti-GFAP (ab68428, gray; Opal™690), anti-Myelin PLP (ab254363, green; Opal™520) and anti-P2Y12 (ab254347 red; Opal™570) on human cerebellum. Panel B : anti-P2Y12 stained on microglial cells. Panel C : anti-Myelin PLP stained on myelin sheaths of oligodendrocytes. Panel D : anti-GFAP stained on astrocytes. Opal Polymer HRP Ms + Rb was used as a secondary antibody. The immunostaining was performed on a Leica Biosystems BOND® RX instrument with an Opal™ 4-color kit. The section was incubated in three rounds of staining : in the order of ab68428 (1/50 dilution), ab254363 (1/2000 dilution), and ab254347 (1/1000 dilution) for 30 mins at room temperature. Each round was followed by a separate fluorescent tyramide signal amplification system. Heat mediated antigen retrieval with Tris-EDTA buffer (pH 9.0, epitope retrieval solution2) for 20 mins. DAPI (blue) was used as a nuclear counter stain. Image acquisition was performed with Leica SP8 confocal microscope.

Immunohistochemistry (Frozen sections) - Anti-GFAP antibody [EPR1034Y] - Astrocyte Marker (AB68428)
  • IHC-Fr

Lab

Immunohistochemistry (Frozen sections) - Anti-GFAP antibody [EPR1034Y] - Astrocyte Marker (AB68428)

IHC image of GFAP staining in a section of frozen normal human cerebral cortex performed on a Leica BONDTM system using the standard protocol. The section was fixed in 10% paraformaldehyde (10 min) prior to staining. The section was incubated with ab68428, 1/250 dilution, for 15 mins at room temperature and detected using an HRP conjugated compact polymer system. DAB was used as the chromogen. The section was then counterstained with haematoxylin and mounted with DPX. The inset secondary-only control image is taken from an identical assay without primary antibody.

For other IHC staining systems (automated and non-automated) customers should optimize variable parameters such as antigen retrieval conditions, primary antibody concentration and antibody incubation times.

Immunohistochemistry (Formalin/PFA-fixed paraffin-embedded sections) - Anti-GFAP antibody [EPR1034Y] - Astrocyte Marker (AB68428)
  • IHC-P

Unknown

Immunohistochemistry (Formalin/PFA-fixed paraffin-embedded sections) - Anti-GFAP antibody [EPR1034Y] - Astrocyte Marker (AB68428)

Immunohistochemical analysis of paraffin-embedded human cerebral cortex tissue sections labelling GFAP with purified ab68428 at a dilution of 1/500. The secondary antibody used was ab97051, Goat Anti-Rabbit IgG H&L (HRP) at a dilution of 1/500. The sample was counterstained with hematoxylin. Antigen retrieval was performed using EDTA Buffer; pH 9.0. PBS was used instead of the primary antibody as the negative control and is shown in the inset.

Immunohistochemistry (Formalin/PFA-fixed paraffin-embedded sections) - Anti-GFAP antibody [EPR1034Y] - Astrocyte Marker (AB68428)
  • IHC-P

Unknown

Immunohistochemistry (Formalin/PFA-fixed paraffin-embedded sections) - Anti-GFAP antibody [EPR1034Y] - Astrocyte Marker (AB68428)

IHC image of GFAP staining in a formalin fixed, paraffin embedded normal human hippocampus tissue section, performed on a Leica Bond™ system using the standard protocol F. The section was pre-treated using heat mediated antigen retrieval with sodium citrate buffer (pH6, epitope retrieval solution 1) for 20 mins. The section was then incubated with ab68428 at 1/100 dilution for 15 mins at room temperature and detected using an HRP conjugated compact polymer system. DAB was used as the chromogen. The section was then counterstained with haematoxylin and mounted with DPX.

For other IHC staining systems (automated and non-automated) customers should optimize variable parameters such as antigen retrieval conditions, primary antibody concentration and antibody incubation times.

Immunohistochemistry (Formalin/PFA-fixed paraffin-embedded sections) - Anti-GFAP antibody [EPR1034Y] - Astrocyte Marker (AB68428)
  • IHC-P

Supplier Data

Immunohistochemistry (Formalin/PFA-fixed paraffin-embedded sections) - Anti-GFAP antibody [EPR1034Y] - Astrocyte Marker (AB68428)

Fluorescence multiplex immunohistochemical analysis of the Human cerebrum (Formalin/PFA-fixed paraffin-embedded sections).

Heat mediated antigen retrieval with Tris-EDTA buffer (pH 9.0, epitope retrieval solution2) for 20 mins

Opal Polymer HRP Ms + Rb was used as a secondary antibody.DAPI (blue) was used as a nuclear counter stain.

Panel A : Merged staining of anti-GFAP (gray; Opal™690), anti-P2Y12 (green; Opal™520) and anti-MAP2 (red; Opal™570) on human cerebrum. Panel B : Anti-MAP2 stained cell body and dendrites of neurons. Panel C : Anti-P2Y12 stained on microglial cells. Panel D : Anti-GFAP stained on astrocytes.

The section was incubated in three rounds of staining : in the order of ab68428, ab254347, and ab254263 for 30 mins at room temperature. Each round was followed by a separate fluorescent tyramide signal amplification system.

The immunostaining was performed on a Leica Biosystems BOND® RX instrument with an Opal™ 4-color kit. Image acquisition was performed with Leica SP8 confocal microscope.

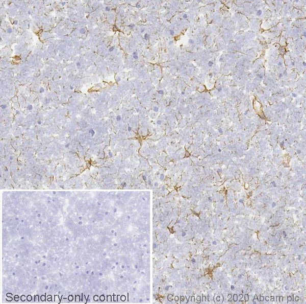
Immunohistochemistry (Formalin/PFA-fixed paraffin-embedded sections) - Anti-GFAP antibody [EPR1034Y] - Astrocyte Marker (AB68428)
  • IHC-P

Lab

Immunohistochemistry (Formalin/PFA-fixed paraffin-embedded sections) - Anti-GFAP antibody [EPR1034Y] - Astrocyte Marker (AB68428)

Immunohistochemical analysis of formalin fixed paraffin embedded human cerebellum labelling GFAP with ab68428 at a dilution of 1/1000. The immunostaining was performed on a Ventana DISCOVERY ULTRA (Roche Tissue Diagnostics) instrument with an ChromoMap DAB (RUO) IHC Detection Kit with anti rabbit HQ and anti HQ HRP. Heat mediated antigen retrieval was conducted for 24 min with DISCOVERY cell conditioning solution (CC1)  100°C, pH 8.5. ab68428 was incubated at 37°C for 16 min. Sections were counterstained is with Hematoxylin II. Image inset shows absence of staining in secondary antibody only control.

Multiplex immunohistochemistry - Anti-GFAP antibody [EPR1034Y] - Astrocyte Marker (AB68428)
  • mIHC

Lab

Multiplex immunohistochemistry - Anti-GFAP antibody [EPR1034Y] - Astrocyte Marker (AB68428)

Fluorescence multiplex immunohistochemical analysis of formalin/PFA-fixed paraffin-embedded rat spinal cord tissue sections.

Panel A : merged staining of anti-GPR17 (magenta; Opal™690), anti-P2RY12 (green; Opal™520) and anti-GFAP (red; Opal™570) on rat spinal cord.
Panel B : anti-GPR17 staining oligodendrocytes in rat spinal cord.
Panel C : anti-P2RY12 staining microglia in rat spinal cord.
Panel D : anti-GFAP staining astrocytes in rat spinal cord.

The section was incubated in three rounds of staining : in the order of ab316105 at a 1/500 dilution, ab300140 at a 1/40000 dilution, and ab218309 at a 1/1000 dilution for 30 mins at room temperature. Each round was followed by a separate fluorescent tyramide signal amplification system.

Nuclear counterstaining with DAPI.

Heat mediated antigen retrieval with Tris-EDTA buffer (pH 9.0, epitope retrieval solution2) for 20 mins.

The immunostaining was performed on a Leica Biosystems BOND® RX instrument with an Opal™ 4-color kit. Image acquisition was performed with Leica SP8 confocal microscope.

This data was developed using ab218309, the same antibody clone in a different buffer formulation.

Multiplex immunohistochemistry - Anti-GFAP antibody [EPR1034Y] - Astrocyte Marker (AB68428)
  • mIHC

Lab

Multiplex immunohistochemistry - Anti-GFAP antibody [EPR1034Y] - Astrocyte Marker (AB68428)

Fluorescence multiplex immunohistochemical analysis of formalin/PFA-fixed paraffin-embedded mouse cerebrum tissue sections.

Panel A : merged staining of anti-GPR17 (magenta; Opal™690), anti-P2RY12 (green; Opal™520) and anti-GFAP (red; Opal™570) on mouse cerebrum.

Panel B : anti-GPR17 staining oligodendrocytes in mouse cerebrum.

Panel C : anti-P2RY12 staining microglia in mouse cerebrum.

Panel D : anti-GFAP staining astrocytes in mouse cerebrum.

The section was incubated in three rounds of staining : in the order of ab316105 at a 1/500 dilution, ab300140 at a 1/140000 dilution, and ab218309 at a 1/1000 dilution for 30 mins at room temperature. Each round was followed by a separate fluorescent tyramide signal amplification system. Nuclear counterstaining with DAPI.

Heat mediated antigen retrieval with Tris-EDTA buffer (pH 9.0, epitope retrieval solution2) for 20 mins.

The immunostaining was performed on a Leica Biosystems BOND® RX instrument with an Opal™ 4-color kit. Image acquisition was performed with Leica SP8 confocal microscope.

This data was developed using ab218309, the same antibody clone in a different buffer formulation.

Immunohistochemistry (Formalin/PFA-fixed paraffin-embedded sections) - Anti-GFAP antibody [EPR1034Y] - Astrocyte Marker (AB68428)
  • IHC-P

Unknown

Immunohistochemistry (Formalin/PFA-fixed paraffin-embedded sections) - Anti-GFAP antibody [EPR1034Y] - Astrocyte Marker (AB68428)

Immunohistochemical analysis of paraffin-embedded mouse cerebral cortex tissue sections labelling GFAP with purified ab68428 at a dilution of 1/500. The secondary antibody used was ab97051, Goat Anti-Rabbit IgG H&L (HRP) at a dilution of 1/500. The sample was counterstained with hematoxylin. Antigen retrieval was performed using EDTA Buffer; pH 9.0. PBS was used instead of the primary antibody as the negative control and is shown in the inset.

Flow Cytometry (Intracellular) - Anti-GFAP antibody [EPR1034Y] - Astrocyte Marker (AB68428)
  • Flow Cyt (Intra)

Supplier Data

Flow Cytometry (Intracellular) - Anti-GFAP antibody [EPR1034Y] - Astrocyte Marker (AB68428)

Flow cytometric analysis of 4% paraformaldehyde fixed 90% methanol permeabilized Mouse primary brain cells cells labelling GFAP with ab68428 at 1/500 dilution (0.1ug)/ Right compared with a Rabbit monoclonal IgG (ab172730) / Left isotype control. A Goat anti rabbit IgG (Alexa Fluor® 488, ab150077) at 1/2000 dilution was used as the secondary antibody.

Immunohistochemistry (Frozen sections) - Anti-GFAP antibody [EPR1034Y] - Astrocyte Marker (AB68428)
  • IHC-Fr

Unknown

Immunohistochemistry (Frozen sections) - Anti-GFAP antibody [EPR1034Y] - Astrocyte Marker (AB68428)

Immunohistochemical analysis of 4% PFA-fixed, 0.2% Triton X-100 permeabilized frozen Mouse cerebrum tissue labeling GFAP with ab68428 at 1/1000 dilution (2.011 μg/mL) followed by ab150077 Goat Anti-Rabbit IgG H&L (Alexa Fluor® 488) at 1/1000 dilution (2 μg/mL) (Green). Positive staining on mouse cerebrum is observed. The nuclear counterstain was DAPI (Blue). Secondary antibody control : Secondary antibody is ab150077 Goat Anti-Rabbit IgG H&L (Alexa Fluor® 488) at 1/1000 dilution (2 μg/mL).

Heat mediated antigen retrieval using sodium citrate buffer (10mM citrate pH 6.0 + 0.05% Tween-20).

Immunohistochemistry (Formalin/PFA-fixed paraffin-embedded sections) - Anti-GFAP antibody [EPR1034Y] - Astrocyte Marker (AB68428)
  • IHC-P

Unknown

Immunohistochemistry (Formalin/PFA-fixed paraffin-embedded sections) - Anti-GFAP antibody [EPR1034Y] - Astrocyte Marker (AB68428)

Immunohistochemical analysis of formalin-fixed paraffin-embedded mouse brain tissue section labelling GFAP with unpurified ab68428 at dilution of 1/250.

Perform heat mediated antigen retrieval before commencing with IHC staining protocol.

Immunohistochemistry (Frozen sections) - Anti-GFAP antibody [EPR1034Y] - Astrocyte Marker (AB68428)
  • IHC-Fr

Unknown

Immunohistochemistry (Frozen sections) - Anti-GFAP antibody [EPR1034Y] - Astrocyte Marker (AB68428)

Immunohistochemical analysis of 4% PFA-fixed, 0.2% Triton X-100 permeabilized frozen Rat cerebrum tissue labeling GFAP with ab68428 at 1/1000 dilution (2.011 μg/mL) followed by ab150077 Goat Anti-Rabbit IgG H&L (Alexa Fluor® 488) at 1/1000 dilution (2 μg/mL) (Green). Positive staining on rat cerebrum is observed. The nuclear counterstain was DAPI (Blue). Secondary antibody control : Secondary antibody is ab150077 Goat Anti-Rabbit IgG H&L (Alexa Fluor® 488) at 1/1000 dilution (2 μg/mL).

Heat mediated antigen retrieval using sodium citrate buffer (10mM citrate pH 6.0 + 0.05% Tween-20).

Immunocytochemistry/ Immunofluorescence - Anti-GFAP antibody [EPR1034Y] - Astrocyte Marker (AB68428)
  • ICC/IF

Lab

Immunocytochemistry/ Immunofluorescence - Anti-GFAP antibody [EPR1034Y] - Astrocyte Marker (AB68428)

Immunofluorescent analysis of 4% Paraformaldehyde-fixed, 0.1% TritonX-100 permeabilized mouse primary neural mix culture cells labelling GFAP with ab68428 at 1/250 dilution, followed by ab150077 AlexaFluor®488 Goat anti-Rabbit secondary antibody at 1/1000 dilution (Green). Confocal scanning Z step was set as 0.3 μm followed by image processing with maximum Z projection. ab10062 anti-GFAP antibody [GF5] at 1/100 dilution followed by ab150120 Goat Anti-Mouse IgG H&L (Alexa Fluor® 594) at 1/1000 (2μg/ml) was used as a counterstain. The Nuclear counterstain was DAPI (Blue).

Immunohistochemistry (Formalin/PFA-fixed paraffin-embedded sections) - Anti-GFAP antibody [EPR1034Y] - Astrocyte Marker (AB68428)
  • IHC-P

Unknown

Immunohistochemistry (Formalin/PFA-fixed paraffin-embedded sections) - Anti-GFAP antibody [EPR1034Y] - Astrocyte Marker (AB68428)

Immunohistochemical analysis of paraffin-embedded mouse liver tissue sections labelling GFAP with purified ab68428 at a dilution of 1/500. The secondary antibody used was ab97051, Goat Anti-Rabbit IgG H&L (HRP) at a dilution of 1/500. The sample was counterstained with hematoxylin. Antigen retrieval was performed using EDTA Buffer; pH 9.0.

Immunocytochemistry/ Immunofluorescence - Anti-GFAP antibody [EPR1034Y] - Astrocyte Marker (AB68428)
  • ICC/IF

Lab

Immunocytochemistry/ Immunofluorescence - Anti-GFAP antibody [EPR1034Y] - Astrocyte Marker (AB68428)

Immunofluorescence staining of GFAP using ab68428 in primary rat hippocampal mixed glia, (prepared from P2 rat hippocampal brain area, obtained from Transnetyx Tissue by BrainBits, LLC, cat.no. SDPHP4m), DIV4. The cells were fixed with 100% MeOH (5 min), permeabilized with 0.1% Triton-X-100 (in PBS) for 5 mins and then blocked with 1% BSA/10% normal goat serum/0.3M glycine in 0.1% PBS-Tween for 1h. The cells were then incubated overnight at +4°C with ab68428 at 0.1 μg/ml and ab4674, Anti-GFAP antibody, at 1/1000 dilution. Cells were then incubated with ab150081, Goat Anti-Rabbit IgG H&L (Alexa Fluor® 488) preadsorbed at 1/1000 dilution (shown in green) and ab150176, Goat Anti-Chicken IgY H&L (Alexa Fluor® 594) preadsorbed at 1/1000 dilution (shown in red). Nuclear DNA was labelled with DAPI (shown in blue). Images were acquired with the Perkin Elmer Operetta HCA and a maximum intensity projection of confocal sections is shown. The antibody ab68428 gave comparable results using 4% formaldehyde fixation (10 min).

Multiplex immunohistochemistry - Anti-GFAP antibody [EPR1034Y] - Astrocyte Marker (AB68428)
  • mIHC

Lab

Multiplex immunohistochemistry - Anti-GFAP antibody [EPR1034Y] - Astrocyte Marker (AB68428)

Fluorescence multiplex immunohistochemical analysis of formalin/PFA-fixed paraffin-embedded rat cerebrum tissue sections..

Panel A : merged staining of anti-GPR17 (magenta; Opal™690), anti-P2RY12 (green; Opal™520) and anti-GFAP (red; Opal™570) on rat cerebrum.

Panel B : anti-GPR17 staining oligodendrocytes in rat cerebrum.

Panel C : anti-P2RY12 staining microglia in rat cerebrum.

Panel D : anti-GFAP staining astrocytes in rat cerebrum.

The section was incubated in three rounds of staining : in the order of ab316105 at 1/500 dilution, ab300140 at 1/140000 dilution , and ab218309 at 1/1000 dilution for 30 mins at room temperature. Each round was followed by a separate fluorescent tyramide signal amplification system. The secondary was Opal Polymer HRP Ms + Rb and nuclear counterstaining with DAPI.

Heat mediated antigen retrieval with Tris-EDTA buffer (pH 9.0, epitope retrieval solution2) for 20 mins.

The immunostaining was performed on a Leica Biosystems BOND® RX instrument with an Opal™ 4-color kit. Image acquisition was performed with Leica SP8 confocal microscope.

Multiplex immunohistochemistry - Anti-GFAP antibody [EPR1034Y] - Astrocyte Marker (AB68428)
  • mIHC

Lab

Multiplex immunohistochemistry - Anti-GFAP antibody [EPR1034Y] - Astrocyte Marker (AB68428)

This data was developed using ab218309, the same antibody clone in a different buffer formulation.

Multiplex immunohistochemistry analysis of formalin/PFA-fixed paraffin-embedded Mouse midbrain tissue staining THP2 with ab288067 at a 1/2000 (0.315 ug/ml) dilution, P2Y12 with ab300140 at 1/40000 (0.013 ug/ml) dilution and GFAP with ab218309 at 1/1000 ( 1.325 ug/ml) dilution.

Panel A : merged staining of anti-THP2 (green; Opal™520), anti-P2Y12 (grey; Opal™570) and anti-GFAP (magenta; Opal™690) on mouse midbrain.
Panel B : anti-THP2 staining the serotonergic neurons in mouse midbrain.
Panel C : anti-P2Y12 staining microglia in mouse midbrain.
Panel D : anti-GFAP staining astrocytes in mouse midbrain.
Nuclear DNA was labeled with DAPI (shown in blue).

The section was incubated in three rounds of staining : in the order of ab2888067, ab300140 and ab218309 for 30 mins at room temperature. Each round was followed by a separate fluorescent tyramide signal amplification system.

The immunostaining was performed on a Leica Biosystems BOND® RX instrument with an Opal™ 4-color kit. Image acquisition was performed with Leica SP8 confocal microscope.

Heat mediated antigen retrieval with Tris-EDTA buffer (pH 9.0, epitope retrieval solution2) for 20 mins.

Multiplex immunohistochemistry - Anti-GFAP antibody [EPR1034Y] - Astrocyte Marker (AB68428)
  • mIHC

Lab

Multiplex immunohistochemistry - Anti-GFAP antibody [EPR1034Y] - Astrocyte Marker (AB68428)

Fluorescence multiplex immunohistochemical analysis of formalin/PFA-fixed paraffin-embedded mouse spinal cord tissue sections.

Panel A : merged staining of anti-GPR17 (magenta; Opal™690), anti-P2RY12 (green; Opal™520) and anti-GFAP (red; Opal™570) on mouse spinal cord.

Panel B : anti-GPR17 staining oligodendrocytes in mouse spinal cord.

Panel C : anti-P2RY12 staining microglia in mouse spinal cord.

Panel D : anti-GFAP staining astrocytes in mouse spinal cord.

The section was incubated in three rounds of staining : in the order of ab316105 at a 1/500 dilution, ab300140 at a 1/40000 dilution, and ab218309 at a 1/1000 dilution for 30 mins at room temperature. Each round was followed by a separate fluorescent tyramide signal amplification system.

Nuclear counterstaining with DAPI.

Heat mediated antigen retrieval with Tris-EDTA buffer (pH 9.0, epitope retrieval solution2) for 20 mins.

The immunostaining was performed on a Leica Biosystems BOND® RX instrument with an Opal™ 4-color kit. Image acquisition was performed with Leica SP8 confocal microscope.

This data was developed using ab218309, the same antibody clone in a different buffer formulation.

Multiplex immunohistochemistry - Anti-GFAP antibody [EPR1034Y] - Astrocyte Marker (AB68428)
  • mIHC

Lab

Multiplex immunohistochemistry - Anti-GFAP antibody [EPR1034Y] - Astrocyte Marker (AB68428)

Fluorescence multiplex immunohistochemical analysis of formalin/PFA-fixed paraffin-embedded mouse cerebellum tissue sections.

Panel A : merged staining of anti-GPR17 (magenta; Opal™690), anti-P2RY12 (green; Opal™520) and anti-GFAP (red; Opal™570) on mouse cerebellum.

Panel B : anti-GPR17 staining oligodendrocytes in mouse cerebellum.

Panel C : anti-P2RY12 staining microglia in mouse cerebellum.

Panel D : anti-GFAP staining astrocytes in mouse cerebellum.

The section was incubated in three rounds of staining : in the order of ab316105 at a 1/500 dilution, ab300140 at a 1/40000 dilution, and ab218309 at a 1/1000 dilution for 30 mins at room temperature. Each round was followed by a separate fluorescent tyramide signal amplification system.

Nuclear counterstaining with DAPI.

Heat mediated antigen retrieval with Tris-EDTA buffer (pH 9.0, epitope retrieval solution2) for 20 mins.

The immunostaining was performed on a Leica Biosystems BOND® RX instrument with an Opal™ 4-color kit. Image acquisition was performed with Leica SP8 confocal microscope.

This data was developed using ab218309, the same antibody clone in a different buffer formulation.

Multiplex immunohistochemistry - Anti-GFAP antibody [EPR1034Y] - Astrocyte Marker (AB68428)
  • mIHC

Lab

Multiplex immunohistochemistry - Anti-GFAP antibody [EPR1034Y] - Astrocyte Marker (AB68428)

Fluorescence multiplex immunohistochemical analysis of formalin/PFA-fixed paraffin-embedded mouse hippocampus tissue sections.

Panel A : merged staining of anti-GPR17 (magenta; Opal™690), anti-P2RY12 (green; Opal™520) and anti-GFAP (red; Opal™570) on mouse hippocampus.

Panel B : anti-GPR17 staining oligodendrocytes in mouse hippocampus.

Panel C : anti-P2RY12 staining microglia in mouse hippocampus.

Panel D : anti-GFAP staining astrocytes in mouse hippocampus.

The section was incubated in three rounds of staining : in the order of ab316105 at a 1/500 dilution, ab300140 at a 1/40000, and ab218309 at a 1/1000 dilution for 30 mins at room temperature. Each round was followed by a separate fluorescent tyramide signal amplification system.

Nuclear counterstaining with DAPI.

Heat mediated antigen retrieval with Tris-EDTA buffer (pH 9.0, epitope retrieval solution2) for 20 mins.

The immunostaining was performed on a Leica Biosystems BOND® RX instrument with an Opal™ 4-color kit. Image acquisition was performed with Leica SP8 confocal microscope.

This data was developed using ab218309, the same antibody clone in a different buffer formulation.

Immunoprecipitation - Anti-GFAP antibody [EPR1034Y] - Astrocyte Marker (AB68428)
  • IP

Unknown

Immunoprecipitation - Anti-GFAP antibody [EPR1034Y] - Astrocyte Marker (AB68428)

ab68428 at 1/20 dilution immunoprecipitating GFAP in rat brain whole cell lysate observed at 50 KDa (lanes 1 and 2).

Lane 1 (input) : Rat brain whole cell lysate 10ug

Lane 2 (+) : ab68428 + Rat brain whole cell lysate

Lane 3 (-) : Rabbit monoclonal IgG (ab172730) instead of ab68428 in Rat brain whole cell lysate

For western blotting, ab68428 was used followed by VeriBlot for IP Detection Reagent (HRP) (ab131366), was used for detection at 1/10,000 dilution.

Blocking and Diluting buffer and concentration : 5% NFDM/TBST.

All lanes:

Immunoprecipitation - Anti-GFAP antibody [EPR1034Y] - Astrocyte Marker (ab68428)

Predicted band size: 49 kDa

false

Western blot - Anti-GFAP antibody [EPR1034Y] - Astrocyte Marker (AB68428)
  • WB

Unknown

Western blot - Anti-GFAP antibody [EPR1034Y] - Astrocyte Marker (AB68428)

Blocking and Diluting buffer 5% NFDM/TBST

All lanes:

Western blot - Anti-GFAP antibody [EPR1034Y] - Astrocyte Marker (ab68428) at 1/10000 dilution

Lane 1:

Human cerebellum tissue lysate at 20 µg

Lane 2:

Human brain tissue lysate at 10 µg

Secondary

All lanes:

Anti-Rabbit IgG (HRP), specific to the non-reduced form of IgG at 1/2000 dilution

Predicted band size: 49 kDa

Observed band size: 48-50 kDa

false

Western blot - Anti-GFAP antibody [EPR1034Y] - Astrocyte Marker (AB68428)
  • WB

Supplier Data

Western blot - Anti-GFAP antibody [EPR1034Y] - Astrocyte Marker (AB68428)

Blocking and dilution buffer and concentration : 5% NFDM/TBST.  The molecular weight observed is consistent with what has been described in the literature (PMID : 31682229, PMID : 22528834).

All lanes:

Western blot - Anti-GFAP (phospho S13) antibody [EPR25281-65] (<a href='/products/primary-antibodies/gfap-phospho-s13-antibody-epr25281-65-ab303560'>ab303560</a>) at 1/1000 dilution

Lane 1:

Untreated U-87 MG (human glioblastoma-astrocytoma epithelial cell), whole cell lysate at 20 µg

Lane 2:

U-87 MG treated with 1ug/ml LPS for 24 hours, then add 100nM Calyculin A for 30 min, whole cell lysate at 20 µg

Secondary

All lanes:

Western blot - Goat Anti-Rabbit IgG H&L (HRP) (<a href='/products/secondary-antibodies/goat-rabbit-igg-h-l-hrp-ab97051'>ab97051</a>) at 1/100000 dilution

Predicted band size: 49 kDa

Observed band size: 49 kDa

false

Exposure time: 70s

Western blot - Anti-GFAP antibody [EPR1034Y] - Astrocyte Marker (AB68428)
  • WB

Unknown

Western blot - Anti-GFAP antibody [EPR1034Y] - Astrocyte Marker (AB68428)

All lanes:

Western blot - Anti-GFAP antibody [EPR1034Y] - Astrocyte Marker (ab68428) at 1/5000 dilution

Lane 1:

Human brain lysate at 10 µg

Lane 2:

Rat brain lysate at 10 µg

Secondary

All lanes:

HRP labelled Goat anti-Rabbit antibody at 1/2000 dilution

Predicted band size: 49 kDa

Observed band size: 50 kDa

false

Western blot - Anti-GFAP antibody [EPR1034Y] - Astrocyte Marker (AB68428)
  • WB

Supplier Data

Western blot - Anti-GFAP antibody [EPR1034Y] - Astrocyte Marker (AB68428)

Blocking and dilution buffer and concentration : 5% NFDM/TBST.  The molecular weight observed is consistent with what has been described in the literature (PMID : 31682229, PMID : 22528834).

All lanes:

Western blot - Anti-GFAP (phospho S13) antibody [EPR25281-65] (<a href='/products/primary-antibodies/gfap-phospho-s13-antibody-epr25281-65-ab303560'>ab303560</a>) at 1/1000 dilution

Lane 1:

U-87 MG (human glioblastoma-astrocytoma epithelial cell) treated with 1 ug/ml LPS for 24 hours, then add 100 nM Calyculin A for 30 min, whole cell lysate (untreated membrane) at 20 µg

Lane 2:

U-87 MG treated with 1 µg/ml LPS for 24h, then add 100 nM Calyculin A for 30 min, (phosphatase treated membrane), whole cell lysate at 20 µg

Secondary

All lanes:

Western blot - Goat Anti-Rabbit IgG H&L (HRP) (<a href='/products/secondary-antibodies/goat-rabbit-igg-h-l-hrp-ab97051'>ab97051</a>) at 1/100000 dilution

Predicted band size: 49 kDa

Observed band size: 35 kDa,55 kDa,50 kDa

false

Exposure time: 70s

Western blot - Anti-GFAP antibody [EPR1034Y] - Astrocyte Marker (AB68428)
  • WB

Unknown

Western blot - Anti-GFAP antibody [EPR1034Y] - Astrocyte Marker (AB68428)

Blocking and Diluting buffer 5% NFDM/TBST

All lanes:

Western blot - Anti-GFAP antibody [EPR1034Y] - Astrocyte Marker (ab68428) at 1/50000 dilution

Lane 1:

Rat cerebellum tissue lysate at 20 µg

Lane 2:

Rat brain tissue lysate at 20 µg

Secondary

All lanes:

Anti-Rabbit IgG (HRP), specific to the non-reduced form of IgG at 1/2000 dilution

Predicted band size: 49 kDa

Observed band size: 50 kDa

false

Western blot - Anti-GFAP antibody [EPR1034Y] - Astrocyte Marker (AB68428)
  • WB

Unknown

Western blot - Anti-GFAP antibody [EPR1034Y] - Astrocyte Marker (AB68428)

Blocking and Diluting buffer 5% NFDM/TBST

All lanes:

Western blot - Anti-GFAP antibody [EPR1034Y] - Astrocyte Marker (ab68428) at 1/10000 dilution

Lane 1:

Mouse cerebellum tissue lysate at 20 µg

Lane 2:

Mouse brain tissue lysate at 20 µg

Secondary

All lanes:

Anti-Rabbit IgG (HRP), specific to the non-reduced form of IgG at 1/2000 dilution

Predicted band size: 49 kDa

Observed band size: 50 kDa

false

Western blot - Anti-GFAP antibody [EPR1034Y] - Astrocyte Marker (AB68428)
  • WB

Supplier Data

Western blot - Anti-GFAP antibody [EPR1034Y] - Astrocyte Marker (AB68428)

Blocking and dilution buffer and concentration : 5% NFDM/TBST.  Exposure time : 5.5 seconds.

All lanes:

Western blot - Anti-GFAP (phospho S13) antibody [EPR25281-65] (<a href='/products/primary-antibodies/gfap-phospho-s13-antibody-epr25281-65-ab303560'>ab303560</a>) at 1/1000 dilution

Lane 1:

HEK-293T (human embryonic kidney cell) transfected with a human GFAP (WT) expression vector containing a myc-His-tag®, whole cell lysate at 20 µg

Lane 2:

HEK-293T transfected with a human GFAP (S13A mutation) expression vector containing a myc-His-tag®, whole cell lysate at 20 µg

Secondary

All lanes:

Western blot - Goat Anti-Rabbit IgG H&L (HRP) (<a href='/products/secondary-antibodies/goat-rabbit-igg-h-l-hrp-ab97051'>ab97051</a>) at 1/100000 dilution

Predicted band size: 49 kDa

Observed band size: 35 kDa,55 kDa,50 kDa

false

Exposure time: 5.5s

関連する標識済み抗体及び組成の異なる製品 (17)

  • 421 Alexa Fluor® 405

    Alexa Fluor® 405 Anti-GFAP antibody [EPR1034Y] - Astrocyte Marker

  • 565 Alexa Fluor® 555

    Alexa Fluor® 555 Anti-GFAP antibody [EPR1034Y] - Astrocyte Marker

  • Carrier free

    Anti-GFAP antibody [EPR1034Y] - BSA and Azide free

  • 519 Alexa Fluor® 488

    Alexa Fluor® 488 Anti-GFAP antibody [EPR1034Y] - Astrocyte Marker

  • 578 PE

    PE Anti-GFAP antibody [EPR1034Y] - Astrocyte Marker

  • 660 APC

    APC Anti-GFAP antibody [EPR1034Y] - Astrocyte Marker

  • HRP

    HRP Anti-GFAP antibody [EPR1034Y] - Astrocyte Marker

  • 665 Alexa Fluor® 647

    Alexa Fluor® 647 Anti-GFAP antibody [EPR1034Y] - Astrocyte Marker

  • 603 Alexa Fluor® 568

    Alexa Fluor® 568 Anti-GFAP antibody [EPR1034Y] - Astrocyte Marker

  • 617 Alexa Fluor® 594

    Alexa Fluor® 594 Anti-GFAP antibody [EPR1034Y] - Astrocyte Marker

  • 665 Alexa Fluor® 647

    Alexa Fluor® 647 Anti-GFAP antibody [EPR1034Y] - Mouse IgG1 Chimeric

  • 519 Alexa Fluor® 488

    Alexa Fluor® 488 Anti-GFAP antibody [EPR1034Y] - Rat IgG2a (Chimeric)

  • Biotin

    Biotin Anti-GFAP antibody [EPR1034Y] - Astrocyte Marker

  • 519 Alexa Fluor® 488

    Alexa Fluor® 488 Anti-GFAP antibody [EPR1034Y] - Mouse IgG2a (Chimeric)

  • 519 Alexa Fluor® 488

    Alexa Fluor® 488 Anti-GFAP antibody [EPR1034Y] - Mouse IgG1 (Chimeric)

  • 665 Alexa Fluor® 647

    Alexa Fluor® 647 Anti-GFAP antibody [EPR1034Y] - Mouse IgG2a (Chimeric)

  • 665 Alexa Fluor® 647

    Alexa Fluor® 647 Anti-GFAP antibody [EPR1034Y] - Rat IgG2a (Chimeric)

Key facts

宿主種

Rabbit

クローン性

Monoclonal

クローン番号

EPR1034Y

アイソタイプ

IgG

キャリアフリー

No

交差種

Mouse, Rat, Human

アプリケーション

IP, IHC-P, mIHC, WB, IHC-Fr, Flow Cyt (Intra), ICC/IF

applications

免疫原

The exact immunogen used to generate this antibody is proprietary information.

Reactivity data

{ "title": "Reactivity Data", "filters": { "stats": ["", "Species", "Dilution Info", "Notes"], "tabs": { "all-applications": {"fullname" : "All Applications", "shortname": "All Applications"}, "mIHC" : {"fullname" : "Multiplex immunohistochemistry", "shortname":"mIHC"}, "FlowCytIntra" : {"fullname" : "Flow Cytometry (Intracellular)", "shortname":"Flow Cyt (Intra)"}, "IHCP" : {"fullname" : "Immunohistochemistry (Formalin/PFA-fixed paraffin-embedded sections)", "shortname":"IHC-P"}, "ICCIF" : {"fullname" : "Immunocytochemistry/ Immunofluorescence", "shortname":"ICC/IF"}, "IP" : {"fullname" : "Immunoprecipitation", "shortname":"IP"}, "WB" : {"fullname" : "Western blot", "shortname":"WB"}, "IHCFr" : {"fullname" : "Immunohistochemistry (Frozen sections)", "shortname":"IHC-Fr"} }, "product-promise": { "all": "all", "testedAndGuaranteed": "tested", "guaranteed": "expected", "predicted": "predicted", "notRecommended": "not-recommended" } }, "values": { "Human": { "mIHC-species-checked": "testedAndGuaranteed", "mIHC-species-dilution-info": "1/500 - 1/2000", "mIHC-species-notes": "<p></p>", "FlowCytIntra-species-checked": "testedAndGuaranteed", "FlowCytIntra-species-dilution-info": "1/500", "FlowCytIntra-species-notes": "<p></p>", "IHCP-species-checked": "testedAndGuaranteed", "IHCP-species-dilution-info": "1/250 - 1/500", "IHCP-species-notes": "<p></p> Perform heat-mediated antigen retrieval before commencing with IHC staining protocol.", "ICCIF-species-checked": "guaranteed", "ICCIF-species-dilution-info": "", "ICCIF-species-notes": "", "IP-species-checked": "guaranteed", "IP-species-dilution-info": "", "IP-species-notes": "", "WB-species-checked": "testedAndGuaranteed", "WB-species-dilution-info": "1/10000", "WB-species-notes": "<p><strong>For unpurified use at 1/50 000 - 1/100 000.</strong></p>", "IHCFr-species-checked": "guaranteed", "IHCFr-species-dilution-info": "", "IHCFr-species-notes": "" }, "Mouse": { "mIHC-species-checked": "testedAndGuaranteed", "mIHC-species-dilution-info": "1/500 - 1/2000", "mIHC-species-notes": "<p></p>", "FlowCytIntra-species-checked": "testedAndGuaranteed", "FlowCytIntra-species-dilution-info": "1/500", "FlowCytIntra-species-notes": "<p></p>", "IHCP-species-checked": "testedAndGuaranteed", "IHCP-species-dilution-info": "1/250 - 1/500", "IHCP-species-notes": "<p></p> Perform heat-mediated antigen retrieval before commencing with IHC staining protocol.", "ICCIF-species-checked": "testedAndGuaranteed", "ICCIF-species-dilution-info": "0.1-1 µg/mL", "ICCIF-species-notes": "<p></p>", "IP-species-checked": "guaranteed", "IP-species-dilution-info": "", "IP-species-notes": "", "WB-species-checked": "testedAndGuaranteed", "WB-species-dilution-info": "1/10000", "WB-species-notes": "<p><strong>For unpurified use at 1/50 000 - 1/100 000.</strong></p>", "IHCFr-species-checked": "testedAndGuaranteed", "IHCFr-species-dilution-info": "1/250", "IHCFr-species-notes": "<p></p>" }, "Rat": { "mIHC-species-checked": "testedAndGuaranteed", "mIHC-species-dilution-info": "1/500 - 1/2000", "mIHC-species-notes": "<p></p>", "FlowCytIntra-species-checked": "guaranteed", "FlowCytIntra-species-dilution-info": "", "FlowCytIntra-species-notes": "", "IHCP-species-checked": "guaranteed", "IHCP-species-dilution-info": "", "IHCP-species-notes": "", "ICCIF-species-checked": "testedAndGuaranteed", "ICCIF-species-dilution-info": "0.1-1 µg/mL", "ICCIF-species-notes": "<p></p>", "IP-species-checked": "testedAndGuaranteed", "IP-species-dilution-info": "1/20 - 1/40", "IP-species-notes": "<p></p>", "WB-species-checked": "testedAndGuaranteed", "WB-species-dilution-info": "1/10000", "WB-species-notes": "<p><strong>For unpurified use at 1/50 000 - 1/100 000.</strong></p>", "IHCFr-species-checked": "testedAndGuaranteed", "IHCFr-species-dilution-info": "1/250", "IHCFr-species-notes": "<p></p>" } } }

製品の詳細

Find all reagents to label astrocytes in our "Astrocytes markers guide".

Anti-GFAP antibody [EPR1034Y] (ab68428) was developed by Abcam using patented rabbit monoclonal antibody technology and is validated for use in Flow Cyt (Intra), ICC/IF, IHC-Fr, IHC-P, IP and WB.

Anti-GFAP antibody [EPR1034Y] (ab68428) was first used in a scientific publication in 2011 and has been cited over 106 times in peer reviewed journals. It's performance in IHC in mouse samples is trusted by the scientific community.

Abcam's high quality manufacturing and validation processes ensure Anti-GFAP antibody [EPR1034Y] (ab68428) has high sensitivity and specificity alongside high lot-to-lot consistency and reproducibility.

Anti-GFAP antibody [EPR1034Y] (ab68428) has 15 independent reviews from customers.

Anti-GFAP antibody [EPR1034Y] (ab68428) specifically detects GFAP (UniProt ID: P14136; Molecular weight: 50kDa) and is sold in a convenient trial size to enable initial testing (20 µL) and larger sizes for subsequent scaling up experiments (100 µL and 1 mL).

Conjugation-ready, carrier free format available for antibody clone EPR1034Y - ab218309.

Antibody clone EPR1034Y is also available pre-conjugated to a variety of labels for your convenience - Alexa Fluor® 488, Alexa Fluor® 647, Alexa Fluor® 594, Alexa Fluor® 555, Alexa Fluor® 568, Alexa Fluor® 405, PE, APC, HRP, Alkaline Phosphatase, Alexa Fluor® 647, Biotin, Alexa Fluor® 488, Alexa Fluor® 647, Alexa Fluor® 647, Alexa Fluor® 488, Alexa Fluor® 488 (ab194324, ab194325, ab201732, ab201735, ab201736, ab206586, ab303005, ab303006, ab303007, ab308965, ab313596, ab314264, ab317669, ab317720, ab317721, ab317762, ab319022).

NEW: Explore our alternative host species for clone [EPR1034Y] : goat, chicken, rat, mouse. GFAP (Glial Fibrillary Acidic Protein) is a key marker in neuro research, particularly for its role in identifying astrocyte activity. It is predominantly expressed in astrocytes, the most abundant glial cells in the brain and spinal cord. Altered GFAP levels are associated with various neurological conditions, including Alzheimer's disease (AD), traumatic brain injury (TBI) and multiple sclerosis (MS). Researchers use GFAP to assess astrocytic response and neuroinflammation, making it essential for understanding the extent of brain injury and the progression of neurodegenerative diseases.

Patented technology
Our RabMAb® technology is a patented hybridoma-based technology for making rabbit monoclonal antibodies. For details on our patents, please refer to RabMAb® patents.

What are the advantages of a recombinant monoclonal antibody?
This product is a recombinant monoclonal antibody, which offers several advantages including:

  • - High batch-to-batch consistency and reproducibility
  • - Improved sensitivity and specificity
  • - Long-term security of supply
  • - Animal-free batch production

For more information, read more on recombinant antibodies.

出荷温度及び保存条件

製品の状態
Liquid
精製方法
Affinity purification Protein A
バッファー組成
pH: 7.2 - 7.4 Preservative: 0.01% Sodium azide Constituents: PBS, 40% Glycerol (glycerin, glycerine), 0.21% BSA
出荷温度
Blue Ice
短期保存期間
1-2 weeks
短期保存温度
+4°C
長期保存温度
-20°C
分注に関する情報
Upon delivery aliquot
保管に関する情報
Avoid freeze / thaw cycle

製品プロトコール

For this product, it's our understanding that no specific protocols are required. You can visit:

ターゲットの情報

GFAP, a class-III intermediate filament, is a cell-specific marker that, during the development of the central nervous system, distinguishes astrocytes from other glial cells.
See full target information GFAP

文献 (178)

Recent publications for all applications. Explore the full list and refine your search

Acta neuropathologica communications 13:195 PubMed40993780

2025

A mouse model of stereotactic radiosurgery-induced neuroinflammation and blood-brain barrier compromise.

Applications

Unspecified application

Species

Unspecified reactive species

Roberto J Alcazar-Felix,Lin Cheng,Abhinav Srinath,Akash Bindal,David Tieri,Diana Vera-Cruz,Madison Yuan,Sammy Allaw,Nitha Aima Muntu,Dominic Montas,András Piffkó,Erik Pearson,Bader Ali,Peter Pytel,Issam A Awad,Sean P Polster

Nature communications 16:8251 PubMed40925900

2025

Discovery of a selective alpha-kinase 1 inhibitor for the rare genetic disease ROSAH syndrome.

Applications

Unspecified application

Species

Unspecified reactive species

Jieqing Fan,Danyang Liu,Zhu Ming,Chunyu Yan,Huaixin Dang,Yanfang Pan,Xiong Wei,Zhengle Zhao,Wenzhi Wang,Shuai Zhang,Linlin Chen,Shuo Cai,Jiangbin Ke,Yaru Luo,Linjie Rao,Jingjing Chen,Zhenjie Chen,Junlin Zhou,Feixiang Chen,Xiaodi Duan,Boyue Ren,Tong-Ruei R Li,Lawrence Melvin,Jeysen Yogaratnam,Vinit B Mahajan,Hongmei Song,Henri Lichenstein,Tian Xu,Cong Xu

Science advances 11:eadz1228 PubMed40929275

2025

Bioadaptive liquid-infused multifunctional fibers for long-term neural recording via BDNF stabilization and enhanced neural interaction.

Applications

Unspecified application

Species

Unspecified reactive species

Tae Young Kim,Yeonzu Son,Keun-Young Yook,Dong Gyu Lee,Young Kim,Seo Jung Kim,Kijun Park,Yurim Lee,Tae Kyung Lee,Justin J Chung,Congqi Yang,Seongjun Park,Jungmok Seo

Biomedicines 13: PubMed40722706

2025

Application of Human Epineural Patch (hEP) as a Novel Strategy for Nerve Protection and Enhancement of Regeneration After Nerve Crush Injury.

Applications

Unspecified application

Species

Unspecified reactive species

Katarzyna Kozlowska,Weronika Radecka,Sonia Brodowska,Lucile Chambily,Dominika Kuc,Amber Lopez,Maria Siemionow

Bioactive materials 52:753-772 PubMed40688064

2025

Modular assembled biomimetic nanobubbles for synergistic therapy of ischemic stroke cascade modulation thrombo-inflammatory network.

Applications

Unspecified application

Species

Unspecified reactive species

Mingxi Li,Xuan Xu,Guoyan Tang,Huan Wu,Yakun Wang,Chen Cheng,Hongde Liu,Fang Yang

Molecular neurobiology 62:13840-13857 PubMed40601220

2025

The Efficacy of Intrathecal Platelet-Rich Plasma Administration in Alleviation of Chronic Neuropathic Pain in Rat Model.

Applications

Unspecified application

Species

Unspecified reactive species

Jaisan Islam,Preeti Kumari Chaudhary,Sanggu Kim,Elina Kc,Young Seok Park,Soochong Kim

Current research in toxicology 8:100243 PubMed40519566

2025

Development of a workflow for in vitro on- and off-target cytotoxicity assessment of CAR T cell therapies to support first-in-human clinical trials: An orthogonal approach using human induced pluripotent stem cell-derived cells as a surrogate for normal vital organ systems.

Applications

Unspecified application

Species

Unspecified reactive species

Shari Price,Krista G Zindel,Joshua K Overcash,Elizabeth Glaze,Sandy Eldridge

International journal of nanomedicine 20:7185-7197 PubMed40491852

2025

Altered Neuroplasticity in Epilepsy is Associated with Neuroinflammation and Oxidative Stress: In vivo Evidence of Brain-Derived Extracellular Vesicles.

Applications

Unspecified application

Species

Unspecified reactive species

Shun Wang,Haiju Zhang,Ruiling Li,Zhongchun Liu,Dan Xiang

Frontiers in pharmacology 16:1577954 PubMed40474971

2025

Mangiferin mitigates neurological deficits and ferroptosis via NRF2/ARE pathway activation in cerebral ischemia-reperfusion rats.

Applications

Unspecified application

Species

Unspecified reactive species

Chenjia Peng,Yang Zhang,Jiaqing Chai,Hengbo Zhang

Brain communications 7:fcaf182 PubMed40462859

2025

Intra-amniotic infection with causes serovar-dependent white matter damage in preterm fetal sheep.

Applications

Unspecified application

Species

Unspecified reactive species

Dima Abdu,Graeme R Polglase,Sharmony B Kelly,Sinead Murphy,Ilias Nitsos,Claudia A Nold-Petry,Suhas G Kallapur,Alan H Jobe,John P Newnham,Timothy J Moss,Robert Galinsky
View all publications

Abcam product promise

当社は、高品質な試薬を通じてお客様の研究を力強くサポートすることをお約束いたします。ご使用いただく各段階で、常にお客様をサポートできる体制を整えております。万が一、製品が期待通りに機能しない場合は、「Abcam Product Promise」による当社保証制度に基づき、安心してご利用いただけます。
保証に関する詳細については利用規約をご確認ください。

Please note: All products are 'FOR RESEARCH USE ONLY. NOT FOR USE IN DIAGNOSTIC OR THERAPEUTIC PROCEDURES'.

For licensing inquiries, please contact partnerships@abcam.com