JavaScript is disabled in your browser. Please enable JavaScript to view this website.
AB303676

Anti-Gelsolin 抗体 [2/Gelsolin]

Anti-Gelsolin antibody [2/Gelsolin]

Be the first to review this product! Submit a review

|

(0 Publication)

Mouse Recombinant Monoclonal GELS antibody. Suitable for I-ELISA, WB and reacts with Synthetic peptide - Human, Human samples.

別名を表示する

Gelsolin, AGEL, Actin-depolymerizing factor, Brevin, ADF, GSN

2 Images
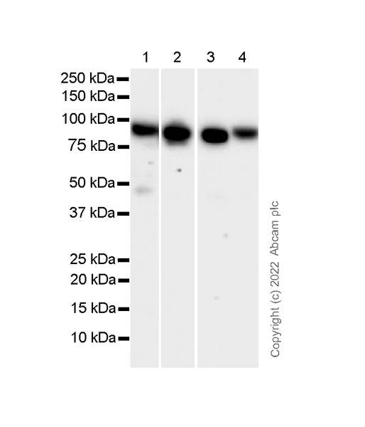
Western blot - Anti-Gelsolin antibody [2/Gelsolin] (AB303676)
  • WB

Supplier Data

Western blot - Anti-Gelsolin antibody [2/Gelsolin] (AB303676)

Blocking and diluting buffer and concentration : 5% NFDM/TBST. The secretory isoform of gelsolin is at 86kDa. The cytoplasmic isoforms of gelsolin are at 81kDa according to the Uniprot. Exposure time : Lanes 1 : 48 seconds Lanes 2-4 : 10 seconds

All lanes:

Western blot - Anti-Gelsolin antibody [2/Gelsolin] (ab303676) at 1/1000 dilution

Lane 1:

THP-1 (human monocytic leukemia monocyte) cell culture supernatant at 10 µL

Lane 2:

THP-1 (human monocytic leukemia monocyte), whole cell lysate at 10 µg

Lane 3:

MCF7 (human breast adenocarcinoma epithelial cell), whole cell lysate at 10 µg

Lane 4:

Human plasma at 10 µg

Secondary

All lanes:

Peroxidase-Conjugated Goat anti-Mouse IgG (H+L) at 1/10000 dilution

Observed band size: 81 kDa,86 kDa

false

Indirect ELISA - Anti-Gelsolin antibody [2/Gelsolin] (AB303676)
  • I-ELISA

Supplier Data

Indirect ELISA - Anti-Gelsolin antibody [2/Gelsolin] (AB303676)

Indirect ELISA - Anti-Gelsolin antibody [2/Gelsolin] (ab303676) Antigen used at 1000 ng/ml. ab303676 used at 0-2000 ng/ml. Secondary : Alkaline Phosphatase-conjugated AffiniPure Goat Anti-Mouse IgG (H+L) used at a 1/1000 dilution.

関連する標識済み抗体及び組成の異なる製品 (1)

  • Carrier free

    Anti-Gelsolin antibody [2/Gelsolin] - BSA and Azide free

Key facts

宿主種

Mouse

クローン性

Monoclonal

クローン番号

2/Gelsolin

アイソタイプ

IgG2a

キャリアフリー

No

交差種

Human

アプリケーション

WB, I-ELISA

applications

免疫原

The exact immunogen used to generate this antibody is proprietary information.

Reactivity data

{ "title": "Reactivity Data", "filters": { "stats": ["", "Species", "Dilution Info", "Notes"], "tabs": { "all-applications": {"fullname" : "All Applications", "shortname": "All Applications"}, "IELISA" : {"fullname" : "Indirect ELISA", "shortname":"I-ELISA"}, "WB" : {"fullname" : "Western blot", "shortname":"WB"}, "IHCP" : {"fullname" : "Immunohistochemistry (Formalin/PFA-fixed paraffin-embedded sections)", "shortname":"IHC-P"}, "ICCIF" : {"fullname" : "Immunocytochemistry/ Immunofluorescence", "shortname":"ICC/IF"}, "IP" : {"fullname" : "Immunoprecipitation", "shortname":"IP"} }, "product-promise": { "all": "all", "testedAndGuaranteed": "tested", "guaranteed": "expected", "predicted": "predicted", "notRecommended": "not-recommended" } }, "values": { "Human": { "IELISA-species-checked": "guaranteed", "IELISA-species-dilution-info": "", "IELISA-species-notes": "", "WB-species-checked": "testedAndGuaranteed", "WB-species-dilution-info": "1/1000", "WB-species-notes": "<p></p>", "IHCP-species-checked": "notRecommended", "IHCP-species-dilution-info": "", "IHCP-species-notes": "<p></p> Perform heat-mediated antigen retrieval with Tris/EDTA buffer pH 9.0 before commencing with IHC staining protocol.", "ICCIF-species-checked": "notRecommended", "ICCIF-species-dilution-info": "", "ICCIF-species-notes": "<p></p>", "IP-species-checked": "notRecommended", "IP-species-dilution-info": "", "IP-species-notes": "<p></p>" }, "Mouse": { "IELISA-species-checked": "notRecommended", "IELISA-species-dilution-info": "", "IELISA-species-notes": "", "WB-species-checked": "notRecommended", "WB-species-dilution-info": "1/1000", "WB-species-notes": "<p></p>", "IHCP-species-checked": "notRecommended", "IHCP-species-dilution-info": "", "IHCP-species-notes": "<p></p> Perform heat-mediated antigen retrieval with Tris/EDTA buffer pH 9.0 before commencing with IHC staining protocol.", "ICCIF-species-checked": "notRecommended", "ICCIF-species-dilution-info": "", "ICCIF-species-notes": "<p></p>", "IP-species-checked": "notRecommended", "IP-species-dilution-info": "", "IP-species-notes": "<p></p>" }, "Rat": { "IELISA-species-checked": "notRecommended", "IELISA-species-dilution-info": "", "IELISA-species-notes": "", "WB-species-checked": "notRecommended", "WB-species-dilution-info": "1/1000", "WB-species-notes": "<p></p>", "IHCP-species-checked": "notRecommended", "IHCP-species-dilution-info": "", "IHCP-species-notes": "<p></p> Perform heat-mediated antigen retrieval with Tris/EDTA buffer pH 9.0 before commencing with IHC staining protocol.", "ICCIF-species-checked": "notRecommended", "ICCIF-species-dilution-info": "", "ICCIF-species-notes": "<p></p>", "IP-species-checked": "notRecommended", "IP-species-dilution-info": "", "IP-species-notes": "" }, "Synthetic peptide - Human": { "IELISA-species-checked": "testedAndGuaranteed", "IELISA-species-dilution-info": "1/1000", "IELISA-species-notes": "<p></p>", "WB-species-checked": "notRecommended", "WB-species-dilution-info": "", "WB-species-notes": "", "IHCP-species-checked": "notRecommended", "IHCP-species-dilution-info": "", "IHCP-species-notes": "", "ICCIF-species-checked": "notRecommended", "ICCIF-species-dilution-info": "", "ICCIF-species-notes": "", "IP-species-checked": "notRecommended", "IP-species-dilution-info": "", "IP-species-notes": "" } } }

製品の詳細

What are the advantages of a recombinant monoclonal antibody?
This product is a recombinant monoclonal antibody, which offers several advantages including:

  • - High batch-to-batch consistency and reproducibility
  • - Improved sensitivity and specificity
  • - Long-term security of supply
  • - Animal-free batch production

For more information, read more on recombinant antibodies.

Want a custom formulation?
This antibody clone is manufactured by Abcam. If you require a custom buffer formulation or conjugation for your experiments, please contact orders@abcam.com

出荷温度及び保存条件

製品の状態
Liquid
精製方法
Affinity purification Protein A
バッファー組成
pH: 7.2 - 7.4 Preservative: 0.01% Sodium azide Constituents: PBS, 40% Glycerol (glycerin, glycerine), 0.05% BSA
出荷温度
Blue Ice
短期保存期間
1-2 weeks
短期保存温度
+4°C
長期保存温度
-20°C
分注に関する情報
Upon delivery aliquot
保管に関する情報
Avoid freeze / thaw cycle

補足情報

This supplementary information is collated from multiple sources and compiled automatically.

Gelsolin is a multifunctional actin-binding protein that exists in two main isoforms: cytoplasmic and plasma. It has a molecular mass of approximately 82 kDa. Gelsolin is expressed in a wide range of tissues including muscle epithelial and nerve cells. The protein's main mechanical function involves severing actin filaments which helps to regulate actin polymerization and depolymerization. Researchers sometimes refer to gelsolin as 'GSN'. The presence of the protein helps maintain the dynamic organization of the cytoskeleton by interacting with actin filaments.
Biological function summary

This protein acts in cell movement apoptosis and signal transduction. Gelsolin contributes to the remodeling of the actin cytoskeleton by promoting the disassembly of actin filaments allowing cells to change shape and move. Although it operates independently gelsolin’s activity can be influenced by calcium ions and phosphoinositides leading to its participation in various cellular activities. Gelsolin plays a role in platelet activation and may regulate cellular responses through association with the cytoskeletal complex.

Pathways

Gelsolin participates in the regulation of the actin cytoskeleton and apoptotic pathways. Within these pathways gelsolin interacts with proteins like cofilin to modulate actin filament dynamics. In apoptotic pathways it collaborates by altering the cytoskeletal architecture impacting cell death mechanisms. Gelsolin modifications in these pathways have implications for cellular processes like cell migration and apoptosis bringing it into relation with proteins such as caspases.

Gelsolin is linked to conditions such as gelsolin amyloidosis and cancer metastasis. Gelsolin amyloidosis results from mutations in the gelsolin gene which lead to the formation of amyloid fibrils causing dysfunction in nerves eyes and skin. In cancer altered gelsolin expression can influence tumor progression and metastasis through its role in cell motility. Related proteins such as actin and caspases could also play a part in these conditions either through direct interaction or through pathways in which gelsolin functions.

製品プロトコール

For this product, it's our understanding that no specific protocols are required. You can visit:

ターゲットの情報

Calcium-regulated, actin-modulating protein that binds to the plus (or barbed) ends of actin monomers or filaments, preventing monomer exchange (end-blocking or capping). It can promote the assembly of monomers into filaments (nucleation) as well as sever filaments already formed (PubMed : 19666512). Plays a role in ciliogenesis (PubMed : 20393563).
See full target information GSN

Abcam product promise

当社は、高品質な試薬を通じてお客様の研究を力強くサポートすることをお約束いたします。ご使用いただく各段階で、常にお客様をサポートできる体制を整えております。万が一、製品が期待通りに機能しない場合は、「Abcam Product Promise」による当社保証制度に基づき、安心してご利用いただけます。
保証に関する詳細については利用規約をご確認ください。

Please note: All products are 'FOR RESEARCH USE ONLY. NOT FOR USE IN DIAGNOSTIC OR THERAPEUTIC PROCEDURES'.

For licensing inquiries, please contact partnerships@abcam.com